Vagina des Menschen

Die Vagina des Menschen, deutsch Scheide (des Menschen) genannt, ist ein mit Schleimhäuten ausgekleidetes, primäres, inneres Geschlechtsorgan der Frau. Sie verbindet, wie die Vagina anderer Säugetiere, die Gebärmutter (den Uterus) über den Gebärmutterhals (die Zervix) mit dem Scheidenvorhof (Vestibulum vaginae). Am Übergang zu letzterem befindet sich der Hymen (Jungfernhäutchen). Die Vagina ist Teil des Geburtskanals.
Anatomie
Makroskopische Anatomie

Die Vagina ist ein dehnbares, muskulös-bindegewebiges, mit einer Schleimhaut ausgekleidetes Organ im Bauchraum. Sie liegt etwa in der Beckenachse[1] und durchquert hier den Beckenboden.[2] Die Vagina verbindet den Scheidenvorhof mit der Gebärmutter (Uterus). Der Gebärmutterhals ist um etwa 90 Grad nach vorn abgeknickt und folgt damit nicht der durch die Vagina vorgegebenen Richtung.
Länge
Die Länge ist individuell verschieden. In einer Studie (2006) wird der Mittelwert im Ruhezustand bei erwachsenen Frauen mit 6,27 cm angegeben, die Längen variieren zwischen 4,1 und 9,2 cm. Im gedehnten Zustand liegt der Mittelwert bei 13 cm (± 3 cm).[3][4][5]
Hintere und vordere Vaginawand
Die hintere Vaginawand (Paries posterior vaginae) ist durch die Lage des Uterus etwas länger als die vordere Vaginawand (Paries anterior vaginae).[6] Im ungedehnten Zustand ist sie durch das Parakolpium abgeflacht, die vordere und die hintere Wand berühren sich, sie werden von den Nachbarorganen komprimiert, und umschließen das Lumen der Vagina, das einen H-förmigen Spalt bildet und dadurch eine Entfaltung ermöglicht, ohne große Spannung zu erzeugen.[7] Die Hinterwand (Dorsalwand) der Vagina ist durch Bindegewebe (Septum rectovaginale) mit dem Mastdarm und die Vorderwand über das Septum vesicovaginale und das Septum urethrovaginale mit der Harnblase und der Harnröhre verbunden.[2] An der vorderen und hinteren Vaginawand befinden sich zudem Querfalten, die als Scheidenrunzeln (Rugae vaginales) bezeichnet werden und eine vordere und eine hintere Runzelsäule bilden (Columnae rugarum anterior et posterior). Diese verstärken beim Geschlechtsverkehr die Reizwirkung und stellen zugleich eine Dehnungsreserve für die Geburt dar.[8]
Vaginalöffnung
Die Vagina mündet mit ihrer Öffnung (Ostium vaginae oder Introitus vaginae) in den Scheidenvorhof der Vulva. An der Vaginalöffnung gibt es eine Ansammlung von Schleimhautfalten, meist in Form eines Kranzes (vaginale Corona), die als Hymen bezeichnet werden.[9]
Sekretabsonderung
Durch die Vagina transportiert das Menstruationsblut abgestorbene Zellen aus dem Uterus nach außen. Während des weiblichen Zyklus sondert die Vagina jederzeit Sekrete unterschiedlicher Konsistenz ab, abhängig vom Zeitpunkt im Hormonzyklus.[10][11]
Gebärmutteröffnung
Uterusseitig ragt die Portio vaginalis uteri des Gebärmutterhalses in die Vagina vor. Diese wird von der Vagina so umfasst, dass sie zwischen dem tiefen, hinteren (dorsalen), sowie dem kleineren seitlichen und dem vorderen (ventralen) flachen Scheidengewölbe (Fornix vaginae) liegt.[2] Das hintere Scheidengewölbe reicht bis an den Douglas-Raum heran,[2] einer taschenförmige Aussackung des Bauchfells und damit der tiefste Teil des Bauchraums zwischen Mastdarm und Uterus.
-
Skizze der eröffneten Vulva (oberer Teil) und Vagina (unterer Teil). Blick auf das Innere der Vagina (von ventral) und dem Muttermund (Portio vaginalis uteri) -
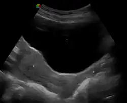
Ultraschallbild von 1: Harnblase; 2: Gebärmutter; 3: Vagina -
Äußerer Muttermund (Portio vaginalis uteri) und hinteres Ende der Vagina einer stillenden Frau nach zwei Geburten, Para 2, Blick durch ein Spekulum. -
Blick in das vordere Drittel der Vagina, mit typischen Querfalten (Rugae vaginales); oberhalb die Harnröhrenmündung (Carina urethralis vaginae)
Muskulatur, Blutversorgung und Nerven
Neben der glatten Muskulatur in der Vaginawand wird die Vagina von quergestreiften Muskeln umgeben, die gitterartig angeordnet sind. Der Musculus pubococcygeus, ein Anteil des Musculus levator ani, ist ein Muskel des Beckenbodens. Die Muskeln beider Seiten (Levatorschenkel) umfassen die Vagina wie eine Schlinge und ermöglichen eine willkürliche Verengung derselben.
Die Blutversorgung der Vagina erfolgt über die Arteria vaginalis aus der Arteria iliaca interna, die unterhalb der Arteria uterina entspringt. Hinzu kommen Versorgungsäste der Arteria vesicalis inferior und der Arteria pudenda interna. Das die Vagina umgebende Venengeflecht (Plexus venosus vaginalis) wird über die Vena uterina abgeleitet.[7] Die Lymphe des oberen Teils der Vagina fließt über die Nodi lymphatici iliaci interni in die Lendenlymphknoten, vom unteren Teil in die Leistenlymphknoten (Nodi lymphatici inguinales superficiales).[6]
Die Nervenversorgung der Vagina erfolgt durch den Plexus uterovaginalis.[6][7][12]
Mikroskopische Anatomie der Vagina, Wandaufbau

Die Vaginalwand ist mit einer Wandstärke von etwa drei Millimetern sehr dünn.[5] Die Vaginalschleimhaut (Tunica mucosa vaginae) trägt ein mehrschichtiges, unverhorntes Plattenepithel (Vaginalepithel), das nur eine minimale Präkeratinbildung zeigt. Sie ist glykogenreich und drüsenlos (kutane Schleimhaut). Das Epithel liegt auf einer Lamina propria, die reich an elastischen Fasern und weitlumigen Venen ist.[8] Das Epithel unterliegt im Verlauf des Sexualzyklus ständigen Umbauprozessen (→ Vaginalzytologie), die durch Estrogene und Progesteron gesteuert werden.[7]
Im Querschnitt zeigt die Vagina von innen nach außen folgenden Wandaufbau: Schleimhaut, Muskelschicht und Bindegewebsschicht.
Schleimhaut
Die Schleimhaut (Tunica mucosa vaginae) bestimmt die Oberflächenbeschaffenheit und sorgt für ein saures Milieu (pH-Wert 4 bis 4,5) durch die abgestorbenen Zellen des Vaginalepithels, die aufgrund des sehr hohen Glykogenanteils ein gutes Substrat für Milchsäurebakterien (Döderlein-Bakterien) darstellen und zur Ausbildung der speziellen Vaginalflora führen, was der Ansiedlung von Bakterien entgegenwirkt. Zur Tunica mucosa vaginae werden das eigentliche Vaginalepithel und die darunter liegende Lamina propria gezählt. Das Epithel der Vagina ist ein mehrschichtiges, unverhorntes Plattenepithel, das sich weiter in vier Schichten differenziert:
- Basalzellschicht (Stratum basale)
- Parabasalschicht (Stratum parabasale)
- Intermediärschicht (Stratum intermedium)
- Superfizialschicht (Stratum superficiale)
Diese Schichten sitzen der Lamina propria auf, die aus lockerem Bindegewebe besteht, das reich an elastischen Fasern und Lymphozyten ist. In der Lamina propria finden sich Kapillaren und Lymphgefäße, aus denen bei sexueller Erregung ein Transsudat durch das Epithel in die Vagina abgepresst wird, sowie der Plexus venosus vaginalis. Die nervale Innervation der Vagina beziehungsweise ihre Sensibilität ist nur gering. So finden sich nur wenige freie Nervenendigungen, sensorische Fasern fehlen gänzlich.
