Ellbogendysplasie

Die Ellenbogengelenksdysplasie (ED) ist ein chronisch verlaufender Krankheitskomplex des Ellenbogengelenks schnellwüchsiger Hunderassen. Die ED stellt eine vererbte Entwicklungsstörung des wachsenden Skeletts dar. Hohes Körpermassewachstum und Fütterungsfehler sind weitere begünstigende (prädisponierende) Faktoren. Die ED beginnt in der späten Wachstumsphase bei vier bis acht Monate alten Jungtieren mit einer schmerzhaften Veränderung des Gelenks und der gelenkbildenden Knochenteile (Osteoarthrose) mit Lahmheit. Der Bewegungsumfang des Ellenbogengelenks ist eingeschränkt. Frühzeichen sind Steifigkeit am Morgen oder nach Ruhepausen. Die Krankheit schreitet lebenslang fort und ist nicht heilbar, eine weitgehende Schmerzfreiheit kann aber in vielen Fällen erreicht werden.
Vorkommen und Ursachen
Eine Ellbogendysplasie kann bei allen großwüchsigen Hunderassen auftreten. Am häufigsten betroffen sind Chow-Chow, Rottweiler, Berner Sennenhund, Grosser Schweizer Sennenhund, Neufundländer, Labrador Retriever, Deutscher Schäferhund und Bordeaux-Dogge.[1][2] Die Häufigkeit des Auftretens (Prävalenz) beträgt bei einigen Rassen über 40 %.
Die ED wird polygenetisch (über mehrere Gene) vererbt. Der genaue Erbgang und die beteiligten Gene sind bislang nicht bekannt, so dass kein Gentest für die Erkrankung existiert.[3] Der Nachweis kann daher bislang nur über die tierärztliche Beurteilung des Einzeltieres erfolgen, einige Hundezuchtverbände fordern eine Röntgenuntersuchung für Zuchttiere. Der Grad der Vererbbarkeit (Heritabilität) ist für Rüden größer als für Hündinnen und wird je nach Rasse und Population mit Werten zwischen 0,1 und 0,7 angegeben.[4]
Klinische Symptome
Die erkrankten Tiere werden durch Lahmheiten im Bereich der Vordergliedmaße auffällig. Es besteht hierbei eine Mischform aus Hangbein- und Stützbeinlahmheit, häufig kommt es zu einer Wegführung des Unterarmes und der Pfote von der normalen Achse der Gliedmaße (Abduktion) sowie einem Heranziehen des Ellenbogens an den Körper (Adduktion), wobei die Gliedmaße eingedreht wird. Bei der klinischen Untersuchung kann häufig eine vermehrte Füllung der Gelenkkapsel festgestellt werden, das Gelenk ist meist schmerzhaft und teilweise können Knirschgeräusche wie Pseudokrepitationen ausgelöst werden.[5]
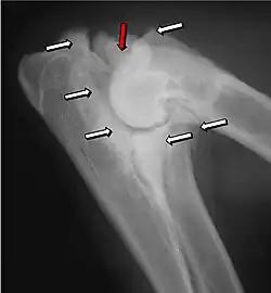
Manifestationen

1 Stufenbildung zwischen Elle (Ulna) und Speiche (Radius)
2 Isolierter Processus anconaeus
3 Fragmentierter Processus coronoideus medialis
4 OCD des medialen Condylus
Eine Ellbogendysplasie entsteht, wenn die gelenkbildenden Knochenteile Oberarmknochen (Humerus), Elle (Ulna) und Speiche (Radius) nicht exakt genug zueinander passen. Die ungenaue Passform oder Inkongruenz führt zu chronischen Umbauvorgängen am Ellbogengelenk und den gelenkbildenden Knochenteilen (Osteoarthrose), die zu einer Sklerosierung der Knochen und zur Ausbildung von Knochenauswüchsen (Osteophyten) führen. Bei geringer Inkongruenz der Gelenkflächen ist die Osteoarthrose das einzige Anzeichen einer Ellbogendysplasie, darüber hinaus können weitere Veränderungen auftreten:[6][7]
- Fragmentierung des Processus coronoideus medialis (FCP, Ablösung des innen liegenden Kronfortsatzes der Elle)
- Osteochondrosis dissecans am Condylus medialis humeri (OCD, Knorpelablösung am innen liegenden Rollhöcker des Oberarmknochens)
- Isolierung des Processus anconaeus (IPA, Ablösung des Ellenbogenfortsatzes der Elle)
Ein gleichzeitiges Auftreten mehrerer dieser Komplikationen ist häufig.[8] In der neueren Literatur werden FCP und OCD auch unter dem Begriff Medial Compartment Disease (MCD) zusammengefasst.[9] Gelegentlich werden im deutschsprachigen Raum auch weitere Entwicklungsstörungen wie die ausbleibende Fusion der drei ellenbogenseitigen Verknöcherungskerne des Oberarmknochens und die angeborene Ellbogenluxation oder Subluxation bei kleinen (sogenannten chondrodystrophen) Hunderassen in den Ellbogendysplasie-Komplex eingeordnet. Letztere begünstigen ebenfalls das Auftreten eines IPA oder FCP, werden aber von der International Elbow working Group nicht zum ED-Komplex gezählt.
