Sulcus centralis


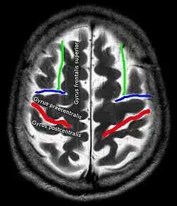
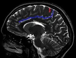
Sulcus centralis[1] (lat. für Zentralfurche) ist ein anatomischer Begriff und bezeichnet die beim Menschen und höheren Säugetieren vorhandene Furche, die den Frontal- und den Parietallappen der Großhirnrinde voneinander trennt. Die unmittelbar vor und hinter ihr liegenden Hirnwindungen heißen Gyrus praecentralis beziehungsweise Gyrus postcentralis. Der Sulcus centralis ist mit dem Interhemisphärenspalt verbunden und trennt den (frontal liegenden) Motorcortex vom (parietal liegenden) somatosensorischen Cortex.
Der Sulcus centralis wurde 1786 erstmals durch den französischen Neuroanatomen Vicq d'Azyr beschrieben.[2] Die Erstbeschreibung wurde jedoch später von François Leuret (1797–1851) irrtümlich dem italienischen Anatomen Luigi Rolando (1773–1831) zugeordnet. Seither wird der Sulcus centralis besonders im englischen und französischen Sprachraum als fissura Rolandi oder rolandic fissure bezeichnet. Die deutsche Entsprechung Rolando-Fissur gilt als veraltet.
Der Begriff „Zentralfurche“ wurde durch den deutschen Anatomen Emil Huschke (1797–1858) geprägt.[3]
Identifikation in der radiologischen Schnittbilddiagnostik
In der Computertomographie und Magnetresonanztomographie ist für die korrekte Lokalisation eines Befundes eine sichere Identifikation des Sulcus centralis oft einer der ersten Schritte. Hierfür haben sich in Abhängigkeit von der Schnittebene verschiedene Strategien etabliert.[4] Beispiele:
| Axial | Sagittal |
|---|---|
![]() |
![]() |
|
|
Einzelnachweise
- ↑ Federative Committee on Anatomical Terminology (1998). Terminologia Anatomica. Stuttgart: Thieme
- ↑ Félix Vicq d'Azyr: Traité d'anatomie et de physiologie, avec des planches coloriées représentant au naturel les divers organes de l'homme et des animaux. Didot l'Aîné, Paris 1786.
- ↑ Emil Huschke: Schädel, Hirn und Seele des Menschen und der Thiere nach Alter, Geschlecht und Race. Dargestellt nach neuen Methoden und Untersuchungen. Mauke, Jena 1854.
- ↑ Seminarunterlagen Neuroradiologie Uni München (PDF; 11 MB)

