Tibiale Hemimelie
| Klassifikation nach ICD-10 | |
|---|---|
| Q72.5 | Longitudinaler Reduktionsdefekt der Tibia |
| Q72.8 | Sonstige Reduktionsdefekte der unteren Extremität(en)
Inkl.: Angeborene Verkürzung der unteren Extremität(en) |
| ICD-10 online (WHO-Version 2019) | |
Eine Tibiale Hemimelie oder ein Tibialer Längsdefekt bezeichnet das angeborene Fehlen (Aplasie) oder die Unterentwicklung (Hypoplasie) der Tibia. Sie kann isoliert, häufiger aber in Verbindung mit Fehlbildungen am Fuß medial sowie einer Varusstellung im Rückfuß einhergehen.[1]
Synonyme sind: Tibiaaplasie, Tibiale longitudinale Hypoplasie, Paraxiale longitudinale Hypoplasie; Fehlende Tibia, Kongenitale Aplasie und Dysplasie der Tibia mit intakter Fibula, longitudinale tibiale Meromelie.[2]



Häufigkeit
Diese seltene Erkrankung kommt bei 1 auf einer Million Neugeborener vor.[3][4]
Ätiologie
Die Ursache ist nicht bekannt, da aber verschiedentlich vererbbare Fälle beschrieben wurden, wird eine genetische Beratung empfohlen.[5]
Einteilung
Für die Behandlung gebräuchlich ist die Klassifikation nach Kalamchi und Dawe:[6]
- Typ I Aplasie der Tibia, Fuß adduziert, + eventuell fehlende Strahlen medial
- Typ II Tibia nur distal fehlend, Artikulation zum Femur erhalten
- Typ III Dysplasie der Tibia distal mit tibiofibulärer Diastase (Fehlanlage der Sprunggelenksgabel)
Klinik
Bei etwa 30 % tritt die Hemimelie beidseitig auf.[2] Nur bei 50 % ist der Fuß normal angelegt, meist fehlen mediale Strahlen des Fußes, Knochenkerne des Rückfußes sind fusioniert (Sprungbein#Fehlanlagen)[7]
Gehäuft treten weitere Fehlbildungen auf.[1] Unter anderem:
- Syndaktylie
- Polydaktylie
- Femurhypoplasie
- Kryptorchismus
Die Tibiale Hemimelie kann Teil von Fehlbildungs-Syndromen sein wie das Gollop-Wolfgang-Syndrom oder Dreigliedriger Daumen-Polysyndaktylie-Syndrom.[2]
Je nach Ausmaß des Fehlens der Tibia kniegelenksnahe besteht eine Kniebeugekontraktur und verminderte Aktivität der Oberschenkelstreckmuskulatur.[5]
Diagnostik
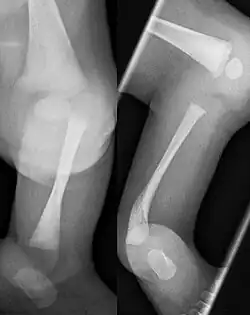
Bereits im Mutterleib kann während einer Ultraschalluntersuchung die Fehlbildung erkannt werden,[2] die Verkürzung und Fehlstellung des Unterschenkels ist nach der Geburt offensichtlich. Ein Röntgenbild kann das Ausmaß der Fehlbildung sowie zusätzliche knöcherne Veränderungen dokumentieren. Mittels Sonographie können die knorpeligen Anlagen und deren Stellung zum Gelenk sicher dargestellt werden, wesentlich bei den Typen II und III.
Differential-Diagnostik
Abzugrenzen ist das Eaton-McKusick-Syndrom mit Mehrfachbildungen der Großzehen und 6 fingrigen Händen, triphalangaealen Daumen.[8]
Behandlung
Die Behandlung sollte so bald als möglich an einem kinderorthopädischen Zentrum erfolgen und richtet sich nach dem Typ der Fehlbildung:
- Typ I: Orthese, bei guter Oberschenkelfunktion kann operativ eine Unterstellung der Fibula unter den Femurknochen (Zentralisation) erfolgversprechend sein.[9]
- Typ II: Zur Stabilisierung des Kniegelenkes Verbindung des distalen Tibiaanteiles an die Fibula.[1]
- Typ III: Hier muss operativ ein funktionelles Sprunggelenk erzeugt werden[10]
Siehe auch
Weblinks
Literatur
- F. Fernandez-Palazzi, J. Bendahan, S. Rivas: Congenital deficiency of the tibia: a report on 22 cases. In: Journal of pediatric orthopedics. Part B. Band 7, Nummer 4, Oktober 1998, S. 298–302, ISSN 1060-152X. PMID 9810529. (Review).
- F. Hefti: Defektmissbildungen an den unteren Extremitäten. In: Der Orthopäde. Bd. 37, Nr. 4, April 2008, S. 381–402, ISSN 0085-4530. doi:10.1007/s00132-008-1250-4. PMID 18379756. (Review)
Einzelnachweise
- ↑ a b c F. Hefti: Kinderorthopädie in der Praxis. Springer 1998, ISBN 3-540-61480-X, S. 311.
- ↑ a b c d Eintrag zu Tibia-Hemimelie, isolierte. In: Orphanet (Datenbank für seltene Krankheiten)
- ↑ S. Schröder, P. Berdel, F. Niedthard: Registration of congenital limb malformations in Germany. 22 nd annual meeting EPOS London 3. April 2003. In: Paper No1 Abstract book. S. 60.
- ↑ F. W. Brown: The Brown operation for total hemimelia tibia. In: G. Aitken (Hrsg.): Selected lower limb anomalies. 1971, National Academy of Science, Washington, S. 20.
- ↑ a b Tibiadefekt. auf: standbein-ev.com
- ↑ A. Kalamchi, R. V. Dawe: Congenital deficiency of the tibia. In: The Journal of bone and joint surgery. British volume. Band 67, Nummer 4, August 1985, S. 581–584, ISSN 0301-620X. PMID 4030854.
- ↑ O. Eberhardt, M. Langendörfer, F. F. Fernandez, T. Wirth: Der Klumpfuß bei tibialer und fibularer Hemimelie. In: Z Orthop Unfall. 150, 2012, S. 525–532. doi:10.1055/s-0032-1314997. Epub 2012 Oct 17.
- ↑ B. Leiber: Die klinischen Syndrome. Syndrome, Sequenzen und Symptomenkomplexe. Herausgegeben von G. Burg, J. Kunze, D. Pongratz, P. G. Scheurlen, A. Schinzel, J. Spranger. 7. Auflage. Urban & Schwarzenberg, 1990, ISBN 3-541-01727-9.
- ↑ DD. Christini, E. J. Levy, F. A. Facanha, S. J. Kumar: Fibular transfer for congenital absence of the tibia. In: Journal of pediatric orthopedics. Band 13, Nummer 3, 1993 May-Jun, S. 378–381, ISSN 0271-6798. PMID 8496376. Christini, E. J. Levy, F. A. Facanha, S. J. Kumar: Fibular transfer for congenital absence of the tibia. In: Journal of pediatric orthopedics. Band 13, Nummer 3, 1993 May-Jun, S. 378–381, ISSN 0271-6798. PMID 8496376.
- ↑ W. Blauth, P. Hippe: The surgical treatment of partial tibial deficiency and ankle diastasis. In: Prosthetics and orthotics international. Band 15, Nummer 2, August 1991, S. 127–130, ISSN 0309-3646. PMID 1923714.