Paul Ehrlich

Paul Ehrlich (geboren am 14. März 1854 in Strehlen, Provinz Schlesien; gestorben am 20. August 1915 in Bad Homburg vor der Höhe[1]) war ein deutscher Mediziner und Forscher. Er wirkte vor allem als Bakteriologe und Serologe in Berlin und Frankfurt am Main und entdeckte 1909 das erste Antibiotikum.
Durch seine Färbemethoden unterschied er verschiedene Arten von Blutzellen, wodurch die Diagnose zahlreicher Blutkrankheiten ermöglicht wurde. Mit seiner Entwicklung einer medikamentösen Behandlung der Syphilis gehört er zu den Mitbegründern der modernen Chemotherapie. Außerdem war er entscheidend an der Entwicklung des Heilserums gegen Diphtherie beteiligt, die häufig allein Emil von Behring zugeschrieben wird. Als Direktor des Instituts für experimentelle Therapie arbeitete Ehrlich bis 1897 die Methoden für die Standardisierung („Wertbemessung“[2] bzw. Wertbestimmung) von Sera aus.
1908 erhielt er zusammen mit Ilja Metschnikow für seine auf dem Gebiet der Serumsforschung entwickelten Beiträge zur Immunologie den Nobelpreis für Physiologie oder Medizin.
Leben
Herkunft

Paul Ehrlich wurde als zweites Kind jüdischer Eltern geboren. Sein Vater Ismar Ehrlich war mit Rosa geborene Weigert verheiratet und Likörfabrikant und königlicher Lotterie-Einnehmer in Strehlen, einem etwa 5000 Einwohner zählenden Ort in der Provinz Niederschlesien. Bereits der Großvater, Heymann Ehrlich, war dort Destillateur und Schankpächter gewesen und hatte es zu einigem Wohlstand gebracht. Ismar Ehrlich war Vorsteher der jüdischen Gemeinde. Paul Ehrlich konvertierte später nicht zum Protestantismus – wozu sich viele jüdische Kollegen aus Karrieregründen genötigt sahen –, pflegte jedoch die jüdischen Gebräuche eher nachlässig. Mütterlicherseits war Paul Ehrlich mit dem Pathologen Carl Weigert verwandt.[3]
Schule und Studium
Nach dem Besuch der Volksschule in Strehlen ging Ehrlich von 1864 bis 1872 auf das traditionsreiche Maria-Magdalenen-Gymnasium in Breslau, wo er Albert Neisser kennenlernte. Berichte über seine Kindheit und Jugend bleiben spekulativ. Die Schule hat Ehrlich im Rückblick „immer als drückende Last empfunden“.[4] Militärdienst leistete er nicht.
Ehrlich studierte ab 1872 Medizin in Breslau und Straßburg mit einem kurzen Aufenthalt in Freiburg und wurde 1878 in Leipzig promoviert, wohin sein Doktorvater, Julius Cohnheim, gewechselt war.
Berlin
.jpg)
Nach dem Studium arbeitete Ehrlich als Assistent und Oberarzt unter Theodor Frerichs, dem Begründer der experimentellen Klinischen Medizin, an der Charité in Berlin. Eine Weile war er dort auch unter Frerichs Nachfolger, Carl Gerhard, tätig.[5] Die Schwerpunkte seiner wissenschaftlichen Arbeit lagen in dieser Zeit auf Histologie, Hämatologie und Farbenchemie. 1882 wurde ihm der Professorentitel verliehen.
Am 14. August 1883 heiratete Ehrlich in der Synagoge von Neustadt in Oberschlesien Hedwig Pinkus (1864–1948), die Tochter eines schlesischen Textilfabrikanten. Mit ihr ließ er sich in der Villa der Familie Fränkel in Neustadt in der Wiesenerstraße nieder.[6] Seine Frau behandelte er in einem für damals ungewöhnlichen Maß als gleichberechtigte Lebenspartnerin. (Später setzte er sich in seinem Institut für eine Lohnerhöhung für die weiblichen Angestellten ein, die er im Vergleich zu ihren männlichen Kollegen als zu niedrig entlohnt empfand.) 1884 kam ihre gemeinsame Tochter Stefanie, 1886 ihre zweite Tochter Marianne zur Welt. Die Mitgift seiner Frau enthob Ehrlich aller finanziellen Schwierigkeiten, sodass er auch Perioden der Arbeitslosigkeit überbrücken konnte. Alle Zeugen beschreiben Ehrlich in seiner persönlichen Lebensführung als bescheiden, als seine einzige große Schwäche galten Zigarren.
Ehrlich geriet in eine berufliche Krise, weil er sich mit Frerichs’ Nachfolger, Carl Gerhardt, nicht verstand; überdies erkrankte er an Lungentuberkulose, die er in Ägypten auskurierte. 1889 war er schließlich ohne Aussicht auf eine Anstellung und richtete sich eine eigene Praxis und ein kleines Labor in Berlin ein. 1890 wurde er zum außerplanmäßigen Professor an der Friedrich-Wilhelms-Universität ernannt. 1891 holte ihn Robert Koch an sein Institut für Infektionskrankheiten, wo Ehrlich von 1892 bis 1896 als Nachfolger von Emil Behring[7] besonders an immunologischen Fragen arbeitete. Für das neue Arbeitsfeld wurde 1896 das Institut für Serumforschung und Serumprüfung in Steglitz bei Berlin gegründet, dessen Direktor Ehrlich wurde. Im selben Jahr wurde Ehrlich auch zum Geheimen Medizinalrat ernannt.
Frankfurt am Main

1899 wurde sein Institut nach Frankfurt am Main verlegt und in (Königliches) Institut für experimentelle Therapie umbenannt. Ehrlich zog mit dem Institut nach Frankfurt. Ein wichtiger Mitarbeiter dort wurde Max Neisser. Im September 1902 veröffentlichte die Vossische Zeitung eine Chronik Ehrlichs immunologischer Forschungen.[8]
Im Jahr 1904 erhielt Ehrlich eine ordentliche Honorarprofessur in Göttingen. Im selben Jahr wurde er in die National Academy of Sciences der Vereinigten Staaten gewählt. 1906 ermöglichte eine großzügige Spende von Franziska Speyer den Bau des Georg-Speyer-Hauses für Chemotherapie in Frankfurt, das angegliedert an das Institut für Serumforschung und -prüfung dieses erweiterte und dessen Direktor Ehrlich in Personalunion wurde. 1907 erhielt er den nur selten vergebenen Titel eines Geheimen Obermedizinalrats und ging eine Kooperation mit den Farbwerken Hoechst ein, mit der vertraglichen Regelung, dass alle Entdeckungen des staatlichen Instituts den Farbwerken überlassen werde, die 30 Prozent aller Gewinne an die Forscher des Instituts zu entrichten hätten.[9][10]
1908 wurden Ehrlichs und Metschnikows „Arbeiten über Immunität“[11] mit dem Nobelpreis ausgezeichnet. Im Georg-Speyer-Haus entwickelte Ehrlich mit Hata Sahachirō 1909 das bezüglich seiner Wirksamkeit umstrittene[12][13] Medikament „(Ehrlich-Hata) 606“, das ab November 1910 offiziell als „Salvarsan“ bezeichnet wurde[14] und gegen Syphilis und damit als erstes Antibiotikum[15] bzw. erstes chemotherapeutisches Medikament wirkte. 1904 wurde Ehrlich auswärtiges Mitglied der Akademie der Wissenschaften zu Göttingen[16] und 1910 der Königlich Schwedischen Akademie der Wissenschaften.[17] Im selben Jahr wurde er auch auswärtiges Mitglied der Royal Society.[18] Bereits seit 1905 war er Ehrenmitglied der Royal Society of Edinburgh.[19] Im Jahr 1905 heiratete seine Tochter Marianne den Mathematiker Edmund Landau.
