Hyperglykämie
| Klassifikation nach ICD-10 | |
|---|---|
| R73 | Erhöhter Blutglukosewert |
| ICD-10 online (WHO-Version 2019) | |
| Klassifikation nach ICD-11 | |
|---|---|
| MA18.0 | Erhöhter Blutglukosewert |
| ICD-11: Englisch • Deutsch (Entwurf) | |
Hyperglykämie (altgriechisch ὑπέρ hyper „über“, γλυκύς glykys „süß“ und αἷμα haima „Blut“, umgangssprachlich auch Überzucker) ist eine krankhaft vermehrte Menge an Glukose im Blut (Blutzucker).[1] Eine akute Hyperglykämie zeigt sich im Glukosespiegel, eine langfristige im HbA1c-Spiegel des Bluts.
Hyperglykämie ist das Leitsymptom des Diabetes mellitus (Zuckerkrankheit), bei der die notwendige Regulation des Nährstoffes Glukose gestört ist, sodass dieser ab einer Höhe von etwa 180 mg/dl, der sogenannten Nierenschwelle, auch über den Urin ausgeschieden wird. Die bei einer Hyperglykämie auftretenden Symptome reichen kurzfristig von Durstgefühl und trockenem Mund über vermehrte Urinausscheidung (Polyurie) und Sehstörungen bis hin zum unbehandelt tödlich verlaufenden hyperglykämischen Koma. Langfristig ist die Hyperglykämie wesentlich an den klassischen Folgen einer Zuckererkrankung wie Schlaganfall, Verlust der Sehkraft oder Nierenschwäche beteiligt. Ihre Behandlung besteht in einer Regulation des Glukosespiegels im Blut mittels geeigneter Maßnahmen, wie beispielsweise der Gabe von Insulin.
Der Begriff Hyperglykämie war unterschiedlich definiert. So ging die Medizin bis zum Ende des 19. Jahrhunderts davon aus, dass jegliches Vorkommen von Zucker im Blut als krankhaft angesehen werden müsse. 1885 wurde erkannt, dass Zucker auch im Blut gesunder Personen vorkommt und erst bei einem Wert von etwa 210 bis 260 mg/dl eine vermehrte Urinausscheidung das Zeichen einer Krankheit ist. Der Blutzuckerspiegel liegt nach heutiger Definition bei Gesunden nüchtern nicht über 100 mg/dl und nach einem Zuckerbelastungstest (oGTT) nicht über 140 mg/dl. Bei Zuckerkranken liegt er nüchtern über 125 mg/dl und bei oGTT über 200 mg/dl. Der „Graubereich“ dazwischen wird auch als intermediäre Hyperglykämie bezeichnet und birgt statistisch ein erhöhtes Risiko, an Diabetes mellitus zu erkranken.[2]
Vorkommen
Der Blutzuckerspiegel sollte bei Gesunden nüchtern (also mindestens 8 Stunden nach der letzten Zufuhr an Nahrungsenergie) unter 100 mg/dl und nach einem Zuckerbelastungstest unter 140 mg/dl liegen.[2] Nimmt der Körper Nahrung auf, dann werden Glukose und andere Zucker, von Ausnahmen abgesehen, über den Darm aufgenommen und über den Pfortaderkreislauf (enterohepatischen Kreislauf) zur Leber geführt, bevor sie ins Blut gelangen. Durch verschiedene Regulationsmechanismen wird der Blutzuckerspiegel dort bei Gesunden langfristig bei etwa 70 bis 80 mg/dl konstant gehalten. Steigt nun infolge einer kohlenhydratreichen Nahrungszufuhr der Glukosespiegel im enterohepatischen Kreislauf, werden die Betazellen der Bauchspeicheldrüse angeregt, das blutzuckersenkende Hormon Insulin auszuschütten, um so den Glukosespiegel im Blut konstant zu halten. Versagt diese Regulation oder verliert das Insulin seine Wirkung, kommt es zu kurz- oder langfristiger Hyperglykämie.