Muskelschicht
Die Muskelschicht (Tunica muscularis vaginae) lässt innen eine Ringmuskulatur, nach außen eine Längsmuskulatur erkennen. Durch sie kann sich die Vagina bei Erweiterung wieder ringförmig und längs zusammenziehen. Bei diesen Muskeln handelt es sich um glatte Muskulatur, eingebettet in ein bindegewebiges Gerüst. Die maschen- oder gitterartige Anordnung der glatten Muskelfaserzüge hat einen zirkulären, an der Vorderwand auch längsgerichteten Verlauf. Diese Muskulatur setzt sich in der Muskulatur an der Zervix und des Dammes fort. Das vorhandene Bindegewebe ist scherengitterartig angeordnet und besteht aus kollagenen aber auch zahlreichen elastischen Fasern. Durch diesen Aufbau ist biomechanisch eine starke Dehnung der Vagina möglich.
Bindegewebeschicht
Die Bindegewebsschicht (Tunica adventitia vaginae) enthält viele elastische Fasern und ist mit den Bindegewebshüllen von Beckenboden, Harnröhre und Harnblase verbunden. Sie wird auch als Parakolpium bezeichnet. Die dichte Hüllstruktur aus Bindegewebe verbindet die Vagina mit ihrer Umgebung besonders mit der Harnröhre. Sie enthält zahlreiche elastische Fasern und grenzt kopfwärts (kranial) an das Parametrium.
Physiologie
Vaginalmilieu
Das in der Vagina vorhandene Sekret besteht aus dem in den Zervixdrüsen des Muttermundes gebildeten Zervixschleim und dem aus der Vaginawand austretenden Transsudat. Hinzu kommen abgestorbene Zellen des Vaginalepithels, die aufgrund des sehr hohen Glykogenanteils ein gutes Substrat für Milchsäurebakterien (Döderlein-Bakterien) und einer speziellen Vaginalflora darstellen. Die Organismen wandeln das Glykogen in Milchsäure um, die in einer Konzentration von etwa 0,5 % vorhanden ist.[5]
Durch die Milchsäurebakterien ist das Vaginalsekret sauer (pH-Wert 4 bis 4,5) und dient dem Schutz des weiblichen Genitaltraktes vor aufsteigenden Infektionen. Bei jungen Mädchen vor der Pubertät erfolgt die Besiedelung dagegen vor allem durch apathogene Staphylokokken und Streptokokken, die nur einen geringen Schutz gegen Krankheitskeime bilden.[13]
Sexuelle Erregung und Geschlechtsverkehr
Lubrikation

Während der sexuellen Erregung wird das Vaginalmilieu verändert. Durch die vaginale Lubrikation und der Produktion und Sekretion von dünnflüssigem Schleim in den Zervixdrüsen wird das Sekret pH-neutral. Die in den Scheidenvorhof mündenden Bartholinschen Drüsen sondern zudem bei Erregung ein schleimhaltiges Sekret ab und befeuchten den Vorhof.[14] Eine mangelnde Befeuchtung wird als Lubrikationsmangel oder Scheidentrockenheit bezeichnet.
Vaginaler Geschlechtsverkehr
Die Vagina nimmt beim Vaginalverkehr den Penis und das von ihm ausgestoßene Sperma mit den darin enthaltenen Spermien auf. Vaginaler Geschlechtsverkehr kann, wie auch andere Formen der sexuellen Betätigung, zum Orgasmus führen. Da die Vagina im Wesentlichen aus relativ nervenarmem Gewebe besteht, ist jedoch umstritten, ob der Begriff „vaginaler Orgasmus“ sinnvoll ist.[15][16] Diese Debatte flammte bereits in den 1950er und 1960er Jahren in den USA auf, unter anderem angeregt durch Publikationen von William Masters und Virginia Johnson sowie Anne Koedt, und erreichte Deutschland in den 1970er Jahren.[17][18]
Auch bei der vaginalen Penetration wird, in Abhängigkeit von der Sexualpraktik, die Klitoris mit ihren Schwellkörpern stimuliert.[16] Es ist vom empirischen Standpunkt aus davon auszugehen, dass die Mehrheit der Frauen durch bloße Penetration in die Vagina keinen Orgasmus erreicht, obgleich die Vaginalöffnung, also der Scheideneingang, sehr reich mit Mechanorezeptoren ausgestattet ist.
Klitorale Stimulation
Zahlreiche wissenschaftliche Untersuchungen sprechen dafür, dass 70–80 % der Frauen hauptsächlich durch direkte Stimulation der Klitorisspitze – weil sie biologisch der männlichen Eichel entspricht, auch Klitoriseichel genannt – einen Orgasmus erreichen können,[19][20] obwohl indirekte Stimulation der Klitoris dazu ebenfalls ausreichend sein kann.[21]
Geburt
Bei der Geburt ist die Vagina Teil des Geburtskanals für das Kind. Es kommt durch die Wehen und die damit verbundene Öffnung des Muttermundes (Eröffnungsphase der Geburt) vor allem zu einer Lockerung der Vaginalmuskulatur, die die Dehnung in der Austreibungsphase am Ende der Geburt ermöglicht. Die Dehnung betrifft zudem die Vorhofschwellkörper sowie das Gewebe der Schamlippen und des Damms. Vagina, Schamlippen und Damm können unter der Belastung einreißen (Dammriss). Der Damm wird unter Umständen zur Geburt des Kindes eingeschnitten (Dammschnitt).
Untersuchungsmöglichkeiten
Bei Beschwerden und zur Kontrolle wird die Vagina in der gynäkologischen Praxis ärztlich untersucht. Frauen können ihre Vagina im Kontext einer vaginalen Selbstuntersuchung auch selbst untersuchen. Die Vagina kann dazu mit den Fingern abgetastet werden. Zur optischen Begutachtung wird ein Spekulum, ein Vaginoskop oder ein Kolposkop verwendet.
Zur Untersuchung der Vaginahaut und des Vaginamilieus werden Epithelzellen durch einen Abstrich gewonnen und auf einem Objektträger mikroskopiert. Damit gibt die Vaginalzytologie Auskunft über die aktuelle Zyklusphase. Heute wird die Zyklusphasenbestimmung durch Hormonuntersuchungen erweitert, um ausreichende Diagnosesicherheit zu bieten. Zudem können Gewebeproben mittels einer Vaginabiopsie entnommen werden.
Ontogenetische Entwicklung der Vagina

Die Geschlechtsorgane entwickeln sich vor der Geburt aus einer zunächst geschlechtsunspezifischen Anlage an gleicher Körperstelle bei allen Menschen.[22] Verbunden ist die Entstehungszone der inneren und äußeren Geschlechtsorgane zunächst mit den harnbildenden Exkretionsorganen. Dabei handelt es sich um das Urogenitalsystem, dessen wesentliche Elemente im Verlauf der ontogenetischen Geschlechtsdifferenzierung die Müller-Gänge und Wolff-Gänge sind. Beide Gangsysteme sind beim Embryo anfangs links- und rechtsseitig angelegt, also paarig vorhanden.
Bei genetisch weiblichen Embryonen bildet sich der Wolff-Gang ab der zehnten Schwangerschaftswoche zurück, während sich unter dem Einfluss von Estrogenen nach und nach sowohl der Uterus und die äußeren Genitalien als auch die Vagina entwickeln. Eileiter, Uterus und das Binde- und Muskelgewebe der Vagina entstehen unmittelbar aus dem Müller-Gang.[23] Das Vaginalepithel entwickelt sich hingegen aus dem Sinus urogenitalis.[24]
Unterbleibt die eindeutige Differenzierung der Geschlechtsorgane und ihre hormonelle Steuerung auf Grund von chromosomalen oder anderen Einflüssen, entwickelt sich kein eindeutiges biologisches Geschlecht.
