Schienbein

Das Schienbein (lateinisch Tibia) ist neben dem Wadenbein (Fibula) einer der beiden Knochen des Unterschenkels. Das Schienbein ist der kräftigere der beiden Knochen und ein typischer Röhrenknochen. Das lateinische Wort tibia ist die Bezeichnung einer Knochenflöte und der lateinische Name des in der griechischen Antike als Aulos bekannten Blasinstruments.
Schienbein bei Säugetieren


Kopf

Am kräftigsten ausgebildet ist das obere Ende, der Kopf (Caput tibiae), welcher zwei Gelenkknorren trägt (Condylus medialis und Condylus lateralis). Diese besitzen auf ihrer oberen Fläche eine überknorpelte Gelenkfläche (Facies articularis superior), die durch eine Erhöhung (Eminentia intercondylaris) in zwei Anteile getrennt wird. Die Erhöhung läuft in zwei getrennte Höckerchen (Tuberculum intercondylare mediale und Tuberculum intercondylare laterale) aus. Begrenzt wird sie vorne (ventral) und hinten (dorsal) durch zwei flache Gruben (Area intercondylaris anterior und Area intercondylaris posterior). Dort setzen die Kreuzbänder und die Haltebänder der Menisken an. Die gesamte obere Fläche des Schienbeines wird als Schienbeinplateau bezeichnet und bildet mit den Knorren des Oberschenkelknochens (Femur) das Kniegelenk. Am seitlichen Umfang des nahezu senkrecht stehenden Knochenrandes findet sich die Gelenkfläche (Facies articularis fibularis) für den Wadenbeinkopf (Caput fibulae), mit dem sie die Articulatio tibiofibularis bildet.
Schaft
Weiter unten, schon im Bereich des Schaftes (Corpus tibiae), liegt nach vorne gerichtet eine ausgedehnte, wenig erhöhte Rauigkeit (Tuberositas tibiae). An dieser setzt die Sehne des Musculus quadriceps femoris an. Seitlich davon liegt bei Haustieren eine tiefe Rinne (Sulcus extensorius), durch welche die Ursprungssehnen des Musculus extensor digitorum longus und Musculus peroneus tertius ziehen. Der Schaft ist dreiseitig und verjüngt sich nach unten hin (distal). Man kann drei Flächen unterscheiden (Facies medialis, Facies lateralis und Facies posterior). Die seitliche und mittige Fläche werden durch einen scharfen Rand (Margo anterior – bei Tieren Margo cranialis genannt) getrennt. Er liegt direkt unter der Haut und wird nicht durch Muskulatur geschützt, weshalb ein Tritt vor das Schienbein sehr schmerzhaft ist. Der ebenfalls scharfe und sich am weitesten nach unten ziehende Rand zwischen Schienbein und Wadenbein (Margo interosseus) trennt die hintere und seitliche Fläche voneinander. Außerdem setzt an ihm auf ganzer Länge ein straffes Band (Membrana interossea cruris) an, das den Spalt zwischen Schienbein und Wadenbein vollständig überbrückt. Der dritte Rand (Margo medialis), welcher zwischen mittiger und hinterer Fläche liegt, ist hingegen abgerundet. Die hintere Fläche zeigt beim Menschen im oberen Bereich eine von seitlich-oben (lateral-cranial) nach mittig-unten (medial-caudal) laufende flache Knochenleiste (Linea musculi solei). Diese dient als Ursprung für den Musculus soleus.
Unteres Ende
Das untere Endstück trägt zwei mit dem Sprungbein (Talus) verbundene Gelenkflächen. Die eine steht fast horizontal und ist nach innen gekrümmt (Facies articularis inferior), die andere (Facies articularis superior) geht zur Mitte ohne Grenze in abgerundetem Winkel in die fast sagittal stehende Sprunggelenksfläche (Facies articularis malleolaris) über. Letztere liegt auf dem Innenknöchel (Malleolus medialis) auf, einem fast kegelförmigen, stark ausgeprägten Vorsprung, über dessen hintere Fläche eine Sehnenfurche (Sulcus malleolaris) zieht. Bei Tieren liegt die Gelenkfläche auch über das rudimentäre Wadenbein auf dem Außenknöchel (Malleolus lateralis) auf. Bei Wiederkäuern ist dieser als selbstständiger Knochen (Os malleolare) ausgebildet. Die Gelenkfläche des unteren Schienbeinendes (Facies articularis malleoli, bei Tieren Cochlea tibiae) steht mit der Gelenkrolle des Sprungbeines in Verbindung. Beide bilden die obere Gelenketage des Sprunggelenkes („Malleolengabel“). Die seitliche Fläche des unteren Endstückes zeigt einen zur Aufnahme des unteren Wadenbeinendes bestimmten, aber nicht überknorpelten Einschnitt (Incisura fibularis).
Schienbein bei Vögeln
Bei Vögeln ist das Schienbein mit der oberen Reihe der Sprunggelenksknochen (Tarsalknochen) verwachsen. Man verwendet daher die Bezeichnung Tibiotarsus (siehe hierzu auch Vogelskelett).
Erkrankungen

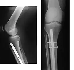
Schienbeinbrüche (Frakturen) kommen häufig vor. Sie werden mittels Metallplatten und Schrauben bzw. Marknagelungen operativ durch die so genannte Osteosynthese versorgt.
Eine häufige, durch Überlastung (Jogging, Hallensportarten etc.) hervorgerufene Erkrankung ist das vordere Tibiakantensyndrom (shin splints). Auftretend in der distalen Hälfte der Tibia kommt es zu einer schmerzhaften Reizung der Ursprungsfasern des Musculus tibialis anterior.
Der Morbus Osgood-Schlatter ist eine Reizung der Schienbeinbeule, also des Ansatzes des Kniescheibenbandes. Bei Haushunden kommt eine ähnliche Erkrankung mit Ablösung der Schienbeinbeule vor, die als Tuberositas-tibiae-Avulsion bezeichnet wird.
Seltene Erkrankungen bei Kindern sind unter anderem Jaffé-Campanacci-Syndrom, Tibia recurvata, Kongenitale Tibiapseudarthrose, Tibiale Hemimelie.
Literatur
- C. Zalpour: Anatomie / Physiologie für die Physiotherapie. 1. Auflage. Urban & Fischer, München/Jena 2002.
- Franz-Viktor Salomon: Anatomie für die Tiermedizin. Enke, Stuttgart 2004, ISBN 3-8304-1007-7, S. 37–110.