TNM-Klassifikation

Die TNM-Klassifikation dient in der Medizin zur Einteilung (Klassifikation) von malignen Tumoren (bösartigen Krebserkrankungen) in Stadien. Die drei wichtigsten Kategorien des TNM-Systems entsprechen den drei Buchstaben:

Das TNM-System wurde von dem Franzosen Pierre Denoix in den Jahren 1943–1952 zur Stadienbestimmung von bösartigen Tumoren entwickelt und wird seit 1950 von der Union internationale contre le cancer (UICC) weitergeführt. Diese Facettenklassifikation hat sich in vielen Ländern durchgesetzt und wird unter anderem von Krebsregistern herangezogen. Sie basiert auf statistischen Untersuchungen, die Aussagen über das voraussichtliche Verhalten von Tumorerkrankungen zulassen (zum Beispiel, dass sich ab einer bestimmten Größe eines Tumors die Krankheitsprognose verschlechtert). Die Einstufung anhand des TNM-Systems erlaubt daher prognostische Aussagen und bestimmt häufig auch die weitere Therapie. Die TNM-Klassifikation wurde 2017 aktualisiert und in der 8. Auflage herausgebracht.

T (Tumor)

T bezeichnet die Ausdehnung des Primärtumors.

  • T0:
    • keine Anzeichen eines Primärtumors (die Angabe ist zum Beispiel sinnvoll, wenn ein Tumor nach neoadjuvanter Chemotherapie nicht mehr sichtbar ist)
    • oder der primäre Tumor ist unbekannt (CUP-Syndrom, cancer of unknown primary)
  • Tis/Ta: Tumoren, die die Basalmembran noch nicht infiltriert haben. Ihre Prognose ist im Allgemeinen günstig.
  • T1, 2, 3 oder 4: zunehmende Größe des Primärtumors oder Befall weiterer Gewebe. Das folgende Beispiel ist für den Brustkrebs gültig:
    • T1: größte Tumorausdehnung höchstens 2 cm
    • T2: größte Tumorausdehnung mehr als 2 cm, aber höchstens 5 cm
    • T3: größte Tumorausdehnung mehr als 5 cm
    • T4: Tumor jeder Größe mit direkter Ausdehnung auf die Brustwand oder Haut
  • TX: keine Aussage über den Primärtumor möglich.

Ta gibt es nur bei bestimmten Organen (Nierenbecken und Harnleiter, Harnblase, Harnröhre, Penis). Dort können Ta-Tumoren mit einer besseren Prognose als Tis-Tumoren verbunden sein.

N (Lymphknoten)

Tumorbefallener Lymphknoten bei einem Kolonkarzinom, also Stadium mindestens pN1

N (für lateinisch Nodus lymphaticus bzw. englisch Node = (Lymph)knoten) beschreibt das Vorhandensein bzw. das Fehlen von regionären Lymphknotenmetastasen.

  • N0: keine Anzeichen für Lymphknotenbefall.
  • N1, 2, 3: zunehmender Lymphknotenbefall abhängig von der Lokalisation des Primärtumors. Einteilung z. B. nach ipsi- oder kontralateralem Befall und Beweglichkeit sowie Lokalisation in Relation zum Primärtumor.
  • NX: keine Aussagen über Lymphknotenbefall möglich.

Da die Entdeckung von Lymphknotenbefall davon abhängt, wie intensiv nach dem Befall gesucht wird, muss in der Regel je nach Organsystem eine Mindestzahl von Lymphknoten (z. B. 12 beim Dickdarmkrebs) untersucht worden sein, um mit ausreichender Sicherheit sagen zu können, dass kein Befall in der entsprechenden Region vorliegt. Häufig wird die Angabe, wie viele Lymphknoten von wie viel untersuchten Lymphknoten befallen waren, der N-Kategorie hinten angefügt, z. B. N0 (0/13).

Zunehmend gibt es Tumoren (z. B. Mammakarzinom), bei denen es als ausreichend angesehen wird, nur den sogenannten Wächterlymphknoten (Sentinel Lymph Node) zu untersuchen. Das ist der erste Lymphknoten (manchmal auch mehr als einer), der die Lymphe aus dem Gebiet des Tumors aufnimmt. Finden sich in ihm keine Metastasen, so ist die Wahrscheinlichkeit, in den „nachgeschalteten“ Lymphknoten Metastasen zu finden, sehr gering. Umgekehrt müssen die nachgeschalteten Lymphknoten genau untersucht werden, wenn der Wächterlymphknoten befallen ist. Wurde dieses Verfahren angewendet, wird die pN-Kategorie durch (sn) gekennzeichnet, also z. B. pN0(sn) = histologisch keine Lymphknotenmetastasen, pN1(sn) = Befall des (der) Wächterlymphknoten.

M (Metastasen)

M bezeichnet das Vorhandensein bzw. das Fehlen von lymphogenen sowie hämatogenen Fernmetastasen. In der Regel ist die Klassifikation nur nach einem Staging möglich.