Varianten, Fehlbildungen und Lageanomalien
Bei der ontogenetischen Entwicklung der Vagina kann es in seltenen Fällen zu Varianten und Fehlbildungen kommen. Dabei können diese isoliert nur die Vagina betreffen, die Vagina kombiniert mit Uterus und Harnwegen oder im Bereich des Vaginaausgangs und des Vaginavorhofs auftreten.[25] Varianten müssen nicht zwangsläufig mit Leidensdruck einhergehen und besitzen somit nicht per se Krankheitswert. Einige sind dem intergeschlechtlichen Spektrum zuzurechnen und haben Einfluss auf das soziale Geschlecht der Betroffenen. Beim Swyer-Syndrom gehen beispielsweise „männliche“ XY-Chromosome mit der Ausbildung einer Vagina, Eileitern und Uterus einher.[26]
Weitere:
- Vaginalaplasie
- Vaginalatresie
- Hymenalatresie
- Vaginalseptum
- OHVIRA-Syndrom
- Meacham-Syndrom
- Mayer-Rokitansky-Küster-Hauser-Syndrom
Im Gegensatz zu Varianten und Fehlbildungen sind Lageanomalien in der Regel nicht angeboren, sondern erworben. Es handelt sich hierbei um verschiedene Verminderungen der Höhe der Vagina über dem Beckenboden, die über eine Vaginasenkung oder einen Vaginavorfall entstehen können. Sehr selten ist eine vollständige Ausstülpung der Vagina, die als Inversio vaginae bezeichnet wird und gemeinsam mit der Ausstülpung der Gebärmutter (Inversio uteri) als Geburtskomplikation vorkommen kann.[27][28]
Bei Formen von Intergeschlechtlichkeit kann im Rahmen einer geschlechtsangleichenden Operation eine Vagina (Neovagina) chirurgisch durch Kolpopoese angelegt werden.[29] Solche genitalverändernden Operationen an Menschen in nicht einwilligungsfähigem Alter werden seit Langem von Selbstvertretungsorganisationen intergeschlechtlicher Menschen kritisiert, weil sie medizinisch nicht notwendig seien und den Menschen lediglich an ein Normgeschlecht anpassen sollen, dabei aber Schaden anrichten. Selbstvertretungsorganisationen intergeschlechtlicher Menschen fordern daher eine Umsetzung des Rechts auf Selbstbestimmung und auf körperliche Unversehrtheit für intergeschlechtliche Kinder.[30][31]
Erkrankungen und Verletzungen
In der Vagina können verschiedene Erkrankungen und Verletzungen auftreten, die zum Teil auch die Vulva oder tieferliegende Geschlechtsorgane wie den Muttermund oder den Uterus erfassen können.
Entzündungen und Infektionen
Akute und chronische Entzündungen mit Juckreiz, Rötungen und verändertem Ausfluss gehören zu den häufigsten Erkrankungen der Vagina, die als Kolpitis oder Vaginitis bezeichnet werden. Häufig ist dabei eine gemeinsame Entzündung der Vulva und der Vagina, die Vulvovaginitis genannt wird. Entzündungen der Vagina werden vor allem durch Infektionen mit Viren, Bakterien oder Pilzen ausgelöst. Die häufigsten bakteriellen Infektionen (bakterielle Vaginose) werden hervorgerufen durch Gardnerella vaginalis, Atopobium vaginae, Prevotella-, Porphyromonas-, Peptostreptococcus- und Mobiluncus-Arten sowie Mykoplasmen.[32] Unter den vaginalen Pilzinfektionen ist vor allem der sogenannte Scheidenpilz Candida albicans von Bedeutung, der eine Kandidose auslösen kann. Weitere Erreger einer Vaginitis können Trichomonas vaginalis und Viren sein.[33]
Neben den Infektionen kann es auch zu Entzündungen durch Verletzungen und infolge Schädigung oder Verlust der Vaginalsekrete und -flora kommen. Hierzu können externe Faktoren wie die Nutzung von Intimsprays, Scheidenspülungen, Antibiotika, Spermiziden sowie organische Ursachen wie Estrogenmangel, Diabetes mellitus, Sekretionsstörungen, Hypermenorrhoe, Immunschwäche und Tumorerkrankungen führen.[34] Vor allem im Kindesalter und im höheren Alter kommt es aufgrund der geringen Estrogenproduktion häufiger zu Vaginitis als zwischen der Pubertät und der Postmenopause.[33]
Verletzungen und Fremdkörper
Verletzungen der Vaginalwand, in der Regel Vaginalrisse, können unterschiedliche Ursachen haben, etwa das Einführen von Fremdkörpern oder durch heftige Penetration. Außerdem können Risse der Vaginalwand auch bei der Geburt als Geburtskomplikation auftreten, weshalb Gynäkologen und Gynäkologinnen die Vagina nach der Geburt untersuchen. Kleinere Verletzungen führen zu kurzzeitigen Blutungen und verheilen innerhalb kurzer Zeit, bei größeren Verletzungen mit stärkeren Blutungen kann eine ärztliche Versorgung oder sogar eine Operation notwendig sein. Eine besonders schwere Verletzung stellt der vollständige oder teilweise Abriss der Vagina vom Uterus dar, der als Kolporrhexis bezeichnet wird.[35]
Ein Fremdkörper in der Vagina, auch intravaginaler Fremdkörper genannt, ist meist ein durch die Vagina eingeführter und dort befindlicher Gegenstand. Dieser kann klinisch relevant werden, wenn er sich von der Patientin nicht in der vorgesehenen Weise problemlos wieder entfernen lässt. Die häufigsten Fälle betreffen dabei Kinder, bei denen die Fremdkörper in spielerischer Absicht eingeführt werden.[36] Bei Erwachsenen können Fremdkörper aus verschiedenen Gründen eingeführt worden sein, beispielsweise zur Hygiene (etwa Tampons), zur Verhütung oder zur sexuellen Stimulation (z. B. Masturbation).[37] Neben Verletzungen können Fremdkörper auch Entzündungen oder Veränderungen im Schleimfluss hervorrufen.[38] Vaginalsteine sind Konkremente, die sich beispielsweise durch einen chronischen Urinstau bilden können.[39]
Fisteln
Fisteln sind unnatürliche Verbindungen zwischen einem Hohlorgan und einem anderen benachbarten Hohlraum, Organ oder der Außenwelt. Fisteln der Vagina führen meistens zu den Harnwegen (urogenitale Fisteln) oder zum Darm. Urogenitale Fisteln bilden sich meistens zwischen Vagina und Harnblase (vesikovaginale Fisteln), seltener zwischen Vagina und Harnleiter (uretero-vaginale Fistel) oder Harnröhre (urethro-vaginale Fistel). Durch die Fisteln kann sich Urin über die Vagina nach außen entleeren, wodurch das Bild einer Harninkontinenz entsteht.[40] Fisteln zum Darm führen meistens zum direkt benachbarten Enddarm und Analkanal (rektovaginale und anovaginale Fisteln). Seltener sind Verbindungen zu höheren Dickdarmabschnitten (colovaginale Fisteln). Durch diese Fisteln können Kot und Darmgase über die Vagina abgehen. Kleine Fisteln verursachen oft keine Beschwerden.[41]
In Ländern mit begrenzten medizinischen Ressourcen sind vaginale Fisteln meistens eine Komplikation bei schweren Geburten oder entstehen durch unentdeckte oder schlecht versorgte Geburtsverletzungen. In Staaten mit besserer medizinischer Versorgung treten vaginale Fisteln eher als Komplikation chirurgischer Eingriffe an benachbarten Organen auf, zum Beispiel bei Hysterektomien. Sie können auch Folge einer Krebserkrankung (Blasenkrebs und Darmkrebs) oder deren Bestrahlung sein. Eine weitere wichtige Ursachengruppe sind entzündliche Erkrankungen im kleinen Becken: Entzündungen der inneren Geschlechtsorgane oder Morbus Crohn. Letztere Erkrankung bildet Fisteln vom Darm zur Vagina.[40][41]
Es gibt verschiedene operative Techniken, um vaginale Fisteln zu verschließen.[40][41]
Tumoren