Von 1911 bis zu seinem Tod war Ehrlich Mitglied des Senats der neu gegründeten Kaiser-Wilhelm-Gesellschaft. 1911 wurde ihm die Liebig-Denkmünze des Vereins Deutscher Chemiker verliehen. Ehrlich, der Vorlesungen immer als lästige Pflicht empfunden hatte, wurde 1914 zum ordentlichen Professor für Pharmakologie an der neu gegründeten Frankfurter Universität berufen. Jedoch verhinderte er erfolgreich, dass das Georg-Speyer-Haus in die Universität eingegliedert wurde.
Ehrlich kooperierte immer gut mit ausländischen Kollegen außer mit denen des Institut Pasteur. Zu den ausländischen Gastwissenschaftlern, die bei ihm arbeiteten, gehörten die späteren Nobelpreisträger Henry H. Dale und Paul Karrer. Im Ersten Weltkrieg unterzeichnete Ehrlich im Oktober 1914 den propagandistischen Aufruf „An die Kulturwelt!“, der in der internationalen Wissenschaftswelt Entsetzen auslöste. Später distanzierte er sich davon.[20] Die Erhebung in den Adelsstand schlug Ehrlich aus, weil er dafür nicht zum Christentum konvertieren wollte.
Am 17. August 1915 erlitt Ehrlich einen Herzinfarkt, dessen Folgen er am 20. August erlag. Kaiser Wilhelm II. schrieb in seinem Beileidstelegramm: „Ich beklage mit der gesamten gebildeten Welt den Tod dieses um die medizinische Wissenschaft und die leidende Menschheit so hochverdienten Forschers, dessen Lebenswerk ihm bei der Mit- und Nachwelt unvergänglichen Ruhm und Dank sichert.“ Paul Ehrlich wurde auf dem jüdischen Friedhof an der Rat-Beil-Straße in Frankfurt am Main begraben (Block 114 N).[21]
Werk
Färbemethoden für die Hämatologie
Ehrlichs Cousin Carl Weigert hatte Anfang der 1870er Jahre als Erster Bakterien mit Farbstoffen angefärbt und die Anilinfarbstoffe in die Histologie und die Bakteriendiagnostik eingeführt. Während seines Studiums in Straßburg unter dem Anatomen Heinrich Wilhelm Waldeyer beschäftigte sich Ehrlich weiter mit Farbstoffen und der Färbung von Geweben für die mikroskopische Untersuchung. Für das achte Semester ging Ehrlich nach Freiburg im Breisgau, wo er vor allem mit dem Farbstoff Dahlia arbeitete. Aus dieser Zeit stammt seine erste Veröffentlichung.[22] 1878 wurde Ehrlichs Doktorvater Julius Cohnheim nach Leipzig berufen. Ehrlich folgte ihm und reichte noch im selben Jahr seine Dissertation mit dem Titel Beiträge zur Theorie und Praxis der histologischen Färbung ein.

Zu den herausragenden Ergebnissen dieser Doktorarbeit zählte die Entdeckung einer neuen Zellart. Ehrlich entdeckte im Protoplasma von vermeintlichen Plasmazellen eine Körnung, die sich mit Hilfe basischer Farbstoffe darstellen ließ. Er dachte, dass es sich um einen Zustand guter Ernährung handeln müsse, und nannte die Zellen „Mastzellen“. Ungewöhnlich für eine medizinische Doktorarbeit war der chemische Schwerpunkt: Ehrlich stellte in ihr das gesamte Spektrum der damaligen Färbetechniken und die Chemie der verwendeten Farbstoffe dar.
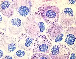
In seiner Zeit an der Charité baute Ehrlich die Differenzierung der weißen Blutkörperchen anhand ihrer verschiedenen Granula weiter aus. Voraussetzung war die Technik der Trockenpräparate, die er ebenfalls entwickelt hatte. Ein Tropfen Blut wurde zwischen zwei Glasplatten gebracht und längere Zeit über dem Bunsenbrenner erhitzt. Die Blutkörperchen wurden so fixiert, blieben aber anfärbbar. Ehrlich benutzte basische und saure Farbstoffe, kreierte aber auch neue „neutrale“ Farbstoffe. Zum ersten Mal grenzte er so innerhalb der Leukozyten die Lymphozyten ab. Durch ihre Granulierung konnte er nichtgranulierte Lymphozyten, mono- und polynukleäre Leukozyten, eosinophile Granulozyten und Mastzellen unterscheiden. Für die Differentialdiagnostik der Blutkrankheiten führte er die Auszählung der verschiedenen Blutzellen ein.
Seit 1880 beschäftigte sich Ehrlich auch mit den roten Blutkörperchen. Er wies vor allem bei Anämien kernhaltige rote Blutkörperchen nach, die er in Normoblasten, Megaloblasten, Mikroblasten und Poikiloblasten unterteilte. Er hatte die Vorläuferzellen der Erythrozyten gefunden. Ehrlich schuf damit, nachdem er mit der Untersuchung der weißen Blutzellen die Grundlage für die Systematik der Leukämien gelegt hatte, die Grundlage für die Analytik der Anämien.
Zu seinen Aufgaben an der Charité gehörte die Untersuchung von Blut- und Urinproben der Patienten. 1881 veröffentlichte Ehrlich mit der 1882 in die Harndiagnostik eingeführten Diazoreaktion[23] eine neue Untersuchungsreaktion für den Harn, mit der verschiedene Typhus-Formen gegen einfache Durchfallerkrankungen abgegrenzt werden konnten. Die Intensität der Farbreaktion erlaubte eine Prognose über den zu erwartenden Krankheitsverlauf. Die dabei verwendete Farblösung wird heute noch als Ehrlichs Reagenz bezeichnet.
Ehrlichs Leistung, aber auch Problem bei seiner weiteren Karriere war, dass er ein neues Gebiet zwischen Chemie, Biologie und Medizin erschlossen hatte. Viele seiner Arbeiten wurden von Medizinern mit Unverständnis aufgenommen, weil die chemischen Anforderungen weit über ihren Horizont hinausgingen. Auch war kein für Ehrlich geeigneter Lehrstuhl in Sicht.
