Lungenmetastase
| Klassifikation nach ICD-10 | |
|---|---|
| C78.0 | Sekundäre bösartige Neubildung der Lunge; Metastase einer Krebserkrankung in Atmungs- bzw. Verdauungsorganen; Sekundäre bösartige Neubildung der Lunge |
| ICD-10 online (WHO-Version 2019) | |
Eine Lungenmetastase (Lungenfilia) ist die bösartige (maligne) Tochtergeschwulst eines außerhalb oder auch innerhalb der Lunge gewachsenen Ursprungstumors (Primärtumor). Lungenmetastasen entstehen also aus Zellen anderer oder ähnlicher Gewebe, die über Blut- oder Lymphbahn in die Lunge gelangt sind oder – im Falle der Lunge – innerhalb der Atemwege verschleppt wurden. Im Gegensatz dazu bezeichnet man Tumoren, die aus Lungenzellen wachsen, als Lungenkrebs (Bronchialkarzinom).
Lungenmetastasen können einzeln (solitär) vorliegen, die Lunge aber auch mit vielen (multiplen) Metastasen durchsetzen.
Lungenmetastasen treten bei ca. 30 % der an Krebs Erkrankten auf. 8 bis 10 % aller Menschen entwickeln im Laufe ihres Lebens Lungenmetastasen.[1] Primärtumoren dieser Metastasen sind in den meisten Fällen Karzinome des Kolorektums (Dick- und Enddarm), der Nieren, Tumoren aus dem Kopf- und Halsbereich, Hodenkrebs sowie Knochen- und Hautkrebs.[2]
Symptome
Lungenmetastasen machen anfangs keine oder nur geringe Beschwerden. Erst im fortgeschrittenen Stadium kommt es zu Bronchitis, Bluthusten, zunehmender Atemnot, Gewichtsverlust und Schmerzen in der Brust, wobei Schmerzen im Brustbereich darauf hinweisen, dass die Tumoren in die Wandstrukturen bis in die Rippen hineingewachsen sind.[2]
Diagnose

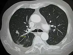
Da es anfangs an Symptomen mangelt, werden Lungenmetastasen oft beim Thorax-Röntgen im Rahmen von Nachsorgeuntersuchungen gefunden. Lungenmetastasen zeigen sich im Allgemeinen als Rundherde im Bereich des Lungenmantels, können aber auch zentral innerhalb der Bronchien wachsen und in umliegende Lymphknoten streuen.[2]
Die wichtigsten diagnostischen Instrumente sind die Röntgenaufnahme der Lunge in 2 Ebenen (Darstellung von Rundherden ab einem Durchmesser von 1 cm), die Computertomographie der Lunge mit oder auch ohne Gabe von Kontrastmittel und im Zweifelsfall auch eine Punktion des Metastasengewebes.[2]
Wichtig für Entscheidungen hinsichtlich einer Therapie sind Anzahl und Größe der Lungenmetastasen, aber auch eine eventuell vorliegende Metastasierung anderer Organe sowie der Allgemeinzustand der Lunge des Patienten.[2]
Nicht immer bestätigt sich der Verdacht auf Lungenmetastasen. So handelt es sich bei den mit bildgebenden Verfahren dargestellten Tumoren beispielsweise bei Darmkrebspatienten in ca. der Hälfte aller Fälle nicht um Lungenmetastasen, sondern um unabhängige neue Tumoren (z. B. Lungen- oder Bronchialkrebs) und manchmal auch um gutartige Gewebsveränderungen der Lunge.[3]
Therapie – Auflistung von Behandlungsmethoden
Operation
