Situs inversus
| Klassifikation nach ICD-10 | |
|---|---|
| Q89.3 | Situs inversus |
| ICD-10 online (WHO-Version 2019) | |
| Klassifikation nach ICD-11 | |
|---|---|
| LA82 | Situs inversus |
| ICD-11: Englisch • Deutsch (Entwurf) | |
Situs inversus (lat. invertierte Lage) ist der medizinische Ausdruck für das Vollbild einer Heterotaxie, eine seltene, an sich nicht krankhafte Besonderheit der Anatomie, bei der sich die einzelnen Organe spiegelverkehrt jeweils auf der anderen Seite des Körpers befinden. Das Antonym ist der Situs solitus, also die normgerechte Position der Organe im Körper.[1] Synonyme des Situs inversus sind: Inversio viscerum,[2] Situs inversus viscerum, Situs inversus totalis, Situs perversus, Situs transversus, Situs rarior,[3] Situs transversus viscerum,[4] Situs oppositus, Situs inversus completus.
Beim Situs inversus partialis sind nur entweder die Thoraxorgane (also die Herzhälften und die Lungenflügel) oder die Bauchorgane spiegelbildlich quer vertauscht. Beim Situs inversus incompletus besteht keine Dextrokardie. Beim seltenen Situs inversus viscerum specularis ist nur einer von beiden eineiigen Zwillingen betroffen.[5]
Der Situs ambiguus bildet einen dritten Typ des Organsitus, also weder Situs inversus noch Situs solitus.
Alle diese Lagebezeichnungen sind nicht in den offiziellen Listen der medizinischen Nomenklatur enthalten.
In Analogie zur Chemie spricht man beim Situs inversus auch von einer Chiralität der inneren Organe. Bei keinem höheren Lebewesen führt eine Drehspiegelung zur Selbstabbildung, wohl aber eine Achsenspiegelung. Diese Lebewesen sind asymmetrisch aufgebaut. Die betroffenen Zwillinge, von denen einer einen Situs inversus viscerum specularis hat, könnten dagegen durch eine Drehspiegelung, nicht aber durch eine Achsenspiegelung, mit dem jeweils anderen Geschwister (wie die zueinander symmetrischen Hände, Füße oder Ohren eines Menschen) zur Deckung gebracht werden.
Situs inversus bei Menschen


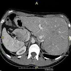
Der Situs inversus (viscerum) tritt bei etwa einem von 8.000 bis 25.000 Menschen und bei der Hälfte der Menschen mit primärer ciliärer Dyskinesie (Kartagener-Syndrom) auf.[6] Bei Menschen mit dieser Heterotaxie befindet sich die Leber beispielsweise auf der linken und im Gegensatz dazu die Milz auf der rechten Seite. Ein auffälliger Anstieg von Fällen wurde einige Monate nach der Aufhebung der Zero-COVID-19-Politik in China beobachtet, was mit einem Anstieg von SARS-CoV-2-Infektionen zusammenfiel. Seltene klinische Hinweise zeigen eine mögliche Folge einer SARS-CoV-2-Infektion bei Schwangeren, speziell in den Schwangerschaftswochen 4–6, dem Entwicklungszeitraum für die Organe des Fötus.[7]
Medizinische Besonderheiten
Um eine Appendizitis (Blinddarmentzündung) nicht zu übersehen, muss bei Schmerzen im linken Unterbauch auch an die Möglichkeit eines Situs inversus gedacht werden.
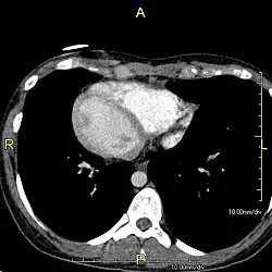
Entsprechend der spiegelverkehrten Lage des Herzens (Dextrokardie, gr. dexios = „rechts“, kardia = „Herz“) müssen die Ableitungen des EKGs angepasst werden; es müssen u. a. in den Brustwandableitungen die Elektroden spiegelbildlich zu Situs-solitus-Patienten am Brustkorb befestigt werden.[8][9][10] Differentialdiagnostisch muss an Verpolungen gedacht werden.[11] Bei einigen Menschen mit Pätau-Syndrom (Trisomie 13) liegt eine Dextrokardie vor, während die übrigen Organe wie üblich angelegt sind. Diese spiegelbildliche Rechtsverlagerung nur des Herzens heißt auch Situs inversus cordis.[12][13] In der Kardiologie unterscheidet man fünf verschiedene Formen einer Malposition des Herzens: Dextrokardie beim Situs solitus, Lävokardie beim Situs inversus, eine Mesokardie mit mittelständigem Herz, eine Dextroposition oder eine Lävoposition bei extrakardialer Ursache und eine Ectopia cordis. Auch ist beim Betrachten eines Röntgen-Thorax-Bildes an eine Dextrokardie oder an eine Rechts-links-Verwechslung zu denken.
