Fruchtwasserembolie

Klassifikation nach ICD-10
O88.1 Fruchtwasserembolie
{{{02-BEZEICHNUNG}}}
{{{03-BEZEICHNUNG}}}
{{{04-BEZEICHNUNG}}}
{{{05-BEZEICHNUNG}}}
{{{06-BEZEICHNUNG}}}
{{{07-BEZEICHNUNG}}}
{{{08-BEZEICHNUNG}}}
{{{09-BEZEICHNUNG}}}
{{{10-BEZEICHNUNG}}}
{{{11-BEZEICHNUNG}}}
{{{12-BEZEICHNUNG}}}
{{{13-BEZEICHNUNG}}}
{{{14-BEZEICHNUNG}}}
{{{15-BEZEICHNUNG}}}
{{{16-BEZEICHNUNG}}}
{{{17-BEZEICHNUNG}}}
{{{18-BEZEICHNUNG}}}
{{{19-BEZEICHNUNG}}}
{{{20-BEZEICHNUNG}}}
Vorlage:Infobox ICD/Wartung {{{21BEZEICHNUNG}}}
ICD-10 online (WHO-Version 2019)
Klassifikation nach ICD-11
JB42.1 Fruchtwasserembolie
ICD-11: EnglischDeutsch (Entwurf)
Pathomechanismus der Fruchtwasserembolie[1]

Eine Fruchtwasserembolie ist eine Sonderform einer Embolie, bei der während der Entbindung Fruchtwasser, einschließlich seiner festen Anteile, über die Gebärmutter in den mütterlichen Kreislauf eindringt. Dadurch werden Lungenarteriolen oder Kapillaren verlegt und das Gerinnungssystem beeinträchtigt. Sie ist eine seltene, aber gefährliche und von Geburtshelfern gefürchtete Notfallsituation, da sie meist dramatisch verläuft und oft tödlich endet. Überlebende Mütter und Kinder erleiden häufig Hirnschäden.

Die Fruchtwasserembolie wird synonym auch als Geburtshilfliches Schock-Syndrom, Amnioninfusionssyndrom (englisch Amniotic fluid embolism – AFE), Anaphylaktisches Schwangerschaftssyndrom (englisch Anaphylactoid syndrome of pregnancy) oder Steiner-Lushbaugh-Syndrom bezeichnet. Die Vorgänge wurden 1926 von J. Ricardo Meyer erstmals beschrieben und 1941 von Steiner und Lushbaugh als eigenständige Krankheit definiert.

Bis heute ist eine Fruchtwasserembolie nicht vorhersehbar und nur schlecht zu diagnostizieren und zu behandeln. Vorbeugende Maßnahmen sind nicht bekannt.

Vorkommen

Die Angaben in der medizinischen Fachliteratur zur Häufigkeit (Inzidenz) der Fruchtwasserembolie schwanken erheblich und werden mit einem Erkrankungsfall auf 800 bis 80.000 Geburten angegeben. In Industrieländern wird eine Inzidenz von 1:20.000 bis 80.000 Geburten angenommen.[2] Die unterschiedlichen Angaben zur Inzidenz rühren daher, dass es schwierig ist, eine sichere Diagnose zu stellen.[3] In Großbritannien ist die Fruchtwasserembolie die vierthäufigste Ursache für mütterliche Todesfälle mit einer Häufigkeit von 0,77 pro 100.000 Entbindungen.[4] In Australien wurde sie im Zeitraum von 1964 bis 1990 als Todesursache bei 0,9 von 100.000 Entbindungen registriert.[5] In Frankreich war dies von 1996 bis 1998 bei 1,5 und in den Jahren 1999 bis 2001 bei 0,5 von 100.000 Entbindungen der Fall.[6]

Innerhalb der ersten Stunde sterben 25 bis 34 % der Mütter. Nur 16 bis 20 % der Mütter überleben letztlich ein solches Ereignis. 70 % aller Fruchtwasserembolien ereignen sich unter der Geburt, 11 % nach der vaginalen Entbindung und 19 % während eines Kaiserschnitts nach Entwicklung des Kindes. Die kindliche Sterblichkeit beträgt bei Fruchtwasserembolien, die sich vor oder während der Geburt ereignen, bis zu 50 %.[7][8]

