Thoraxtrauma
| Klassifikation nach ICD-10 | |
|---|---|
| S29.9 | Thoraxtrauma |
| S28.0 | Thoraxzerquetschung |
| S20.2 | Thoraxprellung |
| ICD-10 online (WHO-Version 2019) | |
Das Thoraxtrauma oder die Brustkorbverletzung bzw. Thoraxverletzung ist eine Verletzung des Brustkorbs, seiner Organe oder angrenzender Strukturen durch mechanische Gewalteinwirkung von außen oder innen. Unterschieden wird dabei insbesondere zwischen stumpfen und penetrierenden (in die Brustkorbwand eindringenden) Verletzungen und den betroffenen Strukturen (beispielsweise knöcherne Brustkorbwand, Lungengewebe, Mittelfell oder Blutgefäße).[1]
Einzelne Autoren subsumieren auch andere Verletzungen und Schädigungen im Bereich des Brustkorbes wie Verbrennungen oder Verätzungen, Inhalationstraumen durch das Einatmen ätzender, giftiger, heißer oder tiefkalter Gase sowie das Barotrauma unter diesem Begriff.[2] Durch ein Thoraxtrauma bedingte Verletzungen können akut lebensbedrohlich sein.
Epidemiologie
| Verletzungen bei Polytraumapatienten | |
|---|---|
| Extremitätenverletzungen | 86 % |
| Schädel-Hirn-Trauma | 69 % |
| Thoraxtraumen | 62 % |
| Abdominelle Verletzungen | 36 % |
| Beckenverletzungen | 28 % |
| Wirbelsäulenverletzungen | 14 % |
Thoraxverletzungen stellen eine häufige Verletzungsart dar. Bei 45 % bis 62 % aller polytraumatisierten Patienten sind Verletzungen des Brustkorbes vorhanden.[2] Nach dem Schädel-Hirn-Trauma stellt das Thoraxtrauma die zweithäufigste Todesursache bei Polytraumapatienten dar.[2] In Deutschland ist das Thoraxtrauma häufig eine Begleitverletzung beim Mehrfachverletzten. Hierbei führt ein begleitendes Thoraxtrauma beim Unfallverletzten zu einer doppelt so hohen Sterblichkeit. Eine zusätzliche Kombination mit einem Schädel-Hirn-Trauma vervierfacht diese sogar.[2] Am häufigsten finden sich kombinierte Verletzungen von Schädel und Extremitäten, dann Thorax und Extremitäten, Schädel und Thorax und danach Thorax und Abdomen. Die Letalität von Polytraumapatienten wird im Wesentlichen durch Schädel-Hirn- und Thoraxtraumen bestimmt.[2] Isolierte Thoraxtraumen sind im deutschsprachigen Raum eher selten.[3]
Geschichte

Die Traumatologie gilt als ältester Bereich der Chirurgie und hat ihre Ursprünge in den ersten Behandlungsversuchen von Jagd- oder Kriegsverletzungen beim frühzeitlichen Menschen. Schon hier gibt es Hinweise auf Behandlungen von thorakalen Verletzungen. Fundspuren sowie Berichte von Naturvölkern zeigen, dass selbst Eingriffe wie Thorakotomien oder Lungenresektionen durchgeführt wurden.[4]
Im altägyptischen Papyrus Smith werden Behandlungen von Thoraxverletzungen beschrieben und diese bereits klassifiziert und nach Schweregraden und Prognose unterteilt. In Schriften der antiken Medizin finden sich viele Berichte über Thoraxtraumen, insbesondere Kriegsverletzungen durch Speere oder Pfeile sind ursächlich. Auch wenn hier keine Therapien für schwere Thoraxtraumen bekannt sind, so werden doch unter anderem von Hippokrates im Corpus Hippocraticum Diagnose- und Therapieempfehlungen für verschiedene thorakale Krankheitsbilder gegeben, unter anderem werden erstmals Drainagen von thorakalen Flüssigkeitsansammlungen beschrieben. Für Thoraxverletzungen werden verschiedene Arten von Verbänden beschrieben.[2]
Verletzungsformen
Typische Formen
In aller Regel findet der Begriff Thoraxtrauma in der Literatur für Verletzungen Anwendung, die durch mechanische Gewalteinwirkung entstanden sind.
