Paraffinom der Brust
| Klassifikation nach ICD-10 | |
|---|---|
| M60.2 | Fremdkörpergranulom im Weichteilgewebe, anderenorts nicht klassifiziert |
| ICD-10 online (WHO-Version 2019) | |
Ein Paraffinom der Brust und ein Silikonom sind spezielle Formen eines sklerosierenden Lipogranuloms im Bereich der Brust. In der überwiegenden Zahl der Fälle ist die weibliche Brust betroffen. Beide Erkrankungen haben ausschließlich exogene Ursachen und weisen unbehandelt eine ausgesprochen schlechte Prognose auf.
Verursacht wird das Paraffinom, wie auch das Silikonom, durch eine Fremdkörperreaktion, die durch die Injektion von verflüssigten oder flüssigen Paraffinen, beziehungsweise Silikonölen, in das Parenchym der Brust[1] zum Zweck der Brustvergrößerung oder Brustrekonstruktion entsteht.
Epidemiologie und Ätiologie


Zu Beginn des 20. Jahrhunderts war in Europa die Injektion von Paraffinen oder auch Mineralölen unter die Haut der Brust eine verbreitete Technik zur Brustvergrößerung. Nachdem viele Jahre später die unerwünschten Nebenwirkungen allmählich bekannt wurden, verschwand diese Methode in Westeuropa weitgehend. Verwendet wurden meist niedrigschmelzende Paraffine, wie beispielsweise Vaseline.[3] In einigen fernöstlichen Ländern war diese Methode hingegen noch bis in die 1970er Jahre hinein weiter verbreitet[4] und wird dort auch im 21. Jahrhundert noch vereinzelt durch „Hinterhofärzte“ angeboten.[1][5] Einige Paraffinome sind auch die Folge von „Eigenbehandlungen“, wie beispielsweise die Selbstinjektion von Getriebeöl in beide Brüste.[6]
Ab den 1950er Jahren wurden Injektionen von linearen (nicht quervernetzten) Silikonölen – ebenfalls zum Zweck der Brustvergrößerung – populär. Allerdings können auch diese Substanzen, wenn sie frei in die Brust appliziert werden, zu einer Fremdkörperreaktion in Form eines Lipogranuloms führen,[7] das in solchen Fällen »Silikonom« genannt wird. Bis 1965 war diese Form der Brustaugmentation, bei der lineare Silikonöle, wie beispielsweise Polydimethylsiloxan[8] zum Einsatz kamen, weit verbreitet.
Ein Silikonom kann auch entstehen, wenn Silikonöl aus einem Brustimplantat, das lineare Silikonöle enthält, austritt. Bei den quervernetzten Silikonölen, die 1993 eingeführt wurden, sind Silikonome durch Risse der Implantathülle eine sehr seltene Komplikation.[2] Gleiches gilt für die bezüglich eines möglichen Risses deutlich sichereren Doppellumen-Implantate[9], bei denen das Silikongel von einem zusätzlichen Mantel mit Kochsalzlösung umgeben ist.[10] Es sind dennoch auch Fälle von Silikonomen bei Rissen von Implantaten mit quervernetzten Silikonen bekannt.[11]
Berichte über Paraffinome in männlichen Brüsten sind außerordentlich selten.[12]
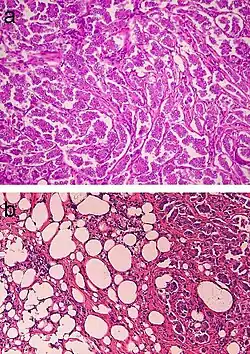
Pathologie
- → siehe Hauptartikel Lipogranulom und Fremdkörperreaktion
Die subkutane Injektion von nicht-resorbierbaren Flüssigkeiten in die Brust – aber auch generell in andere Bereiche des Körpers – kann zu einer Fremdkörperreaktion führen, die die Bildung eines Fremdkörpergranuloms zur Folge hat. Ein Fremdkörpergranulom ist ein nicht-infektiöses Granulom. Dies ist eine knotenartige Gewebeneubildung, die aus Epitheloidzellen, mononukleären Zellen oder Riesenzellen besteht, die sich um den Fremdkörper legen und diesen einkapseln.[13] Lipidgranulome entstehen als Folge einer unspezifischen Immunantwort des Organismus.
