Invagination (Medizin)
| Klassifikation nach ICD-10 | |
|---|---|
| K56.1 | Invagination
Invagination oder Intussuszeption:
|
| ICD-10 online (WHO-Version 2019) | |

Als Invagination oder Intussuszeption des Darmes, genannt auch Darminvagination, wird die in Längsachse erfolgende Einstülpung eines Darmabschnittes in einen anderen bezeichnet. Hierbei kommt es durch Störungen in der Blutversorgung der Darmwand infolge von Blutstauung und Ödemen zur Ausbildung der Symptomatik eines Darmverschlusses (Ileus), der ein akutes, lebensbedrohliches Krankheitsbild darstellt.
Der eingestülpte Darmteil wird als Invaginat (oder Intussusceptum) bezeichnet. Die Darmeinstülpung verläuft meist in die aborale Richtung in das Invaginans (oder auch Intussuscipiens), der Darm stülpt sich also in der Richtung seiner Peristaltikwellen ein. Relativ selten liegt eine Invagination nach oral vor (retrograde Invagination), was hauptsächlich als Komplikation nach einer Magenresektion beschrieben wird.
Formen
Entsprechend der beteiligten Darmabschnitte werden mehrere Formen der Invagination unterschieden:
- entero-enterale Invagination: Dünndarm stülpt sich in Dünndarm ein
- ileo-zökale Invagination: Ileum stülpt sich in Zökum ein (dies ist im Kindesalter mit über 80 % die häufigste Form)
- ileo-kolische Invagination: Ileum stülpt sich in Kolon ein
- kolo-kolische Invagination: Kolon stülpt sich in Kolon ein
- kolo-sigmoidale Invagination: Kolon stülpt sich in Sigmoid ein.
Invagination bei Kindern
Hauptsächlich werden Säuglinge und Kleinkinder (Verhältnis Jungen:Mädchen 3:1) bis zum zweiten Lebensjahr von einer Darminvagination[1] betroffen; hier liegt als Ursache meist eine (vorübergehende) Störung der Darmmotorik vor. Der invaginierte Wurmfortsatz ist die zweithäufigste Ursache des akuten Abdomens im Säuglings- und Kleinkindesalter.
Es wird eine Häufung im Herbst und Winter beobachtet.[2]
Die seit 2013 von der STIKO empfohlene[3] Impfung mit Rotavirusimpfstoff führt nach den gegenwärtigen Erkenntnissen zu einer geringfügig erhöhten Rate an Invaginationen (1–2 zusätzliche Invaginationen pro 100.000 geimpfte Kinder). Das Vorkommen unabhängig von der Impfung wird mit etwa 62/100.000 bei Kindern im Alter unter 12 Monaten angegeben.[4][5]
Bei Kindern ist die Krankheit in über 90 % idiopathisch, eine fassbare Ursache kann nicht gefunden werden. In 2–8 % findet man eine – meist anatomische – Veränderung.[2] Diese intraluminale, murale oder extramurale anatomische Führungsstruktur (am besten verdeutlicht durch einen Darmpolypen), wird dabei von der Darmperistaltik gegriffen und durch das Lumen nach aboral (in Richtung Darmende) gezogen. Der Rest der Darmwand wird dabei mitgenommen und stülpt sich in den dahinterliegenden (aboralen) Darmabschnitt[6].
Symptome
Bei Kindern treten die Symptome aus vollständiger Gesundheit auf. Es bestehen plötzlich eintretende krampfartige Bauchschmerzen, Erbrechen und auffallende Blässe eventuell mit symptomlosen Intervallen. Typisch bei Säuglingen sind schrilles Schreien und Anziehen der Beine. Als späteres Symptom kann Stuhl mit blutig-schleimigen Auflagerungen („Johannisbeergelee“) auftreten. Eine walzenförmige Verhärtung kann tastbar sein.