Obwohl eine Fruchtwasserembolie fast immer unter oder kurz nach der Geburt auftritt, existieren auch Einzelfallberichte über Fruchtwasserembolien im ersten und zweiten Schwangerschaftsdrittel. Das Krankheitsgeschehen setzte dort in Verbindung mit invasivem Vorgehen bei verhaltener Fehlgeburt oder Aborteinleitung ein, wurde jedoch noch nicht bei Ausschabungen wegen einer Fehlgeburt beobachtet.[9] Auch bei der selten durchgeführten Infusion von physiologischer Kochsalzlösung in die Amnionhöhle zur Mekoniumaspirationsprophylaxe[10] und bei einer Fruchtwasserpunktion[11][12] wurden mehrere Fälle von Fruchtwasserembolie beschrieben. Ebenso kann stumpfe Gewalt gegen den Bauch (Abdominaltrauma) zur Fruchtwasserembolie führen.[13]

Krankheitsentstehung

Die Pathophysiologie der Fruchtwasserembolie ist bis heute nicht vollständig geklärt. Einerseits handelt es sich um eine Sonderform der Lungenembolie, die durch den Kontakt von Fruchtwasserbestandteilen mit dem mütterlichen Blutkreislauf ausgelöst wird. Dabei besteht oft ein zeitlicher Zusammenhang zum Blasensprung, sodass dieser als eine mögliche Ursache angesehen wird.[14] Andererseits wird ein ganzer Komplex an Reaktionen ausgelöst, der über eine Embolie weit hinausgeht.

Das Fruchtwasser dringt über das eröffnete Bett der Plazenta (Plazentahaftstelle), über eine Verletzung des Venengeflechts der Gebärmutter oder über Verletzungen von Gefäßen des Gebärmutterhalses in das venöse System der Mutter ein. Von dort aus gelangt es über die rechte Herzseite in die Lungenarterien[15] oder aber über Shunts im Herzen oder in der Lunge in die linke Herzseite und dann in den Körperkreislauf.[1]

Die Mechanismen bei der Entstehung der Fruchtwasserembolie sind nur in Teilen bekannt. Die Erklärungen der Vorgänge beruhen auf klinischen Beobachtungen und teilweise auf Tierversuchen.

Es führt jedoch nicht jeder Kontakt von Fruchtwasser und seinen Bestandteilen mit dem mütterlichen Kreislauf zu einer Fruchtwasserembolie. 1961 war zwar bei fast der Hälfte von 220 mütterlichen Todesfällen Trophoblast-Gewebe in der Lunge nachgewiesen worden, allerdings hatte weniger als 1 % der Frauen klinische Hinweise auf eine Fruchtwasserembolie gezeigt.[18] Normalerweise gelangen nur geringe Fruchtwassermengen (1 bis 2 ml) unter der Geburt in den mütterlichen Kreislauf. Um die Reaktionskette in Gang zu setzen, muss eine größere Menge Fruchtwasser in den mütterlichen Kreislauf übertreten.[15]

Risikofaktoren

Als prädisponierende Faktoren für das Krankheitsbild gelten die Uterusruptur, Geburtsverletzungen (z. B. hoher Scheidenriss, Zervixriss), die manuelle Plazentalösung, eine vorzeitige Plazentalösung, vaginal-operative Entbindungen, ein erhöhter intrauteriner Druck (z. B. bei großem Kind, Mehrlingen oder Polyhydramnion), die Kristellerhilfe (durch die Stempelwirkung) und eine Wehenmittelüberdosierung. Allerdings bestand in einigen Untersuchungen keine Beziehungen zu fetaler Makrosomie und zu einer Überdosierung des Wehenmittels Oxytocin.[5]

Außerdem fanden kanadische Forscher ein häufigeres Auftreten von Fruchtwasserembolien im Zusammenhang mit einem Schwangerschaftsdiabetes, mit einer Präeklampsie, mit einem höheren Alter der Mutter, mit einem Kaiserschnitt und mit einer Geburtseinleitung.[19] 88 % der Betroffenen sind Mehrgebärende. Bei 41 % der Patientinnen mit einer Fruchtwasserembolie finden sich anamnestisch Hinweise auf Allergien oder Atopie. Zudem wurde eine Fruchtwasserembolie gehäuft im Zusammenhang mit männlichen Föten beobachtet.[7]

