Glioblastom
| Klassifikation nach ICD-10 | |
|---|---|
| C71 | Bösartige Neubildung des Gehirns |
| ICD-10 online (WHO-Version 2019) | |
| Klassifikation nach ICD-11 | |
|---|---|
| 2A00.00 | Glioblastom des Gehirns |
| 2A02.00 | Glioblastom des Rückenmarks, der Hirnnerven oder anderer Bereiche des Zentralnervensystems |
| ICD-11: Englisch • Deutsch (Entwurf) | |
| Klassifikation nach ICD-O-3 | |
|---|---|
| 9440/3 | Glioblastom, IDH-Wildtyp |
| ICD-O-3, zweite Revision (2019) | |

Das Glioblastom, IDH-Wildtyp (kurz Glioblastom, früher Glioblastoma multiforme (GBM)) ist der häufigste bösartige hirneigene Tumor bei Erwachsenen. Das Glioblastom weist feingewebliche Ähnlichkeiten mit den Gliazellen des Gehirns auf und wird nach histologischen und molekulargenetischen Eigenschaften definiert. Die Behandlung besteht in operativer Reduktion der Tumormasse, Bestrahlung und Chemotherapie, eine endgültige Heilung kann derzeit jedoch nicht erreicht werden. Die mittlere Überlebenszeit liegt bei wenigen Monaten ohne Behandlung und rund 15 Monaten bei aktuell gängigen Therapiemethoden. Manche Erkrankte überleben länger, nur wenige jedoch mehrere Jahre. Aufgrund der sehr schlechten Prognose wird das Glioblastom nach der WHO-Klassifikation der Tumoren des zentralen Nervensystems als Grad 4 eingestuft.
Historisches
Der Begriff Glioblastoma multiforme wurde 1926 von Percival Bailey und Harvey Cushing geprägt. Die Begriffsbildung basierte auf der Vorstellung, dass sich der Tumor aus primitiven Vorstufen von Gliazellen (Glioblasten) entwickelt, sowie der Beobachtung, dass das Erscheinungsbild mit Nekrosen, Einblutungen und Zysten sehr variabel (multiform) sein kann.[1] Der von dem Pathologen Frank Burr Mallory bereits 1914 verwendete Begriff Spongioblastoma multiforme konnte sich nicht durchsetzen.[2]
Mit der fünften Edition der WHO-Klassifikation der Tumoren des zentralen Nervensystems wurde der Tumor von Glioblastoma multiforme in Glioblastom, IDH-Wildtyp umbenannt.[3]
Verbreitung
Glioblastome sind bei Erwachsenen die häufigsten bösartigen hirneigenen Tumoren. Unter den aus dem Hirngewebe entstehenden (neuroepithelialen) Tumoren machen sie etwa die Hälfte aller Fälle aus.[4] Der Tumor tritt am häufigsten bei älteren Erwachsenen zwischen dem 55. und 85. Lebensjahr auf. Männer sind deutlich häufiger betroffen als Frauen (Verhältnis 1,5:1). Daten des amerikanischen Hirntumorregisters zeigen, dass Glioblastome bei Weißen mindestens doppelt so häufig sind wie in der schwarzen Bevölkerung. Im Vergleich zu Erwachsenen sind Glioblastome bei Kindern sehr selten. Die Inzidenz wurde in Europa, Nordamerika und Australien mit drei bis sechs Neuerkrankungen pro Jahr auf 100.000 Einwohner ermittelt und ist in Entwicklungsländern geringer.[5][6][7] Als einziger gesicherter ursächlicher (ätiologischer) Umweltfaktor gilt derzeit eine Exposition durch ionisierende Strahlung, beispielsweise durch Strahlentherapie oder Kernwaffenexplosionen. Diagnostische Bestrahlungen, beispielsweise Schädel-CTs, oder Mobiltelefone erhöhen das Risiko vermutlich nicht.[8]
Bei der Mehrzahl der Glioblastome handelt es sich um sporadisch auftretende Fälle ohne Hinweis auf eine Erblichkeit. Bei bestimmten seltenen erblichen Erkrankungen, unter anderem bei dem Li-Fraumeni-Syndrom oder dem Turcot-Syndrom, können Glioblastome jedoch in Familien gehäuft auftreten.[8]
Krankheitsentstehung
Glioblastome können völlig neu (de novo) oder durch fortschreitende Entdifferenzierung aus weniger bösartigen IDH-mutierten Astrozytomen entstehen. Als Ursprungszelle werden einerseits neurale Stammzellen in der subventrikulären Zone vermutet, im Mausmodell können jedoch auch Glioblasten, Astrozyten, Neuroblasten oder Neuronen zu Glioblastomen transformiert werden. Welche Zellart tatsächlicher Ursprung ist, steht mit Stand 2021 nicht fest. Genmutationen von TERT, EGFR, CCDC26, CDKN2A, CDKN2B, PHLDB1, TP53 und RTEL1 sind mit Glioblastomen assoziiert.[8][9][10]
Es kommt nicht selten vor, dass therapierte Astrozytome sich im Rezidiv als Glioblastom manifestieren. Diese sogenannten sekundären Glioblastome treten eher bei jüngeren Patienten auf und haben ein anderes Spektrum genetischer Veränderungen als neuentstandene (siehe Klinische Studien). In einer in der Schweiz durchgeführten epidemiologischen Studie waren primäre Glioblastome im Kanton Zürich etwa zwanzigmal so häufig wie sekundäre.[7]
Lokalisation und Wachstum

Das Glioblastom geht von der weißen Substanz aus. Die mit Abstand häufigste Lokalisation ist das Großhirn, wo es in allen Hirnlappen entstehen kann, aber den Frontal- und den Temporallappen bevorzugt. Im Bereich von Kleinhirn, Hirnstamm und Rückenmark sind Glioblastome selten.