Diagnose
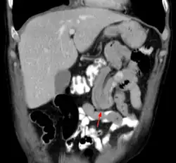
Durch eine Ultraschalluntersuchung lässt sich die Störung recht sicher feststellen, da die eingestülpten Darmteile eine zwiebelschalenartig aufgebaute Struktur (Zielscheiben- oder Target-Phänomen) bilden. Vor Einführung der Ultraschalluntersuchung wurde ein Einlauf mit Röntgenkontrastmittel unter Durchleuchtung zur Bestätigung der Diagnose und gleichzeitigen Therapie gemacht. Bei Erwachsenen kann auch die Computertomografie zur Diagnose führen.
Therapie
Abhängig vom Zeitraum, seit dem die Invagination besteht, und den Begleitumständen wird die Therapieform gewählt. Liegt der Beginn der Symptome schon sehr lange zurück und besteht somit der Verdacht auf ein untergegangenes Stück Darm, bestehen Schocksymptome beim Patienten, liegt die Invagination rein im Dünndarmbereich oder besteht der Verdacht auf einen Prozess (z. B. Polyp) im Darm, der die Invagination unterhält, wird sofort operiert. Andernfalls wird – bei entsprechender Erfahrung der Abteilung – zunächst ein Therapieversuch mittels sonographiegesteuertem Einlauf durchgeführt. Bei diesem Einlauf wird durch ein rektal eingeführtes Darmrohr körperwarme Flüssigkeit (ggf. mit Kontrastmittel) eingeführt. Im Ultraschall ist dann bei Erfolg die Ausstülpung des Darmes sichtbar. Die Luft- oder Kontrastmittelinsufflation unter Röntgendurchleuchtungskontrolle ist wegen der damit verbundenen Strahlenbelastung heutzutage in den meisten Kliniken aufgegeben worden. Bei Ausbleiben eines Repositionserfolges muss sofort im Anschluss operiert werden, da andernfalls durch die zunehmende Darmwandschädigung Lebensgefahr besteht.
Invagination bei Erwachsenen
Epidemiologie
Die Dünn- und Dickdarminvagination im Erwachsenenalter ist eine seltene Diagnose. In einer großen deutschen chirurgischen Klinik gab es nur 7 Fälle in zwei Jahren.[7]
Im Gegensatz zu Kindern kann bei Erwachsenen in über 90 % eine morphologische Ursache (Leitstruktur) gefunden werden, in aller Regel handelt es sich um eine strukturelle Läsion[8] (Meckel-Divertikel, Polyp, Darmduplikatur). Häufig ist ein Tumor die Ursache, in 66 % bei Dickdarm-Invaginationen und in 30 %, wenn der Dünndarm betroffen ist.[8] Der Pathomechanismus wird unter der Invagination bei Kindern erklärt.
Symptome
Beim Erwachsenen entwickeln sich die Krankheitszeichen oft langsam und es bildet sich die Symptomatik eines teilweisen oder kompletten Darmverschlusses aus.
Diagnose


Die diagnostische Standardmethode ist eine Computertomographie des Bauches[8] und die Sonografie.[7] Nicht selten wird die Diagnose auch erst gestellt, wenn zur Diagnosefindung der Bauchraum chirurgisch geöffnet wird (eine so genannte Probelaparatomie).
Therapie
Erwachsene müssen in aller Regel operiert werden.