Die Hyperglykämie ist das Leitsymptom für einen Diabetes mellitus, ist für diesen allerdings kein sicheres Kriterium. Denn auch ein Morbus Cushing (erhöhter Cortisonspiegel), eine Akromegalie (erhöhter Wachstumshormonspiegel), ein Phäochromozytom (erhöhte Spiegel von Adrenalin und Noradrenalin), eine Hyperthyreose (beispielsweise infolge eines Morbus Basedow), Eisenablagerungen in den Betazellen des Pankreas (Hämochromatose) und Medikamente können sie auslösen. Sie kann ebenso bei Infekten, nach Herzinfarkt, Schlaganfall oder Narkosen auftreten.[3] Bei Hündinnen kann es aufgrund hoher Progesteron-Spiegel in der Zwischenbrunst zu einem Blutzuckeranstieg im Blut kommen, bei Katzen kann Stress eine langanhaltende Hyperglykämie auslösen.[4]
Entstehung

Es gibt unterschiedliche Gründe, warum der Körper den Blutzuckerspiegel nicht im physiologischen Bereich stabilisieren kann. Die häufigsten Ursachen für eine Erhöhung des Blutzuckerspiegels sind ein vermindertes Ansprechen zuckerspeichernder Zellen wie Fett- und Muskelzellen auf Insulin (Insulinresistenz) durch Überkonsum (Zivilisationskrankheit) von Kohlenhydraten und Zucker oder eine verminderte Insulinausschüttung der Bauchspeicheldrüse. In ersterem Fall kann die Insulinausschüttung sogar erhöht sein. Deshalb rät die Weltgesundheitsorganisation zur Zuckersteuer um einen spürbaren Rückgang des Zuckerkonsums zu erreichen, damit weniger Menschen an Übergewicht, Adipositas und Zuckerkrankheit leiden.[5][6][7]
Der Spiegel des Wachstumshormons (Somatropin) ist beim gesunden Menschen nur dann erhöht, wenn der Insulinspiegel zu niedrig ist. Es steigert den Blutzuckerspiegel, indem es sowohl die Aufnahme von Zucker in Fett- und Muskelzellen hemmt, als auch den Zuckerverbrauch durch eine vermehrte Bereitstellung von Fetten (Fettsäureoxidation) insbesondere im Muskel reduziert. Sind beide Hormone erhöht, kann es zu einer Hyperglykämie kommen, weil die blutzuckersenkende Wirkung des Insulins an den zuckerspeichernden Zellen dann eingeschränkt ist.[8][9]
Cortisol steigert den Blutzuckerspiegel. Dabei regt es insbesondere die Neubildung von Zucker im Körper an und vermindert gleichzeitig den Zuckerverbrauch. Daher wirkt es dem blutzuckersenkenden Insulin entgegen. Ist ein Übermaß an Cortisol vorhanden (Cushing-Syndrom, Stress), steigt der Blutzuckerspiegel.
Adrenalin und Noradrenalin führen gleichzeitig zu vermehrter Neubildung und Freisetzung von Glukose sowie zu einer Hemmung der Insulinausschüttung.[10] Erhöhte Spiegel, wie sie beispielsweise beim Phäochromozytom vorkommen, führen zur Hyperglykämie.
Bei einer Schilddrüsenüberfunktion werden Glykogenolyse und Glukoneogenese angeregt, bei der Hämochromatose führt der erhöhte Eisenspiegel in der Bauchspeicheldrüse zu Siderose und Fibrose, wobei dann auch die Funktion der insulinbildenden Beta-Zellen beeinträchtigt wird.[11] Beim Glukagonom bewirkt ein erhöhter Glukagonspiegel eine Zunahme der Glukoneogenese bei gleichzeitiger Abnahme von Glykogenolyse und Glukoseverbrauch.
Schwere Erkrankungen wie Herzinfarkt, schwere Infekte oder Traumata können ebenso wie Narkosen eine Hyperglykämie bewirken. Ursache ist der davon ausgelöste Postaggressionsstoffwechsel, bei dem es zu einer peripheren Insulinresistenz kommt, wobei dann auch die Gabe von Insulin nicht zu einer ausreichenden Senkung des Blutzuckerspiegels führt.[12] Als Sonderfall einer morgendlichen Hyperglykämie bei laufender Insulintherapie gelten: Der Somogyi-Effekt, bei dem es beispielsweise infolge überhöhter abendlicher Insulingabe zu einer nächtlichen Hypoglykämie und anschließender reaktiver Hyperglykämie kommt. Als Dawn-Phänomen bezeichnet man die Hyperglykämie, die entsteht, wenn der vermehrte Insulinbedarf in der zweiten Nachthälfte infolge der zu diesem Zeitpunkt gesteigerten GH-Ausscheidung nicht kompensiert wird, beispielsweise infolge des nächtlichen Wirkabfall eines Verzögerungsinsulins nach morgendlich einmaliger Gabe.[13]
Klinische Erscheinungen

Die Symptome einer Hyperglykämie hängen von Ausmaß und Zeitdauer des erhöhten Blutzuckerspiegels ab. Eine typische Kombination von Symptomen, die den Verdacht auf eine Hyperglykämie (und damit auf einen Diabetes mellitus) als Ursache lenkt, ist häufiges Urinieren großer Harnmengen bei gleichzeitig bestehendem vermehrten Durstgefühl trotz großer Trinkmengen. Dazu kommen nicht selten unspezifische klinische Zeichen wie Austrocknung, Schwäche, Schwindel, Sehstörungen, Bauchschmerzen, Übelkeit, Erbrechen, abgeschwächte Muskelreflexe, trockener Mund und trockene Haut. In schweren Fällen, die zum hyperglykämischen Koma führen, sind die Patienten dann zunehmend bewusstlos und können unbehandelt auch daran versterben.
