Pankreatitis
| Klassifikation nach ICD-10 | |
|---|---|
| K85.- | Akute Pankreatitis |
| K86.0 | Alkoholinduzierte chronische Pankreatitis |
| K86.1 | Sonstige chronische Pankreatitis |
| K87.1 | Krankheiten des Pankreas bei anderenorts klassifizierten Krankheiten |
| ICD-10 online (WHO-Version 2019) | |
| Klassifikation nach ICD-11 | |
|---|---|
| DC31 | Akute Pankreatitis |
| DC31.0 | Akute idiopathische Pankreatitis |
| DC31.1 | Akute alkoholinduzierte Pankreatitis |
| DC31.2 | Akute biliäre Pankreatitis |
| DC31.3 | Akute arzneimittelinduzierte Pankreatitis |
| DC31.4 | Hereditäre akute Pankreatitis |
| DC31.5 | Akute Exazerbation einer chronischen Pankreatitis |
| 1D82.1 | Pankreatitis durch Zytomegalievirus |
| 1D80.4 | Mumpspankreatitis |
| DC31.Y | Sonstige näher bezeichnete akute Pankreatitis |
| DC31.Z | Akute Pankreatitis, nicht näher bezeichnet |
| DC32 | Chronische Pankreatitis |
| DC32.0 | Kalzifizierende Pankreatitis |
| DC32.1 | Rinnenpankreatitis |
| DC32.2 | Hereditäre chronische Pankreatitis |
| DC32.3 | Chronische alkoholinduzierte Pankreatitis |
| DC32.4 | Chronische idiopathische Pankreatitis |
| DC32.5 | Tropische Pankreatitis |
| DC32.Y | Sonstige näher bezeichnete chronische Pankreatitis |
| DC32.Z | Chronische Pankreatitis, nicht näher bezeichnet |
| ICD-11: Englisch • Deutsch (Entwurf) | |
Die Pankreatitis (von altgriechisch πάγκρεας pánkreas, deutsch ‚Bauchspeicheldrüse‘, dieses wiederum von πᾶν pán, deutsch ‚alles‘ und κρέας kréas, deutsch ‚Fleisch‘ sowie -itis), Pankreasentzündung oder deutsch Bauchspeicheldrüsenentzündung ist eine gastrointestinale Erkrankung und lässt sich prinzipiell in zwei Verlaufsformen unterteilen, in die akute und chronische. Eine akute Pankreatitis zeigt sich durch heftigen Schmerz im Oberbauch, Übelkeit, Erbrechen, Verstopfung und Fieber. Sie wird vor allem durch eine intensive intravenöse Flüssigkeitsgabe und die Gabe von Schmerzmitteln behandelt. Die chronische Pankreatitis äußert sich in wiederholtem Oberbauchschmerz, Übelkeit, Erbrechen, Fehlverdauung, Fettstuhl und Gewichtsabnahme.
Zu den ersten Beschreibern von am Organ sichtbaren Entzündungen der Bauchspeicheldrüse gehören Johann Georg Schenck von Grafenberg (1609), Nicolaes Tulp (1685), Werner Körter (1894), William Stewart Halsted (1895) und Hans Chiari (1896).[1]
Akute Pankreatitis

Der akuten Pankreatitis liegt eine Selbstverdauung, mitunter auch als Autolyse bezeichnet, zu Grunde. Hier werden Verdauungsenzyme, wie z. B. das Trypsinogen, Phospholipase A u. a. in der Bauchspeicheldrüse (intrapankreatisch) zu früh aktiviert. Eine Hauptrolle wird dabei der zu frühen Aktivierung von Trypsinogen zugesprochen, da der Nachfolger, das Trypsin, seinerseits andere proteolytische und lipolytische Enzyme, also Lipase und Phospholipase, aktiviert.[2][3] Da es die Aufgabe dieser Enzyme ist, Proteine, Fette und Kohlenhydrate zu verdauen, beginnt eine Selbstverdauung des Organs. Sicher ist, dass die lokalen Trypsininhibitoren α-Antitrypsin und α-Makroglobulin die Autodigestion nicht verhindern können. Einige Patienten leiden mehrmals an akuter Pankreatitis, können sich aber jedes Mal vollständig erholen. Eine akute Pankreatitis kann eine lebensbedrohliche Erkrankung sein, die zahlreiche Komplikationen hervorruft, normalerweise erholen sich Patienten aber von einer akuten Pankreatitis. Die Inzidenz beträgt etwa 20–30 Fälle pro 100.000 Einwohner pro Jahr.[4]
Ursachen
Die akute Pankreatitis kann mehrere Ursachen haben. In 75–80 % der Fälle ist die Ursache biliär (durch die Gallenblase verursacht) oder alkoholtoxisch.[4] Am häufigsten sind Gallensteine (Choledocholithiasis), die sich in der Mündung des Gallengangs in den Zwölffingerdarm, die zugleich die Mündung des Bauchspeicheldrüsengangs (Papilla Vateri) ist, vorübergehend oder länger festklemmen (rund 45 % der akuten Pankreatitiden). Hierdurch wird ein Rückfluss von Duodenalsaft in die Bauchspeicheldrüsengänge ermöglicht. In der Folge schädigt Gallensäure das Epithel des Pankreasgangs und löst eine Permeabilitätssteigerung unter anderem für Phospholipase, die Phosphatide in zytotoxische Lysophosphatide umwandelt, aus.
