Knochenmetastase
| Klassifikation nach ICD-10 | |
|---|---|
| C79.5 | Sekundäre bösartige Neubildung des Knochens und des Knochenmarkes |
| ICD-10 online (WHO-Version 2019) | |
| Klassifikation nach ICD-11 | |
|---|---|
| 2E03 | Im Knochen oder Knochenmark lokalisierte Metastase einer bösartigen Neubildung |
| ICD-11: Englisch • Deutsch (Entwurf) | |


Knochenmetastasen, auch Skelettmetastasen oder ossäre Metastasen genannt, sind durch die Absiedlung (Metastasierung) von Krebszellen eines Primärtumors gebildete bösartige sekundäre Knochentumoren.[1] Es sind die mit Abstand am häufigsten auftretenden Knochentumore im Erwachsenenalter. Bei einigen Krebserkrankungen, wie beispielsweise Brust- oder Prostatakrebs, sind Knochenmetastasen eine häufig auftretende Komplikation, die einen erheblichen Einfluss auf die Lebensqualität der betroffenen Patienten sowie auf den Verlauf und die Prognose der Krankheit hat. Grundsätzlich kann jeder Tumor, der über die Blutbahn metastasiert, das Knochenmark infiltrieren.[2]:1 Die dabei gebildeten Metastasen können knochenbildend (osteoblastisch) oder knochenabbauend (osteolytisch) sein oder beide Formen zugleich (gemischt) aufweisen. Knochenmetastasen bewirken Tumorosteopathien, das heißt tumorbedingte Knochenerkrankungen. Sie können dabei den Stoffwechsel der Knochen lokal oder systemisch beeinflussen.[3]
Neben der Lunge und der Leber ist das Skelett am häufigsten von Krebsmetastasen betroffen.[3] Knochenmetastasen führen in vielen Fällen zu erheblichen Schmerzen und Instabilitäten im betroffenen Knochen, so dass es auch ohne Unfall zu Knochenbrüchen kommen kann.[4][5]
Die Diagnose „Knochenmetastase“ bedeutet bei den häufigsten Krebserkrankungen, dass keine Heilung mehr möglich ist. Der Schwerpunkt der Behandlung ist daher in den meisten Fällen rein palliativ, das heißt, dass die getroffenen Maßnahmen im Wesentlichen der Verbesserung der Lebensqualität des Patienten dienen. Durch die Verabreichung von Bisphosphonaten[3] und die Strahlentherapie kann sie auch in den meisten Fällen erheblich verbessert werden.[6]
Verbreitung und Verteilung

| Primärtumor | Häufigkeit von Knochenmetastasen[3] |
|---|---|
| Brustkrebs | 50 bis 85 % |
| Prostatakrebs | 50 bis 75 % |
| Bronchialkarzinom | 30 bis 50 % |
| Nierenzellkarzinom | 30 bis 50 % |
| Schilddrüsenkrebs | 39 % |
| Pankreastumor | 5 bis 10 % |
| Kolorektales Karzinom | 5 bis 10 % |
| Magenkrebs | 5 bis 10 % |
| Leberzellkarzinom | 8 % |
| Ovarialkarzinom | 2 bis 6 % |
Knochenmetastasen sind wesentlich häufiger als primäre Knochentumoren, wie beispielsweise das Osteosarkom. In den Vereinigten Staaten rechnet man pro Jahr mit etwa 1,3 Millionen Krebsneuerkrankungen. Davon entwickeln etwa 50 % im Verlauf der Erkrankung Knochenmetastasen, die auch zu Lebzeiten nachgewiesen werden können. Dem stehen etwa 2000 Fälle primärer Knochentumoren gegenüber.[8] Beim Beispiel Osteosarkom – dem häufigsten malignen primären Knochentumor – gibt es in Deutschland etwa 200 Neuerkrankungen pro Jahr. Dagegen lassen sich bei einer gründlichen Autopsie bei etwa 70 % aller Patienten, die an Krebs versterben, Knochenmetastasen nachweisen.[9][10][11][12]
Bei 210.000 Krebstoten pro Jahr in Deutschland wären dies etwa 150.000 Fälle von Knochenmetastasen. Eine große Anzahl dieser Tumorabsiedlungen bleibt jedoch ohne Symptome und ist zu klein, um mittels bildgebender Verfahren detektiert zu werden.[8] Klinisch und radiologisch bedeutsam sind Knochenmetastasen bei etwa 15 % der Krebspatienten. In vielen Fällen führen Knochenmetastasen zu den ersten Symptomen einer Krebserkrankung.[12]
Knochenmetastasen konnten schon bei Mumien nachgewiesen werden;[13] waren früher bei Menschen jedoch ausgesprochen selten,[14] weil Krebs eine altersassoziierte Erkrankung ist,[15] das heißt, es gibt einen Zusammenhang zwischen Krankheitswahrscheinlichkeit und Lebensalter. Nur ein kleiner Anteil unserer Vorfahren erreichte also ein Alter, bei dem eine hohe Wahrscheinlichkeit an Krebs zu erkranken gegeben ist.
Aufgrund des demographischen Wandels in den industrialisierten Ländern, der steigenden Lebenserwartung der Bevölkerung und der verbesserten medizinischen Versorgung nimmt die Inzidenz (Anzahl der Neuerkrankungen) von Knochenmetastasen stetig zu. Die Fortschritte in der Behandlung der meisten Krebserkrankungen haben zu einer Verbesserung der relativen Überlebenszeiten geführt,[16] die ebenfalls mit einer Zunahme der Fälle von Skelettmetastasen korreliert. Die verbesserte Krebstherapie erhöht die statistische Wahrscheinlichkeit, Knochenmetastasen zu entwickeln.[17][18]:8
Die Wahrscheinlichkeit einer Knochenmetastase ist sehr stark vom Primärtumor und seinem Stadium abhängig. Bei Männern mit der Todesursache „Prostatakrebs“ sind beispielsweise bei etwa 90 % der Betroffenen Knochenmetastasen nachweisbar.[19][20] Auch bei Brustkrebs ist die Metastasierung in die Knochen ausgesprochen häufig. 90 % aller Knochenmetastasen stammen entweder von Brustkrebs, Prostatakrebs, Bronchialkrebs, Nierenkrebs oder multiplem Myelom.[3] Knochenmetastasen sind bei Sarkomen und – bis auf bei den genannten Multiplen Myelomen – bei Lymphomen selten.[21]
Das mittlere Alter der betroffenen Patienten liegt bei Männern im sechsten Lebensjahrzehnt und bei Frauen – bedingt durch Brustkrebserkrankungen – im fünften Lebensjahrzehnt.[22]
Skelettale Metastasen treten etwa in 75 % der Fälle gehäuft (multipel) auf. In den übrigen Fällen sind sie einzeln (solitär) und können einen primären Knochentumor vortäuschen.[1]
Pathogenese
Metastasierung
Wenn sich Krebszellen vom Primärtumor ablösen und über das Blut- oder Lymphsystem wandern, so kann sich ein kleiner Teil dieser Zellen in anderen Organen wieder ansiedeln („Kolonien bilden“) und sich dort vermehren.[23] Im Fall von Knochenmetastasen erfolgt die Ausbreitung fast ausschließlich über die Blutbahn.
Als Zielorgane für die Besiedlung von Tumorzellen sind die – vom Primärtumor aus betrachtet – stromabwärts liegenden nächsten Organe relativ häufig betroffen. Zumeist siedeln sich die vom Primärtumor abgelösten Krebszellen im Knochenmark über deren jeweilige Arteria nutricia – das ist die blutversorgende Arterie eines Knochens – an. Das Prostatakarzinom hingegen metastasiert vor allem durch ein vor der Wirbelsäule liegendes Netzwerk aus Venen in die Wirbelsäule und befällt dabei mit absteigender Häufigkeit Lendenwirbelsäule, Oberschenkelknochen, Becken, Brustwirbelsäule und Rippen.[24]
Die Bereiche der Knochen, in denen die Blutbildung stattfindet, bieten den Tumorzellen günstige Wachstumsbedingungen.[25] Die geringe Strömungsgeschwindigkeit des Blutes in den Knochen erleichtert zudem das Anheften der Tumorzellen an die Gefäßwand. Dadurch erst kann die Proteinschicht um das Knochenmark mit Enzymen der Tumorzellen aufgelöst werden und so Tumorzellen in das Knochenmark eindringen.[26] Knochenmetastasen entstehen fast ausschließlich im Markraum.[27]
Anfänglich findet die Metastasierung in der mit rotem Knochenmark gefüllten Markhöhle im Inneren des Knochens statt. Danach werden die weiter außen liegenden Bereiche der Substantia spongiosa und letztlich der Substantia compacta befallen.[2][28]
Bei manchen Patienten bilden sich Knochenmetastasen oft erst viele Jahre nach der Entfernung des Primärtumors. Man geht in solchen Fällen davon aus, dass die Krebszellen lange im Zustand der Tumor Dormancy verharren und jahrelang sich nicht vermehren, bevor sie klinisch relevant werden.[29][30][31]
Welche Zielorgane Krebszellen bei der Metastasierung bevorzugen, ist in weiten Teilen noch nicht aufgeklärt;[23] nach der Seed-and-Soil-Theorie kommt es zur Ansiedlung von Krebszellen, wenn die passende Tumorzelle (seed) eine besonders hohe Affinität zu dem das betroffene Organ umgebende Milieu (soil) aufweist.[7] Proteine mit guten Haftungseigenschaften, wie beispielsweise die Cadherine, scheinen bei der Kolonialisierung eine wichtige Rolle zu spielen.
Osteolytische, osteoplastische und gemischt osteoplastische/osteolytische Knochenmetastasen


In den Knochen verursachen die Tumorzellen lokale Veränderungen der Knochenstruktur, die durch eine Störung des Gleichgewichts bei der Knochengeweberemodellierung hervorgerufen wird. Diese können entweder osteoplastisch (Knochen bildend) oder osteolytisch (Knochen abbauend) oder gemischt osteolytisch/osteoplastisch sein. Darüber hinaus können Knochenmetastasen verschiedene Botenstoffe freisetzen, die im gesamten Knochensystem zu einer Minderung der Knochendichte führen.[32] Die Zellen der Knochenmetastasen sind selbst nicht direkt am Auf- und Abbau der Knochen beteiligt. Diese Prozesse laufen über Osteoklasten oder Osteoblasten – das sind die Zellen, die für den Ab- und Aufbau des Knochens bei der Knochengeweberemodellierung zuständig sind: diese werden von den Zellen der Knochenmetastasen über Signalproteine angesprochen.[6] In seltenen Fällen, und nur bei sehr aggressiven Metastasen, kommt es zu einem direkten Abbau der Knochenmatrix durch die Tumorzellen, die auflösende Enzyme, wie lysosomale Hydrolasen, Peptidasen und Kollagenasen, ausschütten.[2][33]
Osteolytische Knochenmetastasen sind mit einem Anteil von etwa 75 % die häufigsten Knochenmetastasen.[27] Die Primärtumoren sind meist Nieren-, Lungen-, Brust- oder Schilddrüsenkarzinome.[34] Das stark osteolytische multiple Myelom wird im deutschsprachigen Raum nicht zu den Knochenmetastasen gerechnet.[27]:25

Osteoplastische Knochenmetastasen sind seltener als die osteolytische Variante. Ihr Anteil an den Knochenmetastasen liegt bei etwa 15 %.[27] Osteoplastische Metastasen treten im Wesentlichen beim Prostatakarzinom, seltener bei anderen Krebserkrankungen, auf. In der Literatur wurden osteoplastische Metastasen bei Brustkrebs,[35] Myelom,[36] Kolorektalen Karzinom,[37] Astrozytom,[38] Glioblastom,[39] Thymom,[40] Karzinoid,[41] Nasopharynxkarzinom,[42] Zollinger-Ellison-Syndrom,[43] leptomeningeale Gliomatose[44] und Zervixkarzinom[45] beschrieben.[46]
Osteolytische und osteoplastische Metastasen sind die beiden Extreme der Fehlregulation der Knochengeweberemodellierung. Von diesen beiden Extremen aus betrachtet sind in einem fließenden Übergang alle dazwischen liegenden Zustände möglich. Die Art der primären Krebserkrankung hat keinen Einfluss darauf, ob es sich um osteoplastische oder osteolytische Knochenmetastasen handelt, sondern kann von Patient zu Patient verschieden sein.[47] Krebserkrankungen mit osteoplastischen Metastasen, wie die meisten Prostatakarzinome, haben auch osteolytische Anteile, die beispielsweise das Risiko einer pathologischen Fraktur erhöhen.[47] Bei durch Brustkrebs verursachten Knochenmetastasen haben die meisten Patientinnen osteolytische Metastasen, bei 15 bis 20 % sind sie jedoch osteoplastisch.[48]
Mit etwa 10 % Anteil an den Knochenmetastasen stellen die gemischt osteoplastischen/osteolytischen Metastasen die kleinste Gruppe der Knochenmetastasen dar. Prinzipiell können alle Primärtumoren Absiedlungen mit gemischten Knochenmetastasen bilden. Bevorzugt ist dies aber bei Brustkrebs und Bronchialkarzinom der Fall. Osteoplastische und osteolytische Metastasen können auch nebeneinander auf einem Knochen auftreten.[27]
Als Reaktion auf die Osteolyse erfolgt immer ein Knochenaufbau, der beispielsweise im Röntgenbild als osteoblastischer Randsaum sichtbar ist, auch wenn der Knochenabbau überwiegt. Im Vergleich dazu ist das multiple Myelom – eine primäre Krebserkrankung des Knochens – immer rein osteolytisch.[47]
Interaktion Krebszelle mit Knochen
Die Metastasierung in die Knochen ist also kein zufälliger Prozess, sondern das Ergebnis komplexer molekularer Interaktionen zwischen abgesiedelten Krebszellen und ihrer Umgebung: Diese Interaktionen ermöglichen es Tumorzellen, in die extrazelluläre Matrix des Knochens einzudringen und im Knochen zu wachsen.