Serumforschung
Freundschaft mit Robert Koch

Nach dem vierten Semester war Ehrlich nach Breslau zurückgekehrt, wo ihm der Pathologe Julius Friedrich Cohnheim die Möglichkeit zu umfangreicheren Experimenten einräumte. Cohnheim machte ihn auch mit Robert Koch bekannt, der damals Kreisarzt in Wollstein, Provinz Posen, war. Koch hatte in seiner Freizeit den Lebenszyklus des Milzbranderregers aufgeklärt. Er wandte sich an Ferdinand Cohn, der von Kochs Arbeiten schnell überzeugt war und ihn im Kreis seiner Breslauer Kollegen bekannt machte. Vom 30. April bis zum 2. Mai 1876 stellte Koch seine Versuche in Breslau vor, was Paul Ehrlich in der Schlussphase als Student miterlebte.
Am 24. März 1882 war Ehrlich anwesend, als Robert Koch, der seit 1880 am Kaiserlichen Gesundheitsamt in Berlin war, seinen Vortrag Über Tuberkulose hielt, in dem er berichtete, wie er den Tuberkulose-Erreger identifiziert hatte. Ehrlich bezeichnete diesen Vortrag später als sein „größtes wissenschaftliches Erlebnis“. Bereits am Tag nach Kochs Vortrag hatte er dessen Färbemethode weiterverbessert, was von Koch vorbehaltlos anerkannt wurde (Ehrlich entdeckte die Säurefestigkeit des Tuberkelbazillus und gab 1882 die von ihm entwickelte Färbung mit Säurefuchsin und Anilinwasser bekannt[24]). Spätestens seit dieser Zeit waren die beiden Männer befreundet.
1890 übernahm Ehrlich im Auftrag Kochs die Tuberkulosestation am Städtischen Krankenhaus Moabit. Unter anderem hier wurde Kochs angebliches Tuberkulose-Therapeutikum Tuberkulin erforscht, das sich Ehrlich auch selbst spritzen ließ und von dem er behauptete, es habe ihn von seiner Lungenschwindsucht[25] befreit. In dem folgenden „Tuberkulin-Skandal“ versuchte Ehrlich Koch zu stützen und betonte vor allem den Wert des Tuberkulins als Diagnostikum. 1891 holte Robert Koch Ehrlich an das neu gegründete Institut für Infektionskrankheiten. Zwar konnte er ihm keine Entlohnung bieten, dafür aber vollen Zugriff auf Laborpersonal, Patienten, Chemikalien und Versuchstiere, wofür Ehrlich ihm immer dankbar blieb.
Erste Arbeiten zur Immunität
Noch in seinem privaten Laboratorium hatte Ehrlich erste Experimente zur Immunisierung begonnen. Er ließ Mäuse an die Gifte Ricin beziehungsweise Abrin gewöhnen. Nach der Verfütterung von kleinen, aber steigenden Dosen Ricin stellte er fest, dass die Mäuse „ricinfest“ geworden waren. Ehrlich interpretierte das 1891 als Immunisierung mit „Antiricin“ und „Antiabrin“[26] und beobachtete, dass sie erst sprunghaft nach einigen Tagen einsetzte, nach mehreren Monaten aber noch vorhanden war. Gegen Ricin immune Mäuse blieben aber noch genauso empfindlich gegen Abrin wie unbehandelte Tiere.
Darauf folgten Arbeiten zur „Vererbung“ erworbener Immunität: Bekannt war, dass nach einer Pocken- oder Syphilis-Erkrankung gelegentlich eine spezifische Immunität von den Eltern auf die Nachkommen übertragen wurde. Eine Vererbung im genetischen Sinn schloss Ehrlich aus, weil die Nachkommen einer gegen Abrin immunisierten männlichen Maus und einer unbehandelten weiblichen Maus nicht gegen Abrin immun waren. Daraus schloss Ehrlich, dass der Fötus über den Blutkreislauf der Mutter mit Antikörpern versorgt wurde. Dafür sprach auch, dass diese „Vererbungsimmunität“ nach wenigen Monaten nachließ. In einem weiteren Experiment tauschte er die Nachkommen von behandelten und unbehandelten weiblichen Mäusen aus. Die von den behandelten Mäusen gesäugten Mäuschen wurden giftfest, womit Ehrlich nachgewiesen hatte, dass Antikörper auch mit der Muttermilch übertragen werden.
Arbeit mit Behring an einem Diphtherie-Heilserum
Emil Behring hatte am Institut für Infektionskrankheiten bis 1893 versucht, Immunsera zur Behandlung von Diphtherie und Tetanus zu entwickeln, dabei aber nur stark schwankende Resultate erhalten. Koch schlug daraufhin vor, dass Behring und Ehrlich miteinander kooperieren sollten. Die Kooperation war insoweit erfolgreich, als es Ehrlich durch seine Erfahrung mit Mäusen schnell gelang, den Grad der Immunisierung der Versuchstiere in Höchst hochzutreiben. Klinische Versuche mit den Diphtherie-Heilserum waren Anfang 1894 erfolgreich, und die Farbwerke Hoechst brachten im August „Behring’s Diphtherie-Heilmittel dargestellt nach Behring-Ehrlich“ auf den Markt. Behring und Ehrlich hatten ursprünglich vereinbart, nach Abzug des Anteils der Farbwerke Hoechst den Gewinn zu teilen. Die Verträge wurden noch mehrfach geändert, und schließlich wurde Ehrlich dazu gedrängt, einen Gewinnanteil von nur noch acht Prozent zu akzeptieren. Ehrlich stimmte nach langem Zögern zu, fühlte sich jedoch um seinen Gewinnanteil gebracht. Seit dieser Zeit war das Verhältnis zwischen Behring und Ehrlich gestört, was später an der Frage der Wertbestimmung von Tetanusserum eskalierte. Ehrlich erkannte zwar an, dass das Prinzip der Serumtherapie von Behring und Kitasato entwickelt worden war. Doch hatte er seiner Ansicht nach als Erster ein Serum entwickelt, das auch am Menschen angewendet werden konnte. Seinen Anteil an der Entwicklung des Diphtherie-Heilserums sah er als nur unzureichend gewürdigt an. Behring seinerseits intrigierte im Preußischen Kultusministerium gegen Ehrlich. Ehrlich weigerte sich ab 1900, noch mit Behring zusammenzuarbeiten.