Stumpfes Thoraxtrauma



Das stumpfe Thoraxtrauma ist Folge einer stumpfen mechanischen Gewalteinwirkung von außen auf den Thorax. Kommt es hierbei nicht zu Frakturen oder Verletzungen innerer Organe, spricht man von einer Thoraxprellung.[2][5]
Bei stumpfer Gewalteinwirkung auf den Thorax sind zunächst nach den äußeren Weichteilen, Haut und Muskulatur die knöchernen Strukturen betroffen, die die Thoraxwand bilden. Die knöcherne Thoraxwand wird von Brustwirbelsäule, Sternum und Rippen gebildet. Frakturen dieser Strukturen können neben der rein knöchernen Verletzung noch zu weiteren Verletzungen innerer Organe durch Quetschung oder Aufspießung mittels scharfkantiger Knochenfragmente führen.[3] Bei mehrfachen Frakturen kann ein instabiler Thorax entstehen.
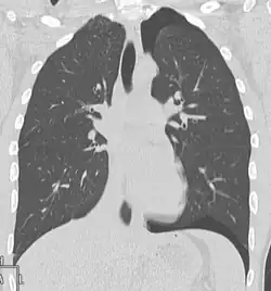
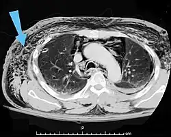
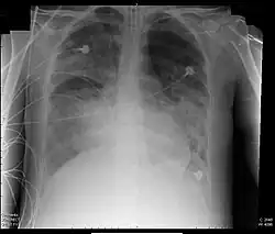
Verletzungen der Lunge können neben einer Lungenkontusion als Quetschverletzung Lungenrisse sein. Letztere führen zu einem Pneumothorax, wie er bei 10 bis 50 Prozent der Patienten mit Thoraxtrauma auftritt,[6] und gegebenenfalls zu einem Spannungspneumothorax. Blutungen in den Thorax hinein führen zu einem Hämatothorax. Bei einem Hämatopneumothorax treten sowohl ein Pneumo- als auch ein Hämatothorax in Kombination auf. Symptome sind zunächst Luftnot und je nach Ausmaß der Blutung auch Kreislaufinstabilität. Bei einem Pneumothorax kann sich insbesondere bei Ausbildung eines Spannungspneumothorax ein Hautemphysem bilden, das eine große Ausdehnung erreichen kann. Therapie ist eine Entlastung der Pleurahöhle mittels Thoraxdrainage auf der betroffenen Seite. Üblicherweise kommen kleinere intrathorakale Blutungen von alleine zum Stehen, so dass außer einer Drainage keine weiteren Maßnahmen notwendig werden. Eine Thorakotomie zur operativen Blutstillung kann bei einem initialen Blutverlust von mehr als 1.500 ml nach der Thoraxdrainage oder bei einem fortwährenden Blutverlust von mehr als 250 ml pro Stunde über mehr als vier Stunden erfolgen.[2][5]
Verletzungen am Herzen und an den großen Gefäßen, der Hauptschlagader oder den Lungenarterien, können insbesondere bei frontaler Gewalteinwirkung auf den Thorax in Kombination mit Rippen- oder Brustbeinfrakturen auftreten. Hier kommt es durch die stumpfe Gewalteinwirkung zu Gewebequetschungen, -einrissen und -einblutungen. Diese können das Gewebe so schädigen, dass es im weiteren Verlauf zu einem kompletten Einriss von Gefäßen oder der Herzwand bzw. zum Abriss von Herzstrukturen wie Herzklappen oder Papillarmuskeln kommen kann. Neben der Gefahr des Verblutens ist eine Herzbeuteltamponade (traumatische Perikardtamponade) eine gefährliche Komplikation. Eine seltene Verletzung sind bronchotracheale Verletzungen wie Ab- oder Einriss von Luftröhre oder Bronchien. In diesen Fällen ist eine umgehende Thorakotomie zur Blutstillung bzw. zur Wiederherstellung und Abdichtung der Atemwege erforderlich.[2][5][3]