Ein weiterer Auslöser für eine akute Pankreatitis kann übermäßiger Alkoholkonsum (etwa 35 % der Fälle) sein; der genaue Zusammenhang zwischen Alkoholkonsum und Ätiologe ist allerdings ungeklärt.[5] Das Risiko steigt mit der Menge des konsumierten Alkohols, was für einen direkten toxischen Effekt spricht. Nur 5 % aller Alkoholkranken aber entwickeln eine Pankreatitis, so dass wohl weitere Faktoren, möglicherweise auch eine genetische Prädisposition, eine Rolle spielen.[6] Es kommt wie bei der biliären akuten Pankreatitis zu einer Permeabilitätssteigerung des Gangsystems, zu veränderter Sekretion und Zusammensetzung des Gallensafts und zur Gangsklerosierung. Außerdem schädigt Alkohol die Azini direkt und beeinflusst die Motilität des Sphincter Oddi ungünstig.
Bei etwa 15 % der Betroffenen lässt sich kein konkreter Auslöser feststellen, in diesen Fällen spricht man von idiopathischer Genese.
Darüber hinaus kommen auch seltenere Ursachen vor wie:
- Infektionen, z. B. Mumps,[4] Coxsackie-Virus, Hepatitis, HIV, Zytomegalie-Virus
- erhöhter Blutkalziumwert, z. B. bei Nebenschilddrüsenüberfunktion
- stark erhöhte Blutfette (Hypertriglyceridämie)
- Papillen- oder Pankreastumor als obstruierende, die Abflussgänge behindernde, Neubildungen
- iatrogen nach ERCP[4]
- genetisch: Zystische Fibrose
- autoimmune Pankreatitis[7]
- Bauchverletzungen und Traumata[4]
- Pancreas divisum
- als Nebenwirkung von Medikamenten (z. B. Asparaginase, Azathioprin, Furosemid, Glukokortikoide,[4] Antibiotika (Fluorchinolone[8][9][10], Tetracycline, Sulfamethoxazol, Trimethoprim), Antikonvulsiva (Valproat, Carbamazepin), Propofol, Omeprazol und andere)
Symptome
Eine akute Pankreatitis macht sich anfangs durch einen akut auftretenden, heftigen Schmerz im Oberbauch (Epigastrium), der oft gürtelförmig in den Rücken ausstrahlt, bemerkbar. Charakteristisch bei der körperlichen Untersuchung sind ein druckschmerzhaftes Abdomen und ein sogenannter Gummibauch,[4] der durch Meteorismus und (mäßige) Abwehrspannung bedingt ist. Ebenfalls kann es zu Schmerzen im unteren Bereich der Brustwirbelsäule kommen. Dieser Schmerz ist zunächst ähnlich einem leichten Hexenschuss, entwickelt sich aber in der Folge mehr zu einem „Durchstochenwerden“, vom Rücken her hin zum Bereich des Pankreaskopfes auf der Bauchseite. Die Schmerzen werden begleitet von Übelkeit und Erbrechen als Konsequenz der Passagestörung.[4]


Weitere Symptome sind unter anderem Obstipation und Fieber; in schweren Fällen treten Gelbsucht (Ikterus) (bei Verlegung der Gallenwege), Bauchwassersucht (Aszites, sympathische Reizergüsse durch Toxine, Enzyme und Kinine) (bei Verlegung des Pfortadersystems), durch Exsudat (Medizin) verursachte Pleuraergüsse sowie Schock- und Sepsiszeichen hinzu. Bei einem schweren Verlauf beobachtet man mitunter auch bläulich-grünliche Flecken (Ekchymosen) um den Bauchnabel herum (Cullen-Zeichen) oder auch im Flankenbereich (Grey-Turner-Zeichen).
Labordiagnostisch lassen sich eine erhöhte Serumkonzentration der Pankreasenzyme Trypsin, Amylase und Pankreaslipase nachweisen, wobei aber keine Korrelation zwischen dem Ausmaß der Enzymentgleisung und der Schwere der Erkrankung besteht. Auch die Magnesium-, Natrium-, Kalium-, Hydrogencarbonat-, Zucker- oder Fettwerte im Blut können genauso erhöht sein wie die Leukozytenzahl (Leukozytose). Das Serum-Calcium ist gelegentlich vermindert, was einen ungünstigen prognostischen Faktor darstellt.[11][3] Ungefähr 20 % der akuten Pankreatitis-Fälle sind ernst.
Komplikationen
Neben lokalen Komplikationen wie tryptische Andauung benachbarter Organstrukturen, Bildung von Pseudozysten und Thrombosierung im portalvenösen Stromgebiet sind vor allem systemische Auswirkungen der Entzündung auf den Kreislauf, der Patient kann dehydratisieren und einen niedrigen Blutdruck entwickeln oder gar einen Schock. Manchmal kommt es zu Herz-, Lungen- oder Nierenversagen. Der schwere Verlauf ist gekennzeichnet durch eine hämorrhagisch-nekrotisierende Entzündung mit hoher Letalität. Im Jahr 1812 hatte Johann Christian Harleß auf die Möglichkeit des Übergangs einer akuten Pankreatitis in eine chronische Entzündung hingewiesen.[12]
Schweregrade
Nach der aktuellen Atlanta-Klassifikation (2013) wird die milde von der moderaten und der schweren akuten Pankreatitis unterschieden. Eine milde (auch seröse oder ödematöse) selbstlimitierende akute Pankreatitis findet sich in 80 %, eine schwere nekrotisierende in 20 % der Fälle.[4]
Eine veraltete Einteilung unterschied eine ödematöse Form (Frühstadium), eine hämorrhagische Form mit lokalen oder generalisierten Blutungen und eine akute nekrotisierende Form.