Die Wertbestimmung von Sera
Da es sich bei dem Heilserum um einen völlig neuen Arzneimitteltyp handelte, dessen Qualität stark schwanken konnte, wurde ein System der staatlichen Serumkontrolle installiert. Ab 1. April 1895 durfte im Deutschen Reich nur noch staatlich geprüftes Serum verkauft werden. Die Kontrollstation für Diphtherieserum wurde provisorisch am Institut für Infektionskrankheiten untergebracht. Daraus entstand auf Initiative von Friedrich Althoff 1896 das Institut für Serumforschung und Serumprüfung, dessen Direktor Paul Ehrlich wurde – in diesem Zusammenhang musste er alle Verträge mit den Farbwerken Hoechst auflösen. In dieser Funktion und als Honorarprofessor an der Berliner Universität verdiente er 6000 Mark im Jahr, in etwa das Gehalt eines Universitätsprofessors. Neben einer Prüfungsabteilung enthielt das Institut auch eine Forschungsabteilung. Von Althoff hatte Ehrlich zudem den Titel „Exzellenz“[27] verliehen bekommen.
Um den Wert von Diphtherie-Heilserum zu bestimmen, war Diphtheriegift gleichbleibender Stärke nötig. Ehrlich stellte aber fest, dass das verwendete Gift nicht, wie ursprünglich angenommen, unbegrenzt haltbar war. Daraus zog er zwei Konsequenzen: Als Standard verwendete er nicht das Gift, sondern ein von Behring entwickeltes Serumpulver, das erst kurz vor Gebrauch in Flüssigkeit aufgelöst wurde. Im Verhältnis zu diesem Standardserum wurde zunächst die Stärke des Gifts bestimmt. Dieses Testgift konnte dann wiederum bei der Prüfung anderer Sera als Referenz dienen. Für die Prüfung selbst waren bisher Gift und Serum in einem Verhältnis gemischt worden, dass sich ihre Wirkungen bei Injektion in einem Meerschweinchen gerade aufgehoben hatten. Die Interpretation, ob Krankheitssymptome fehlten, ließ jedoch einen großen Spielraum. Ehrlich setzte daraufhin einen Versuchsausgang zum Ziel, der eindeutig zu bestimmen war: der Tod des Versuchstiers. Die Mischung sollte so vorgenommen werden, dass das Versuchstier nach vier Tagen starb. Starb es früher, so war das Serum zu schwach und wurde abgelehnt. Ehrlich beanspruchte, die Wertbestimmung von Serum so sicher wie eine chemische Titration gemacht zu haben. Hier zeigt sich besonders deutlich die ihm eigentümliche Tendenz zu einer Mathematisierung der Lebenswissenschaften.
Der Frankfurter Oberbürgermeister Franz Adickes bemühte sich um die Ansiedlung von wissenschaftlichen Institutionen in Frankfurt, um die Gründung einer Universität vorzubereiten. 1899 siedelte das Institut nach Frankfurt über, wo es als „Königlich Preußisches Institut für Experimentelle Therapie“ eingeweiht wurde. Die deutsche Prüfmethode wurde von staatlichen Seruminstituten in aller Welt übernommen, die aus Frankfurt auch das Standardserum bezogen. Nach dem Diphtherie-Heilserum waren in schneller Folge auch ein Tetanusserum sowie verschiedene bakterizide Sera vor allem für die Veterinärmedizin entwickelt worden. Sie wurden ebenfalls am Institut kontrolliert, ebenso wie Tuberkulin und später die aktiven Impfstoffe. Ehrlichs wichtigster Mitarbeiter wurde Julius Morgenroth.
Die Seitenkettentheorie

Diese Arbeiten inspirierten Ehrlich 1897 zu seiner berühmten Seitenkettentheorie. Nach seinem Verständnis war die Reaktion zwischen Gift und den wirksamen Bestandteilen des Serums genauso wie die Giftwirkung selbst eine chemische Reaktion. Er erläuterte die Giftwirkung am Beispiel des Tetanusgifts. Das Protoplasma der Zellen enthält spezielle „Seitenketten“ (in heutiger Sprechweise Makromoleküle), an die das Gift bindet und damit ihre Funktion stört. Überlebt der Organismus die Giftwirkung, so werden die blockierten Seitenketten durch neue ersetzt. Diese Regeneration kann trainiert werden, wodurch sich das Phänomen der Immunisierung erklärt. Bei einem Überschuss können die Seitenketten auch als Antikörper ins Blut abgegeben werden. In den folgenden Jahren baute Ehrlich seine Seitenkettentheorie mit einer Begrifflichkeit („Ambozeptoren“, Rezeptoren erster, zweiter und dritter Ordnung etc.), die heute nur noch schwer verständlich ist, weiter aus.[28] Zwischen Antigen und Antikörper nahm er ein weiteres Immunmolekül an, das er als „Additiv“ oder „Komplement“ bezeichnete. Die Seitenkette hatte also nach seinem Verständnis mindestens zwei funktionelle Gruppen. 1903 erhielt Ehrlich die höchste wissenschaftliche Auszeichnung in Preußen, die „Große Goldene Medaille für Wissenschaften“. Für die theoretische Fundierung der Immunologie sowie für seine Arbeiten zur Standardisierung der Wertbestimmung, mit denen er auch das Antitoxin-Konzept Behrings bestätigte und internationale Standards für die Antitoxin-Gewinnung entwarf,[29] wurde Ehrlich 1908 zusammen mit Ilja Metschnikow der Nobelpreis für Physiologie oder Medizin zuerkannt. Metschnikow, der den zellulären Zweig der Immunität (Phagozytose) am Institut Pasteur erforscht hatte, hatte Ehrlich zuvor scharf angegriffen. Seinen „Nobel-Vortrag“ Über die Partialfunktion der Zelle publizierte Ehrlich 1909 in Münchener Medizinische Wochenschrift.
Krebsforschung
Im Jahr 1901 beanstandete das Preußische Finanzministerium, dass Ehrlich seinen Etat überzogen hatte, und in der Folge wurde ihm das Einkommen gekürzt. In dieser Situation vermittelte ihm Althoff den Kontakt zu Georg Speyer, Mitinhaber des Bankhauses Lazard Speyer-Ellissen. Die Krebserkrankung der Kaiserinwitwe hatte großes Aufsehen erregt, woraufhin reiche Frankfurter Bürger für die Krebsforschung sammelten. Ehrlich erhielt von Kaiser Wilhelm II. persönlich den Auftrag, seine ganze Kraft der Krebsforschung zu widmen. Dem Institut für experimentelle Therapie wurde eine Abteilung für Krebsforschung angegliedert, wo neben anderen Gustav Embden eingestellt wurde. Ehrlich hatte seinen Förderern jedoch klargemacht, dass Krebsforschung zunächst Grundlagenforschung bedeutete und ein Heilmittel nicht schnell zu erwarten war.
Zu den Ergebnissen, die er und seine Mitarbeiter erzielten, gehörte die Beobachtung, dass bei der Fortzüchtung von Tumoren durch Transplantation die Bösartigkeit der Tumorzellen von Generation zu Generation zunahm. Entfernte man den primären Tumor, so entwickelten sich die Metastasen stürmisch. Ehrlich übertrug Methoden der Bakteriologie auf die Krebsforschung. Analog zur Impfung versuchte er, durch die Injektion von abgeschwächten Krebszellen eine Immunität gegen Krebs zu erzeugen. In der Krebsforschung wie in der chemotherapeutischen Forschung (siehe nächster Abschnitt) führte er Methoden der Großforschung ein.