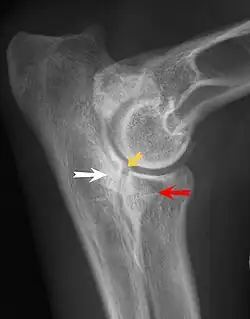
Fragmentierung des Processus coronoideus medialis ulnae (FCP)

* gelber Pfeil: Stufe zwischen den gelenkbildenden Anteilen von Elle und Speiche
* roter Pfeil: fehlende vordere Kontur des Processus coronoideus (hinweisend auf einen FCP)
* weißer Pfeil: Sklerosierung der Ulna (typisch für eine Osteoarthrose).
Als Ursache für die Ablösung des Processus coronoideus medialis (engl. fragmented coronoid process, FCP) werden verschiedene Mechanismen diskutiert:[10][11][12]
- Wachstumsverzögerung der Speiche mit Verkürzung derselben (short-radius-syndrome), die zu einer verstärkten Belastung der Elle führt. Am Processus coronoideus medialis kommt es dadurch zur Knochenverdichtung (Sklerosierung), Deformation und schließlich zur Ablösung.
- Verfrühter Epiphysenfugenschluss des Radiuskopfes.
- Gestörte Feindurchblutung (Mikrovaskularisation) durch eine mechanisch induzierte Sklerose des Knochens im Bereich des Kronfortsatzes.
Die Erkrankung tritt frühestens im Alter von fünf bis sieben Monaten auf. Unter Umständen wird sie aber vom Besitzer nicht sofort bemerkt, so dass auch Tiere erst im zweiten Lebensjahr dem Tierarzt vorgestellt werden. Klinisch äußert sich eine FCP als Lahmheit, die vor allem nach längerer Ruhe oder stärkerer Belastung auftritt. Der Ellenbogen wird zur Seite ausgestellt.
Bei der klinischen Untersuchung zeigt sich eine Schmerzhaftigkeit bei starker Streckung oder Beugung des Gelenks. Im Röntgenbild sind vor allem die Verschattungen im Bereich der Elle, der Verlust der Knochenbälkchenzeichnung, eine undeutliche vordere Kontur im latero-lateralen Strahlengang (seitliche Projektion) und gegebenenfalls die Frakturlinie des Fortsatzes sichtbar. Ein vollständiger Abriss des Processus coronoideus ist jedoch selten.[10] Aufgrund der mangelnden Kongruenz können sich eine Stufe zwischen Speiche und Elle und ein ungleichmäßig breiter Gelenkspalt darstellen. Diese Inkongruenz tritt bei 60 % der Patienten mit einem FCP auf und lässt sich mittels eines Quotienten darstellen. Hierzu werden die Länge der Incisura trochlearis sowie die Entfernung zwischen der Spitze des Processus anconaeus und der Spitze des Processus coronoideus lateralis ulnae gemessen und durch einander geteilt. Liegt der Quotient beider Werte über 1,15, gilt das Ellenbogengelenk als inkongruent.[5] Die mit dem FCP verbundene Arthrose zeigt sich bei schwereren Formen in Lippenbildungen der angrenzenden Knochenkonturen. Knochenanbauten treten vor allem am innen liegenden (medialen) Rand der Elle und des Oberarmknochens auf. Eine sichere Diagnose eines FCP ist am Röntgenbild nur selten möglich.[13] Eine Computertomografie und Arthroskopie kann die Diagnose FCP untermauern.
Osteochondrosis dissecans humeri
Eine Osteochondrosis dissecans (OCD) kommt im Bereich des Ellenbogengelenks fast ausschließlich am innen liegenden Rollhöcker des Oberarmknochens (Condylus medialis humeri) vor. Sie entsteht zumeist im Alter von 5 Monaten und in der Regel beidseitig. Häufiger betroffene Rassen sind Labrador Retriever, Golden Retriever und Rottweiler.[6]
Häufig ist diese Form der Ellbogendysplasie mit einem fragmentierten Processus coronoideus verbunden.[10] Allerdings wird meist eine „echte“ OCD mit den Knorpelerosionen (kissing lesions) bei einem FCP verwechselt, welche nicht das unter dem Gelenkknorpel gelegene (subchondrale) Knochengewebe betreffen, so dass Read[6] ein gleichzeitiges Auftreten beider Läsionen anzweifelt.
