Ehrlichia
| Ehrlichia | ||||||||||||
|---|---|---|---|---|---|---|---|---|---|---|---|---|
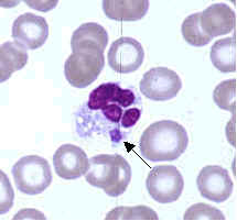
Morula von Ehrlichia ewingii | ||||||||||||
| Systematik | ||||||||||||
| ||||||||||||
| Wissenschaftlicher Name | ||||||||||||
| Ehrlichia | ||||||||||||
| Moshkovski 1945 emend. Dumler et al. 2001 | ||||||||||||
| Arten | ||||||||||||
|
Ehrlichia ist eine Gattung gramnegativer, zwischen 0,2 bis 2 µm großer Bakterien. Sie gehören zur Ordnung der Rickettsiales, mit deren anderen Vertretern sie die obligat intrazellulär-parasitierende Lebensweise teilen. Ihr Name wurde ihnen zum Gedenken an den deutschen Mikrobiologen Paul Ehrlich verliehen. Ehrlichien bilden in den Wirtszellen Mikrokolonien aus bis zu 40 Bakterien, die lichtmikroskopisch an eine Maulbeere erinnern und daher als Morulae bezeichnet werden.[1]
Ehrlichien sind als Erreger von Tierkrankheiten wie der Ehrlichiose der Hunde (Ehrlichia canis oder Ehrlichia ewingii) bekannt, können aber auch den Menschen erkranken lassen. Die durch Zecken übertragenen Bakterien parasitieren in Monozyten oder Granulozyten. Während solche Infektionen von den Betroffenen meist kaum bemerkt werden, können sie in seltenen Fällen auch sehr ernsthafte Krankheiten verursachen, die sich klinisch zum Beispiel in Form von Rocky-Mountains-Fleckfieber manifestieren.
Systematik
Die Ordnung Rickettsiales und somit auch die Gattung Ehrlichia erlebte in den letzten Jahren einige Umstellungen. Die gesamte Gattung Ehrlichia wurde von der Familie Rickettsiaceae getrennt und zwischenzeitlich zu den Anaplasmataceae gestellt. Seit 2020 wird die Gattung innerhalb der Ehrlichiaceae geführt.
Cowdria ruminatium wurde in diese Gattung gestellt und ist jetzt ein Basionym für Ehrlichia ruminantium. Ehrlichia phagocytophila und Ehrlichia equi wurden in der Art Anaplasma phagocytophilum zusammengefasst. Ehrlichia risticii wurde zu der Gattung Neorickettsia gestellt und ist somit nun ein Basionym für Neorickettsia risticii. Rickettsia sennetsu wurde zu Neorickettsia sennetsu gestellt (teilweise auch noch als Ehrlichia sennetsu geführt).
Weblinks
Quellen
Systematik nach:
- Dumler (J.S.), Barbet (A.F.), Bekker (C.P.J.), Dasch (G.A.), Palmer (G.H.), Ray (S.C.), Rikihisa (Y.) and Rurangirwa (F.R.): Reorganization of genera in the families Rickettsiaceae and Anaplasmataceae in the order Rickettsiales: unification of some species of Ehrlichia with Anaplasma, Cowdria with Ehrlichia and Ehrlichia with Neorickettsia, description of six new species combinations and designation of Ehrlichia equi and 'HGE agent' as subjective synonyms of Ehrlichia phagocytophila. Int. J. Syst. Evol. Microbiol. 2001, 51, 2145–2165.
- Anton Hördt, Marina García López, Jan P Meier-Kolthoff, Marcel Schleuning, Lisa-Maria Weinhold, Brian J Tindall, Sabine Gronow, Nikos C. Kyrpides, Tanja Woyke und Markus Göker: Analysis of 1,000+ Type-Strain Genomes Substantially Improves Taxonomic Classification of Alphaproteobacteria. In: Front Microbiol (2020) Band 11: S. 468. doi:10.3389/fmicb.2020.00468
- LPSN: List of Prokaryotic Names with Standing in Nomenclature
Einzelnachweise
- ↑ H. Hahn: Spezielle Bakteriologie. Springer, 2001, S. 428.