Bis zur Bildung eines klinisch relevanten Paraffinoms, beziehungsweise Silikonoms, in der Brust können vom Zeitpunkt der Injektion gerechnet mehrere Jahrzehnte vergehen. So ließ sich beispielsweise eine Berlinerin 1907 in Mailand ihre Brüste durch die Injektion von Paraffin vergrößern. Mit dem kosmetischen Ergebnis, straffe weiche Brüste ohne Knoten, war die Patientin etwa zehn Jahre sehr zufrieden. Danach bildeten sich kleine schmerzlose harte Knoten, die im Laufe der nächsten Jahre größer wurden. Fast 20 Jahre nach der Injektion klagte sie über Schmerzen und hatte in der linken Brust einen hühnereigroßen und in der rechten einen haselnussgroßen Knoten.[14] In einer Studie mit acht Patientinnen lag die durchschnittliche Dauer von der Paraffininjektion bis zum Auftreten von Symptomen bei 24 Jahren. Das Zeitintervall betrug 11 bis 30 Jahre.[15]
Klinisches Bild
Das Paraffinom, beziehungsweise Silikonom, entwickelt sich in den meisten Fällen in dem Bereich, in dem die Substanz ursprünglich injiziert wurde. Durch die Migrationseigenschaften der Fremdkörper (insbesondere des Silikonöls) können sich die Lipogranulome allerdings auch an anderen Stellen des Körpers, wie beispielsweise an der Stirn[16], der Bauchwand, der Leistenregion, an den Beinen[17], den Lymphknoten[18] oder in der Lunge (intrapulmonal)[19], bilden.
Ein Teil der Lipogranulome neigt zum ulzerieren.[20]



Aus der permanenten Entzündung des umliegenden Gewebes durch das Paraffinom kann sich nach etwa ein bis zwei Dekaden ein maligner Tumor (eine Krebsgeschwulst) entwickeln.[15] Dieses Phänomen wurde als Spätfolge von Paraffininjektionen in die Brust bereits in den 1920er Jahren beschrieben[22][23], ist aber noch nicht endgültig bewiesen. Statistisch gesehen sind dazu die Fallzahlen zu gering.[24] Auch im Fall von Silikonomen besteht der Verdacht, dass sich daraus langfristig Karzinome entwickeln können.[25][26][27][28][29][21]
Diagnose
Die Diagnose eines Silikonoms oder Paraffinoms der Brust ist ausgesprochen schwierig. In vielen Fällen wird in der Erstdiagnose ein Karzinom vermutet, das ein sehr ähnliches Erscheinungsbild hat. Die sehr geringe Häufigkeit der Erkrankung und die im Vergleich dazu wesentlich höhere Häufigkeit von Brustkrebs sind für die Differentialdiagnose erschwerend. Auch die Anamnese ist in vielen Fällen keine Hilfe für die Diagnosestellung, da die meisten Patientinnen Jahrzehnte nach der Injektion des Paraffins beziehungsweise Silikons keinen kausalen Zusammenhang mehr zwischen Injektion und Erkrankung sehen. Von den bildgebenden Verfahren ist die Magnetresonanztomographie (MRT) der Sonografie und der Mammografie überlegen und ermöglicht die Unterscheidung zwischen maligner Neoplasie (Brustkrebs) und Lipogranulom.[30] Die MRT liefert zudem wichtige Informationen für die Planung des operativen Eingriffes und die notwendige vollständige Entfernung des Lipogranuloms.[31]
Diagnostische Sicherheit kann eine Biopsie gewährleisten, da erhebliche histologische Unterschiede zwischen Lipogranulom und Karzinom bestehen.