Chemotherapie
Die Vitalfärbung
1885 erschien Ehrlichs Monografie Das Sauerstoff-Bedürfniss des Organismus. Eine farbenanalytische Studie, die er auch als Habilitationsschrift einreichte. Mit ihr führte Ehrlich die neue Technik der Vitalfärbung oder Intravitalfärbung ein. Zu seinen Ergebnissen gehörte, dass Farbstoffe vom lebenden Organismus nur in körniger Form leicht aufgenommen werden. Er injizierte die Farbstoffe Alizarinblau und Indophenolblau in Versuchstiere und beobachtete nach deren Tod, dass sie verschiedene Organe unterschiedlich stark gefärbt hatten. In Organen mit hoher Sauerstoffsättigung war Indophenol erhalten geblieben, in einer mittleren Gruppe war Indophenol, nicht aber Alizarinblau reduziert worden. Schließlich gab es eine Zone geringer Sauerstoffsättigung, in der beide Farbstoffe reduziert worden waren. In dieser Arbeit formulierte Ehrlich auch seine forschungsleitende Überzeugung, dass sämtliche Lebensprozesse auf chemisch-physikalische Vorgänge, die in der Zelle stattfinden, zurückzuführen seien.
Methylenblau

Bei seinen Untersuchungen war Ehrlich auf Methylenblau gestoßen, das ihm zur Anfärbung von Bakterien als besonders geeignet erschien (zum Beispiel nutzte später Robert Koch für seine Erforschung des Tuberkulose-Erregers Methylenblau als Farbstoff). Aus Ehrlichs Sicht war ein Nebenergebnis, dass sich mit Methylenblau besonders die langen Fortsätze der Nervenzellen, die Axone, anfärben ließen. Er veranlasste zu diesem Thema zwar eine Doktorarbeit, engagierte sich aber nicht weiter. Nach dem Urteil von Ludwig Edinger hatte er jedoch damit auch der Neurologie ein mächtiges Arbeitsfeld erschlossen.
In der Zeit nach Mitte 1889, als Ehrlich stellenlos war, setzte er seine Forschungen mit Methylenblau privat fort. Durch seine Arbeit zur Vitalfärbung war in ihm die Idee entstanden, es therapeutisch anzuwenden. Da sich Plasmodien – unter ihnen die Erreger der Malaria – mit Methylenblau anfärben ließen, konnte man damit vielleicht auch Malaria heilen. Bei zwei Patienten am Städtischen Krankenhaus Moabit klang tatsächlich das Fieber ab, und die Plasmodien verschwanden aus dem Blut. Das Methylenblau bezog er von den Farbwerken vorm. Meister Lucius & Brüning AG (später in Hoechst AG umbenannt), wodurch eine lange Zusammenarbeit mit diesem Unternehmen begann.
Die Suche nach einer „Chemotherapia specifica“

Bereits vor dem Umzug des Instituts für experimentelle Therapie nach Frankfurt hatte Ehrlich die Arbeit am Methylenblau wieder aufgenommen. Nach dem Tod von Georg Speyer wollte seine Witwe Franziska Speyer ihrem Mann ein Andenken setzen. Sie stiftete das Georg-Speyer-Haus, das 1906 unmittelbar neben dem Institut für experimentelle Therapie errichtet wurde. Als dessen Direktor verlagerte Ehrlich seine chemotherapeutische Forschung hierhin. Er suchte nach einem Stoff, der genauso gut wie Methylenblau wirkte, aber nicht dessen Nebenwirkungen hatte. Sein Vorbild war einerseits die Wirkung von Chinin gegen Malaria, andererseits meinte er, dass es analog zur Serumtherapie auch chemische Pharmaka geben müsse, die ebenso spezifisch für einzelne Krankheiten wirkten. Sein Ziel war eine „Therapia sterilisans magna“, also durch eine einmalige Behandlung alle Krankheitserreger abzutöten. Ein ideales Arzneimittel bezeichnete er als Zauberkugel.
Als Modell („experimentelle Therapie“) diente ihm eine Trypanosomen-Krankheit von Meerschweinchen, an denen er verschiedene chemische Substanzen erprobte. Mit Trypanrot ließen sich tatsächlich erfolgreich Trypanosomen abtöten. Seit 1906 untersuchte Ehrlich intensiv Atoxyl, das von den „Vereinigten Chemischen Werken“ in den Handel gebracht worden war. Ein wichtiger Mitarbeiter von Ehrlich wurde dabei der Chemiker Alfred Bertheim. Er ließ es neben anderen Arsenpräparaten auch von Robert Koch bei dessen Schlafkrankheitsexpedition 1906/07 erproben. Entgegen der Bedeutung des Namens („ungiftig“) schädigte Atoxyl vor allem den Sehnerv. Ehrlich baute die systematische Prüfung chemischer Verbindungen im Sinne eines „Screenings“ aus, wie es noch heute in der pharmazeutischen Industrie praktiziert wird. Als Nächstes zeigte Präparat 418, Arsenophenylglycin, im Tierversuch eine therapeutische Wirkung. Er ließ es ebenfalls in Afrika testen.

Ehrlich und sein Kollege Sahachiro Hata stellten am 31. August 1909 fest, dass das „Präparat 606“, die Arsenverbindung Arsphenamin, gegen „Spirillen“ (Spirochäten), zu denen der Erreger der Syphilis gehörte, wirksam sei. Nach Versuchen an Kaninchen wurde zur Testung an Patienten in Kliniken und Polikliniken in Zusammenarbeit mit den Farbwerken Hoechst die Produktion von Vorserienampullen begonnen. Die von Ehrlich entwickelte Seitenkettentheorie diente als Grundlage der von ihm und Hata formulierten Ansicht, dass sich das Arsenpräparat an die Spirochäten anklammere, deren Membran durchstoße und somit zerstöre, was sich inzwischen[30] als falsch herausgestellt hat.[31] Das Präparat erwies sich in Versuchen an Menschen als nebenwirkungsarm. Bei sieben an Syphilis erkrankten Patienten waren die Spirochäten verschwunden. Nach einer umfangreichen klinischen Prüfung – alle Beteiligten hatten das negative Beispiel des Tuberkulins vor Augen – brachten die Farbwerke Hoechst Ende 1910 das Präparat unter dem Namen „Salvarsan“ in den Handel.
Dies war das erste auf theoretischen Vorüberlegungen beruhende, systematisch entwickelte und spezifisch wirkende Therapeutikum,[32] das jemals hergestellt worden war. „Salvarsan“ war in Bezug auf Nebenwirkungen und Löslichkeit noch unbefriedigend, sodass es 1911 durch „Neosalvarsan“ ersetzt wurde.
