Zahnwanderung

Unter Zahnwanderung versteht man in der Zahnmedizin die Lageänderung oder Verschiebung von Zähnen oder Zahngruppen.[1] Sie stellt eine besondere Form der Zahnektopie dar. Durch eine Zahnwanderung oder eine Zahnverschiebung kann die harmonische Okklusion des Gebisses instabil werden.
Ursachen der Zahnwanderung
Die physiologischen und pathologischen Ursachen der Zahnverschiebungen und Stellungsänderungen sind vielfältig.
Parodontitis
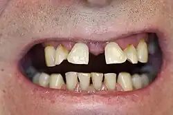
Die häufigsten Ursachen für eine Zahnwanderung sind Lockerungen der Zähne bei Parodontalerkrankungen. Oft treten diese Zahnwanderungen noch vor einer spürbaren Zahnlockerung auf. Dabei ist der Zahnhalteapparat, mittels dessen die Zähne im Kieferknochen verankert sind, bereits deutlich zerstört, die knöcherne Verankerung der Wurzeln ist insuffizient. Ein typisches Bild ist dabei die Auffächerung (Kippungen) der sechs oberen Frontzähne nach vestibulär (zum Mundvorhof hin), die durch den Zungendruck oder durch das Anschwellen parodontaler Gewebe während der aktiven Entzündungsphase nach vorne kippen.[2] Dadurch vergrößert sich der Radius des Zahnbogens und es treten charakteristische Lücken zwischen den Oberkiefer-Frontzähnen auf. Weiter gefördert wird diese Zahnwanderung durch den Druck der Unterkiefer-Frontzähne von palatinal, insbesondere bei einem sogenannten tiefen Biss. Ausgeprägte Hyperplasien, beispielsweise nach Hydantoineinnahme, können Zahnwanderungen verursachen.[3]
Zahnverlust
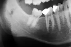
Eine weitere Ursache für eine Zahnwanderung bzw. Zahnverschiebung kann auch Zahnverlust sein, beispielsweise durch notwendig gewordene Extraktionen (Zahnentfernungen). Bleibt die dadurch entstandene Zahnlücke unversorgt, können sich die Nachbarzähne im Sinne eines kompensatorischen Lückenschlusses allmählich zur Lücke zu bewegen. Alternativ kommt es zu Kippungen der Nachbarzähne.
Kieferorthopädische Therapie
Im Rahmen einer kieferorthopädischen Behandlung werden noch nicht durchgebrochene Nachbarzähne im Sinne einer iatrogenen Zahnverschiebung bei der Extraktionstherapie – ohne Kippung – körperlich Richtung Extraktionslücke bewegt. Dabei erfolgt eine systematische Extraktion der ersten Molaren kurz vor dem Durchbruch der zweiten Molaren. Nachließen erfolgt die Zahnbewegung.
Physiologische Zahnwanderung
Durch die dynamische Okklusion (Zusammenbiss) in Verbindung mit der Zahnbeweglichkeit kommt es zu einem physiologischen Abrieb (Abrasio dentium) der Approximalkontakte (der seitlichen punktförmigen Kontaktpunkte) der Zahnkronen. Dadurch werden die Kontaktpunkte im Laufe der Lebensjahre abnutzungsbedingt leicht flächig, wodurch sich die Länge des gesamten Zahnbogens um 2 bis 5 mm leicht verkürzt und es zu einer Mesialdrift der Zähne kommt.
Elongation
Nach einer Extraktion ist im Gegenkiefer eine Elongation zu beobachten. Diese Elongation stellt eine Verschiebung von Zähnen – um wenige Millimeter – in die Zahnlücke des Gegenkiefers dar. Obwohl umgangssprachlich von „Zahnverlängerung“ gesprochen wird, werden die Zähne nur scheinbar länger, denn es wird nur der sichtbare Anteil des Zahnes wegen der Vertikalverschiebung des Zahnes vergrößert. Elongationen sind besonders im Oberkiefer zu beobachten.
Okklusaldrift
Der okklusale Drift soll den Schmelzverlust an den Höckern der Kaufläche ausgleichen, der durch jahrelange Kautätigkeit durch Abrasion verursacht wird. Das apikale Wurzelzement verdickt sich durch Zementauflagerungen an der Wurzelspitze. Gleichzeitig erfolgt ein Knochenaufbau am Boden der Alveole durch neu gebildete Knochensubstanz.[4]
Parafunktionen
Eine weitere Ursache für Zahnwanderungen können Parafunktionen (Fehlfunktionen) wie Bruxismus (Zähneknirschen) sein, besonders bei ungünstigem einseitigen Druck. Auch sogenannte „Habits“ (schlechte Angewohnheiten, schädliche Bewegungsmuster) neben dem Zähneknirschen, kommen als Verursacher der Zahnwanderungen in Frage, wie beispielsweise intensives, häufiges Zungenpressen, Lippendruck oder Fingerlutschen, was sich auf die Zahnstellung auswirkt. Wenn der Knochen zu großem Druck ausgesetzt ist, so kommt es an diesen Stellen zum Knochenabbau des Kieferknochens und der Zahn bewegt sich in die Richtung des Knochenabbaus. Dieser vollzieht sich im Oberkiefer durch die unterschiedliche Knochenstruktur rascher als im Unterkiefer.