Zur Abschätzung des Schweregrads der Pankreatitis können mehrere Scores herangezogen werden, so der APACHE II und der Balthazar Score. In der ärztlichen Behandlung dient der so genannte Ranson-Score[13] der Prognoseabschätzung bei akuter Pankreatitis anhand der in folgender Tabelle genannten Blutwerte:
| bei Klinikeinweisung | nach 48 Stunden | ||
|---|---|---|---|
| Alter > 55 Jahre | 1 Punkt | Hämatokrit-Abfall > 10 % | 1 Punkt |
| Leukozyten > 16 000/mm³ | 1 Punkt | Harnstoff-Anstieg > 1,8 mmol/l (> 5 mg/dl) | 1 Punkt |
| Lactatdehydrogenase (LDH) > 350 U/l | 1 Punkt | Calcium < 2 mmol/l | 1 Punkt |
| Aspartat-Aminotransferase (AST bzw. GOT) > 250 U/l | 1 Punkt | Sauerstoff-Partialdruck (pO2) < 8 kPa (< 60 mm Hg) | 1 Punkt |
| Glukose > 10 mmol/l (ca. 200 mg/dl) | 1 Punkt | Basendefizit > 4 mEq/l | 1 Punkt |
| neg. Flüssigkeitsbilanz > 6 l/48 h | 1 Punkt | ||
| Letalität der akuten Pankreatitis | Beurteilung | ||
|---|---|---|---|
| 0–2 Punkte: | Letalität < 5 % | 0–2 Punkte: | milde Pankreatitis |
| 3–4 Punkte: | Letalität 15–20 % | ≥ 3 Punkte: | schwere Pankreatitis |
| 5–6 Punkte: | Letalität 40 % | ||
| > 6 Punkte: | Letalität > 99 % | ||
Therapie
Bei einer akuten Pankreatitis sollte unverzüglich mit einer großzügigen intravenösen Flüssigkeitsgabe begonnen werden (d. h. durch Infusionen), um einem drohenden Volumenmangelschock vorzubeugen.
Lange Zeit glaubte man, mit Nulldiät das Pankreas an der Produktion zersetzender Enzyme hindern zu können, inzwischen weiß man, dass eine erkrankte Bauchspeicheldrüse kaum Enzyme produziert. Daher kommt der Ernährungstherapie nur noch ein geringer Stellenwert zu. Bei milden Verlaufsformen kann eine gewöhnliche Nahrung weiter eingenommen werden, die eventuell mit Protonenpumpeninhibitoren oder oral substituierten Pankreasenzymen unterstützt werden kann, bei schweren Verlaufsformen mit Darmlähmung wird gegenwärtig eine frühe Ernährung über den Darm empfohlen, dafür wird gegebenenfalls eine spezielle Nasen-Dünndarmsonde eingelegt. Dies senkt signifikant die Komplikationen beispielsweise durch Übertritt von Bakterien über die Darmbarriere.
Zur Vorbeugung eines Stressulkus und zur Vermeidung des Säuresekretionsreizes an der Bauchspeicheldrüse wird die Gabe eines Protonenpumpenblockers wie Omeprazol empfohlen.[14]
Wichtig ist auch die perorale oder intravenöse Schmerztherapie mit den Sphincter Oddi möglichst wenig beeinflussenden Opioiden (Pethidin, Buprenorphin, Tramadol)[15] oder NSAR, da eine Pankreatitis mit erheblichen Schmerzen verbunden ist. Auch eine Schmerztherapie mit Bupivacain oder Ropivacain über einen Periduralkatheter ist bei gleichzeitig günstigem Effekt auf die Darmperistaltik sinnvoll.[15]
Ist die Pankreatitis durch einen eingeklemmten Gallenstein, der zu einer Aufstauung von Galle führt, ausgelöst worden, muss dieser mittels ERCP entfernt werden. Eventuelle Veränderungen der Blutwerte werden mit Infusionen ausgeglichen.
Eine Therapie mit Antibiotika (in Frage kommen Meropenem, Ciprofloxacin und Metronidazol oder Piperacillin/Combactam) wird nur bei ausgeprägten Anzeichen einer Infektion bzw. bei schwerem nekrotisierendem Verlauf[15] als sinnvoll angesehen, da die Mehrzahl der Pankreatitiden primär steril sind und die Gefahr von Superinfektion oder Selektion resistenter Keime[16] besteht. Augenmerk sollte auch auf den Blutzuckerwert gelegt werden, da Pankreatitiden zu einem Mangel an Insulin führen können, was wie beim Diabetes mellitus Typ I zu einer Hyperglykämie führt. Sollten Komplikationen wie Infektionen, Zysten oder Blutungen auftreten, ist unter Umständen ein chirurgischer oder endoskopischer Eingriff zur Entfernung von nekrotischem (abgestorbenem) Gewebe oder zur Entleerung auch mit Hilfe von Drainagen von Zysten angezeigt.
