Barroeca monosierra
| Barroeca monosierra | ||||||||||||
|---|---|---|---|---|---|---|---|---|---|---|---|---|
| ||||||||||||
| Systematik | ||||||||||||
| ||||||||||||
| Wissenschaftlicher Name der Gattung | ||||||||||||
| Barroeca | ||||||||||||
| Hake, Burkhardt, Richter & King, 2021[1]/2024[2][3] | ||||||||||||
| Wissenschaftlicher Name der Art | ||||||||||||
| Barroeca monosierra | ||||||||||||
| Hake, Burkhardt, Richter & King, 2021[1]/2024[2][3] |


Barroeca monosierra ist eine Spezies (Art) koloniebildender Choanoflagellaten, die wie im August 2024 von Kayley H. Hake, Pawel Burkhardt, Daniel J. Richter, Nicole King et al. beschrieben, im Mono Lake (Kalifornien) gefunden wurden.[3][1][2] Sie ist gemäß dieser Erstbeschreibung die einzige Art in der Gattung Barroeca (Typusart, monotypisch). Diese gehört der Gruppe[A. 1] Craspedida an. Innerhalb dieser wird sie gemäß der Taxonomie des National Center for Biotechnology Information (NCBI) und der AlgaeBase in der Familie Salpingoecidae geführt, zusammen mit weiteren Choanoflagellaten-Gattungen wie Salpingoeca und Sphaeroeca.
B. monosierra bildet große kugelförmige Kolonien, die eine Größenordnung größer als die der nahe verwandten Art Salpingoeca rosetta werden können. Im Innern dieser kugelförmigen Kolonien befindet sich ein als Lumen bezeichneter Hohlraum, der mit einem verzweigten Netzwerk einer extrazellulären Matrix gefüllt ist. Für derartige sphärische Zellkolonien wurde die Bezeichnung „Choanoblastea“ vorgeschlagen.[4][5] In Kulturen, die im Labor gehalten werden, ist die Matrix in disem Lumen von Bakterien besiedelt, darunter verschiedene Gammaproteobakterien und Alphaproteobakterien. B. monosierra gilt daher seit dieser Entdeckung als der einfachste Organismus mit einem Mikrobiom.[3]
Die physische Assoziation (Konsortium) zwischen Bakterien und B. monosierra in Kultur stellt ein neues experimentelles Modell für die Untersuchung von Interaktionen zwischen Bakterien und Eukaryoten dar.[3]
Beschreibung

Die Vertreter der Gattung Barroeca werden beschrieben als mikrobielle Eukaryoten mit einem einzigen Zellkern und einer einzigen zentral an der Spitze befindlichen (apikalen) Geißel, die von einem Kragen aus aktingestützten Mikrovilli umgeben ist. Die Gattung ist phagotroph (d. h. die Zellen ernähren sich heterotroph durch die Aufnahme von Partikeln). Zumindest einige Stadien besitzen eine organische Theca.[3]
Der Zellkörper von B. monosierra ist ca. 6 bis 7 µm lang, der apikale Mikrovillenkragen ist ca. 7,5–9,5 µm lang, und das apikale Flagellum (die Geißel) ist ca. 20–25 µm lang. Einzelne Zellen können über einen langen (~30 µm) basalen Stiel (englisch pedicel, „Pedikel“) an einem Substrat befestigt sein. Einzelne Zellen können eine organische, becherförmige Hülle, eine sogenannte Theca, bilden. Die Theka besitzt eine charakteristische, nach außen gerichtete Lippe von ~0,75 µm an ihrem apikalen Ende.[3]
Die bei Choanoflagellaten weit verbreitete Fähigkeit, zwischen einzelligem und kolonialem Zustand zu wechseln, wurde auch bei den Isolaten von B. monosierra beobachtet. Von einer aus den Proben gezüchteten Kultur wurde die Größe der sphärischen Kolonien bestimmt: Bei dieser Kultur hatten diese einen Durchmesser von 10 µm bis etwa 120 µm (einzelne Exemplare maximal 128 µm). Die Art kann damit unter den Choanoflagellaten die größten Kolonien ausbilden. Die Kolonien der eng miteinander verwandten Art Salpingoeca rosetta haben z. B. einen Durchmesser von nur 10 bis 30 µm. Sie unterscheiden sich aber nicht nur erheblich in ihrer Größe. Bei den Kolonien von S. rosetta liegen die Zellen im Zentrum der Kolonie eng aneinander. Die Zellen der großen Kolonien von B. monosierra bilden dagegen eine kugelförmigen Schale um einen Hohlraum (Lumen), sodass die Kolonie grob einer Blastula ähnelt. Benachbarte Zellen sind über interzelluläre Brücken miteinander verbunden, zylindrische Strukturen, 200–300 nm breit und 300–500 nm lang. Ein verzweigtes Netz verbindet die Basalpole aller Zellen und bildet so eine extrazelluläre Matrix. Interessanterweise beherbergt bei den sphärischen Kolonien der zentralen Innenraum (Lumen) eine Vielzahl verschiedener lebender Bakterien.[3]
Bildergalerie
-

