Spinale Stenose
| Klassifikation nach ICD-10 | |
|---|---|
| M48.0 | Spinal(kanal)stenose (inkl.: Lumbale Spinal(kanal)stenose) |
| M99.3 | knöcherne Stenose (inkl.: Verengung des Spinalkanals) |
| M99.4 | Bindegewebe Stenose (inkl.: Verengung des Spinalkanals) |
| ICD-10 online (WHO-Version 2019) | |
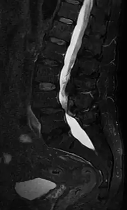
Der Begriff der Spinalen Stenose (Spinalkanalstenose oder Spinalstenose) bezeichnet eine Verengung des Wirbelkanales. Sie tritt häufiger bei älteren Menschen auf. Betroffen ist meist die Lendenwirbelsäule oder die Halswirbelsäule, seltener die Brustwirbelsäule.
Geschichte
Obwohl bereits 1803 der französische Arzt Antoine Portal die Einengung des Spinalkanals als Krankheitsentität beschrieb und bereits 1853 der französische Neurologe Joseph Jules Dejerine die Theorie der Ischämie als Ursache der eingeschränkten Gehstrecke beschrieb, dauerte es bis 1976, als eine Gruppe US-amerikanischer Ärzte den Begriff der Spinalkanalstenose abgrenzte und als eigenständiges Krankheitsbild definierte. Erst 1996 wurde die Spinalkanalstenose durch eine Übersichtsarbeit von Klaus-Peter Schulitz im Deutschen Ärzteblatt im deutschsprachigen Bereich als eigenständige Krankheit etabliert.[1]
Ursachen
Durch den aufrechten Gang des Menschen ist die untere Lendenwirbelsäule mechanisch hoch belastet. Degenerative Veränderungen sind alters- und belastungsabhängig und in leichten Ausprägungen weit verbreitet.
Im Rahmen des normalen Alterungsprozesses verlieren die Bandscheiben an Höhe und es kommt zur Osteochondrosis intervertebralis: einerseits zu Vorwölbungen der Bandscheibe, andererseits zu knöchernen Ausziehungen an den Wirbelkörpern (Spondylophyten). Weiter entstehen Arthrosen der kleinen Wirbelbogengelenke (Spondylarthrosen). Diese Kombination lässt eine sanduhrförmige Einengung des Spinalkanals entstehen.
Es gibt bei seltenen angeborenen Erkrankungen frühzeitig auftretende Spinalkanalstenosen, z. B. bei der Akrodysostose.
Klinisches Bild und Diagnose

Mit der Alterszunahme der Bevölkerung gewinnt das Problem der symptomatischen Degeneration an Hals- und Lendenwirbelsäule stark an Bedeutung. Etwa 80 % aller Menschen in den industrialisierten Ländern leiden im Laufe ihres Lebens an akuten oder chronischen Rückenbeschwerden.
Das Leitsymptom der lumbalen Spinalkanalstenose sind Schmerzen in den Beinen und im Rücken, die belastungsabhängig sind und häufig beim Gehen oder Stehen auftreten und sich bessern, wenn man sich hinsetzt oder den Oberkörper vorbeugt. Auch Krämpfe in den Beinen können auftreten. Eine nach vorne gebeugte Körperhaltung und eine eingeschränkte Gehstrecke können auf eine lumbale Spinalkanalstenose hindeuten, vielfach fehlt dies jedoch. Die Gehstrecke mancher Patienten kann auf 100 m eingeschränkt sein. Diese Schonhaltung wird eingenommen, da der Spinalkanal durch das Beugen relativ weiter wird und die Reizung der Nervenstrukturen vermindert. Der damit einhergehende Befund ist die sog. Claudicatio intermittens spinalis, die von der Schaufensterkrankheit abgegrenzt werden muss, die auf eine periphere arterielle Verschlusskrankheit hinweist. Während es bei der arteriellen Verschlusskrankheit ausreicht, stehen zu bleiben, führt bei der lumbalen Spinalstenose nur Hinsetzen oder Vorbeugen zur Entlastung. Entsprechend ist oft Fahrradfahren nicht eingeschränkt.
