Darmperforation

Klassifikation nach ICD-10
K63.1 Perforation des Darmes (nichttraumatisch)
S36.4- Verletzung des Dünndarmes
S36.5- Verletzung des Dickdarmes
{{{04-BEZEICHNUNG}}}
{{{05-BEZEICHNUNG}}}
{{{06-BEZEICHNUNG}}}
{{{07-BEZEICHNUNG}}}
{{{08-BEZEICHNUNG}}}
{{{09-BEZEICHNUNG}}}
{{{10-BEZEICHNUNG}}}
{{{11-BEZEICHNUNG}}}
{{{12-BEZEICHNUNG}}}
{{{13-BEZEICHNUNG}}}
{{{14-BEZEICHNUNG}}}
{{{15-BEZEICHNUNG}}}
{{{16-BEZEICHNUNG}}}
{{{17-BEZEICHNUNG}}}
{{{18-BEZEICHNUNG}}}
{{{19-BEZEICHNUNG}}}
{{{20-BEZEICHNUNG}}}
Vorlage:Infobox ICD/Wartung {{{21BEZEICHNUNG}}}
ICD-10 online (WHO-Version 2019)
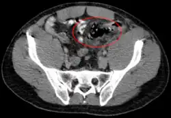
Perforation des Sigmas im Rahmen einer Divertikulitis in der Computertomographie.
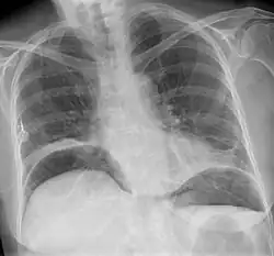
Darmperforation nach einer Koloskopie im Röntgenbild: Massiv freie Luft in der Bauchhöhle und sogar Austritt in die Weichteile der Bauchwand.

Eine Darmperforation (von lateinisch perforare ‚durchbohren, durchlöchern‘), auch Darmwandperforation, Darmruptur oder Darmdurchbruch genannt, ist eine krankhafte Öffnung der Wand des Dünndarms oder Dickdarms. Durch eine offene oder freie Perforation kann Darminhalt (auch Darmgas) in die Bauchhöhle gelangen („durchbrechen“) und dort zu einer Peritonitis (Entzündung des Bauchfells) führen.[1] Bei gedeckten Perforationen (durch Nachbarstrukturen oder Verwachsungen überdeckt) können sich Abszesse oder Fisteln zu Nachbarorganen oder anderen Darmschlingen bilden.

Als Ursachen für eine Darmperforation kommen mechanische Darmverletzungen, entzündliche oder tumoröse Prozesse, chemische oder medikamentöse Einwirkungen sowie Störungen der Durchblutung in Frage.

Ursachen

Mechanische Ursachen

In diesen Fällen entsteht das Loch durch eine direkt perforierende Einwirkung. Entsprechend ist meist auch unmittelbar bis sehr schnell im Anschluss an die Verletzung eine Symptomatik vorhanden.

Von außen wirkende Ursachen sind scharfe (Schussverletzungen, Stichverletzungen) und starke stumpfe Gewalteinwirkungen.[2]

Von innen können verschluckte Fremdkörper unmittelbar perforieren, wenn diese spitz sind oder bei Einklemmung eine allmähliche Durchbohrung der Darmwand verursachen. Ein Sonderfall mit nicht rein direkt mechanischer Ursache sind verschluckte Magnete. So kann es bei mehreren verschluckten Magneten zur Anziehung von zwei Magneten in zwei Darmschlingen kommen. Dabei werden die Darmschlingen so fixiert, dass es letztlich über eine Druckschädigung der Darmwände zwischen den Magneten zur Perforation kommt.[3][4] Verletzungen von innen sind auch durch über den After in den Darm eingeführte Fremdkörper möglich, z. B. im Rahmen von sexuellen Praktiken.

Zu den Perforationen von innen gehören auch iatrogene Perforationen im Rahmen einer Endoskopie des Dickdarms oder (sehr selten) des Dünndarms.[5] Häufiger als bei einer diagnostischen Endoskopie entstehen solche Perforationen bei therapeutischen (interventionellen) Endoskopien, z. B. bei Durchführung einer Polypektomie.

