Radiuskopfbruch

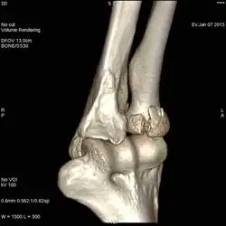
3D-Rendering einer Computertomographie einer Radiuskopffraktur
Computertomographie einer Radiuskopffraktur mit 3D-Rendering

Der Radiuskopfbruch ist ein Knochenbruch des oberen Endes der Speiche. Mit 3 % aller Knochenbrüche ist der Radiuskopfbruch relativ verbreitet und die häufigste Fraktur im Bereich des Ellenbogens. Ursache dafür ist meist ein Sturz auf den ausgestreckten Arm, oft mit einer valgisierenden Stoßrichtung. Neben den einfachen Frakturen werden komplexe Frakturen mit Begleitverletzungen beschrieben.

Eine Sonderform ist der Radiushalsbruch, bei dem der Radiuskopf als Ganzes abgebrochen und intakt ist. Diese ist insbesondere bei Kindern (s. u.) häufig.

Diagnostik

Oftmals geben die Betroffenen Schmerzen an, die speichenseitig über den Unterarm bis zur Hand ziehen. Bei der Untersuchung ergibt sich aber meist ein gut lokalisierbarer Schmerz am Radiuskopf, der durch Drehung des Unterarms verstärkt werden kann. Durch den Bluterguss im Gelenk oder durch verschobene Knochenfragmente kann die Beweglichkeit besonders in die Streckung des Ellenbogens eingeschränkt sein.

Die Bestätigung liefern Röntgenaufnahmen des Ellenbogens. Allerdings können nicht verschobene Brüche in den Standardaufnahmen leicht übersehen werden. Hilfreich ist hierbei häufig das so genannte Fettpolsterzeichen, welches indirekt einen Gelenkerguss anzeigt. Bei unklarer Situation können zusätzlich zwei 45°-Schrägaufnahmen, eine Computertomographie oder eine Magnetresonanztomographie durchgeführt werden. Letztere sind auch geeignet, begleitende Knochenbrüche etwa des benachbarten Teils des Oberarmknochens (des Capitulum humeri) oder der ellenbogennahen Elle (des Processus coronoideus) darzustellen.

Begleitverletzungen

Besonders bei verschobenen, instabilen, komplexen und Trümmerbrüchen sind oft benachbarte Bänder und Knochen mit betroffen. In erster Linie finden sich Risse der Seitenbänder des Ellenbogens, besonders des ellenseitigen Seitenbandes (des Ligamentum collaterale ulnare), das ebenso wie der Radiuskopf den Ellenbogen gegen valgisierende Kräfte stabilisiert. Daneben kann es zu Impressionsfrakturen des der Speiche benachbarten Capitulum humeri als Teil des Oberarmknochens und Abrissbrüchen des Processus coronoideus der Elle kommen. Bei gleichzeitigem Bruch des Olekranons kann es zu einer gleichzeitigen nach hinten gerichteten Ausrenkung kommen, was auch als posteriore Monteggia-Fraktur bezeichnet wird. Daneben ist auch ein Riss der Membrana interossea des Unterarms möglich, was als Essex-Lopresti-Verletzung bezeichnet wird.

Wissenschaftliche Studien zeigen, dass Begleitverletzungen in Summe häufiger auftreten als allgemein angenommen. Viele davon sind harmlos, aber selbst bei einfachen Radiuskopffrakturen können bis zu 11 % behandlungsbedürftige Begleitschäden auftreten.[1]

Auch bei Ellenbogenluxationen finden sich oft Radiuskopfbrüche, die oft mit Abbrüchen des Processus coronoideus der Elle kombiniert sind und beide der knöchernen Stabilisierung dienen. Bei Luxation und Fraktur beider Knochen mit zusätzlichem ulnaren Bandausriss liegt eine schwere Instabilität vor, die nach Tscherne als terrible triad bezeichnet wird.