Das Medikament löste den sogenannten „Salvarsan-Krieg“ aus. Es wurde einerseits von Menschen angefeindet, die eine moralische Enthemmung fürchteten. Außerdem wurde Ehrlich mit deutlich antisemitischen Tönen unterstellt, dass er sich übermäßig bereicherte. Weil es während der klinischen Prüfung zu Todesfällen gekommen war, wurde ihm sogar vorgeworfen, dass er über Leichen gehe. Außerdem reklamierte Paul Uhlenhuth die Priorität an der Entdeckung für sich. Andererseits wurden Gegner Ehrlichs, die auf die Unwirksamkeit bzw. ausgebliebene Heilerfolge durch sein Präparat hinwiesen, „fast automatisch“[33] als Antisemiten bezeichnet.[34] Ehrlich verstarb, ohne die Rehabilitierung seiner Leistungen in der Syphilistherapie noch zu erleben[35].
Nachwirkungen
Spielfilm

Ehrlichs Leben und Werk wurde 1940 von William Dieterle im US-Spielfilm Paul Ehrlich – Ein Leben für die Forschung (Originaltitel: Dr. Ehrlich’s Magic Bullet, „Dr. Ehrlichs magische Kugel“[36]) mit Edward G. Robinson in der Titelrolle verfilmt. Da der damaligen Nazi-Regierung (Paul Ehrlichs Familie, darunter seine Witwe, und seine mit ihm befreundeten Kollegen wurden ins Exil gedrängt[37][38]) diese Huldigung eines jüdischen Wissenschaftlers nicht gefiel, wurde diese Verfilmung, soweit es ging, verheimlicht.
Briefmarken und Banknote
Zum 100. Geburtstag 1954 gab die Deutsche Bundespost eine Gedenkbriefmarke für Ehrlich und den nur einen Tag jüngeren Emil von Behring heraus. Ebenso erschien im Jahr 2004 eine Briefmarke mit gleicher Thematik. Die 200-D-Mark-Banknote zeigte Ehrlich.
-
Westdeutsche Briefmarke (1954) zum 100. Geburtstag von Paul Ehrlich und Emil von Behring -
Deutsche Briefmarke zum 150. Geburtstag von Ehrlich und von Behring
Universitäres Gedenken
Auf dem Campus Niederrad des Universitätsklinikums Frankfurt der Goethe-Universität erinnert eine Stele an die verschiedenen Aspekte von Ehrlichs wissenschaftlicher Arbeit und seine Tätigkeit im voruniversitären und universitären Raum. Sie befindet sich vor dem Eingang zum Institut für Biochemie (Haus 74/75) in unmittelbarer Nachbarschaft zu einer Stele zur Erinnerung an Gustav Embden.
-
Stele zur Erinnerung an Paul Ehrlich -
Stele zur Erinnerung an Paul Ehrlich -
Stele zur Erinnerung an Paul Ehrlich -
Stele zur Erinnerung an Paul Ehrlich -
Stele zur Erinnerung an Paul Ehrlich
Ehrlich als Namensgeber
Bereits 1910 – noch zu Lebzeiten Ehrlichs – wurde in Frankfurt-Sachsenhausen eine Straße nach Ehrlich benannt. Während des Dritten Reichs wurden die Leistungen Paul Ehrlichs verschwiegen, während Emil von Behring zum Ideal eines arischen Wissenschaftlers stilisiert wurde. Ehrlichs Frau und Töchter wurden in die Emigration getrieben.[3] Die „Paul-Ehrlich-Straße“ wurde 1938 durch die Nationalsozialisten in Ludwig-Rehn-Straße[39] umbenannt; kurz nach Kriegsende wurde diese Umbenennung wieder rückgängig gemacht. Heute sind außerdem Straßen in Berlin, Hamburg, Freiburg im Breisgau, Lübeck, Kaiserslautern, Karlsruhe, Bad Homburg, Bad Nauheim, München, Langen, Leimen, Bergheim und Wien nach Ehrlich benannt. Weiterhin tragen viele Schulen, Apotheken und Kliniken seinen Namen.
Das deutsche Bundesamt für Sera und Impfstoffe (seit 2009 Bundesinstitut für Impfstoffe und biomedizinische Arzneimittel) in Langen wurde ihm zu Ehren Paul-Ehrlich-Institut genannt. Der von der Paul-Ehrlich-Stiftung vergebene Paul-Ehrlich-und-Ludwig-Darmstaedter-Preis ist der angesehenste und in der frühen Bundesrepublik höchstdotierte medizinische deutsche Wissenschaftspreis[40] für biomedizinische Forschung. Den Namen von Paul Ehrlich tragen auch die Paul-Ehrlich-Gesellschaft für Infektionstherapie e. V. (PEG) in Frankfurt am Main, die Paul-Ehrlich-Klinik in Bad Homburg vor der Höhe und der Paul Ehrlich – Günther K. Schwerin – Menschenrechtspreis der ADL.
1970 wurde der Mondkrater Ehrlich nach ihm benannt. Das UK Antarctic Place-Names Committee benannte den Mount Aciar in der Antarktis nach ihm, jedoch wurde an dem ursprünglichen Namen festgehalten. Ein Asteroid wurde 2004 nach Paul Ehrlich benannt: (65708) Ehrlich. Nach ihm heißt die Bakteriengattung der Ehrlichien.
2016 wurde der seit 1998 an der Charité – Universitätsmedizin Berlin bzw. an der Medizinischen Fakultät der Universität Frankfurt ausgetragene Benjamin Franklin / Goethe-Contest in Paul Ehrlich Contest umbenannt.[41]
Ausstellungen
- 2015: Arsen und Spitzenforschung – Paul Ehrlich und die Anfänge einer neuen Medizin, Medizinhistorisches Museum der Charité, Berlin; danach im Historischen Museum in Frankfurt am Main.
Literatur

- Ernst Bäumler: Paul Ehrlich. Forscher für das Leben. 3., durchgesehene Auflage. Edition Wötzel, Frankfurt am Main 1997, ISBN 3-7973-0345-9.
- Alfred Blaschko: Paul Ehrlich gestorben. In: Berliner Tageblatt. Band 44, 1915, Nr. 425 (Sonnabend, 21. August 1915), S. 1 f.
- Claude E. Dolman: Ehrlich, Paul. In: Charles Coulston Gillispie (Hrsg.): Dictionary of Scientific Biography. Band 4: Richard Dedekind – Firmicus Maternus. Charles Scribner’s Sons, New York 1971, S. 295–305 (englisch).
- Werner E. Gerabek: Paul Ehrlich. In: Horst Kant und andere: Harenberg Lexikon der Nobelpreisträger. Alle Preisträger seit 1901. Ihre Leistungen, ihr Leben, ihre Wirkung. Hrsg. vom Harenberg Lexikon Verlag. Harenberg, Dortmund 1998, S. 58–60.