Glioblastome wachsen diffus infiltrierend vor allem entlang von Nervenbahnen, aber auch in der Großhirnrinde und der grauen Substanz. Über ein Wachstum entlang von Nerven, Blutgefäßen, der Pia Mater und seltener durch den Liquor kann sich der Tumor über weite Strecken ausbreiten. Diese vereinzelten Mikrometastasen sind nicht alle bildgebend darstellbar und liegen so tief in gesundem Gewebe, dass sie nicht operativ entfernt werden können. Bei ansonsten therapeutisch kontrolliertem Tumor ist eine Metastasierung in den Hirnstamm häufig todesursächlich. Eine Bildung von Fernmetastasen außerhalb des Gehirns ist selten.[8]
Oft wachsen hemisphärielle Glioblastome über den Balken auf die andere Seite hinüber. Solche Tumoren werden als „Schmetterlingsgliome“ bezeichnet. Bei einer großflächigen Durchwachsung des Gehirns spricht man von einer Gliomatosis cerebri.[8]
Klinische Erscheinungen
Wegen des raschen Wachstums entwickeln sich die Beschwerden meistens rasch innerhalb weniger Wochen bis Monate. Erste Symptome können anhaltende und ungewohnte Kopfschmerzen, aber auch neu auftretende epileptische Anfälle sein. Fokale neurologische Ausfälle wie Lähmungen, Aphasien und Sehstörungen können lokalisationsabhängig hinzukommen. Schließlich sind es oft auffällige Persönlichkeitsveränderungen, Apathie oder psychomotorische Verlangsamung, die den Patienten zum Arzt führen. Hirndruckzeichen wie Stauungspapille, Erbrechen, Somnolenz und Koma treten spät auf und sind prognostisch ungünstig.
Untersuchungsmethoden
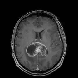
Die Diagnose wird zunächst durch bildgebende Verfahren wie Computertomographie (CT) oder Magnetresonanztomographie (MRT) gestützt. In der CT-Bildgebung mit Kontrastmittel erscheint das Glioblastom unregelmäßig geformt mit randständig starker Kontrastmittelaufnahme (ringförmiges Enhancement). Bei kleineren Tumoren ist dieses ringförmig konfiguriert, bei größeren bildet es eine girlandenartige Formation aus. In der Umgebung des Tumors bildet sich typischerweise ein erhebliches Ödem aus. Der MRT-Befund ist recht typisch: Die soliden Anteile des Glioblastoms reichern Kontrastmittel stark an, dagegen heben sich die Aussparungen durch zystische Anteile und die Blutungen ab. Letztendlich wird die Diagnose am Tumorgewebe, das bei einer stereotaktischen Hirnbiopsie oder Tumorresektion gewonnen wurde, neuropathologisch bestätigt. Im Einzelfall werden Supplementäruntersuchungen wie Elektroenzephalografie und Lumbalpunktion durchgeführt, die der Einschätzung der Anfallsneigung bzw. der differentialdiagnostischen Abgrenzung gegen Hirnabszesse oder Lymphome dienen.
Pathologie

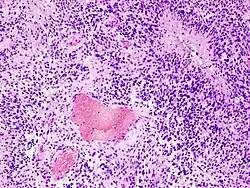
Das Glioblastom ist durch seine inhomogene und vielfältige (daher: multiforme) Erscheinung gekennzeichnet: die Tumorschnittfläche weist häufig rötliche Einblutungen und gelbliche Gewebsuntergänge (Nekrosen) auf.
Histologie
Feingeweblich (histologisch) handelt es sich um zelldichte astrozytär differenzierte Tumoren, die diffus das umgebende reaktiv veränderte Hirngewebe infiltrieren. Die Tumorzellen sind mit multipolaren feinen Fortsätzen fibrillär-astrozytär differenziert oder weisen mit einem aufgeblähten Zytoplasma eine gemästet-zellige Differenzierung auf. Auch Riesenzellen mit bizarren Kernen oder kleinzellige Areale mit wenig ausgedehnten Zellkörpern kommen vor. Die Zellkerne sind meist chromatinreich und vielgestaltig (polymorph). Mitotische und proliferative Aktivität sind erhöht.