-

-
TEM-Detailaufnahmen der interzellulären Brücken zwischen den Choanozyten einer Kolonie von B. monosierra -
Extrazelluläre Matrix (ECM) einer Kolonie von B. monosierra mit Concanavalin A sichtbar gemacht. (A) Kolonie mit ECM (rot), (B) ECM alleine.
Bakterien im Innern der Kolonien


orange: Roseinatronobacter spp. (α-Proteobakterien: Paracoccaceae)
blau: Ectothiorhodospiraceae (γ-Proteobakterien: Chromatiales)
grün: Saccharospirillaceae (γ-Proteobakterien: Oceanospirillales)
magenta: Oceanospirillaceae (γ-Proteobakterien: Oceanospirillales)
weiß: nicht im Lumen: Spirochaetia, Bacteroidota (alias Bacteroidetes).
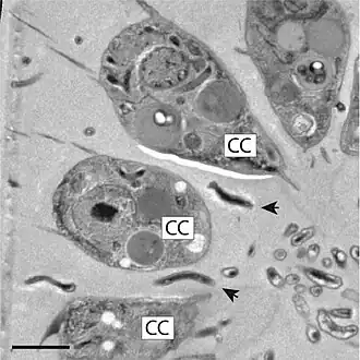
Im Innern einer solchen Kugel aus 79 Choanozyten fanden Hake et al. (2024) mindestens 200 Bakterienzellen. Wie von den Autoren gezeigt, leben und wachsen diese Bakterien (in der überwiegenden Mehrheit Gammaproteobakterien) im Lumen der sphärischen Kolonien, wo sie sich offenbar von den Sekreten der Kolonie ernähren. Labortests zeigten, dass mit Rinderserumalbumin beschichtete Latex-Mikrosphären in der Größe von Bakterien nicht ins Lumen aufgenommen werden.[A. 2] Im Mono Lake gemäß Metagenomanalysen häufig vorkommende Vertreter Gammaproteobakterien wie die Oceanospirillales[A. 3] (mit den Familien Oceanospirillaceae und Saccharospirillaceae) und die Chromatiales (mit der Familie Ectothiorhodospiraceae) wurden im Lumen von B. monosierra gefunden. Ebenfalls im Mono Lake zahlreich vorkommende Spirochäten und Vertreter der Bacteroidota[A. 4] wurden dagegen im Innern der Kugelkolonien nicht gefunden. „Roseinatronobacter sp. RoseML“[A. 5] war der einzige im Lumen nachgewiesene Vertreter der Alphaproteobakterien (Ordnung Rhodobacterales: Familie Paracoccaceae). Eine Besonderheit könnte das Bakterium „Oceanospirillaceae sp. OceaML3“[A. 6] sein, das ausschließlich im Lumen der Kolonien von B. monosierra ML2.1E nachgewiesen wurde; alle anderen bakteriellen Phylotypen im Lumen der Kolonien waren auch in der Wassersäule des Mono Lake nachzuweisen.[3]
Diese Beobachtungen lassen den Schluss zu, dass planktonische Bakterien aus Wassersäule nicht passiv in das zentrale Lumen der Sphären von B. monosierra gelangen, sondern dass zumindest einige jedoch durch aktive Prozesse eindringen können oder eingelassen werden. Interessant: Auch wenn die meisten Bakterien dort zur Klasse der Gammaproteobakterien gehören, so weisen sie eine ganze Reihe unterschiedlicher Morphologien auf, von lang und fadenförmig bis hin zu stäbchenförmig.[3]
Der Zweck dieser Lebensgemeinschaft konnte bis zur Erstveröffentlichung noch nicht geklärt werden. Die Autoren vermuten, dass die Bakterien im Lumen der Kolonien entweder vor dem toxischen Seewasser im Mono Lake geschützt sind, oder dass die Choanoflagellaten sie züchten, um sie später bei Gelegenheit zu fressen – wobei das eine das andere nicht ausschließt.[3]
Bisher waren Bakterien vor allem also Hauptnahrungsquelle für Choanoflagellaten bekannt, außerdem können Bakterien die Koloniebildung und die geschlechtliche Vermehrung bei Salpingoeca rosetta einleiten. Die obigen Beobachtungen von lebenden Bakterien im Lumen der Kolonien von B. monosierra fügen diesen Beobachtungen über Interaktionen von Choanoflagellaten und Bakterien einen ganz neuen Aspekt hinzu.[3]
Insgesamt bietet die Kultivierung von B. monosierra mit Kolonien, die Assoziationen mit verschiedenen Bakterien aufrechterhalten, ein neues Modellsystem zur Untersuchung von Interaktionen zwischen Eukaryoten und Bakterien und Erforschung der Mechanismen, die ihnen zugrunde liegen. Die enge Verwandtschaft von Choanoflagellaten und Tieren (Metazoa) lässt nach Hake et al. (2024) darüber hinaus sogar vermuten, dass Interaktionen mit Bakterien möglicherweise einen maßgeblichen Anteil am Entstehen der Vielzelligkeit in der Entstehungsgeschichte der Tiere hatten.[3]
- Bildergalerie
-
Kolonie von B. monosierra mit Bakterien (cyan) im Lumen. Balken: 10 µm -
Koloriertes Mikrophoto einer Kolonie von B. monosierra. Zellkörper (türkis) und zur Fortbewegung durchs Wasser dienende Geißeln (braun). -
![Eine Kolonie von B. monosierra; Färbung: cyan: DNA,[A. 7] rot: Mikrovilli[A. 8], weiß: Geißeln.](./Barroeca_monosierra_DNA-stain-2-copy-1024x1024-2.jpg)
-

