Masern
| Klassifikation nach ICD-10 | |
|---|---|
| B05 | Masern |
| B05.0 | Masern, kompliziert durch Enzephalitis |
| B05.1 | Masern, kompliziert durch Meningitis |
| B05.2 | Masern, kompliziert durch Pneumonie |
| B05.3 | Masern, kompliziert durch Otitis media |
| B05.4 | Masern mit Darmkomplikationen |
| B05.8 | Masern mit sonstigen Komplikationen |
| B05.9 | Masern ohne Komplikation |
| ICD-10 online (WHO-Version 2019) | |
| Klassifikation nach ICD-11 | |
|---|---|
| 1F03 | Masern |
| 1F03.0 | Masern ohne Komplikation |
| 1F03.1 | Masern, kompliziert durch Enzephalitis |
| 1F03.2 | Masern, kompliziert durch Meningitis |
| 1F03.Y | Masern mit sonstigen Komplikationen |
| ICD-11: Englisch • Deutsch (Entwurf) | |

Masern oder Morbilli sind eine hoch ansteckende Infektionskrankheit, die vor allem Kinder betrifft. Neben den typischen roten Hautflecken (Masern-Exanthem) ruft die Erkrankung Fieber und einen erheblich geschwächten Allgemeinzustand hervor. Diese sogenannte Kinderkrankheit wird durch das Masernvirus hervorgerufen und kann in manchen Fällen lebensbedrohlich sein durch schwere Verläufe (Komplikationen) mit Lungen- und Hirnentzündungen. In den meisten Ländern ist die Erkrankung meldepflichtig.
Die Diagnose erfolgt durch das klinische Bild und einen Antikörpernachweis im Blut. Eine spezifische Therapie existiert nicht, der Erkrankung und somit auch den Komplikationen kann jedoch durch Impfung ab dem zwölften Lebensmonat vorgebeugt werden. Die Weltgesundheitsorganisation (WHO) strebt die weltweite Ausrottung der Masern an. Durch Impfungen konnte die Zahl der Erkrankungen in der Vergangenheit stark reduziert werden, von 1980 bis 2013 um über 95 %. Bedingt durch die sich in den Industrieländern ausbreitende Impfscheu und die globale Migrationsbewegung sind die Masernfälle weltweit in den letzten Jahren wieder um 30 % angestiegen. Die WHO hat deshalb im Januar 2019 die Masern zur Bedrohung der globalen Gesundheit erklärt. Die Überprüfung und Ergänzung des Impfschutzes für Masern für Erwachsene und Kinder bei Reisevorbereitungen wird daher dringend empfohlen. In Regionen mit hoher Impfquote wie beispielsweise Nord- und Südamerika sind Masern bis auf wenige importierte Fälle de facto bereits ausgerottet, dort wurden im Jahr 2014 weniger als 2000 Fälle bestätigt.[1] Seit Ende 2023 ist europaweit ein starker Anstieg der Fallzahlen zu beobachten.[2]
Die lateinische Bezeichnung morbilli ist eine Verkleinerungsform (Diminutiv) von lateinisch morbus „Krankheit“.
Epidemische Lage
Erregerreservoir
Menschen und Primaten können sich mit dem Masernvirus anstecken. Vom Menschen ausgehende Infektionen der Primatenpopulation sind dokumentiert. Bei den Menschenaffen ist aber die Anzahl der Individuen innerhalb der sozialen Gruppe zu klein, so dass das Virus dort ausbrennt und nicht dauerhaft zirkuliert.[3] Da somit der Mensch die einzige Wirtspopulation ist, welche eine dauerhafte Erregerzirkulation ermöglicht und ein wirksamer Impfstoff zur Verfügung steht, ist die Ausrottung des Erregers möglich.[4]
Welt
| WHO-Region | 1980 | 1990 | 2000 | 2005 | 2010 | 2013 |
|---|---|---|---|---|---|---|
| Afrika | 1.240.993 | 481.204 | 520.102 | 316.224 | 199.174 | 83.613 |
| Amerika | 257.790 | 218.579 | 1.755 | 253[6] | 247 | 294 |
| Östliches Mittelmeer | 341.624 | 59.058 | 38.592 | 15.069 | 10.072 | 20.884 |
| Europa | 851.849 | 234.827 | 37.421 | 37.332 | 30.625 | 26.396 |
| Südostasien | 199.535 | 224.925 | 78.558 | 83.627 | 54.228 | 31.246 |
| Westlicher Pazifik | 1.319.640 | 155.490 | 177.052 | 49.460 | 49.460 | 31.706 |
| Weltweit | 4.211.431 | 1.374.083 | 853.480 | 580.287 | 343.806 | 194.139 |
Das Masernvirus kommt weltweit vor, wobei die Krankheitshäufigkeit stark variiert. Insbesondere in Entwicklungsländern kommt es immer wieder zu lokalen Masernepidemien mit hohen Krankheits- und Sterblichkeitszahlen.[7][8] Die Masern gehören dort zu den häufigsten Infektionskrankheiten. Laut Schätzung der WHO haben sie im Jahr 2000 fast die Hälfte der 1,7 Millionen durch Impfung vermeidbaren Todesfälle bei Kindern verursacht, bei geschätzten 30 bis 40 Millionen Krankheitsfällen in jenem Jahr.[9] Die Zahl der gemeldeten Erkrankungen liegt aufgrund der hohen Dunkelziffer weit unter diesen geschätzten Werten (siehe Tabelle).

Auf der anderen Seite konnte das Virus durch groß angelegte Impfkampagnen in verschiedenen anderen Regionen, so dem gesamten amerikanischen Doppelkontinent, bereits weitgehend eliminiert werden (siehe Grafik). Das wurde dadurch möglich, dass der Mensch der einzige Wirt des Masernvirus ist. 2001 legten die WHO und UNICEF einen Plan vor mit dem Ziel, die Sterblichkeitsrate bei Kindern durch weltweite Impfprogramme bis zum Jahr 2005 zu halbieren. Während genaue Daten noch ausstehen, zeigen verschiedene Berichte, dass dieses Ziel zu einem großen Teil erreicht wurde. Von 1999 bis 2003 gelang eine weltweite Reduktion der Masern-Sterblichkeit um 39 %, wobei weiterhin hohe Sterblichkeitsraten in Afrika und Südostasien bestehen.[11] 2005 adaptierte die World Health Assembly der WHO diese Pläne und formulierte für das Jahr 2010 das Ziel einer 90-prozentigen Reduktion der weltweiten Sterblichkeit.[12] Dieses Ziel wurde laut WHO nicht erreicht. Von weltweit 535.300 (geschätzt) Maserntoten im Jahr 2000 sank die Zahl bis 2010 auf 139.300, dies entspricht einer Senkung um 74 %.[13] 2019 sind weltweit nach Schätzungen der WHO und CDC mehr als 200.000 Menschen an Masern gestorben, insbesondere in Afrika.[14]
Anfang 2020 äußerte die WHO, eine im Kongo herrschende, ein Jahr zuvor ausgebrochene Masernepidemie sei der „derzeit schlimmste Masernausbruch weltweit“. Sie habe zu mehr als 6.000 Todesfällen geführt.[15]
Europa
Die Gesamtzahl der erfassten Erkrankungen in Europa ging von 1990 bis 2004 bei gleichzeitig verbesserter Überwachungs- und Meldesysteme deutlich zurück.[12] Die Häufigkeit der Fälle ist, bedingt durch variierende Impfquoten, sehr unterschiedlich. Während sie in einigen Regionen, wie den skandinavischen Ländern, sehr niedrig ist – in Finnland traten seit 1996 lediglich vier importierte Fälle auf[16] –, ist das in Mittel- und Osteuropa oft noch nicht der Fall. Dort kommt es aufgrund von Impflücken immer wieder zu lokalen Krankheitsausbrüchen. Trotz Meldepflicht in den meisten Ländern existiert wahrscheinlich eine hohe Dunkelziffer, und die Zahl der tatsächlichen Krankheitsfälle liegt wesentlich höher als die der gemeldeten. Die Weltgesundheitsorganisation (WHO) appellierte 2011 an die EU-Mitgliedstaaten, Maßnahmen zur Bekämpfung der Masern zu verstärken.[17]
Im Jahr 2018 wurden bei weitem mehr Masernfälle gemeldet als in anderen Kalenderjahren des Jahrzehnts.[18] Nachdem im Jahr 2022 insgesamt nur 941 Fälle in der Region Europa gemeldet worden waren, informierte die WHO im Dezember 2023 über das Auftreten von rund 30.000 Masernfälle in den Monaten Januar bis Oktober 2023, was einen mehr als 30-fachen Anstieg bedeutet. Um den Trend umzukehren, wurden dringende Maßnahmen gefordert.[19]
Amerika
Bis 1994 führten nahezu alle Staaten der UN-Region Amerika Impfprogramme für Kinder ein. Dadurch verringerte sich die durchschnittliche Zahl der Neuerkrankungen von 250.000 auf etwa 100 Fälle pro Jahr, die Masern gelten damit als faktisch ausgerottet. Regional treten noch vereinzelte Krankheitsausbrüche auf, die nahezu alle importiert sind oder auf importierte Masern zurückgeführt werden können.[12][20] Amerika wird somit ein Beispiel dafür zitiert, dass die Masern durch Impfprogramme weltweit beherrscht werden können.[21]
Inzwischen treten genuine, also nicht importierte, Masernerkrankungen in den Staaten Nord- und Südamerikas mit Einschluss der Karibik kaum noch auf.[22] Die Centers for Disease Control and Prevention sehen die Masern in den USA nicht mehr als endemische Krankheit an.[12] 2016 wurde die Elimination der Masern in der WHO-Region Americas welche Nord- und Südamerika umfasst zertifiziert. Zwischenzeitlich kam es in Venezuela und Brasilien wieder zu einer endemischen Verbreitung der Erkrankung. Die beiden Länder konnten die Elimination bis 2023 und 2024 wiederherstellen.[23] Auch in den USA kam es nach 2016 wieder zu einer Zunahme von Masernerkrankungen. Ausgangspunkt waren Menschen, die aus Staaten mit noch endemischem Vorkommen von Masern in die USA eingereist waren und dann das Virus in Subpopulationen verschleppt hatten, die in den USA ohne Herdenimmunität sind. Ab Anfang Januar wurden, mit Stand zum 3. Juli 2019, über 1109 Fälle von Masern in 28 Staaten der USA gemeldet. Dies ist die größte Fallzahl seit 1992.[24]
Situation nach Staaten
Europa
Deutschland
| Jahr | Fälle |
|---|---|
| 2001 | 6039 |
| 2002 | 4656 |
| 2003 | 777 |
| 2004 | 123 |
| 2005 | 781 |
| 2006 | 2308 |
| 2007 | 570 |
| 2008 | 914 |
| 2009 | 569 |
| 2010 | 780 |
| 2011 | 1608 |
| 2012 | 165 |
| 2013 | 1770 |
| 2014 | 464 |
| 2015 | 2442 |
| 2016 | 326 |
| 2017 | 924 |
| 2018 | 545 |
| 2019 | 515 |
| 2020 | 76 |
| 2021 | 10 |
| 2022 | 15 |
| 2023 | 79 |
2005 kam es in Deutschland zu zwei größeren Masernausbrüchen: im Februar in Hessen (223 Masernfälle, eine 14-Jährige starb) und von März bis Juli in Oberbayern (279 Masernfälle). 13 % von ihnen wurden in Kliniken behandelt. 2006 wurden Masernhäufungen in Baden-Württemberg sowie in Nordrhein-Westfalen (dort weit über 1500 Fälle) gemeldet.[26]
2013 kam es in München zu einer Epidemie. Das dortige Gesundheitsreferat registrierte von April bis Anfang Juni 220 Fälle (nach 7 Fällen im Vorjahr). Über die Hälfte der Erkrankten musste in Kliniken behandelt werden, besonders häufig erkrankten Jugendliche und junge Erwachsene.[27] Eine Schülerin brachte das Virus dann an eine Waldorfschule im Rhein-Erft-Kreis, wo es bei einer Impfquote von nur 25 % bei 400 Schülern zu einem weiteren Masernausbruch im Juli 2013 kam. 54 Menschen (davon 29 Jugendliche und Erwachsene) erkrankten. Drei Patienten mussten stationär im Krankenhaus behandelt werden. Da auch die Impfquote der Lehrer sehr niedrig war, musste die Schule für sechs Tage geschlossen werden.[28]
Zwischen dem 29. September 2014 und dem 27. September 2015 (Saisonjahr ab Kalenderwoche 40) wurden in Berlin 1392 Masernerkrankungen gemeldet, was einer Inzidenz von 407 pro 1 Million Einwohner entspricht. In Thüringen, Sachsen, Hamburg und Brandenburg ergaben sich Inzidenzen zwischen 45 und 75. Für Deutschland ergibt sich aus 2.465 in dieser Zeit gemeldeten Fällen eine Inzidenz von 30,1. Die meisten Erkrankungen (über 1000 in Berlin) wurden von Januar bis April gemeldet.[29] Der Virusstamm wurde vermutlich von Asylsuchenden aus Bosnien und Herzegowina und Serbien, die auch als erste erkrankten, eingeschleppt. In Bosnien und Herzegowina grassierte bereits seit Februar 2014 eine Masern-Epidemie mit mehreren Tausend Erkrankten.[30] Die Daten im Epidemiologischen Bulletin ließen 2013 befürchten, dass Masern in Deutschland bald wieder endemisch würden; dies trat jedoch bisher nicht ein.[31] Im März 2020 begann die COVID-19-Pandemie in Deutschland und in vielen anderen Ländern. Wegen der dagegen ergriffenen Maßnahmen wurden in den Kalenderwochen 10 bis 32 85 % weniger Fälle registriert als im Durchschnitt der Vorjahre.[32]
In der DDR gab es eine Impfpflicht gegen Masern. 2016 waren in Deutschland 93 Prozent der Kinder bei der Schuleingangsuntersuchung ausreichend gegen Masern geimpft.[33] Da Kinder, die Waldorfschulen besuchen, relativ selten geimpft sind, treten dort Masern häufig auf.[34][35]
Seit Beginn der Meldepflicht 2001 wurden bis 2018 acht Todesfälle durch Masern registriert; Komplikationen wurden bei 1,1 bis 8,4 Prozent aller gemeldeten Masernerkrankungen gemeldet.[36]
In Deutschland ist zum 1. März 2020 das Masernschutzgesetz in Kraft getreten. Es regelt die Nachweispflicht eines Masernimpfschutzes oder einer medizinischen Gegenanzeige von Mitarbeitern in Schulen und Kindergärten sowie Schüler und Kindergartenkinder. Ebenso sind Bewohnern von Gemeinschaftsunterkünften für Asylbewerber, Kinder in Kinderheimen und Mitarbeitern von Gesundheitseinrichtung nachweispflichtig.[37]
Österreich