- Friedrich Hofmann: Tödliche Welten – Die unglaubliche Geschichte von drei Medizinern, die Millionen Menschen das Leben retteten. Herder, Freiburg im Breisgau 2010, ISBN 978-3-451-06202-5.
- Axel C. Hüntelmann: Paul Ehrlich: Leben, Forschung, Ökonomien, Netzwerke. Wallstein, Göttingen 2011, ISBN 978-3-8353-0867-1.
- Werner Köhler: Ehrlich, Paul. In: Werner E. Gerabek, Bernhard D. Haage, Gundolf Keil, Wolfgang Wegner (Hrsg.): Enzyklopädie Medizingeschichte. De Gruyter, Berlin / New York 2005, ISBN 3-11-015714-4, S. 336–337.
- Fritz Krafft (Hrsg.): Vorstoß ins Unerkannte. Lexikon großer Naturwissenschaftler. 3. Auflage. Weinheim / New York / Toronto / Singapur 1999, S. 132–134 (Paul Ehrlich).
- Werner Leibbrand: Ehrlich, Paul. In: Neue Deutsche Biographie (NDB). Band 4, Duncker & Humblot, Berlin 1959, ISBN 3-428-00185-0, S. 364 f. (Digitalisat).
- Timothy Lenoir: A magic bullet: Research for profit and the growth of knowledge in Germany around 1900. In: Minerva. Band 26, Nr. 1, 1998, S. 66–88. doi:10.1007/BF01096701.
- Hans Loewe: Paul Ehrlich. Schöpfer der Chemotherapie. Stuttgart 1950.
- Martha Marquardt: Paul Ehrlich als Mensch und Arbeiter. Erinnerungen aus dreizehn Jahren seines Lebens. 1902–1915. Mit einer Einführung von Richard Koch. Deutsche Verlags-Anstalt, Stuttgart u. a. 1924. (Martha Marquardt war Ehrlichs langjährige Sekretärin)
- Florian G. Mildenberger: Kein Heil durch Arsen? Die Salvarsandebatte und ihre Konsequenzen. In: Fachprosaforschung – Grenzüberschreitungen. Band 8/9, 2012/2013, S. 327–390.
- Albert Neisser: Paul Ehrlich, gestorben den 20. August 1915. In: Arch. Dermatol. Syph. Band 121, 1915, S. 557–558.
- Heinrich Satter: Paul Ehrlich. Begründer der Chemotherapie. Leben – Werk – Vermächtnis. Oldenbourg, München 1962; 2. Auflage ebenda 1963.
- Arthur M. Silverstein: Paul Ehrlich's Receptor Immunology. The Magnificent Obsession. Academic Press, San Diego 2002, ISBN 978-0-12-643765-2. (Erläuterung der Seitenkettentheorie).
- Fritz Sörgel et al.: Vom Farbstoff zum Rezeptor: Paul Ehrlich und die Chemie. ( vom 9. April 2011 im Internet Archive) In: Nachrichten aus der Chemie. Band 52, 2004, S. 777–782. (PDF-Datei; 150 kB).
- Fritz Sörgel et al.: Welche Berufsbezeichnung wird Ehrlichs Wirken gerecht. In: Chemotherapie Journal. Band 13, Nr. 4, 2004, S. 157–165. (PDF-Datei, 340 kB)
- Gerhard Venzmer: Paul Ehrlich. Leben und Wirken. Stuttgart 1948.
- Otto H. Warburg: Paul Ehrlich. In: Hermann Heimpel, Theodor Heuss, Benno Reifenberg (Hrsg.): Die Großen Deutschen. Deutsche Biographie, Band IV. Berlin 1957, S. 186–192.
- Kirsten Weinig (Hrsg.): Kurzführer zur Ausstellung „Arsen und Spitzenforschung. Paul Ehrlich und die Anfänge einer neuen Medizin“, Berlin 2015.
- Gerhard Wolf-Heidegger: Paul Ehrlich. In: Hans Schadewaldt (Hrsg.): Die berühmten Ärzte. [2. bzw. deutsche, wesentlich erweiterte Auflage nach René Dumesnil: Médecins célèbres, Paris] Köln ohne Jahr [zwischen 1964 und 1973], S. 251–252.
Weblinks
- Paul Ehrlichs Publikationen (chronologisch geordnet, Volltext als PDF)
- Literatur von und über Paul Ehrlich im Katalog der Deutschen Nationalbibliothek
- Informationen der Nobelstiftung zur Preisverleihung 1908 an Paul Ehrlich (englisch) und Immunsystem-Lernspiel (englisch)
- Paul Ehrlich, 1854–1915 – Kurzbiografie
- Manfred Wichmann: Paul Ehrlich. Tabellarischer Lebenslauf im LeMO (DHM und HdG)
- Patentdokumente zu Paul Ehrlich
- Virtuelles Museum der Wissenschaft: Paul Ehrlich (1854–1915)
- Kurzbeschreibung des Films Dr. Ehrlich's Magic Bullet von William Dieterle aus dem Jahr 1940 (englisch)
- Zeitungsartikel über Paul Ehrlich in den Historischen Pressearchiven der ZBW
- Paul Ehrlich – Ein Leben für die Forschung
- Ehrlich, Paul. Hessische Biografie. (Stand: 24. Februar 2023). In: Landesgeschichtliches Informationssystem Hessen (LAGIS).
Einzelnachweise
- ↑ siehe Hessisches Staatsarchiv Marburg (HStAMR), Best. 908 Nr. 1568, S. 190 (Digitalisat).
- ↑ Paul Ehrlich: Die Wertbemessung des Diphtherieheilserums und dessen theoretische Grundlagen. In: Klinisches Jahrbuch. Band 6, Jena 1897, S. 299–326 (Digitalisat).
- ↑ a b Peter Kröner: Paul Ehrlich, in: Wolfgang U. Eckart und Christoph Gradmann (Hrsg.): Ärztelexikon. Von der Antike bis zum 20. Jahrhundert, 1. Aufl. 1995 C. H. Beck München, Ärztelexikon. Von der Antike bis zur Gegenwart, 2. Aufl. 2001, 3. Aufl. 2006 Springer Verlag Heidelberg, Berlin, New York. Ärztelexikon 2006, doi:10.1007/978-3-540-29585-3.
- ↑ Hüntelmann: Paul Ehrlich, S. 28.
- ↑ Andreas Mettenleiter: Das Juliusspital in Würzburg. Band III: Medizingeschichte. Herausgegeben vom Oberpflegeamt der Stiftung Juliusspital Würzburg anlässlich der 425jährigen Wiederkehr der Grundsteinlegung. Stiftung Juliusspital Würzburg, Würzburg 2001, ISBN 3-933964-04-0, S. 276.
- ↑ Jessika Hoppe: Śląscy nobliści. In: Zespół Szkół Medycznych w Prudniku. Abgerufen am 25. Januar 2021 (polnisch).
