Hirntumor
| Klassifikation nach ICD-10 | |
|---|---|
| D33 | Gutartige Neubildung des Gehirns und Zentralnervensystems |
| D43 | Neubildung unsicheren oder unbekannten Verhaltens des Gehirns und des Zentralnervensystems |
| C71 | Bösartige Neubildung des Gehirns |
| C72 | Bösartige Neubildung des Rückenmarkes, der Hirnnerven und anderer Teile des Zentralnervensystems |
| C79.3 | Sekundäre bösartige Neubildung des Gehirns und der Hirnhäute |
| ICD-10 online (WHO-Version 2019) | |
Als Hirntumor oder Gehirntumor, auch Hirngeschwulst oder Gehirngeschwulst, werden Tumoren des Gehirns bzw. des neuroektodermalen Gewebes des zentralen Nervensystems bezeichnet. Intrakranielle Tumoren, die von anderen Geweben im Kopf stammen, wie zum Beispiel Meningeome, zählen nicht zu den Hirntumoren, auch wenn sie ab einer gewissen Größe durch die Raumforderung[1] immer auch Hirnstrukturen beeinflussen. Sogenannte „sekundäre Tumoren“, Hirnmetastasen anderer Krebserkrankungen, zählen nicht zu den Hirntumoren im engeren Sinne.
Im Rahmen einiger neurokutaner Syndrome (Phakomatosen) kommen Hirntumoren gehäuft vor. Hierzu zählen unter anderem Neurofibromatose, Tuberöse Sklerose und Von-Hippel-Lindau-Syndrom. Sehr selten sind Li-Fraumeni-Syndrom, Turcot-Syndrom und das Rhabdoid-Prädispositionssyndrom. Die meisten Hirntumoren treten sporadisch, das heißt ohne einen derartigen erblichen Zusammenhang auf.
Während gutartige Gehirntumoren in der Regel langsam wachsen und sich deutlich gegenüber gesundem Gewebe abgrenzen, wachsen bösartige Gehirntumoren schneller und dringen zugleich aggressiv in das umliegende Gehirngewebe hinein. Auch gutartige Hirntumoren können durch Druck auf die Umgebung lebensbedrohend werden. Mitunter können sich gutartige Gehirntumoren im Verlauf zu bösartigen Tumoren wandeln. Gutartige und bösartige Hirntumoren gehören zu den seltenen Tumorformen. Sie machen ungefähr zwei Prozent aller Krebserkrankungen aus.
Die Diagnose wird über bildgebende Verfahren und eine Hirnbiopsie gestellt. Die Behandlung richtet sich nach der Lokalisation des Tumors, der Größe, dem Ursprungsgewebe und dem Allgemeinzustand des Patienten. Typischerweise steht an erster Stelle die operative Entfernung des Tumors (Resektion, ggf. Wachkraniotomie), bei bösartigen Tumoren unter Umständen gefolgt von einer Bestrahlung und/oder Chemotherapie.
Einteilung
Hirntumoren werden nach Lokalisation und histologischen und molekulargenetischen Kriterien unterschieden. Verbreitet ist die regelmäßig aktualisierte Klassifikation der WHO, welche Hirntumoren und -metastasen in insgesamt zwölf Übergruppen mit verschiedenen Kategorien, Familien, Typen, Subtypen und Varianten einteilt. Sie weist zudem den meisten Tumoren einen oder mehrere Grade zu, wobei Grad 1 die bestmöglichen Therapieoptionen und Prognosen bedeuten und Grad 4 die schlechtesten.[2][3]
Typen und manchen Varianten sind, mit Ausnahme vorläufiger Typen, ICD-O-Codes zugewiesen. Die ICD-10-Klassifikation beschreibt den Ort des Tumors.[2]
Ursachen
Risikofaktoren und Ursache für die Entstehung von Hirntumoren sind überwiegend unbekannt. Primäre Hirntumoren sind häufiger bei Kindern als bei Erwachsenen, häufiger bei Männern als bei Frauen, häufiger bei Europäern als bei Japanern, und nach derzeitigem Wissensstand führen abgesehen von ionisierender Strahlung weder Umweltfaktoren, Ernährungsgewohnheiten, seelische Belastungen, Stress, noch elektromagnetische Felder im Frequenzbereich des Mobilfunks zu einem höheren Hirntumor-Risiko.[4] Auch besteht kein Zusammenhang zwischen Hirnverletzungen und dem Auftreten von Hirntumoren. Einzig die direkte, ionisierende Bestrahlung des Kopfes im Kindesalter, z. B. im Rahmen früherer Krebsbehandlungen oder von (mittlerweile verlassenen) Behandlungen gegen Kopfgrind, steigert das Risiko geringfügig, als Erwachsener an einem Hirntumor zu erkranken.
In seltenen Fällen ist die Erkrankung erblich bedingt und geht mit Erbkrankheiten einher, wie der Neurofibromatose Typ 1 und 2, dem Turcot-Syndrom, dem Von-Hippel-Lindau-Syndrom und dem Li-Fraumeni-Syndrom.
Bei der Neurofibromatose vom Typ 1 (Morbus Recklinghausen) treten neben anderen Tumoren auch Gliome auf, insbesondere pilozytische Astrozytome, die dann häufig (beidseitig) am Sehnerv liegen. Charakteristisch für den Neurofibromatose-Typ 2 sind beidseitig gelegene Akustikusneurinome, Tumoren des Rückenmarks, und multiple Meningeome. Das Turcot-Syndrom kann bei Kindern zu Medulloblastomen, bei Erwachsenen zum Glioblastom führen. Mit dem Von-Hippel-Lindau-Syndrom sind hauptsächlich Hämangiome im Bereich des Kleinhirns und Rückenmarks assoziiert, mit dem Li-Fraumeni-Syndrom neben ganz unterschiedlichen Tumoren auch IDH-mutierte Astrozytome und Plexuskarzinome.