Fehlkontakte
Fehlkontakte, die beispielsweise durch okklusal fehlerhaften Zahnersatz entstanden sind, können eine Zahnwanderung der Antagonisten (Gegenzähne) auslösen. Fehlkontakte müssen durch ein Einschleifen des Gebisses korrigiert werden.
Zysten und Tumoren
Durch ausgedehnte Odontogene Zysten, Nichtodontogene Zysten, Abszesse oder Tumoren kann es zu Zahnwanderungen kommen, wenn durch sie Druck auf die Zahnwurzeln ausgeübt wird.
Befundung
Gekippte oder elongierte (scheinbar verlängerte) Zähne werden im Befundschema mit Pfeilen charakterisiert, die die Richtung der Kipping, Elongation oder Zahnwanderung angeben: → bzw. ←, ↑ bzw. ↓. Ein Lückenschluss wird durch zwei gegenläufige Klammern )( angezeigt. Ist der Lückenschluss durch Zahnwanderung entstanden, werden zusätzlich Pfeile vor und/oder nach den Klammern angegeben: → )( ← .
Im nachfolgenden Beispiel ist ein Lückenschluss durch Zahnbewegung nach kieferorthopädisch notwendiger Extraktion der Prämolaren 14, 24, 34 und 44 eingezeichnet. Zwischen dem Zahn 18 und 16 erfolgte ein Lückenschluss bei fehlendem Zahn 17, indem der Zahn 18 durch Zahnwanderung nach mesial gewandert ist.[5]
| oben rechts | oben links | |||||||||||||||
|---|---|---|---|---|---|---|---|---|---|---|---|---|---|---|---|---|
| →)( | )( | )( | Befund | |||||||||||||
| 18 | 17 | 16 | 15 | 14 | 13 | 12 | 11 | 21 | 22 | 23 | 24 | 25 | 26 | 27 | 28 | Zahn- bezeichnung |
| 48 | 47 | 46 | 45 | 44 | 43 | 42 | 41 | 31 | 32 | 33 | 34 | 35 | 36 | 37 | 38 | |
| )( | )( | Befund | ||||||||||||||
| unten rechts | unten links | |||||||||||||||
Abgrenzung
- Im Rahmen des Zahndurchbruchs (Dentition) kommt es naturgemäß auch zu einer Lageänderung des Zahnes, die so lange anhält, bis sich der Zahn und seine Nachbarzähne in die Zahnreihe eingestellt haben. (erste und zweite physiologische Bisshebung). Diese Lageänderung der Zähne wird nicht zur Zahnwanderung gezählt.[6]
- Die Verschiebung von Zähnen im Rahmen einer kieferorthopädischen Therapie zwecks Änderung der Position der Zähne (Zahnstellungsänderung) wird nicht als Zahnwanderung bezeichnet, sondern als Zahnbewegung.
- Eine Verschiebung von Zähnen im Rahmen eines Traumas, die meist als Intrusion auftritt, stellt keine Zahnwanderung dar.
- Die Zahnwanderung (Zahnbewegung) ist auch von der physiologischen oder pathologischen Zahnbeweglichkeit („wackeln“) zu unterscheiden. Eine Zahnlockerung (1. bis 3. Grades) tritt meist in Folge von Parodontopathien oder eines Zahntraumas auf.
Vorbeugung und Behandlung
Durch rechtzeitiges Eingliedern von Zahnersatz in Form einer festsitzenden Brücke, eines Implantats oder von herausnehmbarem Zahnersatz, wie einer Teilprothese oder eines Lückenhalters im Wechselgebiss, kann einer Zahnwanderung vorgebeugt werden. Das ist allerdings nur bei Zahnwanderungen sinnvoll, die nicht parodontal bedingt sind. Im Falle einer parodontal bedingten Zahnwanderung ist eine Parodontitisbehandlung angezeigt, wodurch eine Reduktion der Entzündung und Knochenregeneration des erkrankten knöchernen Zahnhalteapparates bewirkt werden soll. Die in früheren Jahren übliche Schienung von gelockerten Zähnen mittels Verblockung mit Komposit, eventuell mit Draht verstärkt oder mit speziellen Metallschienen wurde wieder aufgegeben, da sich dadurch die Prognose des Zahnes nicht verbessern ließ.
