Lentigo maligna

Als Lentigo maligna (Synonyme: Melanoma in situ, melanotische Präkanzerose, Melanosis circumscripta praeblastomatosa Dubreuilh, Morbus Dubreuilh bzw. Dubreuilh-Krankheit) wird eine intraepidermale (in der Oberhaut gelegene) neoplastische Proliferation atypischer Melanozyten bezeichnet. Typischerweise tritt die Lentigo maligna jenseits des 50. Lebensjahres auf, Männer sind etwa doppelt so häufig betroffen wie Frauen.
Entstehung
Als Entstehungsmechanismus wird eine langjährige UV-Exposition vermutet, besonders betroffen sind hierbei die regelmäßig lichtexponierten Areale wie Kopf, Hals, Unterarme oder Unterschenkel, sie kann jedoch in allen Körperregionen auftreten. Vermutet wird eine Schädigung der DNA der Melanozyten, wodurch ein maligner Zellklon in der Epidermis entsteht. Bei einer derartigen malignen Entartung spricht man von einem Melanoma in situ, durch Tumorwachstum kann daraus ein Lentigo-maligna-Melanom entstehen.
Klinik/Diagnose

Über Jahre hinweg entstehende graubraun bis schwarz pigmentierte Herde mit unscharf begrenzten Rändern und unterschiedlicher Größe gehen der Lentigo maligna voraus. Hierbei ist die Unterscheidung zur Lentigo senilis wichtig. Neben der klinischen Beurteilung ist die histopathologische Diagnosesicherung erforderlich. Differentialdiagnostisch kommen neben der Lentigo senilis die Lentigo simplex, die Seborrhoische Keratose und das oberflächlich spreitende Melanom (SSM) in Frage.
Pathologie
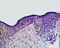
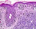
Es zeigt sich eine zumeist breit angelegte Proliferation atypischer Melanozyten, die unregelmäßig verteilt einzeln[1] oder kettenartig aneinandergereiht entlang der dermoepidermalen Grenze (Grenze zwischen Epidermis und Dermis) gelagert sind, wobei sie palisadenartig senkrecht zur Hautoberfläche angeordnet erscheinen können. Gelegentlich steigen atypische Melanozyten innerhalb der Epidermis (Oberhaut) in deren obere Zellschichten auf. Eine Ausbreitung entlang von Follikelstrukturen und Ausführungsgängen der Schweißdrüsen ist typischerweise zu beobachten. In länger bestehenden Läsionen bilden sich ebenfalls überwiegend entlang der dermoepidermalen Grenze gelagerte melanozytäre Nester oder mehrkernige Riesenzellen.
Die Zellkerne der Melanozyten sind hyperchromatisch (überstark gefärbt), unregelmäßig konturiert und pleomorph (variabel in Form und Größe). Das Zytoplasma erscheint aufgrund eines Retraktionsartefaktes häufig sehr weit oder vakuolisiert, oft zeigt sich eine durch einen hohen Melaningehalt bedingte starke Pigmentierung auch der benachbarten Keratinozyten (Zellen der Epidermis) bis in die Hornschicht. Amelanotische (nicht pigmentierte) Läsionen sind selten[2].
Als Zeichen der UV-Schädigung zeigen sich eine Atrophie (Verschmälerung) der korrespondierenden Epidermis und eine solare Elastose (UV-bedingte Degeneration der elastischen Fasern) der unterliegenden Dermis (Lederhaut). Letztere weist zudem häufig eine Vermehrung kleiner Blutgefäße und ein Entzündungszellinfiltrat aus Lymphozyten und Melanophagen auf[3].
-
Unregelmäßig verteilte einzeln und in Nestern gelagerte, stark pigmentierte atypische Melanozyten -
Kettenartig aneinandergereihte atypische Melanozyten -
Ausbreitung atypischer Melanozyten entlang von Follikelstrukturen -
Vielgestaltige Zellkerne und weites, stark pigmentiertes Zytoplasma der Melanozyten
Therapie
Die Therapie besteht in der Regel in der Exzision in toto, einer kompletten operativen Entfernung mit seitlichem Sicherheitsabstand. Bei sehr zahlreichen und/oder ungünstig gelegenen Herden kann eine Laserbehandlung oder eine Röntgenbestrahlung mit maximal 100 Gy Strahlungsdosis durchgeführt werden. Falls bereits eine Entartung zu einem Lentigo-maligna-Melanom stattgefunden hat, darf keine Röntgenbestrahlung mehr durchgeführt werden.
Prognose
Bei rechtzeitiger, ausreichender Behandlung (Exzision im gesunden Gewebe) sind die Heilungschancen bei nahezu 100 %. Falls es bereits zur Entstehung eines Lentigo-maligna-Melanoms gekommen ist, beträgt die Prognose im Stadium I >90 %.
Literatur
- W. Kempf, M. Hantschke, H. Kutzner, W. Burgdorf: Dermatopathologie. Steinkopff, Darmstadt 2007, ISBN 978-3-7985-1647-2.
- Eggert Stockfleth: Hautkrebs. Ein Leitfaden für die Praxis. UNI-MED-Verlag, Bremen u. a. 2007, ISBN 978-3-89599-207-0 (UNI-MED Science).
- Ingrid Moll: Dermatologie. 6. komplett überarbeitete und erweiterte Auflage. Thieme, Stuttgart 2005, ISBN 3-13-126686-4 (Duale Reihe).
Einzelnachweise
- ↑ W. H. Clark, M. C. Mihm: Lentigo maligna and lentigo-maligna melanoma. In: The American Journal of Pathology. Band 55, Nr. 1, April 1969, ISSN 0002-9440, S. 39–67, PMID 5776171, PMC 2013384 (freier Volltext).
- ↑ Farah Rukhsana Abdulla, Mary Jo Kerns, Diya F. Mutasim: Amelanotic lentigo maligna: a report of three cases and review of the literature. In: Journal of the American Academy of Dermatology. Band 62, Nr. 5, Mai 2010, ISSN 1097-6787, S. 857–860, doi:10.1016/j.jaad.2009.06.017, PMID 19766347.
- ↑ Eduardo Calonje, Thomas Brenn, Alexander Lazar, Steven D. Billings: McKee's pathology of the skin with clinical correlations. Fifth edition Auflage. [Edinburgh, Scotland?] 2020, ISBN 978-0-7020-7552-0, S. 1315 f.