Wenn hohe Triglyzerid-Konzentrationen im Blut von mehr als 1000 mg/dl (schwere Hypertriglyceridämie) die Ursache einer akuten und schweren Pankreatitis sind, kann eine schnelle Absenkung der Triglyzeride durch eine Apherese-Behandlung die Prognose der Patienten deutlich verbessern.[17] Dies ist zum Beispiel mithilfe einer Doppelfiltrations-Plasmapherese (DFPP) möglich.[18] In seltenen Fällen kann bei Patienten mit immer wiederkehrenden Entzündungen der Bauchspeicheldrüse eine regelmäßige Apherese-Behandlung erforderlich werden. Dadurch kann auch die Wahrscheinlichkeit eines Rezidivs geringer werden.[19]
Chronische Pankreatitis
Ursachen
Eine chronische Pankreatitis ist definiert als eine anhaltende entzündliche Erkrankung der Bauchspeicheldrüse. Sie äußert sich in Form von abdominalen Schmerzen und/oder in einem dauernden Funktionsausfall des exokrinen und/oder endokrinen Pankreas. Die Inzidenz steht in direkter Beziehung zum Alkoholkonsum der Bevölkerung und beträgt im Mittel 10/100.000/Jahr. Überwiegend sind Männer im Alter zwischen 30 und 60 Jahren betroffen (Geschlechterverhältnis 9:1).
Bereits 1875 hatte Nicolaus Friedreich als Ursache für die chronische Entzündung der Bauchspeicheldrüse neben längerdauernder Venenstauung und Sekretstauung auch Alkoholabusus angesehen. Bernhard Riedel sah 1898 Gallensteine als Faktor bei der Entstehung einer chronischen Bauchspeichelentzündung an.[20]
Die wichtigste Ursache für eine chronische Pankreatitis bei Erwachsenen ist zu etwa 80 % der Alkoholmissbrauch, wenn täglich im Mittel mehr als 80 g Alkohol über sechs bis zwölf Jahre hinweg konsumiert wird. Doch sollte der Alkohol an sich eher nur als ein Kofaktor für die Entstehung einer chronischen Pankreatitis angesehen werden, da nur etwa zehn Prozent der starken Trinker eine chronische Pankreatitis entwickeln. Das Rauchen gilt als unabhängiger Risikofaktor für die Pathogenese einer chronischen Pankreatitis.
Die hereditäre autosomal-dominante Pankreatitis ist die häufigste Pankreatitis des Kindesalters. Sie führt über wiederholte Schübe akuter Pankreatitis mit selbstverdauenden Nekrosen zu einer chronischen Pankreatitis. Ursache ist eine Mutation im Gen des kationischen Trypsinogens (PRSS1) oder im Gen des Serinproteaseinhibitors SPINK1. Diese beiden Mutationen scheinen die Autoaktivierung von Trypsinogen zu Trypsin im Pankreas zu begünstigen und damit immer wieder zur Entwicklung einer akuten Pankreatitis führen zu können.
Die autoimmune Pankreatitis (AIP) Typ 1 befällt Männer doppelt so häufig wie Frauen[21] und ist mit weiteren Autoimmunerkrankungen wie dem Sjögren-Syndrom oder der primär biliären Cholangitis verbunden. Es handelt sich um eine seltene, vorwiegend in Asien vorkommende, steroidsensitive IgG-Systemerkrankung. Die Diagnose wird über eine IgG4-Erhöhung gestellt. Die AIP Typ 2, die in ca. 30 % der Fälle mit chronisch-entzündlichen Darmerkrankungen assoziiert ist, hat keine IgG4-Erhöhung.
Weitere Ursachen:
- Idiopathisch (keine erkennbare Ursache) in 15 % der Fälle
- Medikamente: Diuretika, Beta-Blocker, ACE-Hemmer, Zytostatika, Antibiotika, Antiepileptika u. a.[11]
- Hyperkalzämie bei Hyperparathyreoidismus
- Hyperlipidämie
- Chronische Niereninsuffizienz
- Genetische Faktoren (siehe oben)
- Tumor, Papillenstenose (Verschluss des Pankreashauptganges, Pancreas divisum)
Pathogenese
Für die Pathogenese der chronischen Pankreatitis gibt es mehrere Erklärungsmodelle.[22] Ein chronischer Alkoholmissbrauch ist nach derzeitigem Stand (2014) nicht als alleinige Ursache für die Entstehung einer Pankreatitis verantwortlich. Zusätzlich zur dauerhaft erhöhten Alkoholeinnahme müssen weitere Faktoren wie z. B. eine genetische Prädisposition kommen. Die exakte Pathogenese ist derzeit nicht abschließend geklärt.[23]
Alkohol und seine Abbauprodukte stehen in Verdacht, direkt die Azinuszellen des Pankreas zu schädigen. Verdauungsenzyme, die im Pankreas normalerweise in inaktiver Form vorkommen, könnten so im Pankreas vorzeitig aktiviert werden und so Pankreasgewebe zerstören. In Tierexperimenten bei Ratten zeigte sich, dass es nach der Gabe von Ethanol zu einer erhöhten Ausschüttung von Verdauungs- und lysosomalen Enzymen aus den Azinuszellen kam.[24] Zusätzlich wurde ebenfalls bei Ratten beobachtet, dass die Zymogengranula, die die inaktiven Vorstufen der Verdauungsenzyme beinhalten, durch Gabe von Ethanol fragiler wurden. Dies könnte eine Rolle in der frühen Phase der Erkrankung spielen, da so lysosomale Enzyme und Verdauungsenzyme im Pankreas miteinander in Kontakt kommen könnten.[25] Als Auslöser hierfür werden Fettsäureethylester sowie oxidativer Stress diskutiert.[23] Zudem wurden bei Ratten nach Gabe von Alkohol eine Vakuolisierung der Azinuszellen, Ödeme und erhöhte Spiegel extrazellulärer Matrixproteine beobachtet, was Hinweise auf direkte Schäden des Pankreasgewebes sein könnten.[23]