Histologische diagnostische Kriterien sind mikrovaskuläre Proliferation, also das Wachstum von Blutgefäßen, und Nekrosen, welche häufig von Zellen palisadenartig umgeben sind.[8]
Immunhistochemie
.jpg)

Immunhistochemisch findet sich zwischen den Tumoren und auch innerhalb eines Tumors ein vielgestaltiges Bild. Häufig ist das saure Gliafaserprotein (GFAP), S-100, EGFR und der Gliommarker OLIG2 nachweisbar. Der Zellteilungsmarker Ki-67 kann in über der Hälfte der Zellen exprimiert sein.[8][9]

Genetik
Tumorzellen eines Glioblastom weisen häufig Kopienzahlveränderungen auf, meist handelt es sich hierbei um Zugewinne auf oder zusätzliche Kopien von Chromosom 7 und Verluste auf oder Verlust von Chromosom 10 (+7/−10). Auf Chromosom 7 finden sich unter anderem EGFR, auf Chromosom 10 beispielsweise PTEN und der MGMT-Promotor. Neben zahlreichen Genmutationen finden sich seltener auch Genfusionen, vor allem des EGFR-Gens.[8][9]
Die Telomerase Reverse Transkriptase (TERT) ist für die Erhaltung der Telomere und damit die Stabilität der Chromosomen verantwortlich. Mutationen des Promotors liegen bei den meisten Glioblastomen vor.[8][11]
Das Retinoblastom-Protein auf Chromosom 13 ist ein Tumorsuppressorgen, reguliert also das Zellteilung. Durch Verlust von CDKN2A, CDKN2B oder RB1 oder Amplifikation von CDK4 kann diese Hemmung gestört werden und ein unkontrolliertes Zellwachstum auftreten. Gleichzeitig kann durch Veränderungen bei TP53 (Chromosom 17), PTEN, MDM2, MDM4 oder CDKN2A die Apoptoserate gesenkt werden.[8][10]
Der Transkriptionsregulator ATRX ist in etwa drei Viertel der Fälle erhalten. Rezidive sind mit einer höheren Gesamtzahl von Mutationen und TP53-Mutationen assoziiert, vorrangig verursacht durch Mutation oder Verlust von DNA-Mismatch-Reparaturproteinen.[8][12][13]
Epigenetik
O6-Methylguanin-DNA-Methyltransferase repariert alkylierte DNA und schützt den Körper damit vor der Entstehung von Tumoren. In knapp der Hälfte der Glioblastome ist durch die Hypermethylierung des MGMT-Promotors das Enzym weitestgehend inaktiv. Da beim Glioblastom eingesetzte Zytostatika jedoch vorwiegend über DNA-Alkylierung wirken, sind seine Mutation oder Verlust mit deutlich besseren Ansprechen auf Chemotherapien assoziiert.[8][14][15]
Von den über 500 assoziierten Histonmodifikationen sind nur wenige genauer erforscht.[8][14][15]
Diagnostische Kriterien
Diagnostische Hauptkriterien sind ein diffuses, astrozytäres Gliom mit IDH- und H3-Wildtyp sowie zumindest ein Nebenkriterium (mikrovaskuläre Proliferation, Nekrosen, TERT-Promoter-Mutation, EGFR-Gen-Amplifikation oder Kopienzahlveränderungen vom +7/-10-Typ).
Per definitionem liegen die Isocitrat-Dehydrogenase (IDH) und Histon H3 als Wildtyp vor, sind also nicht mutiert. Früher als Glioblastom klassifizierte Tumoren mit solchen Mutationen werden seit 2021 als „Astrozytom, IDH-mutiert, WHO-Grad 4“[16]:46 beziehungsweise als „Diffuses Mittelliniengliom, H3 K27-alteriert“ bezeichnet.[8]
Subtypen
Die WHO unterscheidet drei Subtypen, die durch metaplastische Umwandlung entstehen. Die Unterscheidung erfolgt nach histologischen Kriterien.[8]
Gliosarkom

Bei Gliosarkomen handelt es sich um Glioblastome, die neben den oben beschriebenen astrozytären Tumoranteilen auch bindegewebsreiche sarkomatöse Abschnitte mit spindelzelligen oder andersartig differenzierten Tumorzellen aufweisen. Sie können primär entstehen oder sich aus Glioblastomen, Ependymomen oder Oligodendrogliomen entwickeln und machen zwei bis fünf Prozent aller Glioblastome aus. Im Gegensatz zu Gliazellen exprimieren sie viel Reticulin, jedoch kein GFAP. Wie andere Glioblastome zeigen sie häufig TP53 und CDKN2A Veränderungen, jedoch nur selten EGFR-Amplifikation oder PTEN-Mutationen. Gliosarkome neigen eher zu Fernmetastasierungen und weisen eine schlechtere Prognose auf.[8][13][17]
Epitheloides Glioblastom
Ein epitheloides Glioblastom weist große, melanomartige Epitheloidzellen mit reichlich eosinophilem Zytoplasma und teilweise auch rhabdoide Zellen auf. In etwa der Hälfte der Fälle finden sich BRAFV600E-Mutationen, MGMT-Promotor-Methylierungen oder EZH2-Überexpression. Sie machen etwa drei Prozent der Glioblastome aus und treten vor allem bei jüngeren Patienten auf; Männer sind doppelt so häufig betroffen wie Frauen. Sie neigen eher zu Liquor- und Fernmetastasierung und sind mit schlechterer Prognose assoziiert.[18][19][20]
Riesenzellglioblastom