-

-
Die TEM-Aufnahmen zeigen wie sich die bakteriellen Symbionten physisch mit der extrazellulären Matrix (ECM) von B. monosierra verbinden und sich um diese quasi wickeln (Ausschnittsvergrößerung rechts, unten koloriert, orange: ECM, türkis: Bakterien).
Systematik und Phylogenie

Die Spezies wurde von Daniel Richter bereits fast 10 Jahre vor der offiziellen Veröffentlichung im Mono Lake entdeckt und zunächst provisorisch als Salpingoeca monosierra klassifiziert; mit der Erstveröffentlichung 2014 von Hake, Richter et al aber wegen genetischer Unterschiede von der Gattung Salpingoeca abgetrennt und innerhalb der gemeinsamen Familie Salpingoecidae (auch Salpingoecaceae genannt)[6] als Barroeca monosierra in eine neue, monotypische Gattung Barroeca gestellt.[1] Sie ist phylogenetisch eng mit Salpingoeca rosetta und Microstomoeca roanoka verwandt.[3]
Gattung Barroeca Hake, Burkhardt, Richter & King, 2021[1]/2024[2][3][A. 9]
- Barroeca monosierra Hake, Burkhardt, Richter & King, 2021[1]/2024[2][3][A. 9]
- homotypische Synonyme:[1]
- Salpingoeca monosierra
- Salpingoeca sp. PTW-2021a
- Zum Umfang der Spezies gehört auch:[1]
- Choanoflagellata sp. NKing-2021a
- homotypische Synonyme:[1]
- Referenzstamm ist ML 2.1. (auch ML2.1 geschrieben, ML für Mono Lake).
Insgesamt wurde die 18S rRNA von sechs Stämmen des Mono Lake mit PCR-Methoden untersucht (ML1.1, ML1.2, ML2.1, ML3.1, ML3.2 und ML4.3), wobei der Vergleich mehr als 99 % Übereinstimmung ergab.[3]
Etymologie
Die Gattung Barroeca ist nach Barry S. C. Leadbeater[7] benannt, dem Autor des maßgeblichen Buches über Choanoflagellaten (The choanoflagellates: evolution, ecology, and biology, d. h. „Die Choanoflagellaten: Evolution, Ökologie und Biologie“) sowie zahlreicher Forschungsartikel über diese Protisten, mit denen er mehr als 50 Jahre lang einen wichtigen Einfluss auf die Choanoflagellaten-Forschung und -Forschenden hatte.[3]
Das Art-Epitheton monosierra setzt sich zusammen aus mono, was auf den Mono Lake als Typuslokalität verweist; sierra steht für die Sierra Nevada, an deren Ostflanke der Mono Lake liegt.
Anmerkungen
- ↑ herkömmlich als Ordnung angesehen
- ↑ stattdessen wurden diese von den Choanocyten (so wie bakterielle Nahrung) per Phagocytose inkorporiert
- ↑ In der Studie Hake et al. (2024) mit Schreibvariante Oceanospiralles bezeichnet
- ↑ In der Studie Hake et al. (2024) herkömmlich als Bacteroidetes bezeichnet
- ↑ Das hier der Eindeutigkeit halber als „Roseinatronobacter sp. RoseML“ bezeichnete Bakterium wird von den Autoren offenbar synonym als „RoseML“, „Roseinatronobacter sp.“, „Roseinatronobacter sp.“ oder „Roseinatronobacter“ bezeichnet. Genbank Zugriffsnummern: MW827061, MW827088, MW827108 (NCBI).
- ↑ Das hier der Eindeutigkeit halber als Oceanospirillaceae sp. OceaML3 bezeichnete Bakterium wird von den Autoren offenbar synonym als „OceaML3“, „Oceanospirillaceae sp. 3“, „Oceanospirillales sp. 3“ oder „Oceanospirillales 3“ bezeichnet. Genbank Zugriffsnummer: MW827089 (NCBI).