Die derzeitige (2014) Haupthypothese beruht auf dem Konzept der Nekrose-Fibrose-Sequenz.[23] Diese geht davon aus, dass die chronische Pankreatitis sich aus einer rezidivierenden akuten Pankreatitis entwickelt. Durch die Einwanderung von Entzündungszellen werden periduktale (in der Nähe der Ausführungsgänge befindliche) Sternzellen zur Kollagensynthese angeregt, was letztlich zu Vernarbungen um die kleinen Pankreasgänge führt.[23]
Die inzwischen als veraltet geltende Pancreatic-Stone-Hypothese[23] postuliert, dass massiver und langjähriger Alkoholmissbrauch die Proteinkonzentration im Pankreassekret erhöht, wodurch es zu Proteinausfällung (Proteinpräzipitate) in den Gängen kommt. Da zusätzlich die Drüsenzellen vermindert pancreatic stone protein sezernieren, das in normaler Konzentration die Kalziumausfällung im Gangsystem verhindert, verkalken die Proteinpräzipitate und werden zu Kalziumkarbonatsteinen. Diese verlegen die kleinen Gänge und führen so nicht nur zu deren Verlegung, sondern auch zur direkten Schädigung des Ganges mit Fibrosebildung. Somit komme es am Ende zu einer kompletten Verlegung der kleinen Gänge, die zur Atrophie des Drüsengewebes hinter der Verengung mit Ersatz zu Bindegewebe führt. Auch wenn diese Theorie heutzutage als veraltet zur Erklärung der Entstehung der Krankheit gilt, könnten diese Verlegungen im Spätstadium der Erkrankung allerdings zu Schmerzen und einer Erhöhung der Frequenz der Schübe beitragen.[23]
Symptome
Das Leitsymptom ist der rezidivierende Schmerz, der nicht kolikartig ist und Stunden bis Tage dauern kann. Der Schmerz liegt in der Tiefe des Oberbauches und kann auf beide Seiten ausstrahlen, sogar bis in den Rücken (gürtelförmig). Das Spätstadium der chronischen Pankreatitis ist oft wieder schmerzfrei.
Des Weiteren kann sich eine Nahrungsintoleranz zeigen, da die Nahrung nicht mehr komplett verdaut werden kann und somit vermehrt Allergene in die Darmepithelzellen aufgenommen werden. Nach längerer Exposition kann es zu einer Typ-IV-Allergie gegen jene zufälligen Allergene kommen, wo Mastzellen diese Allergene unspezifisch ohne Anwesenheit von Antikörpern binden. Dazu kommen Übelkeit und Erbrechen, der Patient verliert an Gewicht.
Durch die Minderfunktion des exokrinen Pankreas werden weniger Verdauungsenzyme in den Dünndarm freigesetzt. Dies führt zur Maldigestion. Fettstuhl, Meteorismus und Durchfall sind die Folge.
Eine endokrine Pankreasinsuffizienz tritt bei bis zu 70 % der Erkrankten mit fortschreitender Entzündung auf. Dabei manifestiert sich ein Insulinmangeldiabetes (sekundärer Diabetes mellitus).
Komplikationen
- Pankreaspseudozysten mit Abszessen
- Milz- und Pfortaderthrombose mit portaler Hypertension
- Stenose des Gallenganges mit Ikterus
- Pankreaskarzinom als Spätkomplikation (insbesondere bei hereditärer Pankreatitis)
Diagnose

Betroffene Patienten zeigen eine Kachexie (Abmagerung). Der Bauch ist gebläht und prallelastisch („Gummibauch“) mit abgeschwächten Darmgeräuschen.
Ebenfalls besteht ein Druckschmerz bei der Palpation zwischen der letzten Rippe links und der Wirbelsäule am so genannten Pankreasdruckpunkt.
Die Pankreasenzyme Amylase und Lipase werden im Blut bestimmt und sind bei einer chronischen Pankreatitis meist erhöht. Im Stuhl werden Chymotrypsin und Elastase gemessen. Als Folge der Entzündung sind die Stuhlkonzentrationen der beiden Enzyme erniedrigt.
Der Sekretin-Pankreozymin-Test dient dem Nachweis einer exokrinen Pankreasinsuffizienz: Der Patient bekommt das Hormon Sekretin intravenös verabreicht und durch eine angelegte Dünndarmsonde wird das Zwölffingerdarmsekret gewonnen. Dann werden die Konzentrationen von Hydrogencarbonat, Chymotrypsin, Amylase und Lipase bestimmt.
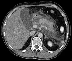
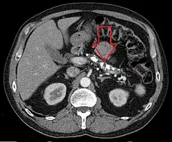
Die erste klare Beschreibung der pathologischen Anatomie der chronischen Pankreatitis stammt von Ch. Dieckhoff (1894).[26] Pankreasverkalkungen werden durch Ultraschall, Röntgenaufnahme des Oberbauches, Computertomografie oder Magnetresonanztomographie nachgewiesen und beweisen eine chronische Pankreatitis. Pankreasgangsteine werden mit der Endoskopisch retrograden Cholangiopankreatikographie bildlich dargestellt.
Therapie
Die einzige kausale Therapie ist Alkoholabstinenz.
- Schmerztherapie
-
- Alkoholkarenz führt in 50 % der Fälle zur Schmerzreduktion.
- Schmerzmittel: nicht-steroidale Antirheumatika (NSAR), Butylscopolamin, Tramadol, Buprenorphin, Pethidin, andere Opioide
- Antidepressiva
- Ganglion-coeliacum-Blockade[27][28]
- Periduralanästhesie
- Therapie der exokrinen Pankreasinsuffizienz
-
- Pankreasenzym-Substitution mit säuregeschützten Präparaten, welche nicht vom Magensaft inaktiviert werden können.[29] Zudem eignen sich Rizoenzyme als säurestabile Alternative nicht tierischen Ursprungs.[30] Die Dosis muss an den Fettgehalt der Mahlzeiten angepasst werden.