Penetrierendes Thoraxtrauma

Beim penetrierenden Thoraxtrauma kommt es durch Eindringen von Fremdkörpern in den Thorax zu einer scharfen Durchtrennung von Strukturen von Thoraxwand oder inneren Organen. Schuss- und Stichverletzungen sind die Hauptursache von penetrierenden Thoraxverletzungen.[3]
Hämodynamisch stabile Patienten mit penetrierenden Thoraxverletzungen bedürfen neben einer Thoraxdrainage zunächst keiner weiteren Akutmaßnahmen. Neben weiterer Diagnostik steht hier eine klinische Verlaufskontrolle im Vordergrund, da unerkannte kleinere Blutungen oder Verletzungen intrathorakaler Organe verzögert klinisch wirksam werden können.[2]
Patienten, bei denen nach einer Penetrationsverletzung eine Herzbeuteltamponade als Folge einer Herzverletzung auftritt, können rasch einen Kreislaufzusammenbruch erleiden. Neben einer raschen Diagnosestellung mittels FAST-Sonografie ist ein rasches operatives Eingreifen mittels Notfall-Thorakotomie erforderlich. Die Sterblichkeit von Patienten mit penetrierenden Herzverletzungen liegt zwischen 35 % bei Stich- und 82 % bei Schussverletzungen.[2]
Bei Patienten, die nach thorakalen Penetrationsverletzungen kreislaufinstabil sind, ist eine umgehende operative Versorgung, unter Umständen schon als Schockraum-Thorakotomie erforderlich. Häufig sind hier Verletzungen von Herz, Aorta oder Lungengefäßen. Diese Patienten haben oft trotz umgehender Notfall-Thorakotomie eine schlechte Prognose. Die Überlebensrate liegt nach verschiedenen Studien unter 20 %.[2]
Sonderformen
Diese Sonderformen beschreiben Verletzungen und Schädigungen im anatomisch definierten Bereich des Brustkorbes und werden von der überwiegenden Zahl der Autoren nicht mit dem Begriff Thoraxtrauma bezeichnet.
Barotrauma

Bei einem Barotrauma der Lunge kann es durch plötzlich auftretende Druckunterschiede zwischen dem Thoraxinneren und -äußeren zu einer mechanischen Überbeanspruchung des Lungengewebes oder der Atemwege kommen. Es kann in der Folge zu Einreißen der Lunge mit der Bildung eines Pneumothorax kommen. Kleinere Einrisse bleiben gegebenenfalls folgenlos. Eine besondere Gefahr ist eine Verletzung der Lunge im Rahmen eines Barotraumas mit Beteiligung der Lungenvenen. Hierbei kann es zum Eindringen kleiner Luftbläschen in den Blutkreislauf kommen. Diese können über das Herz in der Körperkreislauf gelangen und dort kleinere Arterien verschließen. Dies kann zu Herzinfarkten oder Schlaganfällen führen. Neben Dekompressionsunfällen beim Tauchen treten Barotraumen der Lunge häufig bei Patienten auf, die mit Überdruck beatmet werden. Bei Verletzungen der Atemwege innerhalb des Mediastinums kann es zum Mediastinalemphysem kommen.[2]
Inhalationstrauma

Beim Inhalationstrauma unterscheidet man drei Formen:
- Das thermische Inhalationstrauma
- Das chemische Inhalationstrauma
