Volvulus
| Klassifikation nach ICD-10 | |
|---|---|
| K56.2 | Volvulus |
| ICD-10 online (WHO-Version 2019) | |
| Klassifikation nach ICD-11 | |
|---|---|
| DA40.2 | Magenvolvulus |
| DA91.1 | Volvulus des Dünndarms |
| DB30.1 | Volvulus des Dickdarms |
| LB15.Y | Sonstige näher bezeichnete strukturelle Entwicklungsanomalien des Dünndarms |
| ICD-11: Englisch • Deutsch (Entwurf) | |

Der Volvulus, insbesondere der Volvulus des Darmes (Darmverschlingung oder Darmverdrehung), ist in der Medizin eine Drehung eines Abschnittes des Verdauungstraktes um seine mesenteriale Achse. Durch die Drehung wird die Blutversorgung zum betroffenen Abschnitt des Verdauungstraktes, die im Mesenterium verläuft, eingeschränkt. Es kann zum Darmverschluss bis hin zum Untergang des betroffenen Abschnittes (Darmgangrän) kommen. Ein Verdacht auf einen akuten Volvulus stellt aus diesem Grund einen chirurgischen Notfall dar.
Häufigkeit
Am häufigsten tritt ein Volvulus an Caecum und Sigmoid auf, kann aber auch am Magen[1] als Magenvolvulus auftreten. Im Dünndarmbereich tritt der Volvulus meist als Folge einer Malrotation auf.
Im Kindesalter findet man in allen Altersgruppen eine gleiche Inzidenz, allerdings sind bei Neugeborenen unter 30 Tagen Komplikationen im Sinne eines Darmunterganges (Gangrän) häufiger.
Symptome
Pränataler Volvulus
Der Volvulus kann bereits vorgeburtlich auftreten. Aus einer derartigen Situation kann dann aufgrund des Unterganges von Darmanteilen eine Darmatresie resultieren.
Akuter Volvulus
- geblähter (Ober-)Bauch
- (galliges) Erbrechen
- Peritonitis
- Schock
- unspezifische Laborparameter (Leukozytose, Erhöhung von Lactat, CRP u. a.)
Chronischer rezidivierender Volvulus
- Malabsorption
- unspezifische Bauchschmerzen
- Obstipation
- symptomfreie Intervalle
Diagnose


Die Diagnose wird anhand der Klinik und Röntgenaufnahmen des Abdomens (ggf. mit Kontrastmittel), neuerdings auch mittels Ultraschall, gestellt. Die Diagnosefindung insbesondere im Neugeborenenalter kann schwierig sein, da die Klinik lediglich eine Schwellung des Bauches zeigt, und das Röntgenbild unspezifisch sein kann.
Beim Volvulus des Colon sigmoideum findet sich bedingt durch eine massive Überblähung dieses Darmanteils häufig ein so genanntes Kaffeebohnenzeichen (engl. Coffee-bean sign), bei dem eine aufsteigende Schlinge dicht an eine absteigende gelegt ist, so dass sich die Kontur einer übergroßen Kaffeebohne ergibt. Bei bereits stattgehabter Perforation findet sich im Röntgenbild so genannte „freie Luft“.
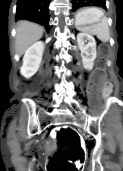
Bei Erwachsenen wird häufig beim Bild eines akuten Abdomens auch die Computertomographie eingesetzt. Als typisches Zeichen neben der massiven Überblähung beim Volvulus kann hiermit auch die Drehung der Mesenterialwurzel mit ihren Gefäßen (Whirlpool-Zeichen) gezeigt werden.
Die Diagnose eines chronisch-rezidivierenden Volvulus kann sich ebenfalls als sehr schwierig erweisen, da sie nur im akuten Schub gestellt werden kann.
Wichtigste Differentialdiagnose zum akuten Volvulus ist die Invagination.
Behandlung
Akuter Volvulus
Die Behandlung besteht in der schnellstmöglichen Wiederherstellung der richtigen Lage des entsprechenden Darmabschnittes. Bei Verdacht auf Volvulus (außer Sigmoid – s. u.) erfolgt eine zügige Operation, da bei bestehender Unterversorgung mit Blut ein rascher Untergang dieses Abschnittes des Verdauungstraktes erfolgen kann. Der wieder zurückgedrehte Darm oder Magen wird ggf. noch fixiert. Sind Teile bereits so geschädigt, dass mit einer Wiederherstellung der Funktion nicht zu rechnen ist, werden diese Anteile entfernt. Gegebenenfalls muss vorübergehend ein Enterostoma angelegt werden.
Sonderfall Sigmoid
Bei einem Volvulus des Sigmoids ohne Peritonitis kann die Derotation mit einer vorsichtig über den After eingebrachten Sonde und einem Einlauf versucht werden. Ist dies nicht erfolgreich, erfolgt ebenfalls eine Operation.
Chronischer Volvulus
Bei nachgewiesenem chronischen Volvulus kann versucht werden, mittels Operation den betroffenen Abschnitt des Verdauungstraktes ziehharmonikaartig zu falten und die Falten mit Nähten zu fixieren (Dünndarmplikation nach Noble) bzw. die gefalteten Schlingen mit Nähten (etwa nach der Methode von Childs) am Mesenterium zu fixieren.[2]
Prognose
Insbesondere beim Vorliegen eines akuten Dünndarmvolvulus kann es zum Untergang größerer Darmanteile kommen, die zu einem Kurzdarmsyndrom mit unter Umständen lebenslangen Folgen führen kann.
Siehe auch
- Intussuszeption – Invagination
Literatur
- K. W. Ashcraft, T. M. Holder: Pediatric Surgery. 2. Auflage. Saunders Company, Philadelphia 1993, ISBN 0-7216-3737-X, S. 324.
- Kinderchirurgie online, Manual
Weblinks
- Fallbeschreibung eines Kindes mit Röntgenbildern
- Leitlinien für Bildgebende Diagnostik der Gesellschaft für Pädiatrische Radiologie: Bauchschmerzen – Bildgebende Diagnostik
Einzelnachweise
- ↑ Hans von Haberer: Lebenswichtige, dringliche Operationen in der Bauchhöhle! In: Münchener Medizinische Wochenschrift. Band 95, Nr. 1, 2. Januar 1953, S. 61–69, hier: S. 62.
- ↑ Ernst Kern: Sehen – Denken – Handeln eines Chirurgen im 20. Jahrhundert. ecomed, Landsberg am Lech 2000, ISBN 3-609-20149-5, S. 180.