- Histamin H-2-Blocker oder ein Protonenpumpenhemmer, um die Produktion des Magensafts zu vermindern.
- Diät mit < 70 g/d Nahrungsfett
- Ausreichende Proteinzufuhr (100–150 g/d), evtl. zusätzlich die Substitution fettlöslicher Vitamine (Vitamine A, D, E und K)
- Therapie der endokrinen Pankreasinsuffizienz
- Beim durch die Entzündung hervorgerufenen Diabetes mellitus Blutzuckerkontrolle mittels Diät und adäquater Insulingaben.
- Endoskopische oder chirurgische Intervention
- Endoskopische Behandlung von Pankreasgangsteinen, Pankreasgangstenosen und Pankreaspseudozysten. Chirurgische Drainageoperationen[31] bzw. Pankreatostomie,[32] Pankreasteilresektionen, früher[33][34] auch Duodenopankreatektomie und totale Pankreatektomien[35] sowie die Splanchnektomie.[36][37]
Literatur
Leitlinien und aktuelle Darstellungen
- S3-Leitlinie Chronische Pankreatitis der Deutschen Gesellschaft für Verdauungs- und Stoffwechselkrankheiten (DGVS). In: AWMF online (Stand 2021)
- Karsten Schwarting: Leber und Pankreas. In: Jörg Braun, Roland Preuss (Hrsg.): Klinikleitfaden Intensivmedizin. 9. Auflage. Elsevier, München 2016, ISBN 978-3-437-23763-8, S. 389–400, hier: S. 396–399 (Akute Pankreatitis).
- Apherese-Standard der Deutschen Gesellschaft für Nephrologie e. V., DGfN (Stand: 2019)
Lehrbücher
- Jürgen F. Riemann, Wolfgang Fischbach, Peter R. Galle, Joachim Mössner (Hrsg.): Gastroenterologie. Das Referenzwerk für Klinik und Praxis. Band 2: Leber, Galle, Pankreas. Thieme, Stuttgart u. a. 2008, ISBN 978-3-13-141201-0, S. 1803–1871.
- Hans-Konrad Biesalski, Peter Fürst, Heinrich Kasper, Reinhold Kluthe, Wolfgang Pölert, Christoph Puchstein, Hannes B. Stähelin: Ernährungsmedizin. Nach dem Curriculum Ernährungsmedizin der Bundesärztekammer. 3., erweiterte Auflage. Thieme, Stuttgart u. a. 2004, ISBN 3-13-100293-X.
Übersichtsarbeiten
- Joan M. Braganza, Stephen H. Lee, Rory F. McCloy, Michael J. McMahon: Chronic pancreatitis. In: Lancet. Band 377, Nr. 9772, April 2011, ISSN 1474-547X, S. 1184–1197, doi:10.1016/S0140-6736(10)61852-1, PMID 21397320 (Review).
- Jean-Louis Frossard, Michael L. Steer, Catherine M. Pastor: Acute pancreatitis. In: Lancet. Band 371, Nr. 9607, Januar 2008, S. 143–152, doi:10.1016/S0140-6736(08)60107-5, PMID 18191686 (Review).
- Wolfgang Huber, Roland M. Schmid: Akute Pankreatitis: Evidenzbasierte Diagnostik und Therapie (PDF; 284 kB). In: Deutsches Ärzteblatt. Jg. 104, Nr. 25, 22. Juni 2007, S. A-1832–A-1841.
- Julia Mayerle, Albrecht Hoffmeister, Heiko Witt, Markus M. Lerch, Joachim Mössner: Chronische Pankreatitis: Definition, Ätiologie, Diagnostik und Therapie. In: Dtsch Arztebl Int. Nr. 110(22), 2013, S. 387–393 (Übersichtsarbeit).
Historische Literatur
- Edward W. Archibald: Some observations on the diagnosis and treatment of subacute and chronic pancreatitis. In: Canadian medical Association. Band 3, 1913, S. 87 ff.
- Theodor Brugsch, Fritz König: Beitrag zur Klinik der Pankreasentzündungen. In: Berliner klinische Wochenschrift. Band 42, 1905, S. 1605–1609.
- Nicolai Guleke: Die neueren Ergebnisse in der Lehre der akuten und chronischen Erkrankungen des Pankreas mit besonderer Berücksichtigung der entzündlichen Veränderungen. In: Ergbnisse der Chirurgie und Orthopädie. Band 4, 1912.
- Louis François Hollender, M. Gillet, J. J. Kohler: Die dringliche Pankreatektomie bei der akuten Pankreatitis. In: Archiv für klinische Chirurgie. Band 328, 1971, S. 314 ff.
- Louis François Hollender, P. Lehnert, M. Wanke: Akute Pankreatitis. Eine interdisziplinäre Synopsis. Unter Mitarbeit von M. Nagel. Mit einem Geleitwort von F. Nagao und G. L. Nardi. Urban & Schwarzenberg, München 1983, ISBN 3-541-10721-9.
- Emil Karl Frey: Zur Therapie der Pankreatitis. In: Therapiewoche. 4, 1953, S. 323 ff.
- Aldo Martina: Über chronische interstitielle Pankreatitis. In: Deutsche Zeitschrift für Chirurgie. Band 87, 1907.
- Otto Nordmann: Neuere Anschauungen über die akute Pankreatitis und ihre Behandlung. In: Archiv für klinische Chirurgie. Band 193, 1938, S. 370 ff.