In Österreich wurde vor der Einführung der Masern-Meldepflicht 2001 vom Institut für Virologie (Wien) ein freiwilliges Meldesystem betrieben, das etwa 8 % der österreichischen Bevölkerung abdeckte. Somit konnten für den Zeitraum von 1993 bis 1997 etwa 28.000 bis 30.000 Masernfälle für ganz Österreich hochgerechnet werden, wobei besonders 1996 und 1997 ein gehäuftes Auftreten von Masernerkrankungen zu verzeichnen war. Die Zahl der jährlichen Fälle lag zwischen 2003 und 2007 jeweils unter 100 pro Jahr.[5]
Ab März 2008 breitete sich von einer Waldorfschule im Raum Salzburg eine Masernepidemie über fast alle österreichischen und zwei deutsche Bundesländer aus. In Salzburg wurden 241 Fälle gemeldet, 146 in Oberösterreich, 22 in Wien, 13 in Tirol und 10 in Vorarlberg.[38] Im Zusammenhang mit dieser Epidemie erkrankten nach Auskunft bayerischer Behörden zwischen Mitte März und Mitte Juli 2008 auch insgesamt 217 Personen in vier oberbayerischen Landkreisen.[39] Das Department für Virologie der Medizinischen Universität Wien führt hingegen nur 50 Masernfälle in Bayern, 2 in Baden-Württemberg und 4 Masernfälle in Norwegen direkt auf diesen Ausbruch zurück. Nur 21 der insgesamt 443 im Jahr 2008 gemeldeten Maserninfektionen in Österreich waren nicht Teil des Salzburger Ausbruchs, sondern waren durch Reisen aus Ländern wie der Schweiz, Deutschland, Spanien und Indien nach Österreich importiert worden.[38]
Schweiz
In der Schweiz kam es 1997 zu einer Epidemie mit 6400 Erkrankungen. Die Daten der Schweiz basieren auf dem Sentinella-Meldesystem.[40] Nach 574 Fällen im Jahr 2003 wurden 2004 mit 39 Fällen und 2005 mit 60 Fällen wesentlich niedrigere Erkrankungsraten gemeldet.[5] Ab November 2006 breitete sich eine neue Epidemie aus. Bis Ende 2007 wurden mehr als 1100 Erkrankungen gemeldet, der Schwerpunkt lag dabei im Kanton Luzern.[41] Anfang 2008 verschärfte sich die Lage vor allem in der Nordwest- und Ostschweiz, bis Mitte März gab es schon 734 neue Masernfälle. Verschiedene Kantonsärzte empfahlen daher vorbeugende Masernimpfungen.[42]
Im Februar 2009 erkrankten an der Rudolf-Steiner-Schule in Crissier rund 40 Schüler an Masern. Daraufhin wurden 250 Schüler für drei Wochen von der Schule ausgeschlossen.[43] In Genf starb ein zwölfjähriges Mädchen aus Frankreich infolge der Masernerkrankung.[44] Im Dezember 2010 bis Januar 2011 wurden in der Schweiz 31 Fälle an der Rudolf-Steiner-Schule in Basel gemeldet.[45] Im Februar 2017 starb ein junger Erwachsener, dessen Immunsystem infolge einer Leukämieerkrankung geschwächt war.[44] In den Jahren 2007 und 2009 wurden jeweils mehr als tausend, im Jahr 2008 über zweitausend Fälle gemeldet. In den Jahren 2011 und 2013 wurden dreistellige, in den Jahren 2010, 2012 und 2014 bis 2016 wurden jeweils zweistellige Fallzahlen gemeldet.[46] 2019 haben die Masernfälle wieder deutlich zugenommen. Bis Mitte April wurden bereits 138 Masernfälle mit zwei Toten gemeldet.[47] Bis Ende des Monats stieg die Anzahl erkrankter Personen auf 155; letztmals wurden 2013 so viele Fallzahlen gemeldet.[48] Von Anfang Januar bis 8. Oktober 2019 wurden in der Schweiz 212 Fälle von Masern verzeichnet, sechsmal so viele wie im gleichen Zeitraum des Vorjahres (35 Fälle).[49]
Niederlande
In den Niederlanden wird aufgrund einer orthodox-protestantischen Bevölkerungsgruppe (Orthodox gereformeerde kerken), die aus religiösen Gründen eine Impfung ablehnt, ein epidemisches Auftreten der Masern in regelmäßigen[50] Abständen beobachtet. Im auch sogenannten Bibelgürtel kam es nach Ausbrüchen in den Jahren 1976 und 1988 zu einem weiteren Ausbruch im Jahre 1999 mit 2961 Erkrankungen und drei Todesfällen, zwischen Mai 2013 und März 2014 wurden über 2600 Masernerkrankungen gemeldet, 182 wurden im Krankenhaus behandelt und ein Kind starb.[51] Wegen der geringen Impfquote von ca. 60 % unter Kindern kommt es im Bibelgürtel etwa alle 12 Jahre zu Masernepidemien mit etwa denselben Ausmaßen (jeweils ca. 2.500 übermittelte Masernfälle).[50][52]
Italien
2002 kam es in der Region Kampanien im südlichen Italien zu einer weiteren lokalen Epidemie mit 1571 Krankheitsfällen, von denen drei zum Tode führten.[53] Nach Ausbruch einer Masernepidemie Anfang 2017 (mit über 5.000 gemeldeten Fällen)[54] wurde in Italien die Impfpflicht u. a. gegenüber Masern eingeführt.[55] 2018 halbierten sich daher die gemeldeten Erkrankungsfälle auf 2.548, es kam zu sieben Todesfällen.[54]
Finnland
In Finnland traten zwischen 1996 und 2003 lediglich vier importierte Fälle auf.[16] Finnland gilt als eines der ersten Länder weltweit, die Masern (ab 1996) bzw. auch Mumps und Röteln (1997) eliminieren konnten.[56] Für den Erfolg in Finnland gelten eine bereits in den 1980er Jahren groß ausgebautes Netz an Gesundheitseinrichtungen, die den Großteil an Impfungen verabreicht haben.[56] Aktuell (2019) erkranken jährlich vereinzelt einfach geimpfte oder ungeimpfte Menschen im Zusammenhang mit Reisen in Endemiegebiete. Die Durchimpfungsrate liegt zwischen 95 und 97 %.[57]
Rumänien
In Rumänien erkrankten 2005 über 3.600 Personen an den Masern, zehn Kinder starben daran. Auch nach 2016 kam es zu einer größeren Masernepidemie, bei der über 11.000 Menschen erkrankten und mindestens 40 daran verstarben.[58]
Nordamerika
Vereinigte Staaten

Anders als in Entwicklungsländern hatte wie in anderen entwickelten Staaten zwar auch in den USA die Letalität an Masernerkrankungen aufgrund verschiedener Ursachen (bessere allgemeine Lebensbedingungen, wirksame Behandlung der Masernpneumonie) abgenommen – 1912 wurden 25 Todesfälle pro 1000 gemeldeter Masernerkrankungen registriert, 1962 sank diese Rate auf 1 Todesfall pro 1000 gemeldeter Masernerkrankungen.[59] Weil die Zahl der Masernerkrankungen aber nach wie vor hoch blieb, wurden im März 1963 in den USA zwei Impfstoffe zugelassen und zunehmend eingesetzt: Ein Lebendimpfstoff der Firma MSD (attenuierter Impfstamm Edmonston B)[60] und ein Totimpfstoff von Pfizer.[61] Im September 1963 wurden 25.000 Menschen mit dem Lebendimpfstoff geimpft; bis Mitte 1966 erhielten fast 15 Millionen Kinder einen der beiden Impfstoffe. Die Anzahl der Masernerkrankungen pro Jahr sank daraufhin in den USA von über 400.000 auf unter 100.000 seit 1967 und auf unter 7000 seit 1981. Einen Anstieg der Fälle gab es jedoch von 1989 bis 1991. In diesen drei Jahren zusammen wurden 55.622 Erkrankungsfälle gemeldet, von denen 123 tödlich endeten. Hauptsächlich waren Kleinkinder aus hispanoamerikanischen und afroamerikanischen Familien betroffen, bei denen die Rate ungeimpfter Kinder deutlich höher war als bei der Gesamtbevölkerung. Im Jahr 1992 kam es zu mehr als 2.100 registrierten Fällen.[62] Von 1993 bis 2016 lag die Zahl der jährlich gemeldeten Erkrankungen zwischen 963 und 37.[63]
Im September 2000 wurden Masern zwar in Amerika für ausgerottet erklärt,[64] seitdem kam es aber mehrfach zu lokalen Ausbrüchen: In Minnesota erkrankten ab April 2017 mehrere Dutzend Menschen,[65] im Jahr 2018 gab es 17 Ausbrüche mit insgesamt 372 Betroffenen,[66] im Januar und Februar 2019 gab es 206 Fälle,[67] die zum Großteil auf Reisende zurückgeführt wurden.[66] Ende April 2019 meldete die amerikanische Gesundheitsbehörde CDC einen neuen Höchststand von Masernfällen, mit 695. Dies ist der höchste Stand seit der von der US-Gesundheitsbehörde offiziell bekanntgegebenen Ausrottung der Krankheit in den USA im Jahr 2000.[68] Fälle von Masernerkrankungen wurden in 22 Bundesstaaten registriert, wobei New York und Washington D.C. die meisten Infektionen verzeichneten. Hierbei fand der Masernausbruch von 2019 in New York in der jüdisch-orthodoxen Gemeinde in Williamsburg statt. Er gilt seit 1991 als der größte Ausbruch und führte dazu, dass der medizinische Notstand ausgerufen und eine Impfpflicht eingeführt wurde;[68][69] landesweit kam es 2019 zu 1.274 registrierten Fällen. Im Jahr 2025 wurde dieser Wert bereits im Juli übertroffen[62][70] (1.309 Fälle am 15. Juli 2025[71]).
Kanada

Die Meldepflicht für Masern wurde in Kanada ab 1924 eingeführt und einmal im Zeitraum von 1958 bis 1969 ausgesetzt.[72] Vor Einführung der Masernschutzimpfung traten Epidemien alle 2 bis 3 Jahre auf, der höchste Peak war 1935 mit über 83.000 Fällen. Praktisch jedes Kind war damals von Masern betroffen.[73] 1926 wurden die meisten jemals gezählten Masern-assoziierten Todesfälle (892) innerhalb eines Jahres registriert. 1963 wurde ein Lebendimpfstoff in Kanada zugelassen, damals wurde mit einer Dosis geimpft.[72] Totimpfstoffe wurden vor 1970 in zwei Provinzen eingesetzt, wegen ihrer Nebenwirkungen später aber durch den Lebendimpfstoff ersetzt.
Vor 1970 wurde – im Gegensatz zu den USA – nicht häufig gegen Masern geimpft. Die umfassenden Impfprogramme in den USA haben dort zu einem schärferen Rückgang an Masernfällen geführt als in Kanada.[73] Gegen Ende der 1970er Jahre wird eine Durchimpfungsrate in Kanada von ca. 85 % angenommen, Ende der 1980er Jahre dann über 95 %.[72] 1992 wurde ein Programm zur Masernelimination (bis 2005) beschlossen; für dieses Ziel wurde die Gabe einer Zweitdosis vor Schuleintritt empfohlen. Dies mündete 1996/97 darin, regulär zweimal gegen Masern zu impfen; zudem wurden Kampagnen gestartet, einfach geimpfte Kinder und Jugendliche nachzuimpfen.[72]
Nach 2000 kam es zweimal zu Masernepidemien. Insgesamt 752 Fälle (meistens Jugendliche) wurden 2011, insbesondere in der Provinz Quebec, registriert.[74] Diese gingen von aus Frankreich eingereisten Infizierten aus, insbesondere aus Regionen, die niedrige Impfquoten aufwiesen.[75][76] Der D4-Genotyp des Virus entspricht darüber hinaus dem, welcher den Ausbruch desselben Jahres in Frankreich verursacht hatte.[74] Unter den Fällen waren auch Kinder, die trotz Impfung erkrankt waren; eine Erklärung hierfür ist, dass deren Mütter Masern durchgemacht hatten und im Zuge des Nestschutzes entsprechende Antikörper weitergegeben haben.[77] Diese haben dann die Impfviren neutralisiert.
2014 kam es zu einer Epidemie mit 419 Fällen, größtenteils in orthodox-protestantischen Gemeinden.[77] Fast alle Erkrankten waren aus religiösen Gründen ungeimpft, der Altersmedian lag bei 11 Jahren.
Asien
Israel
Im Jahr 2008 wurde von der amerikanischen Gesundheitsbehörde CDC auf einen Ausbruch von Masern in Israel hingewiesen, wo mehr als 900 Fälle bekanntgeworden sind, 700 davon in Jerusalem und Bet Schemesch.[78]
Nordkorea
In Nordkorea gelten die Masern seit 2018 als eliminiert.[79]
Osttimor
In Osttimor gelten die Masern seit 2018 als eliminiert.[79]
Pakistan
In Pakistan sind, nachdem bereits im Jahr 2012 über 300 Maserntote gezählt wurden, bei einem weiteren schweren Masernausbruch 2013 erneut über 300 Kinder an der Krankheit gestorben. Dort wurden 2012 und 2013 über 8.000 Masernerkrankungen bestätigt.[80]
Afrika
Kongo
Anfang 2019 kam es zu einer Masernepidemie, bei der über 350.000 erkrankten und etwa 6.500, hauptsächlich Kinder, verstorben sind.
Südafrika
In Südafrika grassierte von 2009 bis 2011 eine Masernepidemie mit über 18.000 gemeldeten Fällen (13.000 laborbestätigt).[81]
Tansania
Gemäß WHO-Statistik liegt in Tansania die Impfquote für die Masernerstimpfung bei 99 %, wenngleich die Daten auf Hochrechnungen der Bevölkerungszahlen einer Volkszählung von 2012 basieren.[82] Impfungen hatten einen Anteil von 20 % bei dem starken Rückgang der Kindersterblichkeit von Kindern unter fünf Jahren.
Somalia
Laut WHO ist die Anzahl der Masernfälle im Jahr 2022 in Somalia mit ca. 13.000 Fällen mehr als doppelt so hoch wie aus den Jahren 2020 und 2021 zusammengenommen.[83]
Ozeanien
Samoa
In Samoa leben rund 200.000 Menschen, die eine besonders niedrige Impfquote von 28 % bis 40 % aufwiesen. Mitte November 2019 waren so viele Masernfälle aufgetreten, dass der Notstand ausgerufen und Ausgangsverbot verhängt worden war. Am 20. November wurde eine Impfkampagne gestartet, bei der bis 2. Dezember 2019 58.000 Menschen im Alter von sechs Monaten bis 60 Jahren, entsprechend knapp 30 % der Bevölkerung geimpft wurden. Ende Dezember 2019 wurde der sechswöchige Notstand für beendet erklärt, von November 2019 bis 29. Dezember 2019 wurden etwa 5.600 Masernfälle gemeldet und es starben 81 Menschen daran, meistens Säuglinge und Kleinkinder.[84] Die Impfquote hat mittlerweile 95 % erreicht.
