Diabetische Angiopathie
| Klassifikation nach ICD-10 | |
|---|---|
| E10–E14 | Diabetes mellitus |
| .2+ N08.3* |
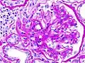
Mit Nierenkomplikationen - Diabetische Nephropathie Glomeruläre Krankheiten bei Diabetes mellitus |
| .3+ H36.0* |
Mit Augenkomplikationen - Diabetische Retinopathie Retinopathia diabetica |
| .4+ G99.0* G59.0* G63.2* |
Mit neurologischen Komplikationen Autonome Neuropathie bei endokrinen und Stoffwechselkrankheiten Diabetische Mononeuropathie Diabetische Polyneuropathie |
| .5+ I79.2* |
Mit peripheren vaskulären Komplikationen Diabetische periphere Angiopathie Periphere Angiopathie bei anderenorts klassifizierten Krankheiten - Periphere diabetische Angiopathie |
| I70 | Atherosklerose |
| ICD-10 online (WHO-Version 2019) | |
Als diabetische Angiopathie werden Gefäßschädigungen bezeichnet, die als Spätkomplikationen bei Diabetes mellitus auftreten.
Durch Veränderungen der Kapillaren (Mikroangiopathie) werden verschiedene Formen der diabetischen Mikroangiopathie verursacht: insbesondere die diabetische Nephropathie (Nierenerkrankung), diabetische Retinopathie (Augenerkrankung) und Autonome Neuropathie (Erkrankung des peripheren Nervensystems).
Die Makroangiopathie ist zwar nicht Diabetes-spezifisch, tritt aber schneller und stärker als bei Nicht-Diabetikern auf, weshalb die Bezeichnung diabetische Makroangiopathie üblich ist. Sie führt zu atherosklerotischen Veränderungen an mittleren und großen Arterien. Sie ist für das hohe Herzinfarkt-, Schlaganfall- und Gangrän-Risiko bei Diabetes verantwortlich.
Die wichtigsten Faktoren, die die Entwicklung von Mikro- und Makroangiopathie bei Diabetikern fördern, sind Hyperglykämie, Hyperlipoproteinämie, Insulinresistenz sowie verschiedene vasoaktive Hormone, Cytokine und Wachstumsfaktoren.
Literatur
- Alvin C. Powers (für die deutsche Ausgabe: Elke Austenat und Sabine Semmler): Diabetes mellitus. In: Harrisons Innere Medizin. Deutsche Ausgabe der 15. Auflage. ABW-Wissenschaftsverl., Berlin 2003, ISBN 3-936072-10-8.
_PAS.jpg)