Indirekt mechanische Ursachen

Indirekt mechanische Ursachen mit der sekundären Folge einer Perforation können eine Verdrehung (Volvulus), die Einklemmung von Darm in einer Bruchlücke (Hernie) oder ein mechanischer Ileus anderer Ursache mit starkem Druckaufbau in den Darmschlingen vor dem Verschluss sein. Dies kann unter Umständen auch intrauterin bei Darmatresie auftreten oder funktionell (ohne mechanische Enge, aber mit massiver Überblähung) beim Ogilvie-Syndrom bedingt sein. In diesen Fällen wird der Darm nicht primär direkt mechanisch perforiert, sondern durch die mechanische Abschnürung oder den Druck im Darmlumen in der Durchblutung gestört und so sekundär geschädigt und letztlich durchlöchert. Diese Ursachen können somit auch bei den Durchblutungsstörungen eingruppiert werden.

Störungen der Durchblutung

Grundsätzlich stirbt ein nicht mehr durchbluteter Darmabschnitt nach einiger Zeit ab. Schon vorher verliert die Darmwand ihre mechanische Integrität und es kann zur Perforation kommen. Der typische Zeitablauf der Symptome bei einem Mesenterialinfarkt ist wegen einer Phase mit wieder nachlassenden Schmerzen besonders kritisch für die Diagnostik.[6] Erst sekundär ischämische, primär mechanische Ursachen sind eine Verdrehung (Volvulus), die Einklemmung von Darm in einer Bruchlücke (Hernie) oder ein mechanischer Ileus. Hierbei wird der Darm durch die mechanische Abschnürung oder den Druck im Darmlumen in der Durchblutung gestört und letztlich durchlöchert (siehe oben).

Entzündliche Ursachen

Bei der großen Gruppe entzündlicher Ursachen für eine Darmperforation erfolgt die Schädigung der Darmwand häufig zunächst über einen längeren Verlauf ohne oder nur mit mäßigen Beschwerden und deutlicher Zunahme der Beschwerden nach der Perforation. Zahlreiche Krankheitsbilder gehören hierher:

Chemische Substanzen / Medikamente

Auch bei der Therapie mit verschiedenen Medikamenten wie z. B. Glukokortikoiden, Erlotinib[8] oder Bevacizumab[9] kommen Perforationen des Darmes vor.

Geschichte

Schon im 19. Jahrhundert wusste man um die „vielfachen Verklebungen der Därme und der grossen Zerreisslichkeit ihrer Wandungen“.[10] Eine „Darmverengerung ist meist eine Folge chronischer Unterleibsleiden und geht zuweilen in Darmverschließung, Darmbrand und Darmdurchlöcherung über.“[11] Beschreibungen von Darmverletzungen und deren Behandlung, etwa mittels Darmnaht, gibt es seit der Antike.[12][13] Kotfisteln wurden um 1800 durch Naht verschlossen, verbreitet war später eine Methode von Joseph-François Malgaigne. Der erste Versuch der Beseitigung einer Kotfistel durch Darmresektion wurde von dem Amerikaner Kinloch 1863 unternommen.[14]

Symptomatik

Das klinische Bild kann in Abhängigkeit von der Ursache für die Perforation von Beschwerdefreiheit bis zum akuten Abdomen reichen.

Diagnostik

Freie Luft unter dem Zwerchfell bei Darmperforation

Die Diagnostik basiert auf der körperlichen Untersuchung und der Ultraschalldiagnostik. Bei Verdacht auf eine Darmperforation kann oftmals freie Luft in der Röntgenübersicht oder in der Computertomographie (deutlich sensitiver) nachgewiesen werden. Die Computertomographie kann darüber hinaus häufig die Ursache (z. B. Divertikulitis, Tumor des Dickdarms) identifizieren oder Komplikationen (z. B. Abszess, Fistel) aufdecken.

Therapie

Die Therapie hängt stark von der zugrundeliegenden Ursache ab und kann von konservativ abwartend bis zur Notfall-Operation reichen.

