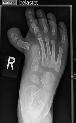
Hallux varus
Der Hallux varus ist eine Varus-Abweichung der Großzehe im Großzehengrundgelenk (Art. metatarsophalangea prima), die damit nach innen, medialwärts zeigt. Diese sehr seltene Deformität ist das Gegenteil eines Hallux valgus und in der Mehrzahl der Fälle seltene Komplikation einer Hallux-valgus-Korrekturoperation. Andere Fälle sind angeboren oder posttraumatisch bedingt.
Ursachen
Die häufigste Ursache ist eine operative Überkorrektur eines Hallux valgus mit Ungleichgewicht der Weichteile oder Fehlstellung des ersten Mittelfußknochens. Viele OP-Schritte können dies verursachen:[1]
- Übermäßige postoperative Zügelung oder Redression der Großzehe
- Übermäßige mediale Kapselraffung oder Insuffizienz der lateralen Kapsel
- Nach Entfernung des fibularen Sesambeins am Großzehengrundgelenk mit folgendem Stabilitätsverlust der lateralen Kapsel
- Verschiebung und Subluxation des medialen Sesambeins
- Übermäßige Resektion der medialen Pseudoexostose des ersten Mittelfußköpfchens
- Zu starke Lateralisierung des ersten Mittelfußköpfchens bei proximalen oder distalen Metatarsale-I-Korrekturosteotomien.

Bei barfußgehenden Menschen ist eine Varusfehlstellung im mittleren Lebensalter gehäuft zu beobachten.[2]
Die angeborene Form, auch als Hallux varus congenitus bezeichnet, ist sehr selten.
Andere angeborene Ursachen sind eine Verkürzung des ersten Mittelfußknochens (Brachymetatarsie), eine Dysplasie des ersten Mittelfußknochens oder eine Synostose zwischen erstem und zweitem Mittelfußknochen. Bei einer präaxialen Polydaktylie mit doppelter Großzehe ist die Varusfehlstellung typisch.[3]
Auch im Rahmen einer spastischen Erkrankung, z. B. bei infantiler Zerebralparese, kann es zu einem Hallux varus kommen, ebenso im Rahmen komplexer Syndrome und Wachstumsstörungen.
Therapie
Eine alleinige Varus-Fehlstellung bis zu 10° beeinträchtigt den Fuß meist nicht wesentlich und bedarf kaum einer Therapie.
Beim postinterventionellen Hallux varus besteht oft zusätzlich eine Überstreckfehlstellung (Extension) der Großzehe, wodurch die Großzehe aufragt und Druckstellen entstehen. Diese Extensionsfehlstellung muss meist operativ korrigiert werden. Hierzu kann ein partieller Sehnentransfer des M. extensor hallucis longus erfolgen.[1] Nach Ablösen der lateralen zwei Drittel der Sehne vom Ansatz an der Endgliedbasis wird die Teilsehne unter dem Ligamentum metatarsum transversum hindurchgeführt und lateral an der Grundgliedbasis in einem Bohrloch verankert. Dadurch führt er bei Anspannung der Sehne die Großzehe gleichzeitig zurück aus der Varusfehlstellung und aus einer Überstreckung. Liegt gleichzeitig eine deutliche Bewegungseinschränkung, meist eine Beugekontraktur, im Interphalangealgelenk (Großzehenendgelenk) vor, erfolgt dort eine Arthrodese.
Beim angeborenen Hallux varus ist die Fehlstellung oft ausgeprägter, und vielfach bereitet bereits das Anziehen von Schuhen Beschwerden. Meist ist die Deformität mit weiterem Wachstum progredient und eine operative Korrektur bereits im Kindesalter notwendig. In der Regel erfolgen aufklappende subkapitale Korrekturosteotomieen des ersten Mittelfußknochens. Da meist eine Verkürzung (Brachymetatarsie) des ersten Os metatarsale vorliegt, kann eine Verlängerung durch ein Keilinterponat oder selten auch durch eine Kallusdistraktion erfolgen. Bei stärkeren Fehlstellungen wird auch eine aufklappende Korrekturosteotomie des Os cuneiforme mediale durchgeführt. Alleinige Weichteileingriffe sind in der Regel nicht ausreichend, ergänzend sind sie jedoch oft notwendig. Da die Fehlstellung mit weiterem Wachstum zunimmt, wird meist eine Korrektur bereits im Kindesalter empfohlen. Es wird allerdings eine deutliche Rezidivgefahr beschrieben.[3]
Einzelnachweise
- ↑ a b R. A. Mann: Hallux varus: Sehnentransfer des M. extensor hallucis longus. In: N. Wülker, M. M. Stephens, A. Cracchiolo: Operationsatlas Fuß und Sprunggelenk. 2. Auflage. Thieme-Verlag, Stuttgart 2007, ISBN 978-3-13-142592-8, Kapitel 6, S. 36 ff.
- ↑ B. Joseph u. a.: Hallux varus - a study of thrty cases. In: J Foot Surg. 1984; 23, S. 392–397.
- ↑ a b F. Hefti: Kinderorthopädie in der Praxis. Springer-Verlag, Berlin 1997, ISBN 3-540-61480-X.