Die Stenose kann fortschreiten. Nach einigen Jahren kommt es jedoch meist zu keiner Verschlechterung mehr. Neurologische Ausfälle sind selten. Die Ursache dieser Symptomatik ist eine Einengung des im Spinalkanal laufenden Spinalnerven.[2]
Die Diagnose kann durch bildgebende Verfahren wie Computertomographie (CT), Magnetresonanztomographie (MRT) oder Myelographie bestätigt werden.[3] Eine radiologisch gesicherte spinale Stenose erlaubt keine Aussage über das Ausmaß der Schmerzen.[4]
Therapie
Konservative Therapie
Bei der Spinalkanalstenose wird grundsätzlich nur der symptomatische Patient behandelt, ein pathologischer radiologischer Befund stellt alleine keine Behandlungsindikation dar. Verschiedene konservative Maßnahmen werden verfolgt, denen das Ziel gemeinsam ist, eine Verbesserung der Schmerzsymptomatik und eine Verlängerung der Gehstrecke der Patienten herbeizuführen. Dies soll erreicht werden durch eine Entlastung und Stabilisierung der betroffenen Wirbelsegmente und durch die Förderung der allgemeinen körperlichen Leistungsfähigkeit. Eine Kombination aus medikamentösen, krankengymnastischen und physikalischen Strategien wird als multimodales Therapiekonzept bezeichnet.[5]
Die medikamentöse Behandlung stellt die Verabreichung von Analgetika (abhängig vom Schweregrad werden nicht-steroidale Antirheumatika NSAR oder ggf. Opioide verabreicht) und entzündungshemmenden Mitteln sowie von Muskelrelaxanzien dar. Auch Kortison und Vitamin-B-Präparate werden angewendet. Ebenfalls werden epidurale Injektionen mit Lokalanästhetika und Steroiden empfohlen. Die physiotherapeutischen Strategien beinhalten unter anderem Flexionsübungen, Trainingstherapie zur Stärkung der Bauch- und Rückenmuskulatur sowie Laufband- und Ergonomietraining. Die physikalischen Maßnahmen beinhalten die Anwendung eines Stützkorsetts zur Haltungskorrektur oder die Wärmebehandlung zur Lösung von Muskelverspannungen. Ebenfalls eingesetzt wird die Elektrotherapie, wie die transkutane Nervenstimulation (TENS).[3]
Je nach Krankheitsbild schlägt diese Behandlung jedoch nicht immer an. Die Wirksamkeit der Maßnahmen ist bislang weder bewiesen noch widerlegt, da sich nur wenige Studien mit der Effektivität einzelner Maßnahmen befasst haben.
Chirurgische Therapie
Indikationen für eine operative Behandlung sind beeinträchtigende Schmerzen, neurologische Defizite, eine erfolglose konservative Therapie über einen Zeitraum von mindestens drei Monaten sowie kongruente klinische und radiologische Befunde, die sich auf die bereits erwähnten bildgebenden Verfahren stützen. Mehrere Studien sprechen für eine Überlegenheit der operativen Therapie im Vergleich zur konservativen Therapie. Bei einer Studie aus dem Jahr 2007 zeigten im Schnitt nach chirurgischen Eingriffen 60 Prozent der Patienten eine signifikante Besserung der Symptomatik, während dieser Erfolg nach einer konservativen Therapie nur zu 25 Prozent eintritt.[3]
Eine Metastudie aus dem Jahr 2017 stellte in den ersten 6 Monaten nach dem Eingriff keine Besserung fest. Nach einem Jahr jedoch besserten sich die Beschwerden der operierten Patienten stärker als bei konservativer Behandlung. Allerdings war auch die Zahl der Komplikationen höher. Für die Bevorzugung einer besonderen operativen Methode lag keine Evidenz vor.[6]
Das Ziel der operativen Behandlung ist im Gegensatz zur konservativen Behandlung nicht lediglich auf die Linderung der Symptomatik, sondern auf die Beseitigung der Kompression gerichtet, um die Nervenwurzel zu entlasten.[3]
Es gibt verschiedene Operationsmethoden, die individuell vom Chirurgen und für den Patienten gewählt werden. Häufig werden mikrochirurgische Operationsmethoden eingesetzt. Diese unterteilen sich in reine Dekompressionsverfahren oder in Dekompressionsverfahren mit zusätzlichen stabilisierenden Maßnahmen (Fusionen, Spondylodese). Bei einer Dekompression von einem oder zwei Bewegungssegmenten zeigte eine große randomisierte Studie an der Lendenwirbelsäule keinen Vorteil einer zusätzlichen Fusion der Wirbelkörper.[7] Bei längerstreckigen Dekompressionen über drei oder mehr Bewegunsgssegmente, vor allem bei einer Laminektomie, wird wegen der Gefahr einer postoperativen Instabilität oftmals auch eine Fusion durchgeführt.