Die prädisponierenden Faktoren erhöhen zwar das Risiko einer Fruchtwasserembolie, können jedoch nicht als deren Ursache angesehen werden. Das Krankheitsbild gilt als unvorhersehbar. Vorbeugende Maßnahmen sind nicht bekannt.[20]

Symptomatik und Verlauf

Symptomatik und Verlauf der Fruchtwasserembolie[21]

Klinische Kriterien

Die nationalen Amniotic fluid embolism (AFE)-Register in den USA und Großbritannien stellten klinische Kriterien auf, die die Verdachtsdiagnose einer Fruchtwasserembolie erlauben:

  • akuter Blutdruckabfall oder Herzstillstand
  • akute Hypoxie (Dyspnoe, Zyanose oder Atemstillstand)
  • Gerinnungsstörung (laborchemischer Nachweise einer disseminierten intravasalen Gerinnung) oder schwere Blutungen
  • Beginn der Symptome unter Wehen oder bis 30 Minuten nach der Geburt des Kindes
  • keine anderen klinischen Zeichen oder Erklärungen für die Symptomatik[7][22]

Phasen

Eine Fruchtwasserembolie läuft in mehreren Stadien ab, von denen jedes potentiell tödlich ist.[14]

Als Vorzeichen können Atembeschwerden, Kältegefühl, innere Unruhe, Lichtscheu, Angstzustände, Empfindungsstörungen der Finger, Übelkeit und Erbrechen auftreten. Das Intervall zwischen diesen ersten Anzeichen und der akuten Symptomatik kann sehr kurz sein, aber auch bis zu 4 Stunden betragen.[14]

Im Frühstadium, innerhalb der ersten Minuten, zeigen die Patientinnen aus völligem Wohlbefinden Atemnot mit Zyanose und Krampfanfälle. Zudem finden sich Schockzeichen. Brustschmerzen treten, entgegen früheren Annahmen, bei über der Hälfte der Frauen auf.[8][14] Heftige Wehen bis hin zur Uterustetanie bestehen bei etwa einem Viertel der Frauen.[15]

Überlebt die Frau diese erste Phase, treten im zweiten Stadium mit einer Latenzzeit von 0,5 bis 12 Stunden Blutungen auf, die Folge der generalisierten Gerinnung mit Verbrauchskoagulopathie sind. Aufgrund der großen Wundflächen nach Ablösen der Plazenta besteht das Risiko, an einem hämorrhagischen Schock zu versterben.[14]

Im Spätstadium entwickelt sich ein Atemnotsyndrom mit Lungenödem. Es kommt zu einer Hyperfibrinolyse und als Folge des Schocks möglicherweise zu einem Multiorganversagen. Da die zweite und dritte Phase fließend ineinander übergehen, werden sie häufig auch zusammengefasst und der gesamte Verlauf als biphasisch bezeichnet.[7][15]

Kindliche Reaktionen

Beim Ungeborenen kommt es durch die verminderte Sauerstoffversorgung zu Herzfrequenzveränderungen. Diese äußern sich als Auffälligkeiten im CTG, wie Tachykardie, späte Dezelerationen, eine Abnahme der Bandbreite, verlängerte variable Dezelerationen und Bradykardie. Allerdings sind auch Fälle mit unauffälligem CTG trotz bestehender fetaler Bedrohung beschrieben. Wird die Sauerstoffversorgung nicht schnell verbessert oder kein Notkaiserschnitt durchgeführt, stirbt das Kind nach kurzer Zeit (intrauteriner Fruchttod).[14]

Diagnosestellung

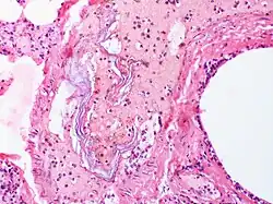
Fetale Zellabschilferungen im Lumen von Lungengefäßen