Erreger
Eigenschaften
Das Masernvirus ist ein ausschließlich im Menschen vorkommendes (humanpathogenes), etwa 120–140 Nanometer großes einzelsträngiges RNA-Virus aus der Familie der Paramyxoviren (Genus Morbillivirus). Es ist eng mit dem Hundestaupevirus und am engsten mit dem mittlerweile ausgerotteten Erreger der Rinderpest verwandt.[85]
Die Hülle des Masernvirus enthält die Oberflächenproteine Hämagglutinin (H-Protein) und Fusionsprotein (F-Protein) sowie ein Matrixprotein (M-Protein). H- und F-Protein sind für die Fusion mit der Wirtszelle und die Aufnahme durch diese verantwortlich. Die zellulären Rezeptoren, über deren Hilfe das Virus in die menschlichen Zellen aufgenommen wird, sind CD150 und Nectin-4.[86] Nectin-4 wird von Epithelzellen präsentiert, CD150 von gewissen Zellen des Immunsystems (Lymphozyten, Monozyten, Makrophagen und dendritische Zellen). Diese Zellen spielen daher bei der Pathogenese einer Maserninfektion (mit dem Wildvirus) eine große Rolle. Der Rezeptor CD46 dient bei Impfungen mit Masernimpfstoffen als zusätzlicher zellulärer Rezeptor.[86] Die von der Impfung hervorgerufenen (induzierten) Antikörper richten sich gegen die Oberflächenproteine des Masernvirus, insbesondere gegen das H-Protein.[87]
Die WHO definiert 24 bisher bekannte Genotypen (Variationen der genetischen Informationen) in acht Gruppen (A–H).[88] Die Mutationsrate der Genome ist vergleichsweise gering, wodurch weltweite (geografische) Infektionswege nachvollzogen werden können.[89] In Mitteleuropa kommen vor allem die Genotypen B3 und D8 vor.[90] Die Masernausbrüche in der Schweiz und in Niederbayern 2006/2007 waren hingegen durch den aus Thailand oder Kambodscha stammenden Genotyp D5 verursacht.[91] Dies ermöglichte den Nachweis einer Infektkette von der Schweiz nach Niederbayern und von dort weiter nach Österreich und Hannover, da der Genotyp D5 in Mitteleuropa sonst nur in Einzelfällen auftritt. Weiterhin existiert nur ein stabiler Serotyp (Kombination von Oberflächenmerkmalen des Erregers), weshalb ein gut wirksamer Impfstoff hergestellt werden konnte.
Das Virus ist sehr empfindlich gegenüber äußeren Einflüssen wie erhöhten Temperaturen, Ultraviolettstrahlung (Licht) sowie aufgrund seiner Virushülle gegenüber Fettlöse- und Desinfektionsmitteln. An der Luft bleibt das Virus lediglich zwei Stunden infektiös.
Übertragung und Körperabwehr
Die Übertragung des Masernvirus erfolgt durch direkten Kontakt oder durch Tröpfcheninfektion. Die Infektiosität der Masern besteht drei bis fünf Tage vor dem Ausbruch des Hautausschlags bis vier Tage danach. Das Masernvirus dringt über die Epithelzellen der Schleimhaut des Atemtrakts oder seltener über die Bindehaut der Augen in den Körper ein. Das Virus führt dabei durch die hohe Ansteckungsfähigkeit schon nach kurzer Exposition zu einer Infektion (Kontagionsindex von fast 1). Die Viren vermehren sich in den regionalen Lymphknoten und breiten sich nach etwa 48 Stunden über die Blutbahn in das retikulohistiozytäre System aus. Dies geht einher mit einem meist kurzen Auftreten des Virus im Blut (Virämie). Nach etwa 5–7 Tagen kommt es zu einer zweiten Virämie mit anschließender Infektion der Haut und des Atemtrakts. Dadurch werden der charakteristische Hautausschlag (Masernexanthem) und die schnupfenartigen Symptome, Husten und akute Bronchitis ausgelöst. Durch die Invasion des Virus in T-Lymphozyten sowie erhöhte Spiegel von Botenstoffen (Zytokinen), insbesondere Interleukin-4, wird eine vorübergehende Schwäche der Körperabwehr verursacht. Während dieser Phase, die etwa vier bis sechs Wochen dauert, kann es dadurch zu weiteren (sekundären) Infektionen kommen.[92]
Die Körperabwehr beruht vor Beginn des Exanthems vor allem auf dem zellulären Immunsystem (zytotoxische T-Lymphozyten, natürliche Killerzellen). Patienten mit einer verminderten Immunität, die auf einer Schwächung dieses Teils des Immunsystems beruht, haben ein hohes Risiko für eine Maserninfektion, die einen schweren Verlauf nehmen kann. Eine Immunschwäche, die sich auf den Bereich des humoralen Immunsystems beschränkt, führt hingegen nicht zu einem erhöhten Erkrankungsrisiko. Für die Entwicklung der typischen Rachenrötung (das von dem späteren Gerichtsmediziner Wilhelm Reubold (1827–1917), einem Doktoranden von Franz von Rinecker, 1854[93] erstmals beschriebene Enanthem, als Koplik-Flecken oder Kopliksche Flecken benannt nach dem Kinderarzt Henry Koplik (1858–1927) vom Mount Sinai Hospital in New York)[94] sowie Hautrötung (Exanthem, s. u.) spielen Immunreaktionen in kleinen Blutgefäßen (Kapillaren) eine wichtige Rolle. Daher können diese Zeichen bei immungeschwächten Patienten fehlen (weiße Masern), obwohl ein schwerer Krankheitsverlauf vorliegt. Mit Beginn des Exanthems setzt die Bildung von Antikörpern ein, zuerst der Klasse IgM, später auch von IgG.[92]
Krankheitsbild
Symptome und Krankheitsverlauf


Typisch für die Masern ist ein zweiphasiger Krankheitsverlauf: Auf die Inkubationszeit von 8 bis 10 Tagen folgt das drei bis sieben Tage[95] dauernde, uncharakteristische Prodromalstadium, auch Initialstadium genannt. Dieses äußert sich durch eine Entzündung der Schleimhäute des oberen Atemtraktes (Katarrh mit Rhinitis), teilweise auch des mittleren Atemtraktes als trockene Bronchitis, sowie der Augenbindehäute (Konjunktivitis). Das Beschwerdebild in diesem Krankheitsstadium wird daher auch mit den Worten „verrotzt, verheult, verschwollen“ beschrieben. Dazu kann es zu Fieber bis 41 °C, Übelkeit, Halsschmerzen und Kopfschmerzen kommen. Die nur bei Masern vorkommenden Koplikflecken an der Wangenschleimhaut gegenüber den vorderen Backenzähnen (Prämolaren) sind eher selten zu beobachten und werden von manchen Autoren zu den atypischen Zeichen einer Maserninfektion gezählt.[96] Diese weißen, kalkspritzerartigen Flecken auf gerötetem Untergrund sind 1–2 mm groß und treten kurz vor dem Erscheinen des späteren Ausschlags auf.

Am 12. bis 13. Tag geht die Krankheit in das typische Exanthemstadium über, das oft mit einer typischen Schleimhautrötung (Enanthem) am weichen Gaumen beginnt. Am 14. bis 15. Tag breitet sich ein fleckig-knotiger (makulo-papulöser), zum Teil konfluierender, großfleckiger Ausschlag (Exanthem) – typischerweise hinter den Ohren (retroaurikulär) beginnend – innerhalb von 24 Stunden über den ganzen Körper aus. Nach weiteren vier bis fünf Tagen bilden sich die Symptome in der Regel zurück. Als Überbleibsel des Exanthems kann eine kleieförmige Schuppung für kurze Zeit bestehen bleiben. Begleitend treten häufig Lymphknotenschwellungen (Lymphadenopathie) auf. Bei Erwachsenen verläuft die Krankheit oft schwerer als bei Kindern, obwohl es sich um die gleichen Symptome handelt. Da die Erkrankung bei Erwachsenen schwerer diagnostiziert wird, kommt es zu einer später einsetzenden Behandlung und daraus entstehenden Komplikationen, wie der Masernpneumonie.[97]
Der Fieberverlauf der Erkrankung ist häufig zweigipflig, wobei der erste Gipfel während des Prodromal-, der zweite während des späteren Exanthemstadiums auftritt. Dazwischen kommt es oft zu einer kurzen Entfieberung. In unkomplizierten Fällen folgt eine rasche Erholung und eine lebenslang anhaltende Immunität.[98][99]
Untypische Verlaufsbilder
Untypische Verläufe kommen in verschiedenen Situationen vor. Säuglinge mit Leihimmunität durch mütterliche Antikörper oder Patienten, die Antikörperpräparate erhalten haben, erkranken an einer abgeschwächten Form der Erkrankung (mitigierte Masern).
Bei Personen mit Immunschwäche kann der Verlauf sehr unterschiedlich sein, so kann beispielsweise hier der typische Hautausschlag fehlen (weiße Masern). Zu dieser Gruppe zählen Patienten mit angeborenen Defekten des zellulären Immunsystems, HIV-Infektionen, bösartigen Tumoren oder immunsuppressiver Therapie. Sie haben ein hohes Risiko, an einem schweren und langwierigen Verlauf der Masern mit erhöhter Komplikations- und Sterblichkeitsrate zu erkranken.
Unter atypischen Masern versteht man eine schwere Verlaufsform, die bei Patienten nach der Impfung mit einem formalininaktivierten Impfstoff auftrat, wenn sie später mit einem Wildtyp-Masernvirus konfrontiert wurden. Diese Impfstoffe wurden in den USA und Kanada in den 1960er Jahren benutzt. Neben der sehr ausgeprägten Symptomatik, die meist nicht in der typischen Reihenfolge verlief, traten Pleuraergüsse, Leberentzündungen und Ödeme der Arme und Beine auf. Trotz der Schwere des Krankheitsbildes war die Prognose gut, die Patienten erholten sich vollständig.[98]
Komplikationen
Während zwei Drittel der Erkrankungen unkompliziert verläuft, treten bei etwa 20–30 % der Fälle zusätzliche Begleiterscheinungen und Komplikationen auf, wobei Durchfall (in 8 % der Krankheitsfälle), Mittelohrentzündungen (7 %) und Lungenentzündungen (6 %) die häufigsten sind.[100] Daneben gibt es eine Vielzahl weiterer Komplikationen.
Über die Sterblichkeitsrate gibt es verschiedene Angaben. Das Robert Koch-Institut nennt eine Letalität von 1:1000.[95] Die amerikanische Gesundheitsbehörde CDC geht von einer Sterblichkeit von 1:500 bis 1:1000 aus.[101] Das Zentrum für Prävention und Kontrolle von Krankheiten der EU berechnet eine Sterblichkeit von 3:1000.[102] In Entwicklungsländern liegt die Todesrate wesentlich höher, teilweise bei bis zu 25 %.[12] Lungenentzündungen sind die am häufigsten zum Tode führenden Komplikationen.
Masernpneumonie

Unter einer primären Masernpneumonie wird eine Lungenentzündung mit dem Verlaufsbild einer interstitiellen Pneumonie mit Entzündung der kleinen Bronchien (Bronchiolitis) verstanden, die sich hauptsächlich als Atemstörung (Dyspnoe) äußert. Mittels körperlicher Untersuchung ist sie schwer zu diagnostizieren, so dass eine Röntgenaufnahme erforderlich ist.
Das Epithel des respiratorischen Systems wird durch das Masernvirus direkt geschädigt, dabei wird ein Verlust von Flimmerhärchen (Cilien) beobachtet. Diese Schäden stellen eine Prädisposition für bakterielle Infekte dar (bakterielle Superinfektionen). Eine solche Infektion tritt, insbesondere nach oder bei einer gleichzeitigen interstitiellen Viruspneumonie, als Bronchopneumonie auf. Sie ist aber durch die masernbedingte Abwehrschwäche (s. o.) auch isoliert möglich.
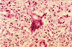
Eine seltene Form der viralen Pneumonie ist die Riesenzellpneumonie mit vielkernigen, von den Alveolarepithelien abstammenden Riesenzellen (Hecht-Riesenzellen), die typisch für Masern und Keuchhusten ist, selten jedoch auch bei Diphtherie oder Grippe vorkommt. Sie tritt vor allem bei geschwächten Patienten auf und hat eine schlechte Prognose.
Meningoenzephalitis
Die Entzündung des Gehirns und seiner Häute (Meningoenzephalitis) ist selten (bei 0,1 % der Erkrankungen), verläuft jedoch in 10–20 % der Fälle tödlich. In weiteren 20–30 % bleiben dauerhafte Schädigungen des Gehirns zurück.[95]
Die Meningoenzephalitis kann sich vier bis sieben Tage[95] nach Exanthembeginn entwickeln, bei Patienten über sechs Jahren häufiger als bei Kleinkindern. Sie manifestiert sich mit Fieber, Kopfschmerz, meningealer Reizung (Nackensteifigkeit, Erbrechen) sowie Bewusstseinsstörungen bis zum Koma. Schwere Verlaufsformen äußern sich in epileptischen Anfällen und anderen neurologischen Funktionsstörungen. Bei der Lumbalpunktion zeigt das gewonnene Hirnwasser eine Zellvermehrung (Pleozytose) und eine erhöhte Proteinkonzentration. Nach Einführung der Masernimpfung sank das Vorkommen der durch Masern ausgelösten Meningoenzephalitis kontinuierlich und liegt in Deutschland bei weniger als zehn Fällen im Jahr.
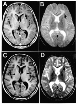
Bei Kindern mit angeborenen oder erworbenen Immundefekten kann es in seltenen Fällen zu einer besonderen Form der Gehirnentzündung durch Masernviren kommen („Einschlusskörperchenenzephalitis“, measles inclusion-body encephalitis, MIBE, von englisch measles für „Masern“). Diese Komplikation manifestiert sich meist innerhalb eines Jahres nach Maserninfektion mit schwer behandelbaren fokalen Krampfanfällen und endet in der Regel innerhalb von wenigen Monaten tödlich.[103] Die Diagnose kann durch eine Gewebeprobeentnahme aus dem Gehirn (Biopsie) gestellt werden. Es sind auch Fälle beschrieben worden, die durch das Impfvirus verursacht wurden.[104] Menschen mit bestimmten schweren angeborenen oder erworbenen Immundefekten dürfen daher nicht gegen Masern geimpft werden.[95]
Subakute sklerosierende Panenzephalitis

Die subakute sklerosierende Panenzephalitis (SSPE) ist eine Spätkomplikation nach Maserninfektion, die eine generalisierte Entzündung des Gehirns mit Nerven-Entmarkung (Demyelinisierung) und schwersten Schäden nach sich zieht und in mehr als 95 % der Fälle tödlich endet.[105] Die Entstehung der SSPE ist nicht vollständig geklärt. Eine Rolle scheinen dabei Mutationen der Proteine der Virushülle zu spielen, insbesondere bei den Aminosäuren an den Positionen 64 (Pro), 89 (Glu) und 209 (Ala) des M-Proteins (sogenanntes PEA-Motiv).[99][106][107] Gerade das Ala209 ist für eine gesteigerte Virenausbreitung innerhalb des Körpers verantwortlich. In Impfviren sowie Laborstämmen tritt dieses Motiv nicht auf, an den jeweiligen Positionen wurden folgende Aminosäuren identifiziert: Ser, Lys bzw. Thr (sog. SKT-Motiv).[106][108] Dies könnte erklären, warum man in Gewebeproben SSPE-infizierter Gehirne ausschließlich Masern-Wildviren nachgewiesen hat und nicht Masern-Impfviren; außerdem gibt es keine Evidenzen dafür, dass eine Masernimpfung eine SSPE verursachen oder beschleunigen könnte.[109][108]
Die Erkrankung tritt Monate bis zehn Jahre nach einer Maserninfektion auf, im Durchschnitt nach sieben Jahren. Der Verlauf ist langsam progredient über ein bis drei Jahre – die SSPE zählt zu den sog. Slow Virus Infections. In jeweils 10 % der Fälle tritt ein akuter, schnellerer (3 bis 6 Monate) oder ein langsamerer Verlauf (länger als drei Jahre) auf.