Therapie

Das Mittel der Wahl zur Behandlung eines klinisch relevanten Lipogranuloms der Brust ist die Mastektomie, die in den meisten Fällen beidseitig durchgeführt werden muss. Einige Autoren empfehlen die radikale Mastektomie[32][33][34][35], während andere die einfache Mastektomie[36] favorisieren. Nur die vollständige Entfernung des Lipogranuloms bietet die Möglichkeit einer Heilung.[32] Für die anschließende Rekonstruktion der Brust ist die autologe Transplantation (körpereigenes Gewebe) besonders vorteilhaft.[37]
Medizingeschichtliches
Der US-amerikanische Chirurg James Leonard Corning verwendete 1891 als erster Paraffinöl bei chirurgischen Eingriffen. Die erste Rekonstruktion einer Brust beschrieb Vincenz Czerny 1895.[38] Er transplantierte in Heidelberg einer Patientin, nach der Entfernung eines Tumors in der Brust, ein körpereigenes Lipom „als Ausgleich“.[39] Der österreichische Arzt Robert Gersuny benutzte 1899 verflüssigtes Paraffin als prothetisches Material. Dazu mischte er einen Teil Paraffin mit drei Teilen Olivenöl und injizierte die Flüssigkeit in mehreren Versuchen in kleinen Dosen. Gersuny nahm dabei an, dass das Olivenöl vom Körper vollständig resorbiert wird und um die zurückbleibenden Paraffinpartikel körpereigenes Gewebe wachsen würde. Die Mischung wurde für verschiedene kosmetische und prothetische Zwecke sowie für Wundverschlüsse verwendet. Der Effekt wurde dabei nicht durch das Paraffin selbst, sondern durch das sich darum bildende Bindegewebe erreicht. Um 1899 injizierte er diese Mischung erstmals in die Brust einer Frau. Die Indikation für diesen Versuch ist unklar. In den folgenden Jahren übernahm eine Vielzahl von Ärzten die von Gersuny entwickelte Methode für verschiedenste Indikationen. Teilweise mit unterschiedlichen Substanzen beziehungsweise Substanzgemischen. 1911 schrieb Frederick Strange Kolle über Gersunys Methode, dass sie „schmerzlos, schnell, ohne Blutungen und ohne Narben und mit – Ausnahme bestimmter Fälle – unbedenklich sei.“ Bei den „bestimmten Fällen“ listete er 22 unterschiedliche Komplikationen auf. Sie reichten von mangelhafter Ästhetik über Rötung der Haut an der Injektionsstelle und Diffusion des Paraffins in andere Bereiche bis zur Hyperplasie des Bindegewebes und Paraffinembolie. Diese „unerwünschten Ergebnisse“ ließen sich aber, so Kolle, durch eine „ordentliche Durchführung der Prozedur“ vermeiden.[40]
Der erste Bericht über Komplikationen infolge der Injektion von Paraffin[41] stammt aus dem Jahr 1908.[42] Der Berliner Arzt F. Holländer berichtete erstmals 1912 von den Folgen der Injektion in die Brust.[43] Danach veröffentlichten weitere Autoren Artikel über unerwünschte Folgeerscheinungen dieses kosmetischen Eingriffs. Die Deutschen Kach[44] und Bettmann[45] beschrieben danach das pathologische Bild des Paraffinoms.[42] Es vergingen aber noch viele Jahre, bis ein allgemeiner Konsens darüber herrschte, dass der kurzfristige, für den Patienten sofort sichtbare Erfolg langfristig zu äußerst unangenehmen, schmerzhaften wie kosmetisch unbefriedigenden Ergebnissen führt. 1926 bezeichnete H. Lyons Hunt Injektionen von Paraffin als „unentschuldbare Praktik“, für die er „Schönheitschirurgen und Hochstapler“ verantwortlich machte.[46] Auf Lyons Hunt geht auch der Begriff »Parafinoma« zurück.[38] In der westlichen Welt wurde diese Methode der Brustaugmentation in der Folge nahezu vollständig aufgegeben.
