Motorische Endplatte

An der neuromuskulären Endplatte findet die Erregungsübertragung von einer Nervenzelle auf eine Muskelzelle statt. Die präsynaptische Endigung des Axons setzt aus synaptischen Vesikeln den Neurotransmitter Acetylcholin frei.
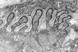
Elektronenmikroskopische Aufnahme einer neuromuskulären Endplatte im Querschnitt – zwischen Axonterminale (T) und Muskelfaser (M) der synpatische Spalt mit der Basallamina (Pfeil)
Aktionspotentiale eines erregten motorischen Neurons werden über sein Axon (A) geleitet bis in die präsynaptischen Endknöpfchen (B) als Teil einer motorischen Endplatte – und können dann über mehrere Schritte zu Kontraktionen der zugeordneten Muskelfaser führen

Eine motorische Endplatte, auch Muskelendplatte, neuromuskuläre Endplatte, neuromuskuläre Synapse, myoneurale Synapse, anatomisch Terminatio neuromuscularis bzw. Junctio neuromuscularis[1] oder Synapsis neuromuscularis[1] genannt, überträgt die Erregung von einer efferenten Nervenfaser auf die Muskelfaser eines Skelettmuskels. Für die Erregungsübertragung an dieser chemischen Synapse dient Acetylcholin als Neurotransmitter.

Die neuromuskuläre synaptische Verknüpfung besteht aus dem präsynaptischen Anteil des Axolemms einer Nervenzelle und dem postsynaptischen Anteil des Sarkolemms einer Muskelzelle, getrennt durch einen synaptischen Spalt mit feinfaseriger Basallamina. Bei Erregung der Nervenzelle setzt die präsynaptische Endigung des Axons den Botenstoff Acetylcholin (ACh) frei, der sich im synaptischen Spalt verteilt und spezifische Rezeptormoleküle (ACh-Rezeptoren) in der postsynaptischen Membranregion einer Muskelfaser erreicht. Deren Oberfläche ist hier durch eine Vielzahl von Einfaltungen vergrößert (subneuraler Faltenapparat).

Am präsynaptischen Teil der Synapse ankommende Aktionspotentiale rufen die vorübergehende Öffnung von spannungsgesteuerten Calciumkanälen hervor. Das einströmende Calcium (Ca2+) wirkt im synaptischen Endknöpfchen als Signal und bewirkt, dass synaptische Vesikel mobilisiert werden, die Acetylcholin enthalten. Diese bewegen sich in Richtung des synaptischen Spaltes zur präsynaptischen Membranregion des Endknöpfchens. Bereits an der Membran angedockte Vesikel verschmelzen mit dieser (Vesikelfusion) und schütten den Neurotransmitter Acetylcholin in den synaptischen Spalt aus (Exocytose). Acetylcholin bindet an ionotrope Acetylcholinrezeptoren in der postsynaptischen Membran der Muskelzelle, wodurch sich die Ionenkanäle dieser Rezeptoren öffnen.

Der ionotrope Acetylcholinrezeptor wird auch als nikotinischer Acetylcholinrezeptor bezeichnet und ist ein unspezifischer Kationen­kanal, der für Natrium-, Calcium- und Kalium-Ionen leitfähig ist. Er besteht aus fünf Untereinheiten, die um einen zentralen Kanal angeordnet sind. Wegen der vorherrschenden Konzentrationsunterschiede wie der daraus resultierenden Triebkräfte für diese Ionen fließt vor allem ein durch Natrium-Ionen getragener Strom durch diesen Kanal in die Zelle. Die Folge ist eine lokale Depolarisation der Muskelzelle, das sogenannte Endplattenpotential. Diese vom Ruhemembranpotential abweichende Membranpotentialänderung breitet sich zunächst elektrotonisch über die Zellmembran aus; wird das Schwellenpotential im benachbarten Sarkolemm überschritten, öffnen sich hier spannungsgesteuerte Natriumkanäle, sodass ein Aktionspotential der Muskelzelle gebildet wird. Dieses Aktionspotential erfasst dann die gesamte Zellmembran mit allen Einfaltungen und löst über nachfolgende Calcium-Ionenströme schließlich die Muskelkontraktion aus:

Über die Öffnung spannungsaktivierter Calcium-Kanäle in den transversalen Tubuli der Muskelzelle und die Aktivierung intrazellulärer Ryanodin-Rezeptoren (RYR1) kommt es zu einer Ausschüttung von Calcium-Ionen aus dem Endoplasmatischen Retikulum der Muskelzelle. Das sarkoplasmatische Retikulum stellt einen Speicher für Calcium-Ionen dar und bildet ein in sich geschlossenes System von Kammern, die vorwiegend längs zu den Muskelfibrillen verlaufen (longitudinale Tubuli); daraus kann Ca2+ rasch in erheblichen Mengen an das Cytosol abgegeben werden und jedes Sarkomer der Fibrillen erreichen. Dort werden infolge des starken Anstiegs der Calcium-Konzentration Bindungsstellen für das Motorprotein Myosin an den Aktinfilamenten freigegeben und damit Verschiebungen der Myofilamente ausgelöst, was die Verkürzung der Myofibrillen bewirkt, wodurch sich die Muskelfaser kontrahiert. Calcium-Ionen spielen somit eine Schlüsselrolle bei der elektromechanischen Kopplung.

Das ungebundene Acetylcholin im synaptischen Spalt wird durch das Enzym Acetylcholinesterase zersetzt und zu Cholin und Acetat hydrolysiert. Auf diese Weise wird die Wirkung der ausgeschütteten Transmitterquanten begrenzt und beendet. Cholin kann von der präsynaptischen Membranregion wieder aufgenommen und wiederverwertet werden. Diese Wiederaufnahme in die präsynaptische Endigung erfolgt via den Cholin-Reuptake-Transporter. Die Proteinmoleküle der Acetylcholinesterase sind überwiegend an der Basallamina des synaptischen Spalts verankert. Cholin kann sich mit Acetyl-CoA aus dem Stoffwechsel in der Präsynapse zu Acetylcholin regenerieren.

Wenn die Funktion der Acetylcholinrezeptoren z. B. durch Autoimmunantikörper gestört wird, kann es zu muskulärer Ermüdbarkeit und Schwäche kommen (Myasthenia gravis).

Siehe auch

Einzelnachweise

  1. a b Terminologia histologica, Eintrag unter H2.00.06.1.02001