Progressive multifokale Leukenzephalopathie
| Klassifikation nach ICD-10 | |
|---|---|
| A81.2 | Progressive multifokale Leukenzephalopathie |
| ICD-10 online (WHO-Version 2019) | |
Die progressive multifokale Leukenzephalopathie (PML) ist eine Erkrankung des Zentralen Nervensystems (ZNS), die durch das zur Gattung der Polyomaviren gehörende JC-Virus verursacht wird. Der Name des Virus leitet sich von den Initialen des Patienten ab, bei dem es erstmals isoliert wurde.[1] Die Erkrankung kommt fast ausschließlich bei schwer abwehrgeschwächten Personen vor. Es handelt sich um eine akute, progrediente (fortschreitende) Krankheit, bei der zahlreiche funktionelle Veränderungen des Nervensystems, beispielsweise motorische und kognitive Störungen, auftreten können.
Epidemiologie
Die PML tritt selten und dann fast ausschließlich bei abwehrgeschwächten Personen auf, die einen erheblichen Defekt der T-Zell-Immunität aufweisen. Immunkompetente Personen oder Personen, bei denen lediglich Defizite im humoralen Abwehrsystem (Antikörper- und Komplementsystem) bestehen, erkranken in der Regel nicht an PML.[2][3] Menschen mit relevanter T-Zell-Immunschwäche leiden entweder an Erkrankungen des Immunsystems oder wurden aufgrund einer anderen Erkrankung immunsuppressiv behandelt. Die Immunsuppression kann als Nebenwirkung – so etwa bei der Chemotherapie von Tumoren – oder als gewünschte Wirkung von Medikamenten – nach Organtransplantationen oder zur Behandlung von Autoimmunkrankheiten – auftreten. Gehäuft tritt eine PML nach Knochenmarktransplantationen auf.
Der überwiegende Teil der PML-Fälle tritt im Rahmen des erworbenen Immundefektsyndroms (AIDS) im Stadium C3 auf – etwa 80–90 % der PML-Patienten sind auch an AIDS erkrankt.[4] Im Jahr 1980 betrug die Prävalenz der PML unter AIDS-Patienten noch über 5 %[5], scheint aber seitdem kontinuierlich zu sinken, was hauptsächlich darauf zurückgeführt wird, dass die hochaktive antiretrovirale Therapie (HAART) inzwischen weitverbreitet ist.[6] Nach der Klassifikation der Centers for Disease Control and Prevention ist die PML eine der „AIDS-definierenden Erkrankungen“.
Selten tritt die Erkrankung im Rahmen von Tumoren des lymphoretikulären Systems – vor allem beim Morbus Hodgkin – sowie bei chronisch entzündlichen Erkrankungen, nach Organtransplantationen und als unerwünschte Wirkung von immunsuppressiven Medikamenten auf (vor allem bei Natalizumab, aber auch selten bei Rituximab, Efalizumab, Fingolimod und Dimethylfumarat[7]), die zunehmend eingesetzt werden.[8] Sehr selten wird eine PML auch unter Ublituximab beobachtet.[9] Die Einnahme von Fumarsäureester kann möglicherweise die Entwicklung einer PML begünstigen, wie vier Fallberichte im New England Journal of Medicine (2013; 368: 1657–1661) zeigen. In einer Stellungnahme seitens zweier Dermatologen im Dt. Ärzteblatt wird dies jedoch infrage gestellt.[10]
Pathogenese und Pathologie

Es handelt sich bei der Erkrankung um eine Reinfektion durch Reaktivierung des JC-Virus. Die Erst- oder Primärinfektion mit dem Virus verläuft asymptomatisch. Die Durchseuchung beginnt bereits im Kindesalter und erreicht bei Erwachsenen eine Durchseuchungsrate von 40–60 %. Der Erreger persistiert lebenslang.[2][3]
Das JC-Virus gelangt bei T-Zell-Immungeschwächten wahrscheinlich vom Ort seiner Persistenz (möglicherweise Nierengewebe und/oder Knochenmark) über Leukozyten in das zentrale Nervensystem und repliziert in der weißen Substanz im Großhirn, im Hirnstamm, im Kleinhirn (Zerebellum) und im Rückenmark. Es handelt sich um eine Entmarkungskrankheit (Demyelinisierungskrankheit), das heißt, die Nervenscheiden (Myelinscheiden) der Oligodendrozyten, welche die Nervenfortsätze (Axone) der Neurone umhüllen, werden befallen und degenerieren. Da die graue Substanz hauptsächlich aus Nervenzellkörpern besteht und nur zu einem geringen Anteil aus Axonen, ist sie von der Infektion fast nicht betroffen. Histologisch handelt es sich um eine entzündliche Entmarkung mit perivaskulärer Leukozyteninfiltration. Insbesondere die ausgeprägte Polymorphie der infizierten Gliazellen ist typisch. Die neuropathologische Diagnose wird durch den Nachweis von JC-Virus-Protein in der Immunhistochemie oder den Nachweis von JC-Virus-Genom in der In-situ-Hybridisierung bestätigt.