Es lassen sich vier Stadien der SSPE abgrenzen.[108] Das erste Stadium ist durch Reizbarkeit, Demenz, Lethargie, Sprachstörungen und Rückgang sozialer Interaktionen gekennzeichnet, das zweite durch Störungen der Motorik wie Dyskinesie, Dystonie und Muskelkrämpfe (Myoklonien). Im dritten Stadium manifestieren sich ein extrapyramidales Syndrom, spastische Lähmungen sowie ein Dezerebrationssyndrom, bei dem das Großhirn stark geschädigt ist. Im EEG finden sich typische Veränderungen, die wegweisend für die SSPE sind (Radermecker-Komplex). Im letzten Stadium kommt es zu Funktionsausfällen der Großhirnrinde, was zu einem Wachkoma, einem akinetischen Mutismus, dem Ausfall vegetativer Funktionen (wie z. B. Atmung, Puls, Blutdruck) und schließlich zum Tode führt.
Die Häufigkeit der SSPE wurde früher mit 5 bis 10 pro 1 Million Masernfällen angegeben. Die neuere Literatur geht jedoch von einer Häufigkeit von etwa 1:1.000[110] bis 1:5.000 oder 1:10.000 Infizierten aus, bei Kindern unter 5 Jahren liegt das Risiko bei 2 bis 6:10.000.[95][111] Auswertungen aus Kalifornien haben sogar ein Risiko von 1:1367 für Kinder unter 5 Jahren und von 1:609 für Kinder unter einem Jahr ergeben.[112] Die absolute Häufigkeit der SSPE ist durch die Masernimpfung seit den 1980er Jahren deutlich reduziert worden.
Die SSPE tritt in den meisten Fällen bei Kindern oder Jugendlichen auf, die vor ihrem zweiten Lebensjahr die Masern durchgemacht hatten. Da Kinder erst ab dem 12. Lebensmonat gegen Masern geimpft werden können, liegt die einzige Möglichkeit, Kleinkinder unter 12 Monaten vor den Masern zu schützen, in der Expositionsprophylaxe, d. h. in der Vermeidung des Umgangs mit potentiell infektiösen, d. h. ungeimpften Personen.
SSPE wurde Anfang des 20. Jahrhunderts zunächst als seltene neurologische Erkrankung (sporadisch auftretende Enzephalitis mit subakutem Verlauf) beschrieben.[113] Mikroskopisch wurden durch die Arbeit von James R. Dawson 1933[114] die SSPE-assoziierten sichtbaren Veränderungen beobachtet, eine virale Ursache wurde vermutet.[113] Die Bezeichnung „SSPE“ fiel erstmals 1939.[115] Durch die Arbeiten von John H. Connolly und Mitarbeitern von 1967[116] wurde schließlich die Rolle des Masernvirus bei SSPE identifiziert.
Schwächung des Immunsystems
Masern gelten als die als erste beschriebene immunsuppressive Erkrankung.[117] Die Masernviren verbreiten sich besonders im lymphatischen System. So dringen sie in einige Zellen des Immunsystems ein, vor allem in Lymphozyten, Monozyten, Makrophagen und dendritische Zellen. Dadurch kommt es zunächst in der akuten Phase der Erkrankung zu einer Immunsuppression[86] mit Lymphopenie in Form eines manchmal drastischen Abfalls der Menge im Blut zirkulierender T- und B-Zellen. Damit werden Masernkranke kurz nach der Maserninfektion anfälliger für andere bakterielle oder virale Krankheitserreger.
Außerdem befallen Masernviren auch die Gedächtniszellen des Immunsystems. Dadurch kann die Immunität gegenüber anderen Krankheiten auch mittelfristig verloren gehen oder beeinträchtigt werden („Immunamnesie“).[118] Das Ausmaß der Löschung des körpereigenen Immungedächtnisses variiert von Person zu Person und es kann zwei bis drei Jahre dauern, bis sich die körpereigene Abwehr erholt hat. Nach einer Maserninfektion kommt es in dieser Zeit zu häufigeren Infektionen durch andere Erreger. Die Mortalität ist aufgrund der verlorenen Immunogenität bis zu drei Jahre nach einer durchgemachten Maserninfektion erhöht. Masernimpfungen dagegen führen in Regionen, in denen der Schutz vor anderen Erkrankungen mangels Ressourcen nur eingeschränkt möglich ist, vor allem Entwicklungsländern, zu einem starken Rückgang dieser Krankheiten.[119][117]
Im Oktober 2019 wurde die Erkenntnis, dass nach einer durchgemachten Maserninfektion entgegen früherer Annahmen das menschliche Immunsystem eher geschwächt anstelle gestärkt wird, in einer Studie[120] des britischen Sanger Instituts erneut bestätigt. Masernviren zerstören demnach B-Gedächtniszellen, die bei einer Infektion Antikörper produzieren. Dieses führt zu dem Immungedächtnisverlust und schwächt die Abwehr gegen andere Krankheiten. Im Gegensatz dazu lösen die abgeschwächten Masernviren, die im Rahmen einer Schutzimpfung injiziert werden, diesen Immungedächtnisverlust nicht aus.[121][122]
Konjunktivitis
Auch eine Bindehautentzündung, gelegentlich assoziiert mit einer Entzündung der Hornhaut (Keratitis) des Auges mit multiplen, punktförmigen, epithelialen Läsionen, kann als Komplikation der Maserninfektion auftreten.[112] In Entwicklungsländern sind die Masern eine der häufigsten Ursachen für Erblindungen von Kindern, besonders im Zusammenhang mit Vitamin-A-Mangel und/oder Immunschwächeerkrankung infolge von HIV oder anderen Krankheiten.[123]
Weitere Komplikationen
Durch eine Kehlkopfentzündung mit Schwellung der Schleimhaut kommt es zu Heiserkeit und Atemnot bereits im Vorstadium (vgl. Pseudokrupp), dies wird als „Masernkrupp“ bezeichnet. Weitere Komplikationen sind die Wurmfortsatzentzündung (Appendizitis), Leberentzündung (Hepatitis) oder generalisierte Lymphknotenschwellung (Lymphadenitis). Selten sind eine Herzmuskelentzündung (Myokarditis), Nierenentzündung (Glomerulonephritis) oder ein Abfall der Blutplättchen (thrombozytopenische Purpura).[99]
Diagnose
Die Diagnose anhand des Krankheitsbildes, insbesondere des „typischen“ Masernexanthems, ist aufgrund des zunehmend selteneren Vorkommens und untypischer Verlaufsbilder mit einer großen Fehlerhäufigkeit behaftet,[124] so dass zusätzliche Untersuchungen notwendig sind, um die Krankheit sicher diagnostizieren zu können. Im Epidemiefall kann die Diagnose dennoch häufig klinisch gestellt werden, insbesondere von erfahrenen Untersuchern.[125][126]
Die sicherste und praktikabelste Methode zur Sicherung der Diagnose ist der Nachweis von Viruserbgut mittels RT-PCR. Diese sollte binnen einer Woche nach Beginn des Hautausschlags aus einem Rachenabstrich oder Urin erfolgen. Ein negatives Ergebnis schließt die Erkrankung aber nicht sicher aus. Der serologischen Nachweis von IgM-Antikörpern aus einer Blutprobe, zeigt eine frische Infektion an. Dieser Antikörper kann aber bei rund einem Drittel der Patienten an Tag eins bis drei nach Beginn des Ausschlags noch negativ sein. Bei Geimpften kommt es nicht regelhaft zu einer Bildung von nachweisbaren IgM-Antikörpern, aber zu einem Anstieg der durch Impfung oder durchgemachte Erkrankung induzierten IgG-Antikörper. Hier gilt ein vierfacher Anstieg des Antikörpertiters bei einem Probenintervall von zehn bis vierzehn Tagen als beweisend. Auch kann eine Untersuchung der Bindungsstärke der IgG-Antikörper bei Impfversagern eine Sicherung der Diagnose ermöglichen. Die Referenzdefintion des RKI ist aber erst bei Nachweis mittels PCR erfüllt, hier sollte die Probe binnen fünf Tagen nach Exanthembeginn erfolgen. Eine Unterscheidung zwischen Impfmasern und einer akuten Infektion mit dem Wildtypvirus ist bei einer positiven RT-PCR-Untersuchung möglich.[127][128]
Der Erregernachweis im Liquor kommt nur bei Verdacht auf eine Masern-Enzephalitis in Frage; aufgrund der Instabilität der Virus-RNA im Liquor schließt ein negativer PCR-Befund die Masernenzephalitis nicht aus. Bei Verdacht auf eine SSPE ist meist nicht der direkte Erregernachweis erfolgreich, sondern der Nachweis von Masern-IgM im Liquor.
Neben der spezifischen Virusdiagnostik der Masern fallen bei Blutuntersuchungen (Labordiagnostik) eine Verminderung der weißen Blutkörperchen (Leukopenie), insbesondere der Lymphozyten (Lymphopenie) und der eosinophilen Granulozyten (Eosinopenie), sowie eine vorübergehende Verminderung der Blutplättchen (Thrombozytopenie) auf. Bei Infektionen des Gehirns findet man eine erhöhte Eiweißkonzentration sowie vermehrt Lymphozyten (lymphozytäre Pleozytose) im Hirnwasser (Liquor).
Differenzialdiagnose
Differenzialdiagnostisch kommen bei der klinischen Diagnose am ehesten Scharlach und Röteln in Betracht. Bei Scharlach beginnt der eher feinfleckige Ausschlag in der Leisten- oder Achselregion und steigt von dort zum Kopf auf, wo er das Mund-Kinn-Dreieck auslässt. Typisch ist auch die sogenannte Himbeerzunge und eine Pharyngitis (Rachenentzündung). Die Röteln zeigen meist ein nur mildes Krankheitsbild mit mäßigem Fieber und einem schwachen, nichtkonfluierenden Exanthem an Hals und Brust. Hier ist eine starke Schwellung der im Nacken gelegenen Lymphknoten typisch. Neben diesen Erkrankungen kommen auch Ringelröteln[129], Pfeiffer-Drüsenfieber, Toxoplasmose, Infektionen mit Mykoplasmen, das Kawasaki-Syndrom und Arzneimittelallergien in Frage. Durch den Nachweis spezifischer Antikörper bei Vorhandensein von anti-Masern-IgM-Antikörpern lassen sich diese Krankheiten ausschließen.
Meldepflicht, Benachrichtigungpflicht usw.
In Deutschland sind seit 2001 laut § 6 Infektionsschutzgesetz (IfSG) der Krankheitsverdacht, die Erkrankung an und der Tod durch Masern namentlich meldepflichtig; ebenso nach § 7 IfSG der direkte oder indirekte Nachweis des Masernvirus, soweit der Nachweis auf eine akute Infektion hinweist. Zudem ist auch die Erkrankung oder der Tod an einer SSPE infolge einer Maserninfektion meldepflichtig (§ 6 Absatz 2 Satz 1 IfSG). Leiter von Gemeinschaftseinrichtungen sind bei Kenntnis von Erkrankungsfällen nach § 34 Absatz 6 IfSG zur Benachrichtigung an das Gesundheitsamt verpflichtet. Bei Krankheitsverdacht oder tatsächlicher Erkrankung besteht Tätigkeits- und Aufenthaltsverbot in Gemeinschaftseinrichtungen (§ 34 Absatz 1 IfSG), dies gilt auch für Personen, in deren Wohngemeinschaft nach ärztlichem Urteil eine Erkrankung an oder ein Verdacht auf Masern aufgetreten ist (§ 34 Absatz 3 IfSG).
In Österreich besteht Anzeigepflicht seit Dezember 1997 (BGBl. II Nr. 456/2001 Verordnung: Anzeigepflichtige übertragbare Krankheiten, nun nach § 1 Abs. 1 Ziffer 1 Epidemiegesetz 1950). Die Anzeigepflicht bezieht sich auf Verdachts-, Erkrankungs- und Todesfälle. Zur Anzeige verpflichtet sind unter anderem Ärzte und Labore (§ 3 Epidemiegesetz 1950).
In der Schweiz sind Masern seit März 1999 meldepflichtig (Melde-Verordnung, SR 818.141.1, nun nach Nummer 30 von Anhang 1 der Verordnung des EDI über die Meldung von Beobachtungen übertragbarer Krankheiten des Menschen). Meldepflichtig ist der klinische Verdacht aufgrund einer Symptom-Trias (1. Fieber, 2. makulopapulöses Exanthem, 3. Husten, Rhinitis oder Konjunktivitis).
Therapie
Eine spezifische antivirale Therapie gegen das Masernvirus existiert nicht.[130] In der akuten Krankheitsphase soll Bettruhe eingehalten werden. Als symptomatische Therapie können fiebersenkende Medikamente (Antipyretika) und Hustenmittel (Antitussiva) eingesetzt werden. Da der Körper bei Fieber einen erhöhten Flüssigkeitsbedarf hat, sollte unbedingt viel getrunken werden. Bakterielle Superinfektionen (Sekundärinfektionen) wie eine Mittelohr- (Otitis media) oder Lungenentzündung (Pneumonie) werden mit Antibiotika behandelt.[130]
Bei Kindern im Alter von 6 Monaten bis 5 Jahren, insbesondere bei Kindern unter 2 Jahren, zeigten verschiedene Studien in Entwicklungsländern einen günstigen Effekt der Gabe von Vitamin A auf die Komplikationsrate (Erblindung oder Augenschäden) und Sterblichkeit bei vorliegendem Vitamin-A-Mangel.[112][131] Der Mechanismus der Wirkung ist noch nicht ganz geklärt; Vitamin A fördert den Zellaustausch von Epithelzellen insbesondere der Atmungswege und des Verdauungstraktes.[112] Die WHO empfiehlt eine zweimalige Vitamin-A-Gabe im Krankheitsfall.[123] Wiederholte Gaben von 200.000 IE zeigen klinische Effekte.[112] Untersuchungen über eine Vitamin-A-Therapie in westlichen Industrieländern existieren nicht. Die Empfehlungen des Robert Koch-Institutes enthalten keine Vitamin-Gabe.[95][132] Zur Prävention dagegen eignen sich Vitamin-A-Gaben nicht, hierfür sind nur Schutzimpfungen effektiv.[133]
Das Virostatikum Ribavirin ist in vitro gegen das Masernvirus wirksam; Studien zur Anwendung beim Menschen fehlen, es liegen nur einzelne Fallberichte vor, in denen eine Ribaviringabe (ggf. zusammen mit Interferon α)[112] von Nutzen war.[132][134][135] Die Deutsche Gesellschaft für Pädiatrische Infektiologie gibt an, dass bei Immunsupprimierten mit schwerem Krankheitsverlauf in Einzelfällen eine antivirale Therapie mit Ribavirin in Kombination mit Immunglobulinen erwägenswert sei.