Akute kurzzeitige Hyperglykämien können beispielsweise zwar mittels Zuckerbelastungstest erfasst werden, verursachen aber keine typischen klinischen Symptome, solange sie die Nierenschwelle (etwa 180 bis 200 mg/dl) nicht überschreiten. Ihre klinische Bedeutung, insbesondere im Hinblick auf die Ausbildung von Folgeschäden, hängt von ihrer Häufigkeit und Dauer ab und kann mittels des HbA1c abgeschätzt werden. Wird die Nierenschwelle überschritten, kommt es, insbesondere durch die wasserbindende Eigenschaft des Zuckers und der damit verbundenen Reduzierung der Wasserrückresorption aus dem Primärharn in den Nieren, zu einer vermehrten Urinausscheidung. Die dabei ausgelöste, zunehmende Austrocknung des Körpers ist für das Durstgefühl verantwortlich. Kann die Trinkmenge den Flüssigkeitsverlust nicht adäquat ersetzen, so kommt es zur Exsikkose. Wird diese Krankheitsentwicklung nicht erkannt und behandelt, entsteht, insbesondere bei sehr hohen Blutzuckerwerten (> 600 mg/dl) über Tage hinweg, eine Trübung des Bewusstseins bis hin zum hyperosmolaren Koma. Insgesamt besteht beim hyperosmolaren Koma ein relativer Insulinmangel, sodass nicht selten zu wenig Insulin vorhanden ist, um die Lipolyse ausreichend zu hemmen. So entsteht durch die Ketonkörperbildung eine, meist jedoch relativ moderat ausgeprägte metabolische Azidose, eine Übersäuerung des Blutes. Eine zweite Form von mit Hyperglykämie einhergehender Bewusstseinstrübung ist das ketoazidotische Koma, bei dem der Blutzuckerspiegel deutlich niedriger als beim hyperosmolaren Koma sein kann. Dabei ist allerdings weniger das Austrocknen ursächlich, sondern das vollständige Fehlen von Insulin als Ursache einer in aller Regel viel stärker ausgeprägten Azidose als beim hyperosmolaren Koma. Die Azidose entsteht dabei durch eine mangels Insulin ungehemmte Lipolyse und die damit verbundene Ketonkörperbildung. Das hyperosmolare Koma tritt so eher bei Diabetes vom Typ II (noch vorhandene Insulinproduktion) und das ketoazidotische eher bei Diabetes Typ I (Fehlen von Insulin) auf. Bei letzterem kann die Hyperglykämie als begleitendes Symptom, aber nicht wie beim hyperosmolaren als ursächlicher Zustand angesehen werden.