Vaginaltumoren sind insgesamt selten. Sie können gutartig (benigne) oder bösartig (maligne) sein. Zu den gutartigen Tumoren gehören unter anderem Papillome, Hämangiome, Fibrome, oder auch tumorartige Strukturen wie Gartner-Zysten und Endometrioseherde.[42] Selten bilden sich vaginale intraepitheliale Neoplasien, eine Krebsvorstufe.[43] Bösartige Tumoren in der Vagina sind insgesamt eher selten. Die meisten (80 bis 90 %) sind Metastasen von Krebserkrankungen anderer Geschlechtsorgane und der benachbarten Regionen: Gebärmutterhals, Vulva, Dickdarm und Eierstöcke. Seltener sind Metastasen weiter entfernter Tumoren, z. B. der Brust oder der Bauchspeicheldrüse. Sie werden als sekundäre Tumoren bezeichnet. Primäre bösartige Tumoren, die von der Schleimhaut der Vagina selbst ausgehen, machen die übrigen 10 bis 20 Prozent aus.[44] Sie werden als Vaginalkarzinome bezeichnet und entstehen meistens im oberen hinteren Vaginadrittel.[43] Die Prognose des Vaginalkarzinoms hängt vom Subtyp und der Ausbreitung des Tumors ab.[45] Sie ist schlechter als die Prognose von Gebärmutterhals- und Vulvakrebs.[46] Bei Kindern kann das extrem seltene Sarcoma botryoides auftreten, ein sehr aggressiver bösartiger Tumor der Vaginamuskulatur.[43]
Schmerzsyndrome
Schmerzen im Zusammenhang mit Geschlechtsverkehr werden als Dyspareunie bezeichnet. Sie können an der Vulva (Vulvodynie), der Vagina, dem kleinen Becken oder in mehreren Bereichen zugleich auftreten. Die Apareunie liegt vor, wenn ein Geschlechtsverkehr deswegen nicht mehr möglich ist. Als Überbegriff für die verschiedenen Ausprägung der Störung sieht das DSM-5 die Genito-Pelvine Schmerz-Penetrationsstörung vor. Für Schmerzen im Bereich der Vagina gibt es viele mögliche Ursachen. Schmerzen im Bereich des Vagina-Eingangs und der unteren Vagina können mit einem niedrigen Östrogen-Spiegel zusammenhängen, was zu Veränderungen der Schleimhaut führt und somit eine stärkere Empfindlichkeit der Vagina bedingt. Östrogen-Mangel kann, wie auch andere Ursachen, zu einer Störung der Lubrikation führen, wodurch die Vaginalschleimhaut weniger gleitfähig wird. Unter einem Vaginismus wurde ursprünglich nur ein unwillkürliches Verkrampfen der Vaginalmuskulatur verstanden, der Begriff wird heute aber weiter ausgelegt und geht in den verschiedenen Definitionen der Schmerzsyndrome auf. Auch Verengungen des Scheideneingangs können zu Schmerzen beim Geschlechtsverkehr führen. In der oberen Vagina wahrgenommene Schmerzen haben häufig Ursachen, die im kleinen Becken liegen, zum Beispiel Endometriose. Weiterhin gibt es für alle Formen von Sexualschmerz eine gewisse Überschneidung mit anderen chronischen Schmerzsyndromen (z. B. Fibromyalgie). Als nicht auslösende, aber zur Verschlimmerung beitragende Faktoren werden einige psychosoziale Faktoren genannt, zum Beispiel die Erfahrung von Gewalt in der Vergangenheit oder psychische Erkrankungen.[47]
Schwangerschaftsverhütung und Medikation über die Vagina

In der Vagina können mechanische, chemische und hormonelle Mittel zur Verhütung einer Schwangerschaft eingesetzt werden. In das Vaginagewölbe lässt sich ein Diaphragma oder eine Portiokappe als Barriere einsetzen, die zur Verbesserung der Sicherheit mit einem Spermizid kombiniert werden. In manchen Ländern werden statt des Diaphragmas auch Verhütungsschwämme aus Polyurethan angeboten. Als Pendant zum Kondom für den Mann gibt es für die Frau das Femidom.
Eine hormonelle Verhütungsmethode ist der Verhütungsring, der in die Vagina eingeführt wird und dort 21 Tage lang Estrogen und Gestagen abgibt. Er hat damit den gleichen Wirkmechanismus wie die Antibabypille.[48]
Neben der Schwangerschaftsverhütung kann bei verschiedenen gynäkologischen Beschwerden über die Vagina auch eine Medikation mittels Vaginalzäpfchen stattfinden. Die Vaginalzäpfchen werden beispielsweise zur Behandlung von vaginalen Pilzinfektionen, aber auch zur Linderung von Menstruationsbeschwerden eingesetzt. Wenn nach den Wechseljahren durch einen Östrogenmangel die Vaginalhaut dünn wird (Atrophie), können Zäpfchen mit Estriol dem entgegenwirken.[49]
Etymologie
Im klassischen Latein bedeutete vāgīna zunächst ausschließlich „Scheide“ (des Schwertes u. Ä.) und „Hülse“ und wurde noch nicht in anatomischer Bedeutung verwendet.[50] Ob der römische Dichter Plautus das Wort in seinem Theaterstück Pseudolus (4. Akt, 7. Szene) zur Bezeichnung des weiblichen Geschlechtsteils verwendete, ist umstritten.[51] Gesichert ist, dass der italienische Chirurg Realdo Colombo das Wort 1599 im medizinischen Sinne nutzte, indem er in seinem Werk De re anatomica den „Hals“ des Uterus als denjenigen Teil beschreibt, in den der Penis (mentula, „Spieß“ oder „Schwert“) „eingeführt wird wie in eine Scheide“.[52] Johannes Wesling bot 1647 in seinem Werk Syntagma anatomicum erstmals das Wort „Scheide“ als deutsches Lehnwort dafür an.[53]
Um die Vagina des Menschen (altgriechisch Kolpos; lateinisch cunnus) von anderen Scheiden (zum Beispiel Sehnenscheiden und Muskelscheiden oder Vagina carotica und Vagina notochordalis) abzugrenzen, gibt es die Bezeichnungen Vagina muliebris[54] (muliebris = weiblich, von mulier = Frau) und Vagina uterina.[55]
Sprachgebrauch
In der Umgangssprache sind zahlreiche weitere Begriffe für die Vagina verbreitet, die sowohl pejorativ als auch verniedlichend verwendet werden können, etwa „Muschi“, „Mumu“ oder „Möse“.[56][57] Diese weitverbreitete Tendenz zur Umschreibung wird von verschiedenen Seiten kritisiert. Ebenso auf Kritik stößt die alltagssprachliche Verwendung des Begriffs Vagina für die Gesamtheit aus Vagina und Vulva.[58][59]
Seit den 1970er Jahren bemühen sich in Deutschland feministische Aktivistinnen und Aktivisten um alternative, medizinisch korrekte sowie wert- und ideologiefreie Begriffe für Genitalien. Zunehmend wird betont, dass auch transidente, nicht-binäre und intersexuelle Personen eine Vagina haben können, ohne sich als weiblich oder Frau zu betrachten oder zu bezeichnen.[60][61]
Autorinnen wie Mithu Sanyal, Laura Méritt und Louie Läuger kritisieren die Sprachlosigkeit und das Unwissen über die weiblichen Geschlechtsorgane und führen an, dass dadurch Klitoris, Vulva und Schamlippen im Diskurs oft keine Rolle spielen.[62][63][64]
Der Begriff „Scheide“ wird wiederum für seine etymologische Nähe zur Schwertscheide kritisiert, die die Vagina auf ein Loch reduziere; solche defizitären Sichtweisen auf die Vagina lägen, so Sanyal, auch Aussagen wie denen des griechischen Arztes Galen zugrunde, der Frauenkörper sei in Bezug auf die Fortpflanzung weniger vollkommen als der des Mannes.[65] 2016 griff die Komikerin Giulia Becker in ihrem Musikvideo Verdammte Schei*e diese Themen sarkastisch auf.[66]
An diese Kritik anschließend prägte Bini Adamczak den Begriff „Circlusion“ (Umschließung) als Pendant zur „Penetration“, um das Narrativ der weiblichen Passivität zu überwinden.[67][68]
Die Sozialpädagogin Souzan AlSabah und andere Autorinnen empfehlen, den Begriff „Vulvina“ zu verwenden, der Vagina und Vulva umfasst.