Osteomimikry
Zellen, die die Fähigkeit erworben oder entwickelt haben, in Knochen metastasieren zu können, exprimieren besonders viele Gene, die mit dem Stoffwechsel der Knochen in Verbindung stehen, das heißt, sie haben die Fähigkeit Knochenmatrixproteine zu produzieren, mit denen sie das Erscheinungsbild einer Knochenzelle, speziell eines Osteoblasten, nachahmen. Dieser Vorgang wird als „Osteomimikry“ bezeichnet (von griech. osteo = ‚Knochen‘ und Mimikry).[49] Zu den exprimierten Proteinen gehören unter anderem die alkalische Phosphatasen und Signalmoleküle, die den sogenannten Crosstalk (die Interaktion zwischen verschiedenen Transkriptionsfaktoren) zwischen Osteoblasten/Osteoklasten regulieren.[50] Der Crosstalk zwischen Tumorzellen und Osteoblasten ist ein bisher noch nicht vollständig verstandener Abschnitt der Metastasierung. Er löst in den Tumorzellen eine veränderte Genexpression aus, die eine Besiedlung der Knochen mit Metastasen fördert.[51] Diese Zell-Zell-Kommunikation ist ein wesentliches Element der Metastasierung.[52]
Mit Hilfe der Osteomimikry sichert sich die Tumorzelle in ihrem Gastgewebe einen Überlebensvorteil.[53] Dem Immunsystem entgehen einige dieser abgesiedelten Tumorzellen, weil diese Proteine bilden, die der Proteinstruktur normaler Knochenmarkzellen entsprechen.[54] Ein sehr hoher Anteil der abgesiedelten Tumorzellen wird vom Immunsystem erkannt und beseitigt.[2] Einige dieser Krebszellen können aber durch evolutionäre Prozesse (Immunoediting) in ihrem neuen Wirt unerkannt bleiben und so dem Immunsystem entkommen (Immunescape).[55]
Die Hypothese der Osteomimikry wurde erstmals 1999 von einer Arbeitsgruppe um den US-amerikanischen Urologen Leland W. K. Chung aufgestellt[56] und ist durch pathologische Untersuchungen gut abgesichert.[57]
Hypoxie als begünstigender Faktor für Knochenmetastasen
Im Mikroumfeld der Knochen herrscht ein Sauerstoffmangel (Hypoxie). Der Partialdruck des Sauerstoffs pO2 liegt bei 1 bis 7 %.[58] Dieser Sauerstoffmangel ist für das Wachstum der Tumorzellen in den Knochenmetastasen förderlich. Tumorzellen sind an hypoxische Bedingungen gut angepasst. Zudem begünstigt die sauerstoffarme Umgebung die Verbreitung der Tumorzellen und die Neubildung von Blutgefäßen (Neoangiogenese).[59] Die Hypoxie hat außerdem zur Folge, dass die Knochenmetastasen eine hohe Resistenz gegenüber einer Strahlen- und Chemotherapie aufweisen, was mit ein Grund für die Unheilbarkeit vieler Knochenmetastasen ist.[60] Eine wichtige Rolle bei der Hypoxie spielt der Hypoxie-induzierte Faktor HIF-1α. Bei einem hohen Sauerstoffpartialdruck ist HIF-1α hydroxyliert und so das Ziel für den enzymatischen Abbau durch den Von-Hippel-Lindau-Tumorsuppressor. Bei Sauerstoffmangel ist hingegen HIF-1α dehydroxyliert und kann im Zellkern zu HIF-1β dimerisieren, wo es die Transkription von hypoxiegeregelten Zielgenen vermittelt.[59][61][62] Die Expression von HIF-1α korreliert direkt mit dem Grading des Tumors, der Invasivität und der Metastasierung.[62][63]
Klinische Erscheinung
| Komplikationen bei Knochenmetastasen | Häufigkeit[3] |
|---|---|
| Knochenschmerzen | 50 bis 90 % |
| pathologische Knochenbrüche | 10 bis 45 % |
| spinale Kompressionssyndrome | <10 % |
| Knochenmarkkarzinose | <10 % |
| Hypercalcämie | 10 bis 20 % |
Schmerzen
In vielen Fällen sind Schmerzen im Bereich der Wirbelsäule, vor allem in den Lendenwirbeln, das erste Symptom für eine Krebserkrankung mit Knochenbeteiligung. Beim Auftreten von Schmerzen ist die Krebserkrankung in der Regel schon weit fortgeschritten. Von den Betroffenen wird der Schmerz, der sich auch in Phasen der Ruhe nicht bessert, oft als „tief bohrend“ und „schlecht lokalisierbar“ beschrieben. Diese Form der Schmerzen unterscheidet sich von den durch Instabilitäten der Wirbelsäule hervorgerufenen Schmerzen, die vor allem bei der Bewegung der Wirbelsäule auftreten und durch eine Quetschung der Spinalnerven hervorgerufen werden.[64]:12 Schmerzen sind der wesentliche Faktor für die Abnahme der Lebensqualität bei Patienten mit Knochenmetastasen.[65] Verantwortlich für diese Schmerzen sind Nerveneinengungen, Minderdurchblutung und die Freisetzung von entzündungsfördernden Botenstoffen (proinflammatorische Mediatoren) durch die Knochenmetastasen oder von „normalen“ Zellen, die sich im Umfeld der Knochenmetastasen befinden.[66] Die zellwandauflösenden Krebszellen greifen im letzteren Fall in die Selbstregulation des Knochens (hier: Gleichgewicht und Milieu des Knochens) ein, indem sie Stoffe (Zytokine) freisetzen, die wiederum die Osteoklasten aktivieren.[67][68] Neben dem Abbau des betroffenen Knochens[69] führt die Aktivierung der Osteoklasten zu einem sauren Milieu (niedriger pH-Wert) in ihrem Umfeld, der Schmerzen im Knochen verursacht.[70] Der dem Knochenabbau entgegenwirkende, aber weitgehend unkontrollierte Knochenaufbau durch die Osteoblasten führt zu einer Einengung der Nervenenden, die sich im Knochenmark, der Knochenhaut und in der Knochenmatrix befinden,[71] was wiederum die Ursache für Schmerzen ist. Die Summe dieser Veränderungen am Knochen bewirkt einen einzigartigen mechanischen und neurochemischen Krankheitsprozess, der über eine reine Kombination neuropathischer und entzündlicher Schmerzen hinausgeht.[72][73] Die neurochemischen Veränderungen führen dazu, dass erheblich höhere Dosen von Opioiden zur Schmerzbehandlung verabreicht werden müssen als beispielsweise bei Entzündungsschmerzen mit ähnlicher Intensität.[65] Die Behandlung der Schmerzen ist eines der wesentlichen Ziele der palliativen Betreuung von Patienten mit Knochenmetastasen.
Pathologische Frakturen
Seltener wird eine Knochenmetastase durch eine pathologische Fraktur erstmals symptomatisch.[27]:11[74]
Pathologische Frakturen sind Knochenbrüche, die ohne äußere Einwirkungen aufgrund einer erkrankungsbedingten Schwächung der Knochenmatrix entstehen. Vor allem osteolytische, aber auch osteoplastische Knochenmetastasen schwächen den betroffenen Knochen, der dann unter Umständen schon durch leichte mechanische Belastungen überfordert ist und bricht. Diese Brüche können unter alltäglichen Situationen, wie beispielsweise dem Aufrichten aus einem Sessel oder dem Umlagern eines Patienten, auftreten.[75] Bei den osteoplastischen Knochenmetastasen ist zwar die Knochendichte erhöht, die Knochenfestigkeit ist aber durch den völlig unstrukturierten Aufbau herabgesetzt.[6] Im Bereich der Wirbelsäule können sie zu Versteifungen führen.[64]
Pathologische Frakturen führen zu weitreichenden Komplikationen und haben einen erheblichen Einfluss auf die Lebensqualität sowie die Prognose. Die mittlere Lebenserwartung kann um mehrere Monate sinken.[22] Mit Bisphosphonaten lässt sich diese Form von Knochenbrüchen in vielen Fällen vermeiden.[76][77]
Von Knochenbrüchen sind meist die Rippen oder Wirbelkörper betroffen. Brüche in den langen Röhrenknochen, insbesondere am Hals des Oberschenkelknochens („Oberschenkelhalsbruch“), haben eine besonders hohe Morbidität und sind der Hauptgrund für eine chirurgische Versorgung. Frakturen an Wirbelkörpern können zu spinalen Kompressionssyndromen führen.[64]
- Aufnahmen pathologischer Frakturen
-
Pathologische Fraktur des Oberarmknochens bei einer Metastase eines Nierenzellkarzinoms -
Pathologische Fraktur des linken Oberarms bei Knochenmetastase einer Patientin mit Brustkrebs -
Ganzkörperknochenszintigramm mit 99mTc-HDP der Patientin mit der Oberarmfraktur aufgrund einer Brustkrebsmetastase
Spinale Kompressionssyndrome

Kompressionsfrakturen eines oder mehrerer Wirbelkörper können zu einer Kompression des Rückenmarks oder der Cauda equina (Cauda-equina-Syndrom) führen und sind gefürchtete Komplikationen einer Knochenmetastasierung.[78] Diese spinalen Kompressionssyndrome (Querschnittsyndrome) äußern sich meist durch starke Rückenschmerzen sowie motorische und sensible Ausfälle in den unteren Extremitäten. Auch die Kontrolle der Harnblase und des Mastdarms kann durch die Kompression beeinträchtigt sein.
Bei etwa 5 % aller Krebspatienten tritt ein spinales Kompressionssyndrom in Erscheinung.[79] Der ungefähre Anteil der betroffenen Wirbel liegt zu 70 % im Bereich der Brustwirbelkörper, zu 20 % bei den Lendenwirbelkörpern und zu 10 % bei den Halswirbelkörpern.[78] In 4 bis 22 % der Fälle spinaler Kompressionssyndrome ist es das erste Symptom der ursächlichen Krebserkrankung. Dies ist insbesondere bei Lymphomen, dem Nierenzellkarzinom und Bronchialkarzinomen der Fall.[80]
Die durchschnittliche Überlebenszeit der Patienten mit einem von Knochenmetastasen verursachten spinalen Kompressionssyndrom liegt bei zwei bis sechs Monaten.[79][81][82]
Der Zeitraum zwischen dem Auftreten neurologischer Ausfälle und deren Behandlung sollte maximal 24 Stunden betragen. Behandelt wird rein palliativ, beispielsweise mit Strahlentherapie, hohen Dosen von Glucocorticoiden wie Dexamethason und operativer Fixierung mit Implantaten.[78][79]
Hypercalcämie
Bei etwa 10 bis 20 % aller Patienten mit Knochenmetastasen kann sich eine Hypercalcämie einstellen. Diese haben eine erhöhte Anzahl an Osteoklasten, die einen verstärkten Knochenabbau bewirken, wodurch die in den Knochen gebundenen Calcium-Ionen freigesetzt werden und in das Blut übergehen. Die freien, nicht an Proteine gebundenen Calcium-Ionen im Plasma können akut lebensbedrohlich werden. Der erhöhte Blutkalziumspiegel kann durch Medikamente, wie beispielsweise Bisphosphonaten[83] oder Glucocorticoiden, wirksam gesenkt werden. In akuten Fällen lässt sich mit dem Arzneistoff Calcitonin der Calciumspiegel rasch senken.
Knochenmarkkarzinose
Eine Knochenmarkkarzinose ist eine eher selten auftretende Komplikation als Folge von Knochenmetastasen. In der Literatur werden Häufigkeiten im Bereich von 8 bis 10 % für alle Fälle von Skelettmetastasen genannt. Die metastasierten Krebszellen durchdringen dabei die Markräume der Knochen, was eine Reduzierung oder gar einen Stopp der Bildung von blutbildenden Zellen zur Folge hat (terminale Myelosuppression). Entsprechend äußert sich eine Knochenmarkkarzinose durch Symptome wie Anämie, verminderter Blutgerinnung und gestörtem Immunsystem (erhöhte Infektionsneigung). Die Behandlung einer Knochenmarkkarzinose ist rein palliativ.[84]
Diagnose
In den meisten Fällen werden Skelettmetastasen im Rahmen von Nachsorgeuntersuchungen von Tumorerkrankungen durch bildgebende Verfahren diagnostiziert.
Nach Anamnese, klinischer Untersuchung und Auswertung eines konventionellen Röntgenbildes kann eine erste Differenzialdiagnose erfolgen. Dabei ist es in vielen Fällen schon möglich zwischen Folgendem zu unterscheiden:
- gutartigem Knochentumor ohne Wachstumstendenz, beispielsweise einem Hämangiom
- gutartigem Tumor mit Wachstumstendenz, beispielsweise einem Riesenzelltumor
- primärem bösartigem Knochentumor, beispielsweise einem Ewing-Sarkom
- sekundärem bösartigem Knochentumor (Knochenmetastase), mit bekanntem Primärtumor oder unbekanntem Primärtumor (CUP-Syndrom)
Am Rumpfskelett ist die Differenzialdiagnose deutlich schwieriger, sodass oftmals ein zusätzliches bildgebendes Verfahren notwendig ist.[85] Laboruntersuchungen können weitere wichtige Hinweise zur Klärung der Tumorart liefern. Eine mittels Biopsie entnommene Gewebeprobe (ein Bioptat) kann die Frage nach gut- oder bösartig sowie Typ und Ursprung des Primärtumors in den meisten Fällen sicher und abschließend beantworten.
In den anderen Fällen sind Knochenmetastasen das erste Symptom einer Krebserkrankung, das heißt, die Knochenmetastase wird vor dem Primärtumor entdeckt. Man spricht in diesen Fällen bis zur Klärung des Primärtumors, von einem CUP-Syndrom (engl. cancer of unknown primary origin, Krebs bei unbekanntem Primärtumor).[85] Ist der Primärtumor unbekannt, so erfolgt eine eingehende klinische Untersuchung des Patienten. Die Abklärung, welcher Primärtumor die Knochenmetastasen hervorgerufen hat, ist für die weitere Therapieplanung von entscheidender Wichtigkeit. Bei männlichen Patienten ist, rein statistisch betrachtet, die Wahrscheinlichkeit für ein Prostatakarzinom als Primärtumor sehr hoch, weshalb meist zuerst die Prostata intensiv untersucht wird. Die Blutspiegel des Tumormarkers prostataspezifischen Antigens (PSA) liefern zusätzliche Erkenntnisse. Ähnlich ist die Vorgehensweise bei weiblichen Patienten. Hier ist die Wahrscheinlichkeit eines Mammakarzinoms als Primärtumor besonders hoch, weshalb meist eine eingehende gynäkologische Untersuchung mit Mammografie oder Mammasonografie erfolgt. Hier kann der Tumormarker CA 15-3 weitere Informationen zur Diagnosestellung geben. Mit einer Skelettszintigrafie können eventuell vorhandene weitere Knochenmetastasen gesucht werden.[85] Es ist möglich, dass trotz aufwändiger Diagnostik der Primärtumor nicht (mehr) lokalisiert werden kann.
Mit der Computertomografie (CT), der Magnetresonanztomografie (MRT) und der Positronen-Emissions-Tomografie (PET) stehen weitere bildgebende Verfahren zur Suche nach dem Primärtumor zur Verfügung. Eine Vielzahl von Tumormarkern kann weitere Indizien liefern. In vielen Fällen bietet eine Biopsie die endgültige Diagnosesicherheit.
Labordiagnostik

Bei Patienten mit Knochenmetastasen weisen die osteoplastischen und osteolytischen Marker und die Marker für die Osteoklastogenese ein verändertes Expressionsmuster auf. Die Bestimmung der Plasmaspiegel dieser Marker kann als diagnostisches Hilfsmittel bei Knochenmetastasen eingesetzt werden. Die Untersuchung des Serums auf bestimmte, mit Knochenmetastasen assoziierte Marker liefert im Normalfall aber keinen eindeutigen Beweis für die Diagnose von Knochenmetastasen. Die meisten Laborparameter sind zu unspezifisch, da sie auch durch andere Erkrankungen verändert sein können.
Generell liefern chemische Messwerte keine Diagnosen. Sie bieten aber wichtige zusätzliche Informationen bei der Diagnosestellung und liefern als gewebe- und/oder prozessspezifische Indikatoren wertvolle Beiträge zum diagnostischen „Puzzle“.[86] Da in vielen Fällen Knochenmetastasen die ersten Symptome einer Krebserkrankung sind,[12] kann anhand der aus dem Patientenblut bestimmten endokrinologischen Parameter der Verdacht auf Knochenmetastasen bestätigt oder entkräftigt werden, bevor aufwändigere bildgebende Verfahren zum Einsatz kommen.