Sehstörungen bei Schwankungen des Blutzuckerspiegels werden in akuten Fällen weniger auf die diabetische Retinopathie zurückgeführt als auf einen veränderten Wassergehalt der Linse und des Glaskörpers. Bauchschmerzen können ebenfalls eine Hyperglykämie begleiten und dann sogar einem akuten Abdomen gleichen. Ursache ist in diesen Fällen eine Pseudoperitonitis diabetica, ausgelöst durch eine Hyperperistaltik des Magen-Darm-Traktes infolge Azidose.[14] Die Abschwächung der Muskelreflexe (beispielsweise des Patellarsehnenreflexes) wird im Zusammenhang mit einer Hyperglykämie als erstes Zeichen eine diabetischen Polyneuropathie gewertet, eine Azidose als solche führt jedoch auch unabhängig vom Blutzuckerspiegel zu einer Abnahme der Kontraktionsgeschwindigkeit der Muskulatur.[15]
Bei langfristiger Hyperglykämie kommt es zur unkontrollierten Anlagerung von Zucker an Proteine (endogene Glykation), wodurch Glykoproteine, sogenannte AGEs (advanced glycation endproducts) entstehen. Diesen kommt klinisch eine besondere Bedeutung zu. In der Diagnostik findet HbA1c als Glykoprotein des Hämoglobins Verwendung. Insbesondere die Schädigung der Basalmembran ist bedeutsam. Durch dortige Ablagerungen der AGEs verändert sie ihre Eigenschaften. Sie wird dadurch grobporiger und verliert negative Ladungsträger. Eine Mikroangiopathie entsteht. So ändern sich beispielsweise auch ihre elektrostatischen und mechanischen Filtereigenschaften in den Nieren, wodurch sie für Eiweiße wie Albumin durchlässig werden und als Folge Proteine im Urin und im weiteren Verlauf eine Niereninsuffizienz auftritt. Als weitere Folgeschäden der Mikroangiopathie gelten diabetische Retinopathie, Neuropathie und periphere Makroangiopathie. Diese unkontrollierte Anlagerung von Zucker betrifft auch die Zellmembran der roten Blutkörperchen sowie andere Lipo- und Seroproteine.[16][17]
Untersuchungsmethoden

Die Messung des Blutzuckers erfolgt apparativ in der Regel aus kapillarem oder venösem Blut. Orientierend kann auch eine Messung des Zuckergehaltes des Urins Informationen liefern (Nierenschwelle). Die Angabe der Höhe des Blutzuckerspiegels erfolgt von den Geräten in aller Regel in der Einheit mg/dl (Milligramm pro Deziliter), kann aber in seltenen Fällen auch in mmol/l (Millimol pro Liter) erfolgen, wobei dann 1,000 mg/dl etwa 0,05549 mmol/l entspricht.
Neben einer exakten laborchemisch quantitativen Analyse (beispielsweise mittels der Reduktionsmethode nach Hagedorn-Jensen[18]) im Regelfall sind insbesondere in Notfallsituationen, aber auch zur Selbstkontrolle möglichst zuverlässige Erfassungen der Größenordnung einer Hyperglykämie wichtig (semiquantitative Analyse). Dazu sind Schnelltests geeignet, bei denen das Blut auf einen Teststreifen gegeben wird und dort zu einer Verfärbung führt. Diese Verfärbungen werden dann optisch mittels eines Blutzuckermessgerätes ausgelesen. Es gibt auch Teststreifen, die ohne Hilfsmittel, also mit bloßem Auge eine sinnvolle Abschätzung zulassen. Im Urin verbrauchen typischerweise Mikroorganismen, im Blut rote Blutkörperchen Glukose. Daher können Messwerte von Proben, die bereits längere Zeit ungeeignet gelagert waren, falsch niedrige Werte aufweisen.
Zur Beurteilung des langfristigen Verlaufes des Blutzuckerspiegels ist die Bestimmung des Glykohämoglobins HbA1c aus dem venösen Blut geeignet. Ihr liegt die Tatsache zugrunde, dass abhängig von der Höhe des Zuckerspiegels im Blut sich mehr oder weniger Zucker an das Hämoglobin bindet (Glykation). So zeigt der HbA1c-Spiegel den durchschnittlichen Zuckerspiegel der vergangenen 6 bis 8 Wochen an. Phasen von Hypoglykämie und Hyperglykämie, die einander abwechseln, können auf diese Weise sogar einen normalen HbA1c-Spiegel bewirken und so fälschlich normale Blutzuckerwerte annehmen lassen.
