Hammerzehe
| Klassifikation nach ICD-10 | |
|---|---|
| M20.4 | Sonstige Hammerzehe(n) (erworben) |
| Q66.8 | Sonstige angeborene Deformitäten der Füße – Hammerzehe, angeboren |
| ICD-10 online (WHO-Version 2019) | |

Die Form einer Hammerzehe (Digitus malleus) ergibt sich durch die permanente krallenartige Beugung einer Zehe. Man unterscheidet flexible und fixierte Hammerzehen. Sie ist differentialdiagnostisch von der Kamptodaktylie abzugrenzen und meistens aufgrund der Verwendung ungeeigneten Schuhwerks mechanisch bedingt. Auch neurologische Erkrankungen können zu diesem Symptom führen.
Definition
Die Hammerzehe stellt die häufigste Zehendeformation dar. Es besteht eine Beugekontraktur im Mittelgelenk (PIP = proximales Interphalangealgelenk), seltener (auch) im Endgelenk (DIP = distales Interphalangealgelenk). Die Krallenzehe charakterisiert sich im Unterschied zur Hammerzehe durch eine Luxation oder Subluxation im Zehengrundgelenk (MTP = Metatarsophalangealgelenk) im Sinne der Überstreckung (Hyperextension).
Ätiologie
Die Hammerzehe ist selten angeboren. Erworben kann sie bei neuromuskulären Erkrankungen, Hohlfuß, Spreizfuß, nach Kompartmentsyndrom, Poliomyelitis, rheumatischen Erkrankungen oder bei falschem Schuhwerk und bei Tänzern auftreten.
Klinik und Diagnostik
Druckbeschwerden bei Hühneraugen, Schwielen, Schmerzen unter den Mittelfußköpfchen, Schuhkonflikte, ästhetische Störung. Die Bestimmung der Beweglichkeit, der Zehenlänge und der Abstände zwischen den Zehen ist für die Auswahl des operativen Verfahrens wichtig.
Konservative Therapie
Die Indikation hierfür besteht, wenn sich die Zehenstellung passiv korrigieren lässt.
- Barfußgehen und Wahl von Schuhwerk mit ausreichend Zehenfreiheit, vor allem bei Kindern, die sich noch im Wachstum befinden.
- Physiotherapie im frühen Stadium mit Bewegungsübungen und Streckbehandlung, um ein Fortschreiten zu verhindern.
- Podologie – Fußpflege, Schutzverbände.
- Die Orthopädietechnik bietet die meisten Möglichkeiten: Einlagen mit Abstützung hinter den Mittelfußköpfchen (retrokapital), geweitete Vorderkappe, Schienen und Verbände zur Stellungskorrektur, Orthesen.
Operative Therapie
- Bei flexibler, korrigierbarer Fehlstellung: Veränderung des Sehnen-Verlaufs oder Operation nach Weil
- Bei Kontraktur: Operation nach Hohmann oder Resektionsarthroplastik
Kontraindikation für eine operative Sanierung stellt die schlechte Durchblutung (pAVK) dar. Postoperativ ist meist Vollbelastung in steifer Sohle erlaubt; die Entfernung der Fäden kann nach zwei Wochen erfolgen. Als Komplikationen können Wundheilungsstörungen, Durchblutungsstörungen oder Nekrosen auftreten.
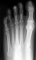
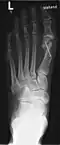
Röntgenbilder
-
Hammerzehen vor einer operativen Korrektur -
Hammerzehen nach der operativen Korrektur; deutlich sind die verkürzten dritten Glieder der drei inneren Zehen erkennbar (Operation nach Hohmann). Bei dieser OP wurde auch der Hallux valgus korrigiert. -
Hammerzehe am mittleren Zeh
Literatur
- A. Imhoff, R. Baumgartner, R. Linke: Checkliste Orthopädie. 2. Auflage. Thieme Verlag, Stuttgart u. a. 2005, ISBN 3-13-142281-5.
- Carl Joachim Wirth: Praxis der Orthopädie. Georg Thieme Verlag, Stuttgart u. a. 2001, ISBN 3-13-125683-4.