Als Riesenzellglioblastome werden Glioblastome mit einer ausgeprägten mehrkernigen, riesenzelligen Komponente bezeichnet. Riesenzellglioblastome sind mit Doppelstrangbrüchen, TP53-Mutationen und OLIG2-Expression assoziiert, EGFR-Amplifikationen und BRAFV600E-Mutationen sind jedoch selten. Riesenzellglioblastome treten eher bei jüngeren Menschen auf und machen etwa ein bis fünf Prozent aller Glioblastome aus. Die Prognose ist besser als bei anderen Glioblastomformen.[8][18][21][22]
Behandlung
Die Therapie des Glioblastoms ist vom Allgemeinzustand des Patienten, den Therapiezielen und molekularer Eigenschaften und Lokalisation des Tumors abhängig. Sie wird interdisziplinär im Rahmen eines Tumorboards zwischen der Neuroonkologie, Neuroradiologie, Neuropathologie, Neurochirurgie und Radioonkologie besprochen.[16][23]
Die Standardtherapie ist eine Kombination aus chirurgischer Resektion, Bestrahlung und Chemotherapie, ergänzt durch supportive Maßnahmen.[16][23]
Primärtherapie
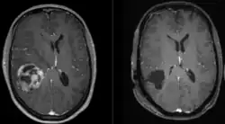
Resektion
_im_MRI_preoperativ_und_postoperativ.png)
Die neurochirurgische Operation mit Verminderung der Hauptmasse des Tumors (Tumorreduktion) kann das Fortschreiten der Erkrankung verlangsamen, aber nicht dauerhaft verhindern, da praktisch immer einzelne Tumorzellen das gesunde Gehirngewebe schon infiltrativ durchwandert haben und deswegen eine vollständige Tumorentfernung nicht möglich ist. Der Eingriff kann stereotaktisch oder offen durchgeführt werden.[16][23]
Ob ein chirurgischer Eingriff möglich ist, hängt von der Lokalisation des Tumors und dem Allgemeinzustand des Patienten ab. Eine möglichst vollständige Entfernung ist mit längerem Überleben assoziiert.[16][23]
Ein innovatives Verfahren zusätzlich zur neurochirurgischen Behandlung von bösartigen Hirntumoren (z. B. dem Glioblastom) ist die fluoreszenz-gestützte Chirurgie mit 5-Aminolävulinsäure (5-ALA).[16] Dabei erhält der Patient etwa vier Stunden vor der Operation eine körpereigene Substanz (5-ALA) als Trinklösung, die sich im Hirntumor stark anreichert und dort in einen fluoreszierenden Farbstoff umgewandelt wird. Während der Operation kann dann dieser Farbstoff durch blau-violettes Licht (Wellenlänge 410 bis 440 nm) zum Leuchten (Fluoreszenz) angeregt werden, sodass sich der Tumor (rosa) vom gesunden Hirngewebe (dunkelblau) besonders deutlich abgrenzen lässt.[24] Durch dieses Verfahren ist eine weitgehend komplette Entfernung der Tumoren viel sicherer und effektiver möglich. Das führt zu einer Verlängerung der Zeit bis zum Nachwachsen dieser Tumoren (rezidivfreies Intervall), wodurch die Prognose dieser Erkrankung deutlich verbessert wird. Das Verfahren wurde 2004 in Düsseldorf und München entwickelt und wird in vielen deutschen Kliniken angewandt.
Eine Gewebeentnahme zur genaueren pathologischen Untersuchung kann im Rahmen einer Operation oder als eigenständiger Eingriff durchgeführt werden.[16][23]
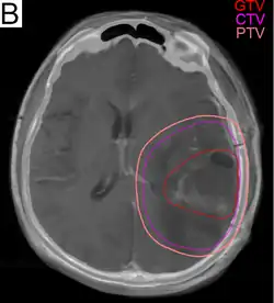
Radiotherapie
.png)
Glioblastome werden, etwa vier Wochen nach einer ggf. stattfindenden Operation, in der Regel mit einer Gesamtdosis von 60 Gray in etwa 30 Sitzungen bestrahlt. Bei höherem Patientenalter und/oder schlechter Prognose können auch Therapiepläne mit geringerer Gesamtdosis zum Einsatz kommen. Besondere Bestrahlungsverfahren, Brachytherapie oder Radiochirurgie bieten keinen Überlebensvorteil gegenüber der Standardtherapie.[16][23]
Chemotherapie
Die etabliertesten Zytostatika in der Behandlung des Glioblastoms sind Alkylanzien,[16][25] welche die DNA-Replikation stören und so insbesondere das Wachstum sich schnell vermehrender Tumorzellen hemmen. Die Kombination aus Bestrahlung und Temozolomid ist die Standard-Radiochemotherapie. Während der Akutphase wird das Medikament täglich genommen, während der anschließenden etwa halbjährlichen Erhaltungstherapie alle vier Wochen an fünf aufeinanderfolgenden Tagen. Eine Therapie mit höheren Dosen oder längerer Erhaltungstherapie bringt keinen Überlebensvorteil. Dosislimitierende Nebenwirkung ist meist die Knochenmarkshemmung mit verringerter Zahl an Blutplättchen.[16]
Insbesondere Patienten mit Nachweis MGMT-Promoter-Hypermethylierung profitieren von einer Chemotherapie mit einem Zytostatikum.[26] Ob Temozolomid ohne diese epigenetische Veränderung einen Überlebensvorteil bringt, ist umstritten, der Einsatz wird im Einzelfall abgewogen. Zur Bewertung der Kombinationstherapie aus Temozolomid und dem Nitrosoharnstoff Lomustin (CCNU) bei Glioblastomen mit MGMT-Promoter-Methylierung gibt es unzureichende Daten.[16][23]