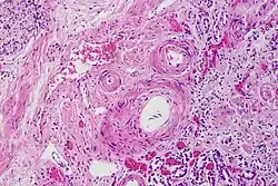
Pathologie
- Darstellung der Basalmembran
-
Schematische Darstellung der Basalmembran. lm auch lichtmikroskopisch, em nur elektronenmikroskopisch erkennbar -
Aufnahme der Basalmembran und der nur elektronenmikroskopisch darstellbaren Basallamina
Eine Hyperglykämie kann pathologisch-anatomisch (auch im Falle des Todes infolge einer Form des diabetischen Komas) kaum mit ausreichender Sicherheit nachgewiesen werden. Ursächlich dafür ist die nach Eintritt des Todes eintretende Autolyse. So verschwinden beispielsweise die Granula in den B-Zellen sehr schnell, lediglich der Gehalt des Liquors an Laktose und Glukose ist nach einem diabetischen Koma erhöht. Erkennbar bleiben nach dem Ableben natürlich langfristige, strukturelle Veränderungen wie die Amyloidose der Langerhans-Inseln oder eine Glomerulosklerose.[19]
Langfristig führt die Hyperglykämie zu einer Glykosylierung (ohne Beteiligung von Enzymen, daher wird sie auch als Glykation bezeichnet) unterschiedlicher Proteine. Eine wesentliche Folge ist die Mikroangiopathie durch die Veränderung der Basalmembran von Kapillaren. Diese stellt sich dabei verdickt dar. Da bereits vor Auftreten von Spätfolgen ihre Permeabilität gestört ist, kommt es zur Zunahme von Albumin im Gewebe außerhalb der Kapillaren (Extrakapillarraum). Das gilt nicht nur für Bereiche, in denen typische Spätfolgen wie diabetische Retinopathie, Neuropathie, periphere Makroangiopathie und Niereninsuffizienz auftreten, sondern auch für andere Bereiche wie beispielsweise die Muskulatur.[17][20][21]
Behandlung
Bei der Behandlung muss zwischen akutem Eingreifen und langfristiger Behandlung (→ Behandlung des Diabetes mellitus) unterschieden werden. Zudem ist sie abhängig von der Ausprägung der Hyperglykämie.
Werden beispielsweise im Rahmen einer Vorsorgeuntersuchung leicht erhöhte Blutzuckerwerte gefunden, so sind keine akuten, blutzuckersenkenden Maßnahmen angezeigt, sondern weitere Diagnostik. Wird durch einen Blutzuckerbelastungstest eine gestörte Glukosetoleranz aufgedeckt, ohne dass der HbA1c-Spiegel erhöht ist, so sind in der Regel Verbesserungen des Lebensstils wie diätetische Maßnahmen unter besonderer Berücksichtigung des glykämischen Indexes von Lebensmitteln ausreichend.[2] Ist gleichzeitig der HbA1c-Spiegel im Sinne eines manifesten Diabetes mellitus moderat erhöht, so ist zu prüfen, inwieweit diätetische Maßnahmen ausreichen, oder aber die Gabe von Medikamenten notwendig ist.
Bei stark erhöhten Werten ab etwa 250 mg/dl (13,9 mmol/l) bis 300 mg/dl (16,7 mmol/l) ist auch bei Abwesenheit von Begleitsymptomen ein rasches Handeln mit dem Ziel, den Blutzucker zu normalisieren und so ein diabetisches Koma zu verhindern, angezeigt. Zur akuten Therapie eignet sich besonders die Gabe von Insulin.
Liegt bereits ein diabetisches Koma vor, so ist ein notfallmedizinisches Eingreifen notwendig. (→ Diabetisches Koma, Abs. Therapie)
Vorbeugung und Heilungsaussicht
Bei Gesunden ist, abgesehen von der allgemein gültigen Regel einer gesunden Lebensführung, keine gezielte Vorbeugung angezeigt, ist doch der Körper von sich aus in der Lage, den Blutzuckerspiegel in normalen Grenzen zu halten. Besteht jedoch eine Zuckerstoffwechselstörung, so sind regelmäßige Kontrollen bei gleichzeitig guter Therapietreue wesentlich, nicht nur im Hinblick auf eine Komavorbeugung, sondern besonders im Hinblick auf die bestmögliche Verhinderung von Begleit- und Folgeerkrankungen, insbesondere der Glykosylierung unterschiedlicher Proteine und der damit verbundenen Veränderungen der Basalmembran der Kapillaren (siehe auch Abschnitt Pathologie).[2]
Geschichte
Die bekannteste Auswirkung der Hyperglykämie, das Auftreten der Polyurie, war bereits in der Antike bekannt. Eine der ältesten überlieferten Beschreibungen stammt von Aretaios im 2. Jahrhundert n. Chr. Auch das Auftreten von honigartig schmeckendem Urin ist seit langem bekannt, den erstmaligen Nachweis von Zucker im Urin führte jedoch erst 1776 Matthew Dobson durch. Der Zuckernachweis im Urin erfolgte damals mittels Hefe-Gärungsproben.
