Pneumatosis intestinalis
| Klassifikation nach ICD-11 | |
|---|---|
| DA92.1 | Pneumatosis intestinalis des Dünndarms |
| DB31.1 | Pneumatosis intestinalis des Dickdarms |
| ICD-11: Englisch • Deutsch (Entwurf) | |

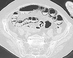
Als Pneumatosis intestinalis (auch Pneumatosis intestinis) wird in der Medizin ein seltenes Krankheitsbild oder in der Radiologie ein seltener Befund bezeichnet. Das Krankheitsbild ist durch eine Gasansammlung in der Wand (intramural) des Verdauungstrakts gekennzeichnet. Die Gasansammlung kann in verschiedenen Schichten der Verdauungsorgane vorkommen. Es wird eine subseröse (unterhalb der Serosa) von einer submukösen (unterhalb der Mukosa) Pneumatosis intestinalis unterschieden. Außerdem kann eine Einteilung nach betroffenem Organ erfolgen, beispielsweise wird die intramurale Gasansammlung im Dickdarm (Colon) als Pneumatosis coli bezeichnet. Eine Sonderform ist die Pneumatosis cystoides intestinalis.
Die erste Verwendung des Begriffs Pneumatosis intestinalis geht auf Lerner und Gazin im Jahre 1946 zurück.
Krankheitsentstehung
Die Entstehung der Pneumatosis intestinalis (auch Pneumatosis intestinis[1] genannt) kann verschiedene Ursachen haben. Die Mechanismen, wie und wann es zur intramuralen Gasansammlung kommt, sind noch nicht abschließend geklärt. Es gibt verschiedene Erklärungsansätze, darunter eine krankhafte Aerophagie, bei der geschluckte Luft vom Magen in den Darm weiterbefördert wird. Als häufigste Ursachen gelten die Darmnekrose infolge eines Sauerstoffmangels (Ischämie), die nekrotisierende Enterokolitis, ein Volvulus oder eine Sepsis. Als mechanische Ursachen, das heißt infolge eines erhöhten intraluminalen Drucks, kommen beispielsweise das Magengeschwür (Ulcus ventriculi), die Pylorusstenose und das Pancreas anulare infrage. Auch bei immunsupprimierten Patienten kann sich eine Pneumatosis intestinalis bilden. Es wird vermutet, dass die Atrophie der Peyer-Plaques – infolge der Immunsuppression – mit einem Verlust der Darmwandintegrität einhergeht. Sekundär könnte es dann zu einem Eintritt von Gas in die Darmwand kommen.
Diagnose und Therapie
Die Diagnose wird mit Hilfe von bildgebenden Verfahren gestellt. Ausgeprägte intramurale Gasansammlungen können bereits mit einer konventionellen Röntgenaufnahme des Unterleibs (Abdomenübersicht) diagnostiziert werden. Bei geringgradig ausgeprägten intramuralen Gasansammlungen oder wenn die Aussagekraft der Aufnahme beispielsweise durch Blähsucht (Meteorismus) vermindert ist, kann der Befund falsch positiv ausfallen. Die diagnostische Methode der Wahl ist inzwischen die Computertomographie, bei der in der Regel eine sichere Abgrenzung von intramuraler und extramuraler (außerhalb der Wände) Gasansammlung gelingt.
Die Therapie ist abhängig von der zugrunde liegenden Ursache beziehungsweise Grunderkrankung.
Quellen
- J. Trübenbach et al.: Zum Titelbild: Pneumatosis intestinalis RöFo 01/99 Online-Version
Weblinks
Einzelnachweise
- ↑ Ferdinand Hoff: Über Aerophagie. In: Münchener Medizinische Wochenschrift. Band 95, Nr. 1, 2. Januar 1953, S. 15–19, hier: S. 16–17.