Hyperostosis frontalis interna
| Klassifikation nach ICD-10 | |
|---|---|
| M85.2 | Hyperostose des Schädels |
| ICD-10 online (WHO-Version 2019) | |


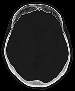
Die Hyperostosis frontalis interna ist eine häufige, gutartige Verdickung der Schädelkalotte im Bereich des Stirnbeins zur Innenseite hin. Die Hyperostose findet sich vornehmlich bei Frauen in und nach den Wechseljahren und bleibt in der Regel symptomlos. Meist wird sie als Zufallsbefund bei einer Röntgenaufnahme oder Computertomographie des Schädels entdeckt. Wichtig ist der Befund lediglich zur Abgrenzung eventueller Erkrankungen, siehe Differentialdiagnostik.
Die Erstbeschreibung der Hyperostose stammt aus den Jahren 1719 und 1765 durch Giovanni Battista Morgagni.[1][2]
Vorkommen
In einer Studie aus dem Jahr 2011 wurde eine ausgeprägte Hyperostosis frontalis interna bei 23 % der obduzierten Schädel von Frauen gefunden. Unter den untersuchten Schädeln von Männern gab es keinen Fall.[3]
Einteilung
Folgende Klassifikation ist gebräuchlich:[3]
- Typ A: Verdickung der Tabula interna um weniger als 10 mm
- Typ B: Verdickung der Tabula interna um weniger als 25 % der Dicke des Stirnbeines
- Typ C: Verdickung der Tabula interna um bis zu 50 % der Dicke des Stirnbeines
- Typ D: Verdickung der Tabula interna um mehr als 50 % der Dicke des Stirnbeines
- Typ E: Verdickung der Tabula interna mit Ausdehnung in angrenzende Weichteile
Differentialdiagnostik
Die Abgrenzung in der Röntgenuntersuchung zu anderen Erkrankungen wie z. B. Knochenmetastasen oder Morbus Paget gelingt in der Regel durch die symmetrische Verteilung, die typische Ausbreitung rein frontal und nur nach innen, so wie den rein hyperostotischen und nicht destruktiven Charakter leicht.
Weiterhin sind abzugrenzen:[4]
- Fibröse Dysplasie
- Sklerosierende Metastasen
- Meningiom
- Akromegalie
- Veränderungen des Knochenmarkes
Im Rahmen von Syndromen
Ein gemeinsames Auftreten mit Fettsucht, Hirsutismus und Kopfschmerzen beruht auf einer Störung im Zwischenhirn und wird als Morgagni-Syndrom (auch „Diabetes der bärtigen Frauen“[5]), Stewart-Morel-Morgagni-Syndrom oder Morgagni-Trias bezeichnet.
Bei weiteren Syndromen kann eine Hyperostosis frontalis interna wesentliches Merkmal sein:[4]
- Troell-Junet-Syndrom[6]
- Fröhlich-Syndrom
- Klippel-Trénaunay-Weber-Syndrom
Weblinks
Quellen
- Köhler, Zimmer: Grenzen des Normalen und Anfänge des Pathologischen im Röntgenbild des Skeletts. Georg Thieme Verlag Stuttgart, New York 1989, ISBN 3-13-111723-0.
- L. Alvarez, W. Corrigan, C. McGonegal, J. Leon, D. Avila, F. Kane, T. Lee: The clinical manifestations of hyperostosis frontalis interna: A qualitative systematic review of cases. In: Clinical anatomy. Band 37, Nummer 5, Juli 2024, S. 505–521, doi:10.1002/ca.24147, PMID 38420744 (Review).
- J. M. Stiene, P. W. Frank: Hyperostosis Frontalis Interna and a Question on Its Pathology: A Case Report. In: The American Journal of Case Reports. Band 23, Oktober 2022, S. e937450, doi:10.12659/AJCR.937450, PMID 36217295, PMC 9575136 (freier Volltext).
Einzelnachweise
- ↑ J. B. Morgagni: Adversaria anatomica, VI. Animadversio 74, Cominus, 1719
- ↑ J. B. Morgagni: De sedibus et Causis Morborum, Brief 27, S. 2, 1765
- ↑ a b A. Raikos, G. K. Paraskevas, F. Yusuf, P. Kordali, S. Meditskou, A. Al-Haj, B. Brand-Saberi: Etiopathogenesis of hyperostosis frontalis interna: a mystery still. In: Annals of Anatomy. Band 193, Nummer 5, Oktober 2011, S. 453–458, doi:10.1016/j.aanat.2011.05.004, PMID 21684729.
- ↑ a b Radiopaedia
- ↑ Ludwig Weissbecker: Krankheiten des Hypophysen-Zwischenhirnsystems. In: Ludwig Heilmeyer (Hrsg.): Lehrbuch der Inneren Medizin. Springer-Verlag, Berlin/Göttingen/Heidelberg 1955; 2. Auflage ebenda 1961, S. 1008–1013, hier: S. 1012 f.: Das Morgagni-Syndrom (Diabetes der bärtigen Frauen).
- ↑ Sherwood Moore: The Troell-Junet Syndrome. In: Acta Radiologica. 1953, Band 39, Nummer 6, S. 485–493 doi:10.3109/00016925309136733.