Gesellschaft und Kultur

Wahrnehmung und Symbolik
Im Laufe der Geschichte wurden der Vagina zahlreiche Eigenschaften zugeschrieben, so galt sie etwa eine Zeit lang als das Zentrum der weiblichen Lust, als Metapher für das Leben durch Geburt, aber auch als dem Penis unterlegen, unattraktiv und schlecht riechend.[69][70]
In der Kunst- und Kulturgeschichte
In der Kunst- und Kulturgeschichte wird die Vagina immer wieder thematisiert,[71] so ist sie als Yoni im Hinduismus Symbol der weiblichen Fruchtbarkeit[72] und im Tantrismus der starken spirituellen Energie von Frauen.[73] Die irischen Steinskulpturen Sheela-na-Gig aus dem 11. und 12. Jahrhundert zeigen ihre Vulva mit Betonung auf der Vaginalöffnung, was der Theorie von Joanne McMahon und Jack Roberts zufolge Sexualität und Geburt symbolisiert.[74][75]
In der bildenden Kunst Europas und der USA hat die Vagina erst im 20. Jahrhundert größere Aufmerksamkeit erfahren, insbesondere in der feministischen Kunst der 1960er und 1970er Jahre. So nutzte die spanische Malerin Mari Chordà Abstraktion und die Farben der Pop-Art, um in ihrer 1964 begonnenen Serie Vaginales der visuellen und physiologischen Repräsentation des weiblichen Körpers malerisch nachzugehen.[76] Die Fluxus-Künstlerin Shigeko Kubota zeigte 1965 ihre Performance Vagina Painting, in der sie einen Pinsel an ihrer Unterwäsche befestigte, diesen in einen Eimer roter Farbe tauchte und damit auf einem Papier rote Schlieren erzeugte, die an Menstruationsblut erinnerten.[77] Niki de Saint Phalle stellte 1966 im Moderna Museet in Stockholm HON – en katedral („SIE – eine Kathedrale“) aus, eine raumgreifende Skulptur in Form eines Frauenkörpers, die über die Vulva und Vagina betreten werden konnte.[78] Die US-amerikanische Künstlerin Carolee Schneemann präsentierte 1975 in New York ihre wegweisende Performance Interior Scroll,[79] bei der sie unter anderem einen Text über die männliche Ablehnung von Frauenkunst von einer Papierrolle verlas, die sie aus ihrer Vagina zog. Rückblickend schrieb sie darüber: „Ich dachte an die Vagina auf verschiedene Weisen – physisch, konzeptuell: als eine skulpturale Form, eine architektonische Referenz, als die Quelle heiligen Wissens, Ekstase, Geburtspassage, Transformation.“[80][81] 2013 griff die australische Künstlerin Casey Jenkins das Motiv in ihren Vagina Knitting-Performances auf: dabei zog sie einen Wollfaden aus ihrer Vagina, mit dem sie strickte.[82]
Die kolumbianische Künstlerin María Evelia Marmolejo verband in ihrer Performance Anónimo 3 im Jahr 1982 Diskurse über die Rolle der Frau mit jenen über Umweltverschmutzung: in einer Art Sühneritual entschuldigte sie sich bei der Erde und führte unter anderem eine Vaginalwaschung durch, deren Flüssigkeit die Erde symbolisch befruchten sollte.[83]
Die US-amerikanische Künstlerin Annie Sprinkle führte seit 1991 im Rahmen ihrer Show Post Post Porn Modernist: Still in Search of the Ultimate Sexual Experience eine Performance mit dem Titel Public Cervix Announcement durch, bei der sie ein Spekulum in ihre Vagina einführte und das Publikum einlud, sich ihren Gebärmutterhals anzuschauen.[84] Die Performance erhielt auch in der Kunstwelt große Aufmerksamkeit und wurde unter anderem 2008 im Museum Kunstpalast in Düsseldorf wiederholt.[85]
2014 presste die schweizerische Künstlerin Milo Moiré in ihrer Performance Plumps Ei Nr.1 – Die Geburt eines Bildes auf der Art Cologne mit Farbe gefüllte Eier aus ihrer Vagina und ließ sie auf eine Leinwand fallen, die sie anschließend zum Kauf anbot.[86] Anish Kapoor stellte 2015 im Garten des Schlosses von Versailles eine Skulptur in Form einer Röhre auf. Sie trug offiziell den Namen Dirty Corner, der Künstler sagte jedoch, es sei die „Vagina der Königin“, die an die Macht komme.[87]
In der Literatur
In der Literatur kam bereits im 13. Jahrhundert das Motiv der Vagina loquens, die sprechende Vagina, auf.[88] Es findet sich etwa in Diderots Roman Les Bijoux indiscrets, sowie in den (Soft-)Pornofilmen Le Sexe qui parle und Chatterbox. Auch Eva Enslers 1998 als Buch erschienenes Bühnenstück Die Vagina-Monologe basiert auf diesem Motiv. Ensler gibt darin der Vagina basierend auf 200 Interviews eine polyphone Stimme.[89] In der Popkultur taucht dieses Motiv unter anderem in der Sitcom Drawn Together auf, in der die Figur der Prinzessin Clara eine sprechende Vagina in Form eines Tentakel-Monsters hat.
Ebenfalls aus Volkssagen stammt das Motiv der Vagina dentata, der bezahnten Vagina. Es impliziert die Angst, dass Geschlechtsverkehr zu Verletzungen, Entmannung oder Kastration führen könne und findet sich in den Mythen unterschiedlicher Kulturkreise. Sigmund Freud setzte die Vagina dentata in Verbindung mit seinem Konzept der Kastrationsangst.[90] In der Kunst ließ sich etwa die Künstlerin Toni Schmale von dem Motiv inspirieren.[91]
Die US-amerikanische Autorin Naomi Wolf veröffentlichte im Jahr 2013 mit dem Buch Vagina. Eine Geschichte der Weiblichkeit eine Kulturgeschichte der Vagina. Wenngleich die kulturgeschichtlichen Aspekte gut zusammengefasst seien, wurde das Buch unter physiologischen Fragestellungen als unwissenschaftlich[92] kritisiert und in der Gleichsetzung biologischer Anlagen mit gesellschaftlichen Zuschreibungen von Weiblichkeit oder Männlichkeit als antifeministisch und nicht zeitgemäß wahrgenommen.[93][94]
Literatur
- Joachim W. Dudenhausen, H. P. G. Schneider, G. Bastert (Hrsg.): Frauenheilkunde und Geburtshilfe. 2. Auflage. De Gruyter, Berlin / New York 2003, ISBN 3-11-016562-7.
- Stephan Dressler, Christoph Zink (Hrsg.): Pschyrembel Wörterbuch Sexualität. De Gruyter, Berlin 2003, ISBN 3-11-016965-7.