Die Diagnose lässt sich zumeist anhand eines Röntgenbildes, vor allem im anterior-posterioren Strahlengang (Projektion von vorn nach hinten) stellen. Der röntgenologische Nachweis gelingt jedoch nicht immer, so dass der sichere Ausschluss nur über eine Arthroskopie oder Computertomografie (CT) erfolgen kann.
Isolierter Processus anconaeus (IPA)

Ein selbstständiger (isolierter) Ellenbogenfortsatz der Elle ist eine erblich bedingte Störung der enchondralen Ossifikation und wurde 1956 erstmals beschrieben. Beim IPA unterbleibt die Fusion zwischen Elle und ihrem Processus anconaeus, der ein eigenes Ossifikationszentrum besitzt, welches normalerweise im Alter von 18 bis 24 Wochen mit der Elle verschmilzt.[6] In diesem Alter besteht aufgrund einer verminderten Elastizität die Gefahr eines teilweisen oder vollständigen Abrisses durch ein Trauma oder das Ausbleiben des Fugenschlusses infolge hoher körperlicher Aktivität. Als weitere Ursache wird ein vermindertes Längenwachstum der Elle (sog. short-ulna-syndrome) diskutiert. Eine Überversorgung mit Calcium und Phosphor begünstigt das Auftreten eines IPA.[14] Überdurchschnittlich betroffen sind Rottweiler und Deutscher Schäferhund. Bei Rüden ist die Erkrankung häufiger als bei Hündinnen. In etwa 60 % der Fälle tritt ein IPA einseitig auf.
Die Diagnose wird anhand eines Röntgenbildes in Beugestellung des Gelenks gestellt, wobei zu beachten ist, dass der Processus anconeus erst mit etwa sechs Monaten mit der Elle verschmilzt. Die Frakturlinie ist in den meisten Fällen gut sichtbar, außerdem kommt es zu Sklerosierungen des betroffenen Bereiches und bei längerem Bestehen zu Knochenanbauten.
Klassifizierung
Nach der International Elbow working Group wird die ED je nach Ausmaß der Erkrankung in drei klinische Stadien eingeteilt. Hierbei wird lediglich der Schweregrad der Arthrose über das Ausmaß der Knochenzubildungen (Osteophyten) beurteilt. Das Auftreten spezifischer Läsionen (FCP, IPA, OCD) wird lediglich vermerkt, nicht jedoch für die Klassifizierung verwendet:
| Schweregrad | Kriterien |
| Grad 0: Normal | keine Osteophyten oder Sklerose |
| Grad I: Milde Arthrose | Osteophyten kleiner als 2 mm oder Sklerose der Gelenkfläche (Incisura trochlearis) der Elle |
| Grad II: Moderate Arthrose | Osteophyten zwischen 2 und 5 mm groß |
| Grad III: Schwere Arthrose | Osteophyten größer als 5 mm |
Eine weitere Einteilung ist der ED-Score nach Lang.[15] Hier wird anhand verschiedener radiologischer Merkmale eine Punkteklassifizierung erstellt, bei der sich Scores zwischen 0 (keine ED) und 21 (schwere ED) ergeben:
| Merkmal | 0 Punkte | 1 Punkt | 2 Punkte | 3 Punkte |
| Osteophyten auf Proc. anconeus | keine | < 2 mm | 2–5 mm | > 5 mm |
| Osteophyten an anderen Lokalisationen | keine | < 2 mm | 2–5 mm | > 5 mm |
| Dichte Inc. trochlearis und Radiuskopf | unauffällig | geringgradig erhöht | mittelgradig erhöht | hochgradig erhöht |
| Kongruenz des humeroulnaren Gelenkspalts, Stufenbildung zwischen Speiche und Elle | unauffällig | Stufe < 2 mm | Stufe < 4 mm | Stufe > 4 mm |
| Proc. coronoideus medialis | unauffällig | – | abnormale Form | fragmentiert |
| Proc. anconeus | unauffällig | – | abnormale Struktur oder Form | isoliert |
| Trochlea humeri | unauffällig | – | Sklerose, Verdacht auf OCD | deutliche OCD |
Therapie