In den 1950er Jahren wurden die neuentwickelten Silikonöle vom Typ Polydimethylsiloxan für die Brustaugmentation „entdeckt“. Von Japan aus verbreitete sich diese Methode über die Vereinigten Staaten auch nach Europa. Man ging davon aus, dass diese inerten, „auf Sand basierenden“ Materialien gut verträglich seien. Nachdem sich in den 1960er Jahren die Berichte über Komplikationen bei Japanerinnen mehrten, die eine Brustaugmentation in Form einer „Silikonspritze“ erhielten, verbot die Food and Drug Administration 1965 solche Injektionen. Die Anzahl der Frauen, die solche Injektionen erhielten, ist unbekannt. Alleine in Las Vegas schätzt man ihre Zahl auf über 10.000.[8]
Ähnliche Krankheiten
Weiterführende Literatur
Fachbücher
- W. Remmle: Pathologie: Kopf-Hals-Region, Weichgewebstumoren, Haut. Band 7, 3. Auflage, Verlag Springer, 2008, ISBN 3-540-72884-8, S. 705–706. eingeschränkte Vorschau in der Google-Buchsuche
- H. Kerl: Histopathologie der Haut. Verlag Springer, 2003, ISBN 3-540-41901-2, S. 228f. eingeschränkte Vorschau in der Google-Buchsuche
- P. P. Rosen: Rosen's breast pathology. Verlag Lippincott Williams & Wilkins, 2001, ISBN 0-781-72379-5, S. 48f. eingeschränkte Vorschau in der Google-Buchsuche
- R. M. Goldwyn: The paraffin story. In: Plast Reconstr Surg 65, 1980, S. 517–524. PMID 6987691
- R. Bässler: Pathologie der Brustdrüse. Verlag Springer, 1978, ISBN 3-540-08579-3, S. 245f
Fachartikel
- E. Haneke: Risks of permanent fillers. In: Expert Review of Dermatology 4, 2009, S. 271–283. doi:10.1586/edm.09.19
- R. Iyengar u. a.: Breast paraffinoma. In: Breast J 14, 2008, S. 504–505. PMID 18657137
- G. Di Benedetto u. a.: Paraffin oil injection in the body: an obsolete and destructive procedure. In: Ann Plast Surg 49, 2002, S. 391–396. PMID 12370645
- A. Losken und M. J. Jurkiewicz: History of Breast Reconstruction. In: Breast Disease 16, 2002, S. 3–9. PMID 15687650
- W. Beekman u. a.: Augmentation Mammaplasty: The Story Before the Silicone Bag Prosthesis. In: Ann Plast Surg 43, 1999, S. 446–451. PMID 10517477
- R. W. Raven: Paraffinoma of the breast. In: Clin Oncol 7, 1981, S. 157–161. PMID 7249438
- T. T. Alagaratnam und G. B. Ong: Paraffinomas of the breast. In: J R Coll Surg Edinb 28, 1983, S. 260–263. PMID 6355455
- H. Münchow: Paraffinölschäden im Gewebe am Beispiel verkalkter Paraffinome in den Mammae. In: Radiologia Diagnostica 7, 1966, S. 743–747. PMID 5965924
- L. F. Tinckler und F. E. Stock: Paraffinoma of the breast. In: Aust N Z J Surg 25, 1955, S. 142–144. PMID 13269361
- H. Gumrich: Roentgenologic representation of mammary paraffinomas. In: Medizinische 14, 1955, S. 500. PMID 14383078
- K. H. Krohn: Über Paraffinome der Mamma. In: Zentralblatt für Chirurgie 45, 1930, S. 2772–2781.
Weblinks
- Big Lift. In: Der Spiegel 7, 1968, vom 12. Februar 1968, S. 122–123.
Einzelnachweise
- ↑ a b B. Erguvan-Dogan und W. T. Yang: Direct injection of paraffin into the breast: mammographic, sonographic, and MRI features of early complications. In: AJR Am J Roentgenol 186, 2006, S. 888–894. PMID 16498126
- ↑ a b c G. J. Kaufman u. a.: Silicone migration to the contralateral axillary lymph nodes and breast after highly cohesive silicone gel implant failure: a case report. In: Cases J 2, 2009, 6420. PMID 20181154
- ↑ F. D. Weidman: The danger of liquid petrolatum in parenteral injections. In: J Am Med Assoc 80, 1923, S. 1761–1763.