Die klinische Diagnose einer Fruchtwasserembolie ist eine Ausschlussdiagnose. Sie muss wegen des hochakuten Geschehens schnell gestellt werden, damit schon bei dem Verdacht entsprechende Maßnahmen eingeleitet werden können. Dabei müssen differentialdiagnostisch verschiedene Erkrankungen in Betracht gezogen werden.[23]

Laborchemisch zeigen sich Zeichen der Verbrauchskoagulopathie:

Im EKG finden sich anfangs eine Tachykardie und ST-Strecken-Veränderungen, später Zeichen der Rechtsherzbelastung. Die Sauerstoffsättigung im Blut ist reduziert.[23] Selbst ein Nachweis von fetalen Bestandteilen im Blut aus der rechten Herzkammer kann die Diagnose nur stützen, aber nicht beweisen.[21]

Differentialdiagnosen einer Fruchtwasserembolie[24]
Lungenprobleme Blutdruckabfall und Schocksymptome Gerinnungsstörungen und akute Blutungsursachen Neurologische und andere mit Krämpfen einhergehende Erkrankungen
Lungenembolie (thrombotisch, Luft, Fett)
Lungenödem
Narkosezwischenfall
Aspiration
septischer Schock
hämorrhagischer Schock
Herzinfarkt
anaphylaktische Reaktion
Herzrhythmusstörungen
Disseminierte intravasale Gerinnung
vorzeitige Plazentalösung
Uterusruptur
Uterusatonie
Eklampsie
Epilepsie
Zerebrovaskuläre Insuffizienz
Hypoglykämie

Sicher diagnostizieren kann man eine Fruchtwasserembolie erst post mortem im Rahmen einer Obduktion, indem man histologisch Fruchtwasser oder korpuskuläre Anteile in den Kapillaren der Lunge nachweist. Dies dient oftmals auch dazu, vermutete Behandlungsfehler durch Ärzte und Hebammen auszuschließen.[25]

Therapie

Eine spezifische oder ursächliche Behandlung der Fruchtwasserembolie ist nicht möglich. Die Behandlung der Patientin erfolgt bereits bei Verdacht auf eine Fruchtwasserembolie symptomatisch, jedoch intensivmedizinisch. Dabei steht die Stabilisierung des Zustands der Patientin im Vordergrund.[21]

Fast immer ist eine endotracheale Intubation mit einer künstlichen Beatmung notwendig. Durch Infusion (als Volumenersatz) wird, möglichst unter Kontrolle des zentralen Venendrucks, dem Blutdruckabfall entgegengewirkt. Indem Medikamente, die die Lungenstrombahn erweitern, verabreicht werden, wird einer Rechtsherzinsuffizienz entgegengewirkt. Um die immunologischen Komponenten zu behandeln, ist es sinnvoll, Glucocorticoide zu geben.[21]

Lässt sich der mütterliche Zustand stabilisieren, ist eine rasche vaginale Entbindung möglich. Kommt es innerhalb von 4 bis 5 Minuten zu keiner Verbesserung, ist aufgrund des drohenden Todes des Kindes ein Notkaiserschnitt, auch bei scheinbar sterbender Mutter (Peri-mortem-Schnittentbindung), angezeigt.[21][26] Dies verbessert auch die Chancen bei der Herz-Lungen-Wiederbelebung der Mutter.[27]

Nach der Geburt des Kindes muss Oxytocin per Infusion auch in Kombination mit Mutterkornalkaloiden wie Methylergometrin zur Verhinderung einer Uterusatonie mit massiven vaginalen Blutungen verabreicht werden. Diese Mittel fördern die Kontraktion der Gebärmutter und verringern damit Blutungen. Auf die Gabe von Prostaglandinen muss verzichtet werden, da diese potenziell vasokonstriktorische Effekte auf die Lungengefäße haben kann.[14]