Historische Bedeutungen
Eine 1727 von Philipp Friedrich Ramdohr eingeführte Operationsmethode der Darmchirurgie bei Hernien und Darmverletzungen wurde seinerzeit ebenfalls als „Invagination“ bezeichnet. Einen dauerhaften Verschluss sollten dann durch Entzündungsreaktionen entstandene Verwachsungen bewirken.[9] Bedeutung erlangte auch ein 1840 von Gerdy 1840 angegebenes Invaginationsverfahren, bei dem zur Leistenhernienbehandlung mit einem Finger Skrotalhaut mit einem Teil des Bruchsacks in den Leistenkanal eingestülpt und mit Nähten befestigt wurde. Für Hernien mit großen Bruchpforten wurden von Carl Wutzer und Franz Rothmund „Invaginatorien“ für den Verbleib während der Zeit der Entzündung konstruiert. Theodor Kocher invaginierte 1892 den Bruchsack von Leistenhernien mit einer Klemme in den Leistenkanal, bevor er ihn wieder nach außen führte. Diese Invaginationsmethode hatte er 1895 auch auf Schenkelhernien übertragen.[10]
Siehe auch
- Volvulus – Darmverschlingung, Darmverdrehung
Literatur
- S1-Leitlinie Invagination der Deutschen Gesellschaft für Kinderchirurgie (DGKCH). In: AWMF online (Stand 2013)
- Puri, Höllwarth: Pediatric Surgery. Springer, 2006, S. 313.
Weblinks
- Fall einer Dünndarminvagination (mit Bildern); kinderradiologie-online.de
Einzelnachweise
- ↑ Vgl. Erich von Redwitz: Die Darminvagination im frühen Kindesalter. In: Medizinische Klinik. 1940, Nr. 12.
- ↑ a b Melissa Kennedy, Chris A. Liacouras: Intussusception. In: Robert M. Kliegman (Hrsg.): Nelson Textbook of Pediatrics. 20. Auflage. Elsevier, Philadelphia 2016, ISBN 978-1-4557-7566-8, 333.3, S. 1812–1814.
- ↑ Neuerungen in den aktuellen Empfehlungen der Ständigen Impfkommission (STIKO) am RKI vom August 2013. In: Epidemiologisches Bulletin. Band 2013, Nr. 34. Robert Koch-Institut, September 2013, S. 345–346 (rki.de [PDF]).
- ↑ Mitteilung der Ständigen Impfkommission (STIKO) zur Rotavirus-Impfung. Robert Koch-Institut, abgerufen am 5. November 2018.
- ↑ Information des Paul-Ehrlich-Instituts zu Fällen von Darminvagination nach Impfung gegen Rotavirus-Gastroenteritis. In: pei.de. Paul-Ehrlich-Institut, abgerufen am 6. November 2018.
- ↑ Priscilla Marsicovetere, S. Ivatury, Brent White, Stefan Holubar: Intestinal Intussusception: Etiology, Diagnosis, and Treatment. In: Clinics in Colon and Rectal Surgery. Band 30, Nr. 01, 22. Dezember 2016, ISSN 1531-0043, S. 030–039, doi:10.1055/s-0036-1593429, PMID 28144210, PMC 5179276 (freier Volltext).
- ↑ a b U. Pohlen, H. Rieger, M. Kruschewski, H.J. Buhr: Abdominelle Notfalleingriffe durch Darminvagination bei Erwachsenen. Diagnostik, Therapie, Outcome. 123. Kongress der Deutschen Gesellschaft für Chirurgie. In: German Medical Science. Abgerufen am 14. November 2018.
- ↑ a b c Teng Lu: Adult Intussusception. In: The Permanente Journal, 2015, 19(1), S. 79–81 |doi:10.7812/TPP/14-125 PMC 4315384 (freier Volltext)
- ↑ Nikolaus Papastavrou: Darm. In: Franz Xaver Sailer, Friedrich Wilhelm Gierhake (Hrsg.): Chirurgie historisch gesehen. Anfang – Entwicklung – Differenzierung. Dustri-Verlag, Deisenhofen bei München 1973, ISBN 3-87185-021-7, S. 107–131. hier: S. 109.
- ↑ Christian Neubert, Ludwig Faupel, Uwe Katzenmeier: Bauchwandbrüche. In: Franz Xaver Sailer, Friedrich Wilhelm Gierhake (Hrsg.): Chirurgie historisch gesehen. Anfang – Entwicklung – Differenzierung. Dustri-Verlag Dr. Karl Feistle, Deisenhofen bei München 1973, ISBN 3-87185-021-7, S. 139–152, hier: S. 144–146.