Losgelöste Skelett- (FCP und IPA) bzw. Knorpelteile (OCD) sollten chirurgisch entfernt werden, da sie einen ständigen Reiz auf die Gelenkkapsel ausüben. Diese Entfernung kann über eine Gelenkeröffnung (Arthrotomie) oder minimal-invasiv mittels Arthroskopie durchgeführt werden und sollte möglichst früh erfolgen, also bevor sich eine Arthrose entwickelt. Ein IPA kann auch mittels Osteosynthese wieder fixiert werden. Anschließend sollte das Tier zwei bis vier Wochen möglichst gar nicht bewegt werden (Leinenzwang, Boxenruhe) und ihm anschließend für die gleiche Zeit nur wenig Bewegungsspielraum eingeräumt werden. Besteht zusätzlich eine Inkongruenz im Gelenk, ist die chirurgische Entfernung der losgelösten Fragmente allein nicht ausreichend. Hier wird zumeist ein chirurgisches Durchtrennen (Osteotomie) der Elle durchgeführt.[12][16] Mittlerweile sind hierfür eine ganze Reihe von Operationstechniken (Distale dynamische Ulnaostektomie, Proximale dynamische Ulnaostektomie, Bi-oblique proximale dynamische Ulnaostektomie, Proximal abducting ulnar ostectomy, Sliding humeral osteotomy) entwickelt worden, bis hin zum Einsetzen eines Implantats (Canine unicompartemental elbow). Alle operativen Maßnahmen verhindern jedoch häufig nicht das Fortschreiten der Arthrose. Eine Nutzung als Begleithund ist zwar möglich, von stärkerer Arbeit wie bei Gebrauchshunden wird aber abgeraten.[17] Bei schweren Ellbogendysplasien kann eine Endoprothese angezeigt sein. Bei sehr starken Veränderungen müssen eine Endoprothese oder eine Versteifung des Ellbogengelenks in Erwägung gezogen werden.[9]
Unterstützend ist eine schmerz- und entzündungshemmende Therapie sinnvoll. Hier werden zumeist nichtsteroidale Antiphlogistika wie Carprofen eingesetzt. Eine 2006 veröffentlichte Studie zeigte eine gute Verträglichkeit einer zweimonatigen Therapie mit Carprofen bei Hunden und keine Hinweise auf eine Toxizität für Nieren oder Leber.[18]
Eine Gewichtsreduktion ist bei übergewichtigen Tieren unbedingt zu empfehlen.
Die Wirksamkeit alternativmedizinischer Behandlungsformen (Akupunktur, Gold-Implantate, Homöopathie) ist bislang nicht durch randomisierte Kontrollstudien bewiesen worden. Eine aktuelle evidenzbasierte Studie konnte keine positive Wirkung einer Elektroakupunktur nachweisen.[19] Eine tägliche Verabreichung von Gelatine als Granulat ins Futter soll eine Arthrose verhindern oder zumindest hinauszögern können.
Vorbeugung und züchterische Maßnahmen
Hunde mit einer ED sollten wegen der Vererbbarkeit von der Zucht ausgeschlossen werden. Zur weiteren Bekämpfung in der Zucht wird von einigen Verbänden eine Zuchtwertschätzung durchgeführt. Dazu werden Röntgenaufnahmen von anerkannten Gutachtern beurteilt. Prinzipiell sind beide Ellbogengelenke zu röntgen und die Tiere müssen zum Zeitpunkt der Untersuchung ein Alter von mindestens zwölf Monaten haben. Zur Befundung sind jeweils eine seitliche Aufnahme (mediolateraler Strahlengang) in 40–90° Beugehaltung sowie eine kraniokaudale in 15° Supination notwendig. Besser ist es, zwei mediolaterale Aufnahmen mit Beugewinkeln von 30 und von 100–120° zu erstellen, weil sich so ein IPA sicherer nachweisen lässt.[20]
Literatur und Quellen
- ↑ S. Guthrie: Use of a radiographic scoring technique for the assessment of dogs with elbow osteochondrosis. In: J. Small Anim. Pract. 30, 1989, S. 639–644.
- ↑ E. LaFond, G. J. Breur, C. C. Austin: Breed Susceptibility for Developmental Orthopedic Diseases in Dogs. In: J. Am. Anim. Hosp. Assoc. 38, 2002, S. 467–477. PMID 12220032.
- ↑ K. Maki, L. L. Janss, A. F. Groen, A. E. Liinamo, M. Ojala: An indication of major genes affecting hip and elbow dysplasia in four Finnish dog populations. In: Heredity. 92(5), 2004, S. 402–408. PMID 14997179.
