Trichoepitheliom
| Klassifikation nach ICD-10 | |
|---|---|
| 8100/0 | Trichoepitheliom |
| ICD-10 online (WHO-Version 2019) | |

Das Trichoepitheliom (Epithelioma adenoides cysticum Brooke, Haarbalgfehlknötchen) ist ein gutartiger intradermal lokalisierter Hauttumor, der sich von Zellen des Haarfollikels ableitet oder sich in deren Richtung differenziert. Neben einer sporadischen Form mit einzeln auftretenden Tumoren (solitäres Trichoepitheliom) kennt man eine familiär auftretende, autosomal-dominant erbliche Form, bei der multiple Tumoren beobachtet werden (multiple Trichoepitheliome).[1][2][3]
Epidemiologie
Solitäre Trichoepitheliome treten meist bei Jugendlichen und jüngeren Erwachsenen auf. Die erblichen multiplen Trichoepitheliome manifestieren sich hingegen häufig schon in Kindheit oder Pubertät und werden aufgrund einer beim männlichen Geschlecht verringerten Expressivität und Penetranz bevorzugt bei Frauen beobachtet.[1] Über die Inzidenz des Trichoepithelioms liegen keine genauen Daten vor. Ein dermatopathologisches Labor mit einem Untersuchungsgut von jährlich rund 9000 Fällen berichtete von ca. 2–3 Diagnosen pro Jahr.[3]
Ätiologie
Der familiären Form des Trichoepithelioms zugrunde liegen Mutationen eines Tumorsuppressorgens auf Chromosom 9p21. In anderen Fällen besteht eine Assoziation zum Brooke-Spiegler-Syndrom mit Mutationen auf Chromosom 16q12-13. Diese Patienten zeigen neben einer erhöhten Inzidenz von Trichoepitheliomen weitere Tumoren der Hautanhangsgebilde wie dermale Zylindrome oder Spiradenome.[3]
Pathologie
Makroskopisch erscheinen Trichoepitheliome als abgerundete, hautfarbene, 2–8 Millimeter durchmessende Papeln, die hauptsächlich im Bereich von Nasolabialfalte, Nase, Oberlippe, Stirn und Kopfhaut auftreten. 50 Prozent der Läsionen finden sich dabei im Gesicht und an der Kopfhaut. Gelegentlich wird auch eine Manifestation im Bereich von Hals oder oberem Körperstamm beobachtet. Bei der familiären Form finden sich häufig multiple Tumoren, insbesondere im Bereich der Nasolabialfalte.[3]
Bei den so genannten riesigen solitären Trichoepitheliomen handelt es sich meist um Varianten des Trichoblastoms.[1]
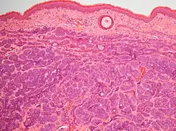
Histologisch erscheinen Trichoepitheliome als gut umschriebene und auf die obere Dermis beschränkte, symmetrische basaloide epitheliale Zellkomplexe, die in ein fibröses oder fibromyxoides Stroma eingebettet sind. Gelegentlich lassen sich Haarpapillen, abortive Haarfollikel oder Keratin-haltige Zysten nachweisen. Apoptose- und Mitosefiguren werden selten beobachtet, Nekrosen kommen hingegen nicht vor.[3][1]
Eine histologische Variante ist das desmoplastische Trichoepitheliom, das durch kompakte Bindegewebsstränge in Umgebung der epithelialen Tumorzellgruppen gekennzeichnet ist.[3]
Immunhistochemie
Die Tumorzellen exprimieren Zytokeratine der äußeren Haarwurzelscheide (Zytokeratine 5, 6, 8 und 17). Der Marker bcl-2 zeigt hauptsächlich in der peripheren Zellschicht der Tumorzellnester ein positives Signal. Immunhistochemische Unterschiede zum Basalzellkarzinom sind die fehlende Expression von Androgen-Rezeptoren in Tumorzellen und die CD 10-Positivität von Stromazellen.[3]
Diagnose
Die Diagnose erfolgt am chirurgisch entfernten Tumor oder an einer Biopsie durch den Pathologen. Differentialdiagnostisch abzugrenzen sind klinisch das kleinknotige Basalzellkarzinom oder dermale Nävi. Multiple Trichoepitheliome müssen von Angiofibromen bei tuberöser Sklerose sowie multiplen Basalzellkarzinomen beim Gorlin-Goltz-Syndrom oder dem Rombo-Syndrom unterschieden werden.
Histologische Differentialdiagnosen sind das Basalzellkarzinom, das Trichoadenom, das Trichofollikulom, das mikrozystische Adnexkarzinom oder ein basaloides follikuläres Hamartom.[3]
Therapie
Methode der Wahl ist die chirurgische Entfernung des Tumors. Bei multiplen Tumoren kann dies problematisch sein und eine Hautverpflanzung oder laserchirurgische Eingriffe erforderlich machen. Möglich ist auch eine Dermabrasion, bei der die Läsion nur oberflächlich abgetragen wird. Hierbei tritt der Tumor allerdings häufig innerhalb von Monaten bis Jahren wieder auf.[3]
Prognose
Trichoepitheliome zeigen ein langsames Wachstum. Bei nur teilweiser Entfernung treten Rezidive auf. In seltenen Fällen wurde eine Entartung und ein Übergang in ein Karzinom oder einen bösartigen epithelial-mesenchymalen Mischtumor beschrieben.[3]
Einzelnachweise
- ↑ a b c d H. Kerl, C. Garbe, L. Cerroni, H. H. Wolff: Histopathologie der Haut. Springer, 2003, ISBN 3-540-41901-2.
- ↑ Pschyrembel Klinisches Wörterbuch. Begründet von Willibald Pschyrembel. Bearbeitet von der Wörterbuchredaktion des Verlages unter der Leitung von Helmut Hildebrandt. 261. Auflage. De Gruyter, Berlin 2007, ISBN 978-3-11-018534-8.
- ↑ a b c d e f g h i j V. G. Prieto, C. R. Shea: Trichoepithelioma (19. November 2008); https://emedicine.medscape.com/article/1060049-overview