Symptome
Die Symptome bzw. Anzeichen, die ein Hirntumor auslösen kann, sind sehr vielfältig und abhängig von der Lokalisation des Tumors. Sie treten einzeln oder in Kombination auf und werden in vier Gruppen unterteilt:
- Hirndruckzeichen wie neue Kopfschmerzen (besonders nachts und morgens), Übelkeit und Erbrechen, Bewusstseinsstörung (Benommenheit bis zum Koma), Stauungspapille (Ödem der Netzhaut des Auges), verlangsamter Puls
- Neurologische Ausfälle wie Schwindel, Sehstörung (z. B. verschwommen Sehen, Gesichtsfeldausfälle), Schwerhörigkeit, Sprachstörung, Sprechstörung, Schluckstörung, Sensibilitätsstörung (z. B. bezüglich Hitze, Kälte, Druck oder Berührung), Muskelschwäche und Lähmungserscheinung an den Gliedmaßen
- Epileptische Anfälle (einfache oder komplexe fokale Anfälle, generalisierte Anfälle)
- Psychische Veränderungen wie Konzentrationsstörungen, Vergesslichkeit, Desorientierung, Persönlichkeitsveränderung (z. B. leichte Reizbarkeit, erhöhte Ablenkbarkeit), Depression, Apathie, Angststörungen
Alle diese Symptome sind unspezifisch und können viele andere Ursachen haben, etwa fieberhafte Infekte, Unterzuckerung, Durchblutungsstörungen, neurodegenerative Erkrankungen. Charakteristisch für Raumforderungen im Zentralnervensystem ist eine kontinuierliche, aber relativ langsame Verschlechterung über Tage und Wochen, im Gegensatz etwa zu den Ausfällen bei Schlaganfällen, die plötzlich auftreten und schlagartig zunehmen.
Diagnostik



Nach Anamneseerhebung und klinischer Untersuchung werden bildgebende und gewebsanalytische Methoden eingesetzt.
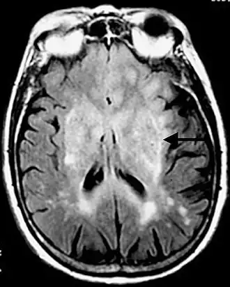
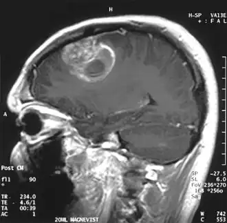
- Standardverfahren ist die Magnetresonanztomographie (MRT), auch Kernspintomographie genannt, ein diagnostisches Schnittbildverfahren zur Darstellung von Organen und Geweben mit Hilfe von Magnetfeldern. Sie basiert auf der Gewebestruktur und dem Wassergehalt und hat eine sehr hohe Erkennungsrate für Hirntumoren, ohne ionisierende Strahlung einzusetzen. Kontrastmittel ist nicht immer erforderlich. Die Magnetresonanzspektroskopie (MRS) ist ein in spezialisierten Zentren verfügbares Zusatzverfahren, um aus tumorverdächtigen Arealen ein Signalspektrum aufzunehmen und damit ihre chemische Zusammensetzung abzuschätzen.
- Die Computertomographie (CT) ist das Standardverfahren, wenn die MRT kontraindiziert oder nicht verfügbar ist. Sie ist schnell und auch nachts und an schwerkranken Patienten durchführbar. Sie hat jedoch etwas schlechtere Erkennungsraten und benötigt ionisierende Strahlung sowie meistens auch Kontrastmittel.
- Die Positronen-Emissions-Tomographie (PET) findet meistens in unklaren Situationen ihre Anwendung, beispielsweise um Narbengewebe von neuem Tumorwachstum abzugrenzen. Tumorzellen weisen im Vergleich zu gesunden Körperzellen eine erhöhte Stoffwechselrate auf. Der Patient bekommt schwach radioaktiv-markierte Substanzen (Tracer) verabreicht, welche sich spezifisch im Tumorgewebe anreichern. PET-Anlagen sind teuer und nicht flächendeckend verfügbar.
- Die Kenntnis der Histologie ist im Therapiekonzept jeder Tumorerkrankung von entscheidender Bedeutung. Dabei stellt die durch die Schnittbildgebung gestützte stereotaktische Tumorbiopsie wegen der großen Genauigkeit und der geringen Komplikationsrate das neurochirurgische Standardverfahren zur Sicherung der Diagnose dar. Dem Patienten wird hierfür zunächst ein Stereotaxie-Ring mit vier Lokalisatoren am Kopf angebracht. Diese Lokalisatoren beschreiben einen rechteckigen Raum, in dem jeder Punkt durch eine genaue, computerermittelte Angabe der Höhe, Breite und Tiefe beschrieben werden kann. Nur selten können risikoarme Methoden der sog. Liquid Biopsy (Flüssigbiopsie) aus Blut oder zerebrospinaler Flüssigkeit die chirurgische Biopsie ersetzen.[5]
Behandlung
Zur Therapie von primären Hirntumoren und Hirnmetastasen stehen In erster Linie die klassischen Verfahren der operativen Entfernung (beginnend im 19. Jahrhundert),[6] der Strahlen- und der Chemotherapie zur Verfügung. Außerdem gibt es neue Therapiekonzepte, die im Rahmen klinischer Studien getestet werden oder auch als individueller Heilversuch zur Anwendung kommen können.
Neurochirurgie
Je nach Art, Lage und Größe des Tumors sowie dem Zustand des Patienten kann ein Hirntumor entfernt oder nur verkleinert werden. Große, infiltrierend wachsende Tumoren wie Glioblastome können oft nicht entfernt werden. Dies ist auch der Fall, wenn funktionelle oder gar lebensnotwendige Gehirnareale, z. B. im Hirnstamm betroffen sind. Selbst gutartige Tumoren können durch engen Kontakt zu Nerven und Blutgefäßen inoperabel sein.
Eine Vollnarkose ist nicht immer notwendig. Beispielsweise bei Tumoren im Bereich der Sprachzentren kann die Operation in örtlicher Betäubung, beim wachen Patienten erfolgen, um die Sprachfunktion während der Tumorentfernung zu überwachen (Wachkraniotomie). Das ist möglich, weil das Gehirn keine Schmerzrezeptoren besitzt.
Bei stereotaktischen Eingriffen werden mit Hilfe verschiedener Sonden oder Kanülen punktuelle Hirnoperationen durchgeführt. Grundlage dafür ist ein dreidimensionales Koordinatensystem, das im Ergebnis bildgebender Diagnostik (z. B. durch Computertomographie oder Magnetresonanztomographie) eine millimetergenaue Vermessung des Gehirns ermöglicht. Die Operation schädigt wenig Gewebe und kann in der Regel in örtlicher Betäubung vorgenommen werden. Es ist allerdings besondere apparative Ausstattung notwendig.
Roboter- und computerassistierter Chirurgie spielt in der Neurochirurgie eine große Rolle. Seit Jahren werden beispielsweise stereotaktische Biopsien so durchgeführt.[7][8]
Um bei neurochirurgischen Operationen funktionell wichtige Hirnareale und Sinnesnerven zu schonen, benutzt man intraoperatives neurophysiologisches Monitoring. Bei der Entfernung von Tumoren am Hör- und Gleichgewichtsnerven werden die akustische Leitungsbahn und der benachbarte motorische Gesichtsnerv funktionell überwacht. Viele Ableitungen sind elektrophysiologisch über Sonden möglich. Die Sprachfunktion kann allerdings nur am wachen Patienten kontrolliert werden.