Bei anderweitig gesicherter Diagnose können die Marker als Indikatoren für den Status der Knochenmetastasierung dienen und so zur Therapiekontrolle genutzt werden.[87] Die Marker können beispielsweise zur Kontrolle der Wirksamkeit und zur Optimierung einer Behandlung mit Bisphosphonaten herangezogen werden.[88]
Für die Labordiagnostik sind das Osteocalcin, die alkalische Phosphatase, die N-terminale Form vom Prokollagen Typ I Propeptid (PINP) und die C-terminale Form vom Prokollagen Typ I (PICP) wichtige Marker, die eine vermehrte Knochenbildung anzeigen. Dagegen dienen die beiden Kollagenfragmente carboxyterminalen Typ-I-Kollagen-Telopeptide ICTP (engl. cross-linked C-terminal telopeptide of type I collagen) und β-CTX (engl. beta isomer of C-terminal telopeptide of type I collagen) sowie die Tartrat-resistente saure Phosphatase 5b (TRAcP5b) als Marker für die Knochenresorption bei Knochenmetastasen.[89]
Die Spiegel der verschiedenen Marker für Knochenmetastasen zeigen keine Korrelation zum Schmerzgrad der Metastasen.[90] Zwischen der Konzentration der Knochenmarker im Serum und dem Überleben der Patienten besteht eine negative Korrelation (hohe Markerspiegel bedeuten statistisch betrachtet eine kürzere Lebenserwartung).[88][91][92]
PINP und PICP
Kollagen Typ I ist mit einem Anteil von über 90 % der Hauptbestandteil der organischen Knochenmatrix.[93] Reifes Kollagen Typ I wird im Rahmen des normalen Knochenumbaus ständig abgebaut. Fragmente werden über die Blutbahn in die Nieren transportiert und dort ausgeschieden. Bei einem erhöhten Knochenabbau, wie er beispielsweise bei osteolytischen Knochenmetastasen vorliegt, steigt der Spiegel dieser Fragmente im Blutserum an. Um den Knochenabbau zu kompensieren, werden Reparaturmechanismen aktiviert, die eine ausreichende Knochenmasse gewährleisten sollen. Prokollagen Typ I, das amino- und carboxyterminale Präkursor-Proteine (Vorläufer-Proteine) enthält, wird von Osteoblasten und Fibroblasten sezerniert. Die carboxy- und aminoterminalen Propeptide PICP beziehungsweise PINP werden durch Proteasen bei der Umwandlung von Prokollagen in Kollagen abgespalten[94][95] und danach in die Blutbahn abgegeben. Ihre dortige Konzentration korreliert mit dem Ausmaß an der Neubildung von Kollagen Typ I.[96] PINP kann als Marker bei Diagnose und Verlaufskontrolle skelettaler Metastasen, wie beispielsweise des multiplen Myeloms,[97] des Prostatakarzinoms,[98] oder des Mammakarzinoms[99] verwendet werden. Die Korrelation zwischen Verlust an Knochenmasse und PINP-Konzentration konnte beispielsweise bei Patientinnen mit Brustkrebs nach der Menopause nachgewiesen werden.[96][100] Die Konzentration von PINP im Serum korreliert bei Patientinnen mit Brustkrebs mit der Anzahl an Knochenmetastasen.[101]
ICTP
Der ICTP-Spiegel ist bei osteolytischen und gemischt osteolytisch/osteoplastischen Knochenmetastasen erhöht und relativ unempfindlich, was Schwankungen im normalen Knochenstoffwechsel betrifft. Bei Niereninsuffizienz mit einer glomerulären Filtrationsrate von weniger als 50 ml/min ist die Konzentration von ICTP, das über die Niere ausgeschieden wird, allerdings ebenfalls erhöht.[102] ICTP und β-CTX können als zusätzliche Indikatoren für Knochenmetastasen beim Bronchialkarzinom dienen.[87]
Osteocalcin

Osteocalcin wird nur von aktiven Osteoblasten gebildet. Es kann sowohl im Blut als auch im Urin nachgewiesen werden. Osteolytische[103] und osteoplastische Knochenmetastasen[104] erhöhen die Spiegel von Osteocalcin. Erhöhte Werte dieses Peptidhormons sind allerdings nicht spezifisch nur bei Knochenmetastasen zu beobachten. Auch bei Hyperparathyreoidismus, High-Turnover-Osteoporose, Osteodystrophia deformans (Paget-Syndrom), Osteomalazie, Hyperthyreose oder Niereninsuffizienz werden erhöhte Werte im Serum gemessen. Osteocalcin kann beispielsweise bei differenzierten Schilddrüsenkarzinomen als Marker für den Nachweis von Knochenmetastasen dienen.[105] Beim Prostatakarzinom ist es als Marker dagegen weitgehend unbrauchbar.[90]
Knochenspezifische alkalische Phosphatase
Die knochenspezifische alkalische Phosphatase (BAP, bone-specific alkaline phosphatase) ist ein Marker der mittleren Phase der Knochenbildung, der während der Reifung der Knochenmatrix freigesetzt wird.[98] BAP ist ein spezifischer Marker für Osteogenese und osteoplastische Metastasen und zeigt diskrete bis deutlich ausgeprägte Anstiege der Serumspiegel. Speziell beim Prostatakarzinom ist bei einer Metastasierung in die Knochen ein derartiger Anstieg zu beobachten.[86] Andere Erkrankungen mit ausgeprägter Osteogenese, wie Osteodystrophia deformans oder Osteomalazie, führen allerdings ebenfalls zu erhöhten BAP-Spiegeln im Serum.[92]
Andere Marker
Über die Bestimmung von freien Calcium-Ionen im Serum können Hypercalcämien, als eine Folge von osteolytischen Knochenmetastasen, diagnostiziert werden.[89] Außer durch osteolytische Knochenmetastasen können Hypercalcämien durch eine Vielzahl anderer Erkrankungen hervorgerufen werden. Auch der Primärtumor alleine kann durch Drosselung der Calcium-Ausscheidung über die Nieren den Calcium-Spiegel im Blut ansteigen lassen.[6]
Bei Patienten mit osteolytischen Metastasen finden sich im Blut auch erhöhte Spiegel an Prostaglandin E2 (PGE2).[106] Das Gleiche gilt für das Strukturprotein Osteopontin.[105][107][108][109]
Bildgebende Verfahren
Röntgen
Für die initiale Diagnosestellung hat das konventionelle Röntgenbild eine zentrale Bedeutung. Die Indikation für Aufnahmen in zwei Ebenen ist bei dem Verdacht auf Knochentumoren immer gegeben.[85] Osteolytische Metastasen sind durch eine Abnahme der Knochendichte gekennzeichnet. Dies ist in der Röntgenaufnahme aufgrund der höheren Transparenz für Röntgenstrahlen, durch einen höheren Schwärzungsgrad zu erkennen. Umgekehrt zeigen osteoplastische Metastasen wegen der Zunahme der Knochendichte einen geringeren Schwärzungsgrad. Osteolytische Knochenmetastasen sind an der Wirbelsäule deutlich schwieriger zu erkennen; meist erst dann, wenn bereits etwa 50 % der Gesamtknochenstärke verlorengegangen ist.[85]
-
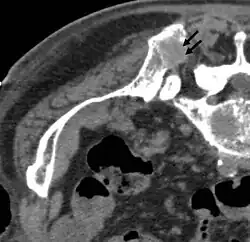
Axiale Computertomografie einer osteoplastischen Metastase im Schädelknochen eines Patienten mit Prostatakarzinom. Deutlich ist die Ausdehnung der Metastase über die ursprünglichen Knochengrenzen hinaus zu erkennen. -
Im Vergleich dazu eine Computertomografie osteolytischer Metastasen in den Schädelknochen einer Patientin mit Mammakarzinom. Zu sehen ist eine größere Osteolyse frontal und mehrere kleinere. -
Röntgenaufnahme des Beckens eines Patienten mit Prostatakarzinom: Multiple osteoplastische Knochenmetastasen, insbesondere im Kreuzbein, aber auch im Darmbein, vor allem links (also rechts im Bild), am Sitzbeinhöcker links und im proximalen Oberschenkelknochen links. Nebenbefundlich zeigt sich eine Hüftgelenksarthrose rechts (also links im Bild). -
Röntgenaufnahme des Beckenraums osteolytischer Metastasen. Die Metastasen sind in beiden Oberschenkelknochen und am Becken selbst.
Skelettszintigrafie

Metastasen, die auf das Skelettsystem beschränkt sind, sind beim kolorektalen Karzinom sehr selten.[110]
Die Skelettszintigrafie ist derzeit noch der Goldstandard für das Erkennen von Knochenmetastasen. Das Verfahren ist relativ aufwändig, kostenintensiv und unterliegt einigen diagnostischen Limitationen.[88] Im Gegensatz zur Röntgendiagnostik kann bei der Skelettszintigrafie relativ einfach der gesamte Befall des Skeletts dargestellt werden.[85] Eine Skelettszintigrafie ist für das Aufspüren von Knochenmetastasen normalerweise deutlich empfindlicher als eine Röntgenaufnahme. Die Sensitivität der Skelettszintigraphie ist mit 95 % recht hoch. Im Durchschnitt werden mit dieser Methode Knochenmetastasen sechs Monate vor ihrer Erkennung im Röntgenbild nachgewiesen.[111] Dagegen ist die Spezifität wesentlich geringer,[112] da nahezu alle tumorösen und inflammatorischen Veränderungen am Skelett zu einer Anreicherung des Radiotracers in diesen Arealen führt. Der erhöhte Knochenumsatz und Reparaturvorgänge im Randbereich von osteolytischen Knochenmetastasen hat eine erhöhte Speicherung des Radiotracers zur Folge, die als Hot Spot im Szintigramm sichtbar sind.[113] Bei Knochenmetastasen von Lungen- oder Brustkrebs kann die reaktive Knochenneubildung in seltenen Fällen ausbleiben.[114] Im Szintigramm ist dies dann als Cold Spot, ein Bereich mit reduzierter Nuklidaufnahme, zu erkennen.[115]
Beim rein osteolytischen multiplen Myelom sind bei der Skelettszintigrafie dagegen keine Veränderungen zu erkennen.[85] Während im Röntgenbild das Ergebnis der Aufsummierung von Stoffwechselvorgängen am Knochen über einen längeren Zeitpunkt zu sehen ist, stellt die Skelettszintigrafie eine Momentaufnahme der aktuellen Stoffwechselvorgänge an den Knochen dar. Deshalb können beispielsweise Knochenmetastasen mit osteoplastischen Prozessen, die mit einer sehr niedrigen Stoffwechselrate ablaufen, im Szintigramm unauffällig bleiben.[116]
Die Skelettszintigrafie wird vor allem zur Therapiekontrolle der Chemo-, Strahlen- oder Radionuklidtherapie, für die Stadienbestimmung (engl. staging) beim CUP-Syndrom angewendet und zur Nachsorge bei Krebserkrankungen eingesetzt.[85]
Computertomografie
Die Computertomografie (CT) erfolgt meist nach der konventionellen Röntgenaufnahme und der Skelettszintigrafie. In diesen der CT vorgeschalteten Untersuchungsverfahren werden die Bereiche lokalisiert, die dann mittels CT in erheblich höherer Auflösung und besserer Qualität dargestellt werden sollen. Die CT liefert Informationen über das Ausmaß der Knochenzerstörung und die Stabilität des von Knochenmetastasen betroffenen Bereiches.[85] Diese Informationen sind für die Planung der Behandlung, insbesondere für etwaige chirurgische Interventionen, von großer Wichtigkeit.
Die Indikation für eine CT ist daher vor stabilisierenden operativen Eingriffen (beispielsweise eines Wirbelsäulenabschnittes), vor einer Nadelbiopsie (wenn die Läsion im Szintigramm sichtbar, aber in der Röntgenaufnahme nicht sichtbar ist) sowie bei drohenden oder bereits eingetretenen Frakturen gegeben.[85]
Magnetresonanztomografie


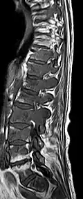
Mit der Magnetresonanztomografie (MRT) können insbesondere Weichteilgewebe gut bildmäßig dargestellt werden. Sie gilt für die Diagnostik von spinalen Metastasen (Metastasen in der Wirbelsäule) als Goldstandard. Mit der MRT können darüber hinaus weitere Komplikationen im Bereich der spinalen Metastasen, wie beispielsweise Infektionen oder Verletzungen des Bandscheiben- und Ligamentkomplexes, Knochenmarködeme nach einer frischen Fraktur,[117][118] oder Kompressionen neuraler Strukturen, sichtbar gemacht werden.[18]:16 Mit Hilfe der STIR-Sequenz (engl. short tau inversion recovery) ist es möglich, das Alter einer Fraktur zu ermitteln. Zum Aufspüren von Metastasen ist die T1-Wichtung mit Gadolinium-haltigen Kontrastmitteln, wie beispielsweise Gadotersäure, besonders gut geeignet. Das Kontrastmittel reichert sich in den Metastasen besonders stark an.[18][119]
Für die Rezidivdiagnostik ist die MRT besser als die CT geeignet. So erzeugen Titanimplantate bei der MRT weniger Artefakte.[85][120]
- Vergleich CT / MRT bei osteolytischen Metastasen eines Mammakarzinoms in der Wirbelsäule
-
Sagittal rekonstruierte CT, Darstellung im Knochenfenster. Da die Patientin multiple Metastasen in allen Körperregionen hatte, konnte sie die Arme nicht für die Untersuchung nach oben nehmen, weshalb die Hände mit abgebildet sind. -
Sagittal rekonstruierte CT, Weichteilfenster. Neben den Metastasen in der Wirbelsäule, die teilweise nach hinten in den Spinalkanal einwachsen, auch Metastasen im Brustbein. Zusätzlich Lebermetastasen. -
Sagittale native T1-gewichtete MRT -
Sagittale native T1-gewichtete MRT. Deutlich sichtbar die Ausdehnung bis in die Bogenwurzeln.
Positronen-Emissions-Tomografie
- Maximumintensitätsprojektion bei verschiedenen Tracern
-
Maximumintensitätsprojektion (MIP) einer PET/CT mit Cholin. Die physiologische Anreicherung in Leber, Pankreas, Nieren, Blase, Milz, Knochenmark und den Speicheldrüsen ist deutlich zu erkennen. Die Knochenmetastase befindet sich im Schambein links.
-
PET/CT in MIP mit 18Fluor-Desoxyglucose (FDG) bei metastasiertem Brustkrebs. Primärtumor in der rechten Brust. Lymphknotenmetastasen im Mediastinum und Lungenmetastasen. Die Knochenmetastasen lassen sich in der Untersuchung mit 18F-NaF (nächstes Video) besser abgrenzen.
-
PET/CT in MIP mit 18F-Natriumfluorid (NaF) bei metastasiertem Brustkrebs. Knochenmetastasen in Schädel, Wirbelsäule, Becken, Rippen, linkem Schlüsselbein und rechtem Oberschenkel. Die gleiche Patientin wie in dem FDG-Video
Knochenmetastasen unterschiedlicher Tumorerkrankungen können mit PET/CT sehr gut nachgewiesen werden. Das Verfahren ist sensitiver als die SPECT und erheblich sensitiver als die Skelettszintigrafie, jedoch auch aufwändiger und somit teurer. Je nach Tumorentität werden unterschiedliche Tracer verwendet, meist jedoch FDG und Natriumfluorid, beim Prostata-Krebs auch 18F-Cholin. Metabolische Aktivität des Tumors ist mit Hilfe des Tracers FDG, die Reaktion des Knochens auf den Tumor mit der Natriumfluorid-PET/CT meist gut darstellbar.[121]
- F-18-Cholin-PET/CT
-
Osteolytische Knochenmetastase im zweiten Halswirbelknochen (Axis) eines metastasierten Prostatakarzinoms -
Osteoplastische Knochenmetastase eines metastasierten Prostata-Karzinoms im Hüftgelenk -
CT einer Prostatakrebs-Metastase im linken Schambein (im Bild rechts) -
Cholin-PET derselben Metastase im Schambein -
Fusionsbild aus CT und Cholin-PET der Prostatakrebs-Metastase im linken Schambein
Knochenmarkbiopsie
Speziell bei einem unbekannten Primärtumor kann eine Knochenmarkbiopsie wesentliche Erkenntnisse über die Ätiologie der Knochenmetastase liefern.[22] Aus den per Biopsie entnommenen Zellen der Metastase kann durch eine pathohistologische Untersuchung eine Zuordnung zum Primärtumor erfolgen. Auch bei bekanntem Primärtumor kann die Indikation für eine Knochenmarkbiopsie gegeben sein. Sie dient in diesen Fällen der Diagnosesicherung und dem Ausschluss eines Zweitkarzinoms.[85]
Auch für die Differenzialdiagnose, ob es sich um eine Knochenmetastase oder einen primären Knochentumor handelt, liefert die Biopsie wichtige Informationen. Da eine Biopsie Artefakte bei einer nachfolgenden bildgebenden Diagnose liefern kann, erfolgt sie in der Regel immer nach Abschluss der bildgebenden Verfahren.[85]
Bei stark entdifferenzierten Zellen kann auch histopathologisch keine Zuordnung zu einem Primärtumor erfolgen.[27][122]
Therapie
Bei den häufigsten Knochenmetastasen, die durch Brust-, Prostata- oder Bronchialkarzinom verursacht werden, ist eine kurative (heilende) Behandlung in den meisten Fällen nicht mehr möglich. Zudem gibt es bisher keine effektive Behandlungsmethode für Knochenmetastasen. Bisphosphonate und der RANKL-Antikörper Denosumab erhöhen die Lebensqualität, verlängern aber nicht die Lebensspanne der Erkrankten.[29][123]
Im Gegensatz zu Metastasen in Lunge oder Leber ist die Überlebenszeit bei Knochenmetastasen relativ lang. Sie können daher unter Umständen über viele Jahre durch ihre Symptome die Morbidität bei vielen Krebserkrankungen bestimmen. Die Behandlung der Knochenschmerzen ist eines der wesentlichen palliativen Therapieziele.[3] In einigen Publikationen wird die Gabe von Calcitonin als schmerzlindernd beschrieben.[124][125] Dazu wird der Wirkstoff entweder unter die Haut gespritzt[126] oder als Nasenspray verabreicht.[127] Neuere Studien kommen zu dem Ergebnis, dass Calcitonin nicht zur Schmerztherapie von Knochenmetastasen geeignet ist.[128][129]
