Melorheostose
| Klassifikation nach ICD-10 | |
|---|---|
| M85.89 | Sonstige näher bezeichnete Veränderungen der Knochendichte und -struktur: Nicht näher bezeichnete Lokalisationen |
| ICD-10 online (WHO-Version 2019) | |
| Klassifikation nach ICD-11 | |
|---|---|
| LD24.1Y | Sonstige näher bezeichnete Knochenerkrankungen mit erhöhter Knochendichte |
| ICD-11: Englisch • Deutsch (Entwurf) | |
Die Melorheostose (griechisch: μέλι = Honig, ῥεῦμα = Fließen, ὀστέον = Knochen) ist eine seltene abschnittsweise Verdickung des Knochens, meist an den Extremitäten. Der Knochenstoffwechsel ist ungestört.
Synonyme
Nach dem Erstbeschreiber wird die Melorheostose auch Léri-Syndrom (André Léri, Neurologe, Paris, 1875–1930) genannt. Wegen des röntgenologischen Erscheinungsbildes sind auch die Bezeichnungen Kerzenwachskrankheit, Wachsknochenerkrankung gebräuchlich. Englisch: Léri's melorheostosis, Léri-Joanny syndrome, candle bone disease.
Ursachen
Genetische Faktoren: Funktionsmindernde Mutationen im LEMD3/MAN1-Gen werden als Ursache der Krankheit angenommen.
Die Häufigkeit liegt bei unter 1 auf 1 Mio.[1]
Symptome
Oft macht die Erkrankung gar keine Beschwerden und wird als Zufallsbefund im Röntgenbild entdeckt. Über den veränderten Regionen finden sich oft Fibrosierungen der Haut und Ödeme der Muskulatur, so dass es zu Verdickungen mit Beeinträchtigung der Sehnen- oder Gelenkfunktion, auch mit Schmerzen und Kontrakturen kommen kann.[2] In seltenen Fällen überbrücken sie die Wachstumsfugen und führen so zu Wachstumsstörungen.
Diagnostik

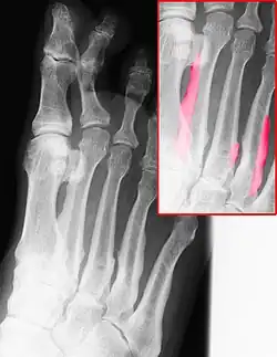
Die Diagnose wird im Röntgenbild gestellt. Es finden sich auf Dermatome begrenzte streifenartige sklerosierte Verdichtungen an Wachstropfen erinnernd, die von einer Kerze abfließen.
Abzugrenzen sind radiologisch eine Osteomyelitis, Osteopetrose, Osteopoikilie, klinisch eine Arthrogrypose, das Buschke-Ollendorff-Syndrom oder eine Sklerodermie.[2]
Therapie
Eine Behandlung ist nur in den seltenen Fällen notwendig, wenn Bewegungsbehinderungen oder Wachstumsstörungen auftreten. Dann werden Kontrakturen oder eventuelle Knochenspangen entsprechend behandelt.
Literatur
- Carl Joachim Wirth: Praxis der Orthopädie. Georg Thieme Verlag, Stuttgart / New York 2001, ISBN 3-13-125683-4.
- Joachim Brossmann, Christian Czerny, Jürgen Freyschmidt: Grenzen des Normalen und Anfänge des Pathologischen in der Radiologie des kindlichen und erwachsenen Skeletts. 13. Auflage. Georg Thieme Verlag, Stuttgart / New York 2001, ISBN 3-13-362214-5.
- Sigrid Tinschert: Zur Klinik und Genetik von Skelettdysplasien mit Modellierungsstörungen, Hyperostose und Sklerose. Habilitationsschrift. Berlin 2004 http://edoc.hu-berlin.de/docviews/abstract.php?id=20652
Weblinks
- Eintrag zu Melorheostose. In: Orphanet (Datenbank für seltene Krankheiten)