Hirnkartierung
OP-Techniken mit intraoperativer elektrophysiologischer Lokalisierung („brain mapping“ oder „electrical stimulation mapping“) sprachaktiver Areale wurden erstmals von Penfield et al. bei epilepsiechirurgischen Eingriffen vorgestellt. Eine modifizierte Technik wird in einigen neurochirurgischen Zentren heute bei Patienten mit niedergradigen Gliomen oder anderen Läsionen in der Nähe von vermuteten funktionskritischen, „spracheloquenten“ Arealen angewendet. Das „brain mapping“ stellt derzeit vermutlich das sicherste Verfahren zum Nachweis funktioneller Hirnareale dar.[9] Da es sich bei der menschlichen Sprache um ein sehr komplexes Phänomen handelt, können allerdings durch apparative Methoden immer nur Teilaspekte bzw. ‑funktionen lokalisiert werden.
Navigierte Hirnstimulation
Während der Operation eines Hirntumors werden die umliegenden Hirnregionen elektrisch gereizt. Die Reaktionen des Patienten zeigen, wo sich z. B. Regionen für Sprache und Bewegung befinden. Mit der „navigierten Hirnstimulation“ (Navigated Brain Stimulation, NBS) können bereits vor der Operation diese wichtigen Strukturen lokalisiert werden. Das NBS-System erzeugt aus den MRT-Bildern mithilfe einer Kamera und am Patienten angebrachter Fixpunkte eine 3D-Karte. Durch die Stimulation mit einer Magnetspule werden z. B. das motorische Sprechzentrum oder ein Bewegungszentrum lokalisiert. Die Daten werden in das Neuronavigationsgerät eingespielt und stehen während des Eingriffs zur Verfügung. Derzeit laufen Studien zur Anwendung des NBS auch für Operationen im Sprachzentrum und anderen funktionell wichtigen Arealen.[10]
Fibertracking
Moderne magnetresonanztomographische Verfahren können neben der Struktur auch die Verbindungen zwischen den einzelnen Bereichen und Zentren darstellen. Das Fibertracking beschreibt die Visualisierung von Bahnsystemen beziehungsweise Faserbündeln, die funktionelle Zentren im Gehirn (z. B. die motorische Sprachproduktion und das Sprachverständnis) untereinander verbinden. Man kann diese Information in die präoperative Zugangsplanung einbeziehen oder auch in das Operationsmikroskop einblenden, zum Beispiel bei Tumoren nahe dem Sprach-, Seh- und Bewegungszentrum. Der klinische Nutzen ist bisher unklar.[11]
Neuroendoskopische Eingriffe
Durch ein dünnes Neuroendoskop kann das Hirnkammersystem inspiziert werden. Die flexible Optik wird über ein kleines Bohrloch in der Schädeldecke eingeführt. Instrumente im Arbeitskanal (kleine Fasszangen, Ultraschallsonden, Koagulations- und Ballonkatheter) erlauben verschiedene Eingriffe. Den Liquorfluss blockierende Membranen, Septen oder Zysten können eröffnet und gefenstert werden (Septostomien, Zystenwandresektionen und -entleerungen). Tumoren, die im Bereich der Hirnkammern wachsen, können inspiziert und Tumorproben zur feingeweblichen und molekularen Artdiagnose entnommen werden (endoskopische Biopsie). Im Falle eines Verschlusshydrozephalus (Hydrocephalus occlusus) können die inneren Liquorräume am Boden des III. Ventrikels mit den äußeren Liquorräumen, dem Subarachnoidalraum verbunden werden (Ventrikulostomie). Auf diese Weise kann eine freie Liquorpassage zwischen den inneren und äußeren Räumen wiederhergestellt und eine Implantation von Ableitungssystemen (Shuntimplantation) umgangen werden.
Fluoreszenzgestütztes Operieren
Um diffus wachsende, schwer vom umliegenden gesunden Hirngewebe abgrenzbare maligne Gliome möglichst radikal entfernen zu können, kann die Resektion nach Gabe von 5-Aminolävulinsäure (5-ALA) sinnvoll sein. Durch einen Enzymdefekt in der Tumorzelle reichert sich die Substanz selektiv dort an. Während der Operation kann der Neurochirurg dann ein Blaulicht zuschalten, das die Tumorzellen in rot-violetter Farbe fluoreszieren lässt. Der klinische Wert des 5-ALA-Verfahrens wurde 2006 in einer internationalen randomisierten, kontrollierten Studie untersucht. Diese konnte zeigen, dass unter der Gabe von 5-ALA doppelt so viele hirneigene Tumoren radiologisch komplett entfernt wurden und dementsprechend weniger Fälle mit einem postoperativen Resttumor auftraten (35 % unter 5-ALA vs. 50 bis 70 % ohne 5-ALA).[12]
Pädiatrische Hirntumorchirurgie
Hirntumoren bilden neben den Erkrankungen des blutbildenden Systems die häufigsten Neoplasien im Kindesalter. Sie liegen oft in der hinteren Schädelgrube. Die pädiatrische Neurochirurgie bildet ein Spezialgebiet in der Neurochirurgie. Bei Kindern wird nach Möglichkeit eine vollständige Tumorentfernung angestrebt. Postoperativ werden routinemäßig MRT-Kontrollen vorgenommen. Sofern es die Diagnose erfordert, werden Strahlen- und/oder Chemotherapie nach anerkannten Studienprotokollen durchgeführt. Die Behandlung des Hydrozephalus ist ein weiterer Schwerpunkt in der pädiatrischen Neurochirurgie. Anstelle der ventilgesteuerten Shuntoperation kann er oft auch durch die endoskopische Ventrikulozisternostomie entlastet werden.
Strahlentherapie
Tumorgewebe ist strahlenempfindlicher als Normalgewebe. Diese Eigenschaft nutzt die Strahlentherapie mit energiereicher Strahlung (z. B. Photonen, Elektronen, oder andere Teilchen). Die Strahlentherapie wird nach einem computergerechneten Bestrahlungsplan durchgeführt und erfolgt entweder allein oder in Kombination mit chirurgischen und chemotherapeutischen Behandlungen.
Die Intensitätsmodulierte Radiotherapie (IMRT) ist eine Weiterentwicklung der computergestützten dreidimensionalen Bestrahlung, bei der die Bestrahlungsfelder in viele kleine Segmente zerlegt und deren Intensität mit Lamellenblenden variiert wird. Dies erlaubt komplexe Dosispläne mit besserer Schonung der Risikoorgane, etwa der Sehnerven oder der Hippokampusregion.[13]
Es gibt verschiedene spezialisierte Bestrahlungsgeräte, die nicht überall gleichzeitig verfügbar sind. Allerdings hat sich bisher keine Variante als eindeutig überlegen erwiesen.