Die Zellen von Knochenmetastasen verhalten sich weitgehend wie die Zellen des Primärtumors, aus dem sie hervorgegangen sind. Viele therapeutische Maßnahmen, die beim Primärtumor wirksam sind, zeigen auch eine Wirkung bei den Knochenmetastasen. Diese Form der Behandlung, zu der die „Hormontherapie“ (besser: Antihormontherapie) und die Chemotherapie gehören, ist gegen die Krebsart an sich und nicht speziell gegen Knochenmetastasen gerichtet. Andere Therapieformen werden gezielt zur Bekämpfung von Knochenmetastasen eingesetzt. Dazu gehören die Strahlentherapie, die Bisphosphonattherapie und chirurgische Eingriffe.[6]
Strahlentherapie

Der Einsatz der Strahlentherapie zur Behandlung von Knochenmetastasen ist rein palliativ. Die Krebserkrankung wird nicht geheilt, aber bei etwa 70 % der so behandelten Patienten werden die Schmerzen deutlich gelindert. Einer Metastudie aus dem Jahr 2000 zufolge wird bei 41 % der behandelten Patienten eine Schmerzreduzierung um mindestens 50 % für mindestens einen Monat erreicht. Ein Drittel der Patienten war nach der Behandlung vollständig schmerzfrei.[130] Etwa 70 % der osteolytischen Metastasen rekalzifizieren nach der Bestrahlung wieder. Die volle Belastbarkeit des Knochens wird bei größeren Läsionen nach etwa sechs Monaten wieder erreicht. Üblicherweise werden relativ niedrige Strahlendosen, im Bereich von 10 bis 40 Gray, verwendet. Diese Dosis wird üblicherweise auf 15 bis 18 kleinere Einzeldosen aufgeteilt. Die Bestrahlung kann täglich ambulant durchgeführt werden und dauert bis zu vier Wochen. Durch die niedrige Dosis sind ernsthafte Nebenwirkungen sehr selten. Das Privatleben wird nicht beeinträchtigt und die Behandlung ist nicht stigmatisierend. Nur in den direkt bestrahlten Bereichen fallen die Haare aus. Übelkeit und Schwäche treten normalerweise nur bei der Bestrahlung von multiplen Knochenmetastasen auf. Auf der Haut sind nur die Markierungen der Feldgrenzen sichtbar. Die relativ niedrige Dosis hemmt vor allem das Wachstum der Osteoklasten und reduziert die Entzündungen im Knochengewebe. Vor/während der Durchführung der Strahlentherapie soll auf jeden Fall ein Nephrologe begleitend zu Rate gezogen werden, um einen optimalen Schutz der Nieren zu gewährleisten, die durch einen erhöhten Anfall von Abbauprodukten aus der Strahlenbehandlung gerade bei älteren Menschen oft bis an die Leistungsgrenze gefordert sind. Bei Vernachlässigung des Nierenschutzes kann Nierenversagen und Abhängigkeit für den Rest des schon beschwerlichen Lebens von der Dialyse die Folge sein.[131]
Palliative Radionuklidtherapie

Bei der palliativen Radionuklidtherapie werden dem Patienten Radiopharmaka injiziert. Wie bei der Strahlentherapie werden durch die Radionuklidtherapie der Knochenumbau und Entzündungen im Bereich der Knochenmetastasen gehemmt. In mehreren Studien konnte die Effektivität der Radionuklidtherapie für Knochenmetastasen bei Brustkrebs und Prostatakarzinom nachgewiesen werden. Die Ansprechrate liegt bei etwa 70 % der behandelten Patienten. Eine vollständige Schmerzfreiheit erzielt man bei etwa 30 % der Patienten. Die Schmerzlinderung setzt etwa 48 Stunden nach der Behandlung mit Rhenium-186 und Samarium-153 ein und hält zwischen einem und zwölf Monaten an.[132] In den ersten zwei bis vier Tagen kommt es bei etwa 10[133] bis 30 %[134] der Patienten zu einer durchschnittlich drei Tage andauernden Anfangsverschlimmerung der Schmerzen (engl. pain flare).[134] Je nach Primärtumor können außer Rhenium-186 und Samarium-153 noch weitere Radiopharmaka eingesetzt werden. Mit 223Ra-Chlorid (Alpharadin, Handelsname: Xofigo®) ist ferner ein α-Strahler zur Behandlung von symptomatischen Knochenmetastasen kastrationsresistenter Prostatakarzinome zugelassen.[135]
Bisphosphonate

Bisphosphonate sind – zusammen mit dem RANKL-Antikörper Denosumab – die einzigen Arzneimittel, die speziell zur Behandlung von Knochenmetastasen zum Einsatz kommen. Bisphosphonate galten bisher als „Goldstandard“.[136] Ihre Anwendung ist allerdings rein palliativ und nicht kurativ.[5][47][62]
Bisphosphonate wurden ursprünglich zur Behandlung von Osteoporose entwickelt. Sie stabilisieren brüchige Knochen, indem sie sich besonders eng mit dem Knochengewebe verbinden. Dies erschwert den Knochenabbau durch die Osteoklasten. Bisphosphonate sind im Allgemeinen gut verträglich und können zusammen mit einer Hormon- oder Chemotherapie verabreicht werden. Moderne Bisphosphonate, wie beispielsweise Zoledronat, sind schnell und lang anhaltend wirksam. Zoledronat wird per Infusion appliziert. Oral verfügbare Bisphosphonate sind beispielsweise Clodronat und Ibandronat. Sie können bequem in Tablettenform aufgenommen werden, sind sehr gut nierenverträglich und für eine Langzeittherapie gut geeignet.[6] In ihrer Wirksamkeit unterscheiden sich die verschiedenen Bisphosphonate nur marginal.[137] Bisphosphonate reduzieren außerdem die durch die Metastasen verursachten Knochenschmerzen.[138][139]
Bisphosphonatassoziierte Knochennekrosen im Kieferbereich (engl. osteonecrosis of the jaw) sind eine seit 2003 beschriebene Nebenwirkung der Bisphosphonate.[140] Diese Knochenveränderung ist durch eine avaskuläre Knochennekrose, die auf den Kieferknochen begrenzt ist, charakterisiert.[141]
Kontrovers wird die Möglichkeit diskutiert, ob die Gabe von Bisphosphonate vor dem Nachweis von Knochenmetastasen eine präventive oder gar Anti-Tumor-Wirkung[142][143] hat. Die bisher vorliegenden Studien ergeben noch kein einheitliches Bild.[6] In vitro hat Zoledronat die Eigenschaft, Knochenmetastasen zu unterdrücken, die Zellproliferation herabzusetzen und die Apoptoserate zu erhöhen.[144]
RANKL-Antikörper
Der vollhumane monoklonale Antikörper Denosumab bietet erstmals die Möglichkeit, ursächlich in den pathophysiologischen Mechanismus der Osteoklasten-vermittelten Knochenzerstörung einzugreifen, weshalb hier vom neuen „Goldstandard“ gesprochen wird. Denosumab u. a. ist zugelassen zur Prävention von skelettbezogenen Komplikationen (SRE) (pathologische Fraktur, Bestrahlung des Knochens, Rückenmarkkompression oder operative Eingriffe am Knochen) bei Erwachsenen mit Knochenmetastasen aufgrund solider Tumoren.[145] Die mittlere Zeit bis zum Auftreten des ersten SRE betrug 27,6 Monate für Denosumab und 19,4 Monate für das Bisphosphonat Zoledronsäure.[146][147] Denosumab unterbricht die Signalübermittlung zwischen Osteoblasten und den knochenabbauenden Osteoklasten. Dabei übernimmt es die Rolle des Osteoprotegerins, welches der natürliche Gegenspieler von RANKL ist. Dadurch wird die Signalübermittlung zum Osteoklasten und damit auch der Teufelskreis der Knochenzerstörung unterbrochen. Denn wenn der Osteoklast keine Befehle mehr empfängt, kann er den Knochenabbau nicht fortsetzen. Durch die Verminderung der Neubildung und Aktivierung der knochenabbauenden Zellen wird das Skelett, das von Metastasen befallen und bedroht wird, geschützt.[148]
Denosumab ist ebenfalls zugelassen zur Behandlung der Osteoporose (Knochenschwund) bei postmenopausalen Frauen mit erhöhtem Frakturrisiko. Denosumab vermindert signifikant das Risiko für vertebrale, nicht-vertebrale und Hüftfrakturen. Die Behandlung von Knochenschwund im Zusammenhang mit Hormonablation bei Männern mit Prostatakarzinom mit erhöhtem Frakturrisiko ist auch Bestandteil der Zulassung. Prolia vermindert bei Männern mit Prostatakarzinom unter Hormonablationstherapie signifikant das Risiko für vertebrale Frakturen.[149]
Antihormontherapie
Einige Tumorarten benötigen für ihr Wachstum bestimmte Sexualhormone. Die Produktion dieser Hormone kann durch eine Antihormontherapie beziehungsweise Hormonentzugstherapie gehemmt werden. Dabei wird das Wachstum des Primärtumors und seiner Metastasen ebenfalls gehemmt.[6] Eine Heilung ist bei der Antihormontherapie nicht möglich. Bei Patienten mit Tumoren, die auf diese Therapieform ansprechen, kann allerdings ein Wachstumsstopp über längere Zeiträume (viele Monate bis Jahre) erzielt werden. Zudem werden die durch den Tumor verursachten Beschwerden gelindert.[150] Mit dem Fortschreiten der Krebserkrankung benötigen nach einiger Zeit die meisten Tumorzellen nicht mehr die Sexualhormone für ihr weiteres Wachstum. Der Tumor ist dann „hormontaub“ (hormonrefraktär) und die Antihormontherapie wird therapeutisch unwirksam.
Chemotherapie
Bei einer Chemotherapie werden Zellen in ihrem Wachstum gehemmt. Stark proliferierende Zellen, zu denen auch die Krebszellen in den Knochenmetastasen gehören, werden besonders geschädigt – allerdings auch gesunde Zellen mit hoher Teilungsrate. So sind beispielsweise die Zellen in den Haarfollikeln in ihrer Proliferation und Differenzierung gestört, was zu einem Haarausfall (Alopezie) führen kann.[151]
Die Wahl des Chemotherapeutikums wird im Wesentlichen von der Tumorart und dessen Wachstumsgeschwindigkeit sowie dem Allgemeinzustand des Patienten bestimmt. Zwischen Chemotherapie und Hormonbehandlung können sich positive synergistische Effekte einstellen.[6]
Chirurgie
Chirurgische Eingriffe an von Metastasen befallenen Knochen sind Teil eines Gesamtkonzeptes. Neben einem oft nur palliativen Ansatz sind in vielen Fällen aber auch kurative Ansätze, z. B. beim Nierenzellkarzinom, möglich.[152] Dem Allgemeinzustand des Patienten kommt dabei besondere Bedeutung zu. Nicht alles, was chirurgisch machbar ist, wird auch realisiert. Die operative Maßnahme sollte, bezogen auf die Gesamterkrankung, einen Gewinn bringen.[153] So sollte die zu erwartende Überlebenszeit des Patienten über der durch die Operation bedingten Nachbehandlungszeit (Rekonvaleszenz) liegen.[75] In vielen Fällen führt auch die bestmögliche Behandlung nicht zu einer Verlängerung der Lebenserwartung eines Patienten mit Knochenmetastasen.[8] Der Allgemeinzustand der Patienten ist wegen der Erkrankung und den Folgen der Therapie ausgesprochen schlecht. Die Komplikationsrate und die Mortalität ist daher erheblich höher als bei anderen Patientengruppen. In Einzelfällen, so speziell bei Metastasen des Nierenzellkarzinoms, besteht bei der operativen Therapie auch eine kurative Chance.[22]
Ein akuter Handlungsbedarf ist vor allem bei pathologischen Frakturen, das heißt Brüchen kranker Knochen ohne äußere Gewaltanwendung, gegeben, wenn es sich um die langen Röhrenknochen oder Bereiche des Beckens in der Nähe der Hüfte handelt. Auch bei einer durch Knochenmetastasen hervorgerufenen Instabilität der Wirbelsäule, die zu neurologischen Ausfällen führen kann, sowie bei spinalen oder radikulären Nervenkompressionen ist ein möglichst zeitnaher chirurgischer Eingriff angezeigt.[75][154] Relativ einfach kann dabei dem Rückenmark von hinten (dorsal) Platz gegeben und die Wirbelsäule durch Metallimplantate stabilisiert werden.[155] Im vorderen Abschnitt der Wirbelsäule ist auch die Entfernung von Wirbelkörpern und Wirbelkörperanteilen möglich.[156] Meist kommen hier Metallkörbe zum Einsatz.[157] Minimal invasive Verfahren, wie die Vertebro- oder Kyphoplastie, sind zudem möglich.[158] Die Komplikationsrate bei operativen Eingriffen an der Wirbelsäule ist – im Vergleich zu denselben Eingriffen ohne Tumorerkrankung – vergleichsweise hoch. Bei 6 bis 9 % der Patienten kommt es zu Komplikationen. Ein erneuter Eingriff aufgrund eines Lokalrezidivs ist in mindestens 5 % der Fälle notwendig.[75]
Knochen, bei denen eine Fraktur durch fortschreitende Osteolyse zu erwarten ist, bedürfen ebenfalls einer präventiven Operation. Ist die Osteolyse zu mehr als 50 % bei einem Röhrenknochen vorangeschritten, so ist eine hohe Wahrscheinlichkeit für eine mögliche pathologische Fraktur gegeben. Speziell bei Metastasen im Trochantermassiv besteht eine hohe Frakturgefahr.[75]
Bei einem chirurgischen Eingriff wird die Metastase wenn möglich vollständig vom betroffenen Knochen entfernt. Der gelenknahe Bereich der langen Röhrenknochen wird meist mit einer Tumorendoprothese zur Stabilisierung versehen.[159] Ist die Metastase nicht in der Nähe eines Gelenkes, so kann der Röhrenknochen mittels Verbundosteosynthese oder durch Diaphysenprothese gefestigt werden.[160]
Therapieperspektiven
Anfängliche Therapieerfolge resultieren nach einiger Zeit in therapieresistenten Knochenmetastasen. Verschiedene neue Therapieverfahren befinden sich derzeit in der Entwicklung beziehungsweise in der klinischen Erprobung, um diese Situation zu verbessern.
Ablative Verfahren
Bei offenen chirurgischen Eingriffen ist die Überlebensrate von alten Patienten und solchen mit einem schlechten Allgemeinzustand sehr gering. Kleine invasive Eingriffe verursachen demgegenüber in der Regel geringere Schmerzen und führen zu einer schnelleren Erholung des Patienten.
Verschiedene bildgeführte ablative Verfahren zur Behandlung von Knochenmetastasen wurden in den letzten Jahren entwickelt. Dazu gehören die Hochfrequenzablation (RFA), die Kryotherapie, hochintensiver fokussierter Ultraschall (HIFU) und die Laserablation. Diese Verfahren beruhen auf der lokalen Zerstörung von Tumorzellen durch rein physikalische Einwirkung, im Wesentlichen Hitze, beziehungsweise im Fall der Kryotherapie durch Kälte. Die Führung der Instrumente an den Ort der Metastasen erfolgt üblicherweise mit Hilfe bildgebender Verfahren, beispielsweise per Sonografie, CT, MRT oder Durchleuchtung (engl. image-guided percutaneous ablation).[161] Diese Verfahren lassen sich auch mit minimalinvasiven Verfahren der Vertebroplastie – beispielsweise der Kyphoplastie – kombinieren, bei denen flüssiger Knochenzement zur Stabilisierung in die geschädigten Knochen gespritzt wird.[162][163][164] Bei Patienten, bei denen ein konventioneller chirurgischer Eingriff nicht möglich ist, bietet speziell die Hochfrequenzablation eine Alternative zur Behandlung von Skelettmetastasen.[165][166][167]
Mit diesen Verfahren lässt sich nur eine begrenzte Anzahl von Knochenmetastasen behandeln,[168] weshalb bei einer größeren Anzahl bevorzugt die besonders schmerzhaften Läsionen behandelt werden.[169][170]
Diese Verfahren werden vereinzelt zur palliativen Behandlung von Knochenmetastasen eingesetzt. Über die Wirksamkeit und Nachhaltigkeit gibt es bisher nur unzureichend aussagekräftige Daten aus kleineren klinischen Studien, deren Ergebnisse – speziell bei der Hochfrequenzablation – recht vielversprechend sind.[171][172][173][174]
Auch Wirkstoffe können bildgeführt lokal an Knochenmetastasen gebracht werden. Ein Beispiel ist Ethanol in der perkutanen Ethanolablation.[175]
- CT-Aufnahmen einer Hochfrequenzablation (RFA)
-
Vor der RFA: Hinterer oberer Darmbeindorn (Spina iliaca posterior superior) mit osteolytischer Metastase (ca. 2 cm im Durchmesser, siehe Pfeile) -
Während der RFA: A) Die HF-Elektrode wurde direkt in die Knochenmetastase geführt. B) Nach der Ablation wurde eine Mischung aus Knochenzement und Bariumsulfat in den entstandenen Freiraum injiziert. -
Nach der RFA: Die Verteilung des Knochenzementes in dem nach der Ablation entstandenen Hohlraum ist zu erkennen.
Wirkstoffentwicklung
Mit dem besseren Verständnis der molekularbiologischen Zusammenhänge, die zur Metastasierung in den Knochen und den damit verbundenen destruktiven Prozessen führen, konnten einige potenzielle neue Wirkstoffe entwickelt werden, die möglicherweise auch die mittlere Überlebenszeit erhöhen. Diese Wirkstoffe befinden sich allerdings noch in der klinischen Erprobung.[136][176]
Vielversprechende Ansätze liefert hierbei beispielsweise der monoklonale Antikörper Denosumab (s. 5.4 RANKL-Antikörper).