- ↑ die donutförmige Choanoflagellaten-DNA außen, im Zentrum eine Wolke von Bakterien-DNA
- ↑ mikroskopisch kleinen Härchen/Zotten
- ↑ a b die Jahreszahl 2021 bezieht sich offenbar auf die Vorabveröffentlichung (Preprint)[3]
Weblinks
- Pawel Burkhardt: A large colonial choanoflagellate from Mono Lake harbors live bacteria, Video auf Youtube (englisch).
Einzelnachweise
- ↑ a b c d e f g h i
NCBI Taxonomy Browser: Barroeca, Details: Barroeca Hake, Burkhardt, Richter & King, 2021 (genus). Dazu:
- NCBI Taxonomy Browser: Barroeca monosierra Hake, Burkhardt, Richter & King, 2021 (species); homotypic synonym: Salpingoeca monosierra, Salpingoeca sp. PTW-2021a; includes: Choanoflagellata sp. NKing-2021a.
- ↑ a b c d e f AlgaeBase: Genus: Barroeca, Details: Barroeca Hake, P.Burkhardt, D.J.Richter & N.King, 2024. Dazu:
- ↑ a b c d e f g h i j k l m n o p q r s
Kayley H. Hake, Patrick T. West, Kent McDonald, Davis Laundon, Josean Reyes-Rivera, Alain Garcia De Las Bayonas, Crystal Feng, Pawel Burkhardt, Daniel J. Richter, Jillian F. Banfield, Nicole King: A large colonial choanoflagellate from Mono Lake harbors live bacteria. Im: ASM Journals: mBio, Band 15, Nr. 9, 14. August 2024; doi:10.1128/mbio.01623-24, ResearchGate:383121087, ScienceDirect:S215075112400474X (englisch). Dazu:
- PrePrint (BioRχiv, März 2021)
- Gerald Weßel: In einem einzigartigen See finden Wissenschaftler unseren ältesten noch lebenden Vorfahren. Auf: Gamestar Tech. vom 18. September 2024.
- Michael Irving: Strange New Species Found in Toxic Lake Could Hold Clues to Life's Origins. Auf: sciencealert vom 31. August 2024.
- Robert Sanders: Creature the size of a dust grain found hiding in California’s Mono Lake. UC Berkeley News, 22. August 2024.
- Robert Sanders: Mysterious New Organism Found in Mono Lake Could Rewrite the History of Life. Auf: SciTechDaily vom 28. August 2024.
- Creature the size of a dust grain found hiding in California's Mono Lake. The choanoflagellate forms colonies that enclose bacteria, making it one of the simplest organisms to have a microbiome. Auf: EurekAlert! vom 22. August 2024.
- Guillermo Carvajal: A Tiny Creature Discovered in a California Lake is the Closest Living Relative of All Animals. Auf: La Brújula Verde (LBV, labrujulaverde.com) vom 23. August 2024.
- ↑ Claus Nielsen: Six major steps in animal evolution: are we derived sponge larvae?. In: Evolution & Development. Band 10, 2008, S. 243–246; doi:10.1111/j.1525-142X.2008.00231.x (englisch).
- ↑ Barry S. C. Leadbeater: The Choanoflagellates. Cambridge University Press, Cambridge 2015, ISBN 978-0521884440, S. 13–14 (englisch).
- ↑
WoRMS führt die Familie innerhalb der Craspedida doppelt, einmal mit zoologischem Suffix und einmal mit botanischem Suffix, ohne auf die Synonymie hinzuweisen:
- Salpingoecidae W.S.Kent, 1880 (Family) – zoologisch, mit Typusgattung Salpingoeca
- Salpingoecaceae (Family) – botanisch, mit Gattungen Pachysoeca, Piropsis, Stelexomonas
- ↑ ResearchGate: Barry SC Leadbeater