- Das toxische Inhalationstrauma
Beim thermischen Inhalationstrauma kommt es zum Einatmen heißer Gase, z. B. bei Bränden oder Explosionen oder kalter Gase bei Inhalation von Aerosolen freigesetzter tiefkalter Flüssigkeiten und Stoffe wie z. B. flüssigem Stickstoff. Begleitende Verletzungen wie versengte Haare, Verbrennungen im Gesicht, Ruß oder Verbrennungen im Rachen bzw. Erfrierungen sind äußere Anzeichen. Hauptsächlich betroffen sind die oberen Atemwege und Bronchien. Typische Symptome sind Stridor, Husten, Luftnot und Schmerzen.[2]
Beim chemischen Inhalationstrauma kommt es zum Einatmen von chemischer Pyrolyseprodukten z. B. bei Verbrennung von Kunststoffen oder Chemikalien. Es kommt zur Schädigung der unteren Atemwege sowie des Lungengewebes. Möglich ist ein symptomfreies Intervall von bis zu 24 Stunden. Im Anschluss daran kann es zu einem Lungenödem und in der Folge zu einem Acute Respiratory Distress Syndrome kommen. Eine Sonderform des chemischen Inhalationstraumas ist das toxische Inhalationstrauma. Hier kommt es zum Einatmen von giftigen Gasen und Verbrennungsprodukten. Gerade bei Bränden tritt häufig eine Kohlenstoffmonoxidvergiftung ein.[2]
Die Therapie von Inhalationstraumen besteht zunächst aus Stabilisierung und Sicherung der Vitalfunktionen, Sauerstoffgabe und Analgesie. Insbesondere bei chemischen Inhalationstraumen ist je nach Schädigungsursache und -grad eine frühzeitige Intubation und Beatmung erforderlich. Giftige Stoffe, die sich um Mund- und Rachenraum abgelagert haben, können mittels einfacher Mundspülung entfernt oder zumindest in ihrer Konzentration deutlich gemindert werden.[5]
Verbrennungen

Bei Verbrennungen im Bereich des Thorax gelten zunächst die für Verbrennungen allgemein üblichen Regeln. Der Thorax nimmt nach der in der Verbrennungsmedizin üblichen Neunerregel zur Bestimmung der Hautoberflächenmaße beim Erwachsenen 18 % der Körperoberfläche ein. Man unterscheidet vier Schweregrade:
- Grad 1: Es kommt zu lokaler Rötung, Schwellungen und Schmerzen der Haut. Betroffen ist die Oberhaut. Die Verletzung heilt folgenlos ab.
- Grad 2: Es kommt zu Rötung, Schwellung und Blasenbildung an der Verbrennungsstelle. Die Verletzungen sind sehr schmerzhaft. Betroffen sind die Oberhaut (Grad 2a) oder die tieferen Dermisschichten (Grad 2b). Grad-2a-Verletzungen heilen vollständig ab, Grad-2b-Verletzungen heilen unter Narbenbildung ab.
- Grad 3: Es kommt zu Nekrosenbildung, die Haut ist schwärzlich-weiß verfärbt. Da die Nervenendigungen der Haut zerstört sind, ist die Verletzung oft schmerzlos. Betroffen sind Dermis und Unterhaut. Die Verletzungen sind irreversibel.
- Grad 4: Es kommt zu tiefer Verkohlung des Gewebes. Da die Nervenendigungen der Haut zerstört sind, ist die Verletzung schmerzlos. Betroffen sind alle Schichten der Haut sowie darunter liegende Knochen, Faszien und Organe. Die Verletzungen sind irreversibel.