Andere potenzielle Wirkstoffe sind beispielsweise Odanacatib,[177] Everolimus,[178] Atrasentan[179] und der gegen M-CSF (Makrophagen-koloniestimulierender Faktor, macrophages colony-stimulating factors) gerichtete monoklonale Antikörper MCS110.[180][181][182]
Prognose
Wie bei allen streuenden (metastasierten) Krebserkrankungen ist die Gesamtprognose bei Knochenmetastasen schlecht. Die Krebserkrankung ist in der Regel nicht mehr heilbar. Grundsätzlich ist die Prognose bei Knochenmetastasen stark abhängig vom Primärtumor, weshalb dieser der wichtigste Prognosefaktor ist. Metastasen verhalten sich weitgehend wie der Primärtumor. Folglich haben schwierig therapierbare Primärtumoren schwierig therapierbare (Knochen-)Metastasen. Ein Beispiel hierfür ist das Bronchialkarzinom. Bei Tumoren mit sehr guten Therapieergebnissen, auch in fortgeschrittenen Stadien mit Fernmetastasen, lassen sich auch Knochenmetastasen in vielen Fällen kurativ behandeln, d. h., es führt zu einer vollständigen Genesung. Beispiele hierfür sind vor allem der Hodenkrebs und das follikuläre Schilddrüsenkarzinom.
Bei Patienten mit Brust- oder Prostatakrebs beträgt die mittlere Überlebenszeit nach der Erstdiagnose „Knochenmetastase“ zwölf bis achtzehn Monate, während sie bei Patienten mit einem Bronchialkarzinom bei lediglich drei Monaten liegt.[183] Patienten, bei denen sich nur in den Knochen Metastasen gebildet haben, können zehn und mehr Jahre damit überleben.[184][185][186][187][188]
Auch die Anzahl der Knochenmetastasen, ob sie einzeln oder vielfach auftreten wirkt sich – zumindest bei Brustkrebs und dem Nierenzellkarzinom – signifikant auf die Prognose aus. Metastasiert der Tumor in weitere Organe, so wird die Prognose ausschließlich durch diese Tumorabsiedelungen bestimmt und insgesamt erheblich verschlechtert. Die Knochenmetastasen haben dann auf die Lebenserwartung kaum noch einen signifikanten Einfluss. Der Ort der Metastasierung im Skelett hat zwar keinen Einfluss auf die Prognose, aber einen erheblichen auf die Möglichkeiten chirurgischer Interventionen. Auch das Alter der Patienten beeinflusst die Prognose nicht signifikant.[12][189] Beim Prostatakarzinom sind Knochenmetastasen die primäre Todesursache.[51]
Ein weiterer wichtiger Prognoseparameter ist der sogenannte Karnofsky-Index, der die allgemeine Leistungsfähigkeit von Krebspatienten beschreibt.[183]
Knochenmetastasen in der Veterinärmedizin


Knochenmetastasen sind evolutionsgeschichtlich sehr alt. Sie lassen sich bereits in Fossilien, beispielsweise von Dinosaurierknochen,[13] radiologisch nachweisen.[190][191]
Das Auftreten von Knochenmetastasen ist beim Hund deutlich geringer als beim Menschen. Beim Mammakarzinom sind beispielsweise nur etwa 10 % der erkrankten Tiere mit Fernmetastasen in den Knochen betroffen.[192]:242 In diesen Fällen sind im Wesentlichen die Lendenwirbel und die Beckenknochen befallen. Andere Tumoren, die typischerweise die Knochen des Hundes wuchern (metastasieren), sind Prostata-, Harnröhren- und Blasenkrebs sowie Maligne Histiozytose. Die beim Hund – speziell bei großen Rassen – deutlich häufigeren primären Knochentumoren vom Typ Osteosarkom metastasieren häufig in die Knochen.[192]:406 Mit der zunehmenden Anwendung von Chemotherapeutika bei der Therapie von Krebserkrankungen beim Hund wird offensichtlich das Metastasierungsverhalten der Tumoren so verändert, dass vermehrt Knochentumoren gefunden werden.[192]:390
Bei Katzen ist die Metastasierung von Tumoren in das Skelett extrem selten. Zu den Tumorerkrankungen, die dies gelegentlich tun, gehören das Hämangiosarkom, das Prostatakarzinom, das Osteosarkom und das Urothelkarzinom des Harnapparates.[193]
Für die Erforschung der Metastasierung des Skelettsystems, seiner Vermeidung und seiner Therapie, wird vor allem der Modellorganismus Farbmaus, insbesondere die Nacktmaus, verwendet. Bei Mäusen mit einem Immundefekt lassen sich humane Krebszellen einbringen, die nach einigen Wochen zu Knochenmetastasen führen.[62]
Weiterführende Literatur
Allgemein
- D. Kardamakis, V. Vassiliou, E. Chow: Bone Metastases – A Translational and Clinical Approach. Springer, 2009, ISBN 1-4020-9818-9 eingeschränkte Vorschau in der Google-Buchsuche
- C. Jasmin, R. Capanna, u. a. (Hrsg.): Textbook of bone metastases. John Wiley and Sons, 2005, ISBN 0-471-87742-5 eingeschränkte Vorschau in der Google-Buchsuche
- M. Joerger, M. Gnant (Hrsg.): Prevention of Bone Metastases . Springer, 2012, ISBN 3-642-21891-1.
Pathogenese
- L. J. Suva, C. Washam, R. W. Nicholas, R. J. Griffin: Bone metastasis: mechanisms and therapeutic opportunities. In: Nature Reviews Endocrinology. Band 7, Nummer 4, April 2011, S. 208–218, doi:10.1038/nrendo.2010.227. PMID 21200394. PMC 3134309 (freier Volltext). (Review).
- M. N. Thobe 1, R. J. Clark, R. O. Bainer, S. M. Prasad, C. W. Rinker-Schaeffer: From Prostate to Bone: Key Players in Prostate Cancer Bone Metastasis. In: Cancers 3, 2011, S. 478–493, doi:10.3390/cancers3010478 (Review im Open Access)
- K. C. Nannuru, R. K. Singh: Tumor-stromal interactions in bone metastasis. In: Current osteoporosis reports Band 8, Nummer 2, Juni 2010, S. 105–113, doi:10.1007/s11914-010-0011-6. PMID 20425618. (Review).
- M. S. Virk, J. R. Lieberman: Tumor metastasis to bone. In: Arthritis research & therapy Band 9 Suppl 1, 2007, S. S5, doi:10.1186/ar2169. PMID 17634144. PMC 1924520 (freier Volltext). (Review).
- L. A. Kingsley, P. G. Fournier u. a.: Molecular biology of bone metastasis. In: Molecular Cancer Therapeutics Band 6, Nummer 10, Oktober 2007, S. 2609–2617, doi:10.1158/1535-7163.MCT-07-0234. PMID 17938257. (Review).
- E. T. Keller und L. W. K. Chung (Hrsg.): The biology of skeletal metastases. Band 118, Springer, 2004, ISBN 1-4020-7749-1 eingeschränkte Vorschau in der Google-Buchsuche
- P. J. Kostenuik: Revisiting the seed and soil theory of bone metastasis: new tools, same answer. In: Journal of musculoskeletal & neuronal interactions Band 4, Nummer 4, Dezember 2004, S. 375–376, PMID 15758267. (Review).
- T. A. Guise: Molecular mechanisms of osteolytic bone metastases. In: Cancer Band 88, Nummer 12 Suppl, Juni 2000, S. 2892–2898, PMID 10898330. (Review).
- J. M. Chirgwin, T. A. Guise: Molecular mechanisms of tumor-bone interactions in osteolytic metastases. In: Critical reviews in eukaryotic gene expression Band 10, Nummer 2, 2000, S. 159–178, PMID 11186331. (Review).
Diagnose
- D. Hellwig, B. J. Krause, H. Schirrmeister, M. Freesmeyer: Skelettdiagnostik mittels 18F-Natriumfluorid-PET und -PET/CT. In: Nuklearmedizin Band 49, Nummer 5, 2010, S. 195–201, doi:10.3413/nukmed-0343. PMID 20838734.
- C. M. Costelloe, H. H. Chuang, J. E. Madewell, N. T. Ueno: Cancer Response Criteria and Bone Metastases: RECIST 1.1, MDA and PERCIST. (PDF; 944 kB) In: Journal of Cancer Band 1, 2010, S. 80–92, PMID 20842228. PMC 2938069 (freier Volltext).
- A. M. Davies, M. Sundaram, S. L. J. James: Imaging of Bone Tumors and Tumor-Like Lesions. Springer, 2009, ISBN 3-540-77982-5 eingeschränkte Vorschau in der Google-Buchsuche
- R. Dichtel: Kernspintomographisches Ganzkörper-Screening ossärer Metastasen bei Kindern – Vergleich zur Skelettszintigraphie. (PDF; 684 kB) Dissertation, Ludwig-Maximilians-Universität zu München, 2005.
Therapie
- A. Lipton: Implications of bone metastases and the benefits of bone-targeted therapy. In: Seminars in Oncology Band 37 Suppl 2, Oktober 2010, S. S15–S29, doi:10.1053/j.seminoncol.2010.10.002. PMID 21111244. (Review).
- G. Bauman, M. Charette, R. Reid, J. Sathya: Radiopharmaceuticals for the palliation of painful bone metastasis-a systemic review. In: Radiotherapy and Oncology Band 75, Nummer 3, Juni 2005, S. 258–270, PMID 16299924. (Review).
- G. Singh, S. A. Rabbani: Bone metastasis: experimental and clinical therapeutics. Humana Press, 2005, ISBN 1-58829-403-X eingeschränkte Vorschau in der Google-Buchsuche
- P. Schmid: Supportive Therapie von Knochenmetastasen. UNI-MED-Verlag, 2005, ISBN 3-89599-906-7.
- E. B. Silberstein, L. Eugene, S. R. Saenger: Painful osteoblastic metastases: the role of nuclear medicine. In: Oncology (Williston Park, N.Y.) Band 15, Nummer 2, Februar 2001, S. 157–163, PMID 11252931. (Review).
Weblinks
- Knochenmetastasen. Deutsche Krebsgesellschaft
- Knochenmetastasen: Informationen für Patienten und Interessierte – Hintergründe, Diagnose, Behandlung und Leben mit der Erkrankung, Krebsinformationsdienst des Deutschen Krebsforschungszentrums (DKFZ), Heidelberg. 6. September 2012. Zuletzt abgerufen am 4. September 2014.
- www.leben-mit-knochenmetastasen.de Informationen für Patienten und Angehörige
- Detaillierte Darstellung von operativer Therapie und Prognose der Knochenmetastasen
- Zwiegespräche zwischen Knochen und Tumorzellen. Berufsverband der Fachärzte für Orthopädie und Unfallchirurgie
Einzelnachweise
- ↑ a b C. P. Adler: Knochenkrankheiten. Ausgabe 3, Springer, 2005, ISBN 3-540-21962-5, S. 418–429. eingeschränkte Vorschau in der Google-Buchsuche
- ↑ a b c d A. Pelz: Retrospektive Untersuchungen zur zytologischen und histologischen Diagnostik von Knochenmarkmetastasen im Untersuchungsmaterial des Institutes für Pathologie des Klinikums Bad Saarow im Zeitraum von 1993–2006. (PDF; 2 MB) Dissertation, Charité – Universitätsmedizin Berlin, 2009
- ↑ a b c d e f g B. Krempien: Die Entstehung von Knochenschmerzen bei Knochenmetastasen und ihre Behandlung durch Bisphosphonate. In: H. H. Bartsch, W. Hornstein (Hrsg.): Interdisziplinäre Schmerztherapie bei Tumorpatienten. Karger Publishers, 1998, ISBN 3-8055-6594-1, eingeschränkte Vorschau in der Google-Buchsuche
- ↑ H. Yasuda, N. Shima, N. Nakagawa, K. Yamaguchi, M. Kinosaki, S. Mochizuki, A. Tomoyasu, K. Yano, M. Goto, A. Murakami, E. Tsuda, T. Morinaga, K. Higashio, N. Udagawa, N. Takahashi, T. Suda: Osteoclast differentiation factor is a ligand for osteoprotegerin/osteoclastogenesis-inhibitory factor and is identical to TRANCE/RANKL. In: Proceedings of the National Academy of Sciences of the United States of America Band 95, Nummer 7, März 1998, S. 3597–3602, PMID 9520411. PMC 19881 (freier Volltext).
- ↑ a b G. D. Roodman: Mechanisms of bone metastasis. In: Discovery medicine Band 4, Nummer 22, Juni 2004, S. 144–148, PMID 20704976. (Open Access)
- ↑ a b c d e f g h i I. J. Diel, H. Seegenschmiedt: Therapie von Skelettmetastasen. In: H.-J. Schmoll, K. Höffken, K. Possinger (Hrsg.): Kompendium Internistische Onkologie. (Seite nicht mehr abrufbar, festgestellt im März 2018. Suche in Webarchiven) Info: Der Link wurde automatisch als defekt markiert. Bitte prüfe den Link gemäß Anleitung und entferne dann diesen Hinweis. (PDF; 792 kB) Springer 2006, ISBN 978-3-540-20657-6, S. 994–1014. eingeschränkte Vorschau in der Google-Buchsuche
- ↑ a b G. Layer: Skelettmetastasen. In: J. Freyschmidt, A. Stäbler: Handbuch diagnostische Radiologie. Springer, 2005, S. 327–338, ISBN 978-3-540-26388-3 doi:10.1007/3-540-26388-8_11
- ↑ a b c W. K. Hong, R. C. Bast, W. Hait, u. a.: Holland-Frei: Cancer Medicine. Band 8, BC Decker, 2009, ISBN 1-60795-014-6, eingeschränkte Vorschau in der Google-Buchsuche
- ↑ J. R. Neff: Metastatic disease to bone. In: M. M. Lewis (Hrsg.): Musculoskeletal oncology: a multi-disciplinary approach. W. B. Saunders, 1992, S. 377–399, ISBN 0-7216-5771-0
- ↑ H. L. Abrams, R. Spiro, N. Goldstein: Metastases in carcinoma; analysis of 1000 autopsied cases. In: Cancer Band 3, Nummer 1, Januar 1950, S. 74–85, PMID 15405683.
- ↑ M. Campanacci: Anonymous bone and soft tissue tumors. In: Bone metastases from carcinomas. Springer, Wien New York, 1990, S. 677–679.
- ↑ a b c d H. R. Dürr, H. J. Refior: Prognose of skelettärer Metastasen. ( vom 6. Juni 2011 im Internet Archive) In: Der Orthopäde Band 27, Nummer 5, Mai 1998, S. 294–300, PMID 9646321.
- ↑ a b R. A. Ruggiero, O. D. Bustuoabad, P. Chiarella, J. Bruzzo, R. P. Meiss: On the biological Significance of Tumor Growth. In: D. Kimura (Hrsg.): Cell growth processes – New Research. Nova Publishers, 2008, ISBN 1-60456-132-7, S. 91. eingeschränkte Vorschau in der Google-Buchsuche
- ↑ M. E. Kricun: Edward B. D. Neuhauser Lecture. Paleoradiology of the prehistoric Australian aborigines. In: American Journal of Roentgenology. Band 163, Nummer 2, August 1994, S. 241–247, doi:10.2214/ajr.163.2.8037007, PMID 8037007.
- ↑ Y. Gorina, D. Hoyert, H. Lentzner, M. Goulding: Trends in Causes of Death among Older Persons in the United States. (PDF; 359 kB) In: Aging Trends. No 6, National Center for Health Statistics, 2006, nach Daten von Deaths: Leading Causes of 2002. NVSR Vol. 53, no.17.
- ↑ Robert Koch-Institut (Hrsg.): Krebs in Deutschland 2005/2006 – Häufigkeiten und Trends. ( vom 3. November 2013 im Internet Archive) 7. Ausgabe, 2010.
- ↑ D. M. Sciubba, Z. L. Gokaslan: Diagnosis and management of metastatic spine disease. In: Surgical Oncology Band 15, Nummer 3, November 2006, S. 141–151, doi:10.1016/j.suronc.2006.11.002. PMID 17184989. (Review).
- ↑ a b c S. Freynik: Ballonkyphoplastie von pathologischen Frakturen der Wirbelkörper bei vertebralen Tumormetastasen. Prospektive Studie mit 65 Patienten über zwei Jahre Nachuntersuchungszeitraum. (PDF; 5,2 MB) Dissertation, Medizinische Fakultät Charité – Universitätsmedizin Berlin, 2009
- ↑ L. Bubendorf, A. Schöpfer, U. Wagner, G. Sauter, H. Moch, N. Willi, T. C. Gasser, M. J. Mihatsch: Metastatic patterns of prostate cancer: an autopsy study of 1,589 patients. In: Human pathology Band 31, Nummer 5, Mai 2000, S. 578–583, PMID 10836297.
- ↑ I. Roato, P. D'Amelio, E. Gorassini, A. Grimaldi, L. Bonello, C. Fiori, L. Delsedime, A. Tizzani, A. De Libero, G. Isaia, R. Ferracini: Osteoclasts are active in bone forming metastases of prostate cancer patients. In: PLoS ONE Band 3, Nummer 11, 2008, S. e3627, doi:10.1371/journal.pone.0003627. PMID 18978943. PMC 2574033 (freier Volltext).