Bei Rasanz- und Hochenergie-Traumen sind vor allem komplexe Trümmerbrüche häufig, zusammen mit einem handgelenknahen Speichenbruch (distale Radiusfraktur), einem Kahnbeinbruch oder einem schulternahen Oberarmbruch (proximale Humerusfraktur).

Nervenverletzungen sind selten und fast immer vorübergehend (transient), d. h., es kommt nach einigen Tagen bis Wochen zur kompletten Erholung. Es kann durch die Valgisierung beim Sturz eine Verletzung des Nervus ulnaris sowie durch direkten Kontakt mit dem Knochenbruch eine Verletzung des Nervus radialis, aber auch des Nervus ulnaris und des Nervus interosseus posterior vorliegen.

Einteilung

Die AO-Klassifikation zur Einteilung nach Lage und Schwere von Knochenbrüchen fasst Radiuskopfbrüche unter der Kategorie „21“ mit ellenbogennahen (proximale) Brüche von Elle und Speiche zusammen. Spezifischer ist daher die Einteilung der Radiuskopfbrüche nach Mason, die ebenfalls häufig verwendet wird. Der britische Mediziner Mark L. Mason publizierte sie 1954,[2] seither wurde sie aber mehrfach modifiziert und erweitert:

  • Typ 1: nicht verschobener Kopfbruch (teilweise auch unverschobene Meißelfraktur genannt), häufigste Form.
  • Typ 2: verschobener Kopfbruch, auch Meißelfraktur genannt. Von einem Typ 2 wird meist gesprochen, wenn eine Stufenbildung von mehr als 2 mm oder eine Absprengung eines Fragmentes von >30 % der Gelenkfläche vorliegen. Die Abgrenzung ist aber nicht einheitlich
  • Typ 3: Trümmerfraktur

In der Einteilung nach Bakalin kommen noch zwei Sonderformen dazu:

  • Typ 4: nicht verschobene Radiushalsfraktur
  • Typ 5: verschobene Radiushalsfraktur

Keine Einteilung hat sich bisher allgemein durchgesetzt, alle Einteilungen weisen eine niedrige Reproduzierbarkeit (niedrige Interobserver-Reliabilität) auf. Eine Therapieentscheidung kann ebenfalls nicht sicher abgeleitet werden.

Die allermeisten partiellen Radiuskopfbrüche Typ 1 und 2 betreffen den anterolateralen Quadranten, in einer Studie hierzu waren dies 22 von 24 Brüchen

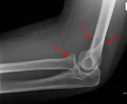
Leicht eingestauchte nicht verschobene Radiushalsfraktur (volle rote Pfeilspitze) mit begleitendem Gelenkerguss (leere rote Pfeilspitzen)

Therapieindikation

Die meisten Radiuskopfbrüche lassen sich mit gutem Ergebnis konservativ behandeln.

Oftmals wird, abhängig von Begleiterkrankungen, Alter und Lebenssituation eine operative Therapie empfohlen, wenn eine Instabilität oder eine wesentliche Verschiebung des Knochenbruchfragments vorliegt (Typ 2) und vor allem wenn die Unterarm-Rotation eingeschränkt ist. Eine wesentliche Verschiebung liegt meist vor, wenn das Knochenbruchfragment um mehr als 2 mm eingesunken ist. Wenn das Fragment mehr als 25 % der Gelenkfläche ausmacht, besteht ein erhöhtes Risiko einer späteren Verschiebung und es wird vielfach auch eine Operation empfohlen, ebenso bei Trümmerfrakturen (Typ 3).

Allerdings gibt es auch Berichte, nach denen selbst bei großen verschobenen Fragmenten die Ergebnisse der nichtoperativen Therapie gut sind, wenn die Unterarm-Drehbewegung nicht eingeschränkt ist.