Die Rolle von Steroiden bei der Behandlung von Masernpneumonien wird ebenfalls diskutiert, jedoch gibt es auch hier nur Fallstudien.[112]
Gemeinschaftseinrichtungen dürfen während der Erkrankung nicht besucht werden (s. u.). Durch die passive oder aktive Impfung nach Exposition kann die Krankheit unter Umständen gemildert oder verhindert werden (Postexpositionsprophylaxe, s. u.).
Vorbeugung
Quarantäne
Nach dem deutschen Infektionsschutzgesetz (IfSG) aus dem Jahr 2001 dürfen Infizierte so lange keine Gemeinschaftseinrichtungen besuchen, bis sie nach Abklingen der Erkrankung keine Viren mehr absondern und keine weiteren Personen mehr infizieren können. Unter Gemeinschaftseinrichtungen werden unter anderen Institutionen verstanden, in denen überwiegend Säuglinge, Kinder oder Jugendliche betreut werden, wie Kinderkrippen, Kindergärten, Kindertagesstätten, Kinderhorte, Schulen oder sonstige Ausbildungseinrichtungen, außerdem Heime und Ferienlager. Dieselbe Regelung gilt auch für die Beschäftigten dieser Einrichtungen (§ 34 des Infektionsschutzgesetzes). In anderen Ländern bestehen vergleichbare Regelungen. Sogenannte „Masernpartys“[136] – organisierte Treffen, bei denen nicht gegen Masern geimpfte Kinder sich bei Kindern, die akut an Masern erkrankt sind, anstecken sollen – sind strafrechtlich relevant.[137]
Für Krankenhäuser und Pflegeeinrichtungen in Deutschland gilt die Empfehlung der Kommission für Krankenhaushygiene und Infektionsprävention (KRINKO), nach der Infizierte bis vier Tage nach Beginn des Ausschlags isoliert werden sollen, immunsupprimierte Patienten für die gesamte Dauer der Symptomatik.[138]
Impfung

Die Impfung gegen Masern gilt als die effektivste Methode, um das Auftreten der Krankheit zu verhindern.[117] Vor Einführung von Masernimpfungen erkrankten etwa 95–98 % aller Kinder unter 18 Jahren an Masern.[59] Durch Impfungen wurden die Masern-Todesfälle von 2000 bis 2015 geschätzt um 79 % gesenkt.[117] Impfen ist grundsätzlich mit einem Einzelimpfstoff möglich, dies wird vor allem in Afrika oder auch Russland gemacht.[112] In Deutschland, Europa und Nordamerika wird dies in aller Regel als Masern-Mumps-Röteln-Impfung (MMR) oder Masern-Mumps-Röteln-Windpocken-Impfung (MMRV) mit einem Kombinationsimpfstoff durchgeführt.
Das Robert-Koch-Institut teilt in diesem Zusammenhang mit, dass ein „… Kombinationsimpfstoff … grundsätzlich nicht schlechter verträglich ist als ein Einzelimpfstoff“.[139] Es handelt sich bei der Masernimpfung um einen abgeschwächten Lebendimpfstoff, der nach einmaliger Impfung bei 95 % der Kinder einen ausreichenden Schutz gegen Masern bewirkt.[140] Da bei einer Durchimpfungsrate von weniger als 95 % mit sporadischen Masernepidemien in mehrjährigen Abständen zu rechnen ist, müssen mit einer zweiten Impfung, frühestens vier Wochen nach der ersten, Impflücken geschlossen werden, um „Impfversagern“ (Non-Responder) den entsprechenden Impfschutz zu gewähren. Daher wurde im Falle von Masern eine Zweitimpfung empfohlen.[141] Umfangreiche Untersuchungen zeigen, dass ein exzellenter Schutz gegen Masern durch zwei Impfungen ermöglicht wird.[142][143] Nach einer zweifachen MMR-Impfung entwickeln über 99 % eine lebenslange Immunität, die durch einen Titer-unabhängigen Nachweis von Masern-IgG festgestellt werden kann. Die MMR-Impfung kann mit weiteren Impfungen kombiniert werden. Zu einer nachhaltigen Schwächung des Immunsystems, wie bei einer Masernerkrankung, kommt es bei der Impfung nicht.
Gegenanzeigen zu einer Impfung sind akute Infekte, HIV-positive und andere immungeschwächte Patienten (z. B. Kortikosteroid-Therapie, Leukämie), Schwangerschaft sowie eine Gelatineallergie oder ein Abfall der Blutplättchen (Thrombozytopenie) in der Vergangenheit. Im Fall eines Kontaktes mit Masernviren werden bei diesen Gegenanzeigen Immunglobuline als Postexpositionsprophylaxe gespritzt.[132]
Nach dem Impfkalender der Ständigen Impfkommission am Robert Koch-Institut ist die erste MMR-Impfung bei allen Kindern zwischen dem vollendeten 11. und 14. Lebensmonat, die zweite im Alter von 15 bis 23 Monaten vorgesehen. Seit dem Sommer 2006 ist außerdem ein Kombinationsimpfstoff zugelassen, der zusätzlich eine Windpockenkomponente enthält und damit den Impfplan weiter vereinfacht. Auch dieser Impfstoff wird zu denselben Zeiten zweimalig verabreicht.[144] „Es ist dafür Sorge zu tragen, dass die zweite MMR-Impfung so früh wie möglich, spätestens jedoch bis zum vollendeten 18. Lebensjahr nachgeholt wird; bei Mädchen wird damit auch der unverzichtbare Schutz vor einer Rötelnembryopathie gesichert.“[144] Im Jahr 2012 waren in Deutschland 92,4 Prozent der neu eingeschulten Kinder zweifach gegen Masern geimpft.[145]
In Österreich werden zwei Teilimpfungen gegen Masern-Mumps-Röteln ab dem vollendeten 9. Lebensmonat mit einem Mindestabstand von vier Wochen empfohlen. Bei Schuleintritt bzw. mit vollendetem 12. Lebensjahr soll der Impfstatus (Impfpass) kontrolliert werden. Fehlende Impfungen können in jedem Lebensalter kostenlos nachgeholt werden.[146] Eine Erhebung des Gesundheitsministeriums aus 2016 ergab, dass über 95 Prozent der 6-jährigen Kinder zumindest einmal gegen Masern geimpft sind. Bei den 2- bis 5-jährigen Kindern beträgt die Durchimpfungsrate jedoch nur 92 Prozent, zudem sind etwa 10 Prozent davon nur einfach anstatt zweimal geimpft.[147][148]
Die Empfehlungen des Bundesamtes für Gesundheit und der Schweizerischen Kommission für Impffragen sehen zwei MMR-Impfungen im Alter von 12 und 15–24 Monaten vor.[149] Die WHO schätzt die Impfquote in der Schweiz für 2006 auf 86 % für die Erstimpfung und 70 % für die Zweitimpfung.[148]
Steht bei einem Kind die Aufnahme in eine Kindereinrichtung an, kann die MMR-Impfung auch vor dem zwölften Lebensmonat, jedoch nicht vor dem neunten Lebensmonat erfolgen, da im ersten Lebensjahr im Blut des Säuglings noch vorhandene mütterliche Antikörper die Impfviren neutralisieren können. Auch wenn von Eltern oder Impflingen angegeben wird, dass eine Masern-, Mumps- oder Rötelnerkrankung bereits durchgemacht wurde, wird die Durchführung der MMR-Impfung empfohlen. Anamnestische Angaben über eine Masern- oder Rötelnerkrankung sind ohne mikrobiologisch-serologische Dokumentation der Erkrankungen unzuverlässig und nicht verwertbar. Eine serologische Untersuchung auf masernspezifische IgG-Antikörper vor der zweiten Impfung und der Verzicht auf dieselbe bei ausreichendem Titer ist möglich, alle aktuellen Impfempfehlungen sehen allerdings eine routinemäßige zweite Impfung ohne vorherige Diagnostik vor.
Die Impfung schützt nicht nur den größten Teil der Geimpften, sondern durch die Herdenimmunität auch Neugeborene und Säuglinge vor der ersten Impfung oder Impfversager und Immunsupprimierte, die nicht geimpft werden können. Eine wirksame Impfung schützt idealerweise nicht nur den Einzelnen, sondern hat auch eine soziale Dimension. Um Masern auszurotten, ist eine Impfquote von über 95 % der Bevölkerung erforderlich.[150] Während dieses Ziel in Amerika bereits 2016 erreicht wurde,[151] sind Masern in Europa in 11 von 53 Ländern endemisch.[152]
In der Literatur wird eine dritte MMR(V)-Impfung diskutiert, dafür bedarf es noch weiterer Studien.[153]
Impfpflicht
Seit 1. März 2020 besteht laut § 20 Abs. 8 Infektionsschutzgesetz in Deutschland für Kinder und Beschäftigte im Bildungs- und Gesundheitswesen eine Impfpflicht gegen Masern.[154][155] Diese Impfpflicht ist laut Urteil des Bundesverfassungsgerichts vom 18. August 2022 verfassungskonform.[156]
Personen, die vor 1970 geboren wurden, haben mit hoher Wahrscheinlichkeit die Masern durchgemacht und benötigen keine Impfung.[157]
Die in Tschechien geltende bußgeldbewehrte Impfpflicht gegen neun bekannte Kinderkrankheiten wie Masern, Röteln und Mumps verstößt nach Auffassung des Europäischen Gerichtshofs für Menschenrechte (EGMR) nicht gegen das Recht auf Achtung des Privat- und Familienlebens aus Art. 8 EMRK.[158][159][160]
Impfreaktionen und -komplikationen
| Symptom/Erkrankung | Komplikationsrate bei Masern-Erkrankung |
Komplikationsrate nach MMR-Impfung |
|---|---|---|
| Exanthem | 98 % | 5 %, abgeschwächt |
| Fieber | 98 %, meist hoch | 3 % bis 5 %, sehr selten hoch |
| Fieberkrämpfe | 7 bis 8 % | ≤ 1 % |
| Abfall der Blutplättchen | 1/3.000 | 1/30.000 bis 1/50.000 |
| Enzephalitis | 1/1.000 bis 1/10.000 | 0[153] |
| Letalität | 1/500 bis 3/1.000 | 0 |
Fieber, Abgeschlagenheit, Kopfschmerzen und lokale Impfreaktionen wie Rötung, Schmerzen und Schwellungen an der Injektionsstelle können wie bei allen Impfungen vorkommen und stellen harmlose Nebenwirkungen dar. Schwerwiegendere Impfkomplikationen wie ausgeprägte allergische Reaktionen sind sehr selten. Bei der Durchführung der Impfung sollte jedoch Personal und Ausrüstung vorhanden sein, um auch eine solche Anaphylaxie behandeln zu können. Das Auftreten einer Gehirnentzündung (Enzephalitis) oder Thrombozytopenie (Abfall der Blutplättchenzahl) ist extrem selten, der Zusammenhang der beobachteten Fälle mit der Impfung wird zudem kontrovers diskutiert.[132] Das Risiko des Auftretens von Fieberkrämpfen ist nach der Impfung leicht erhöht, jedoch ohne langfristige Schädigungen.[163]
Da es sich bei der Masernimpfung um eine Impfung mit einem abgeschwächten Lebendimpfstoff handelt, können in 3–5 % der Fälle so genannte Impfmasern auftreten. Diese stellen eine milde Form der Masern dar und können die typischen Symptome zeigen, diese treten meistens in abgeschwächter Form auf. Die Impfmasern sind nicht infektiös.[95]
Immer wieder wurden neue Nebenwirkungen von der Impfgegnerszene in den Raum gestellt. Die Mutmaßungen, dass Allergien, Asthma, Diabetes mellitus oder Morbus Crohn durch Impfungen ausgelöst würden, konnten allesamt nicht bestätigt werden. Beispielsweise behauptete der ehemalige[164] britische Chirurg Andrew Wakefield 1998 einen Zusammenhang zwischen der MMR-Impfung und dem Auftreten von Autismus. Es stellte sich jedoch heraus, dass Wakefield seine Untersuchungen gefälscht hatte. Die Angehörigen von Autismus-Betroffenen hatten Wakefield 3,5 Millionen britische Pfund dafür bezahlt. Wakefield hat mittlerweile ein Berufsverbot in Großbritannien, seine Veröffentlichungen wurden zurückgezogen (siehe auch der Wakefield-Fall). Dem postulierten Zusammenhang ist in der Zwischenzeit in einer Vielzahl von Studien als sehr unwahrscheinlich widersprochen worden.[153][165][166] In einer am 5. März 2019 veröffentlichten Studie aus Dänemark wurde nach der Auswertung von 657.000 geimpften Kindern erneut der Zusammenhang zwischen einer Masernimpfung und Autismus widerlegt.[167]
Die Impfung gegen Masern gilt als notwendig und sicher; die Studien zur Untersuchung der Nebenwirkungen der MMR(V)-Impfung sind mittlerweile ausführlich genug und bezüglich des Studiendesigns teilweise adäquat.[153] Ende 2013 hat das Paul-Ehrlich-Institut (PEI) alle vom 1. Januar 2001 bis 31. Dezember 2012 gemeldeten Verdachtsfälle ausgewertet. Es konnte kein neues Risikosignal entdeckt werden, damit bleibt das PEI bei einer positiven Risiko-Nutzen-Bewertung der monovalenten und kombinierten Masernimpfstoffe.[168]
Postexpositionsprophylaxe
Bei abwehrgeschwächten Patienten kann der Ausbruch durch eine passive Immunisierung mit humanem Immunglobulin innerhalb von drei Tagen eventuell verhindert oder abgeschwächt werden (mitigierter Verlauf). Bei immungesunden ungeimpften oder nur einmal geimpften Kontaktpersonen ohne Antikörpernachweis (seronegativ) ist innerhalb desselben Zeitraumes die aktive Immunisierung wie oben beschrieben angezeigt. Durch diese sogenannte Riegelungsimpfung soll das weitere Ausbreiten im Epidemiefall verhindert werden.[95]
Masern und Schwangerschaft
Der Kenntnisstand über mögliche Schäden einer Maserninfektion während einer Schwangerschaft ist nur unzureichend. Möglicherweise erhöht die Erkrankung die Rate der Komplikationen bei der Mutter, ein fruchtschädigender Einfluss der Masern kann im Moment weder bewiesen noch ausgeschlossen werden, wird jedoch im Falle des Bestehens für sehr klein gehalten. Ein typisches Fehlbildungsmuster wie bei den Röteln besteht nicht. Es kann zu einer Frühgeburt oder einem Spontanabort kommen. Eine Erkrankung während der Geburt muss nicht notwendigerweise eine Infektion des Neugeborenen verursachen. Solche perinatal (in der Geburtsphase) erworbene Masern gehen beim Kind jedoch mit erhöhten Komplikationsraten einher.[99]
Schwangere, die an Masern erkrankt sind, sollten medizinisch beobachtet werden, eine invasive pränatale Diagnostik ist nicht empfohlen. Die Behandlung erfolgt symptomorientiert. Unter Umständen kann eine Immunglobulin-Gabe indiziert sein (s. o.).