- ↑ C. P. Adler, G. W. Herget, M. Uhl: Radiologische Diagnostik der Knochenkrankheiten. Springer, 2004, ISBN 3-540-20465-2, S. 166. eingeschränkte Vorschau in der Google-Buchsuche
- ↑ a b c d H. R. Dürr, V. Jansson, P. U. Tunn: Differenzierte Therapie metastatischer Läsionen des Knochens. In: Arthritis und Rheuma 3, 2007, S. 162–168.
- ↑ a b L. A. Liotta, E. C. Kohn: Holland-Frei: Invasion and Metastases. 5. Auflage, BC Decker, 2000.
- ↑ T. Peters: Inzidenz von Knochenmetastasen bei der Erstdiagnose von Prostatakarzinomen in Abhängigkeit vom prostataspezifischen Antigen. Dissertation, Westfälische Wilhelms-Universität Münster, 2006. DNB 991641671/34
- ↑ R. L. Carter: Patterns and mechanisms of bone metastases. In: Journal of the Royal Society of Medicine Band 78 Suppl 9, 1985, S. 2–6, PMID 4045915. PMC 1289525 (freier Volltext).
- ↑ H. Noltenius, D. Wolter: Zur allgemeinen Pathologie der Tumormetastasen. In: H. Remé (Hrsg.): Osteolysen: pathologische Frakturen. Thieme, 1982, ISBN 3-13-636501-1, S. 2–14.
- ↑ a b c d e f g S. Braun: Operative Therapie und Prognose bei Patienten mit skelettären Karzinommetastasen. Dissertation, Ludwig-Maximilians-Universität zu München, 2004.
- ↑ R. L. Carter: Patterns and mechanisms of localized bone invasion by tumors: studies with squamous carcinomas of the head and neck. In: Critical reviews in clinical laboratory sciences Band 22, Nummer 3, 1985, S. 275–315, doi:10.3109/10408368509165845. PMID 3899510. (Review).
- ↑ a b P. Clezardin, A. Teti: Bone metastasis: pathogenesis and therapeutic implications. In: Clinical & experimental metastasis Band 24, Nummer 8, 2007, S. 599–608, doi:10.1007/s10585-007-9112-8. PMID 18008175. (Review).
- ↑ A. F. Chambers, A. C. Groom, I. C. MacDonald: Dissemination and growth of cancer cells in metastatic sites. In: Nature Reviews Cancer Band 2, Nummer 8, August 2002, S. 563–572, doi:10.1038/nrc865. PMID 12154349. (Review).
- ↑ C. F. Nußbaum: Funktion von Thrombozyten bei antivaskulärer Tumortherapie durch Paclitaxel enkapsuliert in kationische Liposomen. (PDF; 1,7 MB) Dissertation, Ludwig-Maximilians-Universität zu München, 2008, S. 2.
- ↑ E. J. Raubenheimer, C. E. Noffke: Pathogenesis of bone metastasis: a review. In: Journal of Oral Pathology & Medicine Band 35, Nummer 3, März 2006, S. 129–135, doi:10.1111/j.1600-0714.2006.00360.x. PMID 16454807. (Review).
- ↑ R. Bartl, E. von Tresckow, C. Bartl: Bisphosphonat-Manual: Wirkungen – Indikationen – Strategien. Kapitel 9: Knochenmetastasen, Springer, 2006, ISBN 3-540-25362-9, S. 225–249, eingeschränkte Vorschau in der Google-Buchsuche
- ↑ G. S. Forbes, R. A. McLeod, R. R. Hattery: Radiographic manifestations of bone metastases from renal carcinoma. In: American Journal of Roentgenology Band 129, Nummer 1, Juli 1977, S. 61–66, PMID 409145.
- ↑ T. A. Guise, G. R. Mundy: Cancer and bone. In: Endocrine reviews Band 19, Nummer 1, Februar 1998, S. 18–54, PMID 9494779. (Review).
- ↑ Case records of the Massachusetts General Hospital. Weekly clinicopathological exercises. Case 29-1972. In: The New England Journal of Medicine Band 287, Nummer 3, Juli 1972, S. 138–143, doi:10.1056/NEJM197207202870308. PMID 4338086.
- ↑ M. R. Paling, T. L. Pope: Computed tomography of isolated osteoblastic colon metastases in the bony pelvis. In: The Journal of computed tomography Band 12, Nummer 3, Juli 1988, S. 203–207, PMID 3168541.
- ↑ J. E. Kingston, P. N. Plowman, B. F. Smith, N. J. Garvan: Differentiated astrocytoma with osteoblastic skeletal metastases in a child. In: Child's nervous system Band 2, Nummer 4, 1986, S. 219–221, PMID 3779686.
- ↑ A. S. Gamis, J. Egelhoff, G. Roloson, J. Young, G. M. Woods, R. Newman, A. I. Freeman: Diffuse bony metastases at presentation in a child with glioblastoma multiforme. A case report. In: Cancer Band 66, Nummer 1, Juli 1990, S. 180–184, PMID 2162242.
- ↑ M. K. McLennan: Case report 657: Malignant epithelial thymoma with osteoplastic metastases. In: Skeletal radiology Band 20, Nummer 2, 1991, S. 141–144, PMID 2020863.
- ↑ N. Giordano, P. Nardi, P. Vigni, F. Palumbo, E. Battisti, C. Gennari: Osteoblastic metastases from carcinoid tumor. In: Clinical and experimental rheumatology Band 12, Nummer 2, 1994 Mar-Apr, S. 228–229, PMID 8039297.
- ↑ C. C. Liaw, Y. S. Ho, N. G. Koon-Kwan, T. L. Chen, W. C. Tzann: Nasopharyngeal carcinoma with brain metastasis: a case report. In: Journal of neuro-oncology Band 22, Nummer 3, 1994, S. 227–230, PMID 7760099.
- ↑ R. T. Pederson, D. J. Haidak, R. A. Ferris, J. S. Macdonald, P. S. Schein: Osteoblastic bone metastasis in Zollinger-Ellison syndrome. In: Radiology Band 118, Nummer 1, Januar 1976, S. 63–64, PMID 1244675.
- ↑ A. Pingi, G. Trasimeni, C. Di Biasi, G. Gualdi, G. Piazza, F. Corsi, F. Chiappetta: Diffuse leptomeningeal gliomatosis with osteoblastic metastases and no evidence of intraaxial lesions. In: AJNR. American journal of neuroradiology Band 16, Nummer 5, Mai 1995, S. 1018–1020, PMID 7639122.
- ↑ J. George, F. M. Lai: Metastatic cervical carcinoma presenting as psoas abscess and osteoblastic and lytic bony metastases. In: Singapore medical journal Band 36, Nummer 2, April 1995, S. 224–227, PMID 7676275.
- ↑ T. A. Guise, J. J. Yin, K. S. Mohammad: Role of endothelin-1 in osteoblastic bone metastases. In: Cancer Band 97, Nummer 3 Suppl, Februar 2003, S. 779–784, doi:10.1002/cncr.11129. PMID 12548575. (Review).
- ↑ a b c d G. D. Roodman: Mechanisms of bone metastasis. In: The New England journal of medicine Band 350, Nummer 16, April 2004, S. 1655–1664, doi:10.1056/NEJMra030831. PMID 15084698. (Review).
- ↑ R. E. Coleman, J. J. Seaman: The role of zoledronic acid in cancer: clinical studies in the treatment and prevention of bone metastases. In: Seminars in oncology Band 28, Nummer 2 Suppl 6, April 2001, S. 11–16, PMID 11346860. (Review).
- ↑ L. W. K. Chung, W.-C. Huang, S.-Y. Sung, D. Wu, V. Odero-Marah, H. E. Zhau: Cancer–Host Interactions. In: L. W. K. Chung, W. B. Isaacs, J. W. Simons (Hrsg.): Prostate cancer – biology, genetics, and the new therapeutics. Humana Press, 2007, ISBN 1-58829-696-2, S. 76–78. eingeschränkte Vorschau in der Google-Buchsuche
- ↑ N. Rucci, A. Teti: Osteomimicry: how tumor cells try to deceive the bone. In: Frontiers in bioscience (Scholar edition) Band 2, 2010, S. 907–915, PMID 20515833. (Review).
- ↑ a b K. Knerr, K. Ackermann, T. Neidhart, W. Pyerin: Bone metastasis: Osteoblasts affect growth and adhesion regulons in prostate tumor cells and provoke osteomimicry. In: International Journal of Cancer. Band 111, Nummer 1, August 2004, S. 152–159, doi:10.1002/ijc.20223. PMID 15185357.
- ↑ K. Ackermann, W. Pyerin: Zwiegespräche zwischen Knochen und Tumorzellen. ( des vom 25. März 2014 im Internet Archive) Info: Der Archivlink wurde automatisch eingesetzt und noch nicht geprüft. Bitte prüfe Original- und Archivlink gemäß Anleitung und entferne dann diesen Hinweis. In: orthinform.de vom 21. April 2005
- ↑ G. N. Thalmann, M. G. Cecchini, A. Wetterwald, R. Schwanninger, C. Rentsch: Knochenmetastasen – Zufall oder vorbestimmt? ( vom 23. September 2015 im Internet Archive) (PDF; 320 kB) In: UNIPRESS 120, April 2004, S. 34–36.
- ↑ N. S. Fedarko, B. Fohr, P. G. Robey, M. F. Young, L. W. Fisher: Factor H binding to bone sialoprotein and osteopontin enables tumor cell evasion of complement-mediated attack. In: The Journal of Biological Chemistry Band 275, Nummer 22, Juni 2000, S. 16666–16672, doi:10.1074/jbc.M001123200. PMID 10747989.
- ↑ H. T. Khong, N. P. Restifo: Natural selection of tumor variants in the generation of „tumor escape“ phenotypes. In: Nature immunology Band 3, Nummer 11, November 2002, S. 999–1005, doi:10.1038/ni1102-999. PMID 12407407. PMC 1508168 (freier Volltext). (Review).
- ↑ K. S. Koeneman, F. Yeung, L. W. Chung: Osteomimetic properties of prostate cancer cells: a hypothesis supporting the predilection of prostate cancer metastasis and growth in the bone environment. In: The Prostate Band 39, Nummer 4, Juni 1999, S. 246–261, PMID 10344214. (Review).
- ↑ A. Halas: Crosstalk of cells in bone metastasis: Molecular and cellular analysis of the mutual effects of prostate cancer cells and osteoblasts. Dissertation, Universität Kaiserslautern, 2010
- ↑ M. Hirao, J. Hashimoto, N. Yamasaki, W. Ando, H. Tsuboi, A. Myoui, H. Yoshikawa: Oxygen tension is an important mediator of the transformation of osteoblasts to osteocytes. In: Journal of bone and mineral metabolism Band 25, Nummer 5, 2007, S. 266–276, doi:10.1007/s00774-007-0765-9. PMID 17704991.
- ↑ a b A. L. Harris: Hypoxia–a key regulatory factor in tumour growth. In: Nature Reviews Cancer Band 2, Nummer 1, Januar 2002, S. 38–47, doi:10.1038/nrc704. PMID 11902584. (Review).
- ↑ J. M. Brown, W. R. Wilson: Exploiting tumour hypoxia in cancer treatment. In: Nature Reviews Cancer Band 4, Nummer 6, Juni 2004, S. 437–447, doi:10.1038/nrc1367. PMID 15170446. (Review).
- ↑ G. L. Semenza: Targeting HIF-1 for cancer therapy. In: Nature Reviews Cancer Band 3, Nummer 10, Oktober 2003, S. 721–732, doi:10.1038/nrc1187. PMID 13130303. (Review).
- ↑ a b c d e f L. K. Dunn, K. S. Mohammad, P. G. Fournier, C. R. McKenna, H. W. Davis, M. Niewolna, X. H. Peng, J. M. Chirgwin, T. A. Guise: Hypoxia and TGF-beta drive breast cancer bone metastases through parallel signaling pathways in tumor cells and the bone microenvironment. In: PloS one Band 4, Nummer 9, 2009, S. e6896, doi:10.1371/journal.pone.0006896. PMID 19727403. PMC 2731927 (freier Volltext).
- ↑ H. Zhong, A. M. De Marzo, E. Laughner, M. Lim, D. A. Hilton, D. Zagzag, P. Buechler, W. B. Isaacs, G. L. Semenza, J. W. Simons: Overexpression of hypoxia-inducible factor 1alpha in common human cancers and their metastases. In: Cancer Research Band 59, Nummer 22, November 1999, S. 5830–5835, PMID 10582706.
- ↑ a b c D. A. Wölke: Ergebnisse der Strahlentherapie bei schmerzhaften Skelettmetastasen. Dissertation, Westfälische Wilhelms-Universität Münster, 2009. DNB 99711424X/34
- ↑ a b S. Mercadante, F. Fulfaro: Management of painful bone metastases. In: Current opinion in oncology Band 19, Nummer 4, Juli 2007, S. 308–314, doi:10.1097/CCO.0b013e3281214400. PMID 17545792. (Review).
- ↑ P. Honore, P. W. Mantyh: Bone cancer pain: from mechanism to model to therapy. In: Pain medicine (Malden, Mass.) Band 1, Nummer 4, Dezember 2000, S. 303–309, PMID 15101876.
- ↑ I. Roato, M. Grano, G. Brunetti, S. Colucci, A. Mussa, O. Bertetto, R. Ferracini: Mechanisms of spontaneous osteoclastogenesis in cancer with bone involvement. In: The FASEB journal Band 19, Nummer 2, Februar 2005, S. 228–230, doi:10.1096/fj.04-1823fje. PMID 15550550.
- ↑ H. A. Harvey, L. R. Cream: Biology of bone metastases: causes and consequences. In: Clinical Breast Cancer Band 7 Suppl 1, Juli 2007, S. S7–S13, PMID 17683652. (Review).
- ↑ P. W. Mantyh, D. R. Clohisy, M. Koltzenburg, S. P. Hunt: Molecular mechanisms of cancer pain. In: Nature Reviews Cancer Band 2, Nummer 3, März 2002, S. 201–209, doi:10.1038/nrc747. PMID 11990856. (Review).
- ↑ M. Nagae, T. Hiraga, T. Yoneda: Acidic microenvironment created by osteoclasts causes bone pain associated with tumor colonization. In: Journal of bone and mineral metabolism Band 25, Nummer 2, 2007, S. 99–104, doi:10.1007/s00774-006-0734-8. PMID 17323179.
- ↑ D. B. Mach, S. D. Rogers, M. C. Sabino, N. M. Luger, M. J. Schwei, J. D. Pomonis, C. P. Keyser, D. R. Clohisy, D. J. Adams, P. O’Leary, P. W. Mantyh: Origins of skeletal pain: sensory and sympathetic innervation of the mouse femur. In: Neuroscience Band 113, Nummer 1, 2002, S. 155–166, PMID 12123694.
- ↑ P. Honore, S. D. Rogers, M. J. Schwei, J. L. Salak-Johnson, N. M. Luger, M. C. Sabino, D. R. Clohisy, P. W. Mantyh: Murine models of inflammatory, neuropathic and cancer pain each generates a unique set of neurochemical changes in the spinal cord and sensory neurons. In: Neuroscience Band 98, Nummer 3, 2000, S. 585–598, PMID 10869852.
- ↑ L. Doré-Savard, V. Otis, K. Belleville, M. Lemire, M. Archambault, L. Tremblay, J. F. Beaudoin, N. Beaudet, R. Lecomte, M. Lepage, L. Gendron, P. Sarret: Behavioral, medical imaging and histopathological features of a new rat model of bone cancer pain. In: PloS one Band 5, Nummer 10, 2010, S. e13774, doi:10.1371/journal.pone.0013774. PMID 21048940. PMC 2966439 (freier Volltext).
- ↑ R. J. Papac: Bone marrow metastases. A review. In: Cancer Band 74, Nummer 9, November 1994, S. 2403–2413, PMID 7922993. (Review).
- ↑ a b c d e H. J. Helling: Therapie symptomatischer Knochenmetastasen. In: U. B. Hankemeier (Hrsg.): Tumorschmerztherapie. Springer, 2004, ISBN 3-540-20431-8, S. 167f. eingeschränkte Vorschau in der Google-Buchsuche
- ↑ S. Bottiglieri, V. Adams, K. M. Smith: Pharmacologic prevention of skeletal-related events in cancer patients. In: Orthopedics Band 33, Nummer 8, August 2010, S. 577–580, doi:10.3928/01477447-20100625-20. PMID 20704155. (Review).
- ↑ L. Costa, P. P. Major: Effect of bisphosphonates on pain and quality of life in patients with bone metastases. In: Nature Clinical Practice Oncology Band 6, Nummer 3, März 2009, S. 163–174, doi:10.1038/ncponc1323. PMID 19190592. (Review).