- Joachim Martius, Alex Novotny: Gynäkologie, Geburtshilfe und Neonatologie. Lehrbuch für Pflegeberufe. 12., überarbeitete und erweiterte Auflage. Kohlhammer, Stuttgart 2006, ISBN 3-17-018346-X.
- Laura Méritt: Frauenkörper neu gesehen. Ein illustriertes Handbuch. Orlanda Frauenverlag, Berlin 2012, ISBN 978-3-936937-93-0.
- Udo M. Spornitz: Anatomie und Physiologie. Lehrbuch und Atlas für Pflege- und Gesundheitsfachberufe. Vollständig überarbeitete und aktualisierte Neuauflage. Springer, Berlin / Heidelberg 2013, ISBN 978-3-662-05735-3.
- Lidia Lasch, Sabine Fillenberg: Basiswissen Gynäkologie und Geburtshilfe. Springer-Verlag, Berlin 2017, ISBN 978-3-662-52808-2.
- Nina Brochmann, Ellen Støkken Dahl: Viva la Vagina! Alles über das weibliche Geschlecht. S. Fischer, Frankfurt am Main 2018, ISBN 978-3-10-397338-9.
- Naomi Wolf: Vagina. Eine Geschichte der Weiblichkeit. 2. Auflage. Rowohlt, Reinbek 2019, ISBN 978-3-499-62691-3.
- Souzan AlSabah: Vulvina intersektional. Körper – Macht – Empowerment. Stolzeaugen Books, Köln 2023, ISBN 978-3-949258-03-9.
Weblinks
- Vagina und Vulva. Auf: amboss.com; Letzte Aktualisierung: 22. März 2022.
- Pussypedia.net. Aufklärungsportal mit frei zugänglichen Materialien zu Physiologie, Gesundheit und Hygiene von Vagina und Vulva. Abruf: 6. April 2023. (in Englisch)
Einzelnachweise
- ↑ Bernhard Kroenig: I. Abschnitt. Anatomie, Entwickelung und Störungen der Entwickelung der weiblichen Genitalien. Kapitel I. Anatomie. Vagina. In: Lehrbuch der Gynäkologie. Via: med-serv.de. 1910, abgerufen am 30. März 2022.
- ↑ a b c d Vagina. In: Stephan Dressler, Christoph Zink (Hrsg.): Pschyrembel Wörterbuch Sexualität. De Gruyter, Berlin 2003, ISBN 3-11-016965-7, S. 563.
- ↑ Fred T. Given Jr., Kenneth Muhlendorf, Gary M. Browning: Vaginal length and sexual function after colpopexy for complete uterovaginal eversion. In: American Journal of Obstetrics and Gynecology. Band 169, Ausgabe 2, 1993, S. 284–288.
- ↑ Kurt T. Barnhart, Adriana Izquierdo, E. Scott Pretorius et al.: Baseline dimensions of the human vagina. In: Human Reproduction. Band 21, Ausgabe 6, Juni 2006, S. 1618–1622.
- ↑ a b c Arne Schäffler, Nicole Menche: Mensch – Körper – Krankheit. Biologie, Anatomie, Physiologie. 3., überarbeitete Auflage. Urban & Fischer, München 1999, ISBN 3-437-55192-2, S. 396.
- ↑ a b c Thomas Löning, Lutz Riethdorf: Pathologie der weiblichen Genitalorgane III: Pathologie des Uterus, der Vagina und Vulva. (= Spezielle pathologische Anatomie. Band 20, Nr. 3). Springer, Heidelberg / Berlin 2001, ISBN 3-540-66372-X, S. 117 ff.
- ↑ a b c d W. Kahle, H. Leinhardt, W. Platzer (Hrsg.): Taschenatlas der Anatomie für Studium und Praxis. Band 2: Innere Organe. 5. Auflage. Thieme, Stuttgart 1986, ISBN 3-23-492105-7, S. 302–303.
- ↑ a b Walther Graumann: CompactLehrbuch Anatomie 3. Schattauer, Stuttgart / New York 2004, ISBN 3-7945-2063-7, S. 318.
- ↑ Giulia Sissa: The hymen is a problem, still. Virginity, Imperforation, and Contraception, from Greece to Rome. In: EuGeStA. Band 3, 2013, S. 67–123 (Researchgate.net).
- ↑ Elisabeth Raith-Paula: Was ist los in meinem Körper? Knaur MensSana, 2019, ISBN 978-3-426-65854-3.
- ↑ Karlheinz A. Rosenbauer: Genitalorgane. Rowohlt, Hamburg 1969.
- ↑ Per Olov Lundberg: Die periphere Innervation der weiblichen Genitalorgane. In: Sexuologie. Band 9, Nr. 3, 2002, S. 98–106 (Volltext als PDF).
- ↑ Vaginalflora. In: Stephan Dressler, Christoph Zink (Hrsg.): Pschyrembel Wörterbuch Sexualität. De Gruyter, Berlin 2003, ISBN 3-11-016965-7, S. 564.
- ↑ Arne Schäffler, Nicole Menche: Mensch – Körper – Krankheit. 3. Auflage. Urban & Fischer, München 1999, S. 401.
- ↑ Barbara Ehret, Mirjam Roepke-Buncsak: Frauenkörper Gesundheit Leben. Diana Verlag, München 2008, ISBN 978-3-453-28513-2.
- ↑ a b James G. Pfaus, Gonzalo R. Quintana, Conall Mac Cionnaith, Mayte Parada: The whole versus the sum of some of the parts: toward resolving the apparent controversy of clitoral versus vaginal orgasms. In: Socioaffective Neuroscience & Psychology. Band 6, Nr. 1, Januar 2016, ISSN 2000-9011, S. 32578, doi:10.3402/snp.v6.32578, PMID 27791968, PMC 5084726 (freier Volltext) – (tandfonline.com [abgerufen am 2. September 2024]).
- ↑ Mary Jane Sherfey: Die Potenz der Frau. CLEPTO-Reprint, Luxemburg 1974.
- ↑ Jutta Menschik: Feminismus. Pahl-Rugenstein, Köln 1977, ISBN 3-7609-0288-X, S. 211.
- ↑ “The amount of time of sexual arousal needed to reach orgasm is variable – and usually much longer – in women than in men; thus, only 20–30 % of women attain a coital climax. b. Many women (70–80%) require manual clitoral stimulation…” Joseph A. Flaherty, John Marcell Davis, Philip G. Janicak: Psychiatry: Diagnosis & therapy. A Lange clinical manual. Appleton & Lange (Original from Northwestern University), 1993, ISBN 0-8385-1267-4, S. 544.
- ↑ Shere Hite: “I was making the point that clitoral stimulation wasn’t happening during coitus. That’s why women ‘have difficulty having orgasms’ – they don’t have difficulty when they stimulate themselves.” Tracey Cox: “It’s disappointing that one of Hite’s main messages – that 70 per cent of women don’t have orgasms through penetration – is not completely accepted today. Plenty of women don’t feel comfortable admitting it, even to themselves, for fear their partners will love them less. But women are far more experimental now.” Shere Hite: Shere Hite: On female sexuality in the 21st century. In: The Independent. 30. April 2006, abgerufen am 10. April 2011.
- ↑ Elisabeth Anne Lloyd: The case of the female orgasm: bias in the science of evolution. Harvard University Press, 2005, ISBN 0-674-01706-4, S. 53 (books.google.com [abgerufen am 5. Januar 2012]).
- ↑ Karlheinz A. Rosenbauer: Genitalorgane. Anatomie und Physiologie. 1. Auflage. Rowohlt, Reinbek bei Hamburg 1969.
- ↑ Hubert Walter: Sexual- und Entwicklungsbiologie des Menschen. Thieme, Stuttgart 1978, ISBN 3-13-558701-0, S. 8.
- ↑ M. Schünke, E. Schulte, U. Schumacher: Prometheus: Innere Organe. 4. Auflage. Thieme, Stuttgart 2015, S. 61–64.