Beim Überleben der ersten Phase ist die Patientin intensivmedizinisch zu überwachen. Zur Behandlung der Gerinnungsstörung sind die Gabe von Antifibrinolytika und eine Behandlung mit gefrorenem Frischplasma (fresh frozen plasma, FFP) sowie als Ultima Ratio bei fortbestehender Blutung und Thrombozytenzahlen unter 50.000/μl die Transfusion von Thrombozyten-Konzentraten möglich. Der Blutverlust wird mit Erythrozyten-Konzentraten ausgeglichen.[21] Auch Behandlungsversuche mit Kryopräzipitaten und rekombinantem Faktor VII (rFVIIa) wurden unternommen.[21][28][29] Außerdem wurde über erfolgreiche Gebärmutterarterienembolisationen zur Behandlung der starken Blutungen aus der Gebärmutter berichtet.[30]

Prognose

Die Prognose der Fruchtwasserembolie ist schlecht. Sie verursacht eine hohe mütterliche und kindliche Sterblichkeit.[31] Von den überlebenden Frauen entwickeln 11 % und von den überlebenden Kindern 61 % bleibende neurologische Schäden. Insbesondere nach Fruchtwasserembolien mit mekoniumhaltigem Fruchtwasser waren bei überlebenden Frauen häufiger neurologische Auffälligkeiten mit hirnanatomischen Korrelaten nachweisbar. Die Prognose ist außerdem von einer schnellen Behandlung abhängig.[5] Eine Peri-mortem-Schnittentbindung nach 4 bis 5 Minuten erfolgloser Wiederbelebung verbessert die Wiederbelebungschancen für die Frau und die Überlebenschancen für das Kind.[32][33]

Aufgrund der geringen Fallzahlen kann das Risiko einer erneuten Fruchtwasserembolie in einer Folgeschwangerschaft nicht beurteilt werden. Es sind aber komplikationslose Schwangerschaften berichtet worden. Die Empfehlung einer primären Schnittentbindung zur Vermeidung von Wehen wird kontrovers beurteilt.[1][34]

Geschichte

Der deutsche Pathologe Georg Schmorl berichtete 1893 erstmals über fetale Zellen in der mütterlichen Lunge, die er bei Autopsien von 17 Frauen, die nach einer Eklampsie verstorben waren, gefunden hatte. Er sah darin eine mögliche Ursache der Eklampsie.[35]

Eine Fruchtwasserembolie wurde durch J. Ricardo Meyer in Brasilien zwar bereits 1926 erstmals beschrieben,[36] allerdings publizierte M. R. Warden 1927 Ergebnisse seiner Tierversuche mit intravenöser Injektion von Fruchtwasser, in dem auch er noch eine mögliche Ursache der Eklampsie sah.[37]

Erst 1941 wurde die Fruchtwasserembolie durch die Amerikaner Paul E. Steiner und Clarence Lushbaugh als eigenständiges Krankheitsbild definiert und 1949 als Geburtshilfliches Schock-Syndrom genauer beschrieben.[38][39] Es wurde daher zeitweilig auch als Steiner-Lushbaugh-Syndrom bezeichnet.[40][41]

1961 wiesen die britischen Pathologen Attwood und Park bei fast der Hälfte von 220 mütterlichen Todesfällen Trophoblast-Gewebe in der Lunge nach, obwohl weniger als 1 % der Frauen klinische Hinweise auf eine Fruchtwasserembolie geboten hatten.[18] Daher schied dieses als alleinige Ursache für das Krankheitsbild aus. Selbst ein Zusammenhang zur Fruchtwasserembolie ist fraglich. Im Rahmen einer Schwangerschaft gelangen offenbar fetale Zellen zwangsläufig in die mütterliche Zirkulation. Dieses Phänomen wird als physiologisch angesehen. Eine Embolie mit teilweisem Verschluss der Lungenstrombahn ist jedoch nicht als normal anzusehen und scheint häufiger mit krankhaften Veränderungen der Plazenta, wie einer Placenta accreta oder Placenta praevia, und Manipulationen an der Gebärmutter verbunden zu sein.[42]

Da in einigen Untersuchungen bei einer Fruchtwasserembolie die typischen Symptome einer Anaphylaxie vorherrschten, wird das Krankheitsbild auch als Anaphylactoid syndrome of pregnancy (Anaphylaktisches Schwangerschaftssyndrom) bezeichnet.[7]

