Pseudomyxoma peritonei

Klassifikation nach ICD-10
C78.6 Sekundäre bösartige Neubildung des Retroperitoneums und des Peritoneums
{{{02-BEZEICHNUNG}}}
{{{03-BEZEICHNUNG}}}
{{{04-BEZEICHNUNG}}}
{{{05-BEZEICHNUNG}}}
{{{06-BEZEICHNUNG}}}
{{{07-BEZEICHNUNG}}}
{{{08-BEZEICHNUNG}}}
{{{09-BEZEICHNUNG}}}
{{{10-BEZEICHNUNG}}}
{{{11-BEZEICHNUNG}}}
{{{12-BEZEICHNUNG}}}
{{{13-BEZEICHNUNG}}}
{{{14-BEZEICHNUNG}}}
{{{15-BEZEICHNUNG}}}
{{{16-BEZEICHNUNG}}}
{{{17-BEZEICHNUNG}}}
{{{18-BEZEICHNUNG}}}
{{{19-BEZEICHNUNG}}}
{{{20-BEZEICHNUNG}}}
Vorlage:Infobox ICD/Wartung {{{21BEZEICHNUNG}}}
ICD-10 online (WHO-Version 2019)
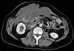
Pseudomyxoma peritonei in der Computertomographie: ausgedehnte hypodense Massen zwischen den Darmschlingen

Als Pseudomyxoma peritonei (PMP, Syn.: Gallertkarzinom, Gallertcarcinom, Gallertbauch) wird eine massive tumorzellarme Schleimbildung im gesamten Intraperitonealraum (Bauchhöhle) bezeichnet. Es ist ein sehr langsam fortschreitendes Krankheitsbild mit Tumorbildung auf dem Peritoneum (Bauchfell) und am Omentum und einhergehend mit großen Mengen von schleimigem (muzinösem) Aszites (Bauchwassersucht),[1] das schließlich den kompletten Bauchraum füllt.

Das Pseudomyxoma peritonei ist sehr selten. Es wird bei nur etwa einer von etwa 5.000 Laparatomien (Bauchschnitt) gefunden.[1] In der medizinischen Literatur wird eine Häufigkeit von etwa einer Erkrankung auf 1,4 Millionen Einwohner pro Jahr angegeben.[2]

Ätiologie

Es handelt sich um ein klinisches Syndrom, d. h., mehrere Erkrankungen können sich dahinter verbergen.[3] Als ursächlich für ein Pseudomyxoma peritonei werden Ruptur, Leck und Metastasierung eines intraperitonealen muzinösen Neoplasmas angesehen. Der Ursprung des Tumors ist seit Jahren umstritten, Blinddarm (Appendix) und Eierstock (Ovar) werden diskutiert.[1] Dabei kommen jedoch auch gutartige Erkrankungen dieser Organe, wie eine Mukozele der Appendix vermiformis oder Pseudomuzinkystome der Eierstöcke in Betracht.

Symptomatik

Die häufigsten Symptome sind Auftreibung des Bauches und Schmerzen. Weitere mögliche Symptome sind Übelkeit, Erbrechen, Harnwegsbeschwerden, Mattigkeit sowie Gewebsmassen im Hodensack oder Leistenkanal.[1] Letztlich können dann auch Leistenbrüche entstehen, die mit der Gallerte gefüllt sind. Wenn die Schleimmassen in großen Mengen vorliegen, wird das Zwerchfell nach oben gedrückt, sodass das Atmen schwererfällt.[2]

Diagnostik

Im Ultraschallbild (Sonografie) zeigt sich eine echofreie, intraperitoneale, schleimige Masse in der gesamten Bauchhöhle und zwischen den Darmschlingen, in die charakteristische, zarte, streifige Reflexe eingelagert sind. Die Gallerte ist beweglich und verformbar, reagiert aber träger als ein klassischer Aszites. Aufgrund der Zähflüssigkeit zeigen sich groteske, tumorartige Formen.[4] Eine Computertomographie zeigt die Ausdehnung des Pseudomyxoms. In Abhängigkeit von der Ausdehnung sind eventuell zusätzlich endoskopische Untersuchungen von Magen oder Dickdarm, wie Darm- und Magenspiegelung, urologische Untersuchungen oder auch Untersuchungen von Herz und Lunge sowie Blutentnahmen nötig.[2] Als entscheidendes diagnostisches Merkmal gilt die extrazelluläre Schleimproduktion in der Bauchhöhle.[1]