- Das Gamma-Knife besteht aus einem halbkugelförmigen Helm, auf dem rund 200 einzelne Kobalt-60-Strahlenquellen angeordnet sind. Diese senden Gammastrahlung aus, also energiegeladene Teilchen, die Gewebe durchdringen. Vor der Behandlung wird mit Hilfe eines Rahmens, der am Kopf des Patienten befestigt wird, die genaue Position des Tumors bestimmt. Die von jeder einzelnen Quelle geformten Strahlen überlagern sich punktförmig und ergeben zusammen die benötigte Gesamtdosis.
- Beim Cyberknife handelt es sich um einen Photonen ausstrahlenden Linearbeschleuniger, der auf einem Industrieroboter befestigt wird. Dieser kann sich dreidimensional im Raum bewegen jede beliebige Position einnehmen.
- Bei der Tomotherapie sind CT-Bildgebung und Bestrahlungsgerät kombiniert. Mit einem rotierenden Beschleuniger können sowohl CT-Bilder erzeugt als auch Tumoren bestrahlt werden. Durch die unmittelbare Bildgebung vor der Bestrahlung wird die Lagerung des Patienten überprüft und gegebenenfalls eine Korrektur des Zielvolumens durchgeführt. Die Rotation des Bestrahlungsgerätes wird kombiniert mit einem kontinuierlichen Tischvorschub, was zu einer spiralförmigen Verabreichung der strahlentherapeutischen Dosis führt.
- Die Protonentherapie verwendet Protonenstrahlen, die in einem Synchrotron oder Zyklotron erzeugt, beschleunigt und gezielt auf den Tumor geschossen werden. Protonen haben physikalische Vorteile, die bei tiefen und ungünstig gelegenen Tumoren genützt werden könnten, allerdings sind sie nur in wenigen Zentren verfügbar und die Anlagen sind extrem teuer. Bisher gibt es keine gesicherte Überlegenheit gegenüber anderen Strahlungsarten.[14]
Brachytherapie
Der Name Brachytherapie leitet sich von dem griechischen Wort „brachys“ ab, das „kurz“ bedeutet. Kurz ist bei diesem Verfahren der Abstand von Tumor und Strahlenquelle, denn letztere wird direkt in das Gehirn eingesetzt. Diese meist vorübergehende Implantation radioaktiver Körnchen (Seeds, wenige mm lang) erfolgt über dünne Nadeln, die in ein stereotaktisches 3D-Rahmensystem eingebunden sind. Hierzu wird ein kleines Bohrloch im Bereich des Schädels benötigt. Die Brachytherapie ermöglicht durch die direkte Nähe zum Tumor bei geringer Reichweite und somit steilem Dosisabfall die Verabreichung einer hohen lokalen Dosis, bei einer geringeren Einwirkung auf das gesunde Umgebungsgewebe.
Chemotherapie
Klassische Chemotherapien bzw. Zytostatika stören die Zellteilung, indem sie sich beispielsweise in die Erbsubstanz von Krebszellen integrieren. Auch können sie für die Zellteilung wichtige Stoffwechselabläufe blockieren. Da sich allerdings auch gesunde Zellen teilen, kommt es durch Zytostatika auch zu Nebenwirkungen. Die meisten dieser Nebenwirkungen klingen nach Beendigung der Chemotherapie wieder ab. Für Tumoren des zentralen Nervensystems kommen nur Chemotherapeutika infrage, die die Bluthirnschranke überwinden können. Sehr häufig wird Temozolomid eingesetzt (es kann oral eingenommen werden). Andere Regimes verwenden Procarbazin, Carmustin, Lomustin, Vincristin, sowie Kombinationen dieser Substanzen.[15]
In den letzten Jahrzehnten sind viele neuartige Medikamente gegen Krebserkrankungen entwickelt worden, zum einen sogenannte small molecules meist aus der Gruppe der Proteinkinaseinhibitoren, zum anderen monoklonale Antikörper. Die Bluthirnschranke ist allerdings ein wesentliches Hindernis für diese Substanzen.[16][17] Kinaseinhibitoren werden bei Glioblastomen erprobt,[18] jedoch bisher nicht routinemäßig verwendet. Für die Checkpoint-Inhibitoren Dostarlimab und Pembrolizumab gibt es begrenzte Einsatzmöglichkeiten, ebenso für die Antikörper Bevacizumab, Dinutuximab und Naxitamab-gqgk. Weitere Stoffe und Kombinationen sind in der frühen Erprobungsphase.[19]
Darreichungsformen
Die meisten Zytostatika werden mittels Infusion über eine Vene verabreicht. Nur wenige Zytostatika können auch als Tablette eingenommen werden. Häufig wird Patienten empfohlen, für die Gabe von Zytostatika einen sog. Port implantieren zu lassen. Ein Port ist ein kleines Reservoir, das in einem ambulanten chirurgischen Eingriff unter die Haut in der Nähe des Schlüsselbeins eingesetzt wird, und eine Verbindung zu großen Venen hat. Dieses Reservoir kann von der Ärztin/dem Arzt punktiert werden, um daran die Infusion mit Zytostatika anzuschließen.
Experimentelle Therapieverfahren
Intraoperative Optical Imaging (IOI)
Hirnaktivität geht mit einer Mehrdurchblutung einher. Das verändert die Lichtabsorption der Hirnoberfläche. Bei der 2014 in Dresden vorgestellten IOI filmt eine Kamera, die im Operationsmikroskop integriert ist, die beleuchtete Hirnoberfläche und macht die aktivierte Hirnregion erkennbar.[20]
Stimulated Raman Scatter
Krebsgewebe lässt sich durch seine veränderte Raman-Streuung von eingestrahltem Laserlicht vom gesunden Nachbargewebe unterscheiden.[21] Derzeit wird der Effekt eingesetzt, um Gewebeproben zu untersuchen. Man könnte auch intraoperativ die genauen Umrisse eines Tumors erkennen, entsprechende Geräte waren 2020 allerdings noch nicht entwickelt.[22]
Bor-Neutroneneinfangtherapie
Die Bor-Neutroneneinfangtherapie verwendet Bor-Verbindungen, die untoxisch sind und sich in Tumorgewebe anreichern. Unter Neutronenstrahlung wandelt sich 10Bor in ein α-Teilchen (4He) und einen 7Lithium-Kern um, beides ionisierende Teilchen mit hoher Energie und kurzer Reichweite, sodass nur die umgebenden Zellen vernichtet werden.[23] Die Idee wurde bereits 1936 entwickelt. Die Methode ist bei Glioblastomen vermutlich gut wirksam, aber extrem teuer und weltweit kaum verfügbar. Klinische Studien der Phasen II und III liegen nicht vor, mit konventionellen Strahlentherapien wurde sie bisher nicht verglichen.[24]
Tumortherapiefelder
Tumortherapiefelder oder auch Alternating Electric Field Therapy sind ein exklusiv von der Firma Novocure angebotenes Verfahren und Gerät. Dabei werden über einen mützenähnlichen Applikator, der über den rasierten Kopf geklebt wird, elektrische Wechselfelder eingestrahlt, welche beim Glioblastom die Zellteilung stören sollen. Der Nutzen (d. i. leicht verlängerte Überlebenszeit) ist mit einer Phase-III-Studie belegt, die aber hinterfragt wird.[25] Die nationalen Leitlinien haben das Verfahren mit der Indikation „neu diagnostiziertes Glioblastom“ aufgenommen.[26] Die Anwendung erfolgt kontinuierlich und dauerhaft, das Gerät wird am Körper mitgeführt.