In den USA und Großbritannien wurden spezielle Register geschaffen, um Fälle von Fruchtwasserembolie zu erfassen. Das U. S. National AFE Registry wurde 1998 von Steven L. Clark, einem Gynäkologen an der University of Utah School of Medicine, begründet.[7] Derek J. Tuffnell, Leiter der Frauenklinik am Bradford Royal Infirmary, initiierte das britische UKOSS Amniotic fluid embolism register. Es wird seit 2005 als Teil des U. K. Obstetric Surveillance Systems (UKOSS) der seit 1978 bestehenden National Perinatal Epidemiology Unit der University of Oxford zur Untersuchung seltener Erkrankungen in der Schwangerschaft geführt und vom Royal College of Obstetricians and Gynaecologists (RCOG) unterstützt.[4][43][44]

Literatur

Deutschsprachig

Englischsprachig

  • Hung N. Winn, R. H. Petrie: Amniotic fluid embolism. In: Hung N. Winn, John C. Hobbins: Clinical maternal-fetal medicine. Taylor & Francis, 2000, ISBN 1-85070-798-7, Kapitel 11 in der Google Buchsuche.
  • Maureen Boyle: Amniotic fluid embolism. In: Maureen Boyle: Emergencies around childbirth: a handbook for midwives. Radcliffe Publishing, 2002, ISBN 1-85775-568-5, Kapitel 7 in der Google Buchsuche.
  • Charlotte Howell, Kate Grady, Charles Cox: Amniotic fluid embolism. In: Managing Obstetric Emergencies and Trauma: The MOET Course Manual. RCOG, 2007, ISBN 978-1-904752-21-9, Kapitel 5 in der Google Buchsuche.
  • Steven L. Clark: Managing obstetric emergencies: Anaphylactoid syndrome of pregnancy (aka AFE). Contemporary OB/GYN, Juli 2018, online