- J. S. Sarles, H. Sarles: Die chirurgische Behandlung der chronischen Pankreatitis. In: Deutsche medizinische Wochenschrift. Band 90, 1965, S. 237 ff.
- K. Zimmermann: Bauchspeicheldrüse. In: Franz Xaver Sailer, Friedrich Wilhelm Gierhake (Hrsg.): Chirurgie historisch gesehen. Anfang – Entwicklung – Differenzierung. Dustri-Verlag, Deisenhofen bei München 1973, ISBN 3-87185-021-7, S. 89–106, hier: S. 91–94.
Weblinks
- Markus M. Lerch: Akute Pankreatitis - Klinik, Pathogenese und Diagnostik. Internistische Therapie (Klinikum der Ernst-Moritz-Arndt Universität Greifswald)
- Erich Mayer-Fally: Entzündung der Bauchspeicheldrüse. NetDoktor.at
- Chronische Pankreatitis. MedicoConsult
- Patienten-Information zum Thema Bauchspeicheldrüsenerkrankungen. (PDF; 2,5 MB) Europäisches Pankreaszentrum Heidelberg
Anmerkungen
- ↑ K. Zimmermann: Bauchspeicheldrüse. 1973, S. 91 f.
- ↑ Medizinisch-wissenschaftliche Abteilung der Fresenius AG (Hrsg.): Infusionstherapie und klinische Ernährung. 15., durchgesehene Auflage. Fresenius AG, Bad Homburg v. d. H. 1987.
- ↑ a b Hans-Konrad Biesalski, Peter Fürst, Heinrich Kasper, Reinhold Kluthe, Wolfgang Pölert, Christoph Puchstein, Hannes B. Stähelin: Ernährungsmedizin. Nach dem Curriculum Ernährungsmedizin der Bundesärztekammer. 3., erweiterte Auflage. Thieme, Stuttgart u. a. 2004, ISBN 3-13-100293-X, S. 372.
- ↑ a b c d e f g h i Jörg R. Siewert, Martin Allgöwer, Robert Bernhard Brauer, Hubert J. Stein: Chirurgie mit integriertem Fallquiz; mit 159 Tabellen. Springer-Medizin, 2012, ISBN 978-3-642-11330-7.
- ↑ medicalforum.ch
- ↑ der-arzneimittelbrief.de
- ↑ Artikel zu u.a. autoimmuner Pankreatitis auf aerzteblatt.de
- ↑ Hye Young Sung, Jin Il Kim, Hyun Jeong Lee, Hyung Jun Cho, Dae Young Cheung: Acute Pancreatitis Secondary to Ciprofloxacin Therapy in Patients with Infectious Colitis. In: Gut and Liver. Band 8, Nr. 3, Mai 2014, S. 265–270, doi:10.5009/gnl.2014.8.3.265, PMID 24827622, PMC 4026643 (freier Volltext).
- ↑ Ayse Kefeli, Adem Akturk, Abdullah Yeniova, Sebahat Basyigit: Ciprofloxacin induced pancreatitis: Has this condition been overlooked? Band 79, 1. März 2016 (researchgate.net [abgerufen am 18. März 2018]).
- ↑ José Luis Domínguez Jiménez, Enrique Bernal Blanco, Miguel Alonso Marín Moreno, Juan Jesús Puente Gutiérrez: [Acute pancreatitis associated with levofloxacin]. In: Gastroenterologia Y Hepatologia. Band 32, Nr. 4, April 2009, S. 323–324, doi:10.1016/j.gastrohep.2008.09.027, PMID 19371975.
- ↑ a b Gerd Herold: Innere Medizin. Herold, Köln 2007, S. 450.
- ↑ K. Zimmermann: Bauchspeicheldrüse. 1973, S. 93.
- ↑ John H. Ranson: Etiological and Prognostic Factors in Human Acute Pancreatitis: A Review. In: American Journal of Gastroenterology. Band 77, Nr. 9, 1982, ISSN 0002-9270, S. 633–638, PMID 7051819.
- ↑ Karsten Schwarting: Leber und Pankreas. In: Jörg Braun, Roland Preuss (Hrsg.): Klinikleitfaden Intensivmedizin. 9. Auflage. Elsevier, München 2016, ISBN 978-3-437-23763-8, S. 389–400, hier: S. 396–399 (Akute Pankreatitis).
- ↑ a b c Karsten Schwarting: Leber und Pankreas. 2016, S. 398 (Schmerzbekämpfung und begleitende Therapie).
- ↑ Marianne Abele-Horn: Antimikrobielle Therapie. Entscheidungshilfen zur Behandlung und Prophylaxe von Infektionskrankheiten. Unter Mitarbeit von Werner Heinz, Hartwig Klinker, Johann Schurz und August Stich. 2., überarbeitete und erweiterte Auflage. Peter Wiehl, Marburg 2009, ISBN 978-3-927219-14-4, S. 124 f.
- ↑ A. Padmanabhan, L. Connelly-Smith, N. Aqui, R. A. Balogun, R. Klingel, E. Meyer, H. P. Pham, J. Schneiderman, V. Witt, Y. Wu, N. D. Zantek, N. M. Dunbar, G. E. J. Schwartz: Guidelines on the Use of Therapeutic Apheresis in Clinical Practice - Evidence-Based Approach from the Writing Committee of the American Society for Apheresis: The Eighth Special Issue. In: J Clin Apher. Band 34, Nr. 3, Juni 2019, S. 171–354, PMID 31180581.