Eine kieferorthopädische Behandlung von Zahnwanderungen ist im Rahmen der kassenzahnärztlichen Versorgung in Deutschland relativ selten. Nach einer kieferorthopädischen Behandlung der Zahnwanderung schließt sich meist eine Versorgung mit Zahnersatz an. Dabei muss die KFO-Behandlung nicht unbedingt darauf abzielen, die Zahnwanderung rückgängig zu machen, sondern sie beschränkt sich meist darauf, gekippte Zähne aufzurichten, um eine prognostisch günstigere axiale Belastung durch die danach anzufertigende Brücke oder Prothese zu ermöglichen. Falls nach einer KFO-Behandlung kein Zahnersatz angefertigt wird, wird meist ein Retainer eingesetzt, um die Situation dauerhaft zu stabilisieren.[7]
Prognose
Die Prognose kann stark variieren. Im Rahmen einer prothetischen Gesamtplanung kann die Extraktion von verschobenen/gekippten und meist gleichzeitig parodontal geschädigten Zähnen angezeigt sein.
Durch eine Zahnwanderung in einer geschlossenen Zahnreihe geht der normale Kontakt zu den Nachbarzähnen verloren, was als Kettenreaktion die nachfolgende Verschiebung weiterer Nachbarzähne auslösen kann.
Therapiekosten
In Deutschland löst eine zu erwartende Zahnwanderung nach einer Extraktion einen Leistungsanspruch des Versicherten gegenüber seiner gesetzlichen Krankenversicherung im Rahmen der vertragszahnärztlichen Versorgung aus. In den diesbezüglichen Richtlinien heißt es: „Zahnersatz ist angezeigt, wenn ein Zahn oder mehrere Zähne fehlen oder zerstört sind und wenn dadurch die Funktionstüchtigkeit des Kauorgans beeinträchtigt ist oder beeinträchtigt zu werden droht, z. B. durch Zahnwanderung oder -kippung.“[8]
Zahnwanderung bei Tieren
Im Gegensatz zum Menschen, bei dem Zahnwanderungen vor allem in mesialer Richtung erfolgen, beobachtet man bei Ratten im Fall eines Zahnverlustes eine Distalwanderung der Zähne.[9] Im Gebiss von Pferden finden zeitlebens Veränderungen statt, wie fortwährender Vorschub der Zähne aus ihren Alveolen. Dieser Vorschub beträgt je nach Autor 2–4 mm an den Schneidezähnen und 2–9 mm an den Backenzähnen.[10]
Einzelnachweise
- ↑ Walter Hoffmann-Axthelm: Lexikon der Zahnmedizin. Berlin 1995, 6. Auflage, Quintessenz Verlag, S. 817, Stichwort: Zahnwanderung. ISBN 3-87652-609-4.
- ↑ Jean-François Roulet, Stefan Zimmer: Band 16: Prophylaxe und Präventivzahnmedizin. Georg Thieme Verlag, 2002, ISBN 978-3-13-158351-2, S. 204– (google.com).
- ↑ Herbert F. Wolf, Edith M. Rateitschak, Klaus H. Rateitschak: Parodontologie. Georg Thieme Verlag, 2004, ISBN 978-3-13-655603-0, S. 106 (google.com).
- ↑ Wolfgang Gühring, Joachim Barth: Anatomie: spezielle Biologie des Kausystems. Verlag Neuer Merkur GmbH, 1992, ISBN 978-3-921280-84-3, S. 212 (google.com).
- ↑ Rudolf W. Ott: Klinik- und Praxisführer Zahnmedizin. Georg Thieme Verlag, 2003, ISBN 978-3-13-131781-0, S. 448 (google.com).
- ↑ Ernst Lauterbach: Wörterbuch ZAHN-MEDIZIN. Werner Dausien, Hanau, 1992, S. 1819, Stichwort: Zahnwanderung. ISBN 3-7684-9249-4.
- ↑ Sture Nyman and Jan Lindhe, A Longitudinal Study of Combined Periodontal and Prosthetic Treatment of Patients With Advanced Periodontal Disease, Journal of Periodontology, April 1979, Vol. 50, No. 4, S. 163–169, doi:10.1902/jop.1979.50.4.163. Abgerufen am 5. Mai 2017.
- ↑ Richtlinie des Gemeinsamen Bundesausschusses für eine ausreichende, zweckmäßige und wirtschaftliche vertragszahnärztliche Versorgung mit Zahnersatz und Zahnkronen (Zahnersatz-Richtlinie), 8. Dezember 2004, veröffentlicht im Bundesanzeiger 2005 (S. 4094) in Kraft getreten am 1. Januar 2005. Abgerufen am 5. Mai 2017.
- ↑ Thomas M. Graber, Brainerd F. Swain: Grundlagen und moderne Techniken der kieferorthopädie. Quintessenz, 1989, ISBN 978-3-87652-214-2 (google.com)., S. 161.
- ↑ Stefanie Huthmann, Stellung der Pferdebackenzähne im Kiefer und Berechnung der auf den Backenzähnen auftretenden Kaukräfte anhand eines biomechanischen Modells, Dissertation 2007. Abgerufen am 7. Mai 2017.