Siehe auch

Literatur

  • Mark W. Jones, Sarang Kashyap, Christopher P. Zabbo: Bowel Perforation. Stand: 9. September 2021. https://www.ncbi.nlm.nih.gov/books/NBK537224/
  • Jörg R. Siewert, M. Rothmund, Volker Schumpelick (Hrsg.): Praxis der Viszeralchirurgie: Gastroenterologische Chirurgie. 2. Auflage. Springer, Berlin 2006, ISBN 3-540-29040-0.

Einzelnachweise

  1. Das MSD Manual. 6. Auflage, Verlag Urban & Fischer, München/Jena 2000, ISBN 978-3-437-21750-0, S. 1377 f.
  2. Brockhaus Enzyklopädie in 24 Bänden. 19. Auflage. Verlag Friedrich Arnold Brockhaus, Mannheim 1988, ISBN 3-7653-1105-7, 5. Band, S. 142.
  3. Löwenstein S., Koltai J.L., Jainsch M., Jergl G.: Komplikationen durch Ingestion von magnetischen Fremdkoerpern. In: Monatsschrift Kinderheilkunde. 155, 2007, S. S39–S41, doi:10.1007/s00112-005-1238-7.
  4. MAGS NRW: Verschluckte Magnete können zum Tod führen (Memento vom 19. Juli 2017 im Internet Archive)
  5. Helmut Messmann, Jürgen Barnert (Hrsg.): Lehratlas der Koloskopie: das Referenzwerk zur Untersuchungstechnik und Befundinterpretation. Georg Thieme Verlag, Stuttgart 2004, ISBN 3-13-136441-6, S. 3 (eingeschränkte Vorschau in der Google-Buchsuche).
  6. Ernst Klar, Parwis B. Rahmanian, Arno Bücker, Karlheinz Hauenstein, Karl-Walter Jauch, Bernd Luther: Akute mesenteriale Ischämie – ein vaskulärer Notfall. In: Deutsches Ärzteblatt. Band 109, Nr. 14, 6. April 2012, S. 249–256, doi:10.3238/arztebl.2012.0249 (aerzteblatt.de).
  7. Tinsley Randolph Harrison: Harrisons Innere Medizin. 20. Auflage, Georg Thieme Verlag, Berlin 2020, 3. Band, ISBN 978-3-13-243524-7, S. 2814.
  8. Erlotinib: Darmperforationen und Hautkomplikationen. In: Deutsches Ärzteblatt 2009; Jahrgang 106, Nummer 21/2009, S. A-1012 / B-864 / C-836
  9. Mitteilungen - Arzneimittelkommission der deutschen Ärzteschaft: „Aus der UAW-Datenbank“ - Darmperforation unter Bevacizumab. In: Deutsches Ärzteblatt 2009. Jahrgang 106, Nummer 4/2009, S. A-152 / B-129 / C-125.
  10. Albert Eulenburg (Hrsg.): Real-Encyclopädie der gesammten Heilkunde, 2. Auflage, 5. Band, Verlag Urban & Schwarzenberg, Wien/Leipzig 1886, S. 109.
  11. Allgemeine deutsche Real-Encyklopädie für die gebildeten Stände - Conversations-Lexikon, Verlag Friedrich Arnold Brockhaus, 11. Auflage, 5. Band, Leipzig 1865, S. 47.
  12. Nikolaus Papastavrou: Darm. In: Franz Xaver Sailer, Friedrich Wilhelm Gierhake (Hrsg.): Chirurgie historisch gesehen. Anfang – Entwicklung – Differenzierung. Dustri-Verlag, Deisenhofen bei München 1973, ISBN 3-87185-021-7, S. 107–131, hier: S. 107–111 (Darmverletzungen und Darmnaht).
  13. Vgl. auch Christoph Weißer: Darmnaht. In: Werner E. Gerabek, Bernhard D. Haage, Gundolf Keil, Wolfgang Wegner (Hrsg.): Enzyklopädie Medizingeschichte. De Gruyter, Berlin / New York 2005, ISBN 3-11-015714-4, S. 286–287.
  14. Nikolaus Papastavrou: Darm. 1973, S. 116–117 (Verschluß der Kotfisteln).