- ↑ C. Markopoulos u. a.: Paraffinomas of the breast or oleogranulomatous mastitis-a rare entity. In: The Breast 15, 2006, S. 540–543. PMID 16545569
- ↑ K. T. Wong u. a.: Paraffinoma in anterior abdominal wall mimicking liposarcoma. In: Br J Radiol 76, 2003, S. 264–267. PMID 12711647
- ↑ G. F. D'Costa u. a.: Self inflicted, bilateral oleogranuloma of the breast: Report of a bizarre case. In: Indian Journal of Pathology and Microbiology 50, 2007, S. 373–375. PMID 17883079
- ↑ W. S. Symmers: Silicone mastitis in ‘topless’ waitresses and some other varieties of foreign-body mastitis. In: BMJ 3, 1968, S. 19–22. PMID 5690841
- ↑ a b D. P. Gorczyca und R. J. Brenner: The augmented breast: radiologic and clinical perspectives. Thieme-Verlag, 1997, ISBN 0-865-77612-1, S. 1f eingeschränkte Vorschau in der Google-Buchsuche
- ↑ H. P. Frey u. a.: Silikonome und rheumatische Symptomatik – eine bekannte und eine fragliche Komplikation von Silikonimplantaten. In: Handchir Mikrochir Plast Chir 24, 1992, S. 171–117. PMID 1516851
- ↑ S. Diekmann u. a.: Digitale Vollfeldmammographie nach Brustaugmentation. In: Der Radiologe 42, 2002, S. 275–279. doi:10.1007/s00117-002-0730-5
- ↑ A. Lahiri und R. Waters: Locoregional silicone spread after high cohesive gel silicone implant rupture. In: J Plast Reconstr Aesthet Surg 59, 2006, S. 885–856. PMID 16876092
- ↑ P. Basse und B. Alsbjørn: Paraffinoma of the male breast. In: Acta Chir Plast 33, 1991, S. 163–165. PMID 1722603
- ↑ R. Büttner und C. Thomas: Allgemeine Pathologie. Schattauer Verlag, 2003, ISBN 3-794-52229-X eingeschränkte Vorschau in der Google-Buchsuche
- ↑ G. Körbler: Ein Beitrag zur Kenntnis des Paraffinoms der Brustdrüse nach kosmetischen Injektionen. In: Klinische Wochenschrift 6, 1927, S. 652–653. doi:10.1007/BF01715422
- ↑ a b W. S. Ho u. a.: Management of paraffinoma of the breast: 10 years' experience. In: Br J Plast Surg 54, 2001, S. 232–234. PMID 11254416
- ↑ W. Meigel u. a.: Siliconom. In: Z Hautkr 64, 1989, S. 815–816. PMID 2683442
- ↑ L. Sagi u. a.: Silicone breast implant rupture presenting as bilateral leg nodules. In: Clinical and Experimental Dermatology, 34, 2009, S. e99–101. PMID 19438562
- ↑ B. Gebauer u. a.: Silikongranulome in intrathorakalem Lymphknoten nach Ruptur einer Silikon-Doppelkammerprothese. In: Fortschr Röntgenstr 176, 2004, S. 1331–1332. PMID 15346272
- ↑ A. Dragu u. a.: Intrapulmonary and cutaneous siliconomas after silent silicone breast implant failure. In: Breast J 15, 2009, S. 496–499. PMID 19624416
- ↑ A. Rintala: Ulcerating paraffinoma. In: Ann Chir Gynaecol 65, 1976, S. 356–360. PMID 795359
- ↑ a b c d Y. Tanaka u. a.: Invasive micropapillary carcinomas arising 42 years after augmentation mammoplasty: A case report and literature review. In: World Journal of Surgical Oncology 6, 2008, 33. doi:10.1186/1477-7819-6-33 PMID 18341700
- ↑ G. Schmorl: Paraffingranulome. Gesellschaft für Natur- und Heilkunde Dresden. Referiert in Münchner Medizinische Wochenschrift, 215, 1922.
- ↑ E. Rose: Gefährliche Spätfolgen von Paraffininjektionen. In: Bruns’ Beiträge zur klinischen Chirurgie 123, 1925, S. 244–263.