Therapie

Eine Operation mit dem Ziel, das Pseudomyxom so weit wie möglich aus der Bauchhöhle zu entfernen, galt lange Zeit als einzige Therapieoption. Häufig werden dabei auch Organanteile entfernt (z. B. Abschnitte des Dünn- oder Dickdarms, Magen(teil)entfernung, Entfernung der Gallenblase, Entfernung der Milz, des großen Netzes u. a.).[2] Oft bleiben dabei Pseudomyxomzellen zurück, wodurch es zu erneutem Tumorwachstum (Rezidiv) und Nachoperationen unter erschwerten Bedingungen (z. B. durch narbige Verwachsungen) kommt.[1][2]

Eine Chemotherapie über die Blutbahn scheint beim Pseudomyxoma peritonei keinen besonderen Nutzen zu haben.[2]

Im Jahre 1999 konnte Paul Sugarbaker vom Washington Cancer Institut mit seiner Arbeit an 385 Patienten nachweisen, dass zytoreduktive Chirurgie in Kombination mit einer hyperthermen intraoperativen intraperitonealen Chemotherapie aktuell die besten Resultate in der Behandlung des Pseudomyxoms erzielt. Mit diesem Verfahren leben fünf Jahre nach der Behandlung noch 86 % aller Patienten.[5] Diese Ergebnisse wurden 2001 und 2004 von anderen Wissenschaftlern bestätigt.[6][7]

Prognose

Wiederholtes Rezidiv nach Operationen bei Pseudomyxoma peritonei mit Ausdehnung der multipel septierten zystoiden hypodensen (myxoiden) Raumforderungen bis in die Bauchwand.

Die Prognose hängt einerseits von der operativ entfernten Tumormasse ab und andererseits von der Malignität (Bösartigkeit) der Tumorzellen. Sugarbaker gibt die 5-Jahres-Überlebensrate bei einer kompletten Pseudomyxomentfernung mit ca. 80 Prozent und ohne komplette Entfernung mit ca. 20 Prozent an.[8] Andere Autoren beschreiben unter dem Blickwinkel der Malignität 5-Jahres-Überlebensraten zwischen ca. 30 Prozent für den hoch aggressiven ("high grade") Tumor und nahezu 100 Prozent für den wenig aggressiven ("low grade") Tumor.[9]

Geschichte

Das Krankheitsbild wurde 1842 zuerst vom Pathologen Carl von Rokitansky beschrieben. Der Begriff Pseudomyxoma peritonei geht jedoch auf den deutschen Gynäkologen Richard Werth zurück, der diesen 1884 erstmals publizierte.[10][11]