Symptome
Die Symptome der PML richten sich nach der Lokalisation der Entmarkungsherde im zentralen Nervensystem. Wenn diese beispielsweise im Sprachzentrum liegen, kommt es zu Sprachstörungen (Aphasie), wenn die sensiblen Bahnen betroffen sind, zu Gefühlsstörungen; sind die motorischen Bahnen betroffen, kommt es zu motorischen Ausfällen in Form von feinmotorischen Störungen oder Lähmungen. Bei einem Befall der Sehbahn kommt es zu Gesichtsfeldausfällen (zum Beispiel Hemianopsie). Im weiteren Verlauf der Erkrankung kann es zu kognitiven Störungen, Konzentrationsstörungen, Verwirrtheit bis zur Demenz kommen. Auch epileptische Anfälle können im Krankheitsverlauf auftreten.
Diagnose

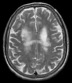
Eine relativ sichere Diagnose ist nur durch den Nachweis der JC-Virus-DNA im Liquor cerebrospinalis mittels Polymerasekettenreaktion (PCR) möglich. Der Nachweis des Virus im Urin lässt keinen Zusammenhang mit der Erkrankung zu, da etwa 20 % der Bevölkerung das Virus dauerhaft ausscheiden. Die relativ unspezifischen Demyelinisierungsherde, die mit einer Magnetresonanztomografie (MRT, Kernspintomografie) nachgewiesen werden können, können einen Beitrag zur Verdachtsdiagnose leisten. Die Herde stellen sich bei T1-Wichtung hypointens, in der T2- und Flair-Sequenz hyperintens dar und nehmen kein Kontrastmittel auf. Typisch sind flächig konfluierende und symmetrische Signalveränderungen unter Aussparung der Hirnrinde. Diese liegen oft parietal. Eine Differenzierung zu anderen Veränderungen gleichen Aussehens (zum Beispiel bei der Multipler Sklerose (MS) oder dem Posterioren reversiblen Enzephalopathiesyndrom (PRES)) ist ohne Krankengeschichte aufgrund der MRT-Befunde allein nicht möglich. Das Virus kann auch elektronenmikroskopisch in Hirngewebe nachgewiesen werden.
Differentialdiagnose
Vor dem Verdacht einer PML im Rahmen von AIDS müssen zunächst die häufigeren Enzephalitiden durch eine Toxoplasmose oder Kryptokokkose, ein ZNS-Lymphom, eine HIV-Enzephalopathie, aber auch Leukodystrophien und bei Kindern die Subakute sklerosierende Panenzephalitis (SSPE) ausgeschlossen werden. Bei Verdacht auf eine PML unter der Behandlung einer Multiplen Sklerose mit Natalizumab stellt ein MS-Schub die wichtigste Differentialdiagnose dar.
Therapie
Die momentan effektivste Behandlung der PML sind Maßnahmen zur Wiederherstellung der Immunkompetenz:
- Bei AIDS-Patienten konnte die Sterblichkeit und die Schwere der Erkrankung durch eine hochaktive antiretrovirale Therapie (HAART) reduziert werden, da die Zahl der T-Zellen im Zuge einer solchen Behandlung wieder steigt.[11]
- Bei Patienten, die eine immunsuppressive Therapie erhalten, sollte diese Behandlung ausgesetzt werden. Bei Arzneimitteln mit langer biologischer Wirkung werden Maßnahmen zur Entfernung des Arzneimittels empfohlen.[12]
- Bei Patienten, die aufgrund einer Organtransplantation mit immunsuppressiven Medikamenten behandelt werden, muss unter Umständen das transplantierte Organ entfernt werden.
Eine kausale Behandlung der PML existiert nicht. Zur Wirkung einiger Medikamente wurden Einzelfallberichte oder kleine Fallserien publiziert (zum Beispiel Foscarnet, Cytarabin, Cidofovir, Interferon, Cortison), deren Überprüfung an größeren Patientenkollektiven aber enttäuschend verlief.[12]
Ein Fallbericht von 2010 beschreibt eine erfolgreiche Behandlung mit Mefloquin, einem Malariamittel, welches sich auf das JC-Virus hemmend auszuwirken scheint. Eine Elimination der Viruspartikel aus dem Körper des Patienten sowie eine verhinderte Progression der PML wurden berichtet.[13]
In einem weiteren Fallbericht von 2014 wurde von einer erfolgreichen Behandlung mit Maraviroc, einem Virustatikum, welches bei HIV-Infektion eingesetzt wird, berichtet.[14][15]
Prognose
Die Prognose ist gegenwärtig schlecht. Wenn es nicht gelingt, die Funktion des Immunsystems adäquat zu verbessern, führt die PML innerhalb von durchschnittlich 3 bis 20 Monaten zum Tod.