- ↑ a b c J. S. Zimmermann, M. W. Groß, T. Riegel, R. Engenhart-Cabillic: Spinales Kompressionssyndrom. In: Der Onkologe Band 5, Nummer 12, 1999, S. 1054–1061.
- ↑ a b c D. Bottke, S. Hammersen, S. Höcht und W. Hinkelbein: Spinales Kompressionssyndrom. In: Der Onkologe Band 10, Nummer 4, 2004, S. 345–350, doi:10.1007/s00761-004-0693-4
- ↑ R. Kath, E. Aulbert, K. Höffgen: Behandlung onkologischer Notfälle. In: E. Aulbert, F. Nauck, L. Radbruch (Hrsg.): Lehrbuch der Palliativmedizin. Schattauer Verlag, 2007, ISBN 3-7945-2361-X, eingeschränkte Vorschau in der Google-Buchsuche
- ↑ P. J. Hoskin, A. Grover, R. Bhana: Metastatic spinal cord compression: radiotherapy outcome and dose fractionation. In: Radiotherapy and oncology: journal of the European Society for Therapeutic Radiology and Oncology Band 68, Nummer 2, August 2003, S. 175–180, PMID 12972313.
- ↑ M. C. Chamberlain, P. A. Kormanik: Epidural spinal cord compression: a single institution's retrospective experience. In: Neuro-Oncology Band 1, Nummer 2, April 1999, S. 120–123, PMID 11550307. PMC 1920751 (freier Volltext). (Review).
- ↑ F. Lumachi, A. Brunello, A. Roma, U. Basso: Cancer-induced hypercalcemia. In: Anticancer Research Band 29, Nummer 5, Mai 2009, S. 1551–1555, PMID 19443365. (Review).
- ↑ A. A. Kurth, L. Hovy, T. Hennigs: Bisphosphonattherapie von Knochenerkrankungen. Birkhäuser, 2001, ISBN 3-7985-1266-3, S. 37. eingeschränkte Vorschau in der Google-Buchsuche
- ↑ a b c d e f g h i j k l m B. Wippermann, E. Mössinger, H. E. Schratt, C. Krettek: Diagnostik und Therapie von Knochenmetastasen. In: Der Unfallchirurg Band 105, Nummer 2, Februar 2002, S. 147–160, PMID 11968542.
- ↑ a b C. Meier, M. J. Seibel: Biochemische Knochenumbaumarker bei Knochenmetastasen. ( des vom 3. März 2016 im Internet Archive) Info: Der Archivlink wurde automatisch eingesetzt und noch nicht geprüft. Bitte prüfe Original- und Archivlink gemäß Anleitung und entferne dann diesen Hinweis. In: Onkologie 5, 2006, S. 34–39.
- ↑ a b Q. Q. Kong, T. W. Sun, Q. Y. Dou, F. Li, Q. Tang, F. X. Pei, C. Q. Tu, Z. Q. Chen: Beta-CTX and ICTP act as indicators of skeletal metastasis status in male patients with non-small cell lung cancer. In: The International journal of biological markers Band 22, Nummer 3, 2007 Jul-Sep, S. 214–220, PMID 17922466.
- ↑ a b c M. Lein, A. Ramankulov, C. Stephan, J. Kramer, S. A. Loening, K. Jung: Neue Serummarker zur Diagnostik von Knochenmetastasen beim Prostatakarzinom. In: Der Urologe. Ausg. A Band 46, Nummer 9, September 2007, S. 1087–1088, doi:10.1007/s00120-007-1437-z. PMID 17628774.
- ↑ a b H. Renz: Praktische Labordiagnostik. Walter de Gruyter, 2009, ISBN 3-11-019576-3, S. 431. eingeschränkte Vorschau in der Google-Buchsuche
- ↑ a b A. G. Zafeirakis, G. A. Papatheodorou, G. S. Limouris: Clinical and imaging correlations of bone turnover markers in prostate cancer patients with bone only metastases. In: Nuclear medicine communications Band 31, Nummer 3, März 2010, S. 249–253, doi:10.1097/MNM.0b013e328335a5ed. PMID 20038858.
- ↑ K. Jung, M. Lein, C. Stephan, K. Von Hösslin, A. Semjonow, P. Sinha, S. A. Loening, D. Schnorr: Comparison of 10 serum bone turnover markers in prostate carcinoma patients with bone metastatic spread: diagnostic and prognostic implications. In: International journal of cancer Band 111, Nummer 5, September 2004, S. 783–791, doi:10.1002/ijc.20314. PMID 15252851.
- ↑ a b J. E. Brown, S. Sim: Evolving role of bone biomarkers in castration-resistant prostate cancer. In: Neoplasia (New York, N.Y.) Band 12, Nummer 9, September 2010, S. 685–696, PMID 20824045. PMC 2933689 (freier Volltext). (Review).
- ↑ A. Berruti, M. Torta, A. Piovesan, C. A. Raucci, F. Orlandi, A. Panero, L. Dogliotti, A. Angeli: Biochemical picture of bone metabolism in breast cancer patients with bone metastases. In: Anticancer Research Band 15, Nummer 6B, 1995, S. 2871–2875, PMID 8669881.
- ↑ J. Melkko, S. Kauppila, S. Niemi, L. Risteli, K. Haukipuro, A. Jukkola, J. Risteli: Immunoassay for intact amino-terminal propeptide of human type I procollagen. In: Clinical chemistry Band 42, Nummer 6 Pt 1, Juni 1996, S. 947–954, PMID 8665688.
- ↑ O. Orum, M. Hansen, C. H. Jensen, H. A. Sørensen, L. B. Jensen, K. Hørslev-Petersen, B. Teisner: Procollagen type I N-terminal propeptide (PINP) as an indicator of type I collagen metabolism: ELISA development, reference interval, and hypovitaminosis D induced hyperparathyroidism. In: Bone Band 19, Nummer 2, August 1996, S. 157–163, PMID 8853860.
- ↑ a b D. Pollmann: [Ein neuer, automatisierter PINP-Assay im Vergleich zu etablierten Markern des Knochenmetabolismus und der Tumormasse in der Verlaufsbeurteilung des ossär metastasierten Mammakarzinoms.], Medizinischen Fakultät Charité – Universitätsmedizin Berlin, Dissertation, 2007
- ↑ I. Elomaa, L. Risteli, M. Laakso, R. Lahtinen, P. Virkkunen, J. Risteli: Monitoring the action of clodronate with type I collagen metabolites in multiple myeloma. In: European Journal of Cancer Band 32A, Nummer 7, Juni 1996, S. 1166–1170, PMID 8758248.
- ↑ a b M. Koizumi, J. Yonese, I. Fukui, E. Ogata: The serum level of the amino-terminal propeptide of type I procollagen is a sensitive marker for prostate cancer metastasis to bone. In: BJU international Band 87, Nummer 4, März 2001, S. 348–351, PMID 11251528.
- ↑ R. Tähtelä, E. Thölix: Serum concentrations of type I collagen carboxyterminal telopeptide (ICTP) and type I procollagen carboxy-and aminoterminal propeptides (PICP, PINP) as markers of metastatic bone disease in breast cancer. In: Anticancer Research Band 16, Nummer 4B, 1996 Jul-Aug, S. 2289–2293, PMID 8694558.
- ↑ T. Saarto, C. Blomqvist, J. Risteli, L. Risteli, S. Sarna, I. Elomaa: Aminoterminal propeptide of type I procollagen (PINP) correlates to bone loss and predicts the efficacy of antiresorptive therapy in pre- and post-menopausal non-metastatic breast cancer patients. In: British journal of cancer Band 78, Nummer 2, Juli 1998, S. 240–245, PMID 9683300. PMC 2062893 (freier Volltext).
- ↑ D. Pollmann, S. Siepmann, R. Geppert, K. D. Wernecke, K. Possinger, D. Lüftner: The amino-terminal propeptide (PINP) of type I collagen is a clinically valid indicator of bone turnover and extent of metastatic spread in osseous metastatic breast cancer. In: Anticancer Research Band 27, Nummer 4A, 2007 Jul-Aug, S. 1853–1862, PMID 17649784.
- ↑ Würmtal-Diagnostics: I-carboxyterminales Telopeptid (ICTP) – kataboler Knochenmarker. (PDF; 27 kB) Vom 1. September 2008
- ↑ A. M. Salem, S. F. Zohny, M. M. Abd El-Wahab, R. Hamdy: Predictive value of osteocalcin and beta-CrossLaps in metastatic breast cancer. In: Clinical biochemistry Band 40, Nummer 16–17, November 2007, S. 1201–1208, doi:10.1016/j.clinbiochem.2007.07.006. PMID 17889845.
- ↑ T. A. Gardner, S. J. Lee, S. D. Lee, X. Li, T. Shirakawa, D. D. Kwon, R. Y. Park, K. Y. Ahn, C. Jung: Differential expression of osteocalcin during the metastatic progression of prostate cancer. In: Oncology reports Band 21, Nummer 4, April 2009, S. 903–908, PMID 19287987.
- ↑ a b Y. Gao, H. Lu, Q. Luo, X. Wu, S. Sheng: Predictive value of osteocalcin in bone metastatic differentiated thyroid carcinoma. In: Clinical biochemistry Band 43, Nummer 3, Februar 2010, S. 291–295, doi:10.1016/j.clinbiochem.2009.08.015. PMID 19732762.
- ↑ L. Y. Shih, H. N. Shih, T. H. Chen: Bone resorption activity of osteolytic metastatic lung and breast cancers. In: Journal of orthopaedic research Band 22, Nummer 6, November 2004, S. 1161–1167, doi:10.1016/j.orthres.2004.03.004. PMID 15475192.
- ↑ S. J. Hotte, E. W. Winquist, L. Stitt, S. M. Wilson, A. F. Chambers: Plasma osteopontin: associations with survival and metastasis to bone in men with hormone-refractory prostate carcinoma. In: Cancer Band 95, Nummer 3, August 2002, S. 506–512, doi:10.1002/cncr.10709. PMID 12209742.
- ↑ A. Ramankulov, M. Lein, G. Kristiansen, S. A. Loening, K. Jung: Plasma osteopontin in comparison with bone markers as indicator of bone metastasis and survival outcome in patients with prostate cancer. In: The Prostate Band 67, Nummer 3, Februar 2007, S. 330–340, doi:10.1002/pros.20540. PMID 17192877.
- ↑ A. Macrì, A. Versaci, G. Lupo, G. Trimarchi, C. Tomasello, S. Loddo, G. Sfuncia, R. Caminiti, D. Teti, C. Famulari: Role of osteopontin in breast cancer patients. In: Tumori Band 95, Nummer 1, 2009 Jan-Feb, S. 48–52, PMID 19366056.
- ↑ K. Mado, Y. Ishii, T. Mazaki, M. Ushio, H. Masuda, T. Takayama: A case of bone metastasis of colon cancer that markedly responded to S-1/CPT-11 combination chemotherapy and became curable by resection. In: World journal of surgical oncology Band 4, 2006, S. 3, doi:10.1186/1477-7819-4-3. PMID 16417646. PMC 1395313 (freier Volltext). (Open Access)
- ↑ International Atomic Energy Agency: Selection of Labelling Kit. Abgerufen am 11. März 2011
- ↑ R. E. O’Mara: Skeletal scanning in neoplastic disease. In: Cancer Band 37, Nummer 1 suppl, Januar 1976, S. 480–486, PMID 1247979.
- ↑ N. Alazraki, D. Resnick: Radionuclide techniques. In: D. Resnick (Hrsg.): Bone and joint imaging W. B. Saunders, 1989, ISBN 0-7216-2215-1, S. 185–198.
- ↑ N. Otsuka, M. Fukunaga, K. Morita, S. Ono, K. Nagai: Photon-deficient finding in sternum on bone scintigraphy in patients with malignant disease. In: Radiation medicine Band 8, Nummer 5, 1990, S. 168–172, PMID 2075233.
- ↑ R. S. Hellman, M. A. Wilson: Discordance of sclerosing skeletal secondaries between sequential scintigraphy and radiographs. In: Clinical Nuclear Medicine Band 7, Nummer 3, März 1982, S. 97–98, PMID 7060310.
- ↑ F. L. Datz, G. G. Patch, J. M. Arias, K. A. Morton: Nuclear medicine. A teaching file. Mosby Year Book, 1992, ISBN 0-8016-6365-2, S. 28–29.
- ↑ W. T. Yuh, C. K. Zachar, T. J. Barloon, Y. Sato, W. J. Sickels, D. R. Hawes: Vertebral compression fractures: distinction between benign and malignant causes with MR imaging. In: Radiology Band 172, Nummer 1, Juli 1989, S. 215–218, PMID 2740506.
- ↑ A. Baur, A. Stäbler, S. Arbogast, H. R. Duerr, R. Bartl, M. Reiser: Acute osteoporotic and neoplastic vertebral compression fractures: fluid sign at MR imaging. In: Radiology Band 225, Nummer 3, Dezember 2002, S. 730–735, PMID 12461253.
- ↑ J. Kollath: Radiologische Diagnostik der Knochenmetastasen. In: H. Böttcher, I. Adamietz (Hrsg.): Klinik der Skelettmetastasen: Grundlagen, Diagnostik, Therapie. Zuckschwerdt, ISBN 3-88603-587-5, S. 8–13.
- ↑ N. A. Ebraheim, R. E. Rupp, E. R. Savolaine, D. Reinke: Use of titanium implants in pedicular screw fixation. In: Journal of spinal disorders Band 7, Nummer 6, Dezember 1994, S. 478–486, PMID 7873844.
- ↑ Paul Shreve, David W.Townsend: Clinical PET-CT in Radiology Integrated Imaging in Oncology Springer Science+Business Media, LLC 2011, ISBN 978-0-387-48900-1, Chapter 32: PET-CT of Bone Metastases, by James A.Scott and Edwin L. Palmer
- ↑ A. D. Johnston: Pathology of metastatic tumors in bone. In: Clinical Orthopaedics and Related Research Band 73, 1970, S. 8–32, PMID 4920992. (Review).
- ↑ C. R. Dunstan, D. Felsenberg, M. J. Seibel: Therapy insight: the risks and benefits of bisphosphonates for the treatment of tumor-induced bone disease. In: Nature clinical practice. Oncology Band 4, Nummer 1, Januar 2007, S. 42–55, doi:10.1038/ncponc0688. PMID 17183355. (Review).
- ↑ A. C. Hindley, E. B. Hill, M. J. Leyland, A. E. Wiles: A double-blind controlled trial of salmon calcitonin in pain due to malignancy. In: Cancer chemotherapy and pharmacology Band 9, Nummer 2, 1982, S. 71–74, PMID 6756666.
- ↑ D. Lussier, A. G. Huskey, R. K. Portenoy: Adjuvant analgesics in cancer pain management. In: The oncologist Band 9, Nummer 5, 2004, S. 571–591, doi:10.1634/theoncologist.9-5-571. PMID 15477643. (Review).
- ↑ A. Roth, K. Kolaric: Analgetic activity of calcitonin in patients with painful osteolytic metastases of breast cancer. Results of a controlled randomized study. In: Oncology Band 43, Nummer 5, 1986, S. 283–287, PMID 3531953.
- ↑ J. Szántó, N. Ady, S. József: Pain killing with calcitonin nasal spray in patients with malignant tumors. In: Oncology Band 49, Nummer 3, 1992, S. 180–182, PMID 1495743.
- ↑ M. J. Martinez-Zapata, M. Roqué, P. Alonso-Coello, E. Català: Calcitonin for metastatic bone pain. In: Cochrane database of systematic reviews (Online) Band 3, 2006, S. CD003223, doi:10.1002/14651858.CD003223.pub2. PMID 16856000. (Review).
- ↑ M. J. Martinez, M. Roqué, P. Alonso-Coello, E. Català, J. L. Garcia, M. Ferrandiz: Calcitonin for metastatic bone pain. In: Cochrane database of systematic reviews (Online) Nummer 3, 2003, S. CD003223, doi:10.1002/14651858.CD003223. PMID 12917954. (Review).
- ↑ H. J. McQuay, S. L. Collins, D. Carroll, R. A. Moore: Radiotherapy for the palliation of painful bone metastases. In: Cochrane database of systematic reviews (Online) Nummer 2, 2000, S. CD001793, doi:10.1002/14651858.CD001793. PMID 10796822. (Review).
- ↑ P. Köhler: Strahlentherapie von Knochenmetastasen. ( vom 31. März 2010 im Internet Archive) (PDF; 606 kB) In: radiologen-konstanz.de 4, 2005
- ↑ Palliative Schmerztherapie von Skelettmetastasen. ( vom 30. Mai 2010 im Internet Archive) Universitätsklinikum Ulm, abgerufen am 25. Februar 2011
- ↑ E. B. Silberstein: Teletherapy and radiopharmaceutical therapy of painful bone metastases. In: Seminars in nuclear medicine Band 35, Nummer 2, April 2005, S. 152–158, doi:10.1053/j.semnuclmed.2004.11.006. PMID 15765378. (Review).