Die MMR-Impfung wird mit einem Lebendimpfstoff durchgeführt und ist deshalb in der Schwangerschaft nicht angezeigt (kontraindiziert). Eine versehentliche Impfung mit MMR in einer Schwangerschaft stellt jedoch keinen Grund zum Schwangerschaftsabbruch dar.[169]
Geschichte


Erste Berichte über die Masern sollen aus dem 7. Jahrhundert stammen und wurden durch den persischen Arzt Rhazes (Abu Bakr Mohammad Ibn Zakariya al-Razi) einem jüdischen Arzt („al-Yehudi“) zugeschrieben.[170] 910 erfolgte die erste bekannte ausführliche Beschreibung der Masern[52] durch Rhazes, der sie als hasbah (arabisch für „Ausbruch“) bezeichnete.[171] Zudem gab er an, sie wären „mehr gefürchtet als die Pocken“.[100] Auch wenn er die beiden Krankheiten differenzierte, so ging er (und auch andere) davon aus, dass sie eng miteinander verwandt seien.[171] Zudem nahm er an, dass die Masern nicht ansteckend seien.
Berichte aus der Antike lassen sich nicht finden, so werden die Masern weder in den Texten Hippokrates’ noch in denen seines Nachfolgers Galen überliefert.[172] Auch im Römischen Reich wurden die Masern nicht beschrieben; linguistische Analysen weisen darauf hin, dass die Masern in Europa erst im Frühmittelalter in Erscheinung getreten sind und entsprechend benannt wurden.[52] Dort wurden sie erstmals als „Rubeola“ bzw. „Morbilli“ bezeichnet. Morbilli ist dabei das Diminutiv von Morbus (Krankheit), mit letzterem hatte man damals die Pest gemeint.[171] Bis zumindest Ende des 19. Jh. wurde auch der eingedeutschte Plural „Morbillen“ verwendet. Die englische Bezeichnung „measles“ stammt wahrscheinlich von „mesels“ ab, die anglisierte Form von „misellus“, was wiederum das Diminutiv von „miser“ (Elend) ist.
Trotz dieser frühen Berichte wurde daher auch vermutet, das Masernvirus sei erst im 11. oder 12. Jahrhundert evolutionär aus dem Rinderpestvirus hervorgegangen.[173]
Mittels RNA-Sequenzierung des Lungenpräparates eines 1912 an Masern verstorbenen Mädchens und im Vergleich mit jüngeren RNA-Proben konnte eine Molekulare Uhr erstellt werden, der zufolge der Zeitpunkt des Übergangs auf den Menschen bereits im 6. Jahrhundert v. Chr. liegen könnte.[85] Ausschlaggebend für den Übergang auf den Menschen sei möglicherweise das Entstehen größerer Städte mit ausreichender Bevölkerungsdichte gewesen, in denen das Virus auf Dauer zirkulieren kann.
Im Mittelalter forderten die Masern aufgrund ausgedehnter Epidemien viele Todesopfer. Nach der Entdeckung Amerikas starb ein großer Teil der einheimischen Bevölkerung an den aus Europa importierten Krankheiten wie Masern, Pocken, Keuchhusten und Typhus. Der Grund dafür war, dass die einheimischen Populationen keinerlei Immunität gegen diese Erreger aufwiesen.[174] So kam es in Santo Domingo (1519), Guatemala (1523) und Mexiko (1531) zu verheerenden Masernepidemien. Im Jahre 1529 kam es zu einer sich über Honduras und Mittelamerika ausbreitenden Masernepidemie, die zwei Drittel der Überlebenden der zuvor ausgebrochenen Pockenepidemie das Leben kostete.[175]
Das Phänomen, dass das Masernvirus dann eine hohe Letalität zeigt, wenn es auf eine zuvor unberührte, nicht-immune Bevölkerung trifft, findet sich mehrfach auch im 19. Jahrhundert. So starben 40.000 der 148.000 Einwohner von Hawaii im Jahre 1848 und etwa ein Viertel der Bevölkerung der Fidschi-Inseln 1874.[176]
Im 17. Jahrhundert war es das Verdienst Thomas Sydenhams, während einer großen Epidemie in London die Masern als eigenständige Krankheit vom Scharlach und anderen fieberhaften ansteckenden exanthemischen Krankheiten, vor allem den mit Masern lange Zeit verwechselten Pocken und Röteln (German measles)[177] abzugrenzen.[178] 1882 veröffentlichte der französische Arzt Antoine Louis Gustave Béclère seine Aufsehen erregende Arbeit Die Ansteckung mit Masern. (Die französische Bezeichnung der Masern ist rougeole). Er und weitere französische Kliniker erreichten, dass die Masern im 19. Jahrhundert endgültig als eigenständige Krankheitseinheit gegenüber den anderen Erkrankungen mit Hautausschlägen wie den Röteln abgegrenzt wurden. Im Zuge einer Masern-Epidemie auf den Färöer-Inseln erfolgte eine epidemiologische und klinische Präzisierung[179] der Unterschiede von Scharlach und Masern.
1911 gelang es Joseph Goldberger und John F. Anderson[180] erstmals, Affen mit Masern zu infizieren.[181][182] 1927 entwickelte Rudolf Degkwitz die passive Masernschutzimpfung (Postexpositionsprophylaxe).[183] 1954 wurde das Virus von Enders und Thomas C. Peebles erstmals isoliert[184] und gezüchtet.[182] Dies führte 1958 zur Entwicklung des ersten Impfstoffes, der ab 1963 allgemein erhältlich war.
Die Arbeitsgemeinschaft Masern und Varizellen wurde 1999 gegründet.
Literatur
- Masern. RKI-Ratgeber Infektionskrankheiten – Merkblätter für Ärzte. Robert Koch-Institut. Aktualisiert am 23. Juli 2021
- Paul Gastanaduy et al.: Measles. In: Epidemiology & Prevention of Vaccine-Preventable Diseases – “The Pink Book”, 14. Auflage, 2021. Public Health Foundation, S. 193–206 (englisch) cdc.gov (PDF; 113 kB).
- William J. Moss: Measles. In: The Lancet. Band 390, Nr. 10111, 2. Dezember 2017, S. 2490–2502, doi:10.1016/S0140-6736(17)31463-0, PMID 28673424.
- Andrea Misin et al.: Measles: An Overview of a Re-Emerging Disease in Children and Immunocompromised Patients. In: Microorganisms. Band 8, Nr. 2, 18. Februar 2020, doi:10.3390/microorganisms8020276, PMID 32085446, PMC 7074809 (freier Volltext) – (englisch).
Weblinks
- Masern – Informationen des Robert Koch-Instituts
- Weiterführende Informationen. WHO (englisch)
- Alice Wittig: VacMap - Masern-Impfquoten in Deutschland. Brockmann Lab - Institut für Biologie - Humboldt Universität zu Berlin + RKI, 2017, abgerufen am 6. März 2020.
- Volker Schuster: Was wir über die Masernimpfung wissen sollten. In: Kinder- und Jugendmedizin. Band 20, Nr. 2, April 2020, S. 83–92, doi:10.1055/a-1113-3316.
Einzelnachweise
- ↑ PAHO/WHO Scientific and Technical Material. „Measles Rubella Weekly Bulletin“, (52), 27. Dezember 2014
- ↑ Kristin Kahl: Umgang mit Masern. Berliner Impfbeirat veröffentlicht Empfehlungen. In: Deutsches Ärzteblatt. Jahrgang 121, Heft 7, 5. April 2024, S. B 417 (Online-Quelle).
- ↑ William J. Moss, Peter M. Strebel: Measles Vaccines. in Walter A. Orenstein, Paul A. Offit, Kathryn M. Edwards, Stanley A. Plotkin: Plotkin's Vaccines. 8. Auflage, Philadelphia, 2024, S. 637
- ↑ RKI-Ratgeber:Masern, Stand 23. Juli 2021; abgerufen am 11. August, 2024
- ↑ a b c WHO: Global summary on measles, 2006.
- ↑ Plan of Action for the Documentation and Verification of Measles, Rubella, and Congenital Rubella Syndrome Elimination in the Region of the Americas. Pan American Health Organization, 2011, abgerufen am 18. September 2014.
- ↑ Eine Übersicht bietet Measles History. ( vom 11. Januar 2005 im Internet Archive) Website des CDC, Center for Disease Control and Prevention (englisch).
- ↑ William J Moss: Measles Still Has a Devastating Impact in Unvaccinated Populations. In: PLoS Medicine, 4, 2007, S. e24, doi:10.1371/journal.pmed.0040024. PMID 17199409
- ↑ WHO-UNICEF joint statement on strategies to reduce measles mortality worldwide. In: Weekly epidemiological record, 27, 77, 2002, S. 221–228; PMID 12125242, who.int (PDF; 158 kB)
- ↑ Impfquote gemäß WUENIC (WHO/UNICEF) 2022: WHO, Abruf: 2022-04-30; Infektionen gemäß WHO 2015
- ↑ Claude P. Muller et al.: Reducing global disease burden of measles and rubella: report of the WHO Steering Committee on research related to measles and rubella vaccines and vaccination, 2005. In: Vaccine. Band 25, Nr. 1, 2. Januar 2007, S. 1–9, doi:10.1016/j.vaccine.2006.07.039, PMID 17262908.
- ↑ a b c d e Jorge Barinaga, Paul Skolnik: Epidemiology and transmission of measles. Review, UpToDate v15.1, 2007.
- ↑ Artikel. In: ÄrzteZeitung, 24. April 2012. WHO: Masern-Sterblichkeit weiter zu hoch. In: Ärzteblatt, 24. April 2012.
- ↑ Mehr als 200.000 Tote weltweit durch Masern. In: Deutsches Ärzteblatt. 13. November 2020, abgerufen am 17. November 2020.
- ↑ Mehr Tote als durch Ebola: Im Kongo tobt verheerende Masernepidemie. In: t-online.de. 9. Januar 2020, abgerufen am 12. Januar 2020.
- ↑ a b 05/2003. (PDF, 98 kB) Epidemiologisches Bulletin, Robert-Koch-Institut
- ↑ Masernvirus breitet sich weiter in der Europäischen Region aus: WHO fordert Mitgliedstaaten zur Intensivierung ihrer Gegenmaßnahmen auf, WHO-Pressemitteilung vom 25. Oktober 2011.
- ↑ Wolfgang Geissel: WHO: Zahl der Masernfälle in Europa explodiert. ÄrzteZeitung, 8. Februar 2019, abgerufen am 12. Januar 2020.
- ↑ 30-facher Anstieg der Masernfälle im Jahr 2023 sorgt für dringenden Handlungsbedarf in der Europäischen Region der WHO. WHO, 14. Dezember 2023, abgerufen am 5. Februar 2024.
- ↑ Ciro A. De Quadros et al.: Progress toward measles eradication in the region of the Americas. In: The Journal of Infectious Diseases. 187 Suppl 1, 15. Mai 2003, S. 102–110, doi:10.1086/368032, PMID 12721900.
- ↑ C. A. de Quadros: Can measles be eradicated globally? In: Bull World Health Organ, 2004 Feb;82 (2), S. 134–138. PMID 15042236.
- ↑ W. L. Atkinson, W. A. Orenstein, S. Krugman: The resurgence of measles in the United States, 1989–1990. In: Annu Rev Med., 1992;43, S. 451–163, PMID 1580601
- ↑ Minta AA, Ferrari M, Antoni S, Portnoy A, Sbarra A, Lambert B, Hatcher C, Hsu CH, Ho LL, Steulet C, Gacic-Dobo M, Rota PA, Mulders MN, Bose AS, Caro WP, O'Connor P, Crowcroft NS. Progress Toward Measles Elimination - Worldwide, 2000-2022. MMWR Morb Mortal Wkly Rep. 2023 Nov 17;72(46):1262-1268. doi:10.15585/mmwr.mm7246a3. PMID 37971951
- ↑ Measles Cases and Outbreaks. In: cdc.gov. 3. Juli 2019, abgerufen am 11. Juli 2019 (englisch).
- ↑
2001–2019: Eliminationsprogramme - Epidemiologische Situation der Masern und Röteln in Deutschland in 2020. RKI, 1. März 2021, archiviert vom am 10. Dezember 2020; abgerufen am 8. Mai 2021.
2012–2023: Epidemiologische Situation der Masern und Röteln in Deutschland in 2023 (Stand: 1. März 2024), Robert Koch Institut, abgerufen am 12. Oktober 2024. - ↑ Masern: Situationsbericht 2005, Ausbrüche in Baden-Württemberg und Nordrhein-Westfalen im 1. Halbjahr 2006. In: Epidemiologisches Bulletin 27/2006 des RKI, 7. Juli 2006, rki.de: S. 206 (PDF; 140 kB)
- ↑ Stefan Handel: Masern-Epidemie in München. In: Süddeutsche Zeitung. 5. Juni 2013, S. R1 (München-Ausgabe).
- ↑ Epidemiologisches Bulletin 33/2014 (PDF; 150 KB) des Robert-Koch-Instituts
- ↑ SurvStat@RKI 2.0. In: survstat.rki.de. Abgerufen am 6. Januar 2016.
- ↑ Masern: Zu den Masernausbrüchen in Berlin sowie in Bosnien und Herzegowina. Robert-Koch-Institut, 2. Februar 2015, abgerufen am 26. Februar 2015 (Link zum Epid. Bulletin 5/2015).
- ↑ Aktuelle Epidemiologie und Impfquoten – Wer erkrankt in Deutschland an Masern? (PDF; 128 KB)
- ↑ Die Auswirkungen der COVID-19-Pandemie und assoziierter Public-Health-Maßnahmen auf andere meldepflichtige Infektionskrankheiten in Deutschland (MW 1/2016 – 32/2020). (PDF) In: rki.de. Robert Koch-Institut, 18. Februar 2021, abgerufen am 13. Februar 2021 (Online-Vorab-Veröffentlichung aus dem Epidemiologischen Bulletin).
- ↑ Rafaela von Bredow, Lukas Eberle, Jan Friedmann, Michael Fröhlingsdorf, Annette Großbongardt, Veronika Hackenbroch, Julia Amalia Heyer, Dietmar Hipp, Julia Koch, Dirk Kurbjuweit, Cornelia Schmergal: Stich fürs Leben. In: Der Spiegel. Nr. 14, 2019, S. 12–19 (online).
- ↑ Cosima Gill, Markus Pohl: Wie Impfgegner und Impffaule das Leben von Kindern in Gefahr bringen. rbb online, 11. April 2019, abgerufen am 11. Juli 2019.
- ↑ Alina Schadwinkel, Sven Stockrahm: Masern: Schluss mit den Masern-Mythen! In: Zeit Online. 23. Februar 2015, abgerufen am 11. Juli 2019.
- ↑ Komplikationen bei Masernerkrankungen keine Seltenheit. Deutsches Ärzteblatt, 28. November 2019, abgerufen am 1. Dezember 2019.
- ↑ RKI-Ratgeber: Masern, Stand vom 14. November 2024; abgerufen am 18. Januar 2025
- ↑ a b Heidemarie Holzmann: Rückblick auf den Masernausbruch 2008. ( vom 2. April 2015 im Internet Archive; PDF) In: Virusepidemiologische Information, Nr. 14/09-3, des Department für Virologie der Medizinischen Universität Wien
- ↑ Information des Bayerischen Landesamtes für Gesundheit und Lebensmittelsicherheit; abgerufen am 1. März 2015.
- ↑ Sentinellameldungen Juni 1986–April 2003: Masern. In: Bundesamt für Gesundheit, Abteilung Epidemiologie und Infektionskrankheiten, Bulletin, 23, Juni 2003; bag-anw.admin.ch ( vom 16. November 2011 im Internet Archive; PDF; 50 kB)
- ↑ Masern. ( vom 7. Juli 2016 im Internet Archive) Bundesamt für Gesundheit. Masern ( vom 10. Juni 2017 im Internet Archive) Bundesamt für Gesundheit.