Literatur

  • Wim P. Ceelen (Hrsg.): Peritoneal Carcinomatosis: A Multidisciplinary Approach. 1. Auflage. Springer, Berlin 2007, ISBN 978-0-387-48991-9.
  • Carlos Thomas (Hrsg.): Spezielle Pathologie. Schattauer, 1996, ISBN 3-7945-2110-2 (eingeschränkte Vorschau in der Google-Buchsuche).
  • Stefan Feuerbach: Handbuch diagnostische Radiologie: Gastrointestinales System. Springer, 2007, ISBN 3-540-68472-7 (eingeschränkte Vorschau in der Google-Buchsuche).
  • Michael Gnant, Peter M. Schlag (Hrsg.): Chirurgische Onkologie: Strategien und Standards für die Praxis. Springer, 2008, ISBN 3-211-48612-7 (eingeschränkte Vorschau in der Google-Buchsuche).
  • Werner Böcker, Helmut Denk, Philipp U. Heitz, Holger Moch: Pathologie. Elsevier,Urban und Fischer, 2008, ISBN 3-437-42382-7 (eingeschränkte Vorschau in der Google-Buchsuche).
  • Theodor Junginger, P. Hermanek, M. Klimpfinger: Klassifikation maligner Tumoren des Gastrointestinaltrakts I. Springer, 2002, ISBN 3-540-42809-7 (eingeschränkte Vorschau in der Google-Buchsuche).
  • Jörg Baltzer, Klaus Friese, Michael Graf, Friedrich Wolff (Hrsg.): Praxis der Gynäkologie und Geburtshilfe: Das komplette Praxiswissen in einem Band. Georg Thieme, 2006, ISBN 3-13-144261-1 (eingeschränkte Vorschau in der Google-Buchsuche).
  • Klaus Diedrich, Wolfgang Holzgreve (Hrsg.): Gynäkologie und Geburtshilfe. Springer, 2006, ISBN 3-540-32867-X (eingeschränkte Vorschau in der Google-Buchsuche).
  • Vincent T. DeVita, Theodore S. Lawrence, Steven A. Rosenberg, Robert A Weinberg, Ronald A. DePinho: DeVita, Hellman, and Rosenberg’s cancer: principles & practice of oncology, Band 1 Cancer: Principles and Practice. Lippincott Williams and Wilkins, 2008, ISBN 0-7817-7207-9 (eingeschränkte Vorschau in der Google-Buchsuche).

Einzelnachweise

  1. a b c d e f Eintrag zu Pseudomyxoma peritonei. In: Orphanet (Datenbank für seltene Krankheiten)
  2. a b c d e f Informationen zum Pseudomyxoma peritonei auf der Website des Kantonsspitals St. Gallen
  3. Pseudomyxoma peritonei, Gallertkarzinom, Gallertcarcinom (Memento vom 9. Februar 2007 im Internet Archive) von Herwart Müller
  4. Manfred Groß (Hrsg.): Sonographie: Schritt für Schritt zur Diagnose. 1. Auflage. Elsevier, München 2006, ISBN 3-437-23630-X.
  5. P. H. Sugarbaker, D. Chang: Results of treatment of 385 patients with peritoneal surface spread of appendiceal malignancy. In: Annals of Surgical Oncology 8 (1999), S. 727–731, PMID 10622499.
  6. A. J. Witkamp, E. de Bree, M. M. Kaag, G. W. van Slooten, F. van Coevorden, F. A. Zoetmulder: Extensive surgical cytoreduction and intraoperative hyperthermic intraperitoneal chemotherapy in patients with pseudomyxoma peritonei. In: British Journal of Surgery 88 (2001), S. 458–463, PMID 11260116
  7. M. Deraco, D. Baratti, M. G. Inglese, B. Allaria, S. Andreola, C. Gavazzi, S. Kusamura: Peritonectomy and intraperitoneal hyperthermic perfusion (IPHP): a strategy that has confirmed its efficacy in patients with pseudomyxoma peritonei. In: Annals of Surgical Oncology. 11 (2004), S. 393–398, PMID 15070599
  8. P. H. Sugarbaker: New standard of care for appendiceal epithelial neoplasms and pseudomyxoma peritonei syndrome? In: Lancet Oncology. 7 (2006), S. 69–76, PMID 16389186
  9. R. Loungnarath, S. Causeret, N. Bossard, M. Faheez, A. C. Sayag-Beaujard, C. Brigand, F. Gilly, O. Glehen: Cytoreductive surgery with intraperitoneal chemohyperthermia for the treatment of pseudomyxoma peritonei: a prospective study. In: Dis Colon Rectum. 48 (2005), S. 1372–1379, PMID 15909071
  10. Jonathan A. Ledermann, William J. Hoskins, Stanley B. Kaye: Clinical management of ovarian cancer. Informa Health Care, 2001, ISBN 1-85317-704-0 (eingeschränkte Vorschau in der Google-Buchsuche).
  11. Richard Werth: Pseudomyxoma Peritonei. In: Archiv für Gynäkologie. Band 24. August Hirschwald, Berlin 1884, S. 100 ff. (eingeschränkte Vorschau in der Google-Buchsuche).