Cytomegalovirus
| Cytomegalovirus | ||||||||
|---|---|---|---|---|---|---|---|---|
Cytomegalovirus | ||||||||
| Systematik | ||||||||
| Taxonomische Merkmale | ||||||||
| ||||||||
| Wissenschaftlicher Name | ||||||||
| Cytomegalovirus | ||||||||
| Kurzbezeichnung | ||||||||
| CMV | ||||||||
| Links | ||||||||
|

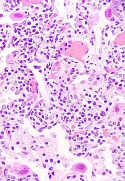
Die Gattung Cytomegalovirus (deutsch auch Zytomegalievirus) umfasst derzeit sechs klassifizierte Virusspezien aus der Familie Orthoherpesviridae. Der Gattungsname entstammt der früheren Typspezies, dem Humanen Cytomegalievirus, das bei einer Infektion zu mikroskopisch charakteristischen, vergrößerten Zellen führen kann. Dabei kommt es zu einer Volumenzunahme des Zellplasmas und zu typischen Einschlusskörperchen im Plasma wie auch im Zellkern. Innerhalb der Subfamilie der Betaherpesvirinae zeichnen sich die Mitglieder der Gattung Cytomegalovirus durch ein besonders großes Virusgenom von mehr als 200.000 Basenpaaren aus.
Biologische Bedeutung
Cytomegaloviren infizieren ausschließlich Säugetierzellen, sie wurden bislang nur bei Primaten als natürliche Wirte isoliert. Die Viren sind streng wirtsspezifisch, so dass eine Übertragung von Cytomegaloviren auf andere Spezies nicht möglich ist. Die Primärinfektion erfolgt über Schmierinfektion, wobei die Speicheldrüsenzellen den ersten Vermehrungsort darstellen. Im Verlauf werden Lymphozyten infiziert, was zu einer Mononukleose-ähnlichen Erkrankung von wenigen Tagen Dauer führen kann. Wie bei allen Herpesviren führt die Primärinfektion zu einer lebenslangen Persistenz des Virus, im Falle der Cytomegaloviren in Speicheldrüsenzellen und Lymphozyten.
Systematik
Spezies und Viren der Gattung sind mit Stand 7. Mai 2024 wie folgt:[2][3]
Gattung Cytomegalovirus
- Spezies Cytomegalovirus aotinebeta1 mit
- Aotines Herpesvirus 1 (en. Aotine betaherpesvirus 1, AoHV-1, AoBHV1) alias Nachtaffen-Herpesvirus 1 (en. Owl monkey cytomegalovirus, OMCMV)
- Spezies Cytomegalovirus cebinebeta1 mit
- Cebines Herpesvirus 1 (en. Cebine betaherpesvirus 1, CbHV-1, CbBHV1) alias Kapuzineraffen-Herpesvirus 1 (en. Capuchin monkey cytomegalovirus, CMCMV)
- Spezies Cytomegalovirus cercopithecinebeta5 mit
- Cercopithecines Herpesvirus 5 (en. Cercopithecine betaherpesvirus 5, CeHV-5, CeBHV5) alias Affen-Cytomegalievirus (en. Simian cytomegalovirus, SCMV) – Grüne Meerkatzen
- Spezies Cytomegalovirus humanbeta5 mit
- Humanes Herpesvirus 5 (en. Human betaherpesvirus 5, HHV-5, HuBHV5) alias Humanes Cytomegalievirus(en. Human cytomegalovirus, HCMV)
- Spezies Cytomegalovirus macacinebeta3 mit
- Makaken-Herpesvirus 3 (en. Macacine betaherpesvirus 3, McHV-3, McBHV3) alias Cercopithecines Herpesvirus 3 (CeHV-3); Rhesus-Cytomegalievirus (en. Rhesus cytomegalovirus, RhCMV)
- Spezies Cytomegalovirus macacinebeta8 mit
- Makaken-Herpesvirus 8 (en. Macacine betaherpesvirus 8, McHV-8, McBHV8) alias Cercopithecines Herpesvirus 8 (en. Cynomolgus macaque cytomegalovirus) – Javaneraffen
- Spezies Cytomegalovirus mandrillinebeta1 mit
- Mandrill-Herpesvirus 1 (en. Mandrilline betaherpesvirus 1, Drill monkey cytomegalovirus, MdBHV1)
- Spezies Cytomegalovirus paninebeta2 mit
- Panines Herpesvirus 2 (en. Panine betaherpesvirus 2, PnHV-2, PnBHV2) alias 'Schimpansen-Herpesvirus 4, Pongines Herpesvirus 4 (PoHV-4), Schimpansen-Cytomegalievirus 2 (en. Chimpanzee cytomegalovirus, CCMV)
- Spezies Cytomegalovirus papiinebeta3 mit
- Papiines Herpesvirus 3 (en. Papiine betaherpesvirus 3, PaHV-3, PaBHV3) alias Pavian-Herpesvirus 3; Anubispavian-Cytomegalievirus (en. Olive baboon cytomegalovirus, BCMV)
- Spezies Cytomegalovirus papiinebeta4 mit
- Papiines Herpesvirus 4 (en. Papiine betaherpesvirus 4, PaHV-4, PaBHV4) alias Pavian-Herpesvirus 4; Bärenpavian-Cytomegalievirus (en. Chacma baboon cytomegalovirus)
- Spezies Cytomegalovirus saimiriinebeta4 mit
- Saimiriine Herpesvirus 4 (en. Saimiriine betaherpesvirus 4, SaHV-4, SaBHV4) alias Totenkopfaffen-Cytomegalievirus (en. Squirrel monkey cytomegalovirus, SMCMV)
- Spezies „Aotine Herpesvirus 2“ (AoHV-2) mit Nachtaffen-Herpesvirus 2
- Spezies „Aotus nancymaae cytomegalovirus“ – Nancy-Ma-Nachtaffen
- Spezies „Aotus vociferans cytomegalovirus“ – Spix-Nachtaffen
- Spezies „Pan paniscus cytomegalovirus 1“ – Bonobo-Cytomegalievirus 1
- Spezies „Pan paniscus cytomegalovirus 2“ – Bonobo-Cytomegalievirus 2
Vom ICTV noch nicht bestätigte Vorschläge nach der NCBI-Taxonomie sind in Anführungszeichen gelistet (Auswahl).[4]
Die früher der Gattung zugeordneten Spezies Murines Cytomegalievirus 1, 2 und 8 bei Mäusen und Ratten werden aktuell als Muromegalovirus muridbeta1, M. muridbeta2 und M. muridbeta8 der Gattung Muromegalovirus zugeordnet.
Literatur
- P. E. Pellett et al.: Genus Cytomegalovirus. In: Andrew M. Q. King, M. J. Adams, E. B. Carstens, E. J. Lefkowitz (Hrsg.): Virus Taxonomy. Ninth Report of the International Committee on Taxonomy of Viruses. Elsevier, Amsterdam 2012, ISBN 978-0-12-384684-6, S. 115ff.
Einzelnachweise
- ↑ a b c d e ICTV: ICTV Taxonomy history: Human alphaherpesvirus 1, EC 51, Berlin, Germany, July 2019; Email ratification March 2020 (MSL #35)
- ↑ ICTV: Taxonomy Browser.
- ↑ ICTV: Virus Metadata Resource (VMR).
- ↑ NCBI Taxonomy Browser: unclassified Cytomegalovirus.