Selten wird eine lokale Chemotherapie mit dem Nitrosoharnstoff Carmustin mittels Polymerimplantat im Tumor durchgeführt. Der Überlebensvorteil ist gering.[16][23]
Weitere Verfahren
Ein weiteres optionales Verfahren in der Glioblastom-Behandlung sind Tumortherapiefelder. Dabei werden elektrische Wechselfelder in einem mittleren Frequenzbereich (200 kHz) über äußerliche Elektroden auf den erkrankten Körperbereich gerichtet. So soll das Wachstum krebsartiger Tumorzellen gehemmt werden.[27] Die Evidenz für das Verfahren ist kontrovers und der Einsatz wird im Einzelfall abgewogen.[16][23]
Monitoring
Da Glioblastome zu frühen Rezidiven neigen, sollten bildgebende Kontrolluntersuchungen in Abständen von zwei bis drei Monaten durchgeführt werden.[16][23]
Manche Glioblastome zeigen während der Therapie eine Pseudoprogression. Dabei wurde durch die Radiochemotherapie die Blut-Hirn-Schranke geschädigt und es wird mehr Kontrastmittel vom umliegenden Gewebe aufgenommen, ohne dass es zu einer tatsächlichen Größenzunahme des Tumors kam. Die Pseudoprogression tritt am häufigsten in den ersten drei Monaten nach hohen Strahlendosen und bei MGMT-Promoter-Methylierung unter Temozolomid-Therapie auf.[16][28]
Therapie bei Progression und Rezidiven
Bei einem fortschreitenden Wachstum oder einem Rezidiv, also einem Wiederauftreten, gibt es keine Standardtherapie. Behandlungsziele, Therapieoptionen und mögliche Studienteilnahmen müssen im Einzelfall abgewogen werden.[16][25]
In 20 bis 30 % der Fälle kann ein erneuter chirurgischer Eingriff durchgeführt werden, insbesondere nach längerer Rezidivfreiheit.[16]
Die Standardchemotherapie des Rezidivs erfolgt mit Lomustin oder Temozolomid-Wiederaufnahme. In der Schweiz und anderen Ländern wird in der Rezidivtherapie auch der VEGF-Antikörper Bevacizumab eingesetzt. Ein Überlebensvorteil gegenüber der Standardtherapie konnte nicht nachgewiesen werden, das Medikament ist in der EU nicht zugelassen.[16][23]
Therapieschemata mit Temozolomid, Bevacizumab, Fotemustin, Regorafenib, Irinotecan, Depatuxizumab-Mafodotin oder anderen Wirkstoffen und Kombinationen konnten eine Überlegenheit im Gesamtüberleben gegenüber Lomustin bislang nicht verlässlich demonstrieren.[16][23][25]
Supportivtherapie
Eine kurzfristige klinische Besserung kann durch Behandlung des praktisch immer vorhandenen perifokalen Hirnödems mit Corticosteroiden erreicht werden. Bei epileptischen Anfällen sollte eine Therapie mit Antiepileptika eingeleitet werden.[16][23]
Psychosoziale Versorgung
Glioblastompatienten sollte psychologische Beratung und Therapie angeboten werden. Ebenso können sie nach Bedarf logopädische, ergo- und physiotherapeutische Behandlungen und sozialarbeiterische Unterstützung erhalten.[16][23]
Klinische Studien
Die Entwicklung neuer Behandlungsformen bei Glioblastomen ist Gegenstand intensiver Forschung. Im Februar 2013 waren 257 klinische Studien bei Clinicaltrials.gov, einem Register der United States National Library of Medicine als aktiv oder in Vorbereitung registriert.[29] Tyrosinkinaserezeptoren, wie die Rezeptoren für epidermalen Wachstumsfaktor (EGFR) und Platelet Derived Growth Factor (PDGF), stellen mögliche Zielmoleküle für neue therapeutische Ansätze dar.[30][31]
Auch gentherapeutische Verfahren werden im Rahmen klinischer Studien erprobt.[32]
Ein anderer experimenteller Ansatz ist die Behandlung mit Nanoteilchen.[33] Diese bestehen aus einem Eisenoxidkern sowie einer Hülle, die das Eindringen der Eisenoxidpartikel in die Krebszellen erleichtern soll. Die Partikel werden direkt in den Tumor injiziert. In mehreren Durchgängen wird der so mit den Eisenoxid-Teilchen, welche ein Ferrofluid bilden, angereicherte Tumor mit Magnetwechselfeldern auf über 46 °C erwärmt. Im Tiermodell ergaben sich deutlich verbesserte Überlebenszeiten.[34] Studienergebnisse beim Menschen liegen seit September 2010 vor,[35] seit Mitte 2011 ist die Therapie verfügbar.[36]
In einem anderen Forschungsansatz wurde wie bei anderen Krebserkrankungen mit Parvoviren gearbeitet.[37] Bis auf eine Phase-I/II-Studie an 18 Patienten mit Glioblastomen aus dem Jahre 2012 wurden bislang keine weiteren Daten publiziert.[38] Ein vergleichbarer Ansatz ist die Behandlung mit genetisch verändertem, attenuiertem Poliovirus (PVS-RIPO), die sich noch in einem frühen experimentellen Stadium befindet.