Das Vorhandensein von Zucker im Blut, insbesondere auch von Diabetikern, war in der ersten Hälfte des 19. Jahrhunderts Gegenstand der wissenschaftlichen Untersuchung. Mit der damals üblichen Methode der Blutuntersuchung nach William Hyde Wollaston konnte kein entsprechender Nachweis geführt werden.[22][23][24]
1839 beschreibt Friedrich Ludwig Hünefeld den Einsatz von Schwefelsäure zur Untersuchung des Urins auf Zucker (nach Runge) als sensibler als den der Gärung und hält den Einsatz dieser Methode auf eine entsprechende Untersuchung des Blutes für möglich.[25] Die erste eigentliche chemische Zuckerprobe, auch Trommersche Probe genannt[26], wurde 1841 von Karl August Trommer (1806–1897) eingeführt.[27] Weitere Zuckerproben wurden 1844 (von John Moore und Johann Florian Heller) und 1848 (von Hermann von Fehling) entwickelt.[28] Die erste chemische Methode, die eine brauchbare Abschätzung des Blutzuckerspiegels zuließ, war die Pettenkofersche Zuckerprobe. Nach Zugabe von Gallenlösung und Schwefelsäure zum Blutserum tritt dabei durch Erwärmung eine Verfärbung auf, die abhängig vom Blutzuckerspiegel ist. Diese Methode wurde 1844 von Pettenkofer beschrieben[29] und auch 1847 im Rahmen einer Kasuistik erwähnt, also klinisch eingesetzt.[30]
1868 wurde ein Zusammenhang zwischen der Höhe des Blutzuckers und der Polyurie bezweifelt.[31] Es gab aber bereits entsprechende Thesen.[32]
Im selben Jahr wurde auch die Ansicht vertreten, dass „… der Organismus die Anwesenheit von Zucker im Kreislauf gar nicht duldet, sondern immer bemüht ist, denselben durch den Harn zur Ausscheidung zu bringen. …“ (zitiert nach Schultz[33]). Die Medizin ging noch in 70er Jahren des 19. Jahrhunderts davon aus, dass sich im Blut Gesunder kein Zucker befindet und damit dessen bloße Anwesenheit auch als krankhaft im Sinne des Begriffes der Hyperglykämie zu betrachten ist.[34] In diesem Zusammenhang ist jedoch zu bemerken, dass zum damaligen Zeitpunkt die Wissenschaftler immer noch versuchten, den Diabetes, also die Harnruhr mittels der galenischen Säftelehre, als Ausscheidung schwarzer Galle, die unergründlicherweise süß schmeckt, zu erklären. In den 1880er Jahren dann wurde die Idee des Karlsbader Arztes Carl Hertzka aufgegriffen, die die Ausscheidung des zuckerhaltigen Harns in übermäßiger Menge als Zeichen einer zugrunde liegenden Krankheit und nicht als Krankheit per se postulierte. Das Stadium vor Auftreten der Harnruhr nannte er „passives Stadium des Diabetes“.[35] Damit öffnete er letztlich das Tor zum heutigen Verständnis von Hyperglykämie als Leitsymptom des Diabetes mellitus, obwohl es auch ihm nicht gelang, einen Zusammenhang zwischen Blutzuckerspiegel und dem Auftreten der Glukos-/Polyurie herzustellen.
1885 wurde das normale Blut dann als zuckerhaltig beschrieben und ebenfalls bemerkt, dass bei einer Steigerung seines Zuckergehaltes auf 0,25 bis 0,30 % (entspricht nach der heutigen Nomenklatur etwa 210 bis 260 mg/dl) zeitweise Zucker in den Urin übertritt, was ja auch bereits in früheren Jahren als pathologisch angesehen worden war.[36] Es hat also bis zu diesem Zeitpunkt gedauert, bis festgestellt worden war, dass Zucker auch im Blut Gesunder zirkuliert (Normoglykämie) und dass ab einer gewissen Menge (heute wird diese Grenze als „Nierenschwelle“ bezeichnet) Zucker im Urin aufzufinden ist und somit eine Hyperglykämie (also ein krankhaftes Zuviel an Zucker im Blut) definiert wurde. 1952 beschreibt Herders Volkslexikon als Normalwert 3,0 Gramm Zucker (0,07 %) in der Blutflüssigkeit (2800 ml) von 5 Litern Blut.[37] Das entspricht nach den heute geläufigen Einheiten etwa 60 mg/dl. 1959 wurde der normale Blutzuckerspiegel bereits als zwischen 70 und 120 mg% (entspricht mg/dl) liegend definiert (Hagedorn-Jensen-Methode – eine Reduktionprobe gegen Ferricyankali[38]) und entsprach damit bereits fast der heute gültigen Norm.[39]
Literatur
- Helmut Schatz (Hrsg.): Diabetologie kompakt. Grundlagen und Praxis. 4., erweiterte und aktualisierte Auflage. Thieme, Stuttgart u. a. 2006, ISBN 978-3-13-137724-1.
