Xanthogranulomatöse Pyelonephritis
| Klassifikation nach ICD-10 | |
|---|---|
| N11.0 | Nichtobstruktive, mit Reflux verbundene chronische Pyelonephritis |
| N11.1 | Chronische obstruktive Pyelonephritis |
| N11.8 | Nichtobstruktive chronische Pyelonephritis o. n. A. |
| N20.9 | Pyelonephritis bei Harnsteinen |
| ICD-10 online (WHO-Version 2019) | |
Die Xanthogranulomatöse Pyelonephritis ist eine seltene Form einer chronischen Pyelonephritis mit Bildung von gelblichen Granulomen und Abszessen mit ausgeprägter Parenchymzerstörung der Niere. Die Bezeichnung kommt von altgriechisch ξανθός xanthós, deutsch ‚gelb‘.[1][2][3][4]
Synonyme sind: XP; XPN; Xantho-PN; XGP
Die Erstbeschreibung als „Xanthogranuloma“ stammt aus dem Jahre 1916 durch den Österreichischen Pathologen Friedrich Schlagenhaufer[5], die Bezeichnung wurde von S. Osterlind im Jahre 1944 geprägt.[6]
Verbreitung
Die Erkrankung macht weniger als 1 % der chronischen Pyelonephritiden aus.[4] Die Häufigkeit wird mit 1,4 zu 100.000 angegeben, das weibliche Geschlecht ist im Verhältnis 2-4:1 häufiger betroffen.[2] Die Erkrankung kann in jeder Altersgruppe auftreten, gehäuft im mittleren bis höheren Lebensalter, bei Kindern gehäuft vor dem 8. Lebensjahr und dann beim männlichen Geschlecht häufiger.[4] Patienten mit Diabetes mellitus tragen ein höheres Erkrankungsrisiko.[3]
Eine XPN wird bei etwa 20 % der Gewebeuntersuchungen von operierten Nieren mit Pyelonephritis gefunden,[7] bei Nephrektomiepräparaten kindlicher Patienten bei etwa 16 %.[4]
Ursache
Prädisponierende Faktoren sind Abflussbehinderung und Harnwegsinfekt. In 40–80 % liegen Nierensteine vor, seltener tumorbedingte Stenose, Fehlbildungen. Die häufigsten Keime sind Proteus mirabilis (57 %), Escherichia coli (47 %), Klebsiellen (41 %).[1][2][4]
Klinische Erscheinungen

Klinische Kriterien sind:[2]
- meist einseitig vergrößerte Niere
- Flankenschmerz in 70 %
- Fieber und Schüttelfrost in 70 %
- tastbare Raumforderung
- fortbestehende Bakteriurie
- Allgemeines Krankheitsgefühl und Gewichtsverlust
Assoziiert sein können Diabetes mellitus, Fettstoffwechselstörungen, Lymph- abflussstörungen, Immunschwäche und Störungen der Leukozytenfunktion.[1]
Klassifikation
Neben der diffusen Form (90 %) gibt es noch eine fokale, tumorartige Form der Erkrankung.[3]
Für die Stadieneinteilung der Erkrankung existieren zwei Klassifikationen[1][4], einmal aus dem Jahre 1972 von R. Malek und Mitarbeitern[8]
- Stadium I: auf die Niere begrenzt
- Stadium II: Ausdehnung perirenal innerhalb der Gerota-Faszie
- Stadium III: Ausdehnung über die Faszie hinaus in pararenalen und retroperitonäalen Raum
In Deutschland ist die „Erlanger Klassifikation“ gebräuchlich.[9]
- Grad 1:nur ein Nierenpol betroffen, Behandlung durch Polresektion
- Grad 2: gesamte Niere verändert, Nephrektomie erforderlich
- Grad 3: Nierenkapsel durchbrochen, nicht die Gerota'sche Faszie, radikale Nephrektomie notwendig
- Grad 4: Ausdehnung über die Faszie, radikale Nephrektomie
- Grad 5: Ausdehnung in die Thoraxhöhle und/oder das Abdomen mit Beteiligung von Lunge, Milz, Darm, nur Teilresektion oder subkapsuläre Nephrektomie möglich
Diagnostik
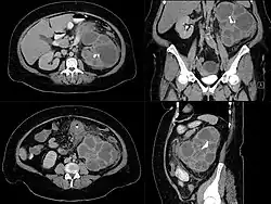
Die Diagnosestellung kann recht schwierig sein, Hauptdifferentialdiagnose ist das Nierenkarzinom. Nicht selten wird die Diagnose erst in der Gewebsuntersuchung gestellt.[2] Im Urinsediment Leukozyturie, Bakteriurie und manchmal Xanthomzellen, im Blutserum Leukozytose, erhöhte BSG und erhöhtes CRP. Teilweise oder komplett tumorartig vergrößerte Niere bei erhaltenem anatomischem Aufbau mit unregelmäßig erhöhter Echogenität im Nierenultraschall, im AUR fehlende oder stark verminderte Ausscheidung.[10] Nierensteine können vorliegen. Die präoperative Abklärung umfasst Computertomografie und/oder Magnetresonanztomographie, letztere bei Kindern und bestehender Niereninsuffizienz.[2][4]
Differentialdiagnostik
bei weitgehend komplett betroffener Niere
bei fokal betroffener Niere
- Nierentuberkulose
- Nierenkarzinom
- Urothelkarzinom
- renale Malakoplakie
- Nierenabszess
- Angiomyolipom
- extrapulmonale Sarkoidose
- Aktinomykose
- Renal replacement lipomatosis[11]
- Perinephric myxoid pseudotumor of fat[12]
Therapie
Die Behandlung besteht zumeist in der (partiellen) Nephrektomie mit perioperativer Antibiotikagabe.[2]
Literatur
- T. L. Jang, T. McKoy, J. Hakim, H. M. Polenakovik: Xanthogranulomatous pyelonephritis – A diagnostic and therapeutic dilemma. In: The American journal of the medical sciences. Band 365, Nummer 3, März 2023, S. 294–301, doi:10.1016/j.amjms.2022.11.004, PMID 36473546 (Review).