Auch bei Kombinationsverletzungen, besonders mit begleitender Instabilität des Ellenbogengelenkes, wird meist eine operative Stabilisierung empfohlen, die die Begleitverletzungen mit einschließt, z. B. die Naht des innenseitigen (ulnaren) Seitenbandes.

Konservative Therapie

Bei starken Schmerzen und deutlicher Ergussbildung im Ellenbogengelenk erfolgt oft eine entlastende Gelenkpunktion in Lokalanästhesie, die entweder durch die Sehne des Musculus triceps brachii oberhalb der Olekranonspitze oder seitlich radial des Olekranons im sogenannten Hueter-Dreieck durchgeführt wird.

Wird eine konservative Therapie oder eine verzögerte operative Therapie nach Abschwellen gewählt, erfolgt in der Regel eine Ruhigstellung in einer Oberarm-Gipsschiene, bei der der Ellenbogen in 90° Beugestellung gehalten wird. Bei nicht oder nur gering verschobenen Brüchen kann bereits nach wenigen Tagen, oft nach einer Woche, mit krankengymnastischen Bewegungsübungen aus der Gipsschiene heraus begonnen werden. Nachdem der Ellenbogen abgeschwollen ist, kommen oft vorgefertigte Schienen (Ellenbogenorthesen) oder eine abnehmbare individuell angefertigte Kunststoffgips-Schiene zur Anwendung. Selten ist eine Schiene länger als drei Wochen notwendig, und eine frühe Mobilisation ist besonders zur Vermeidung einer bleibenden Bewegungseinschränkung im Ellenbogengelenk (Kontraktur) wichtig, die sich schnell einstellen kann. Nach sechs Wochen ist in der Regel eine weitgehend freie Beweglichkeit erreicht.

Im angloamerikanischen Raum erfolgt oftmals nur eine fünf- bis siebentägige Ruhigstellung in einer collar and cuff-Schlinge, bei der das Handgelenk umfasst und bei Beugung des Ellenbogens mit einer Schlinge um den Hals gehalten wird.

Operative Therapie

Offene Reposition und Osteosynthese Besonders bei verschobenen Fragmenten (über 2 mm Verschiebung), die mehr als ein Drittel der Gelenkfläche ausmachen, ist oft eine offene Reposition indiziert, vor allem bei Einschränkung der Unterarm-Rotation. Auch bei komplexeren und instabilen Brüchen kann eine Reposition mit Osteosynthese erfolgen. Ziel ist dabei eine übungsstabile Osteosynthese mit anatomischer Reposition.

Als Osteosynthese bieten sich kleine, präkonfigurierte Platten an, die in der „sicheren“ Zone des Radiuskopfes platziert werden, die keinen Gelenkpartner hat. Jedoch ist die Radiuskopfform sehr variabel, so dass die Plättchen oft noch angepasst werden müssen. Trotz der inzwischen recht kleinen Dimension tragen sie trotzdem auf und können die Kapsel und den Bandapparat reizen. Alternativ können einzelne kleine kopflose oder versenkbare Schrauben (1,5 bis 2,5 mm) verwendet werden. Dies bietet sich besonders als bouquet-Technik bei verschobenen Halsbrüchen an.

Bei impaktierten Brüchen müssen die Fragmente erst auseinander gebracht werden, teilweise mit kleinen Häkchen oder schmalen K-Drähten. Der Knochendefekt kann durch eine Spongiosaplastik aufgefüllt werden, die etwa vom Olekranon oder vom lateralen Humerus-Epikondylus gewonnen werden kann.

Die Ergebnisse der Osteosynthese gelten allgemein als gut, mit schlechteren Ergebnissen bei mehr als drei Bruchfragmenten. Oft kann es aber zu Adhäsionen und Bewegungseinschränkungen kommen. Auch sind eine Pseudarthrose, Osteonekrosen des Radiuskopfes oder einzelner Bruchfragmente und eine postoperative Arthrose möglich, so dass dann revidiert werden muss. Möglicherweise ist eine reine Schrauben-Osteosynthese der Plattenosteosynthese überlegen, Studien weise auf weniger Steifigkeit und eine seltener notwendige Metallentfernung.