Einzelnachweise

  1. a b c Alfredo Gei, Gary D. V. Hankins: Amniotic fluid embolus: An update. In: Contemp Ob/Gyn., 45, 2000, S. 53–66, online.
  2. A. Peitsidou, P. Peitsidis, V. Tsekoura u. a.: Amniotic fluid embolism managed with success during labour: report of a severe clinical case and review of literature. In: Arch Gynecol Obstet. 277 (2008), S. 271–275, doi:10.1007/s00404-007-0489-z.
  3. Ludwig Spätling: Fruchtwasserembolie. In: Der Gynäkologe. 30 (1997), S. 757–761.
  4. a b D. J. Tuffnell, H. Johnson: Amniotic fluid embolism: the UK register. In: Hosp Med. 61 (2000), S. 532–534, PMID 11045220.
  5. a b c A. Burrows, S. K. Khoo: The amniotic fluid embolism syndrome: 10 years’ experience at a major teaching hospital. In: Aust New Zealand J Obstet Gynecol., 35, 1995, S. 245–250, doi:10.1111/j.1479-828X.1995.tb01973.x.
  6. Rapport du Comité national d’experts sur la mortalité maternelle. (CNEMM) (Bericht der Nationalen Expertenkommission zur Müttersterblichkeit). Dezember 2006, S. 35, invs.sante.fr (Memento des Originals vom 19. Oktober 2009 im Internet Archive)  Info: Der Archivlink wurde automatisch eingesetzt und noch nicht geprüft. Bitte prüfe Original- und Archivlink gemäß Anleitung und entferne dann diesen Hinweis.@1@2Vorlage:Webachiv/IABot/www.invs.sante.fr (PDF; 475 kB).
  7. a b c d e f g Steven L. Clark, G. Hankins, D. Dudley u. a.: Amniotic fluid embolism: analysis of the national registry. In: Am J Obstet Gynecol., 172, 1995, S. 1158–1167, PMID 7726251
  8. a b R. Mander, G. Smith: Saving mothers’ lives (formerly Why mothers die): Reviewing maternal deaths to make motherhood safer 2003–2005. In: Midwifery, 24, 2008, S. 8–12, PMID 18282645.
  9. R. Guidotti, D. Grimes, W. Cates: Fatal amniotic fluid embolism during legally induced abortion, United States, 1972 to 1978. In: Am J Obstet Gynecol., 141, 1981, S. 257–261, PMID 7282806.
  10. G. Dorairajan, S. Soundararaghavan: Maternal death after intrapartum saline amnioinfusion – report of two cases. In: BJOG, 112, 2005, S. 1331–1333, doi:10.1111/j.1471-0528.2005.00708.x.
  11. T. H. Hasaart, G. G. Essed: Amniotic fluid embolism after transabdominal amniocentesis. In: Eur J Obstet Gynecol Reprod Biol. 16 (1983), S. 25–30, PMID 6628816.
  12. J. Dodgson, J. Martin, J. Boswell, H. B. Goodall, R. Smith: Probable amniotic fluid embolism precipitated by amniocentesis and treated by exchange transfusion. In: British medical journal (Clinical research ed.). Band 294, Nummer 6583, Mai 1987, S. 1322–1323, PMID 3109636, PMC 1246486 (freier Volltext).
  13. C. Ellingsen, T. Eggebo, K. Lexow: Amniotic fluid embolism after blunt abdominal trauma. In: Resuscitation. 75 (2007), S. 180–183, doi:10.1016/j.resuscitation.2007.02.010.
  14. a b c d e f g R. Lachmann, G. Kamin, F. Bender, M. Jaekel, W. Distler: Fruchtwasserembolie. Übersicht und Darstellung von Fällen mit gutem Outcome. In: Gynäkologe. 41 (2008), S. 420–426, doi:10.1007/s00129-008-2136-6.
  15. a b c d e Joachim Wolfram Dudenhausen, Hermann P. G. Schneider, Gunther Bastert: Frauenheilkunde und Geburtshilfe. Walter de Gruyter, 2002, ISBN 3-11-016562-7, S. 638–640. in der Google Buchsuche.
  16. Carlo Bouchè, M. Casarotto, U. Wiesenfeld, R. Bussani, R. Addobati, P. Bogatti: Pathophysiology of Amniotic Fluid Embolism: new considerations and remarks for syndrome diagnosis.
  17. Sven Hildebrandt: Fruchtwasserembolie – ein seltener, aber schwerer geburtshilflicher Notfall. In: Hebamme. 18 (2005), S. 153–155, doi:10.1055/s-2005-918610.
  18. a b H. D. Attwood, W. W. Park: Embolism to the lungs by trophoblast. In: BJOG. 68 (1961), S. 611–617, doi:10.1111/j.1471-0528.1961.tb02778.x.
  19. Michael S. Kramer, Jocelyn Rouleau, Thomas F. Baskett, K. S. Joseph: Amniotic-fluid embolism and medical induction of labour: a retrospective, population-based cohort study. In: Lancet. 368 (2006), S. 1444–1448, doi:10.1016/S0140-6736(06)69607-4.
  20. Marie R. Baldisseri: Amniotic fluid embolism syndrome. UpToDate V.18.3.
