Leriche-Syndrom

Klassifikation nach ICD-10
I70.0 Atherosklerose der Aorta
I74.0 Embolie und Thrombose der Aorta abdominalis
Aortenbifurkations-Syndrom (Leriche-Syndrom)
{{{03-BEZEICHNUNG}}}
{{{04-BEZEICHNUNG}}}
{{{05-BEZEICHNUNG}}}
{{{06-BEZEICHNUNG}}}
{{{07-BEZEICHNUNG}}}
{{{08-BEZEICHNUNG}}}
{{{09-BEZEICHNUNG}}}
{{{10-BEZEICHNUNG}}}
{{{11-BEZEICHNUNG}}}
{{{12-BEZEICHNUNG}}}
{{{13-BEZEICHNUNG}}}
{{{14-BEZEICHNUNG}}}
{{{15-BEZEICHNUNG}}}
{{{16-BEZEICHNUNG}}}
{{{17-BEZEICHNUNG}}}
{{{18-BEZEICHNUNG}}}
{{{19-BEZEICHNUNG}}}
{{{20-BEZEICHNUNG}}}
Vorlage:Infobox ICD/Wartung {{{21BEZEICHNUNG}}}
ICD-10 online (WHO-Version 2019)
Gabelung der Bauchschlagader (rot)
(Aortenbifurcation)
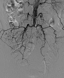
Leriche-Syndrom in der Angiographie (Katheter vom Arm in die Bauchaorta). Die Beine werden über Kollateralen aus den Lumbalarterien versorgt.

Das Leriche-Syndrom (benannt nach dem französischen Chirurgen René Leriche) ist ein kompletter Verschluss der Aorta distal des Abganges der Nierenarterien, meist vor der Bifurkation in die Beckenarterien. Die Ursachen dafür können Arterienverkalkung (Arteriosklerose), Arterienwandentzündungen (Vaskulitis) sowie Blutgerinnsel (Thrombose/Embolie) sein. In allen Fällen kommt es zu einer Verengung auf der Höhe der Aufzweigung der Bauchschlagader in die Becken-Arterien. Je nachdem, ob die Durchblutungsstörung plötzlich auftritt oder sich langsam entwickelt, kommt es zu kalten Beinen, Schmerzen, erektiler Dysfunktion (Impotenz) und Muskelschwund.

Symptome

Bei einem akuten Verschluss kommt es zu einer Minderperfusion der unteren Extremitäten, die mit den typischen sechs P-Symptomen nach Pratt einhergeht. Diese sind:

englisch deutsch

pain
pulselessness
pallor
paresthesia
paralysis
prostration

Schmerz
Pulslosigkeit
Blässe
Empfindungsstörung
Lähmung
Schock

Bei einer chronischen Durchblutungsstörung (meist im Rahmen einer Arteriosklerose) kommt es zu Störungen der Blasen- und Rektumfunktion und es kommt zu Erektionsproblemen bis hin zur Impotenz.

Behandlung

Um eine dauerhafte Schädigung der minderversorgten Gebiete zu vermeiden, muss schnellstmöglich eine Therapie eingeleitet werden. Abhängig von der Ausprägung der Durchblutungsstörungen kommen entweder Katheterverfahren (Angioplastie) oder eine Operation (Bypass oder Y-Prothese) in Betracht.

Durch die plötzliche Wiederherstellung der Durchblutung (sog. Reperfusion) ist ein sog. Postischämie-Syndrom möglich, das behandelt werden muss.

Siehe auch