- ↑ a b D. A. Loblaw, J. S. Wu, P. Kirkbride, T. Panzarella, K. Smith, J. Aslanidis, P. Warde: Pain flare in patients with bone metastases after palliative radiotherapy–a nested randomized control trial. In: Supportive care in cancer Band 15, Nummer 4, April 2007, S. 451–455, doi:10.1007/s00520-006-0166-y. PMID 17093912.
- ↑ Europäische Arzneimittel-Agentur: Xofigo. Radium-223-Dichlorid (PDF; 75 kB). EMA/579264/2013, EMEA/H/C/002653, 13. November 2013.
- ↑ a b J. T. Buijs, C. C. Kuijpers, G. van der Pluijm: Targeted therapy options for treatment of bone metastases; beyond bisphosphonates. In: Current pharmaceutical design Band 16, Nummer 27, 2010, S. 3015–3027, PMID 20722621. (Review).
- ↑ C. H. Van Poznak, S. Temin u. a.: American Society of Clinical Oncology executive summary of the clinical practice guideline update on the role of bone-modifying agents in metastatic breast cancer. In: Journal of clinical oncology. Band 29, Nummer 9, März 2011, S. 1221–1227, doi:10.1200/JCO.2010.32.5209. PMID 21343561.
- ↑ R. E. Coleman, E. V. McCloskey: Bisphosphonates in oncology. In: Bone. Band 49, Nummer 1, Juli 2011, S. 71–76, doi:10.1016/j.bone.2011.02.003. PMID 21320652. (Review).
- ↑ E. J. Woodward, R. E. Coleman: Prevention and treatment of bone metastases. In: Current pharmaceutical design Band 16, Nummer 27, 2010, S. 2998–3006, PMID 20722624. (Review).
- ↑ I. Schirmer, H. Peters, P. A. Reichart und H. Dürkop: Bisphosphonate und Osteonekrosen im Kieferbereich. In: Mund-, Kiefer- und Gesichtschirurgie Band 9, Nummer 4, 2005, S. 239–245. doi:10.1007/s10006-005-0616-6 PMID 15918066
- ↑ L. Raffaelli, L. Scaramuzzo, P. Rossi Iommetti, C. Graci, G. Maccauro, P. F. Manicone: Jaw osteonecrosis related to bisphosphonate treatment of bone metastasis. In: Journal of biological regulators and homeostatic agents Band 24, Nummer 2, 2010, S. 115–121, PMID 20487624.
- ↑ P. G. Fournier, V. Stresing, F. H. Ebetino, P. Clézardin: How do bisphosphonates inhibit bone metastasis in vivo? In: Neoplasia Band 12, Nummer 7, Juli 2010, S. 571–578, PMID 20651986. PMC 2907583 (freier Volltext).
- ↑ I. J. Diel: Antitumorale Wirkungen von Bisphosphonaten. In: Drugs Band 59, Nummer 3, März 2000, S. 391–399, PMID 10776826. (Review).
- ↑ H. Almubarak, A. Jones, R. Chaisuparat, M. Zhang, T. F. Meiller, M. A. Scheper: Zoledronic acid directly suppresses cell proliferation and induces apoptosis in highly tumorigenic prostate and breast cancers. In: Journal of carcinogenesis Band 10, 2011, S. 2, doi:10.4103/1477-3163.75723. PMID 21297922. PMC 3030761 (freier Volltext).
- ↑ XGEVA® 120 mg Injektionslösung (PDF; 1,1 MB) Fachinformation XGEVA® (Zusammenfassung der Merkmale des Arzneimittels), Stand August 2012
- ↑ Xgeva® (Denosumab) (PDF; 361 kB), Neue Arzneimittel – Information der Arzneimittelkommission der deutschen Ärzteschaft (AkdÄ)
- ↑ Denosumab bei Knochenmetastasen: Verbesserung der Lebensqualität der Patienten, JOURNAL ONKOLOGIE, Zeitschrift online – Ausgabe 07–11
- ↑ Onkologie: Antikörper bremst Knochenabbau, Dtsch Arztebl 2010; 107(3): A-98
- ↑ Prolia® 60 mg Injektionslösung (PDF; 1,1 MB) Fachinformation Prolia® (Zusammenfassung der Merkmale des Arzneimittels), Stand August 2012
- ↑ Prostatakrebs: Hormonelle Therapie und Hormonentzug, Krebsinformationsdienst des Deutschen Krebsforschungszentrums (DKFZ), Heidelberg. Stand: 31. Juli 2010, zuletzt abgerufen am 4. September 2014
- ↑ P. Schöffski: Alopezie nach Chemotherapie. In: Kompendium Internistische Onkologie. 2006, 33, S. 2244–2247. doi:10.1007/3-540-31303-6_138
- ↑ Knochenmetastasen beim Nierenzellkarzinom: Nierenzellkarzinom
- ↑ T. Wirth, P. Griss: Die operative Therapie von Knochenmetastase. In: Der Urologe Band 38, Nummer 3, 1998, S. 226–230. doi:10.1007/s001310050191
- ↑ Generelles Vorgehen bei Wirbelsäulenmetastasen: http://www.tumororthopaedie.org/uebersicht-3.html
- ↑ Dorsale Instrumentation an der Wirbelsäule: http://www.tumororthopaedie.org/stabilisierung-dorsal.html
- ↑ Ventrale Wirbelsäulenstabilisierung:http://www.tumororthopaedie.org/stabilisierung-ventral.html
- ↑ Knochenmetastasen. ( vom 16. November 2012 im Internet Archive) Universitätsklinikum Heidelberg, abgerufen am 28. Februar 2011
- ↑ Vertebro- und Kyphoplastie: http://www.tumororthopaedie.org/vertebro--kyphoplastie.html
- ↑ Tumorendoprothesen (Megaprothesen): http://www.tumororthopaedie.org/uebersicht-1.html
- ↑ Diaphysenprothesen: http://www.tumororthopaedie.org/untere-extremitaet.html
- ↑ A. N. Kurup, M. R. Callstrom: Ablation of skeletal metastases: current status. In: Journal of vascular and interventional radiology Band 21, Nummer 8 Suppl, August 2010, S. S242–S250, doi:10.1016/j.jvir.2010.05.001. PMID 20656234. (Review).
- ↑ M. D. Lane, H. B. Le, S. Lee, C. Young, M. K. Heran, M. Badii, P. W. Clarkson, P. L. Munk: Combination radiofrequency ablation and cementoplasty for palliative treatment of painful neoplastic bone metastasis: experience with 53 treated lesions in 36 patients. In: Skeletal radiology Band 40, Nummer 1, Januar 2011, S. 25–32, doi:10.1007/s00256-010-1010-5. PMID 20686765.
- ↑ P. L. Munk, F. Rashid, M. K. Heran, M. Papirny, D. M. Liu, D. Malfair, M. Badii, P. W. Clarkson: Combined cementoplasty and radiofrequency ablation in the treatment of painful neoplastic lesions of bone. In: Journal of vascular and interventional radiology Band 20, Nummer 7, Juli 2009, S. 903–911, doi:10.1016/j.jvir.2009.03.035. PMID 19481469.
- ↑ K. Wilhelm: Osteoplastie in Kombination mit der Radiofrequenzablation zur palliativen Therapie schmerzhafter osteolytischer Knochenmetastasen. In: Deutsche Zeitschrift für Onkologie Band 41, Nummer 4, 2009, S. 183–186. doi:10.1055/s-0029-1242535
- ↑ A. F. Posteraro, D. E. Dupuy, W. W. Mayo-Smith: Radiofrequency ablation of bony metastatic disease. In: Clinical radiology Band 59, Nummer 9, September 2004, S. 803–811, doi:10.1016/j.crad.2004.01.015. PMID 15351245. (Review).
- ↑ G. Belfiore, E. Tedeschi, F. M. Ronza, M. P. Belfiore, T. Della Volpe, G. Zeppetella, A. Rotondo: Radiofrequency ablation of bone metastases induces long-lasting palliation in patients with untreatable cancer. (PDF; 178 kB) In: Singapore medical journal Band 49, Nummer 7, Juli 2008, S. 565–570, PMID 18695866.
- ↑ M. R. Callstrom, J. W. Charboneau: Image-guided palliation of painful metastases using percutaneous ablation. In: Techniques in vascular and interventional radiology Band 10, Nummer 2, Juni 2007, S. 120–131, doi:10.1053/j.tvir.2007.09.003. PMID 18070690. (Review).
- ↑ L. Thanos, S. Mylona, P. Galani, D. Tzavoulis, V. Kalioras, S. Tanteles, M. Pomoni: Radiofrequency ablation of osseous metastases for the palliation of pain. In: Skeletal radiology Band 37, Nummer 3, März 2008, S. 189–194, doi:10.1007/s00256-007-0404-5. PMID 18030464. PMC 2226078 (freier Volltext). (Review).
- ↑ A. Gillams: Tumour ablation: current role in the liver, kidney, lung and bone. In: Cancer imaging Band 8, 2008, S. S1–S5, doi:10.1102/1470-7330.2008.9001. PMID 18852074. PMC 2582496 (freier Volltext). (Review).
- ↑ M. R. Callstrom, T. D. Atwell, J. W. Charboneau, M. A. Farrell, M. P. Goetz, J. Rubin, J. A. Sloan, P. J. Novotny, T. J. Welch, T. P. Maus, G. Y. Wong, K. J. Brown: Painful metastases involving bone: percutaneous image-guided cryoablation-prospective trial interim analysis. (Seite nicht mehr abrufbar, festgestellt im April 2019. Suche in Webarchiven) Info: Der Link wurde automatisch als defekt markiert. Bitte prüfe den Link gemäß Anleitung und entferne dann diesen Hinweis. In: Radiology Band 241, Nummer 2, November 2006, S. 572–580, doi:10.1148/radiol.2412051247. PMID 17057075.
- ↑ D. E. Dupuy, D. Liu, D. Hartfeil, L. Hanna, J. D. Blume, K. Ahrar, R. Lopez, H. Safran, T. DiPetrillo: Percutaneous radiofrequency ablation of painful osseous metastases: a multicenter American College of Radiology Imaging Network trial. In: Cancer Band 116, Nummer 4, Februar 2010, S. 989–997, doi:10.1002/cncr.24837. PMID 20041484. PMC 2819592 (freier Volltext).
- ↑ M. Kashima, K. Yamakado, H. Takaki, T. Kaminou, N. Tanigawa, A. Nakatsuka, K. Takeda: Radiofrequency ablation for the treatment of bone metastases from hepatocellular carcinoma. In: American Journal of Roentgenology Band 194, Nummer 2, Februar 2010, S. 536–541, doi:10.2214/AJR.09.2975. PMID 20093621.
- ↑ G. Carrafiello, D. Laganà, A. Ianniello, P. Nicotera, F. Fontana, M. Dizonno, S. Cuffari, C. Fugazzola: Radiofrequency thermal ablation for pain control in patients with single painful bone metastasis from hepatocellular carcinoma. In: European journal of radiology Band 71, Nummer 2, August 2009, S. 363–368, doi:10.1016/j.ejrad.2008.04.019. PMID 18514456.
- ↑ G. Orgera, L. Monfardini u. a.: High-intensity focused ultrasound (HIFU) in patients with solid malignancies: evaluation of feasibility, local tumour response and clinical results. In: La Radiologia medica. Band 116, Nummer 5, August 2011, S. 734–748, doi:10.1007/s11547-011-0634-4. PMID 21293939.
- ↑ A. Gangi, B. Kastler, A. Klinkert, J. L. Dietemann: Injection of alcohol into bone metastases under CT guidance. In: Journal of computer assisted tomography Band 18, Nummer 6, 1994 Nov-Dec, S. 932–935, PMID 7962803.
- ↑ J. C. Clark, C. R. Dass, P. F. Choong: Current and future treatments of bone metastases. In: Expert opinion on emerging drugs Band 13, Nummer 4, Dezember 2008, S. 609–627, doi:10.1517/14728210802584217. PMID 19046130. (Review).
- ↑ E. M. Lewiecki: Odanacatib, a cathepsin K inhibitor for the treatment of osteoporosis and other skeletal disorders associated with excessive bone remodeling. In: IDrugs Band 12, Nummer 12, Dezember 2009, S. 799–809, PMID 19943223. (Review).
- ↑ clinicaltrials.gov: Efficacy of RAD001 in Breast Cancer Patients With Bone Metastases (RADAR). vom 21. Juli 2010, abgerufen am 7. März 2011
- ↑ A. Russo, G. Bronte, S. Rizzo, D. Fanale, F. Di Gaudio, N. Gebbia, V. Bazan: Anti-endothelin drugs in solid tumors. In: Expert opinion on emerging drugs Band 15, Nummer 1, März 2010, S. 27–40, doi:10.1517/14728210903571667. PMID 20102289. (Review).
- ↑ National Cancer Institute: Anti-M-CSF monoclonal antibody MCS110. Abgerufen am 7. März 2011
- ↑ T. Onishi, N. Hayashi, R. L. Theriault, G. N. Hortobagyi, N. T. Ueno: Future directions of bone-targeted therapy for metastatic breast cancer. In: Nature reviews. Clinical oncology Band 7, Nummer 11, November 2010, S. 641–651, doi:10.1038/nrclinonc.2010.134. PMID 20808302.
- ↑ D. Santini, S. Galluzzo, A. Zoccoli, F. Pantano, M. E. Fratto, B. Vincenzi, L. Lombardi, C. Gucciardino, N. Silvestris, E. Riva, S. Rizzo, A. Russo, E. Maiello, G. Colucci, G. Tonini: New molecular targets in bone metastases. In: Cancer treatment reviews Band 36 Suppl 3, November 2010, S. S6–S10, doi:10.1016/S0305-7372(10)70013-X. PMID 21129612. (Review).
- ↑ a b P. Feyer, W. Haase, u. a.: Leitlinien: Palliative Strahlentherapie (Allgemein). Abgerufen am 1. März 2011
- ↑ R. E. Coleman, P. Smith, R. D. Rubens: Clinical course and prognostic factors following bone recurrence from breast cancer. In: British Journal of Cancer Band 77, Nummer 2, 1998, S. 336–340, PMID 9461007. PMC 2151240 (freier Volltext).
- ↑ K. Fan, C. F. Peng: Predicting the probability of bone metastasis through histological grading of prostate carcinoma: a retrospective correlative analysis of 81 autopsy cases with antemortem transurethral resection specimen. In: The Journal of urology Band 130, Nummer 4, Oktober 1983, S. 708–711, PMID 6350620.
- ↑ P. G. Koenders, L. V. Beex, P. W. Kloppenborg, A. G. Smals, T. J. Benraad: Human breast cancer: survival from first metastasis. Breast Cancer Study Group. In: Breast Cancer Research and Treatment Band 21, Nummer 3, 1992, S. 173–180, PMID 1515652.
- ↑ E. F. Solomayer, I. J. Diel, G. C. Meyberg, C. Gollan, G. Bastert: Metastatic breast cancer: clinical course, prognosis and therapy related to the first site of metastasis. In: Breast Cancer Research and Treatment Band 59, Nummer 3, Februar 2000, S. 271–278, PMID 10832597.
- ↑ R. J. Cook, P. Major: Multistate analysis of skeletal events in patients with bone metastases. In: Clinical Cancer Research Band 12, Nummer 20, Oktober 2006, S. 6264s–6269s, doi:10.1158/1078-0432.CCR-06-0654. PMID 17062711. (Review).
- ↑ H. C. Bauer, R. Wedin: Survival after surgery for spinal and extremity metastases. Prognostication in 241 patients. In: Acta orthopaedica Scandinavica Band 66, Nummer 2, April 1995, S. 143–146, PMID 7740944.
- ↑ R. K. Chhem, D. R. Brothwell: Paleoradiology: Imaging Mummies and Fossils. Springer, 2007, ISBN 3-540-48832-4, S. 101. eingeschränkte Vorschau in der Google-Buchsuche
- ↑ Paleontologists Teach Medical Students About Fossil Tumors. ( vom 16. März 2011 im Internet Archive) In: Science Daily vom 1. Juni 2006.
- ↑ a b c M. Kessler: Kleintieronkologie – Diagnose und Therapie von Tumorerkrankungen bei Hunden und Katzen. Georg Thieme Verlag, 2005, ISBN 3-8304-4103-7 eingeschränkte Vorschau in der Google-Buchsuche
- ↑ R. W. Nelson, C. G. Couto: Innere Medizin der Kleintiere. Urban & Fischer, 2006, ISBN 3-437-57040-4, S. 1229. eingeschränkte Vorschau in der Google-Buchsuche