Os trigonum



Das Os trigonum ist ein zusätzlicher (akzessorischer) Knochen des Sprungbeins. Es ist nach dem Os tibiale externum der häufigste und wichtigste akzessorische Knochen des Fußskeletts.[1] Verletzungen und wiederholte Mikrotraumen können – insbesondere bei Sportlern – zu Beschwerden am Os trigonum führen (Rückfußbeschwerden), die als Os-trigonum-Syndrom bezeichnet werden.[2]
Beschreibung
Das Os trigonum entsteht aus einem gesonderten Knochenkern, der sich am Hinterrand des Sprungbeins (Talus) befindet. Bei Mädchen geschieht dies normalerweise im Alter von acht bis zehn Jahren und bei Jungen von elf bis dreizehn. Innerhalb eines Jahres vereinigt sich normalerweise der Knochenkern mit dem Hauptknochen.[3]
Inzidenz
Etwa drei bis fünfzehn Prozent aller Erwachsenen haben ein Os trigonum und bei etwa 1,4 Prozent ist es an beiden Füßen vorhanden.[4][5] In einer in Japan durchgeführten radiologischen Studie mit 3460 geröntgen Füßen wurde bei 438 Füßen (=12,7 %) ein Os trigonum festgestellt.[6]
Os-trigonum-Syndrom
Das Os trigonum ist anatomisch betrachtet in der Nähe des Musculus flexor hallucis longus (langer Großzehenbeuger), dem Ligamentum fibulotalare posterius (ein Band, das vom Wadenbeinköpfchen nach hinten abwärts zum Sprungbein führt) und dem Ligamentum deltoideum (das Innenband des Sprunggelenkes, Deltaband). Starke Zugbeanspruchungen oder Dehnungen der beiden Bandstrukturen sowie übermäßige Zugbeanspruchungen der Sehne des langen Großzehenbeugers können zur Reizung des Os trigonum führen.[2][7][8][9][10] Die betroffenen Patienten beklagen in solchen Fällen meist einen belastungsabhängigen dauerhaften Schmerz, den sie hinter dem Außenknöchel empfinden. Dazu können noch das Gefühl der Steifigkeit und Schwäche in diesem Bereich kommen.[11][12] Die Schmerzen können auch durch einen Riss des Processus posterior oder eine Pseudarthrose bedingt sein.[2][10]
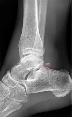
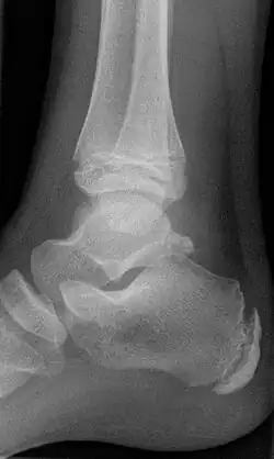
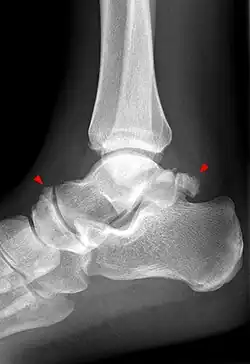
Beim Röntgen ist das Os trigonum als dreieckiges, rundes oder ovales Gebilde am Processus posterior tali bei seitlicher Aufnahme am besten zu erkennen. In den meisten Fällen ist es ein einzelner Knochen, es können aber auch mehrere Os trigonum ausgebildet sein.