- A. Saadi: Xanthogranulomatöse Pyelonephritis: Von der Diagnose zur Behandlung. 2022, ISBN 620-4-77750-5, ISBN 978-620-4-77750-4
- Leo Pallwein-Prettner, J Röper-Kelmayr, Franz A. Fellner: Xanthogranulomatöse Pyelonephritis: diagnostische Wertigkeit der MRT. In: RöFo – Fortschritte auf dem Gebiet der Röntgenstrahlen und der bildgebenden Verfahren. 2011, Band 183, Nummer S 01 doi:10.1055/s-0031-1279658.
- Vahudin Zugor, K Amann, K. M. Schrott, G. Schott: Xanthogranulomatöse Pyelonephritis: Präsentation eines ungewöhnlichen Falles. In: Aktuelle Urologie. 2005, Band 36, Nummer 3, S. 245–248 doi:10.1055/s-2004-830194.
- M. Bingöl-Koloğlu, A. O. Ciftçi, M. E. Senocak, F. C. Tanyel, I. Karnak, N. Büyükpamukçu: Xanthogranulomatous pyelonephritis in children: diagnostic and therapeutic aspects. In: European journal of pediatric surgery : official journal of Austrian Association of Pediatric Surgery.. [et al] = Zeitschrift fur Kinderchirurgie. Band 12, Nummer 1, Februar 2002, S. 42–48, doi:10.1055/s-2002-25085, PMID 11967759.
- A. Sigel, R.-H. Ringert (Hrsg.): Kinderurologie. 2. Auflage, Springer, Berlin 2001, ISBN 3-662-08081-8 (Print) / ISBN 978-3-662-08080-1 (E-book), S. 497.
Einzelnachweise
- ↑ a b c d Vahudin Zugor, K Amann, G. Schott: Diagnostic procedures and therapeutic options in xanthogranulomatous pyelonephritis. In: DMW - Deutsche Medizinische Wochenschrift. 2006, Band 131, Nummer 4, S. 161–164 doi:10.1055/s-2006-924940.
- ↑ a b c d e f g Dirk Manski: Diagnose und Therapie der Xanthogranulomatösen Pyelonephritis (XP). In: Urologielehrbuch
- ↑ a b c d Radiopaedia
- ↑ a b c d e f g h emedicine
- ↑ F. Schlagenhaufer: Über eigentümliche Staphylomycosen der Nieren und des pararenalen Bindegewebes. In: Frankfurter Zeitschrift für Pathologie, Band 19, S. 139, 1916.
- ↑ S. Osterlind: Über Pyelonephritis xanthomatosa. In: Acta chirurgica Scandinavica, Band 90, S. 369-376, 1944.
- ↑ F. Korkes, R. L. Favoretto, M. Bróglio, C. A. Silva, M. G. Castro, M. D. Perez: Xanthogranulomatous pyelonephritis: clinical experience with 41 cases. In: Urology. Band 71, Nummer 2, Februar 2008, S. 178–180, doi:10.1016/j.urology.2007.09.026, PMID 18308077 (Review).
- ↑ Reza S. Malek, Laurence F. Greene, James H. DeWeerd, George M. Farrow: Xanthogranulomatous Pyelonephritis. In: British Journal of Urology. 1972, Band 44, Nummer 3, S. 296–308 doi:10.1111/j.1464-410x.1972.tb10080.x.
- ↑ A. Sigel, P. M. Swoboda, K. M. Schrott: Die xanthogranulomatöse Pyelonephritis bei Kindern und Erwachsenen. In: Urologe A Band 24, S. 20-24, 1985
- ↑ J. Tröger: Niere und ableitende Harnwege. In: W. Schuster, D. Färber (Hrsg.): Kinderradiologie. Bildgebende Diagnostik. 2. Aufl., S. 675ff, 1996, ISBN 3-540-60224-0.
- ↑ S. P. Wahal, K. Mardi: Idiopathic renal replacement lipomatosis: a rare renal pseudo tumor. In: Journal of cancer research and therapeutics. Band 10, Nummer 2, 2014, S. 428–430, doi:10.4103/0973-1482.136680, PMID 25022415 (Review).
- ↑ M. Amato, P. Piazza, I. Ferrari, S. Biolcati, T. Franceschini, S. Puliatti, S. Micali, F. Manferrari: Rare perinephric myxoid pseudotumor of fat causing ureteropelvic junction obstruction: a case report. In: CEN case reports. Band 12, Nummer 2, Mai 2023, S. 210–214, doi:10.1007/s13730-022-00746-7, PMID 36378461, PMC 1015142 (freier Volltext).
Weblinks
- Suman K. Jha; Stephen W. Leslie; Narothama R. Aeddula: Xanthogranulomatous Pyelonephritis. In: Statpearls [Internet.], 2024