  • M0: keine Anzeichen für Fernmetastasen
  • M1: Fernmetastasen vorhanden

Die früher erlaubte Klassifikation MX (keine Aussage über Fernmetastasen möglich) wurde in der aktuellen Version der TNM-Klassifikation gestrichen. Wenn Pathologen nicht explizit eine Fernmetastase zur Untersuchung bekommen, also pM1 feststellen können, können sie keine Aussage zur Fernmetastasierung treffen und liefern z. B. nur die Aussage pT1pN0.

Ein pM0 ist im Allgemeinen nicht üblich, da man durch pathologisch-anatomische Untersuchung nur im Rahmen einer Obduktion Metastasen ausschließen kann. Ein M0 wird in der Regel nach Untersuchung der am häufigsten von Metastasen betroffenen Organe angenommen, wenn dabei nichts auffälliges festgestellt wird. Diese Untersuchungen sind je nach Krebsart unterschiedlich.

Zusätzlich kann die Lokalisation der Metastasen angegeben werden und dadurch die Lage der Tumormetastase spezifiziert werden. Dabei stehen die aus dem Englischen abgeleiteten Abkürzungen PUL für Lunge, OSS für Knochen, HEP für Leber, BRA für Gehirn, LYM für Lymphknoten, MAR für Knochenmark, PLE für Pleura, PER für Peritoneum (Bauchfell), ADR für Nebenniere, SKI für Haut und OTH für andere Lokalisationen. Als Beispiele seien hier angeführt:

C-Faktor

Die Zuverlässigkeit der Befundsicherung kann zusätzlich mit dem Deskriptor „C“ (engl.: certainty) hinter der jeweiligen TNM-Kategorie angegeben werden. Sie zeigt die Zuverlässigkeit der Diagnose an (verkürzte Definitionen):

  • C1: Allgemeine Untersuchungsmethoden, wie klinischer Untersuchungsbefund, Standard-Röntgenaufnahme etc.
  • C2: Spezielle Untersuchungsmethoden, z. B. spezielle bildgebende und endoskopische Verfahren, ggf. mit Biopsie und Zytologie
  • C3: Ergebnisse der chirurgischen Exploration, einschließlich Biopsie und Zytologie
  • C4: Erkenntnisse nach chirurgischem Eingriff und histopathologischer Untersuchung (im Wesentlichen gleichbedeutend mit der pTNM-Klassifikation)
  • C5: Erkenntnisse nach Autopsie

Die genauen Definitionen sind in der Originalquelle nachlesbar. Der Certainty-Faktor wird in der 8. Auflage des TNM-Systems nicht mehr beschrieben.

Klinische und pathologische Klassifikation

c-Symbol

Wird das Staging durch klinische Untersuchungen und kleinere Eingriffe ermittelt (entsprechend in etwa C1–C3, siehe oben), so spricht man von einem klinischen TNM (auch cTNM für c = clinical). Da dieses TNM in der Regel auch vor der Therapie bestimmt wird, wird es auch als prätherapeutisch bezeichnet.

p-Symbol

Ein Staging, das Erkenntnisse aus einem chirurgischen Eingriff und histopathologischen Untersuchungen berücksichtigt, wird als pTNM-Staging (pathologische Klassifikation, postoperative histopathologische Klassifikation) bezeichnet. Es entspricht im Wesentlichen dem C-Faktor 4. In der TNM-Klassifikation wird der jeweiligen Kategorie ein „p“ vorangestellt.

Beispiel: pT1pN0M0 kennzeichnet einen kleinen Primärtumor ohne Lymphknotenbefall und ohne Fernmetastasen, wobei Primärtumor und Lymphknoten pathologisch untersucht wurden, Fernmetastasen jedoch nur klinisch abgeklärt sind.

Entscheidend ist, dass der Untersuchungsumfang eine verlässliche Feststellung der höchsten Kategorie (z. B. T4) ermöglicht. Ein umfassender chirurgischer Eingriff ist hierfür nicht immer erforderlich. Beispiel: Wird im Rahmen einer Magenspiegelung durch eine Biopsie nachgewiesen, dass ein großer Dickdarmtumor in den Magen durchgebrochen ist, kann die Kategorie pT4 gesichert bestimmt werden – auch ohne vollständige Resektion des Tumors.

u-Symbol

Manchmal ist es üblich, ein uTNM (u für Ultraschall) anzugeben, wenn die Tumoreindringtiefe in die Wand der Speiseröhre, des Magens oder des Enddarms und eine evtl. Ausbreitung in benachbarten Lymphknoten mit Hilfe einer Endosonographie bestimmt wurde, z. B. uT2uN0. Dies entspricht der Zuverlässigkeitsklasse C2. Diese Notation wird aber durch das aktuelle Regelwerk nicht beschrieben und ist allenfalls eine Sonderform der klinischen Klassifikation.

a-Symbol

Wenn ein Tumor erst bei einer Autopsie klassifiziert wird, wird der TNM-Formel ein a-Symbol vorangestellt, z. B. aT1N1M0 am Magen heißt, dass der Tumor die Muskelschichten des Magens noch nicht erfasst hat, 1–6 regionäre Lymphknoten befallen hat, aber keine Fernmetastasen existieren.