Die Dekompressionsmethoden werden weiterhin je nach Umfang der abgetragenen Segmentanteile in die interlaminäre Dekompression, die Laminotomie und die komplette Laminektomie untergliedert, bei welcher der Wirbelbogen einschließlich Dornfortsatz bis zur medialen Pedikelbegrenzung abgetragen wird.[8]
In seltenen Fällen kann es ausreichend sein, den verengten Wirbelkanal mithilfe von speziellen Implantaten, sogenannten Spreizern, zu erweitern.[9]
Der Zugang zum Wirbel erfolgt über einen Hautschnitt. Teile der Rückenmuskeln werden von der Wirbelsäule gelöst und ebenso wie die Haut zur Seite geschoben. Für die Knochenresektion kommen verschiedene Arten von Fräser zum Einsatz, zu nennen sind abwinkelbare Kugelkopffräser, atraumatische Mikrofräser, Normal- und Diamantfräser.[9] Hiermit wird Knochensubstanz abgetragen, bis der Zugang zum Spinalkanal freigelegt und die Dura dargestellt ist. Anschließend werden verdickte Bänder endoskopisch abgetragen und Knochenwucherungen seitlich weggefräst. Der Zugang zum Spinalkanal erfolgt meistens über die Bogenplatte des Wirbels, die sog. Lamina, auch dann, wenn die Verengung auf der gegenüberliegenden Seite im Bereich der Vertebra erfolgt. Dieser Teil der Operation, bei dem der Chirurg ohne direkte visuelle Kontrolle in den Knochen hineinfräst, birgt die größten Verletzungsrisiken, da die Dura nicht sichtbar ist und der Prozess beim Durchbrechen des Knochens nicht trägheitslos beendet werden kann. Dabei kommt es vor, dass der Fräser die Dura regelrecht zerfetzt und auch Nervenwurzeln beschädigt. Die Komplikationsrate dieser Operationen wird in der Literatur unterschiedlich angegeben und beträgt 5–18 Prozent.[8] Über die Häufigkeit von Duraverletzungen liegen keine gesicherten Angaben vor, zudem ist von einer hohen Dunkelziffer auszugehen. Nach einer Duraverletzung besteht das Risiko, dass sich im Verlauf ein Liquorkissen oder eine Liquorfistel entwickelt, was dann zu einer folgenschweren Meningitis führen kann.
Weiterführende Literatur
- Jeffrey N. Katz, Mitchel B. Harris: Lumbar Spinal Stenosis. New England Journal of Medicine 2008, Band 358, Ausgabe 8 vom 21. Februar 2008, Seiten 818–825.
- Klaus-Peter Schulitz, Peter Wehling, Josef Assheuer: Die lumbale Wirbelkanalstenose. Deutsches Ärzteblatt 1996, Band 93, Ausgabe 50 vom 13. Dezember 1996, Seiten A-3340 - A-3345
- Rolf Kalff, Christian Ewald, Albrecht Waschke, Lars Gobisch, Christof Hopf: Degenerative lumbale Spinalkanalstenose im höheren Lebensalter. Deutsches Ärzteblatt 2013, Band 110, Ausgabe 37 vom 13. September 2013, Seiten 613–624; DOI:10.3238/arztebl.2013.0613
Weblinks
Einzelnachweise
- ↑ Klaus-Peter Schulitz, Peter Wehling, Josef Assheuer: Die lumbale Wirbelkanalstenose. Deutsches Ärzteblatt 1996, Band 93, Ausgabe 50 vom 13. Dezember 1996, Seiten A-3340 - A-3345
- ↑ G. Antoniadis, E. Kast, H.-P. Richter: Die lumbale Spinalkanalstenose und ihre operative Behandlung. In: Der Nervenarzt. Band 69, Nr. 4, ISSN 0028-2804, S. 306–311, doi:10.1007/s001150050275.
- ↑ a b c d Thome, C., Die degenerative lumbale Spinalkanalstenose, Deutsches Ärzteblatt J. 105, Heft 20, S. 373–379, 2008
- ↑ A. J. Haig, H. C. Tong, K. S. Yamakawa, D. J. Quint, J. T. Hoff, A. Chiodo, J. A. Miner, V. R. Choksi, M. E. Geisser, C. M. Parres: Spinal stenosis, back pain, or no symptoms at all? A masked study comparing radiologic and electrodiagnostic diagnoses to the clinical impression. In: Arch Phys Med Rehabil. 2006 Jul;87(7), S. 897–903, PMID 16813774.
- ↑ Spinalkanalstenose: Therapie. In: Apotheken Umschau. Abgerufen am 5. Oktober 2016.
- ↑ Xin-Long Ma, Xing-Wen Zhao, Jian-Xiong Ma, Fei Li, Yin Wang: Effectiveness of surgery versus conservative treatment for lumbar spinal stenosis: A system review and meta-analysis of randomized controlled trials. In: International Journal of Surgery (London, England). Band 44, August 2017, ISSN 1743-9159, S. 329–338, doi:10.1016/j.ijsu.2017.07.032, PMID 28705591.
- ↑ Peter Försth, Gylfi Ólafsson, Thomas Carlsson, Anders Frost, Fredrik Borgström: A Randomized, Controlled Trial of Fusion Surgery for Lumbar Spinal Stenosis. In: New England Journal of Medicine. Band 374, Nr. 15, 14. April 2016, ISSN 0028-4793, S. 1413–1423, doi:10.1056/NEJMoa1513721, PMID 27074066.
- ↑ a b J. Krämer et al.: Orthopädie und Orthopädische Chirurgie, Kap. 11, Spinalkanalstenose, Georg Thieme Verlag, Berlin, 2004.
- ↑ a b S. Ruetten, M. Komp, P. Hahn, S. Oezdemir: Dekompression der lumbalen Rezessusstenose. In: Operative Orthopädie und Traumatologie. Band 25, Nr. 1, 1. Februar 2013, ISSN 0934-6694, S. 31–46, doi:10.1007/s00064-012-0195-2.