Das Os-trigonum-Syndrom wird in den meisten Fällen zunächst konservativ behandelt. Dazu gehört die lokale Gabe von Cortison (als Injektion) oder die Infiltration eines Lokalanästhetikums. Auch die orale Einnahme von nichtsteroidalen Antirheumatika kann zur Schmerzlinderung beitragen. Auf der Seite der physikalischen Therapien können Dehnungsübungen und Massagen hilfreich sein. Ein gedämpfteres Schuhwerk (Luftpolster) wird den Betroffenen häufig empfohlen. Bei Leistungssportlern kann ein verändertes Training ebenfalls Linderung bringen. Wenn die konservativen Methoden keine signifikante Erleichterung für den Patienten bringen, bleibt als Ultima ratio die operative Entfernung des Os trigonum. Bei Spitzensportlern ist der Fuß zwei bis drei Monate nach der Operation wieder voll belastbar.[2]
Erstbeschreibung
Das Os trigonum wurde erstmals 1804 von dem deutschen Chirurgen Johann Christian Rosenmüller, anlässlich seiner Antrittsvorlesung als Professor für Anatomie und Chirurgie in Leipzig, beschrieben.[13]
Einzelnachweise
- ↑ J. Steinhäuser: Differenzierungsstörungen und Variationen des Fußskeletts. In: Orthopädie in Praxis und Klinik. A. Witt u. a. (Herausgeber) Verlag Thieme, 1985, ISBN 3-135-61902-8, S. 2.1–2.27. eingeschränkte Vorschau in der Google-Buchsuche
- ↑ a b c d J. Zeichen u. a.: Das Os-trigonum-Syndrome. In: Der Unfallchirurg 102, 1999, S. 320–323. doi:10.1007/s001130050409
- ↑ C. J. Wirth: Orthopädie und orthopädische Chirurgie. Fuß. Georg Thieme Verlag, 2002, ISBN 3-131-26241-9, S. 238f eingeschränkte Vorschau in der Google-Buchsuche
- ↑ R. P. Johnson u. a.: The os trigonum syndrome: use of bone scan in the diagnosis. In: The Journal of Trauma 24, 1984, S. 761–764. PMID 6236302
- ↑ J P Lawson: International Skeletal Society Lecture in honor of Howard D. Dorfman. Clinically significant radiologic anatomic variants of the skeleton. In: American Journal of Roentgenology. Band 163, Nr. 2, August 1994, ISSN 0361-803X, S. 249–255, doi:10.2214/ajr.163.2.8037009 (ajronline.org [abgerufen am 29. Mai 2024]).
- ↑ T. Tsuruta u. a.: [Radiological study of the accessory skeletal elements in the foot and ankle.] In: Nippon Seikeigeka Gakkai Zasshi 55, 1981, S. 357–370. PMID 7276670 (Artikel in Japanisch, Abstract in Englisch)
- ↑ A. E. Brodsky und M. A. Khalil: Talar compression syndrome. In: Am J Sports Med 14, 1986, S. 472±476. PMID 3799872
- ↑ A. E. Brodsky und M. A. Khalil: Talar compression syndrome. In: Foot Ankle 7, 1987, S. 338–344. PMID 3609985
- ↑ N. Maffulli u. a.: Traumatic lesions of some accessory bones of the foot in sports activity. In: J Am Podiatr Med Assoc 80, 1990, S. 86–90. PMID 1968098
- ↑ a b J. Wenig: Os trigonum syndrome. In: J Am Pod Med Ass 80, 1990, S. 278–282. PMID 2366175
- ↑ W. Hamilton: Surgical anatomy of the foot and ankle. In: Clin Symposia 37, 1985, S. 1–32. PMID 4064598
- ↑ B. Veazey u. a.: Excision of ununited fractures of the posterior process of the talus: a treatment for chronic posterior ankle pain. In: Foot Ankle 13, 1992, S. 453–457. PMID 1483605
- ↑ A. Prescher: Proceedings on the 10th Teratology Symposium Greifswald, September 23 - 25, 1999. R. Vogel (Herausgeber), Tectum Verlag, 2001, ISBN 3-828-88248-X eingeschränkte Vorschau in der Google-Buchsuche
Literatur
- R. L. Blake u. a.: The os trigonum syndrome. A literature review. In: J Am Podiatr Med Assoc 82, 1992, S. 154–161. PMID 1578352 (Review)
- D. M. Jones, C. L. Saltzman, G. El-Khoury: The diagnosis of the os trigonum syndrome with a fluoroscopically controlled injection of local anesthetic. In: The Iowa orthopaedic journal. Band 19, 1999, S. 122–126, PMID 10847526, PMC 1888622 (freier Volltext).
- D. Karasick und M. E. Schweitzer: The os trigonum syndrome: imaging features. In: AJR Am J Roentgenol 166, 1996, S. 125–129. PMID 8571860