Eine komplette chirurgische Entfernung der Lungenmetastasen unter Einhaltung eines Sicherheitsabstandes im gesunden Gewebe bietet die besten Chancen, Lungenmetastasen nachhaltig zu begegnen.[2] Allerdings können nur bei etwa einem Drittel der Patienten Lungenmetastasen operativ entfernt werden. In den anderen Fällen liegen beispielsweise zu viele Metastasen vor oder sie haben eine ungünstige Lage. Die Fünf-Jahres-Überlebensrate nach chirurgischer Entfernung von Lungenmetastasen wird mit 15–40 % angegeben. Bei etwa der Hälfte der Patienten kommt es trotz radikaler Operation zu einem fortschreitenden Tumorwachstum. Es kann auch wiederholt erfolgreich in heilender Absicht operiert werden, sofern eine zusätzliche Metastasierung in andere Organe unterbleibt.[4]
In einer Studie an 153 Patienten mit kolorektalen Lungenmetastasen wurde dargestellt, dass Geschlecht, Alter, Primärtumorlokalisation, Primärtumor-Stadium, präoperatives CEA, die Metastasengröße und eine vorhergegangene Leberresektion bei Lebermetastasen keinen Einfluss auf die Überlebensprognose der Patienten haben. Signifikante Prognosefaktoren waren demgegenüber aber die Anzahl der Metastasen, das gewählte Operationsverfahren, die Länge des erkrankungsfreien Intervalls zwischen der Behandlung des Primärtumors und der Entwicklung der Fernmetastase, der Lymphknotenstatus, der Abstand der Metastasen zum Resektionsrand sowie die Gabe von Blutkonserven während der Operation.[5]
Im Bereich des Lungenmantels gelegene Metastasen können in geeigneten Fällen gewebeschonend mit einer minimal-invasiven Methode entfernt werden. Bei zentral sitzenden Metastasen kann auch die Entfernung eines Lungenlappens (Lobektomie) oder des kompletten Lungenflügels einer Seite (Pneumonektomie) notwendig werden.[6]
Zur Abklärung des Operationsrisikos werden im Vorfeld des Eingriffs verschiedene Untersuchungen wie z. B. Lungenfunktionstest und Blutgasanalyse durchgeführt.[3]
Chemotherapie
Bei der systemischen Chemotherapie bekommt der Patient die Krebsmedikamente (Zellgifte, Zytostatika) in eine Vene am Arm injiziert. Häufig wird dafür ein spezielles Zugangssystem, ein so genannter Port, in eine zentrale Vene im Brustbereich gelegt. Bei Lungenmetastasen wird diese Form der Chemotherapie zumeist palliativ (lebensverlängernd) gegeben oder zur Verkleinerung der Metastasen, um sie operabel zu machen. Einzig die Lungenmetastasen des Hodenkrebs sprechen gut auf eine Chemotherapie an.
Strahlentherapie
Strahlentherapie kann in Form einer Radiochirurgie bei Lungenmetastasen eingesetzt werden, solange nur wenige Metastasen vorliegen und diese jeweils klein sind. Erste Ergebnisse von prospektiven Studien zeigen hohe Erfolgsquoten bei sehr geringem Risiko.[7]
Transpulmonale Chemoembolisation (TPCE)
Dieses am Frankfurter Klinikum der Johann Wolfgang Goethe-Universität entwickelte Verfahren befindet sich noch in einem experimentellen Stadium. Es ermöglicht eine lokale chemotherapeutische Behandlung direkt an der Metastase. Das Chemotherapeutikum wird dabei mit Hilfe eines endovaskulären Ballonkatheters über die pulmonare Arterie (Lungenarterie) direkt im Streuungsherd platziert. Da eine niedrigere Dosis ausreicht als bei einer intravenösen Therapie, sind die Nebenwirkungen für den Patienten geringer.