- ↑ H. J. Kang u. a.: Breast Paraffinoma Coexisting Breast Cancer. In: J Breast Cancer 9, 2006, S. 65–68. (Volltext in Koreanisch, Abstract in Englisch)
- ↑ G. A. Timberlake und G. R. Looney: Adenocarcinoma of the breast associated with silicone injections. In: Journal of Surgical Oncology 32, 1986, S. 79–81. PMID 3014228
- ↑ C. M. Lewis: Inflammatory carcinoma of the breast following silicone injections. In: Plast Reconstr Surg 66, 1980, S. 134–136. PMID 7190311
- ↑ L. Morgenstern u. a.: Relation of free silicone to human breast carcinoma. In: Arch Surg 120, 1985, S. 573–577. PMID 2985027
- ↑ G. A. Timberlake und G. R. Looney: Adenocarcinoma of the breast associated with silicone injections. In: J Surg Oncol 32, 1986, S. 79–81. PMID 3014228
- ↑ P. J. van Diest, W. H. Beekman, J. J. Hage: Pathology of silicone leakage from breast implants. In: Journal of clinical pathology. Band 51, Nummer 7, Juli 1998, S. 493–497, PMID 9797723, PMC 500799 (freier Volltext) (Review).
- ↑ J. Wang u. a.: Magnetic resonance imaging characteristics of paraffinomas and siliconomas after mammoplasty. In: J Formos Med Assoc 101, 2002, S. 117–123. PMID 12099202
- ↑ P. L. Khong u. a.: MR imaging of breast paraffinomas. ( des vom 27. Juli 2008 im Internet Archive) Info: Der Archivlink wurde automatisch eingesetzt und noch nicht geprüft. Bitte prüfe Original- und Archivlink gemäß Anleitung und entferne dann diesen Hinweis. In: AJR Am J Roentgenol 173, 1999, S. 929–932. PMID 10511150
- ↑ a b T. T. Alagaratnam und W. F. Ng: Paraffinomas of the breast: an oriental curiosity. In: Aust N Z J Surg 66, 1996, S. 138–140. PMID 8639128
- ↑ I. Czeti und P. P. Sikó: Removal of both breasts for paraffinoma and subsequent replacement. In: Acta Chir Plast 30, 1988, S. 122–124. PMID 2470222
- ↑ K. O. Wustrack und H. A. Zarem: Surgical management of silicone mastitis. In: Plast Reconstr Surg 63, 1979, S. 224–229. PMID 570284
- ↑ G. C. Ooi u. a.: Migration and lymphatic spread of calcified paraffinomas after breast augmentation. In: Australas Radiol 40, 1996, S. 404–407. PMID 8996900
- ↑ C. Ko u. a.: Injected liquid silicone, chronic mastitis, and undetected breast cancer. In: Ann Plast Surg 34, 1995, S. 176–179. PMID 7741437
- ↑ J. S. Chen u. a.: Reconstruction with bilateral pedicled TRAM flap for paraffinoma breast. In: Plast Reconstr Surg 115, 2005, S. 96–104. PMID 15622238
- ↑ a b N. Jacobsen: Cleavage: technology, controversy, and the ironies of the man-made breast. Rutgers University Press, 2000, ISBN 0-813-52715-5 eingeschränkte Vorschau in der Google-Buchsuche
- ↑ V. Czerny: Plastischer Ersatz der Brustdrüse durch ein Lipom. In: Zentralblatt for Chirurgie 22, 1895, S. 544–550.
- ↑ F. S. Kolle: Plastic and Cosmetic Surgery. D. Appleton and Company, New York & London, 1911.
- ↑ H. Morestin: Inconvénients et abus des injections de paraffine. In: Bull Soc Chir Paris 31, 1908, S. 268–298.
- ↑ a b J. Glicenstein: Les premiers « fillers », vaseline et paraffine. Du miracle à la catastrophe. In: Annales de Chirurgie Plastique Esthétique 52, 2007, S. 157–161. PMID 16860452
- ↑ F. Holländer, Berliner Gesellschaft für Chirurgie, In: Münch Med Wochenschr 59, 1912, S. 2842.
- ↑ F. Kach: Ueber gelegentliche Gefahren kosmetischer Paraffininjektionen. In: Münch Med Wschr 34, 1919, S. 965–967.
- ↑ H. Bettmann: Über Folgeerscheinungen subcutaner Paraffininjektionen. In: Berl Klin Wschr 22, 1913, S. 1040.
- ↑ H. Lyons Hunt: Plastic Surgery Of The Head, Face And Neck. Lea & Febiger, Philadelphia und New York, 1926, 404 Seiten