Hyperthermie
Hyperthermie (künstliche Überwärmung) ist ein altes onkologisches Verfahren, welches sich als Ganzkörperanwendung nicht bewährt hat.[27] Prinzipiell kann die Wirkung einer Strahlen- oder Chemotherapie durch Wärme verstärkt werden; deshalb bleibt die therapeutische örtliche Hyperthermie in der Diskussion und wird in verschiedenen modernen Varianten auch beim Hirntumor angewendet,[28] etwa über Laser, Mikrowellen, oder, indem in den Tumor injizierte Nanopartikel elektromagnetisch in Schwingung versetzt werden. Das Verfahren wird an manchen Kliniken zusätzlich zur Strahlen- und Chemotherapie angeboten, hat aber bisher keinen gesicherten Zusatznutzen.
Immuntherapie
Krebsimmuntherapie bzw. Tumorimpfungen können den Körper im Kampf gegen den Krebs unterstützen. Die Immuntherapie hat zum Ziel, das Immunsystem des Patienten gegen den eigenen Tumor zu sensibilisieren, z. B. durch Gabe von Interferonen und Interleukinen, CAR-T-Zellen, oder von individuell hergestellten Tumorvakzinen. Bei der Behandlung von Hirntumoren spielen diese Verfahren bisher, bedingt durch die Blut-Hirn-Schranke, keine Rolle.[29]
Gentherapie
Gentherapie könnte den Gensatz von Tumorzellen korrigieren. Besonders modifizierte Viren oder andere Partikel (Liposomen, Goldpartikel), dienen als Übertragungsvehikel (Vektoren). Bisher gelang es nicht, die Überlebenszeit von Patienten mit Hirntumoren durch Gentherapie zu verlängern.[30]
Immunotoxine
Ein Immunotoxin wird hergestellt durch die künstliche Verbindung einer toxischen Substanz bakteriellen oder pflanzlichen Ursprungs mit einem Antikörper, der spezifisch an die Tumorzellen binden kann. Die Methode wurde gegen Glioblastome erprobt, leider mit geringem Erfolg, da kein geeignetes, auf möglichst vielen Tumoren exprimiertes Antigenmolekül gefunden werden konnte.[31]
Radioimmuntherapie
Die postoperative Radioimmuntherapie hat ein ähnliches Prinzip, sie kombiniert einen tumorzellbindenden Antikörper mit einer radioaktiven Substanz. Das Glykoprotein Tenascin-C wird beispielsweise von 90 % der malignen Gliome exprimiert und kann als Ziel dienen. Die Betastrahler 131Iod oder 188Rhenium zerstören Gewebe auf kurzer Distanz unter Schonung von entfernteren Strukturen. Das Radiokonjugat wird in einen kleinen Behälter unter der Kopfhaut injiziert (Ommaya-Reservoir), von dem aus ein dünner Katheter in die Operationshöhle hineinreicht. Der Ansatz gilt als vielversprechend, hat aber bisher das Erprobungsstadium mit größeren Studien noch nicht erreicht.[32]
Onkolytische Viren
Onkolytische Viren, d. h. gentechnisch modifizierte Viren meist aus der Adenoviren- oder der Herpes-Gruppe könnten Tumorzellen selektiv angreifen. Sie könnten mit Checkpoint-Inhibitoren, CAR-T oder anderen Immunmodulatoren kombiniert werden. Die Schwierigkeiten entstehen durch Heterogenität der Hirntumoren, durch die die Blut-Hirn-Schranke, durch antivirale Immunität mancher Tumoren, und im Rahmen einer Immunreaktion-schwächender Tumorumgebung. Es gibt dennoch zahlreiche Ansätze in diesem Bereich, von denen 2020 einige das Stadium der klinischen Studie an Patienten erreicht hatten.[33]
CUSP9
CUSP9 („Coordinated Undermining of Survival Paths with nine repurposed drugs“) ist ein Cocktail aus neun u. a. sedierenden und antidepressiven Medikamenten und Nahrungsergänzungsmitteln, vorgestellt 2013 von einer internationalen Ärztegruppe um Marc-Eric Halatsch, erprobt bisher nur in Zellkulturen, eingesetzt in einzelnen und nicht kontrollierten Heilversuchen. Das Produkt enthält keine Krebsmedikamente.[34][35]
Supportivtherapie
Diese Art der Therapie richtet sich nicht direkt gegen das Tumorwachstum, sondern behandelt Beschwerden und Symptome die entweder durch das Tumorleiden oder durch die Behandlung entstehen.
Typische Indikationen für eine supportive Therapie sind tumorspezifische Symptome (Hirndruck, Kopfschmerz, Anfälle), im Zusammenhang mit der Tumorbehandlung stehende Komplikationen (Erbrechen, Schmerzen, Infekte, Thrombosen, Blutbildveränderungen) oder psychische Probleme.
In weit fortgeschrittenem Erkrankungsstadium decken sich definitionsgemäß supportive und palliative Therapiemaßnahmen. Die Erhaltung von Lebensqualität sollte jedoch bei Erkrankungen mit raschem Verlauf immer im Vordergrund der therapeutischen Überlegungen stehen.