Neben der allgemeinen Traumatisierung und Vitalgefährdung durch die Verbrennungssituation sind in der akuten Verletzungsphase insbesondere Patienten mit großflächigen und zirkulären Verbrennungen am Thorax gefährdet. Da Gewebe, das dritt- bis viertgradig verbrannt ist, seine Elastizität verliert, ist die thorakale Atemexkursion eingeschränkt. Dies führt zu einer deutlich erschwerten bis unmöglichen Beatmung. Hier kann eine notfallmäßige Escharotomie lebensrettend sein. Verbrennungstraumen am Thorax gehen oft mit Mehrfachverletzungen einher. Eine Kombination mit einem Inhalationstrauma ist möglich.[2][5]
Thorako-abdominelle Verletzungen

Die Kombinationsverletzung von Thorax und Abdomen ist die vierthäufigste Kombination bei mehrfachverletzten Patienten.[2] Insbesondere Zwerchfell, Leber und Milz sind auch bei isolierten Thoraxtraumen oft mitbetroffen. So können beim stumpfen Thoraxtrauma gebrochene Rippen in Leber oder Milz spießen und starke Blutungen verursachen. Durch ein plötzliches Kompressionsereignis kann das Zwerchfell ein- oder beidseits rupturieren und es kann zur Verlagerung von Bauchorganen in den Brustkorb kommen. Hierbei kommt es zu einer mechanischen Kompression der Lungen mit Luftnot und abgeschwächtem Atemgeräusch auf der betroffenen Seite. Bei einer rechtsseitigen Zwerchfellruptur liegt mit sehr großer Wahrscheinlichkeit auch eine schwere Verletzung der Leber vor.[2] Bei penetrierenden Thoraxtraumen können die in den Körper eindringenden Fremdkörper wie Projektile oder Messer sich bis in den Bauchraum bewegen und dortige Organe mitverletzen.[2] Symptome von intraabdominellen Organverletzungen sind Schock und Anzeichen eines akuten Abdomens.[2]
Literatur und Quellen
- Max Bartels: Die Medicin der Naturvölker:Ethnologische Beiträge zur Urgeschichte der Medicin. Grieben Verlag, Leipzig 1893. (online)
- Jürgen Durst, Johannes Rohen: Chirurgische Operationslehre: in einem Band; mit topographischer Anatomie. 2. Auflage. Schattauer, 1996, ISBN 3-7945-1679-6, S. 273–276.
- Ralf Gahr (Hrsg.): Handbuch der Thorax-Traumatologie. Band I und II. Einhorn-Presse Verlag, ISBN 978-3-88756-812-2.
- W. Glinz: Thoraxverletzungen. Diagnose, Beurteilung und Behandlung. Springer-Verlag, Berlin / Heidelberg / New York 1978, ISBN 3-540-08597-1; 1982 erschienen auch in englischer Übersetzung.
- Jud W. Gurney u. a.: Thorax. Urban & Fischer-Verlag, 2004, ISBN 3-437-23430-7, S. 184 ff. (online)
- Frank Flake u. a.: 60 Fälle Rettungsdienst. Urban & Fischer, 2006, ISBN 3-437-48230-0, S. 66 ff. (online)
- P. Lawin, M. Wendt: Das Thoraxtrauma: Symposium Kassel, 13. und 14. Februar 1981. Melsungen Bibliomed Med. Verlagsgesellschaft, 1982.
- Leitlinie "Polytrauma / Schwerverletzten-Behandlung". der DGU auf www.awmf.org (abgerufen am 19. September 2012)
- Axel Rüter u. a.: Unfallchirurgie. Urban & Fischer, 2008, ISBN 978-3-437-21851-4, S. 35 ff. (online)
Weblinks
Einzelnachweise
- ↑ K. Ellinger u. a.: Ellinger, Kursbuch Notfallmedizin. Deutscher Ärzteverlag, 2007, ISBN 978-3-7691-0519-3, S. 499–512. (online)
- ↑ a b c d e f g h i j k l m n o p q r s t Ralf Gahr (Hrsg.): Handbuch der Thorax-Traumatologie. Band I und II, Einhorn-Presse Verlag, ISBN 978-3-88756-812-2.
- ↑ a b c d Jürgen Durst, Johannes Rohen: Chirurgische Operationslehre: in einem Band; mit topographischer Anatomie. 2. Auflage. Schattauer Verlag, 1996, ISBN 3-7945-1679-6, S. 273–276.
- ↑ Max Bartels: Die Medicin der Naturvölker:Ethnologische Beiträge zur Urgeschichte der Medicin. Grieben Verlag, Leipzig 1893. (online) (abgerufen am 27. September 2012)
- ↑ a b c d e Leitlinie "Polytrauma / Schwerverletzten-Behandlung". der DGU auf www.awmf.org (abgerufen am 19. September 2012)
- ↑ C. Waydhas, S. Sauerland: Pre-hospital pleural decompression and chest tube placement after blunt trauma: A systematic review. In: Resuscitation. Band 72, 2007, S. 11–25.