Radiuskopfresektion Dieses Verfahren ist besonders bei Trümmerbrüchen eine operative Möglichkeit, wenn eine Reposition und übungsstabile Osteosynthese nicht möglich sind. Da der Radiuskopf das Ellenbogengelenk gegen eine Valgusstellung stabilisiert, kann sich nach einer Resektion eine solche Fehlstellung als Cubitus valgus bilden. Risikofaktoren dafür sind eine Resektion von mehr als 2 cm, harte körperliche Arbeit und Begleitverletzungen, insbesondere eine Instabilität des ulnaren Seitenbandes (Lig. collaterale ulnare). Durch die ausgeübte Muskelkraft am Ellenbogen wirkt normalerweise ein Druck auf den Radiuskopf, der es gegen das Capitulum drückt. Nach einer Resektion kann stattdessen die ganze Speiche vorgeschoben werden, was sich am Handgelenk dann als relative Ellenüberlänge wiederfindet. Bei der Resektion muss für eine gute Funktion der Ansatz der Bizepssehne erhalten bleiben.

Radiuskopfprothese Bei schweren und komplexen Brüchen, bei denen eine Osteosynthese nicht möglich ist, oder bei Komplikationen nach Osteosynthese ist der prothetische Ersatz eine gute Indikation. Es gibt mehrere Varianten, etwas monopolare und bipolare Prothesen sowie modulare Prothesen, und zementierte oder unzementierte Prothese. Die exakte Platzierung ist schwierig, es kann zu einer Überlänge oder Verkürzung kommen. daraus können Schmerzen, Instabilitäten und eine Arthrose resultieren. Bei Überlänge kann durch den erhöhten Anpressdruck auch eine Osteonekrose des Capitellums verursacht werden. Weitere typische Komplikationen des prothetischen Ersatzes sind Infektion, Luxation und die mechanische Lockerung. Lockerungssäume im Radiusschaft finden sich auf Röntgenaufnahmen in bis zu 94 %, jedoch ohne Korrelation zu Beschwerden oder Funktionseinschränkungen. Die mittelfristigen Ergebnisse sind gut, langfristige Ergebnisse liegen kaum vor. möglicherweise sind die Ergebnisse bei einer Prothesenversorgung in den ersten zehn Tagen nach dem Unfall besser. Bei gleichzeitigen Bandverletzungen scheinen eher Funktionsverluste einzutreten.

Postoperative Nachbehandlung Eine postoperative Ruhigstellung erfolgt meist nur für sieben bis zehn Tage in einer Oberarm-Gipsschiene oder einer Orthese. Anschließend erfolgen passive Bewegungsübungen mit graduell zunehmendem Bewegungsausmaß. Besonders bei Bandverletzungen sollte die volle Streckung aber in den ersten vier Wochen vermieden werden. Ab sechs Wochen postoperativ sollte ein weitgehend normales Bewegungsausmaß erreicht werden – was aber oft problematisch ist, oft bleiben sowohl bei konservativer als auch bei operativer Therapie dauerhaft endgradige Bewegungseinschränkungen erhalten. Nach acht bis zwölf Wochen können meist Kräftigungsübungen begonnen werden.

Komplikationen

Eine Pseudarthrose ist selten und kann am ehesten bei nicht ausreichend reponierten Radiushalsbrüchen auftreten. Hingegen kann es bei konservativer Behandlung häufiger zu einer schmerzhaften Fehlverheilung (malunion) mit verbleibender Fehlstellung oder Stufenbildung kommen, woraus mittelfristig eine posttraumatische Arthrose des Ellenbogengelenks und eine schmerzhafte Bewegungseinschränkung besonders in der Unterarmdrehung resultieren kann. Dann können die operativen Maßnahmen sekundär durchgeführt werden, auch eine Korrektur-Osteotomie des Radiuskopfes ist möglich.