Zu den supportiven Maßnahmen bei Hirntumorpatienten gehören vor allem:
- Therapie epileptischer Anfälle
- psychoonkologische Unterstützung
- Therapie des chronischen Hirnödems
- Vermeiden von Übelkeit und Erbrechen
- Thromboseprophylaxe
- Schmerzbehandlung
- Therapie des Psychosyndroms
- Hilfsmittel bei Bettlägerigkeit
Alternativ- und Komplementärmedizin
Alternativmedizinische Angebote haben definitionsgemäß keinen wissenschaftlichen Wirkungsnachweis. Dennoch setzen Krebspatienten oft Hoffnung in Naturheilmittel, pflanzliche Medikamente, Homöopathie und andere sanfte Methoden. In Frankreich befragte Patienten mit bösartigen Hirntumoren bestätigten dies in 44 %; überwiegend verwendeten sie Vitamine und Nahrungsergänzungsmittel, Magnetismus und Akupunktur.[36]
Eine öfter eingesetzte Substanz ist Resveratrol, ein als Nahrungsergänzungsmittel vermarkteter sekundärer Pflanzenstoff. Studien ergaben ein gemischtes Bild, überwiegend war die Einnahme nebenwirkungsarm aber wirkungslos.[37] Ähnlich ist die Studienlage bei ketogener Diät, Antioxidantien, hyperbarem Sauerstoff, Nicotinamid, Mistelextrakt, und Penicillamin. Carbogen und künstliche Kupferverarmung über Diät und Chelatbildner waren wirkungslos und gefährlich. Viele andere Verfahren sind überhaupt nicht in Studien evaluiert. Nur Vitamin D war mit einer verlängerten Überlebenszeit assoziiert.[38]
Cannabinoide wie THC und CDB werden schon wegen ihrer antiemetischen und stimmungsfördernden Wirkung von Krebspatienten nicht selten verlangt; ob sie auch eine Antitumor-Wirkung gegen das Glioblastom haben, ist bisher noch offen. Aufgrund einiger positiver Berichte[39] wurde 2021 im Vereinigten Königreich eine Phase-II-Studie dazu gestartet.[40] In Deutschland sind Cannabinoide nur eingeschränkt verordnungsfähig, die erste Anwendung muss genehmigt werden.[41]
Prognose
Gutartige Tumoren haben eine sehr gute Prognose, wenn sie entfernbar oder strahlensensibel sind. Die 5-Jahres-Überlebensrate für bösartige Tumoren des Zentralnervensystems lag 2021 in den USA bei 36 %, für Kinder bei 75 %.[42] Sie nimmt mit steigendem WHO-Grad ab (s. o. unter „Einteilung“). Das Lebensalter ist ein entscheidender Faktor: bei Kindern kann die Mehrzahl der Tumoren heute geheilt werden.[43] Ältere Patienten mit Glioblastomen des WHO-Grads 4 versterben in aller Regel an ihrem Tumorleiden; nur etwa 5 % überleben länger als 5 Jahre.
Individuelle Verläufe lassen sich nicht vorhersagen; sie hängen von vielen Parametern ab: Tumorgröße und -lage, Tumorgenom, Operationsergebnis, dem Alter und dem Allgemeinzustand des Patienten. Die therapeutischen Verbesserungen der letzten beiden Jahrzehnte haben sich bei den bösartigsten Tumoren bisher nur in einer verlängerten Überlebenszeit ausgewirkt, nicht in verbesserter Heilungsrate.[44]
Literatur
- Cavenee, Louis, Ohgaki, Wiestler (Hrsg.): WHO Classification of Tumours of the Central Nervous System. IARC Press, Lyon 2007, ISBN 978-92-832-2430-3 (englisch).
- J.-C. Tonn: Hirntumoren und spinale Tumoren: Empfehlungen zur Diagnostik, Therapie und Nachsorge. W. Zuckschwerdt Verlag, 2016, ISBN 978-3-86371-200-6 (eingeschränkte Vorschau in der Google-Buchsuche).
- Michael Graner: The Immunology and Biology of Brain Tumors. MDPI, 2021, ISBN 978-3-0365-0102-4 (englisch, eingeschränkte Vorschau in der Google-Buchsuche).
Ältere Literatur
- Ernest Sachs: The diagnosis and treatment of brain tumors. Mosby & Co., St. Louis 1931.
- Immo von Hattingberg: Gehirntumoren (brain tumor, tumeur cérébral). In: Ludwig Heilmeyer (Hrsg.): Lehrbuch der Inneren Medizin. Springer-Verlag, Berlin/Göttingen/Heidelberg 1955; 2. Auflage ebenda 1961, S. 1352–1355.
- Klaus-Joachim Zülch: Biologie und Pathologie der Hirngeschwülste. In: Herbert Olivecrona, Wilhelm Tönnis (Hrsg.): Handbuch der Neurochirurgie. Band 3. Springer, Berlin 1959.
Weblinks
- Allgemeine Informationen zu Diagnostik und Therapie von Hirntumoren von der Deutschen Hirntumorhilfe
- Informationen für Patienten und Angehörige der Deutschen Krebsgesellschaft
- Leitlinien zu Diagnostik und Therapie von Hirntumoren bei der Neuro-onkologischen Arbeitsgemeinschaft (NOA) (Seite nicht mehr abrufbar, festgestellt im Oktober 2024. Suche in Webarchiven)
Einzelnachweise
- ↑ Raumforderung
- ↑ a b WHO Classification of Tumours Editorial Board (Hrsg.): Central Nervous System Tumours (= World Health Organization Classification of Tumours). 5th ed Auflage. International Agency for Research on Cancer, Lyon 2021, ISBN 978-92-832-4508-7 (englisch).
- ↑ S2k-Leitlinie Gliome der Deutsche Gesellschaft für Neurologie. In: AWMF online (Stand 01.02.2021, inhaltlich überprüft am 31.10.2023)
- ↑ Brain Tumor - Risk Factors. 25. Juni 2012, abgerufen am 21. November 2022 (englisch).
- ↑ Robert H. Eibl, Markus Schneemann: Liquid Biopsy and Primary Brain Tumors. In: Cancers. 13. Jahrgang, 29. Oktober 2021, S. 5429, doi:10.3390/cancers13215429, PMID 34771592, PMC 8582521 (freier Volltext) – (englisch).
- ↑ Vgl. etwa A. H. Bennett, Rickman J. Godlee: Excision of a tumor from the brain. In: Lancet. 2, 1884, S. 1090 ff.; A. H. Bennett, Rickman J. Godlee: Case of cerebral tumor. The surgical treatment. In: British Medical Journal. Band 1, 1885, S. 988 ff.
- ↑ IMRIS Neurosurgery intraoperative imaging for neurosurgery. In: imris.com. Archiviert vom am 18. August 2015 (englisch).
- ↑ Robot-Assisted Surgery: Neurosurgery. In: brown.edu. Archiviert vom am 5. Juni 2013 (englisch).
- ↑ Brain mapping. In: Uniklinikum-Dresden.de. Abgerufen am 4. Dezember 2022 (deutsch).
- ↑ Alexander F. Haddad, Jacob S. Young, Mitchel S. Berger, Phiroz E. Tarapore: Preoperative Applications of Navigated Transcranial Magnetic Stimulation. In: Frontiers in Neurology. Band 11, 2020, ISSN 1664-2295, S. 628903, doi:10.3389/fneur.2020.628903, PMID 33551983, PMC 7862711 (freier Volltext).
