Sternberg-Riesenzelle

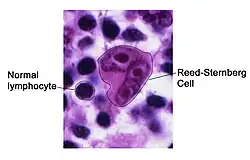
Sternberg- oder Sternberg-Reed-Riesenzellen (nach dem österreichischen Pathologen Carl Sternberg und der amerikanischen Kinderärztin Dorothy Reed Mendenhall) sind krankhaft veränderte B-Lymphozyten, die vor allem beim Hodgkin-Lymphom vorkommen. Sie entstehen durch Mitose ohne Trennung des Zellkörpers aus Hodgkin-Zellen.[1] Sternberg-Riesenzellen sind jedoch nicht beweisend für ein Hodgkin-Lymphom, sie können auch beim Non-Hodgkin-Lymphom, beim Pfeiffer-Drüsenfieber und auch bei Sarkomen und Karzinomen auftreten.[2] Die Diagnose des Hodgkin-Lymphoms basiert auf der Identifikation von Sternberg-Reed-Zellen vor einem Hintergrund von nicht-neoplastischen inflammatorischen Zellen. Eine Bestätigung der Sternberg-Reed-Zellen als solche kann mittels des charakteristischen immunohistochemischen Profils geschehen.[3]
Sternberg-Reed-Riesenzellen sind monoklonale B-Lymphozyten, die im Keimzentrum von Lymphknoten entstehen. In der klassischen Form besitzen sie zwei oder mehr Zellkerne und große, eosinophile Kernkörperchen. In den Zellen kommt es zu einer Neukombination von Immunglobulin-Genen. In der klassischen Form exprimieren sie einen Interleukin-2-Rezeptor (CD25), sowie die B-Lymphozytenantigene CD19 und CD20.[4]
Einzelnachweise
- ↑ Roche Lexikon Medizin. Elsevier Health Sciences, 2003, ISBN 978-3-437-15156-9, S. 1754.
- ↑ Donald W. Kufe et al.: Holland Frei Cancer Medicine. Band 8. Pmph USA, 2010, ISBN 978-1-60795-014-1, S. 1624.
- ↑ Robbins & Cotran: Pathologic Basis of Disease. 10. Auflage. Elsevier, 2021, ISBN 978-0-323-53113-9, S. 611 f.
- ↑ Wolfgang Piper: Innere Medizin. 2. Auflage. Springer, Berlin 2012, ISBN 978-3-642-33108-4, S. 683.