Durch die Ruhigstellung kann sich eine dauerhafte Bewegungseinschränkung des Ellenbogengelenks (Kontraktur) einstellen, was sich besonders am Ellenbogengelenk häufig findet und durch eine zu lange Ruhigstellung, aber auch durch den Bruch an sich bedingt sein kann. In erster Linie findet sich ein Streckdefizit und eine verminderte Supinationsfähigkeit im Unterarm. Ursache sind dann meist Verklebungen im Gelenk oder Kapselschrumpfungen, die bei erfolgloser krankengymnastischer und manueller Therapie operativ behandelt werden können. Dabei kann sowohl eine offene Arthrotomie als auch eine Gelenkspiegelung (Arthroskopie) durchgeführt werden, die Ergebnisse sind meist sehr gut.

Am Ellenbogen sind auch heterotope Ossifikationen mit etwa 7 % häufig, als Risikofaktoren gelten schwere Instabilitäten, mehrfache chirurgische Eingriffe, verzögert durchgeführte operative Therapien sowie eine lange Zeit der Ruhigstellung. Die Therapie mit Indometacin oder Bestrahlung unterscheidet sich nicht von der allgemeinen Therapie heterotoper Ossifikationen an anderen Stellen, wobei aber die Bruchheilung durch eine Bestrahlung verzögert werden kann.

Aus einer unzureichenden Stabilisierung des Bandapparates und weitere Fehlstellung des Radiuskopfes kann eine chronische Valgus-Instabilität entstehen.

Durch die Operation sind besonders, je nach Zugangsweg, der Nervus ulnaris und der Nervus interosseus posterior verletzungsgefährdet. Die meisten Nervenverletzungen sind jedoch vorübergehend, dauerhafte Läsionen sind selten und eine Neurolyse ist selten notwendig.

Kindliche Frakturen

Von allen kindlichen Knochenbrüchen sind 1,3 % Radiuskopffrakturen. Sie sind fast immer subkapital, d. h. am Radiushals lokalisiert. Drei Viertel aller Radiuskopfbrüche liegen subkapital ohne Beteiligung der Wachstumsfuge im Bereich der Metaphyse, während ein Viertel Epiphysenlösungen mit oder ohne metaphysärem Keil (also Salter I oder II) sind. Epiphysenfrakturen sind sehr selten und treten allenfalls bei Jugendlichen kurz vor Schluss der Wachstumsfuge auf.

Da die Epiphyse ausschließlich durch periostale Gefäße des Radiushalses versorgt wird, kommt es regelhaft zu einer zumindest partiellen Osteonekrose des Radiuskopfes mit resultierender Verbreiterung und eventuell leichter Verkürzung der Epiphyse. Dies kann langfristig die Drehbewegung des Unterarms einschränken.

Andererseits haben kindliche Brüche ein hohes Spontankorrektur-Potenzial, so dass bei unter zehnjährigen Kindern Abknickungen in der Frontalebene und in der Sagittalebene bis zu 50° toleriert werden können, ab 10 Jahren immerhin noch 20°. Aber Seitverschiebungen um mehr als die halbe Schaftbreite werden am Radiuskopf (anders als an anderen Körperstellen) nicht korrigiert und müssen dann geschlossen reponiert werden. Dies kann besonders durch retrograd eingeführte Prévotnägel (ESIN) erfolgen.

In der Regel kann eine konservative Therapie mit Gipsruhigstellung für 10–14 Tage erfolgen, mit anschließender Frühmobilisierung zur Vermeidung einer Einsteifung. Krankengymnastik ist in der Regel nicht erforderlich und kann die Epiphyse zusätzlich schädigen. Eine geschlossene Reposition unter Narkose ist bei einer Verschiebung um mehr als halbe Schaftbreite und bei einer Abkippung von mehr als 50° bei Kindern unter 10 Jahren und bei mehr als 20° bei Kindern ab zehn Jahren empfohlen.