- ↑ Masern weiter auf dem Vormarsch ( vom 29. April 2008 im Internet Archive). In: Tages-Anzeiger, 25. März 2008.
- ↑ Masernepidemie in Waadtländer Schulhaus: 40 Teenager krank. In: Berner Zeitung, 11. Februar 2009.
- ↑ a b Erster Masern-Toter in der Schweiz seit Jahren. Tages-Anzeiger; abgerufen am 28. März 2017
- ↑ Medienmitteilung der Schule. ( vom 4. März 2012 im Internet Archive; PDF; 78 kB) 16. Januar 2011.
- ↑ Zahlen zu Infektionskrankheiten. Bundesamt für Gesundheit, ehemals im (nicht mehr online verfügbar); abgerufen am 8. Juni 2017. (Seite nicht mehr abrufbar. Suche in Webarchiven) Info: Der Link wurde automatisch als defekt markiert. Bitte prüfe den Link gemäß Anleitung und entferne dann diesen Hinweis.
- ↑ Zwei Masern-Tote in der Schweiz. In: tagesanzeiger.ch. 2. Mai 2019, abgerufen am 2. Mai 2019.
- ↑ Karin Erni: Deutlich mehr Masern-Fälle in der Schweiz: Appenzell Innerrhoden empfiehlt Impfung. In: tagblatt.ch. 20. Mai 2019, abgerufen am 20. Mai 2019.
- ↑ Masern – Lagebericht Schweiz. Bundesamt für Gesundheit
- ↑ a b Daniel Lingenhöhl: Impfen: Warum Masern immer wieder den Bibelgürtel heimsuchen. In: Spektrum.de. 25. Januar 2019, abgerufen am 29. Februar 2020.
- ↑ Measles outbreak – Netherlands, April 1999 – January 2000. Centers for Disease Control and Prevention (CDC), MMWR Morb Mortal Wkly Rep., 2000 Apr 14;49(14), S. 299–303; PMID 10825086. Measles. Rijksinstituut voor Volksgezondheid en Milieu
- ↑ a b c Bartosz Lisowski, Steven Yuvan, Martin Bier: Outbreaks of the measles in the Dutch Bible Belt and in other places – New prospects for a 1000 year old virus. In: Biosystems. Band 177, 1. März 2019, S. 16–23, doi:10.1016/j.biosystems.2019.01.003.
- ↑ Centers for Disease Control and Prevention (CDC): Measles Epidemic Attributed to Inadequate Vaccination Coverage – Campania, Italy, 2002. In: MMWR Morb Mortal Wkly Rep, 2003 Oct 31;52 (43), S. 1044–1047. PMID 14586297
- ↑ a b Italien mit Masern-Epidemie konfrontiert. In: Wiener Zeitung. 31. Januar 2019, abgerufen am 3. März 2020.
- ↑ Masern: Italien führt Impfpflicht für Kinder ein. In: Die Zeit. Hamburg 19. Mai 2017 (zeit.de [abgerufen am 3. März 2020]).
- ↑ a b Berit Uhlmann: Finnland: Europas Erfolgsgeschichte. Süddeutsche Zeitung, 25. Februar 2015, abgerufen am 3. Dezember 2019.
- ↑ Finnischer Rundfunk YLE
- ↑ Octavian Coman Temeswar: Rumäniens vermeidbare Epidemie. In: Neue Zürcher Zeitung. 14. März 2018, abgerufen am 3. März 2020.
- ↑ a b Robert T. Perry, Neal A. Halsey: The Clinical Significance of Measles: A Review. In: The Journal of Infectious Diseases. Band 189, Supplement_1, 1. Mai 2004, S. 4–16, doi:10.1086/377712.
- ↑ Sandra W. Roush et al.: Historical comparisons of morbidity and mortality for vaccine-preventable diseases in the United States. In: JAMA. Band 298, Nr. 18, 14. November 2007, S. 2155–2163, doi:10.1001/jama.298.18.2155, PMID 18000199.
- ↑ Jan Hendriks, Stuart Blume: Measles Vaccination Before the Measles-Mumps-Rubella Vaccine. In: American Journal of Public Health. Band 103, Nr. 8, August 2013, S. 1393–1401, doi:10.2105/AJPH.2012.301075, PMID 23763422, PMC 4007870 (freier Volltext).
- ↑ a b Nina Barth: Höchststand seit Jahrzehnten Masern in den USA weiter auf dem Vormarsch:. In: tagesschau.de. 14. Juli 2025, abgerufen am 16. Juli 2025.
- ↑ Reported Cases and Deaths from Vaccine Preventable Diseases, United States (pdf), Centers for Disease Control and Prevention (CDC), abgerufen am 30. Juli 2018.
- ↑ Mathis AD, Raines K, Masters NB, Filardo TD, Kim G, Crooke SN, Bankamp B, Rota PA, Sugerman DE. Measles - United States, January 1, 2020-March 28, 2024. MMWR Morb Mortal Wkly Rep. 2024 Apr 11;73(14):295-300. doi:10.15585/mmwr.mm7314a1. PMID 38602886
- ↑ Michael Remke: Impfgegner lösen Masernausbruch unter Einwanderern aus. Welt Online, 11. Mai 2017; abgerufen am 5. März 2019. Laut CDC-Homepage 75 Fälle.
- ↑ a b Measles. Cases and Outbreaks
- ↑ CDC: At Least 206 Measles Cases In U.S. This Year. „WLTZ“ 38 NBC, 5. März 2019, abgerufen am 5. März 2019.
- ↑ a b US-Gesundheitsbehörde: USA registrieren höchste Zahl an Masernfällen seit 20 Jahren. In: Zeit Online. 25. April 2019, abgerufen am 26. April 2019.
- ↑ Für Teile Brooklyns: New York verhängt Masern-Notstand. In: Spiegel Online. 10. April 2019, abgerufen am 26. April 2019.
- ↑ Die USA erleben ihr schlimmstes Masernjahr seit mehr als drei Jahrzehnten. In: indeksonline.net. 9. Juli 2025, abgerufen am 16. Juli 2025.
- ↑ Measles Cases and Outbreaks. In: cdc.gov. CDC, 16. Juli 2025, abgerufen am 16. Juli 2025 (englisch): „As of July 15, 2025, a total of 1,309 confirmed* measles cases were reported by 40 jurisdictions […].“
- ↑ a b c d Arlene King et al.: Measles Elimination in Canada. In: The Journal of Infectious Diseases. Band 189, Supplement_1, 1. Mai 2004, S. 236–242, doi:10.1086/378499.
- ↑ a b P. Duclos et al.: Measles in adults in Canada and the United States: implications for measles elimination and eradication. In: International Journal of Epidemiology. Band 28, Nr. 1, Februar 1999, S. 141–146, doi:10.1093/ije/28.1.141, PMID 10195679.
- ↑ a b Gaston De Serres et al.: Measles in Canada Between 2002 and 2013. In: Open Forum Infectious Diseases. Band 2, Nr. 2, 15. April 2015, doi:10.1093/ofid/ofv048, PMID 26110163, PMC 4473108 (freier Volltext).
- ↑ Gaston De Serres et al.: Largest measles epidemic in North America in a decade--Quebec, Canada, 2011: contribution of susceptibility, serendipity, and superspreading events. In: The Journal of Infectious Diseases. Band 207, Nr. 6, 15. März 2013, S. 990–998, doi:10.1093/infdis/jis923, PMID 23264672.
- ↑ Aaron Derfel: Quebec’s measles vaccination program keeps virus at bay. In: The Gazette (Montreal). 29. April 2014, abgerufen am 7. Oktober 2020 (englisch).
- ↑ a b Measles in an unvaccinated population, 2014. Public Health Agency of Canada, 30. Juni 2015, abgerufen am 7. Oktober 2020 (englisch).
- ↑ Medical News Today: CDC Urges Travelers To Israel To Protect Themselves From Measles ( vom 27. Dezember 2010 im Internet Archive) vom 15. April 2008.
- ↑ a b The Statesman: DRP Korea and Timor-Leste eliminate measles, six countries achieve rubella control, 3. August 2018, abgerufen am 4. August 2018.
- ↑ Inayat Ur Rehman, Allah Bukhsh, Tahir Mehmood Khan: Measles in Pakistan: Time to make steps towards eradication. In: Travel Medicine and Infectious Disease, 18, 2017, S. 67–69, doi:10.1016/j.tmaid.2017.08.002
- ↑ Measles Outbreak 2009 National Institute for Communicable Diseases, 21. Dezember 2011. – Communicable Diseases Surveillance Bulletin – Identifying high-risk areas for sporadic measles outbreaks: lessons from South Africa. WHO, doi:10.2471/BLT.12.110726.
- ↑ Josephin Mosch: Masern-Impfung: Impf-Erfolg mit Nebenwirkungen in Tansania. Hrsg.: Bayerischer Rundfunk. 15. Oktober 2017 (br.de [abgerufen am 10. Mai 2020]).
- ↑ Dürre in Somalia: Mit toten Kindern auf der Flucht. In: Der Spiegel. 3. Oktober 2022, ISSN 2195-1349 (spiegel.de [abgerufen am 3. Oktober 2022]).
- ↑ Inselstaat Samoa hebt Masern-Notstand auf. Bayerischer Rundfunk, 29. Dezember 2019, abgerufen am 7. Januar 2020.
- ↑ a b Ariane Düx et al.: Measles virus and rinderpest virus divergence dated to the sixth century BCE. In: Science, Band 368, Nr. 6497, 2020, S. 1367–1370, doi:10.1126/science.aba9411.
- ↑ a b c Brigitta M. Laksono et al.: Measles Virus Host Invasion and Pathogenesis. In: Viruses. Band 8, Nr. 8, 28. Juli 2016, doi:10.3390/v8080210, PMID 27483301, PMC 4997572 (freier Volltext).
- ↑ Y. Yanagi et al.: Measles virus receptors and tropism. ( vom 18. Oktober 2007 im Internet Archive) In: Jpn J Infect Dis, 2006 Feb, 59 (1), S. 1–5. PMID 16495625
- ↑ Measles virus nomenclature update: 2012. In: Releve Epidemiologique Hebdomadaire. Band 87, Nr. 9, 2. März 2012, S. 73–81, PMID 22462199.
- ↑ W. J. Bellini, P. A. Rota: Genetic diversity of wild-type measles viruses: implications for global measles elimination programs. In: Emerg Infect Dis., 1998, 4(1), S. 29–35. PMID 9452396.
- ↑ Measles and Rubella Surveillance Data. WHO, 13. März 2020, abgerufen am 30. März 2020 (englisch).
- ↑ Epidemiologisches Bulletin 37/2007. (PDF; 985 kB) Robert-Koch-Institut
- ↑ a b Köhler et al.: Medizinische Mikrobiologie, S. 641–644.
- ↑ Wilhelm Reubold: Beiträge zur Lehre vom Soor. Reimer, Berlin 1854, S. 4.
- ↑ Andreas Mettenleiter: Das Juliusspital in Würzburg. Band III: Medizingeschichte. Herausgegeben vom Oberpflegeamt der Stiftung Juliusspital Würzburg anlässlich der 425jährigen Wiederkehr der Grundsteinlegung. Stiftung Juliusspital Würzburg, Würzburg 2001, ISBN 3-933964-04-0, S. 526, 549, 831 und 837.
- ↑ a b c d e f g h i Masern. In: RKI-Ratgeber. Robert Koch-Institut, 19. Mai 2014, abgerufen am 7. Dezember 2018.
- ↑ J. D. Cherry: Textbook of pediatric infectious diseases. 5. Auflage. WB Saunders, Philadelphia 2004, S. 2292–2293.
- ↑ K. Dittrich: Masernvirus bei Erwachsenen ( vom 9. Mai 2015 im Internet Archive). 2010.
- ↑ a b Harrisons Innere Medizin (2005), S. 1232–1235.
- ↑ a b c d Jorge Barinaga, Paul Skolnik: Clinical presentation and diagnosis of measles. Review, UpToDate v15.1, 2007.
- ↑ a b Measles. In: Epidemiology & Prevention of Vaccine-Preventable Diseases – “The Pink Book”, 9. Auflage. Public Health Foundation, S. 131–144, cdc.gov (PDF; 112 kB)
- ↑ Website des CDC: Complications of Measles Disease
- ↑ Masern-Factsheet ( vom 21. März 2012 im Internet Archive) auf der Website der European Centres for Disease Prevention and Control, abgerufen am 16. April 2012.
- ↑ A. F. Freeman et al.: A new complication of stem cell transplantation: measles inclusion body encephalitis. In: Pediatrics, 2004, 114 (5), S. e657-60, PMID 15520095. ISSN 0031-4005 pediatrics.aappublications.org (PDF; 157 kB)
- ↑ A. Bitnun et al.: Measles inclusion-body encephalitis caused by the vaccine strain of measles virus. In: Clin Infect Dis., 1999, 29 (4), S. 855–861; PMID 10589903.
- ↑ H. T. Chong et al.: Subacute measles encephalitis: A case of long term survival with follow-up MR brain scans. In: Neurology Asia, 2007, 12, S. 121–125, neurology-asia.org (PDF; 1,1 MB)
- ↑ a b Hasan Kweder et al.: Measles Virus: Identification in the M Protein Primary Sequence of a Potential Molecular Marker for Subacute Sclerosing Panencephalitis. In: Advances in Virology. Band 2015, 2015, S. 769837, doi:10.1155/2015/769837, PMID 26587021, PMC 4637438 (freier Volltext).
- ↑ H. Hotta, D. P. Jiang, M. Nagano-Fujii: SSPE virus and pathogenesis. In: Nippon Rinsho. 2007 Aug;65(8), S. 1475–1480. PMID 17695286
- ↑ a b c Sidra K Jafri, Raman Kumar, Shahnaz H Ibrahim: Subacute sclerosing panencephalitis – current perspectives. In: Pediatric Health, Medicine and Therapeutics. Band 9, 26. Juni 2018, S. 67–71, doi:10.2147/PHMT.S126293, PMID 29985487, PMC 6027681 (freier Volltext).
- ↑ Diskussion um die Masernimpfung; 44: 85-87. In: arznei-telegramm. 11. Oktober 2013 (arznei-telegramm.de [abgerufen am 2. Januar 2020]).
- ↑ Robert-Koch-Institut-Berlin: „Epidemiologisches Bulletin“, Dez. 2013 (PDF; 128 KB)
- ↑ W. J. Bellini et al.: Subacute sclerosing panencephalitis: more cases of this fatal disease are prevented by measles immunization than was previously recognized. In: J Infect Dis, 2005, 192(10), S. 1686–1693. PMID 16235165
- ↑ a b c d e f g h Andrea Misin et al.: Measles: An Overview of a Re-Emerging Disease in Children and Immunocompromised Patients. In: Microorganisms. Band 8, Nr. 2, 18. Februar 2020, doi:10.3390/microorganisms8020276, PMID 32085446, PMC 7074809 (freier Volltext).
