Fettpolsterzeichen


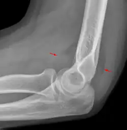
Das Fettpolsterzeichen ist ein Röntgenzeichen, welches zur Erkennung einer Fraktur bzw. einer okkulten Fraktur hilfreich sein kann.
Es handelt sich um die Darstellung von normalen anatomischen Fettpolstern an Gelenken als Aufhellungsband. Je nach Skelettregion sind diese Fettpolster beim Gesunden sichtbar oder nicht. Eine Verlagerung oder das Sichtbarwerden durch einen Gelenkerguss weist auf eine Fraktur hin.
Das bekannteste Fettpolsterzeichen ist das am Ellenbogen.
Literatur
- G.K. Goswami: The Fat Pad Sign (PDF; 1,0 MB) in Radiology 2002
- K. Bohndorf, H.Imhof: Radiologische Diagnostik der Knochen und Gelenke Thieme Stuttgart, New York 1998 ISBN 3-13-110982-3
- A. Greenspan: Skelettradiologie, deutsche Ausgabe bei VCH Verlagsgesellschaft mbH Weinheim ISBN 3-527-15404-3