- ↑ S2k-Leitlinie Weibliche genitale Fehlbildungen der Deutschen Gesellschaft für Gynäkologie und Geburtshilfe, der Österreichischen Gesellschaft für Gynäkologie und Geburtshilfe und der Schweizerischen Gesellschaft für Gynäkologie und Geburtshilfe. In: AWMF online (Stand 04/2020).
- ↑ Eintrag zu 46,XY-Gonadendysgenesie, vollständige. In: Orphanet (Datenbank für seltene Krankheiten), abgerufen am 30. Juni 2023.
- ↑ Vagina-Lageanomalien. In: Stephan Dressler, Christoph Zink (Hrsg.): Pschyrembel Wörterbuch Sexualität. De Gruyter, Berlin 2003, ISBN 3-11-016965-7, S. 564.
- ↑ Cystocele (Prolapsed Bladder). In: National Institute of Diabetes and Digestive and Kidney Diseases. (nih.gov [abgerufen am 28. Dezember 2017]).
- ↑ Ida Ismail, Sarah Creighton: Surgery for intersex. In: Reviews in Gynaecological Practice. Band 5, Nr. 1, 2005, S. 57–64, doi:10.1016/j.rigp.2004.10.004.
- ↑ Fatale Fürsorge. Abgerufen am 19. Mai 2023.
- ↑ Hauptforderung: Genitalverändernde Operationen an intergeschlechtlich geborenen Kindern verbieten. In: Intersexuelle Menschen e. V. (Hrsg.): Fakten zu Intergeschlechtigkeit. Nr. 2, 2020 (Volltext als PDF Auf: selbstverstaendlich-vielfalt.de).
- ↑ Bakterielle Vaginose: Ursachen. In: frauenaerzte-im-netz.de. 4. Mai 2018, abgerufen am 16. August 2021.
- ↑ a b Vaginitis. In: Stephan Dressler, Christoph Zink (Hrsg.): Pschyrembel Wörterbuch Sexualität. De Gruyter, Berlin 2003, ISBN 3-11-016965-7, S. 566 (pschyrembel.de).
- ↑ Vaginaltumor. In: Stephan Dressler, Christoph Zink (Hrsg.): Pschyrembel Wörterbuch Sexualität. De Gruyter, Berlin 2003, ISBN 3-11-016965-7, S. 565 (Pschyrembel).
- ↑ Scheidenriss. In: Stephan Dressler, Christoph Zink (Hrsg.): Pschyrembel Wörterbuch Sexualität. De Gruyter, Berlin 2003, ISBN 3-11-016965-7, S. 457 (pschyrembel.de).
- ↑ T. Stricker, F. Navratil, F. H. Sennhauser: Vaginal foreign bodies. In: Journal of Paediatrics and Child Health. Band 40, Nr. 4, April 2004, ISSN 1034-4810, S. 205–207, doi:10.1111/j.1440-1754.2004.00338.x (wiley.com [abgerufen am 16. August 2021]).
- ↑ Osman Balci, Halime Goktepe, Alaa S. Mahmoud, Ali Acar: Intravaginal Foreign Bodies Placed in the Vagina to Treat Uterine Prolapse Retained for 35 Years. In: Taiwanese Journal of Obstetrics and Gynecology. Band 48, Nr. 4, Dezember 2009, S. 431–433, doi:10.1016/S1028-4559(09)60340-5 (elsevier.com [abgerufen am 16. August 2021]).
- ↑ Intravaginaler Fremdkörper. In: Stephan Dressler, Christoph Zink (Hrsg.): Pschyrembel Wörterbuch Sexualität. De Gruyter, Berlin 2003, ISBN 3-11-016965-7, S. 151 (pschyrembel.de).
- ↑ N. V. Raghavaiah, A. I. Devi: Primary vaginal stones. In: The Journal of urology. Band 123, Nr. 5, Mai 1980, S. 771–772, ISSN 0022-5347. PMID 7420576.
- ↑ a b c Alan Garely, William Mann: Urogenital tract fistulas in women. In: uptodate.com. Wolters Kluwer, 10. Februar 2021, abgerufen am 30. Dezember 2021 (englisch).
- ↑ a b c Marc Toglia: Rectovaginal and anovaginal fistulas. In: uptodate.com. Wolters Kluwer, 21. Juni 2021, abgerufen am 30. Dezember 2021 (englisch).
- ↑ Werner Böcker et al.: Pathologie. 5. Auflage. Urban & Fischer, München 2012, ISBN 978-3-437-42384-0, S. 782 f.
- ↑ a b c Sarah Gruber, Stefanie Blanck: BASICS Gynäkologie und Geburtshilfe. 5. Auflage. Urban & Fischer, München 2015, ISBN 978-3-437-42155-6, S. 46 f.
- ↑ Brian Kaltenecker, Richa Tikaria: Vaginal Cancer. In: StatPearls. StatPearls Publishing, Treasure Island (FL) 2021, PMID 32644552 (nih.gov [abgerufen am 29. Dezember 2021]).
- ↑ Tracey S. Adams, Mauricio A. Cuello: Cancer of the vagina. In: International Journal of Gynecology & Obstetrics. Band 143, Oktober 2018, S. 14–21, doi:10.1002/ijgo.12610 (wiley.com [abgerufen am 29. Dezember 2021]).
- ↑ Amer Karam, Jonathan S. Berek, Elizabeth A. Kidd: Vaginal Cancer. In: uptodate.com. Wolters Kluwer, 12. November 2021, abgerufen am 29. Dezember 2021 (englisch).
- ↑ Mallika Anand: Female sexual pain: Differential diagnosis. In: uptodate.com. Wolters Kluwer, 16. November 2021, abgerufen am 10. März 2022 (englisch).
- ↑ Vaginalring. In: Frauenärzte im Netz. Abgerufen am 27. Juni 2021.
- ↑ Lokale Estriolgabe als Dauertherapie sinnvoll. In: GynDepesche. GFI. Der Medizin-Verlag, 2010, abgerufen am 27. Juni 2021.
- ↑ Friedrich Kluge: Etymologisches Wörterbuch der deutschen Sprache. 31. Dezember 1989, S. 627, doi:10.1515/9783110845037.
- ↑ Jennifer Ingleheart: Masculine Plural: Queer Classics, Sex, and Education. Oxford University Press, 2018, ISBN 978-0-19-255160-3, S. 287 (google.co.uk [abgerufen am 16. August 2021]).
- ↑ Realdo Colombo: De re anatomica. Bevilacqua, Nicolò, 1559, S. 241–242 (archive.org [abgerufen am 16. August 2021] (“colli, vel cervicis nomine in utero non corpus illud, quod supra descriptimus; sed partem illam intelligimus, in quam mentula, tanquam in vaginam immittitur, cuius longitudo est, quantum undecim digiti apicibus metiri possumus;…”)).
- ↑ Scheide. In: Etymologisches Wörterbuch der deutschen Sprache. De Gruyter, 1963, ISBN 3-11-169884-X, S. 641, doi:10.1515/9783111698847-025.
- ↑ Günter Thiele, Heinz Walter (Hrsg.): Reallexikon der Medizin und ihrer Grenzgebiete, Verlag Urban & Schwarzenberg, Loseblattsammlung, München / Berlin / Wien 1974, Band 6 (S–Zz), ISBN 3-541-84006-4, S. V 1.
- ↑ Ludwig August Kraus: Kritisch-etymologisches medicinisches Lexikon. 3. Auflage, Verlag der Deuerlich- und Dieterichschen Buchhandlung, Göttingen 1844, S. 1080 f. archive.org; archive.org.
- ↑ Nora Burgard-Arp: Nennt sie beim Namen! In: zeit.de. 18. Oktober 2017, abgerufen am 2. Oktober 2021.
- ↑ Laura Ewert: Die Vagina ist in der Sprache unterrepräsentiert. In: Die Welt. 3. November 2015 (welt.de [abgerufen am 2. Oktober 2021]).