- Hellmut Mehnert, Eberhard Standl, Klaus-Henning Usadel, Hans-Ulrich Häring (Hrsg.): Diabetologie in Klinik und Praxis. Thieme, Stuttgart 2003, ISBN 3-13-512805-9 (eingeschränkte Vorschau in der Google-Buchsuche).
Weblinks
Einzelnachweise
- ↑ Adolf Faller, Michael Schünke: Der Körper des Menschen: Einführung in Bau und Funktion. 15., komplett überarbeitete Auflage, Thieme, Stuttgart 2008, ISBN 978-3-13-329715-8, S. 371.
- ↑ a b c d Nationale Versorgungsleitlinie NVL Therapie des Typ-2-Diabetes. Langfassung, 1. Auflage; Volltext. (PDF; 4,6 MB) ddg.info
- ↑ K. Dörner: Klinische Chemie und Hämatologie: 69 Tabellen. Thieme, Stuttgart 2009, ISBN 3-13-129717-4, S. 148 (eingeschränkte Vorschau in der Google-Buchsuche).
- ↑ R. W. Nelson: Diabetes mellitus. In: Ettinger, Feldman (Hrsg.): Textbook of Veterinary Internal Medicine. Band 2, 5. Auflage. Saunders, Philadelphia 2000, ISBN 0-7216-7256-6, S. 1438–1460.
- ↑ WHO fordert: Limo und Cola müssen teurer werden. Süddeutsche Zeitung, 11. Oktober 2016.
- ↑ WHO urges global action to curtail consumption and health impacts of sugary drinks. World Health Organization (WHO), 11. Oktober 2016.
- ↑ Entsprechende Steuern wurden bereits von Frankreich, Ungarn, Finnland und Mexiko eingeführt. Fragen, Antworten von Berit Uhlmann: Was würde eine Zuckersteuer bewirken? In: sueddeutsche.de. 2016, ISSN 0174-4917 (sueddeutsche.de [abgerufen am 3. November 2017]).
- ↑ J. C. Behrends: Physiologie: 93 Tabellen. Thieme, Stuttgart 2010, ISBN 3-13-138411-5, S. 360 (eingeschränkte Vorschau in der Google-Buchsuche).
- ↑ W. Ahne: Zoologie. Schattauer, Stuttgart 2000, ISBN 3-7945-1764-4, S. 138 (eingeschränkte Vorschau in der Google-Buchsuche).
- ↑ D. U. Silverthorn et al.: Physiologie. Pearson, München 2009, ISBN 3-8273-7333-6, S. 22 (eingeschränkte Vorschau in der Google-Buchsuche).
- ↑ S. Silbernagl et al.: Taschenatlas der Pathophysiologie. Thieme, Stuttgart 2013, ISBN 3-13-150944-9, S. 275 (eingeschränkte Vorschau in der Google-Buchsuche).
- ↑ H. Genzwürker et al.: Anästhesie, Intensivmedizin, Notfallmedizin und Schmerztherapie. Thieme, Stuttgart 2007, ISBN 3-13-167892-5, S. 312 (eingeschränkte Vorschau in der Google-Buchsuche).
- ↑ G. Herold: Innere Medizin 2007 eine vorlesungsorientierte Darstellung; unter Berücksichtigung des Gegenstandskataloges für die ärztliche Prüfung. … Eigenverlag, Köln 2007, S. 650.
- ↑ K. Bergis et al.: Diabetes-Lexikon: mit Stichwortreg. engl.-dt.-span. de Gruyter, Berlin 1988, ISBN 3-11-011620-0, S. 114 (eingeschränkte Vorschau in der Google-Buchsuche).
- ↑ H. Bant et al.: Sportphysiotherapie. Thieme, Stuttgart 2011, ISBN 3-13-165941-6, S. 216 (eingeschränkte Vorschau in der Google-Buchsuche).
- ↑ H. Geiger: Nierenerkrankungen: Pathophysiologie, Diagnostik und Therapie. Schattauer, Stuttgart 2003, ISBN 3-7945-2177-3, S. 73 ff. (eingeschränkte Vorschau in der Google-Buchsuche).
- ↑ a b E. Buddecke: Pathobiochemie: Ein Lehrbuch für Studierende und Ärzte. de Gruyter, Berlin 1978, ISBN 3-11-159944-2, S. 86, (eingeschränkte Vorschau in der Google-Buchsuche).