- ↑ Chiz-Tzung Chang, Tsung-Yu Tsai, Hsin-Yi Liao, Chia-Ming Chang, Jyun-Shan Jheng, Wen-Hsin Huang, Che-Yi Chou, Chao-Jung Chen: Double filtration plasma apheresis shortens hospital admission duration of patients with severe hypertriglyceridemia-associated acute pancreatitis. In: Pancreas. Band 45, Nr. 4, April 2016, S. 606–612, PMID 26491906.
- ↑ C. Grupp, J. Beckermann, E. Köster, S. Zewinger, M. Knittel, T. Walek, B. Hohenstein, B. Jaeger, R. Spitthöver, R. Klingel, C. M. Fassbender, B. Tyczynski: Relapsing and Progressive Complications of Severe Hypertriglyceridemia: Effective Long-Term Treatment with Double Filtration Plasmapheresis. In: Blood Purification. März 2020, S. 1–11, PMID 32191938.
- ↑ K. Zimmermann: Bauchspeicheldrüse. In: Franz Xaver Sailer, Friedrich Wilhelm Gierhake (Hrsg.): Chirurgie historisch gesehen. Anfang – Entwicklung – Differenzierung. Dustri-Verlag, Deisenhofen bei München 1973, ISBN 3-87185-021-7, S. 89–106, hier: S. 93.
- ↑ S3-Leitlinie Chronische Pankreatitis ( des vom 23. September 2015 im Internet Archive; PDF) Info: Der Archivlink wurde automatisch eingesetzt und noch nicht geprüft. Bitte prüfe Original- und Archivlink gemäß Anleitung und entferne dann diesen Hinweis., S. 14.
- ↑ Werner Böcker, Helmut Denk, Philipp U. Heitz (Hrsg.): Pathologie. 3., völlig überarbeitete Auflage. Urban & Fischer, München u. a. 2004, ISBN 3-437-42381-9, S. 812–815.
- ↑ a b c d e f g H. Witt: Pathogenese der chronischen Pankreatitis. In: Pathogenese der chronischen Pankreatitis. Volume 9, Issue 1, Januar 2014, ISSN 1861-9681, S. 6–13.
- ↑ M. V. Apte, J. S. Wilson, G. W. McCaughan, M. A. Korsten, P. S. Haber, I. D. Norton, R. C. Pirola: Ethanol-induced alterations in messenger RNA levels correlate with glandular content of pancreatic enzymes. In: J Lab Clin Med. 1995 May;125(5), S. 634–640.
- ↑ P. S. Haber, J. S. Wilson, M. V. Apte, M. A. Korsten, R. C. Pirola: Chronic ethanol consumption increases the fragility of rat pancreatic zymogen granules. In: Gut. Oktober 1994, 35 (10), S. 1474–1478.
- ↑ K. Zimmermann: Bauchspeicheldrüse. 1973, S. 93.
- ↑ Vgl. W. S. Ogle, L. A. French: Relief of pain in chronic relapsing pancreatitis with sympathetic denervation. In: Ann. Surg. Band 143, 1956, S. 504.
- ↑ R. B. Pfeffer, J. W. Hinton: Pancreatic function studies before and after thoracolumbar sympathectomy and splanchnicectomy for chronic relapsing pancreatitis. In: Surgery. Band 40, 1956, S. 311 ff.
- ↑ Bereits 1864 versuchte Joseph Fles die Verdauungsstörungen durch Gabe von frischem Kälberpankreas als eine Art von Fermentsubstitution zu behandeln. Vgl. K. Zimmermann: Bauchspeicheldrüse. In: Franz Xaver Sailer, Friedrich Wilhelm Gierhake (Hrsg.): Chirurgie historisch gesehen. Anfang – Entwicklung – Differenzierung. Dustri-Verlag, Deisenhofen bei München 1973, ISBN 3-87185-021-7, S. 89–106, hier: S. 93.
- ↑ Ernst-Albert Meyer: Verdauungsbeschwerden: Pflanzliche Enzyme als Therapieoption. In: PTA-Forum, Ausgabe 04/2008.
- ↑ Vgl. etwa C. B. Puestow, J. W. Gillesby: Retrograde surgical drainage of pancreas for chronic relapsing pancreatitis. In: Arch. Surg. Band 76, 1958, S. 898 ff.
- ↑ Vgl. G. Link: Treatment of chronic pancreatitis by pancreatostomie. In: Annales of Surgery. Band 53, 1911, S. 768 ff.
- ↑ Vgl. K. Zimmermann: Bauchspeicheldrüse. 1973, S. 93 f.
- ↑ Vgl. auch W. J. Fry, Charles Gardner Child: Ninety–five per cent pancreatectomy for chronic pancreatitis. In: Annales of Surgery<. Band 162, 1965, S. 543 ff.
- ↑ Vgl. auch W. P. Longmire jr., Paul H. Jordan jr., J. P. Briggs: Experience with resection of the pancreas in the treatment of chronic relapsing pancreatitis. In: Annales of Surgery. Band 144, 1956, S. 681 ff., und G. T. Watts: Total pancreatectomy for fulminant pancreatitis. In: Lancet. Band 2, 1963, S. 384.
- ↑ Karl Vossschulte, E. Wagner: Splanchnektomie bei chronischer Pankreatitis. In: Deutsche medizinische Wochenschrift. Band 94, 1969, S. 685 ff.
- ↑ Vgl. auch L. Zuckschwerdt, H. A. Treu, U. Treu: Probleme der chirurgischen Therapie der chronischen Pankreatitis. In: Medizinische Welt. 1965, S. 1465 ff.