Aktuell prüfen mehrere Studien die molekulare Diagnostik auch für Liquid Biopsy.[39]
Prognose
Das Glioblastom ist äußerst schwierig zu behandeln. Eine endgültige Heilung ist bislang in der Regel nicht möglich. Die Behandlung mit Operation, nachfolgender Bestrahlung und Chemotherapie kann nach aktueller Studienlage die mittlere Überlebenszeit um einige Monate verlängern und die Symptome lindern. Eine Studie aus dem Jahr 2003 unterteilt die Prognose mithilfe der Recursive Partitioning Analysis (RPA) in drei Gruppen in Abhängigkeit vom Alter des Patienten, von der Art der Behandlung und vom Karnofsky-Index (KPS).[40]
| RPA Klasse | Definition | Mittlere Überlebenszeit | 1-Jahres-Überlebensrate | 3-Jahres-Überlebensrate | 5-Jahres-Überlebensrate |
|---|---|---|---|---|---|
| III | Alter < 50, KPS ≥ 90 | 17,1 Monate | 70 % | 20 % | 14 % |
| IV | Alter < 50, KPS < 90 | 11,2 Monate | 46 % | 7 % | 4 % |
| Alter > 50, KPS ≥ 70, operative Entfernung mit guter neurologischer Funktion | |||||
| V + VI | Alter ≥ 50, KPS ≥ 70, operative Entfernung mit schlechter neurologischer Funktion | 7,5 Monate | 28 % | 1 % | 0 % |
| Alter ≥ 50, KPS ≥ 70, ohne operativen Eingriff | |||||
| Alter ≥ 50, KPS < 70 |
Wegen der diffusen Infiltration des Hirngewebes durch Tumorzellen kommt es nach der Behandlung häufig innerhalb von Monaten zu einem Rezidiv. Einzelne Patienten können dessen ungeachtet mehrere Jahre bei relativ guter Gesundheit mit einem Glioblastom leben. Die Identifizierung klinischer und molekularer Faktoren, die charakteristisch für solche Langzeitüberlebenden sind, ist Gegenstand intensiver Forschung.[41]
Literatur
- Wolfgang Wick, Jörg-Christian Tonn, Michael Weller: Primäre intrakranielle und spinale Tumoren. In: Thomas Brandt, Johannes Dichgans, Hans-Christoph Diener (Hrsg.): Therapie und Verlauf neurologischer Erkrankungen. 5. Auflage. Kohlhammer, Stuttgart 2007, ISBN 978-3-17-019074-0.
- Jörg-Christian Tonn, F. W. Kreth: Hirntumoren und spinale Tumoren. 4. Auflage. Zuckschwerdt-Verlag, Germering 2016, ISBN 978-3-86371-199-3.
Weblinks
- Arbeit und Struktur. Tagebuch des Schriftstellers Wolfgang Herrndorf über sein Leben mit der Diagnose Glioblastom
- Hirntumorhilfe.de: Glioblastom.
- Hoffnung trotz Glioblastom – ein Erfahrungsbericht. (PDF; 369 kB) In: Brainstorm, 01/2006, herausgegeben von der Deutschen Hirntumorhilfe
- www.glioblastom.org
Einzelnachweise
- ↑ Bailey, Cushing: Tumors of the Glioma Group. JB Lippincott, Philadelphia 1926.
- ↑ Mallory: Principles of pathologic histology. Saunders Philadelphia, 1925.
- ↑ David N Louis, Arie Perry, Pieter Wesseling, Daniel J Brat, Ian A Cree: The 2021 WHO Classification of Tumors of the Central Nervous System: a summary. In: Neuro-Oncology. Band 23, Nr. 8, 2. August 2021, ISSN 1522-8517, S. 1231–1251, doi:10.1093/neuonc/noab106, PMID 34185076, PMC 8328013 (freier Volltext) – (oup.com [abgerufen am 6. Oktober 2021]).
- ↑ CBTRUS Statistical Report: Primary Brain and Central Nervous System Tumors Diagnosed in the United States in 2004–2006 Volltext ( des vom 4. März 2016 im Internet Archive) Info: Der Archivlink wurde automatisch eingesetzt und noch nicht geprüft. Bitte prüfe Original- und Archivlink gemäß Anleitung und entferne dann diesen Hinweis. (PDF; 14 kB)
- ↑ W. K. Cavenee et al.: Glioblastoma, in: WHO Classification of Tumours. Lyon, IARC Press, 2000.
- ↑ Amerikanisches Hirntumorregister
- ↑ a b H. Ohgaki, P. Kleihues: Population-based studies on incidence, survival rates, and genetic alterations in astrocytic and oligodendroglial gliomas. J Neuropathol Exp Neurol 2005, 64(6):479-89; PMID 15977639.
- ↑ a b c d e f g h i j k l m n o p q WHO Classification of Tumours Editorial Board (Hrsg.): Central Nervous System Tumours (= World Health Organization Classification of Tumours). 5th ed Auflage. International Agency for Research on Cancer, Lyon 2021, ISBN 978-92-832-4508-7 (englisch).
- ↑ a b c Damian Stichel, Azadeh Ebrahimi, David Reuss et al.: Distribution of EGFR amplification, combined chromosome 7 gain and chromosome 10 loss, and TERT promoter mutation in brain tumors and their potential for the reclassification of IDHwt astrocytoma to glioblastoma. In: Acta Neuropathologica. Band 136, Nr. 5, November 2018, ISSN 0001-6322, S. 793–803, doi:10.1007/s00401-018-1905-0.
- ↑ a b Elena Verdugo, Iker Puerto, Miguel Ángel Medina: An update on the molecular biology of glioblastoma, with clinical implications and progress in its treatment. In: Cancer Communications. Band 42, Nr. 11, November 2022, ISSN 2523-3548, S. 1083–1111, doi:10.1002/cac2.12361, PMID 36129048, PMC 9648390 (freier Volltext).
- ↑ Nathalie Olympios, Vianney Gilard, Florent Marguet et al.: TERT Promoter Alterations in Glioblastoma: A Systematic Review. In: Cancers. Band 13, Nr. 5, Januar 2021, ISSN 2072-6694, S. 1147, doi:10.3390/cancers13051147, PMID 33800183, PMC 7962450 (freier Volltext).
- ↑ David E. Reuss, Annekathrin Kratz, Felix Sahm et al.: Adult IDH wild type astrocytomas biologically and clinically resolve into other tumor entities. In: Acta Neuropathologica. Band 130, Nr. 3, September 2015, ISSN 0001-6322, S. 407–417, doi:10.1007/s00401-015-1454-8.