- ↑ Tim Wende, Karl-Titus Hoffmann, Jürgen Meixensberger: Tractography in Neurosurgery: A Systematic Review of Current Applications. In: Journal of Neurological Surgery. Part A, Central European Neurosurgery. Band 81, Nr. 5, September 2020, ISSN 2193-6323, S. 442–455, doi:10.1055/s-0039-1691823, PMID 32176926.
- ↑ J. Sven D. Mieog, Friso B. Achterberg, Aimen Zlitni, Merlijn Hutteman, Jacobus Burggraaf, Rutger-Jan Swijnenburg, Sylvain Gioux, Alexander L. Vahrmeijer: Fundamentals and developments in fluorescence-guided cancer surgery. In: Nature Reviews Clinical Oncology. Band 19, Nr. 1, Januar 2022, ISSN 1759-4782, S. 9–22, doi:10.1038/s41571-021-00548-3.
- ↑ Claudia Scaringi, Linda Agolli, Giuseppe Minniti: Technical Advances in Radiation Therapy for Brain Tumors. In: Anticancer Research. Band 38, Nr. 11, 1. November 2018, ISSN 0250-7005, S. 6041–6045, doi:10.21873/anticanres.12954, PMID 30396918 (iiarjournals.org [abgerufen am 23. November 2022]).
- ↑ Damien C Weber, Pei S Lim, Sebastien Tran, Marc Walser, Alessandra Bolsi, Ulrike Kliebsch, Jürgen Beer, Barbara Bachtiary, Tony Lomax, Alessia Pica: Proton therapy for brain tumours in the area of evidence-based medicine. In: The British Journal of Radiology. Band 93, Nr. 1107, März 2020, ISSN 0007-1285, doi:10.1259/bjr.20190237, PMID 31067074.
- ↑ Chemotherapy treatment | Brain tumour (primary) | Cancer Research UK. Abgerufen am 24. November 2022.
- ↑ Timothy P Heffron: Challenges of developing small-molecule kinase inhibitors for brain tumors and the need for emphasis on free drug levels. In: Neuro-Oncology. Band 20, Nr. 3, Februar 2018, ISSN 1522-8517, S. 307–312, doi:10.1093/neuonc/nox179, PMID 29016919, PMC 5817959 (freier Volltext).
- ↑ Rok Razpotnik, Neža Novak, Vladka Čurin Šerbec, Uros Rajcevic: Targeting Malignant Brain Tumors with Antibodies. In: Frontiers in Immunology. Band 8, 25. September 2017, ISSN 1664-3224, S. 1181, doi:10.3389/fimmu.2017.01181, PMID 28993773, PMC 5622144 (freier Volltext).
- ↑ Gayoung Kim, Young Tag Ko: Small molecule tyrosine kinase inhibitors in glioblastoma. In: Archives of Pharmacal Research. Band 43, Nr. 4, April 2020, ISSN 1976-3786, S. 385–394, doi:10.1007/s12272-020-01232-3, PMID 32239429.
- ↑ Immunotherapy for Brain Cancer. Abgerufen am 24. November 2022 (amerikanisches Englisch).
- ↑ Neurochirurgen machen Seh- und Gefühlszentren während Hirn-OP sichtbar. 25. Februar 2014, abgerufen am 24. November 2022.
- ↑ Minbiao Ji, Spencer Lewis, Sandra Camelo-Piragua, Shakti H. Ramkissoon, Matija Snuderl, Sriram Venneti, Amanda Fisher-Hubbard, Mia Garrard, Dan Fu, Anthony C. Wang, Jason A. Heth, Cormac O. Maher, Nader Sanai, Timothy D. Johnson, Christian W. Freudiger, Oren Sagher, Xiaoliang Sunney Xie, Daniel A. Orringer: Detection of human brain tumor infiltration with quantitative stimulated Raman scattering microscopy. In: Science translational medicine. Band 7, Nr. 309, 14. Oktober 2015, ISSN 1946-6234, S. 309ra163, doi:10.1126/scitranslmed.aab0195, PMID 26468325, PMC 4900155 (freier Volltext).
- ↑ Damon DePaoli, Émile Lemoine, Katherine Ember, Martin Parent, Michel Prud’homme, Léo Cantin, Kevin Petrecca, Frédéric Leblond, Daniel C. Côté: Rise of Raman spectroscopy in neurosurgery: a review. In: Journal of Biomedical Optics. Band 25, Nr. 5, Mai 2020, ISSN 1083-3668, S. 050901, doi:10.1117/1.JBO.25.5.050901, PMID 32358930, PMC 7195442 (freier Volltext).
- ↑ Kavitaa Nedunchezhian: Boron Neutron Capture Therapy - A Literature Review. In: JOURNAL OF CLINICAL AND DIAGNOSTIC RESEARCH. 2016, doi:10.7860/JCDR/2016/19890.9024, PMID 28209015, PMC 5296588 (freier Volltext) – (jcdr.net [abgerufen am 17. April 2024]).
- ↑ Timothy D. Malouff, Danushka S. Seneviratne, Daniel K. Ebner, William C. Stross, Mark R. Waddle, Daniel M. Trifiletti, Sunil Krishnan: Boron Neutron Capture Therapy: A Review of Clinical Applications. In: Frontiers in Oncology. Band 11, 2021, ISSN 2234-943X, doi:10.3389/fonc.2021.601820/full.
- ↑ Elektrische Wechselfelder. Deutsche Hirntumorhilfe, abgerufen am 21. Juli 2021.
- ↑ Aufnahme von Tumor Treating Fields (TTFields) in die nationalen Leitlinien der DGN und DGHO. In: onkologie heute. 11. März 2022, abgerufen am 24. November 2022.
- ↑ Hyperthermia to Treat Cancer - NCI. 9. September 2011, abgerufen am 24. November 2022 (englisch).
- ↑ Georgios P. Skandalakis, Daniel R. Rivera, Caroline D. Rizea, Alexandros Bouras, Joe Gerald Jesu Raj, Dominique Bozec, Constantinos G. Hadjipanayis: Hyperthermia treatment advances for brain tumors. In: International journal of hyperthermia : the official journal of European Society for Hyperthermic Oncology, North American Hyperthermia Group. Band 37, Nr. 2, Juli 2020, ISSN 0265-6736, S. 3–19, doi:10.1080/02656736.2020.1772512, PMID 32672123, PMC 7756245 (freier Volltext).
- ↑ John H. Sampson, Michael D. Gunn, Peter E. Fecci, David M. Ashley: Brain immunology and immunotherapy in brain tumours. In: Nature reviews. Cancer. Band 20, Nr. 1, Januar 2020, ISSN 1474-175X, S. 12–25, doi:10.1038/s41568-019-0224-7, PMID 31806885, PMC 7327710 (freier Volltext).