- ↑ K. Maki, A. E. Liinamo, M. Ojala: Estimates of genetic parameters for hip and elbow dysplasia in Finnish Rottweilers. In: Journal of Animal Science. 78(5), 2000, S. 1141–1148. PMID 10834565
- ↑ a b L. Brunnberg: Lahmheitsdiagnostik beim Hund. Untersuchung, Diagnose, Therapiehinweise. 1. Auflage. Blackwell Wissenschafts-Verlag, Berlin/Wien 1999, ISBN 3-8263-3275-X.
- ↑ a b c d R. A. Read: Osteochondrose und Ellenbogenarthrose bei jungen Hunden: Häufigkeit, Diagnose und Therapie. In: Waltham International Focus. 3(2), 1993, S. 2–10.
- ↑ Y. Samoy, B. Van Ryssen, I. Gielen, N. Walschot, H. van Bree: Review of the literature: elbow incongruity in the dog. In: Vet Comp Orthop Traumatol. 19(1), 2006, S. 1–8. PMID 16594537.
- ↑ A. Meyer-Lindenberg, M. Fehr, I. Nolte: Co-existence of ununited anconeal process and fragmented medial coronoid process of the ulna in the dog. In: J. Small Anim. Pract. 47(2), 2006, S. 61–65. PMID 16438692.
- ↑ a b Bruno Peirone und Fulvio Cappelari: Ellbogendysplasie beim Hund. In: Vet. Focus. 21, 2011, S. 2–10.
- ↑ a b c P. Schawalder, H. Stich, T. Steidl, D. Spreng, E. Dietschi, H. Schmökel, U. Rytz: Die Ellenbogendysplasie beim Hund. Eine klinisch-synoptische Betrachtungsweise der verschiedenen Erscheinungsbilder mit ätiopathologischen Überlegungen. Fragmentierter Processus coronoideus und weitere Ellenbogendysplasieformen (Teil 2). In: Veterinär Spiegel. 1, 2002, S. 14–27.
- ↑ A. P. Wind: Elbow Incongruity and Developmental elbow diseases in the Dog: Part 1/2. In: J. Am. Anim. Hosp. Assoc. 22(6), 1986, S. 711–724.
- ↑ a b J. P. Boulay: Fragmented medial coronoid process of the ulna in the dog. In: Vet. Clin. North Am. Small Anim. Pract. 28(1), 1998, S. 51–74. PMID 9463858
- ↑ Michael Zwick u. a.: Röntgendiagnostik der Koronoiderkrankung beim Hund – eine Interobserver-Studie. In: Kleintierpraxis. 58, 2013, S. 5–14.
- ↑ A. Meyer-Lindenberg, M. Fehr, I. Nolte: Der isolierte Processus anconaeus des Hundes – Vorkommen, Behandlung und Ergebnisse. In: Kleintierpraxis. 36/1991, S. 671–679.
- ↑ J. Lang u. a.: Comparison of two classification protocols in the evaluation of elbow dysplasia in the dog. In: J. Small Anim. Pract. 39, 1998, S. 169–174.
- ↑ L. Sjöstrom, H. Kasstrom, M. Kallberg: Ununited anconeal process in the dog. Pathogenesis and treatment by osteotomy of the ulna. In: Veterinary & Comparative Orthopaedics & Traumatology. 8, 1995, S. 170–176.
- ↑ G. R. Bouck, C. W. Miller, C. L. Teues: A comparison of surgical and medical treatment of fragmented coronoid process and osteochondrosis dissecans of the canine elbow. In: Veterinary & Comparative Orthopaedics & Traumatology. 8, 1995, S. 177–183.
- ↑ M. R. Raekallio, A. K. Hielm-Bjorkman, J. Kejonen, H. M. Salonen, S. M. Sankari: Evaluation of adverse effects of long-term orally administered carprofen in dogs. In: J. Am. Vet. Med. Assoc. 228, 2006, S. 876–880. PMID 16536696.
- ↑ A. S. Kapatkin, M. Tomasic, J. Beech, C. Meadows, R. C. Boston, P. D. Mayhew, M. Y. Powers, G. K. Smith: Effects of electrostimulated acupuncture on ground reaction forces and pain scores in dogs with chronic elbow joint arthritis. In: J. Am. Vet. Med. Assoc. 228(9), 2006, S. 1350–1354. PMID 16649937.
- ↑ Bernd Tellhelm: Ellbogendysplasie – ED Röntgentechnik und Beurteilung. In: Kleintiermedizin. Nr. 5-2011, S. 217–228.