- ↑ a b Huy Gia Vuong, Ian F. Dunn: Primary versus secondary gliosarcoma: a systematic review and meta-analysis. In: Journal of Neuro-Oncology. Band 159, Nr. 1, August 2022, ISSN 0167-594X, S. 195–200, doi:10.1007/s11060-022-04057-w (springer.com [abgerufen am 11. Dezember 2023]).
- ↑ a b Olga Gusyatiner, Monika E. Hegi: Glioma epigenetics: From subclassification to novel treatment options. In: Seminars in Cancer Biology. Band 51, August 2018, S. 50–58, doi:10.1016/j.semcancer.2017.11.010 (elsevier.com [abgerufen am 11. Dezember 2023]).
- ↑ a b Md. Sahab Uddin, Abdullah Al Mamun, Badrah S. Alghamdi, Devesh Tewari, Philippe Jeandet, Md. Shahid Sarwar, Ghulam Md. Ashraf: Epigenetics of glioblastoma multiforme: From molecular mechanisms to therapeutic approaches. In: Seminars in Cancer Biology. Band 83, August 2022, S. 100–120, doi:10.1016/j.semcancer.2020.12.015 (elsevier.com [abgerufen am 11. Dezember 2023]).
- ↑ a b c d e f g h i j k l m n o p q r s t u S2k-Leitlinie Gliome der Deutsche Gesellschaft für Neurologie. In: AWMF online (Stand 01.02.2021, inhaltlich überprüft am 31.10.2023)
- ↑ Ji Eun Oh, Takashi Ohta, Naosuke Nonoguchi et al.: Genetic Alterations in Gliosarcoma and Giant Cell Glioblastoma. In: Brain Pathology. Band 26, Nr. 4, Juli 2016, ISSN 1015-6305, S. 517–522, doi:10.1111/bpa.12328, PMID 26443480, PMC 8029477 (freier Volltext).
- ↑ a b T. Homma, T. Fukushima u. a.: Correlation among pathology, genotype, and patient outcomes in glioblastoma. In: Journal of Neuropathology & Experimental Neurology, Band 65, Nummer 9, September 2006, S. 846–854. doi:10.1097/01.jnen.0000235118.75182.94. PMID 16957578.
- ↑ Kaijun Sun, Xingwang Zhou, Tengfei Li et al.: Clinicopathological characteristics and treatment outcomes of epithelioid glioblastoma. In: Neurosurgical Review. Band 44, Nr. 6, Dezember 2021, ISSN 0344-5607, S. 3335–3348, doi:10.1007/s10143-021-01492-7 (springer.com [abgerufen am 12. Dezember 2023]).
- ↑ Ying Zeng, Xiangfeng Zhu, Yali Wang et al.: Clinicopathological, Immunohistochemical and Molecular Genetic Study on Epithelioid Glioblastoma: A Series of Fifteen Cases with Literature Review. In: OncoTargets and Therapy. Band 13, 8. Mai 2020, S. 3943–3952, doi:10.2147/OTT.S249317, PMID 32440157, PMC 7217317 (freier Volltext).
- ↑ Kaoru Ogawa, Akira Kurose, Akihisa Kamataki et al.: Giant cell glioblastoma is a distinctive subtype of glioma characterized by vulnerability to DNA damage. In: Brain Tumor Pathology. Band 37, Nr. 1, Januar 2020, ISSN 1433-7398, S. 5–13, doi:10.1007/s10014-019-00355-w, PMID 31655917, PMC 7028818 (freier Volltext).
- ↑ Michael C. Jin, Adela Wu, Michael Xiang et al.: Prognostic Factors and Treatment Patterns in the Management of Giant Cell Glioblastoma. In: World Neurosurgery. Band 128, August 2019, S. e217–e224, doi:10.1016/j.wneu.2019.04.103 (elsevier.com [abgerufen am 12. Dezember 2023]).
- ↑ a b c d e f g h i j k l m n Michael Weller, Martin van den Bent, Matthias Preusser et al.: EANO guidelines on the diagnosis and treatment of diffuse gliomas of adulthood. In: Nature Reviews Clinical Oncology. Band 18, Nr. 3, März 2021, ISSN 1759-4774, S. 170–186, doi:10.1038/s41571-020-00447-z, PMID 33293629, PMC 7904519 (freier Volltext).
- ↑ B. Pakrah-Bodingbauer, M. Loyoddin, S. Oberndorfer, G. Kleinpeter: Wertigkeit der 5-Aminolävulinsäure- (5-ALA-)gestützten Gliomchirurgie. (PDF; 767 kB) In: J Neurol Neurochir Psychiatr. Band 10, Nummer 2, 2009, S. 22–25.
- ↑ a b c Theresa A Lawrie, Catherine McBain, Ewelina Rogozińska et al.: Treatment options for recurrent glioblastoma: a network meta-analysis. In: Cochrane Database of Systematic Reviews. 13. April 2020, doi:10.1002/14651858.CD013579, PMC 7153579 (freier Volltext) – (wiley.com [abgerufen am 5. Dezember 2023]).
- ↑ R. Stupp, W. P. Mason u. a.: Radiotherapy plus concomitant and adjuvant temozolomide for glioblastoma. In: The New England journal of medicine. Band 352, Nummer 10, März 2005, S. 987–996. doi:10.1056/NEJMoa043330. PMID 15758009.
