Dermales Zylindrom
| Klassifikation nach ICD-O-3 | |
|---|---|
| 8200/0 | Zylindrom der Haut |
| ICD-O-3, zweite Revision (2019) | |
Das dermale Zylindrom (Spiegler-Tumor) ist ein seltener gutartiger Tumor der Hautanhangsgebilde, der meist im Bereich von Kopf oder Hals beobachtet wird. Unterschieden wird eine sporadische, im mittleren bis späten Lebensalter meist in Form einzelner Tumoren auftretende sowie eine seltene familiäre, autosomal-dominant erbliche Form, bei der sich häufig multiple Tumoren bereits im frühen Erwachsenenalter manifestieren (familiäre Zylindromatose). Zylindrome können selten auch in Form großer, flächenhaft konfluierender Tumoren an Stirn und behaarter Kopfhaut auftreten (sog. Turbantumor). Das Tumorgewebe zeigt sowohl Merkmale einer apokrinen wie auch einer ekkrinen Differenzierung, so dass als Ausgangszelle eine primitive Schweißdrüsenvorläuferzelle diskutiert wird, die noch die Befähigung zur Entwicklung in Richtung beider Differenzierungslinien besitzt. Assoziationen mit weiteren Hautanhangstumoren wie Spiradenomen oder Trichoepitheliomen (Brooke-Spiegler-Syndrom) werden beschrieben. Eine maligne Entartung von Zylindromen ist in Einzelfällen belegt.[1][2][3][4]
Epidemiologie
Das dermale Zylindrom gilt als eine seltene Tumorentität, wobei verlässliche statistische Angaben zur Häufigkeit jedoch bislang fehlen. Frauen sind deutlich häufiger betroffen als Männer (6–9 : 1). Der Altersgipfel liegt üblicherweise im mittleren bis späteren Lebensalter, wobei sich erblich bedingte Formen jedoch häufig schon im frühen Erwachsenenalter manifestieren. Regionale oder ethnische Häufigkeitsunterschiede wurden bisher nicht berichtet.[4]
Ätiologie
Zylindrome entstehen meist sporadisch, wobei weder die auslösende Ursachen noch Risikofaktoren bekannt sind. Genetische Analysen konnten im Falle sporadischer Zylindrome Mutationen am und in Umgebung des CYLD-Genlokus (Chromosom 16q12-q13) identifizieren. Die familiäre Form geht ebenfalls mit Mutationen des CYLD-Gens einher, dessen genaue Funktion derzeit noch unbekannt ist.[4]
Pathologie

Zylindrome erscheinen makroskopisch als wenige Millimeter bis mehrere Zentimeter große feste Knoten von rosa, roter oder bisweilen blauer Farbe und gummiartiger Konsistenz. Bevorzugte Lokalisationen der Tumoren sind Kopf und Hals, wobei insbesondere im Rahmen der familiären Form zuweilen auch eine Manifestation im Bereich von Körperstamm und Extremitäten beobachtet wird.
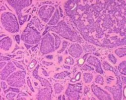
Histologisch zeigt sich ein dermaler Tumor ohne direkte Beziehung zur Epidermis, der aus zahlreichen ovalen und polygonalen Zellnestern in Puzzle-artiger Anordnung besteht. Umschieden werden diese Zellnester von breiten, in der PAS-Färbung deutlich hervortretenden hyalinen Membranen, die sich überwiegend aus Kollagen Typ IV zusammensetzen und damit eine Ähnlichkeit zu Basalmembranen zeigen. Die Zellnester zeigen eine charakteristische Gliederung in eine periphere, palisadenartig geschichtete Zelllage basophiler sowie im Zentrum großer, eher blass angefärbte Zellelemente. Sowohl außerhalb wie auch innerhalb der Tumorzellinseln finden sich bisweilen kleine tubuläre Lumina. Maligne Zylindrome unterscheiden sich von der gutartigen Form durch eine erhebliche Zell- und Kernpolymorphie.[3][4]
Klinik
Je nach Größe und Ausdehnung des Befundes wird dem therapeutischen Vorgehen eine diagnostische Probeentnahme (Biopsie) mit nachfolgender feingeweblicher Untersuchung durch den Pathologen vorangehen. Therapie der Wahl bei der Behandlung solitärer Zylindrome ist die chirurgische Resektion. Kleine Zylindrome können unter Verwendung eines Kohlendioxid-Lasers entfernt werden.[5] Multiple Zylindrome erfordern bisweilen ausgedehnte plastische Operationen, wobei eine mehrzeitige Vorgehensweise sinnvoll sein kann.[4]
Prognose
Patienten mit multiplen Zylindromen bedürfen einer klinischen Nachsorge, da sie eine Tendenz zur Ausbildung weiterer Zylindrome zeigen. Im Falle der seltenen, bisher nur in wenigen Fällen beschriebenen malignen Entartung kommt es häufig zur Ausbildung von Organmetastasen mit entsprechend schlechter Prognose.[4] Eine seltene, sowohl bei benignen wie malignen Zylindromen beschriebene Komplikation ist die Arrosion des Schädelknochens bis hin zu einem Tumoreinbruch in die Schädelhöhle.[6]
Weblink
- NS Scheinfeld, A Mokashi, JT Celebi, AR Oppenheim: Cylindroma. 13. März 2008; emedicine.medscape.com
Einzelnachweise
- ↑ AL Gerretsen, SC van der Putte, W Deenstra, WA van Vloten: Cutaneous cylindroma with malignant transformation. In: Cancer, Sep 1 1993;72(5):1618-23.
- ↑ PY Lin, SM Fatteh, KM Lloyd: Malignant transformation in a solitary dermal cylindroma. In: Arch Pathol Lab Med, Aug 1987;111(8):765-7.
- ↑ a b H Kerl, C Garbe, L Cerroni, HH Wolff: Histopathologie der Haut. Springer, 2003, ISBN 3-540-41901-2.
- ↑ a b c d e f NS Scheinfeld, A Mokashi, JT Celebi, AR Oppenheim: Cylindroma (13. März 2008); medscape.com
- ↑ MF Stoner, ER Hobbs: Treatment of multiple dermal cylindromas with the carbon dioxide laser. In: Journal of Dermatologic Surgery and Oncology. 1988 Nov;14(11):1263-7. PMID 2846665
- ↑ L Wyld, S Bullen, FS Browning: Transcranial erosion of a benign dermal cylindroma. In: Ann Plast Surg. 1996 Feb;36(2):194-6. PMID 8919387