- ↑ Kaushik Banerjee, Felipe J. Núñez, Santiago Haase, Brandon L. McClellan, Syed M. Faisal, Stephen V. Carney, Jin Yu, Mahmoud S. Alghamri, Antonela S. Asad, Alejandro J. Nicola Candia, Maria Luisa Varela, Marianela Candolfi, Pedro R. Lowenstein, Maria G. Castro: Current Approaches for Glioma Gene Therapy and Virotherapy. In: Frontiers in Molecular Neuroscience. Band 14, 11. März 2021, ISSN 1662-5099, S. 621831, doi:10.3389/fnmol.2021.621831, PMID 33790740, PMC 8006286 (freier Volltext).
- ↑ Chien-Tsun Kuan, Kenji Wakiya, Stephen T. Keir, Jianjun Li, James E. Herndon, Ira Pastan, Darell D. Bigner: Affinity-matured anti-glycoprotein NMB recombinant immunotoxins targeting malignant gliomas and melanomas. In: International journal of cancer. Journal international du cancer. Band 129, Nr. 1, 1. Juli 2011, ISSN 0020-7136, S. 111–121, doi:10.1002/ijc.25645, PMID 20824708, PMC 3024457 (freier Volltext).
- ↑ Ali Gholamrezanezhad, Hossein Shooli, Narges Jokar, Reza Nemati, Majid Assadi: Radioimmunotherapy (RIT) in Brain Tumors. In: Nuclear Medicine and Molecular Imaging. Band 53, Nr. 6, Dezember 2019, ISSN 1869-3474, S. 374–381, doi:10.1007/s13139-019-00618-6, PMID 31867072, PMC 6898703 (freier Volltext).
- ↑ Jana de Sostoa, Valérie Dutoit, Denis Migliorini: Oncolytic Viruses as a Platform for the Treatment of Malignant Brain Tumors. In: International Journal of Molecular Sciences. Band 21, Nr. 20, 9. Oktober 2020, ISSN 1422-0067, S. 7449, doi:10.3390/ijms21207449, PMID 33050329, PMC 7589928 (freier Volltext).
- ↑ Richard E. Kast, John A. Boockvar, Ansgar Brüning, Francesco Cappello, Wen-Wei Chang, Boris Cvek, Q. Ping Dou, Alfonso Duenas-Gonzalez, Thomas Efferth, Daniele Focosi, Seyed H. Ghaffari, Georg Karpel-Massler, Kirsi Ketola, Alireza Khoshnevisan, Daniel Keizman, Nicolas Magné, Christine Marosi, Kerrie McDonald, Miguel Muñoz, Ameya Paranjpe, Mohammad H. Pourgholami, Iacopo Sardi, Avishay Sella, Kalkunte S. Srivenugopal, Marco Tuccori, Weiguang Wang, Christian R. Wirtz, Marc-Eric Halatsch: A conceptually new treatment approach for relapsed glioblastoma: Coordinated undermining of survival paths with nine repurposed drugs (CUSP9) by the International Initiative for Accelerated Improvement of Glioblastoma Care. In: Oncotarget. Band 4, Nr. 4, 13. April 2013, ISSN 1949-2553, S. 502–530, PMID 23594434, PMC 3720600 (freier Volltext).
- ↑ Erlend Skaga, Ida Ø. Skaga, Zanina Grieg, Cecilie J. Sandberg, Iver A. Langmoen, Einar O. Vik-Mo: The efficacy of a coordinated pharmacological blockade in glioblastoma stem cells with nine repurposed drugs using the CUSP9 strategy. In: Journal of Cancer Research and Clinical Oncology. Band 145, Nr. 6, 2019, ISSN 0171-5216, S. 1495–1507, doi:10.1007/s00432-019-02920-4, PMID 31028540, PMC 6527541 (freier Volltext).
- ↑ Emilie Le Rhun, Patrick Devos, Véronique Bourg, Amélie Darlix, Véronique Lorgis, Guido Ahle, Mathieu Boone, Luc Taillandier, Elsa Curtit, Louis Gras, Christine Lebrun Frenay, Dorothee Gramatzki, Carole Ramirez, Nicolas Simon, Michael Weller: Complementary and alternative medicine use in glioma patients in France. In: Journal of Neuro-Oncology. Band 145, Nr. 3, 1. Dezember 2019, ISSN 1573-7373, S. 487–499, doi:10.1007/s11060-019-03315-8.
- ↑ Panagiotis Kerezoudis, Evangelia N. Kerezoudi, Abdurehman Choudhry, Benjamin T. Himes, Ian F. Parney: Complementary and Alternative Medicine for Gliomas: Systematic Review and Critical Appraisal of Current Literature. In: Neurosurgery. 17. Mai 2022, ISSN 0148-396X, S. 10.1227/neu.0000000000002236, doi:10.1227/neu.0000000000002236 (lww.com [abgerufen am 24. November 2022]).
- ↑ Dhiraj J. Pangal, Hans Baertsch, Eliza M. Kellman, Tyler Cardinal, Andrew Brunswick, Martin Rutkowski, Ben Strickland, Frances Chow, Frank Attenello, Gabriel Zada: Complementary and Alternative Medicine for the Treatment of Gliomas: Scoping Review of Clinical Studies, Patient Outcomes, and Toxicity Profiles. In: World Neurosurgery. Band 151, Juli 2021, ISSN 1878-8769, S. e682–e692, doi:10.1016/j.wneu.2021.04.096, PMID 33940275.
- ↑ Chris Twelves, Michael Sabel, Daniel Checketts, Sharon Miller, Bola Tayo, Maria Jove, Lucy Brazil, Susan C. Short: A phase 1b randomised, placebo-controlled trial of nabiximols cannabinoid oromucosal spray with temozolomide in patients with recurrent glioblastoma. In: British Journal of Cancer. Band 124, Nr. 8, April 2021, ISSN 1532-1827, S. 1379–1387, doi:10.1038/s41416-021-01259-3.
- ↑ World-first trial tests cannabis-based drug on aggressive brain tumours. In: Health News. 3. August 2021, abgerufen am 24. November 2022 (englisch).
- ↑ Cannabis verordnen. Abgerufen am 24. November 2022.
- ↑ Brain Tumor - Statistics. 25. Juni 2012, abgerufen am 24. November 2022 (englisch).
- ↑ Prognose: Wie sind die Überlebensaussichten von Patienten mit einem hochmalignen Gliom? Abgerufen am 24. November 2022.
- ↑ Michael T. C. Poon, Cathie L. M. Sudlow, Jonine D. Figueroa, Paul M. Brennan: Longer-term (≥ 2 years) survival in patients with glioblastoma in population-based studies pre- and post-2005: a systematic review and meta-analysis. In: Scientific Reports. Band 10, Nr. 1, 15. Juli 2020, ISSN 2045-2322, S. 11622, doi:10.1038/s41598-020-68011-4.