Betaherpesvirinae

Betaherpesvirinae

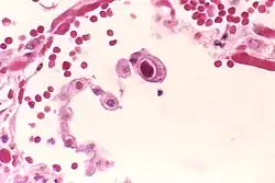
Typischer „Eulenaugen“-Einschluss,
der auf eine HCMV-Infektion eines Lungenpneumozyten
(Lungenbläschenzelle) hinweist

Systematik
Klassifikation: Viren
Realm: Duplodnaviria[1]
Reich: Heunggongvirae[1]
Phylum: Peploviricota[1]
Klasse: Herviviricetes[1]
Ordnung: Herpesvirales[1]
Familie: Orthoherpesviridae
Unterfamilie: Betaherpesvirinae
Taxonomische Merkmale
Genom: dsDNA linear
Baltimore: Gruppe 1
Symmetrie: ikosaedrisch
Hülle: vorhanden
Wissenschaftlicher Name
Betaherpesvirinae
Links
ICTV Taxon History: 201901457
NCBI Taxonomy: 10357
ViralZone (Expasy, SIB): 16

Die Betaherpesvirinae bilden eine Unterfamilie der Virusfamilie Orthoherpesviridae. Sie besteht aus folgenden Gattungen (mit wichtigsten Virusspezies):

  • Spezies Humanes Herpesvirus 5 (HHV-5) (alias Humanes Cytomegalievirus, HCMV, wiss. Cytomegalovirus humanbeta5, ehem. Typus)
  • Spezies Pongines Herpesvirus 2 (PoHV-2, alias Schimpansen-Cytomegalievirus, wiss. Cytomegalovirus paninebeta2)
  • Spezies Makaken-Herpesvirus 3 (alias Rhesus-Cytomegalovirus, RhCMV, wiss. Cytomegalovirus macacinebeta3)
  • Spezies Murides Herpesvirus 1 (MuHV-1, alias Murines Cytomegalievirus, MCMV, wiss. Muromegalovirus muridbeta1, ehem. Typus)
  • Spezies Murides Herpesvirus 2 (MuHV-2, alias Ratten-Cytomegalievirus Maastricht, RCMV, wiss. Muromegalovirus muridbeta2)
  • Spezies Murides Herpesvirus 8 (MuHV-8, alias Ratten-Cytomegalievirus England/Berlin, RCMV, wiss. Muromegalovirus muridbeta8)
  • Genus Proboscivirus[3]
  • Spezies Elefanten-Betaherpesvirus 1 (wiss. Proboscivirus elephantidbeta1, ehm. Typus)
  • Spezies Elefanten-Betaherpesvirus 3 (wiss. Proboscivirus elephantidbeta3)
  • Spezies Elefanten-Betaherpesvirus 4 (wiss. Proboscivirus elephantidbeta4)
  • Spezies Elefanten-Betaherpesvirus 5 (wiss. Proboscivirus elephantidbeta5)
  • Genus Quwivirus
  • Spezies Meerschweinchen-Herpesvirus 2 (Caviid betaherpesvirus 2, CavHV-2, wiss. Quwivirus caviidbeta2)
  • Spezies Langflügelfledermus-Herpesvirus 1 (Miniopterus -Betaherpesvirus, MnBHV1, Quwivirus miniopteridbeta1)
  • Spezies Tupaia-Herpesvirus 1 (TuHV-1, wiss. Quwivirus tupaiidbeta1)
  • Genus Roseolovirus[4]

Einzelnachweise

  1. a b c d e ICTV: ICTV Taxonomy history: Human alphaherpesvirus 1, EC 51, Berlin, Germany, July 2019; Email ratification March 2020 (MSL #35)
  2. SIB: Muromegalovirus, auf: ViralZone.
  3. SIB: Proboscivirus, auf: ViralZone.
  4. SIB: Roseolovirus, auf: ViralZone.