- ↑ Roger Stupp, Sophie Taillibert, Andrew Kanner, William Read, David M. Steinberg: Effect of Tumor-Treating Fields Plus Maintenance Temozolomide vs Maintenance Temozolomide Alone on Survival in Patients With Glioblastoma: A Randomized Clinical Trial. In: JAMA. Band 318, Nr. 23, 19. Dezember 2017, ISSN 0098-7484, S. 2306, doi:10.1001/jama.2017.18718, PMID 29260225, PMC 5820703 (freier Volltext) – (jamanetwork.com [abgerufen am 6. Juli 2020]).
- ↑ Stefanie C. Thust, Martin J. van den Bent, Marion Smits: Pseudoprogression of brain tumors. In: Journal of Magnetic Resonance Imaging. Band 48, Nr. 3, September 2018, ISSN 1053-1807, S. 571–589, doi:10.1002/jmri.26171, PMID 29734497, PMC 6175399 (freier Volltext).
- ↑ clinicaltrials.gov Abfrage bei clinicaltrials.gov am 24. Februar 2013.
- ↑ I. K. Mellinghoff, M. Y. Wang, I. Vivanco, D. A. Haas-Kogan, S. Zhu, E. Q. Dia, K. V. Lu, K. Yoshimoto, J. H. Huang, D. J. Chute, B. L. Riggs, S. Horvath, L. M. Liau, W. K. Cavenee, P. N. Rao, R. Beroukhim, T. C. Peck, J. C. Lee, W. R. Sellers, D. Stokoe, M. Prados, T. F. Cloughesy, C. L. Sawyers, P. S. Mischel: Molecular determinants of the response of glioblastomas to EGFR kinase inhibitors. In: The New England Journal of Medicine. Band 353, Nummer 19, November 2005, S. 2012–2024. doi:10.1056/NEJMoa051918. PMID 16282176.
- ↑ D. A. Reardon, M. J. Egorin, J. A. Quinn, J. N. Rich, J. N. Rich, S. Gururangan, I. Gururangan, J. J. Vredenburgh, A. Desjardins, S. Sathornsumetee, J. M. Provenzale, J. E. Herndon, J. M. Dowell, M. A. Badruddoja, R. E. McLendon, T. F. Lagattuta, K. P. Kicielinski, G. Dresemann, J. H. Sampson, A. H. Friedman, A. J. Salvado, H. S. Friedman: Phase II study of imatinib mesylate plus hydroxyurea in adults with recurrent glioblastoma multiforme. In: Journal of Clinical Oncology. Band 23, Nummer 36, Dezember 2005, S. 9359–9368. doi:10.1200/JCO.2005.03.2185. PMID 16361636.
- ↑ P. Dent, A. Yacoub u. a.: Searching for a cure: gene therapy for glioblastoma. In: Cancer Biology and Therapy, Band 7, Nummer 9, September 2008, S. 1335–1340, ISSN 1555-8576. PMID 18708757. (Review).
- ↑ K. Maier-Hauff, R. Rothe u. a.: Intracranial thermotherapy using magnetic nanoparticles combined with external beam radiotherapy: results of a feasibility study on patients with glioblastoma multiforme. In: Journal of neuro-oncology. Band 81, Nummer 1, Januar 2007, S. 53–60, ISSN 0167-594X. doi:10.1007/s11060-006-9195-0. PMID 16773216.
- ↑ A. Jordan, R. Scholz u. a.: The effect of thermotherapy using magnetic nanoparticles on rat malignant glioma. In: Journal of neuro-oncology. Band 78, Nummer 1, Mai 2006, S. 7–14, ISSN 0167-594X. doi:10.1007/s11060-005-9059-z. PMID 16314937.
- ↑ Bekanntgabe klinischer Studienergebnisse. (Seite nicht mehr abrufbar, festgestellt im Mai 2025. Suche in Webarchiven) Info: Der Link wurde automatisch als defekt markiert. Bitte prüfe den Link gemäß Anleitung und entferne dann diesen Hinweis. MagForce AG Berlin, 21. September 2010.
- ↑ Nanotherm-Therapie bei Rückfällen von Gehirntumoren. ( des vom 23. September 2015 im Internet Archive) Info: Der Archivlink wurde automatisch eingesetzt und noch nicht geprüft. Bitte prüfe Original- und Archivlink gemäß Anleitung und entferne dann diesen Hinweis. Charité Universitätsmedizin Berlin, vom 7. Juli 2011
- ↑ Viren gegen Krebs: Bösartige Hirntumoren bilden sich nach Therapie mit Parvoviren vollständig zurück. (PDF; 39 kB) Deutsches Krebsforschungszentrum, Pressemitteilung vom 3. Mai 2010
- ↑ Antonio Marchini, Serena Bonifati u. a.: Oncolytic parvoviruses: from basic virology to clinical applications. In: Virology Journal, 12, 2015, S. 6, doi:10.1186/s12985-014-0223-y.
- ↑ R. H. Eibl, M. Schneemann: Liquid biopsy and glioblastoma. In: Explor Target Antitumor Ther. Band 4, Februar 2023, S. 28–41. doi:10.37349/etat.2023.00121.
- ↑ E. G. Shawl, W. Seiferheld, C. Scott u. a.: Re-examining the radiation therapy oncology group (RTOG) recursive partitioning analysis (RPA) for glioblastoma multiforme (GBM) patients. In: International Journal of Radiation Oncology – Biology – Physics. 57. Jahrgang, Nr. 2, 2003, S. 135–136, doi:10.1016/S0360-3016(03)00843-5 (englisch).
- ↑ D. Krex, B. Klink u. a.: Long-term survival with glioblastoma multiforme. In: Brain, Band 130, 2007, S. 2596–2606. doi:10.1093/brain/awm204. PMID 17785346. (Review).