Azygoskontinuität


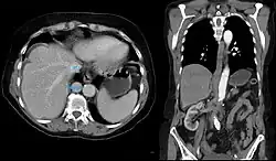
Die Azygoskontinuität der Vena cava inferior gehört zu den angeborenen Fehlanlagen des venösen Abstroms aus der unteren Körperhälfte. Die Vena cava inferior ist nicht durchgängig vorhanden, sondern es fehlt das Segment zwischen der Leber und den Nieren. Die Lebervenen drainieren wie bei der normalen Anatomie über ein kurzes hepatisches Segment nahezu direkt in den rechten Vorhof. Die Nierenvenen münden jedoch mit dem infrarenalen Segment der Vena cava inferior in die Vena azygos, die aufgrund des vermehrten Blutflusses deutlich weiter als normal ist. Diese mündet dann nach normalem Verlauf in die Vena cava superior. Es gibt eine Reihe von Variationen mit jeweils unterschiedlich ausgebildeten Gefäßabschnitten.[1]
Historie
Beschreibungen dieser anatomischen Besonderheit in Kombination mit weiteren Fehlbildungen findet man von John Abernethy bereits von 1793.[2]
Entstehung
Es wird vermutet, dass ein Fehlen der Anastomose zwischen rechter Subkardinalvene und Lebervenen zu einer Atrophie der Subkardinalvene führt.[1][3]
Häufigkeit
Bei Patienten ohne diesbezügliche Beschwerden wird die Anomalie gelegentlich als Zufallsbefund in Schnittbilduntersuchungen entdeckt.[3] Die Prävalenz wird mit 0,6 % angegeben.[1][4] Häufiger tritt die Azygoskontinuität im Rahmen eines Heterotaxiesyndroms auf.[5][6]
Klinische Bedeutung
Ob mit der Fehlanlage auch Symptome verbunden sind und somit ein Krankheitswert vorliegt, hängt davon ab, ob die vorhandenen Umgehungskreisläufe ausreichend sind, den Rückfluss zum Herz zu gewährleisten. Ansonsten sind Thrombosen und anderen Folgen eines chronischen Rückstaus wie z. B. Varizen zu beobachten. Beim Auftreten im Rahmen eines Syndroms können auch anderen Fehlbildungen z. B. des Herzens im Vordergrund stehen.[1]
Weblinks
Einzelnachweise
- ↑ a b c d Thomas Cissarek, Knut Kröger, Frans Santosa, Thomas Zeller (Hrsg.): Gefäßmedizin: Therapie und Praxis. ABW Wissenschaftsverlag, 2009, S. 412.
- ↑ J. Abernethy: Account of two instances of uncommon formation in the viscera of the human body. In: Philos Trans R Soc., 83, 1793, S. 59–66, jstor.org (PDF).
- ↑ a b J. E. Bass, M. D. Redwine, L. A. Kramer, P. T. Huynh, J. H. Harris: Spectrum of congenital anomalies of the inferior vena cava: cross-sectional imaging findings. In: Radiographics: a review publication of the Radiological Society of North America, Inc. Band 20, Nummer 3, 2000 May-Jun, S. 639–652, ISSN 0271-5333. PMID 10835118. (Review).
- ↑ S. Ginaldi, V. P. Chuang, S. Wallace: Absence of hepatic segment of the inferior vena cava with azygous continuation. In: Journal of computer assisted tomography. Band 4, Nummer 1, Februar 1980, S. 112–114, ISSN 0363-8715. PMID 7354162.
- ↑ S. Müther, I. Dähnert: Das Heterotaxiesyndrom. In: Zeitschrift für Herz-, Thorax- und Gefäßchirurgie. Volume 14, Number 3, Juni 2000, S. 134–136, doi:10.1007/s003980070034
- ↑ Michalis Georgiadis: Der „Blick hinter das Herz im Vierkammerblick“ und seine Bedeutung für die sonographische Diagnose fetaler Herzfehler. Inaugural-Dissertation. Rheinische Friedrich-Wilhelms-Universität, Bonn 2008. urn:nbn:de:hbz:5M-13533.