Von 23 behandelten Patienten des Klinikums konnte bei 60 Prozent ein Wachstumsstop oder eine Verkleinerung des Tumors beobachtet werden. Bei sechs der Patienten wurde eine Karzinomreduktion festgestellt, wobei die durchschnittliche Abnahme der Tumormasse bei 56,8 Prozent lag. In neun Fällen wurde ein fortschreitendes Tumorwachstum gemessen. Besonders gut spricht TPCE bei Lungenmetastasen von soliden Tumoren wie Schilddrüsen-, Muskel- und Nierenzellkarzinomen an.[8]
Laserinduzierte Thermotherapie (LITT)
Ein Glasfaser-Lichtleiter wird in einem kleinen Eingriff durch den Brustkorb ins Tumorgewebe vorgeschoben. An der Spitze des Lichtleiters entstehen gewebszerstörende Temperaturen, die das Gewebe auf über 60 °C erwärmen und zum Absterben bringen. Die so zerstörten Metastasen werden im Gewebe belassen. Für die LITT von Lungenmetastasen wurden 2005 beim Gemeinsamen Bundesausschuss (G-BA) folgende Indikationskriterien beantragt: Anzahl der Metastasen ≤ 3 pro Seite, Größe ≤ 3 cm, Ausschluss einer extrapulmonalen, klinisch relevanten Metastasierung. Der G-BA entschied in der Stellungnahme seines Beschlusses „Bei Lungentumoren ist der Stellenwert der LITT im Vergleich zur Standardtherapie der Primärtumoren nicht geklärt.“ Und weiter: „Bei solchen experimentellen Therapien sollten Erprobungen in Anlehnung an die Deklaration von Helsinki – insbesondere auch zum Schutz der Patienten – auf die Durchführung kontrollierter Studien begrenzt bleiben, die geeignet sind, einen Wirksamkeitsnachweis zu führen.“[9]
Einzelnachweise
- ↑ Dieter Köhler, Bernd Schönhofer, Thomas Voshaar: Pneumologie. Georg Thieme Verlag, 2010, ISBN 978-3-13-146281-7, S. 241 (eingeschränkte Vorschau in der Google-Buchsuche).
- ↑ a b c d e f Institut für Diagnostische und Interventionelle Radiologie der Uniklinik Frankfurt/Main ( des vom 12. Februar 2009 im Internet Archive) Info: Der Archivlink wurde automatisch eingesetzt und noch nicht geprüft. Bitte prüfe Original- und Archivlink gemäß Anleitung und entferne dann diesen Hinweis.
- ↑ a b www.darmkrebs.de, Felix-Burda-Stiftung ( des vom 30. Januar 2009 im Internet Archive) Info: Der Archivlink wurde automatisch eingesetzt und noch nicht geprüft. Bitte prüfe Original- und Archivlink gemäß Anleitung und entferne dann diesen Hinweis.
- ↑ Schirren et al.: Die chirurgische Therapie von Lungenmetastasen. ( des vom 30. Mai 2009 im Internet Archive; PDF; 526 kB) Info: Der Archivlink wurde automatisch eingesetzt und noch nicht geprüft. Bitte prüfe Original- und Archivlink gemäß Anleitung und entferne dann diesen Hinweis. In: Hessisches Ärzteblatt, 05/2006, S. 319–328.
- ↑ 27. Deutscher Krebskongress. Berlin, 22.-26. März 2006. Düsseldorf, Köln: German Medical Science; 2006. Doc PO413. Yedibela u. a.: Chirurgische Therapie von kolorektalen Lungenmetastasen – Erlanger Erfahrung bei 153 Patienten. (Abstract).
- ↑ Rau et al.: Chirurgie der Lungenmetastasen extrapulmonaler Primärtumore. (PDF; 50 kB) In: Schweiz Med Forum, Nr. 49, 4. Dezember 2002.
- ↑ K. E. Rusthoven, B. D. Kavanagh u. a.: Multi-institutional phase I/II trial of stereotactic body radiation therapy for lung metastases. In: J Clin Oncol., Band 27, Nr. 10, 2009, S. 1579–1584.
- ↑ T. J. Vogl, A. Wetter, S. Lindemayr, S. Zangos: Treatment of unresectable lung metastases with transpulmonary chemoembolization: preliminary experience. In: Radiology, Band 234, Nr. 3, Mar 2005, S. 917–922. PMID 15681689.
- ↑ Zusammenfassender Bericht des Unterausschusses „Ärztliche Behandlung“ des Gemeinsamen Bundesausschusses über die Bewertung der Laserinduzierten Interstitiellen Thermotherapie (LITT) bei malignen Tumoren gemäß § 135 Abs. 1 SGB V, 4. November 2005. (PDF; 5,1 MB)