Literatur
- W. Hacke: Neurologie. 13. Auflage. Springer-Verlag, 2010, ISBN 978-3-642-12381-8, S. 480.
- C. S. Tan, I. J. Koralnik: Progressive multifocal leukoencephalopathy and other disorders caused by JC virus: clinical features and pathogenesis. In: The Lancet Neurology. 2010; 9, S. 425–437. PMID 20298966, doi:10.1016/S1474-4422(10)70040-5.
Weblinks
Einzelnachweise
- ↑ B. L. Padgett, D. L. Walker, G. M. Zu Rhein u. a.: Cultivation of papova-like virus from human brain with progressive multifocal leucoencephalopathy. In: The Lancet. 1971; 1, S. 1257–1260. PMID 4104715
- ↑ a b J. M. Kean, S. Rao u. a.: Seroepidemiology of human polyomaviruses. In: PLoS pathogens. Band 5, Nummer 3, März 2009, S. e1000363, doi:10.1371/journal.ppat.1000363, PMID 19325891, PMC 2655709 (freier Volltext).
- ↑ a b A. Egli, L. Infanti u. a.: Prevalence of polyomavirus BK and JC infection and replication in 400 healthy blood donors. In: The Journal of Infectious Diseases. Band 199, Nummer 6, März 2009, S. 837–846, PMID 19434930.
- ↑ I. J. Koralnik u. a.: Case records of the Massachusetts General Hospital. Weekly clinicopathological exercises. Case 14-2004. A 66-year-old man with progressive neurologic deficits. In: N Engl J Med. 2004;350, S. 1882–1893. PMID 15115835
- ↑ J. R. Berger u. a.: Progressive multifocal leukoencephalopathy associated with human immunodeficiency virus infection. A review of the literature with a report of sixteen cases. In: Ann Intern Med. 1987;107, S. 78–87. PMID 3296901
- ↑ N. Sacktor: The epidemiology of human immunodeficiency virus-associated neurological disease in the era of highly active antiretroviral therapy. In: J Neurovirol. 2002;8 (Suppl 2), S. 115–121. PMID 12491162.
- ↑ FDA Drug Safety Communication
- ↑ K. R. Carson, D. Focosi, E. O. Major u. a.: Monoclonal antibody-associated progressive multifocal leucoencephalopathy in patients treated with rituximab, natalizumab, and efalizumab: a Review from the Research on Adverse Drug Events and Reports (RADAR) Project. In: Lancet Oncol. 2009; 10, S. 816–824. PMID 19647202
- ↑ Fachinformation Briumvi, S. 2. Abgerufen am 6. Februar 2025.
- ↑ Fumarsäureester: PML in der Psoriasis-Behandlung. In: Dt. Ärzteblatt. 26. April 2013, abgerufen am 18. Juli 2013.
- ↑ H. Albrecht, C. Hoffmann, O. Degen u. a.: Highly active antiretroviral therapy significantly improves the prognosis of patients with HIV-associated progressive multifocal leukoencephalopathy. AIDS. 1998;12, S. 1149–1154. PMID 9677163
- ↑ a b O. Stüve, C. M. Marra, P. D. Cravens u. a.: Potential risk of progressive multifocal leukoencephalopathy with natalizumab therapy: possible interventions. In: Arch Neurol. 2007;64, S. 169–176. PMID 17296831
- ↑ T. E. Gofton, A. Al-Khotani, B. O’Farrell, L. C. Ang, R. S. McLachlan: Mefloquine in the treatment of progressive multifocal leukoencephalopathy. In: Journal of Neurology, Neurosurgery, and Psychiatry. Band 82, Nummer 4, April 2011, S. 452–455, ISSN 1468-330X. doi:10.1136/jnnp.2009.190652. PMID 20562463.
- ↑ Giacomini, Paul S et al. “Maraviroc and JC virus-associated immune reconstitution inflammatory syndrome.” The New England journal of medicine vol. 370,5 (2014): 486-8. doi:10.1056/NEJMc1304828. PMID 24476450.
- ↑ HIV-Medikament bremst Hirnentzündung PML. In: pharmazeutische-zeitung.de. 18. Februar 2014, abgerufen am 16. März 2024.