  21. a b c d e f g M. Kretzschmar, D.-M. Zahm, K. Remmler, L. Pfeiffer, L. Victor, W. Schirrmeister: „Anaphylactoid syndrome of pregnancy.“ Pathophysiologische und therapeutische Aspekte der Fruchtwasserembolie („anaphylactoid syndrome of pregnancy“) anhand einer Kasuistik mit letalem Ausgang. In: Anaesthesist, 52, 2003, S. 419–426, doi:10.1007/s00101-003-0482-2.
  22. D. J. Tuffnell: Managing amniotic fluid embolism. In: OBG Management. 15 (2003), S. 36–51, online@1@2Vorlage:Toter Link/mdedge-files-live.s3.us-east-2.amazonaws.com (Seite nicht mehr abrufbar, festgestellt im März 2025. Suche in Webarchiven)  Info: Der Link wurde automatisch als defekt markiert. Bitte prüfe den Link gemäß Anleitung und entferne dann diesen Hinweis. (PDF; 78 kB).
  23. a b A. Rudra, S. Chatterjee, S. Sengupta, B. Nandi, J. Mitra: Amniotic fluid embolism. In: Indian J Crit Care Med. 13 (2009), S. 129–135, PMID 20040809, doi:10.4103/0972-5229.58537.
  24. Katherine J. Perozzi, Nadine C. Englert: Amniotic Fluid Embolism. An Obstetric Emergency. In: Critical Care Nurse. 24 (2004), S. 54–61, online.
  25. I. Sinicina, H. Pankratz, K. Bise, E. Matevossian: Forensic aspects of post-mortem histological detection of amniotic fluid embolism. In: International Journal of Legal Medicine. 124 (2010), S. 55–62, doi:10.1007/s00414-009-0351-x.
  26. Steven L. Clark: Amniotic Fluid Embolism. In: Clin Obstet Gynecol. 53 (2010), S. 322–328, doi:10.1097/GRF.0b013e3181e0ead2.
  27. H. Vehreschild: „Perimortale“ Sectio bei Fruchtwasserembolie. In: Gynäkologische Praxis. 24 (2000), S. 15–23.
  28. Y. Lim, C. C. Loo, V. Chia, W. Fun: Recombinant factor VIIa after amniotic fluid embolism and disseminated intravascular coagulopathy. In: Int J Gynaecol Obstet., 87, 2004, S. 178–179, PMID 15491576, doi:10.1016/j.ijgo.2004.08.007.
  29. Sharon Davies: Amniotic fluid embolus: a review of the literature. In: Can J Anaesth., 48, 2001, S. 88–98, PMID 11212056, doi:10.1007/BF03019822, springer.com (PDF; 84 kB).
  30. E. Goldszmidt, S. Davies: Two cases of hemorrhage secondary to amniotic fluid embolus managed with uterine artery embolization. In: Can J Anaesth., 50, 2003, S. 917–921, PMID 14617589, doi:10.1007/BF03018739.
  31. M. S. Kramer, J. Rouleau, S. Liu, S. Bartholomew, K. S. Joseph: Amniotic fluid embolism: incidence, risk factors, and impact on perinatal outcome. In: BJOG, 119, 2012, S. 874–879, doi:10.1111/j.1471-0528.2012.03323.x, PMID 22530987
  32. Vern L. Katz, D. J. Dotters, W. Droegemueller: Perimortem cesarean delivery. In: Obstet Gynecol. 68 (1986), S. 571–576, PMID 3528956.
  33. Vern L. Katz, Keith Balderston, Melissa DeFreest: Perimortem cesarean delivery: Were our assumptions correct? In: Am J Obstet Gynecol., 192, 2005, S. 1916–1921, doi:10.1016/j.ajog.2005.02.038.
  34. Lisa E. Moore: Amniotic Fluid Embolism. eMedicine.com
  35. Georg Schmorl: Pathologisch-anatomische Untersuchungen über Puerperal-Eklampsie. Verlag FCW Vogel, Leipzig 1893.
  36. J. Ricardo Meyer: Embolia pulmonar amniocaseosa. In: Brasil-Medico. 2 (1926), S. 301–303.
  37. M. R. Warden: Amniotic fluid as possible factor in etiology of eclampsia. In: Amer J Obstet Gynec., 14, 1927, S. 292.
  38. Paul E. Steiner, Clarence Lushbaugh: Maternal pulmonary embolism by amniotic fluid. In: JAMA, 117, 1941, S. 1245–1254, doi:10.1001/jama.1941.02820410023008.
  39. Paul E. Steiner, Clarence Lushbaugh, H. A. Frank: Fatal obstetric shock for pulmonary emboli of amniotic fluid. In: Am J Obstet Gynecol. 58 (1949), S. 802–805.
  40. G. M. Rendina: Amniotic fluid embolus: (Steiner-Lushbaugh syndrome). In: Riv Ostet Ginecol Prat., 40, 1958, S. 945–958, PMID 13592081.
  41. Sean Kane: Historical Perspective of Amniotic Fluid Embolism. In: Int Anesthesiol Clin., 43, 2005, S. 99–108, PMID 16189399.
  42. Julia Franzen: Pulmonale Synzytiotrophoblastembolie: ein physiologisches Phänomen? Dissertation. Ludwig-Maximilians-Universität München 2010, uni-muenchen.de (PDF; 3,6 MB)
  43. Amniotic Fluid Embolism Register des U. K. Obstetric Surveillance Systems (UKOSS)
  44. World first for study of rare disorders of pregnancy and childbirth des Royal College of Obstetricians and Gynaecologists