y-Symbol

Wenn ein Tumor klinisch relativ groß ist, z. B. ein Mammakarzinom (Brustkrebs) der Größe T2 (2–5 cm), wird manchmal der eigentlichen Operation eine sog. neoadjuvante Chemotherapie oder Strahlentherapie vorgeschaltet, damit das Organ, in diesem Fall die Brust, weitgehend erhalten werden kann. Bei der eigentlich pathologischen Untersuchung nach der Operation finden sich dann evtl. keine oder nur noch kleine Tumorreste. Es wäre falsch, solche pTNM-Befunde statistisch gleich zu behandeln wie Fälle, bei denen keine Vorbehandlung stattgefunden hat. Deswegen wird solchen Klassifikationen ein y-Symbol vorangestellt, z. B. ypT0N0M0 (kein Tumor mehr bei der Operation gefunden).

r-Symbol

Wenn ein Tumor nach zunächst erfolgreicher Therapie auftritt, spricht man von einem Rezidiv, welches wiederum klinisch oder pathologisch klassifiziert werden kann. Auch solche Klassifizierungen dürfen nicht mit der primären klinischen oder pathologischen Klassifikation verwechselt werden und erhalten daher ein r-Symbol vorangestellt, z. B. rpT2pN1M0.

Weitere Kategorien und Zusatzangaben

Venöser Gefäßeinbruch (V1) bei einem kolorektalen Karzinom mit erhöhter Gefahr von Lebermetastasen (Elastica-Färbung)
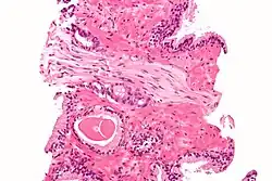
Perineuralscheideninvasion (Pn1) bei einem Prostatakarzinom (HE-Färbung)

Es gibt weitere Kategorien und Zusatzangaben, die von z. T. entscheidender Wichtigkeit bei der Tumorklassifikation sind. Dies gilt insbesondere für die Angabe der Residualgrenzen, weil nur mit ihr klassifiziert wird, ob ein Tumor „im Gesunden“ oder aber nur Teile des Tumors entfernt worden sind.

  • L0/1: Invasion in Lymphgefäße (oder Tumorzellembolie in Lymphgefäßen, ein Kontakt zur Gefäßwand ist für die Diagnose nicht erforderlich).
  • V0/1/2: Invasion in Venen (keine, mikroskopisch, makroskopisch).
  • Pn0/1: Perineurale Invasion (keine, vorhanden). Eine neue Zusatzangabe, die im TNM-Supplement (Seite 115) erwähnt wird. Nicht zu verwechseln z. B. mit pN0 = postoperativ festgestellte N-Kategorie (siehe oben).
  • SX/0–3: Serumtumormarker. Werden nur bei bösartigen Hodentumoren erfasst. X = nicht verfügbar/nicht untersucht, 0 = normal, 1–3 = wenigstens ein Marker erhöht.
  • R0/1/2: Angabe, ob Tumor nach einer Therapie verblieben ist (lokal, regionär oder Fernmetastasen). R0 = kein Tumor im Organismus nachweisbar, R1 = mikroskopischer Residualtumor an den Schnitträndern, R2 = makroskopisch Tumor oder Metastasen belassen.
  • G1–4: Grading, Angabe, wie differenziert das Tumorgewebe ist. G1 = gut differenziert (das Tumorgewebe ist dem Ursprungsgewebe noch relativ ähnlich), G4 = undifferenziert (das Ursprungsgewebe ist nur noch über ultrastrukturelle oder immunhistochemische Untersuchungsmethoden differenzierbar).

Da es theoretisch sehr viele Kombinationen von T, N und M gibt (manchmal existieren auch Unterkategorien, z. B. T1a), die dann statistisch nicht mehr sinnvoll verwertbar sind, werden abhängig vom Tumortyp Kombinationen zu sogenannten UICC-Stadien zusammengefasst.

Literatur

  • A. Fritz, C. Percy, A. Jack, K. Shanmugaratnam, L. Sobin, D. M. Parkin, S. Whelan (Hrsg.): International Classification of Diseases for Oncology. 3. Auflage. WHO, Genf 2000, ISBN 92-4-154534-8.
  • Ch. Wittekind (Hrsg.): TNM: Klassifikation maligner Tumoren. 8. Auflage. Wiley-VCH, Weinheim 2017, ISBN 978-3-527-34280-8.
  • Ch. Wittekind, C. C. Compton, J. Brierley, L. H. Sobin (Hrsg.): TNM-Supplement: Erläuterungen zur einheitlichen Anwendung. 4. Auflage. Wiley-VCH, Weinheim 2014, ISBN 3-527-33508-0.
  • Ch. Wittekind, H. Asamura, L. H. Sobin (Hrsg.): TNM Atlas. 7. Auflage. John Wiley & Sons, New York 2014, ISBN 1-4443-3242-2.
  • American joint committee on cancer: AJCC Cancer staging handbook. 7. Auflage. Springer 2010, ISBN 978-0-387-88442-4.