- ↑ Gundolf Keil: Robert Koch (1843–1910). Ein Essai. In: Medizinhistorische Mitteilungen. Zeitschrift für Wissenschaftsgeschichte und Fachprosaforschung. Band 36/37, 2017/2018 (2021), S. 73–109, hier: S. 80.
- ↑ Über die neueren Forschungen Ehrlichs über Bakteriengifte und Immunität (Feuilleton) in Vossische Zeitung, 11. September 1902.
- ↑ Ernst Bäumler: Paul Ehrlich. Forscher für das Leben. 3. Auflage. Frankfurt am Main 1997, S. 182.
- ↑ Florian G. Mildenberger (2012/13), S. 332 f.
- ↑ Gundolf Keil: Robert Koch (1843–1910). Ein Essai. In: Medizinhistorische Mitteilungen. Zeitschrift für Wissenschaftsgeschichte und Fachprosaforschung. Band 36/37, 2017/2018 (2021), S. 73–109, hier: S. 80.
- ↑ Florian G. Mildenberger: Arzt, Autor, Außenseiter: Kurt Rüdiger v. Roques (1890–1966). In: Medizinhistorische Mitteilungen. Zeitschrift für Wissenschaftsgeschichte und Fachprosaforschung. Band 36/37, 2017/2018 (2021), S. 135–146, hier: S. 136 f.
- ↑ Eine verunglückte Salvarsandebatte. In: Naturarzt. Band 46, 1918, S. 39.
- ↑ Florian G. Mildenberger (2012/13), S. 334 f.
- ↑ Andreas Mettenleiter: Das Juliusspital in Würzburg. Band III: Medizingeschichte. Herausgegeben vom Oberpflegeamt der Stiftung Juliusspital Würzburg anlässlich der 425-jährigen Wiederkehr der Grundsteinlegung. Stiftung Juliusspital Würzburg, Würzburg 2001, ISBN 3-933964-04-0, S. 564.
- ↑ Mitglieder: Paul Ehrlich. Niedersächsische Akademie der Wissenschaften zu Göttingen, abgerufen am 14. September 2025.
- ↑ 157 (Kungl. Svenska Vetenskapsakademien : Personförteckningar 1739-1915). 1915, abgerufen am 5. Mai 2018 (schwedisch).
- ↑ Eintrag zu Ehrlich; Paul (1854 - 1910) im Archiv der Royal Society, London
- ↑ Fellows Directory. Biographical Index: Former RSE Fellows 1783–2002. (PDF) Royal Society of Edinburgh, abgerufen am 3. Dezember 2019.
- ↑ Kornelia Grundmann: Emil Von Behring in Marburg – Ein Lesebuch (= Magistrat der Universitätsstadt Marburg [Hrsg.]: Marburger Stadtschriften zur Geschichte und Kultur. Band 112). Rathaus-Verlag, Marburg 2019, ISBN 978-3-942487-14-6, S. 86.
- ↑ Wegweiser zu den Grabstätten bekannter Persönlichkeiten auf Frankfurter Friedhöfen. Frankfurt am Main 1985, S. 49.
- ↑ Beiträge zur Kenntniss der Anilinfärbungen und ihre Verwendung in der mikroskopischen Technik. In: Archiv für mikroskopische Anatomie. Bd. 13, 1877, S. 263–277.
- ↑ Paul Diepgen, Heinz Goerke: Aschoff/Diepgen/Goerke: Kurze Übersichtstabelle zur Geschichte der Medizin. 7., neubearbeitete Auflage. Springer, Berlin/Göttingen/Heidelberg 1960, S. 49.
- ↑ Paul Diepgen, Heinz Goerke: Aschoff/Diepgen/Goerke: Kurze Übersichtstabelle zur Geschichte der Medizin. 7., neubearbeitete Auflage. Springer, Berlin/Göttingen/Heidelberg 1960, S. 48.
- ↑ Gundolf Keil: Robert Koch (1843–1910). Ein Essai. 2017/2018, S. 84 f.
- ↑ Paul Diepgen, Heinz Goerke: Aschoff/Diepgen/Goerke: Kurze Übersichtstabelle zur Geschichte der Medizin. 7., neubearbeitete Auflage. Springer, Berlin/Göttingen/Heidelberg 1960, S. 48.
- ↑ Gundolf Keil: Robert Koch (1843–1910). Ein Essai. In: Medizinhistorische Mitteilungen. Zeitschrift für Wissenschaftsgeschichte und Fachprosaforschung. Band 36/37, 2017/2018 (2021), S. 73–109, hier: S. 84.
- ↑ Vgl. auch Arthur M. Silverstein: Paul Ehrlich’s receptor immunology. The magnificient obsession. San Diego 2002.
- ↑ Gundolf Keil: Robert Koch (1843–1910). Ein Essai. In: Medizinhistorische Mitteilungen. Zeitschrift für Wissenschaftsgeschichte und Fachprosaforschung. Band 36/37, 2017/2018 (2021), S. 73–109, hier: S. 84.
- ↑ Nicholas C. Lloyd, Hugh W. Morgan, Brian K. Nicholson, Ron S. Ronimus: The composition of Ehrlich’s Salvarsan: Resolution of a century old debate. In: Angewandte Chemie, International Edition. Band 44, 2005, S. 941–944, hier: S. 943.
- ↑ Florian G. Mildenberger (2012/13), S. 334.
- ↑ Hüntelmann: Paul Ehrlich, S. 10.
- ↑ Florian G. Mildenberger: Kein Heil durch Arsen? Die Salvarsandebatte und ihre Konsequenzen. In: Fachprosaforschung - Grenzüberschreitungen 8/9, 2012/2013, S. 327–390, hier: S. 327 f.
- ↑ Wolfgang Weyers: The abuse of man. An illustrated history of dubious medical experimentation. New York 2003, S. 148 ff.
- ↑ Stefan Winkle: Kulturgeschichte der Seuchen. Komet, Düsseldorf/Zürich 1997, ISBN 3-933366-54-2, S. 602.
- ↑ Vgl. auch Paul de Kruif: Paul Ehrlich. Die magische Kugel – das Salvarsan. In: Paul de Kruif: Mikrobenjäger. (Originalausgabe: Microbe Hunters. Harcourt, Brace & Co., New York 1926) Orell Füssli Verlag, Zürich/Leipzig 1927; 8. Auflage ebenda 1940, S. 324–346.
- ↑ Gerhard Venzmer (1948), S. III.
- ↑ Florian G. Mildenberger (2012/2013), S. 361 f.
- ↑ georg-speyer-haus.de, abgerufen am 21. Mai 2017
- ↑ Florian G. Mildenberger: Kein Heil für Arsen? Die Salvarsandebatte und ihre Konsequenzen. 2012/13, S. 327 f.
- ↑ www.paul-ehrlich-contest.de, abgerufen am 2. Juli 2018
