Embolie
| Klassifikation nach ICD-10 | |
|---|---|
| I74.9 | Embolie und Thrombose nicht näher bezeichneter Arterie |
| I82.9 | Embolie und Thrombose nicht näher bezeichneter Vene |
| T79.0 | Luftembolie (traumatisch) |
| T79.1 | Fettembolie (traumatisch) |
| ICD-10 online (WHO-Version 2019) | |
Unter einer Embolie [] versteht man in der Medizin den teilweisen oder vollständigen plötzlichen Verschluss eines Blutgefäßes durch mit dem Blut eingeschwemmtes Material. Dieser Embolus kann aus körpereigenen und fremden Substanzen wie Fetttropfen, Fruchtwasser, Blutgerinnsel (losgelöster Gefäßpfropf) oder Luftblasen bestehen.
Wortherkunft
„Embolie“ ist eine von Rudolf Virchow, der kleine geronnene Blutanteile „Emboli“ nannte, geprägte Bezeichnung[1] und abgeleitet von altgriechisch ἐμβάλλω emballo „hineinwerfen“ und Embolus „Gefäßpfropf“.
Einteilung


Embolien lassen sich einteilen:
- nach der Ursache:
- Thrombembolie (Einschwemmen eines Blutgerinnsels)
- Fettembolie (Einschwemmen von Fetttröpfchen, z. B. nach großen, offenen Knochenbrüchen)
- Gasembolie bzw. Luftembolie (nach Injektion von Luft oder durch Gasbläschenbildung bei zu schnellem Auftauchen aus großer Tiefe, siehe Dekompressionskrankheit; in der Veterinärmedizin: Gasblasenkrankheit der Fische)
- Tumorembolie (Verstopfung der Gefäße durch Tumorgewebe) als wichtiger Mechanismus der Metastasierung
- Fruchtwasserembolie (Geburtskomplikation)
- Septische Embolie (z. B. bei bakterieller Endokarditis)
- Cholesterinembolie (nicht synonym mit Fettembolie): meist aus rupturierten Plaques der Arterienwand
- Zementembolie durch in Venen übergetretenen Knochenzement zum Beispiel im Rahmen einer Kyphoplastie oder einer Endoprothesenimplantation
- Fremdkörperembolie zum Beispiel durch einen abgerissenen Katheter[2]
- Talkumembolie bei intravenösem Drogenkonsum[2]
- nach Ort der Embolie:
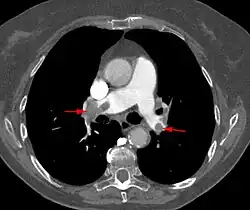
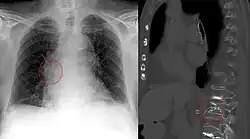
- Lungenembolie (= venöse Embolie): Der Embolus stammt aus Körpervenen und verstopft nach Passage der rechten Herzhälfte Lungenarterien.
- Arterielle Embolie: Embolus stammt aus dem Herzen oder großen Arterien und verstopft Arterien (z. B. Schlaganfall, Herzinfarkt, Mesenterialinfarkt, Verschluss einer Beinarterie, Retinaler Arterienverschluss)
- Paradoxe Embolie (= gekreuzte Embolie): Der Embolus stammt aus den Venen und verstopft Arterien (abgesehen von den Lungenarterien). Nur möglich bei Durchtritt des Thrombus durch eine offene Vorhofscheidewand (persistierendes Foramen ovale oder andere Formen des Atriumseptumdefektes) oder durch einen Ventrikelseptumdefekt.
- Ein Embolus, der auf einer Gefäßaufzweigung (Bifurkation) hängt, wird als reitender Embolus bezeichnet.
Häufigste Embolien sind Thrombembolien nach einer Thrombose der tiefen Beinvenen (Lungenembolie) und Thrombembolien in den Arterien des Gehirns (Schlaganfall). In Deutschland sterben jährlich 20.000 bis 25.000 Menschen an einer Embolie.
Prophylaxe
Thrombosen können bei Risikopatienten durch die prophylaktische subkutane Injektion von Heparinen, heute meist niedermolekulares Heparin, oder vor allem auch durch physikalische Maßnahmen wie Frühmobilisierung, intermittierender Kompression oder medizinische Thromboseprophylaxestrümpfe (MTPS) vermieden werden. Heparine werden bei Patienten mit hohem Risiko gegeben, physikalische Prophylaxe ist bei allen Risikogruppen indiziert. Siehe hierzu auch die AWMF-S3-Leitlinie zur ambulanten und stationären Thromboembolie-Prophylaxe, die von 20 operierenden ärztlichen Berufsgruppen ratifiziert wurde.
Therapie
Embolien, die aus Thromben entstanden sind, können unter Umständen mit Medikamenten aufgelöst werden (Thrombolyse). Gelegentlich ist auch eine Operation zur Entfernung des Embolus notwendig (Embolektomie).
Siehe auch
Literatur
- Helmut Vinazzer (Hrsg.): Thrombose und Embolie (= Anaesthesiologie und Intensivmedizin. Band 134). Springer, Berlin / Heidelberg / New York 1981, ISBN 3-540-10393-7.
Weblinks
Einzelnachweise
- ↑ Heinz Otremba: Rudolf Virchow. Begründer der Zellularpathologie. Eine Dokumentation. Echter-Verlag, Würzburg 1991, S. 22 f.
- ↑ a b Gerd Herold: Innere Medizin 2019. Köln 2018, S. 839.