Radioulnare Synostose
| Klassifikation nach ICD-10 | |
|---|---|
| Q74.0 | Sonstige angeborene Fehlbildungen der oberen Extremität(en) und des Schultergürtels
Inkl.: Akzessorische Handwurzelknochen Angeborene Pseudoarthrose der Klavikula Dysostosis cleidocranialis Madelung-Deformität Makrodaktylie (Finger) Sprengel-Deformität Synostosis radioulnaris Triphalangie des Daumens |
| ICD-10 online (WHO-Version 2019) | |
Eine Radioulnare Synostose (lat. Synostosis radioulnaris) bedeutet eine knöcherne Verbindung zwischen Radius (Speiche) und Ulna (Elle) knapp unterhalb des Ellenbogengelenkes. Eine Umwendbewegung ist dadurch nicht möglich.[1][2]


Einteilung
Folgende Einteilung ist gebräuchlich:[2]
- erworben
- angeboren
- idiopathisch (nicht syndromal)
- im Rahmen von Syndromen (syndromal)
Erworbene Form
Nach Verletzungen am Radiuskopf kommt es gehäuft zur erworbenen posttraumatischen Form der Synostose.[3] Einzelheiten zu dieser erworbenen Form finden sich unter Radiuskopfbruch.
Idiopathische Form
Bei der angeborenen (kongenitalen) Form fehlt meist der Radiuskopf, in 60 % tritt die Veränderung beidseits auf.[4]
Zumindest teilweise liegen dieser auch als Radioulnare Fusion bezeichneten Form Mutationen im SMAD6-Gen auf 15q22.31 zugrunde.[5] Es kommt zu einer Störung der Segmentierung von Radius und Ulna während der Embryonalentwicklung.[6]
Dabei können zwei Typen unterschieden werden:
- Typ 1 mit proximaler Fusion über 2 bis 6 cm zwischen Radius und Ulna bei fehlendem Radiuskopf
- Typ 2 mit Fusion knapp distal der proximalen Radiusepiphyse bei bestehender Radiuskkopfluxation.[7]
Auf jeden Fall ist der Vorderarm in einer Pronationsstellung weitgehend fixiert, bei Typ 2 ist auch die Streckbarkeit im Ellenbogen eingeschränkt.[5]
Syndromale Formen
Die Veränderung ist bei folgenden Syndromen zu finden:[8]
- Aase-Syndrom
- Apert-Syndrom
- Cenani-Lenz-Syndaktylie
- Cornelia-de-Lange-Syndrom
- Holt-Oram-Syndrom
- Kampomele Dysplasie
- Klinefelter-Syndrom (fakultativ)
- Nager-Syndrom
- Nievergelt-Syndrom
- Radioulnar-Synostose – amegakaryozytische Thrombozytopenie, autosomal-dominant, Mutationen im HOXA11-Gen auf 7p15.2[9]
- Williams-Beuren-Syndrom (fakultativ)[3]
- WT-Syndrom
- XYY-Syndrom
- 48,XXXY-Syndrom[10]
Klinik
Die fehlende Beweglichkeit ist bei der kongenitalen Form bereits nach der Geburt auffällig. Beschwerden bestehen keine. Je nach fixierter Stellung kann es zu Funktionseinschränkungen z. B. beim Schreiben und bei der Hygiene kommen. Durch vermehrte Schulter- und Ellenbogenbewegung kann die Rotationseinschränkung weitgehend kompensiert werden.[11]
Die Veränderung ist assoziiert zu finden bei:
- Aase-Syndrom
- Nager-Syndrom
- Nievergelt-Syndrom
- WT-Syndrom[12]
- Kampomele Dysplasie
- Klinefelter-Syndrom (fakultativ)
- Williams-Beuren-Syndrom (fakultativ)[3]
- XYY-Syndrom
Diagnostik
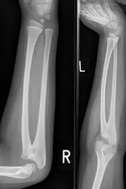
Ein Röntgenbild bestätigt die Diagnose aufgrund der typischen Fehlstellung des proximalen Radius, nicht abgrenzbarem Radiuskopf und Nachweis der Synostosierung.
Differentialdiagnose
Abzugrenzen ist die Ellbogenaplasie, eine Humeroradioulnare Synostose und die Kongenitale Radiuskopfluxation.
Behandlung
Eine kausale Therapie ist nicht möglich: eine operative Trennung ist bislang nicht erfolgreich gewesen.[4] Ein operativer Eingriff im Sinne einer Derotations-Osteotomie ist sinnvoll bei zu ausgeprägter Pronation. Schreibhand in leichter Pronation, Gegenhand in Neutralstellung oder leichter Supination[4] Die OP sollte im Alter zwischen 8 und 10 Jahren in Unterarmmitte erfolgen.[3]
Literatur
- K. Yammine, A. Salon, J. C. Pouliquen: Congenital radioulnar synostosis. Study of a series of 37 children and adolescents. In: Chirurgie de la main. Band 17, Nummer 4, 1998, S. 300–308, ISSN 1297-3203. PMID 10855298.
Einzelnachweise
- ↑ Pschyrembel online
- ↑ a b emedicine
- ↑ a b c d F. Hefti: Kinderorthopädie in der Praxis. Springer 1998, ISBN 3-540-61480-X.
- ↑ a b c J. E. Cleary, G. E. Omer: Congenital proximal radio-ulnar synostosis. Natural history and functional assessment. In: The Journal of bone and joint surgery. American volume. Band 67, Nummer 4, April 1985, S. 539–545, ISSN 0021-9355. PMID 3980498.
- ↑ a b Radioulnar synostosis, nonsyndromic. In: Online Mendelian Inheritance in Man. (englisch)
- ↑ Eintrag zu Radio-ulnare Synostose, isolierte kongenitale. In: Orphanet (Datenbank für seltene Krankheiten)
- ↑ M. Bauer, K. Jonsson: Congenital radioulnar synostosis. Radiological characteristics and hand function: case reports. In: Scandinavian journal of plastic and reconstructive surgery and hand surgery. Band 22, Nummer 3, 1988, S. 251–255, doi:10.3109/02844318809097955, PMID 3252456.
- ↑ Bernfried Leiber (Begründer): Die klinischen Syndrome. Syndrome, Sequenzen und Symptomenkomplexe. Hrsg.: G. Burg, J. Kunze, D. Pongratz, P. G. Scheurlen, A. Schinzel, J. Spranger. 7., völlig neu bearb. Auflage. Band 2: Symptome. Urban & Schwarzenberg, München u. a. 1990, ISBN 3-541-01727-9.
- ↑ Radioulnar synostosis with amegakaryocytic thrombocytopenia 1. In: Online Mendelian Inheritance in Man. (englisch)
- ↑ Eintrag zu 48,XXXY-Syndrom. In: Orphanet (Datenbank für seltene Krankheiten)
- ↑ Lexikon-orthopädie
- ↑ B. Leiber: Die klinischen Syndrome. Syndrome, Sequenzen und Symptomenkomplexe. Herausgegeben von G. Burg, J. Kunze, D. Pongratz, P. G. Scheurlen, A. Schinzel, J. Spranger, 7. Auflage. Urban & Schwarzenberg, 1990, ISBN 3-541-01727-9.