- ↑ Nadja Katzenberger: Mumu und Pipimann oder Vagina und Penis? In: apotheken-umschau.de. 31. August 2020, abgerufen am 2. Oktober 2021.
- ↑ Carolina Schwarz: „Sex Education“ und „Goop Lab“: Vulva – was war das nochmal? In: Die Tageszeitung: taz. 10. Februar 2020, ISSN 0931-9085 (taz.de [abgerufen am 24. Juni 2021]).
- ↑ Orlando Brix: Nicht nur Frauen menstruieren! Ein Kommentar. In: UnAuf ONLINE. 24. Juni 2020, abgerufen am 25. Juni 2021 (deutsch).
- ↑ Alisa Tretau (Hrsg.): Nicht nur Mütter waren schwanger. Unerhörte Perspektiven auf die vermeintlich natürlichste Sache der Welt. edition assemblage, Münster 2018, ISBN 978-3-96042-041-5.
- ↑ Mithu M. Sanyal: Vulva. Die Enthüllung des unsichtbaren Geschlechts. Berlin 2009, ISBN 978-3-8031-3629-9.
- ↑ Laura Mérrit (Hrsg.): Frauenkörper neu gesehen. Berlin 2012, ISBN 978-3-936937-93-0.
- ↑ Louie Läuger: »da unten«. Unrast, Münster 2019, ISBN 978-3-89771-324-6.
- ↑ Mithu Sanyal: Die Vulva-Attacke. In: emma. de. 1. Juli 2009, abgerufen am 24. Juni 2021.
- ↑ Laura Backes, Ann-Katrin Müller, Ann-Kathrin Nezik: Mit Jutebeuteln und Muschi-Tattoos. In: Der Spiegel. Heft 19/2017.
- ↑ Bini Adamczak: Come on. In: Missy Magazine. 8. März 2016, abgerufen am 16. August 2021 (deutsch).
- ↑ Maïa Mazaurette: Sexualité : circlusion, « power bottom »… quand la pénétration se réinvente. In: Le Monde.fr. 28. Februar 2021 (lemonde.fr [abgerufen am 16. August 2021]).
- ↑ Karen Sinclair: Mischief on the Margins: Gender Primogeniture, and Cognatic Descent among the Maori. In: Linda Stone (Hrsg.): New Directions in Anthropological Kinshi. Rowman & Littlefield Publishers, Lanham 2001, ISBN 0-585-38424-X, S. 164 (google.de).
- ↑ Hilda Hutcherson: What Your Mother Never Told You About Sex. Perigee, New York 2003, ISBN 0-399-52853-9, S. 8 (google.de).
- ↑ Ulrike Baureithel: Ursprung der Welt. In: Der Tagesspiegel. 5. Mai 2009, abgerufen am 27. Juni 2021.
- ↑ Yoni. Hinduism. In: Encyclopedia Britannica. Abgerufen am 27. Juni 2021 (englisch).
- ↑ Eve Ensler: Die Vagina-Monologe. Nachwort von Gloria Steinem. 1. Auflage. nautilus, Hamburg 2000, ISBN 3-89401-345-1, S. 105.
- ↑ Joanne McMahon, Jack Roberts: The Sheela-na-gigs of Ireland & Britain. Mercier Press, 2001, ISBN 1-85635-294-3.
- ↑ Paola Uparella, Carlos A. Jáuregui: The Vagina and the Eye of Power (Essay on Genitalia and Visual Sovereignty). In: H-ART. REVISTA DE HISTORIA, TEORIA Y CRITICA DE ARTE. 26. Juli 2018, doi:10.25025/hart03.2018.04 (edu.co [abgerufen am 3. Oktober 2021]).
- ↑ Sofia Gotti: Mari Chordà. In: tate.org.uk. September 2015, abgerufen am 3. Oktober 2021 (britisches Englisch).
- ↑ Elizabeth S. Hawley: Shigeko Kubota. In: MoMA. 2016, abgerufen am 25. Juni 2021.
- ↑ Annika Öhrner: Niki de Saint Phalle Playing with the Feminine in the Male Factory: HON – en katedral. In: stedelijkstudies.com. Abgerufen am 25. Juni 2021 (britisches Englisch).
- ↑ Quinn Moreland: Forty Years of Carolee Schneemann’s “Interior Scroll”. In: hyperallergic.com. 29. August 2015, abgerufen am 3. Oktober 2021 (amerikanisches Englisch).
- ↑ ‘Interior Scroll’, Carolee Schneemann, 1975. In: tate.org.uk. Abgerufen am 3. Oktober 2021 (britisches Englisch).
- ↑ „I thought of the vagina in many ways – physically, conceptually: as a sculptural form, an architectural referent, the source of sacred knowledge, ecstacy, birth passage, transformation.“ In: Bruce R. McPherson: More than meat joy: CaroLee Schneemann performance works and selected writings. McPherson, New York 1979/ 2. Ausgabe 1997, S. 234-9, bzw. S. 238–9.
- ↑ Marissa Calligeros: Melbourne artist Casey Jenkins' vaginal knitting prompts social media disgust. In: smh.com.au. 7. August 2015, abgerufen am 25. Juni 2021 (englisch).
- ↑ Karen Chernick: 10 Female Performance Artists You Should Know, from Ana Mendieta to Carolee Schneemann. In: artsy.net. 20. Dezember 2017, abgerufen am 3. Oktober 2021 (englisch).
- ↑ Terri Kapsalis: Public Privates: Performing Gynecology from Both Ends of the Speculum. Duke University Press, 1997, ISBN 0-8223-1921-7, S. 113 ff. (google.de [abgerufen am 3. Oktober 2021]).
- ↑ Sprinkle. In: vaginamuseum.at. Abgerufen am 3. Oktober 2021.
- ↑ Nackte Künstlerin presst Eier aus ihrer Vagina. In: stern.de. 17. April 2014, abgerufen am 25. Juni 2021.
- ↑ Bob Lansroth: Vandals Attack Queen's Vagina Sculpture by Anish Kapoor at Versailles Again! In: widewalls.ch. 7. September 2015, abgerufen am 25. Juni 2021 (englisch).
- ↑ Vance Randolph: Blow the Candle Out. "Unprintable" Ozark Folksongs and Folklore. Hrsg.: G. Legman. Band 2. University of Arkansas Press, Fayetteville 1992, ISBN 1-61075-076-4 (google.de [abgerufen am 14. Juli 2021]).
- ↑ Henrike Thomsen: Vagina-Monologe: Von Glumsen und Glitschen. In: Spiegel Online. 19. Mai 2000, abgerufen am 17. Oktober 2019.
- ↑ Gemma Angel: Pulling Teeth: Ovarian Teratomas & the Myth of Vagina Dentata. In: University College London. 4. März 2013, abgerufen am 27. Juni 2021 (englisch).
- ↑ Bärbel Vischer: vagina dentata – eine neue Arbeit von Toni Schmale in der MAK-Sammlung. In: blog.mak.at. 5. Februar 2021, abgerufen am 14. Juli 2021 (deutsch).
- ↑ Michelle Hegmann: Am Anfang war sie heilig: Naomi Wolf präsentiert in „Vagina. Eine Geschichte der Weiblichkeit“ Geschlechtervorurteile im wissenschaftlichen Gewand : literaturkritik.de. In: literaturkritik.de. 18. Oktober 2019, abgerufen am 6. April 2023.
- ↑ Laurie Penny: Laurie Penny on the problem with Naomi Wolf’s vagina. In: New Statesman. 10. September 2012, abgerufen am 6. April 2023 (amerikanisches Englisch).
- ↑ Hannah Pilarczyk: Naomi Wolfs neues Sachbuch Vagina spaltet die Kritiker. In: Der Spiegel. 19. Mai 2013, ISSN 2195-1349 (spiegel.de [abgerufen am 6. April 2023]).