- ↑ C. S. Hanes: An application of the method of Hagedorn and Jensen to the determination of larger quantities of reducing sugars In: Biochemical Journal. 1929, Band 23, Nr. 1, S. 99–106, PMC 1253996 (freier Volltext).
- ↑ C. Thomas: Makropathologie. Schattauer, Stuttgart 1983, ISBN 3-7945-0910-2, S. 179.
- ↑ H.-U. Häring et al.: Diabetologie in Klinik und Praxis. Thieme, Stuttgart 2011, ISBN 3-13-157636-7, S. 42 ff. (eingeschränkte Vorschau in der Google-Buchsuche).
- ↑ H. W. Baenkler: Innere Medizin. Thieme, Stuttgart 2001, ISBN 3-13-128751-9, S. 940 (eingeschränkte Vorschau in der Google-Buchsuche).
- ↑ J. F. Meckel: Deutsches Archiv für die Physiologie. Band 1, 1815, S. 137 (Volltext in der Google-Buchsuche).
- ↑ G. H. Schwartze: Pharmakologische Tabellen oder systematische Arzneimittellehre in tabellarischer Form. Band 2, Barth, 1839, S. 77 (Volltext in der Google-Buchsuche).
- ↑ J. Bostock et al.: The Cyclopædia of Practical Medicine: Comprising Treatises on the Nature and Treatment of Diseases, Materia Medica and Therapeutics, Medical Jurisprudence, Etc. Etc. Band 1, Sherwood, Gilbert/Piper, 1832, S. 540 (Volltext in der Google-Buchsuche).
- ↑ O. L. Erdmann: Journal für praktische Chemie. Band 16, J. A. Barth, 1839, S. 31 ff. (Volltext in der Google-Buchsuche).
- ↑ H. W. O. Seifert: Taschenbuch der medizinisch-klinischen Diagnostik. Рипол Классик, ISBN 5-88025-877-7, S. 144 (eingeschränkte Vorschau in der Google-Buchsuche; erste Auflage, Bergmann, Wiesbaden 1886).
- ↑ H. Schott: Medizin gestern und heute. Die Chronik der Medizin. Chronik Verlag, Dortmund 1993, ISBN 3-611-00273-9, S. 404.
- ↑ Paul Diepgen, Heinz Goerke: Aschoff/Diepgen/Goerke: Kurze Übersichtstabelle zur Geschichte der Medizin. 7., neubearbeitete Auflage. Springer, Berlin / Göttingen / Heidelberg 1960, S. 38.
- ↑ Max von Pettenkofer: Kleine Schriften, Band 9. Bayerische Staatsbibliothek, 1844, S. 90 ff. (Volltext in der Google-Buchsuche).
- ↑ W. Roser et al.: Archiv für Physiologische Heilkunde. Ebner & Seubert, 1848, S. 206 (Volltext in der Google-Buchsuche).
- ↑ A. v. Düring: Ursache und Heilung des Diabetes mellitus. Schmorl & Seefeld, 1868, S. 11 (Volltext in der Google-Buchsuche).
- ↑ E. Schultz: Ueber Diabetes mellitus. (Hochschulschrift) Plötz, Halle 1868, S. 7 (eingeschränkte Vorschau in der Google-Buchsuche).
- ↑ E. Schultz: Ueber Diabetes mellitus. Halle 1868, S. 11 (eingeschränkte Vorschau in der Google-Buchsuche).
- ↑ E. Harnack: Zur Pathogenese und Therapie des Diabetes mellitus. H. Laakmann, Dorpat 1873, S. 10 (Volltext in der Google-Buchsuche).
- ↑ DMW, Deutsche Medizinische Wochenschrift. Band 13, S. 131 (eingeschränkte Vorschau in der Google-Buchsuche).
- ↑ Jahrbuch der praktischen Medizin: Kritischer Jahresbericht für die Fortbildung der praktischen Ärzte. F. Enke, Stuttgart 1885, S. 307 (eingeschränkte Vorschau in der Google-Buchsuche).
- ↑ Herders Volkslexikon A–Z. Herder, Freiburg 1952, S. 179.
- ↑ H. Huismans: Lexikon der klinischen Diabetologie: praxisorientierte interdisziplinäre Darstellung. Deutscher Ärzteverlag, Köln 2005, ISBN 3-7691-0478-1, S. 14 (eingeschränkte Vorschau in der Google-Buchsuche).
- ↑ W. Pschyrembel: Klinisches Wörterbuch. de Gruyter, Berlin 1959, S. 109 (eingeschränkte Vorschau in der Google-Buchsuche).