Epiphysiolyse

Einteilung der Epiphysenfrakturen nach Salter-Harris bzw. nach Aitken. Die Epiphysenfuge ist hier gelb dargestellt. Somit entspricht die reine Epiphysiolyse, ohne Beteiligung der harten Knochensubstanz, Salter-Harrys I bzw. Aitken 0.

Eine Epiphysiolyse (altgriechisch επίφυσις Epiphyse, deutsch ‚darauf Gewachsenes‘, ‚Entstandenes‘; λύσις Lyse, deutsch ‚Loslösung‘; medizinisch: Auflösung, Ablösung) oder Secessio epiphysium ist eine Ablösung der Wachstumsfuge mit Verschiebung der Epiphyse, die traumatisch oder ohne äußeren Einfluss auftreten kann. Letzteres kann besonders an der Hüfte als Jugendliche Hüftkopflösung auftreten.

Eine Epiphysiolyse der Schulter tritt meist geburtstraumatisch beim Neugeborenen auf und erscheint klinisch oftmals zunächst wie eine Kindliche Plexusparese.

Grundlagen

Epiphysiolyse der distalen (körperfernen) Radiusepiphyse (Speichenepiphyse). Weitere Erklärungen siehe Abschnitt Bilderklärung.

Zur Epiphysiolyse kann es nur kommen, solange der betroffene Knochen noch nicht ausgewachsen ist und noch eine Epiphysenfuge aufweist. Ist bereits ein Teil der Epiphysenfuge verschlossen, kann es zu einer Übergangsfraktur kommen.

Die Epiphysiolyse kommt häufig im Zusammenhang mit Verletzungen der umgebenden Knochenstrukturen vor und wird in verschiedene Grade eingeteilt (Aitken 0-IV oder Salter-Harris I-V), siehe Abbildung. Die nicht dargestellte Verletzung des Types Aitken IV (Salter-Harris V) bezeichnet eine unvollständige oder vollständige Kompression der Epiphyse, so dass das Wachstumspotential gestört wird.

Wie auch bei den anderen Formen können traumatische Epiphysiolysen ein vermindertes, vermehrtes oder teilweise verändertes Längenwachstum bewirken und so zu späteren Achsfehlstellungen führen.

Therapie

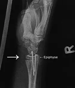
Der gleiche Patient wie oben nach Operation, Osteosynthese mittels Kirschnerdrähten.

Da bei der Epiphysiolyse jene Strukturen verletzt sein können, die für das Wachstum des Knochens wichtig sind, ist eine fachgerechte Therapie besonders wichtig, um spätere Wachstumsfehler (unvollständiges oder ungerades Längenwachstum) zu vermeiden.

Bei den einfachen Formen (Aitken 0 + I bzw. Salter-Harris I + II) reicht bei unwesentlicher Dislokation eine Ruhigstellung, bei den problematischeren Formen (Aitken II + III bzw. Salter-Harris III + IV) wird üblicherweise zusätzlich eine Osteosynthese (z. B. mit Kirschnerdrähten) durchgeführt. Bei einer axialen Stauchung der Epiphysenfuge (Aitken IV) ist eine kausale Therapie nicht möglich. Trotz Ruhigstellung kommt es meist zu Wachstumsverzögerungen.[1]

Bilderklärung

Auf dem linken Bild sieht man die frische Epiphysiolyse. Die distale (körperferne, also handgelenknahe) Epiphyse des Radius (Speiche) ist so verschoben, dass der Radius selbst nach palmar (handinnenflächenseitig) verschoben ist. Der Pfeil im Bild zeigt genau auf die Stufe, die dadurch entstanden ist.

Für den ungeübten Betrachter mag verwirrend sein, dass Speiche und Elle (Radius und Ulna) auf diesen Aufnahmen hintereinander liegen und wegen ihrer relativen Durchsichtigkeit im Röntgenbild beide sichtbar sind.

Das rechte Bild zeigt die Situation nach der Operation. Hier wurden Drähte (sogenannte Kirschnerdrähte) von handseitig während der Reposition (Wieder-in-Position-Bringen) durch die Epiphyse in den Radiusschaft gebohrt. Der Radius steht jetzt nicht mehr nach palmar vor. Die Kirschnerdrähte verbleiben, bis die Epiphyse wieder festgewachsen ist (2–4 Wochen).

Epiphysiolyse bei Tieren

Bei jungen Hunden sind etwa 30 % aller Knochenbrüche Epiphysiolysen, wobei am häufigsten die obere Wachstumsfuge des Oberarmknochens sowie die untere des Oberschenkelknochens betroffen sind. Die überwiegende Zahl sind Salter-Harris-I- oder -II-Frakturen.[2] Die Therapie erfolgt operativ wie beim Menschen.

Einzelnachweise

  1. M. Müller und Mitarbeiter: Chirurgie. 2017, S. 347f.
  2. Christine Pepper, Martin Kramer: Ausgewählte orthopädische Erkrankungen während der Wachstumsphase bei Hund und Katze. In: Kleintierpraxis. Band 58, 2013, S. 306–320.