Pirogoff-Amputation

Pirogoff-Stumpf (1867)

Die Pirogoff-Amputation (auch Amputation nach Pirogoff, Amputation nach Spitzy, Amputation nach Pirogoff-Spitzy oder im Englischen nach Boyd) ist eine Operationsmethode zur Amputation des Fußes, die 1854 von Nikolai Iwanowitsch Pirogow erfunden wurde. Sie erhält die Ferse mit ihrem Polster und ist dadurch endbelastungsfähig. Allerdings geht durch die Entfernung des Sprungbeins und anschließende Versteifung die Beweglichkeit des Rückfußes komplett verloren. Zur Rehabilitation ist eine Unterschenkelprothese notwendig, um ein entsprechendes Widerlager für die Fußprothese zu erhalten.[1]

Zweck

Wenn bei einer Gangrän oder Verletzung die Weichteile und Knochen des Fußes verloren sind, dazu eine Spitzfußstellung von über 45° besteht, die Ferse aber noch intakt ist, ist die Pirogoff-Amputation probat. Ohne Spitzfußstellung kann eine Exartikulation im Chopart-Gelenk durchgeführt werden, die das obere Sprunggelenk erhält. Die nächsthöhere Amputation, sollte der Hautdefekt zu groß sein, ist die supramalleoläre Amputation nach Syme, bei der ebenfalls die Fersenhaut erhalten bleibt und somit ebenfalls ein endbelastungsfähiger, etwa 4–7 cm kürzerer Stumpf entsteht.[1]

Technik

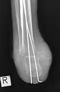
Der operative Zugang für die Amputation erfolgt von vorn (ventral), mit Bildung eines weiter nach distal reichenden Sohlenlappens, der dann den ventralen Defekt decken kann und auch dort eine Endbelastungsfähigkeit herstellt. Die Haut des Fußrückens ist hingegen sehr druckempfindlich und dort, wo durch die Belastung oder die Prothese Druck entsteht, gefährdet. Nach Darstellung des Sprungbeins wird dieses komplett entfernt (Astragalektomie). Die Gelenkfläche des oberen Sprunggelenks wird zusammen mit Innen- und Außenknöchel durch eine horizontale Osteotomie mit einer oszillierenden Säge reseziert, unter besonders sorgfältiger Schonung der hinter dem Innenknöchel verlaufenden Gefäße. Anschließend erfolgt auch am Fersenbein eine horizontale Osteotomie, wodurch alle Gelenkanteile des subtalaren Gelenkes entfernt werden. Durch die Entfernung des Sprungbeins werden etwa 3 bis 4 cm Platz gewonnen, sodass auch eine starke Achillessehnenverkürzung hierdurch in der Regel bereits ausgeglichen ist und eine Sehnenverlängerung selten notwendig ist. Die Entfernung der Malleolen erfolgt für eine gute Prothesenversorgung. Die calcaneotibiale Arthrodese erfolgt unter Kompression und mit einem Vorschub des Fersenbeins um etwa 10 bis 15 mm, wobei das Fersenbein in einer leichten Außendrehung wie auf der Gegenseite eingestellt werden muss. Anschließend ist eine Abrundung der distal-plantaren Fersenbeinkante vor allem an der Außenseite notwendig, um keine druckempfindliche knöcherne Prominenz zu erzeugen. Als Osteosynthese wird meist ein Fixateur externe mit jeweils zwei Steinmann-Nägeln oder langen Schrauben in Tibia und Calcaneus eingesetzt, alternativ gekreuzte K-Drähte, die von proximal durch Tibia und Calcaneus eingeführt werden und dadurch die Sohlenhaut nicht verletzen. Ein Hautschluss muss spannungsfrei erfolgen.[1]

Durch die feste Fixierung mittels Drähten, Schrauben oder Fixateur externe ist nach Abschwellen und Wundheilung eine umgehende Belastung des Stumpfes möglich, und eine Prothesenversorgung erfolgt nach vollständigem Rückgang des postoperativen Ödems und der Materialentfernung nach etwa sechs Wochen.

Prothesenversorgung

Eine alleinige Schuhversorgung mit Vorfußprothese genügt nicht, da sie nicht fest am Stumpf zu fixieren ist und damit keine funktionelle Bedeutung hat. Darüber hinaus besteht das Risiko von Druckstellen und Abschürfungen. Daher wird in der Regel eine Unterschenkelprothese gefertigt, die durch die unterschenkellange Fassung vor allem an der Schienbeinkante die Gewichtskraft auf den Prothesenfuß übertragen kann und dadurch ein weitgehend physiologisches Gangbild mit Abrollen des Fußes ermöglicht. Die Unterschenkelfassung kann als vorderseitige Rahmenprothese verfertigt werden, da sie bei endbelastungsfähigem Stumpf keine Gewichtskraft übernehmen muss und dadurch auch das Risiko von Druckstellen wesentlich minimiert ist.

Allerdings bleiben für das prothetische Sprunggelenk nur die 4–5 cm Verkürzung, wodurch der Spielraum bei der Auswahl des Sprunggelenks limitiert ist. Oftmals wird auch auf ein Gelenk verzichtet und eine starre Prothese gefertigt. Dann sind allerdings eine Abrollwiege und ein Keilabsatz am Schuh notwendig, um den Abrollvorgang zu ermöglichen.

Da der Stumpf endbelastungsfähig ist, ist auch eine Mobilität ganz ohne Prothese möglich, allerdings mit Verkürzungshinken und ohne Abrollen, d. h. der Gang kostet deutlich mehr Kraft und ist deutlich unphysiologischer.

Komplikationen

Generell haben Amputationsstümpfe gerade bei arterieller Verschlusskrankheit ein hohes Risiko auf erneute Durchblutungsstörungen und Nekrosen und daraus folgend erneute Amputationen. Dabei gelten Rückfußamputationen als deutlich risikohafter, da die Gefäßversorgung grenzwertig ist und eine muskuläre Deckung des Stumpfes schwierig ist. Postoperativ kommt es immer zu einer Schwellung, die die Blutversorgung weiter komprimiert.

Es gibt Empfehlungen, bei schwerer arterieller Verschlusskrankheit keine Rückfußamputationen durchzuführen, sondern direkt eine proximale Unterschenkelamputation durchzuführen, die in der Regel schneller heilt, eine ausreichende muskuläre Stumpfdeckung ermöglicht und eine bessere Durchblutungssituation aufweist.[1]

Die Durchbauung der Arthrodese stellt hingegen kein Problem dar und Pseudarthrosen sind sehr selten.

Bilder

Literatur

  • M. Schofer, M. Settner, H-R. Kortmann: Amputationen am Fuß. In: Trauma und Berufskrankheit. 3 (2001), S. 244–247.

Einzelnachweise

  1. a b c d René Baumgartner, Pierre Botta: Amputation und Prothesenversorgung der unteren Extremität. Enke-Verlag, Stuttgart 1995, ISBN 3-432-97502-3.