- ↑ a b J. I. Morrow et al.: Subacute sclerosing panencephalitis in Northern Ireland: twenty years’ experience. In: The Ulster Medical Journal. Band 55, Nr. 2, Oktober 1986, S. 124–130, PMID 3811010, PMC 2448355 (freier Volltext).
- ↑ James R. Dawson: Cellular Inclusions in Cerebral Lesions of Lethargic Encephalitis. In: The American Journal of Pathology. Band 9, Nr. 1, Januar 1933, S. 7–16.3, PMID 19970059, PMC 2062741 (freier Volltext).
- ↑ L. van Bogaert und J. De Busscher: Sur la sclérose inflammatoire de la substance blanche des hemisphéres (Spielmeyer). Hrsg.: Rev. neurol. Band 71, Nr. 679, 1939.
- ↑ J. H. Connolly et al.: Measles-virus antibody and antigen in subacute sclerosing panencephalitis. In: The Lancet. Band 1, Nr. 7489, 11. März 1967, S. 542–544, doi:10.1016/s0140-6736(67)92117-4, PMID 4163906.
- ↑ a b c d William J. Moss: Measles. In: The Lancet. Band 390, Nr. 10111, 2. Dezember 2017, S. 2490–2502, doi:10.1016/S0140-6736(17)31463-0.
- ↑ Maya Wei-Haas: Masernimpfungen schützen nicht nur vor Masern. NatGeoDeutschland, 5. März 2019, abgerufen am 27. August 2019.
- ↑ Alina Schadwinkel: Infektionskrankheit: Die Masernimpfung ist ein Rundum-Schutz-Paket. 7. Mai 2015, abgerufen am 19. Dezember 2018.
- ↑ Velislava N. Petrova et al.: Incomplete genetic reconstitution of B cell pools contributes to prolonged immunosuppression after measles. In: Science Immunology. Band 4, Nr. 41, 1. November 2019, doi:10.1126/sciimmunol.aay6125, PMID 31672862.
- ↑ Measles infection wipes our immune system’s memory, leaving us vulnerable to other diseases. In: sanger.ac.uk. Sanger Institut, 31. Oktober 2019, abgerufen am 1. November 2019 (englisch).
- ↑ Annika Röcker: Immunsystem: Masern als Gedächtniskiller. Spektrum.de, 31. Oktober 2019, abgerufen am 23. November 2019.
- ↑ a b Measles. WHO, 5. Dezember 2019, abgerufen am 5. Februar 2020 (englisch).
- ↑ a b Masern. RKI-Ratgeber Infektionskrankheiten – Merkblätter für Ärzte. Robert Koch-Institut. Stand 09/2010.
- ↑ M. J. Ferson et al.: Difficulties in clinical diagnosis of measles: proposal for modified clinical case definition. In: The Medical Journal of Australia. Band 163, Nr. 7, 2. Oktober 1995, S. 364–366, doi:10.5694/j.1326-5377.1995.tb124630.x, PMID 7565261.
- ↑ S. A. Oliveira et al.: Assessment of the performance of a definition of a suspected measles case: implications for measles surveillance. In: Rev Panam Salud Publica. 2006 Apr;19(4), S. 229–235. PMID 16723063
- ↑ RKI-Ratgeber: Masern, Stand vom 14. November 2024; abgerufen am 18. Januar 2025
- ↑ RKI Empfehlungen und Hinweise zur Labordiagnostik bei Masern, Stand vom November 2024; abgerufen am 18. Januar 2025
- ↑ Sean Kostolansky; James R. Waymack: "Erythema Infectiosum (Fifth Disease)", Abschnitt: "Differential Diagnosis"
- ↑ a b Cornelia Henke-Gendo: Paramyxoviren. In: Sebastian Suerbaum, Gerd-Dieter Burchard, Stefan H. E. Kaufmann, Thomas F. Schulz (Hrsg.): Medizinische Mikrobiologie und Infektiologie. Springer-Verlag, 2016, ISBN 978-3-662-48678-8, S. 492, doi:10.1007/978-3-662-48678-8_60.
- ↑ Aamer Imdad et al.: Vitamin A supplementation for preventing morbidity and mortality in children from six months to five years of age. In: The Cochrane Database of Systematic Reviews. Band 3, 11. März 2017, S. CD008524, doi:10.1002/14651858.CD008524.pub3, PMID 28282701.
- ↑ a b c d e David Bekhor, Jorge Barinaga, Paul Skolnik: Prevention and treatment of measles. Review, UpToDate v15.1, 2007.
- ↑ Rene F. Najera: Vitamin A and Measles. In: History of Vaccines. 12. März 2019, archiviert vom (nicht mehr online verfügbar) am 26. Juni 2019; abgerufen am 5. Februar 2020 (englisch).
- ↑ A. L. Forni et al.: Severe measles pneumonitis in adults: evaluation of clinical characteristics and therapy with intravenous ribavirin. In: Clinical Infectious Diseases: An Official Publication of the Infectious Diseases Society of America. Band 19, Nr. 3, September 1994, S. 454–462, doi:10.1093/clinids/19.3.454, PMID 7811865.
- ↑ Ebru Ortac Ersoy et al.: Severe measles pneumonia in adults with respiratory failure: role of ribavirin and high-dose vitamin A. In: The Clinical Respiratory Journal. Band 10, Nr. 5, September 2016, S. 673–675, doi:10.1111/crj.12269, PMID 25619709.
- ↑ L. Dillner: The return of the measles party. In: Guardian. 26. Juli 2001, abgerufen am 13. August 2007.
- ↑ Nicole Schaenzler, Brigitte Strasser-Vogel: 300 Fragen zum Impfen. Graefe und Unzer Verlag, München 2008, ISBN 978-3-8338-1145-6, S. 149.
- ↑ Übersicht der Infektionserkrankungen und erforderliche Maßnahmen als Grundlage für Festlegungen im Hygieneplan. (PDF; 156 kB) KRINKO 2016; abgerufen am 7. März 2019
- ↑ Schutzimpfung gegen Masern: Häufig gestellte Fragen und Antworten. Robert-Koch-Institut; abgerufen am 10. März 2015.
- ↑ Markus Frühwein, Brigitte Dietz: Masern – Sicherer Schutz vor einer unterschätzten Gefahr. (PDF) In: Bayerisches Ärzteblatt. April 2016, abgerufen am 16. Mai 2019.
- ↑ Christina Hucklenbroich: Wie erkläre ich’s meinem Kind?: Warum es Streit gibt über die Masern-Impfung. In: FAZ. 27. Februar 2015 (faz.net [abgerufen am 2. Mai 2019]).
- ↑ Amra Uzicanin, Laura Zimmerman: Field effectiveness of live attenuated measles-containing vaccines: a review of published literature. In: The Journal of Infectious Diseases. 204 Suppl 1, Juli 2011, S. 133–148, doi:10.1093/infdis/jir102, PMID 21666154.
- ↑ O. Wichmann, B. Ultsch: Effektivität, Populationseffekte und Gesundheitsökonomie der Impfungen gegen Masern und Röteln. In: Bundesgesundheitsblatt - Gesundheitsforschung - Gesundheitsschutz. Band 56, Nr. 9, 1. September 2013, ISSN 1437-1588, S. 1260–1269, doi:10.1007/s00103-013-1801-7.
- ↑ a b Impfempfehlungen der Ständigen Impfkommission (STIKO), Robert Koch-Institut, Berlin 2006, rki.de (PDF; 164 kB)
- ↑ Epidemiologisches Bulletin Nr. 16/2014 (PDF; 151 KB) RKI, 22. April 2014.
- ↑ Impfplan Österreich 2017
- ↑ Kurzbericht: Evaluierung der Masern-Durchimpfungsraten, Version 1. (PDF) Bundesministerium für Gesundheit und Frauen, 9. September 2016, abgerufen am 5. April 2017.
- ↑ a b Reported estimates of MCV coverage. WHO.
- ↑ Prävention von Masern, Mumps und Röteln. Empfehlungen des Bundesamtes für Gesundheit (BAG) und der Schweizerischen Kommission für Impffragen (SKIF), bag.admin.ch (PDF; 767 kB)
- ↑ C. Storr, L. Sanftenberg, J. Schelling, U. Heininger, A. Schneider: Measles status—barriers to vaccination and strategies for overcoming them. In: Deutsches Ärzteblatt International, 2018, Band 115, S. 723–730. doi:10.3238/arztebl.2018.0723
- ↑ region of the Americas is declared free of measles. Panamerican Health Organization; abgerufen am 8. Dezember 2018
- ↑ Measles no longer endemic in 79 % of the WHO European Region. WHO; abgerufen am 8. Dezember 2018
- ↑ a b c d Carlo Di Pietrantonj et al.: Vaccines for measles, mumps, rubella, and varicella in children. In: The Cochrane Database of Systematic Reviews. Band 4, 20. April 2020, S. CD004407, doi:10.1002/14651858.CD004407.pub4, PMID 32309885, PMC 7169657 (freier Volltext).
- ↑ Masernschutzgesetz: Bundeskabinett beschließt verpflichtende Masernimpfung zeit.de, 17. Juli 2019, abgerufen am 2. Dezember 2019.
- ↑ Bundesgesetzblatt. (PDF) Abgerufen am 1. März 2020.
- ↑ Bundesverfassungsgericht - Entscheidungen - Erfolglose Verfassungsbeschwerden gegen die Pflicht zum Nachweis einer Impfung gegen Masern. In: bundesverfassungsgericht.de. 18. August 2022, abgerufen am 17. Januar 2023.
- ↑ Antworten auf häufig gestellte Fragen zur Schutzimpfung gegen Masern In: rki.de
- ↑ Pavel VAVŘIČKA contre la République tchèque et 5 autres requêtes Rs. 47621/13 u. a. (französisch) EGMR.
- ↑ EGMR zur Impfpflicht in Tschechien: Impfpficht für Kinder ist keine Menschenrechtsverletzung. Legal Tribune Online, 8. April 2021.
- ↑ Martin Wortmann: EU-Gerichtshof für Menschenrechte: Richter billigen Impfpflicht in Tschechien Ärztezeitung, 8. April 2021.
- ↑ C. Meyer, S. Reiter: Impfgegner und Impfskeptiker – Geschichte, Hintergründe, Thesen, Umgang. In: Bundesgesundheitsbl – Gesundheitsforsch – Gesundheitsschutz. Band 47, 2004, S. 1182–1188, doi:10.1007/s00103-004-0953-x.
- ↑ R. T. Chen: Vaccine risks: real perceived and unknown. In: Vaccine, 17/1999, S. 41–46; PMID 10559533
- ↑ M. Vestergaard et al.: MMR vaccination and febrile seizures: evaluation of susceptible subgroups and long-term prognosis. In: JAMA, 2004 Jul 21;292(3), S. 351–357. PMID 15265850
- ↑ MMR row doctor Andrew Wakefield struck off register The Guardian, 24. Mai 2010. Abgerufen am 24. Mai 2013.
- ↑ Kreesten Meldgaard Madsen et al.: A population-based study of measles, mumps, and rubella vaccination and autism. In: The New England Journal of Medicine. Band 347, Nr. 19, 7. November 2002, S. 1477–1482, doi:10.1056/NEJMoa021134, PMID 12421889.
- ↑ T. Jefferson: Unintended events following immunization with MMR: a systematic review. In: Vaccine. 2003 Sep 8;21(25-26), S. 3954–3960 PMID 12922131.
- ↑ MMR-Impfung ist nicht mit Autismus assoziiert. In: aerztezeitung.de. 5. März 2019, abgerufen am 8. März 2019.
- ↑ H. Meyer et al.: Sicherheit von Masernimpfstoffen. In: Bulletin zur Arzneimittelsicherheit 2013. ( vom 9. August 2014 im Internet Archive) (PDF), Ausgabe 3/2013, S. 12–14.
- ↑ Online-Informationen des Robert-Koch-Instituts
- ↑ Francis L. Black: Measles. In: Alfred S. Evans (Hrsg.): Viral Infections of Humans. Epidemiology and Control. Plenum Publishing Corporation, New York 1982; 2., überarbeitete und erweiterte Auflage. Plenum Medical Book Company, New York / London, ISBN 978-1-4613-3239-8, S. 397–418, hier: S. 397 f.
- ↑ a b c Peter M. Strebel et al.: Measles vaccine. In: Vaccines. 6. Auflage. W.B. Saunders, London 2013, ISBN 978-1-4557-0090-5, S. 352–387 (sciencedirect.com [abgerufen am 29. Juli 2020]).
- ↑ Masernvirus älter als angenommen. Deutsches Ärzteblatt, 3. Januar 2020, abgerufen am 10. Januar 2020.
- ↑ Yuki Furuse et al.: Origin of measles virus: divergence from rinderpest virus between the 11th and 12th centuries. In: Virology Journal. Band 7, Nr. 52, 4. März 2010, doi:10.1186/1743-422X-7-52, PMID 20202190, PMC 2838858 (freier Volltext).
- ↑ P. J. Bianchine, T. A. Russo: The role of epidemic infectious diseases in the discovery of America. In: Allergy Proc. Band 13, Nr. 5, September/Oktober 1992, S. 225–232. PMID 1483570
- ↑ Roy Porter: Die Kunst des Heilens: Eine medizinische Geschichte der Menschheit. Spektrum, Heidelberg/Berlin 2003, ISBN 3-8274-1454-7, S. 166.
- ↑ Porter 2003, S. 24.
- ↑ Manfred Vasold: Masern. In: Werner E. Gerabek u. a. (Hrsg.): Enzyklopädie Medizingeschichte. 2005, S. 894.
- ↑ J.-Ch. Sournia, J. Poulet, M. Martiny (Hrsg.): Illustrierte Geschichte der Medizin. Directmedia, Berlin 2004.
- ↑ Karl Wurm, A. M. Walter: Infektionskrankheiten. In: Ludwig Heilmeyer (Hrsg.): Lehrbuch der Inneren Medizin. Springer-Verlag, Berlin/Göttingen/Heidelberg 1955; 2. Auflage ebenda 1961, S. 9–223, hier: S. 60.
- ↑ John F. Anderson, M. D. The NIH Almanac.
- ↑ John F. Anderson und Joseph Goldberger: Experimental measles in the monkey: a supplemental note. 1911. In: Samuel L. Katz (Hrsg.): Public Health Reports (Washington, D.C.: 1974). 121 Suppl 1, 2006, S. 51–57; discussion 50, doi:10.1177/00333549061210S107, PMID 16550765.
- ↑ a b Werner Köhler: Infektionskrankheiten. In: Werner E. Gerabek, Bernhard D. Haage, Gundolf Keil, Wolfgang Wegner (Hrsg.): Enzyklopädie Medizingeschichte. De Gruyter, Berlin / New York 2005, ISBN 3-11-015714-4, S. 667–671; hier: S. 671.
- ↑ Albert Herrlich: Handbuch der Schutzimpfungen. Springer, Berlin / Heidelberg 2013, ISBN 978-3-642-92897-0, S. 525– (eingeschränkte Vorschau in der Google-Buchsuche).
- ↑ J. F. Enders und T. C. Peebles: Propagation in tissue cultures of cytopathogenic agents from patients with measles. In: Proceedings of the Society for Experimental Biology and Medicine. Society for Experimental Biology and Medicine (New York, N.Y.). Band 86, Nr. 2, Juni 1954, S. 277–286, doi:10.3181/00379727-86-21073, PMID 13177653.