Auch bei einigen Fällen der infantilen Nephronophthise kommt es zum Situs inversus als folge einer genetischen Mutation des Gens für die Rechts-links-Orientierung.[14] Auch bei der Chondrodystrophia fetalis kann es zum Situs inversus kommen.[15]
Situs inversus bei Tieren
Weinbergschnecken haben normalerweise rechtsgängige Schneckenhäuser. Die Häufigkeit linksgängiger Weinbergschnecken wird auf etwa 1:10.000 bis 1:1.000.000 geschätzt.[16][17] Bei solchen Tieren, die als Schneckenkönige bezeichnet werden, sind auch sämtliche Organe (z. B. Herz, Atem- und Geschlechtsöffnung) seitenvertauscht.
Ursache hierfür ist bei der Wanderschnecke (Lymnaea peregra) ein maternaler Faktor, das Dextral-Protein. Dieses Protein bestimmt die Schlagrichtung der Cilien in der Morphogenese – Wachstumsfaktoren werden von den Cilien verteilt und bestimmen so, wie sich das Gehäuse ausprägt. Da es ein maternaler Faktor ist, kann das Dextral-Protein in die Oocyte eingelagert werden und so auch bei homozygot-rezessiven Nachkommen für eine normale Entwicklung sorgen.
Einzelnachweise
- ↑ Maxim Zetkin, Herbert Schaldach (Hrsg.): Lexikon der Medizin. 16. Auflage. Ullstein Medical, Wiesbaden 1999, ISBN 3-86126-126-X, S. 1859.
- ↑ Duden: Das Wörterbuch medizinischer Fachausdrücke. 4. Auflage. Bibliographisches Institut, Mannheim/ Wien/ Zürich 1985, ISBN 3-411-02426-7, S. 634.
- ↑ Günter Thiele (Hrsg.): Handlexikon der Medizin. Band 4: S–Z. Urban & Schwarzenberg, München/ Wien/ Baltimore ohne Jahr, S. 2259.
- ↑ Otto Dornblüth: Wörterbuch der klinischen Kunstausdrücke. 1. Auflage. Verlag von Veit & Comp., Leipzig 1896, S. 122.
- ↑ L. Gedda u. a.: Situs viscerum specularis in monozygotic twins. In: Acta Genet Med Gemellol (Roma). Band 33 (1), 1984, S. 81–85.
- ↑ Walter Siegenthaler u. a. (Hrsg.): Lehrbuch der inneren Medizin. 3. Auflage. Georg Thieme Verlag, Stuttgart/ New York 1992, ISBN 3-13-624303-X, S. 251.
- ↑ Guo, Zhenming; Luo, Yingchun; Bi, Yan; Liu, Liangjie; Qi, Yuan: Association between situs inversus and maternal SARS-CoV-2 infection at gestational age 4–6 weeks. In: Med. 5. Jahrgang, Nr. 11, November 2024, S. 1433–1441.e3, doi:10.1016/j.medj.2024.07.009 (englisch, elsevier.com).
- ↑ Rainer Klinge: Das Elektrokardiogramm. 5. Auflage. Georg Thieme Verlag, Stuttgart/ New York 1987, ISBN 3-13-554005-7, S. 268–270.
- ↑ Hans Hermann Börger: EKG-Information. 5. Auflage. Steinkopff Verlag, Darmstadt 1987, ISBN 3-7985-0710-4, S. 67.
- ↑ Cook-Sup So: EKG-Atlas. Echo-Verlag, Köln 1987, ISBN 3-926518-05-7, S. 204 f.
- ↑ Egbert Nusser u. a.: Differentialdiagnostik des EKG. 1. Auflage. Schattauer Verlag, Stuttgart/ New York 1977, ISBN 3-7945-0497-6, S. 78.
- ↑ Hexal Taschenlexikon Medizin. 2. Auflage. Urban & Fischer, München/ Jena 2000, ISBN 3-437-15010-3, S. 724.
- ↑ Georg Csapo: Konventionelle und intrakardiale Elektrokardiographie. 4. Auflage. Documenta Geigy, Wehr (Baden) 1980, S. 75.
- ↑ Harrisons Innere Medizin. 18. Auflage. Band 3, McGraw-Hill, Berlin 2012, ISBN 978-3-940615-20-6, S. 2553.
- ↑ Georg-Winfried Schmidt: Leitfaden der Säuglings- und Kinderheilkunde. (= Medizin von heute. Band 12). 5. Auflage. Tropon-Werke, Köln 1981, S. 171.
- ↑ Körperbau der Weinbergschnecken
- ↑ Informationen zum Schneckenkönig
Weblinks
- Christoph Drösser: Am rechten Fleck. In: Zeit online. 8. Juni 2006. (zeit.de)