Der kindliche Radiuskopfbruch ist meist nach zwei Wochen stabil verheilt und kann frei bewegt werden. Sport kann oft schon nach drei Wochen wieder aufgenommen werden. Da die Bewegung aber oft erst nach einigen Monaten wieder komplett frei ist, müssen beim Sport teilweise Einschränkungen in Kauf genommen werden.

Nachuntersuchungen bis zu zwei Jahre nach dem Unfall gelten als ausreichend, wenn in dieser Zeit keine Achsabweichungen mehr auftreten und die Bewegung frei möglich ist. Besonders an der ulnaren Seite des Radiuskopfes kann es gelegentlich einen partiellen Fugenschluss geben, was zu einer Valgusfehlstellung des Radiuskopfes führen kann. Dies kann nach komplettem Fugenschluss durch eine subkapitale Umstellungsosteotomie korrigiert werden. Ist der Radiuskopf stark vergrößert mit daraus resultierender Bewegungseinschränkung vor allem in der Unterarm-Drehbewegung, kann nach Fugenschluss auch der distalen Wachstumsfuge (16.–18. Lebensjahr) eine Kopfresektion erwogen werden.

Eine sehr seltene, aber sehr schwierig zu behandelnde Komplikation ist die posttraumatische Radioulnare Synostose mit aufgehobener Unterarm-Drehbewegung.

Eine retrospektive Analyse von 151 kindlichen (8,4 Jahre ± 2,9) verschobenen Radiushalsbrüchen aus Boston zeigte eine hohe Rate von nicht optimalen Ergebnissen (31 %), wobei diese besonders bei Kindern über zehn Jahren und bei einer größeren Fehlstellung beobachtet wurden. Bereits ab 35° Abwickelung war eine geschlossene Reposition in 50 % nicht erfolgreich, und mehr als die Hälfte aller Brüche mit mehr als 64 % Fehlstellung mussten teilweise sekundär offen reponiert werden. Eine umgehende offene Reposition wurde in Boston bei allen offenen Brüchen, Brüchen mit neurovaskulären Komplikationen und bei einer Fehlstellung von über 100 % empfohlen.[3]

Einzelnachweise

  1. P. Vavken, J. Vavken, S. Demarmels, D. Rikli: Associated Injuries in Radial Head Fractures. In: Z Orthop Unfall. 155(2), Apr 2017, S. 220–225. Epub 2017 Apr 25. German. PMID 28444676
  2. M. L. Mason: Some observations on fractures of the head of the radius with a review of one hundred cases. British Journal of Surgery 1954;42:123-32.
  3. Ryan M. Zimmerman, Leslie A. Kalish, Timothy Hresko, Peter M. Water, Donald S. Bae: Surgical Management of Pediatric Radial Neck Fractures. In: The Journal of Bone & Joint Surgery. Band 95-A, Ausgabe 20, 2013, 16. Oktober 2013, S. 1825–1832. doi:10.2106/JBJS.L.01130

Literatur

  • M. Lapner, G. J. King: Radial head fractures. In: The Journal of bone and joint surgery. American volume. Band 95, Nummer 12, Juni 2013, S. 1136–1143, ISSN 1535-1386. PMID 23943926
  • Bernhard Weigel: Radiusköpfchen- und Radiushalsfraktur. In: Bernhard Weigel, Michael Nerlich: Praxisbuch Unfallchirurgie. Band 1, Springer-Verlag, Berlin 2005, ISBN 3-540-41115-1, S. 337–340.
  • Lutz von Laer: Frakturen des proximalen Radiusendes. In: Lutz von Laer: Frakturen und Luxationen im Wachstumsalter. 3. Auflage. Thieme-Verlag, Stuttgart 1996, ISBN 3-13-674303-2, S. 156–168.